Long-Term Fate and Efficacy of a Biomimetic (Sr)-Apatite-Coated Carbon Patch Used for Bone Reconstruction
Abstract
1. Introduction
2. Materials and Methods
2.1. Materials
2.2. Study Design
2.3. Surgical Procedure
2.4. Post-Surgery Care
2.5. Micro-Computed Tomography—µCT
2.6. Statistical Analysis
2.7. Scanning Electron Microscopy—SEM
2.8. Raman Microspectroscopy
2.9. Histology
3. Results
3.1. Bone Reconstruction at Day 26 Post-Surgery
3.2. Patch Fate at 26 Days and 6 Months Post-Surgery
3.2.1. Macroscopic and Microscopical Observation of the Patches after 26 Days
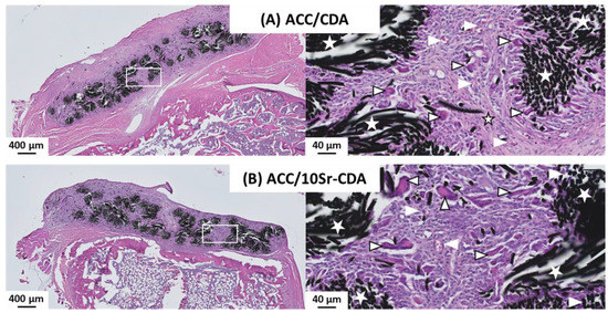
3.2.2. Histological Analysis of ACC/CDA and ACC/10Sr-CDA Patches after 26 Days of Implantation
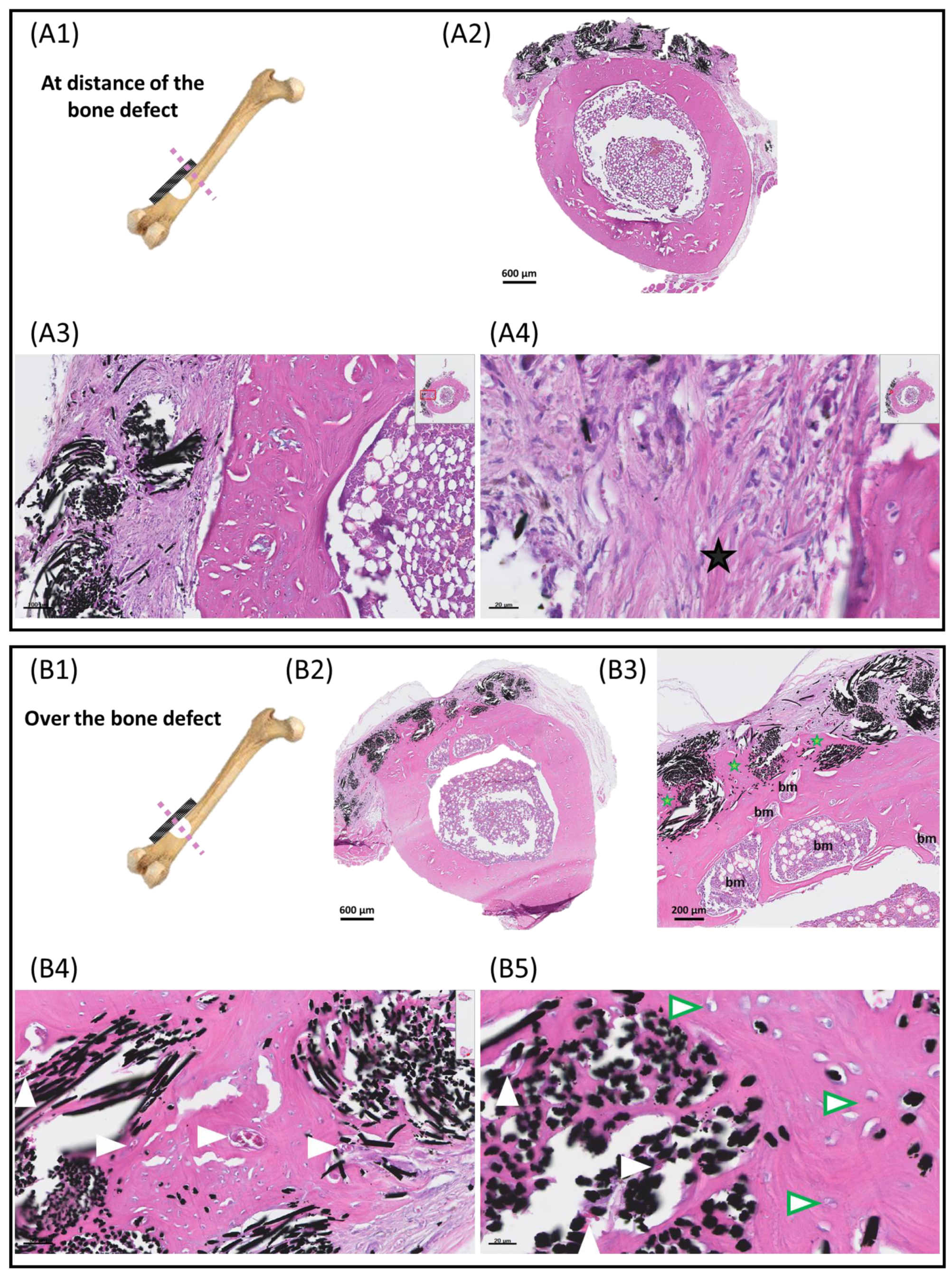
3.2.3. Histological Analysis of ACC Patches after 6 Months of Implantation
3.2.4. Histological Analysis of Organs
4. Discussion
5. Conclusions
Supplementary Materials
Author Contributions
Funding
Data Availability Statement
Acknowledgments
Conflicts of Interest
References
- Zhou, J.; Zhang, Z.; Joseph, J.; Zhang, X.; Ferdows, B.E.; Patel, D.N.; Chen, W.; Banfi, G.; Molinaro, R.; Cosco, D.; et al. Biomaterials and Nanomedicine for Bone Regeneration: Progress and Future Prospects. Exploration 2021, 1, 20210011. [Google Scholar] [CrossRef]
- Govoni, M.; Vivarelli, L.; Mazzotta, A.; Stagni, C.; Maso, A.; Dallari, D. Commercial Bone Grafts Claimed as an Alternative to Autografts: Current Trends for Clinical Applications in Orthopaedics. Materials 2021, 14, 3290. [Google Scholar] [CrossRef]
- Girón, J.; Kerstner, E.; Medeiros, T.; Oliveira, L.; Machado, G.M.; Malfatti, C.F.; Pranke, P. Biomaterials for Bone Regeneration: An Orthopedic and Dentistry Overview. Braz. J. Med. Biol. Res. 2021, 54, e11055. [Google Scholar] [CrossRef] [PubMed]
- Wagner, D.E.; Jones, A.D.; Zhou, H.; Bhaduri, S.B. Cytocompatibility Evaluation of Microwave Sintered Biphasic Calcium Phosphate Scaffolds Synthesized Using PH Control. Mater. Sci. Eng. C 2013, 33, 1710–1719. [Google Scholar] [CrossRef] [PubMed]
- Fricia, M.; Passanisi, M.; Salamanna, F.; Parrilli, A.; Giavaresi, G.; Fini, M. Osteointegration in Custom-Made Porous Hydroxyapatite Cranial Implants: From Reconstructive Surgery to Regenerative Medicine. World Neurosurg. 2015, 84, 591.e11–591.e16. [Google Scholar] [CrossRef] [PubMed]
- Canillas, M.; Pena, P.; de Aza, A.H.; Rodríguez, M.A. Calcium Phosphates for Biomedical Applications. Boletín Soc. Española Cerámica Y Vidr. 2017, 56, 91–112. [Google Scholar] [CrossRef]
- Bouler, J.M.; Pilet, P.; Gauthier, O.; Verron, E. Biphasic Calcium Phosphate Ceramics for Bone Reconstruction: A Review of Biological Response. Acta Biomater. 2017, 53, 1–12. [Google Scholar] [CrossRef]
- Balaguer, T.; Fellah, B.H.; Boukhechba, F.; Traverson, M.; Mouska, X.; Ambrosetti, D.; Dadone, B.; Michiels, J.-F.; Amri, E.-Z.; Trojani, C.; et al. Combination of Blood and Biphasic Calcium Phosphate Microparticles for the Reconstruction of Large Bone Defects in Dog: A Pilot Study: BCP/Blood Clot Composite for Critical Bone Defect Reconstruction in Dog. J. Biomed. Mater. Res. Part A 2018, 106, 1842–1850. [Google Scholar] [CrossRef]
- Jeong, J.; Kim, J.H.; Shim, J.H.; Hwang, N.S.; Heo, C.Y. Bioactive Calcium Phosphate Materials and Applications in Bone Regeneration. Biomater. Res. 2019, 23, 4. [Google Scholar] [CrossRef]
- Gómez-Morales, J.; Iafisco, M.; Delgado-López, J.M.; Sarda, S.; Drouet, C. Progress on the Preparation of Nanocrystalline Apatites and Surface Characterization: Overview of Fundamental and Applied Aspects. Prog. Cryst. Growth Charact. Mater. 2013, 59, 1–46. [Google Scholar] [CrossRef]
- Šupová, M. Substituted Hydroxyapatites for Biomedical Applications: A Review. Ceram. Int. 2015, 41, 9203–9231. [Google Scholar] [CrossRef]
- Cianflone, E.; Brouillet, F.; Grossin, D.; Soulié, J.; Josse, C.; Vig, S.; Fernandes, M.H.; Tenailleau, C.; Duployer, B.; Thouron, C.; et al. Toward Smart Biomimetic Apatite-Based Bone Scaffolds with Spatially Controlled Ion Substitutions. Nanomaterials 2023, 13, 519. [Google Scholar] [CrossRef]
- Bigi, A.; Boanini, E.; Capuccini, C.; Gazzano, M. Strontium-Substituted Hydroxyapatite Nanocrystals. Inorg. Chim. Acta 2007, 360, 1009–1016. [Google Scholar] [CrossRef]
- Frasnelli, M.; Cristofaro, F.; Sglavo, V.M.; Dirè, S.; Callone, E.; Ceccato, R.; Bruni, G.; Cornaglia, A.I.; Visai, L. Synthesis and Characterization of Strontium-Substituted Hydroxyapatite Nanoparticles for Bone Regeneration. Mater. Sci. Eng. C 2017, 71, 653–662. [Google Scholar] [CrossRef] [PubMed]
- Olivier, F.; Picard, Q.; Delpeux, S.; Fayon, F.; Chancolon, J.; Warmont, F.; Rochet, N.; Bonnamy, S. Synthesis and Characterization of Biomimetic Strontium Substituted Carbonated Calcium-Deficient Hydroxyapatite Deposited on Carbon Fiber Cloths. Key Eng. Mater. 2017, 758, 199–203. [Google Scholar] [CrossRef]
- Bussola Tovani, C.; Gloter, A.; Azaïs, T.; Selmane, M.; Ramos, A.P.; Nassif, N. Formation of Stable Strontium-Rich Amorphous Calcium Phosphate: Possible Effects on Bone Mineral. Acta Biomater. 2019, 92, 315–324. [Google Scholar] [CrossRef]
- Olivier, F.; Rochet, N.; Delpeux-Ouldriane, S.; Chancolon, J.; Sarou-Kanian, V.; Fayon, F.; Bonnamy, S. Strontium Incorporation into Biomimetic Carbonated Calcium-Deficient Hydroxyapatite Coated Carbon Cloth: Biocompatibility with Human Primary Osteoblasts. Mater. Sci. Eng. C 2020, 116, 111192. [Google Scholar] [CrossRef]
- Capuccini, C.; Torricelli, P.; Sima, F.; Boanini, E.; Ristoscu, C.; Bracci, B.; Socol, G.; Fini, M.; Mihailescu, I.N.; Bigi, A. Strontium-Substituted Hydroxyapatite Coatings Synthesized by Pulsed-Laser Deposition: In Vitro Osteoblast and Osteoclast Response. Acta Biomater. 2008, 4, 1885–1893. [Google Scholar] [CrossRef]
- Capuccini, C.; Torricelli, P.; Boanini, E.; Gazzano, M.; Giardino, R.; Bigi, A. Interaction of Sr-Doped Hydroxyapatite Nanocrystals with Osteoclast and Osteoblast-like Cells. J. Biomed. Mater. Res. Part A 2009, 89A, 594–600. [Google Scholar] [CrossRef]
- Panzavolta, S.; Torricelli, P.; Casolari, S.; Parrilli, A.; Fini, M.; Bigi, A. Strontium-Substituted Hydroxyapatite-Gelatin Biomimetic Scaffolds Modulate Bone Cell Response. Macromol. Biosci. 2018, 18, 1800096. [Google Scholar] [CrossRef]
- Boanini, E.; Gazzano, M.; Bigi, A. Ionic Substitutions in Calcium Phosphates Synthesized at Low Temperature. Acta Biomater. 2010, 6, 1882–1894. [Google Scholar] [CrossRef] [PubMed]
- Leilei, Z.; Hejun, L.; Kezhi, L.; Shouyang, Z.; Qiangang, F.; Yulei, Z.; Shoujie, L. Double-Layer TC4/Sr Substituted Hydroxyapatite Bioactive Coating for Carbon/Carbon Composites. Ceram. Int. 2015, 41, 427–435. [Google Scholar] [CrossRef]
- Querido, W.; Rossi, A.L.; Farina, M. The Effects of Strontium on Bone Mineral: A Review on Current Knowledge and Microanalytical Approaches. Micron 2016, 80, 122–134. [Google Scholar] [CrossRef] [PubMed]
- Neves, N.; Linhares, D.; Costa, G.; Ribeiro, C.C.; Barbosa, M.A. In Vivo and Clinical Application of Strontium-Enriched Biomaterials for Bone Regeneration: A Systematic Review. Bone Jt. Res. 2017, 6, 366–375. [Google Scholar] [CrossRef] [PubMed]
- Quade, M.; Vater, C.; Schlootz, S.; Bolte, J.; Langanke, R.; Bretschneider, H.; Gelinsky, M.; Goodman, S.B.; Zwingenberger, S. Strontium Enhances BMP-2 Mediated Bone Regeneration in a Femoral Murine Bone Defect Model. J. Biomed. Mater. Res. Part B Appl. Biomater. 2019, 108, 174–182. [Google Scholar] [CrossRef]
- Drevet, R.; Benhayoune, H. Electrodeposition of Calcium Phosphate Coatings on Metallic Substrates for Bone Implant Applications: A Review. Coatings 2022, 12, 539. [Google Scholar] [CrossRef]
- Baltatu, M.S.; Vizureanu, P.; Sandu, A.V.; Munteanu, C.; Istrate, B. Microstructural Analysis and Tribological Behavior of Ti-Based Alloys with a Ceramic Layer Using the Thermal Spray Method. Coatings 2020, 10, 1216. [Google Scholar] [CrossRef]
- Zanurin, A.; Johari, N.A.; Alias, J.; Mas Ayu, H.; Redzuan, N.; Izman, S. Research Progress of Sol-Gel Ceramic Coating: A Review. Mater. Today Proc. 2022, 48, 1849–1854. [Google Scholar] [CrossRef]
- Nizami, M.Z.I.; Campéon, B.D.L.; Nishina, Y. Electrodeposition of Hydroxyapatite and Graphene Oxide Improves the Bioactivity of Medical Grade Stainless Steel. Mater. Today Sustain. 2022, 19, 100193. [Google Scholar] [CrossRef]
- Baltatu, M.S.; Sandu, A.V.; Nabialek, M.; Vizureanu, P.; Ciobanu, G. Biomimetic Deposition of Hydroxyapatite Layer on Titanium Alloys. Micromachines 2021, 12, 1447. [Google Scholar] [CrossRef]
- Xue, J.; Farris, A.; Wang, Y.; Yeh, W.; Romany, C.; Guest, J.K.; Grayson, W.L.; Hall, A.S.; Weihs, T.P. Electrodeposition of Hydroxyapatite on a Metallic 3D-Woven Bioscaffold. Coatings 2020, 10, 715. [Google Scholar] [CrossRef]
- Olivier, F.; Picard, Q.; Delpeux-Ouldriane, S.; Chancolon, J.; Warmont, F.; Sarou-Kanian, V.; Fayon, F.; Bonnamy, S. Influence of Electrochemical Parameters on the Characteristics of Sono-Electrodeposited Calcium Phosphate-Coated Carbon Fiber Cloth. Surf. Coat. Technol. 2020, 389, 125507. [Google Scholar] [CrossRef]
- Olivier, F.; Rochet, N.; Bonnamy, S. Improvement of Biomimetic Calcium Phosphates Coated on a Carbon Cloth Substrate to Enhance Osteoblast Viability. JOM 2022, 74, 837–846. [Google Scholar] [CrossRef]
- Olivier, F.; Sarou-Kanian, V.; Fayon, F.; Bonnamy, S.; Rochet, N. In Vivo Effectiveness of Carbonated Calcium-deficient Hydroxyapatite-coated Activated Carbon Fiber Cloth on Bone Regeneration. J. Biomed. Mater. Res. 2022, 110, 1120–1130. [Google Scholar] [CrossRef]
- Olivier, F.; Bonnamy, S.; Rochet, N.; Drouet, C. Activated Carbon Fiber Cloth/Biomimetic Apatite: A Dual Drug Delivery System. Int. J. Mol. Sci. 2021, 22, 12247. [Google Scholar] [CrossRef]
- Morris, M.D.; Mandair, G.S. Raman Assessment of Bone Quality. Clin. Orthop. Relat. Res. 2011, 469, 2160–2169. [Google Scholar] [CrossRef]
- Kazanci, M.; Fratzl, P.; Klaushofer, K.; Paschalis, E.P. Complementary Information on In Vitro Conversion of Amorphous (Precursor) Calcium Phosphate to Hydroxyapatite from Raman Microspectroscopy and Wide-Angle X-ray Scattering. Calcif Tissue Int. 2006, 79, 354–359. [Google Scholar] [CrossRef]
- Khalid, M. Raman Spectroscopy Detects Changes in Bone Mineral Quality and Collagen Cross-Linkage in Staphylococcus Infected Human Bone. Sci. Rep. 2018, 9, 9417. [Google Scholar] [CrossRef]
- Nieuwoudt, M.K. Raman Spectroscopy Reveals Age- and Sex-Related Differences in Cortical Bone from People with Osteoarthritis. Sci. Rep. 2020, 14, 19443. [Google Scholar] [CrossRef]
- Paschalis, E.P.; Gamsjaeger, S.; Klaushofer, K. Vibrational Spectroscopic Techniques to Assess Bone Quality. Osteoporos Int. 2017, 28, 2275–2291. [Google Scholar] [CrossRef]
- Gamsjaeger, S.; Mendelsohn, R.; Boskey, A.L.; Gourion-Arsiquaud, S.; Klaushofer, K.; Paschalis, E.P. Vibrational Spectroscopic Imaging for the Evaluation of Matrix and Mineral Chemistry. Curr. Osteoporos Rep. 2014, 12, 454–464. [Google Scholar] [CrossRef] [PubMed]
- Donnelly, E.; Chen, D.X.; Boskey, A.L.; Baker, S.P.; van der Meulen, M.C.H. Contribution of Mineral to Bone Structural Behavior and Tissue Mechanical Properties. Calcif. Tissue Int. 2010, 87, 450–460. [Google Scholar] [CrossRef] [PubMed]
- Cardinali, M.A.; Govoni, M.; Dallari, D.; Caponi, S.; Fioretto, D.; Morresi, A. Mechano-Chemistry of Human Femoral Diaphysis Revealed by Correlative Brillouin–Raman Microspectroscopy. Sci. Rep. 2020, 10, 17341. [Google Scholar] [CrossRef] [PubMed]
- Alunni Cardinali, M.; Morresi, A.; Fioretto, D.; Vivarelli, L.; Dallari, D.; Govoni, M. Brillouin and Raman Micro-Spectroscopy: A Tool for Micro-Mechanical and Structural Characterization of Cortical and Trabecular Bone Tissues. Materials 2021, 14, 6869. [Google Scholar] [CrossRef] [PubMed]
- Alunni Cardinali, M.; Di Michele, A.; Mattarelli, M.; Caponi, S.; Govoni, M.; Dallari, D.; Brogini, S.; Langbein, W.; Palombo, F.; Morresi, A.; et al. Brillouin–Raman Microspectroscopy for the Morpho-Mechanical Imaging of Human Lamellar Bone.Pdf. J. R Soc. Interface 2022, 19, 20210642. [Google Scholar] [CrossRef]
- Vandecandelaere, N.; Rey, C.; Drouet, C. Biomimetic Apatite-Based Biomaterials: On the Critical Impact of Synthesis and Post-Synthesis Parameters. J. Mater. Sci. Mater. Med. 2012, 23, 2593–2606. [Google Scholar] [CrossRef]
- Ou-Yang, H.; Paschalis, E.P.; Mayo, W.E.; Boskey, A.L.; Mendelsohn, R. Infrared Microscopic Imaging of Bone: Spatial Distribution of CO3(2−). J. Bone Min. Res. 2001, 16, 893–900. [Google Scholar] [CrossRef]
- Paschalis, E.P.; Verdelis, K.; Doty, S.B.; Boskey, A.L.; Mendelsohn, R.; Yamauchi, M. Spectroscopic Characterization of Collagen Cross-Links in Bone. J. Bone Min. Res. 2001, 16, 1821–1828. [Google Scholar] [CrossRef]
- Buckley, K.; Matousek, P.; Parker, A.W.; Goodship, A.E. Raman Spectroscopy Reveals Differences in Collagen Secondary Structure Which Relate to the Levels of Mineralisation in Bones That Have Evolved for Different Functions: Raman Spectroscopy Reveals Differences in Bones with Different Functions. J. Raman Spectrosc. 2012, 43, 1237–1243. [Google Scholar] [CrossRef]
- Olejnik, C.; Falgayrac, G.; During, A.; Cortet, B.; Penel, G. Doses Effects of Zoledronic Acid on Mineral Apatite and Collagen Quality of Newly-Formed Bone in the Rat’s Calvaria Defect. Bone 2016, 89, 32–39. [Google Scholar] [CrossRef]








| Groups | Number of Samples |
|---|---|
| Control | 12 |
| ACC/CDA | 12 |
| ACC/10Sr-CDA | 12 |
| Score | Associated Finding at Defect Site | µCT Image |
|---|---|---|
| 1 | Incomplete closure with persistent hole | ![]() |
| 2 | Complete closure with persistent concavity | ![]() |
| 3 | Complete closure without concavity | ![]() |
| 4 | Native bone shape | ![]() |
Disclaimer/Publisher’s Note: The statements, opinions and data contained in all publications are solely those of the individual author(s) and contributor(s) and not of MDPI and/or the editor(s). MDPI and/or the editor(s) disclaim responsibility for any injury to people or property resulting from any ideas, methods, instructions or products referred to in the content. |
© 2023 by the authors. Licensee MDPI, Basel, Switzerland. This article is an open access article distributed under the terms and conditions of the Creative Commons Attribution (CC BY) license (https://creativecommons.org/licenses/by/4.0/).
Share and Cite
Olivier, F.; Drouet, C.; Marsan, O.; Sarou-Kanian, V.; Rekima, S.; Gautier, N.; Fayon, F.; Bonnamy, S.; Rochet, N. Long-Term Fate and Efficacy of a Biomimetic (Sr)-Apatite-Coated Carbon Patch Used for Bone Reconstruction. J. Funct. Biomater. 2023, 14, 246. https://doi.org/10.3390/jfb14050246
Olivier F, Drouet C, Marsan O, Sarou-Kanian V, Rekima S, Gautier N, Fayon F, Bonnamy S, Rochet N. Long-Term Fate and Efficacy of a Biomimetic (Sr)-Apatite-Coated Carbon Patch Used for Bone Reconstruction. Journal of Functional Biomaterials. 2023; 14(5):246. https://doi.org/10.3390/jfb14050246
Chicago/Turabian StyleOlivier, Florian, Christophe Drouet, Olivier Marsan, Vincent Sarou-Kanian, Samah Rekima, Nadine Gautier, Franck Fayon, Sylvie Bonnamy, and Nathalie Rochet. 2023. "Long-Term Fate and Efficacy of a Biomimetic (Sr)-Apatite-Coated Carbon Patch Used for Bone Reconstruction" Journal of Functional Biomaterials 14, no. 5: 246. https://doi.org/10.3390/jfb14050246
APA StyleOlivier, F., Drouet, C., Marsan, O., Sarou-Kanian, V., Rekima, S., Gautier, N., Fayon, F., Bonnamy, S., & Rochet, N. (2023). Long-Term Fate and Efficacy of a Biomimetic (Sr)-Apatite-Coated Carbon Patch Used for Bone Reconstruction. Journal of Functional Biomaterials, 14(5), 246. https://doi.org/10.3390/jfb14050246





