Outcomes and Complications of 33 Soft-Milled Cobalt-Chromium-Ceramic Full-Arch Screw-Retained Implant-Supported Prostheses: A Retrospective Study with up to 10-Year Follow-Up
Abstract
1. Introduction
2. Materials and Methods
2.1. Study Sample
2.2. Data Collection at the Recall Appointments
2.3. Statistical Methods and Synthesis of Results
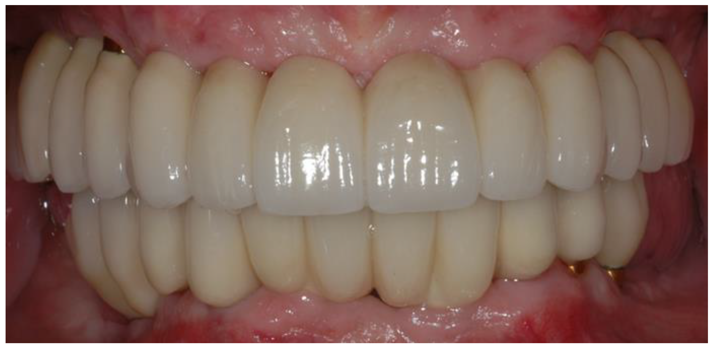
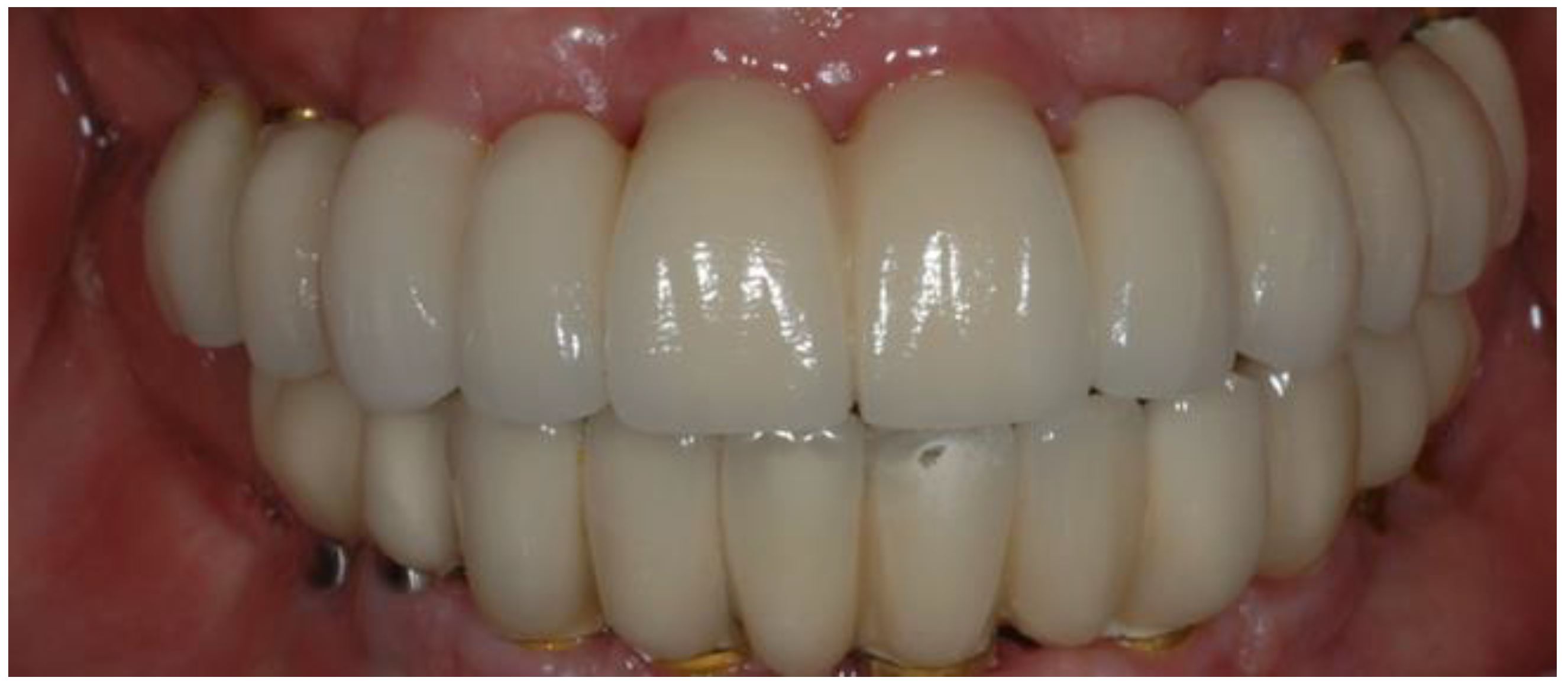
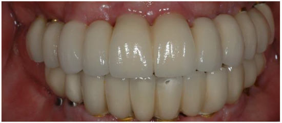
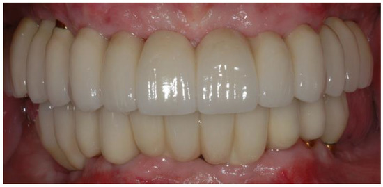
3. Results
4. Discussion
5. Conclusions
Author Contributions
Funding
Institutional Review Board Statement
Informed Consent Statement
Data Availability Statement
Conflicts of Interest
References
- Saponaro, P.C.; Karasan, D.; Donmez, M.B.; Johnston, W.M.; Yilmaz, B. Prosthetic complications with monolithic or micro-veneered implant-supported zirconia single-unit, multiple-unit, and complete-arch prostheses on titanium base abutments: A single center retrospective study with mean follow-up period of 72.35 months. Clin. Implant Dent. Relat. Res. 2023, 25, 99–106. [Google Scholar] [CrossRef] [PubMed]
- Estrin, N.; Nam, K.; Romanos, G.E.; Saragossi, J.; Iacono, V.J.; Bassir, S.H. Clinical outcomes of metal-ceramic versus metal-acrylic resin implant-supported fixed complete dental prostheses: A systematic review and meta-analysis. Int. J. Prosthodont. 2022, 6. [Google Scholar] [CrossRef]
- Chochlidakis, K.; Ercoli, C.; Einarsdottir, E.; Romeo, D.; Papaspyridakos, P.; Barmak, A.B.; Tsigarida, A. Implant survival and biologic complications of implant fixed complete dental prostheses: An up to 5-year retrospective study. J. Prosthet. Dent. 2022, 128, 375–381. [Google Scholar] [CrossRef]
- Morton, D.; Gallucci, G.; Lin, W.S.; Pjetursson, B.; Polido, W.; Roehling, S.; Sailer, I.; Aghaloo, T.; Albera, H.; Bohner, L.; et al. Group 2 ITI Consensus Report: Prosthodontics and implant dentistry. Clin. Oral Implant. Res. 2018, 29 (Suppl. 16), 215–223. [Google Scholar] [CrossRef]
- Kourtis, S.; Damanaki, M.; Kaitatzidou, S.; Kaitatzidou, A.; Roussou, V. Loosening of the fixing screw in single implant crowns: Predisposing factors, prevention and treatment options. J. Esthet. Restor. Dent. 2017, 29, 233–246. [Google Scholar] [CrossRef]
- Sailer, I.; Muhlemann, S.; Zwahlen, M.; Hämmerle, C.H.F.; Schneideret, D. Cemented and screw- retained implant reconstructions: A systematic review of the survivaland complication rates. Clin. Oral Implant. Res. 2012, 23, 163–201. [Google Scholar] [CrossRef]
- Barazanchi, A.; Li, K.C.; Al-Amleh, B.; Lyons, K.; Waddell, J.N. Additive technology: Update on current materials and applications in dentistry. J. Prosthodont. 2017, 26, 156–163. [Google Scholar] [CrossRef] [PubMed]
- Krug, K.P.; Knauber, A.W.; Nothdurft, F.P. Fracture behavior of metal-ceramic fixed dental prostheses with frameworks from cast or a newly developed sintered cobalt-chromium alloy. Clin. Oral Investig. 2015, 19, 401–411. [Google Scholar] [CrossRef] [PubMed]
- Revilla-León, M.; Sánchez-Rubio, J.L.; Pérez-López, J.; Rubenstein, J.; Özcan, M. Discrepancy at the implant abutment-prosthesis interface of complete-arch cobalt-chromium implant frameworks fabricated by additive and subtractive technologies before and after ceramic veneering. J. Prosthet. Dent. 2021, 125, 795–803. [Google Scholar] [CrossRef]
- Kim, M.; Kim, J.; Mai, H.N.; Kwon, T.Y.; Choi, Y.D.; Lee, C.H.; Lee, D.H. Comparative clinical study of the marginal discrepancy of fixed dental prosthesis fabricated by the milling-sintering method using a presintered alloy. J. Adv. Prosthodont. 2019, 11, 280–285. [Google Scholar] [CrossRef]
- AlRasheed, F.; AlWazzan, K. The effect of framework fabrication technique on the fit accuracy of full arch screw retained implant supported prostheses. Saudi Dent. J. 2022, 34, 288–297. [Google Scholar] [CrossRef]
- Levartovsky, S.; Arieli, A.; Fridenberg, N.; Matalon, S.; Pilo, R. Survival and success rates of soft-milled cobalt-chromium-ceramic full-arch screw-retained implant-supported prostheses: A 2- to 7-year follow-up retrospective study. Clin. Oral Investig. 2021, 25, 5341–5350. [Google Scholar] [CrossRef] [PubMed]
- Rivera-Morales, W.C.; Mohl, N.D. Relationship of occlusal vertical dimension to the health of the masticatory system. J. Prosthet. Dent. 1991, 65, 547–553. [Google Scholar] [CrossRef] [PubMed]
- Levartovsky, S.; Matalon, S.; Sarig, R.; Baruch, O.; Winocur, E. The association between dental wear and reduced vertical dimension of the face: A morphologic study on human skulls. Arch. Oral Biol. 2015, 60, 174–180. [Google Scholar] [CrossRef] [PubMed]
- Kan, J.Y.; Rungcharassaeng, K.; Bohsali, K.; Goodacre, C.J.; Lang, B.R. Clinical methods for evaluating implant framework fit. J. Prosthet. Dent. 1999, 81, 7–13. [Google Scholar] [CrossRef]
- Heitz-Mayfield, L.J.A.; Salvi, G.E. Peri-implant mucositis. J. Clin. Periodontol. 2018, 45 (Suppl. 20), S237–S245. [Google Scholar] [CrossRef]
- Berglundh, T.; Armitage, G.; Araujo, M.G.; Avila-Ortiz, G.; Blanco, J.; Camargo, P.M.; Chen, S.; Cochran, D.; Derks, J.; Figuero, E.; et al. Peri-implant diseases and conditions: Consensus report of workgroup 4 of the 2017 world workshop on the classification of periodontal and peri-implant diseases and conditions. J. Clin. Periodontol. 2018, 89 (Suppl. 1), S313–S318. [Google Scholar] [CrossRef]
- Heitz-Mayfield, L.J.A.; Needleman, I.; Salvi, G.E.; Pjetursson, B.E. Consensus statements and clinical recommendations for prevention and management of biologic and technical implant complications. Int. J. Oral Maxillofac. Implant. 2013, 28, 346–350. [Google Scholar] [CrossRef]
- Levartovsky, S.; Pilo, R.; Shadur, A.; Matalon, S.; Winocur, E. Complete rehabilitation of patients with bruxism by veneered and non-veneered zirconia restorations with an increased vertical dimension of occlusion: An observational case-series study. J. Prosthodont. Res. 2019, 63, 440–446. [Google Scholar] [CrossRef]
- Matalon, S.; Heller, H.; Beitlitum, I.; Weinberg, E.; Emodi-Perlman, A.; Levartovsky, S. Retrospective 1- to 8-year follow-up study of complete oral rehabilitation using monolithic zirconia restorations with increased vertical dimension of occlusion in patients with bruxism. J. Clin. Med. 2022, 11, 5314. [Google Scholar] [CrossRef]
- Jang, S.H.; Lee, D.H.; Ha, J.Y.; Hanawa, T.; Kim, K.H.; Kwon, T.Y. Preliminary evaluation of mechanical properties of Co-Cr alloys fabricated by three new manufacturing processes. Int. J. Prosthodont. 2015, 28, 396–398. [Google Scholar] [CrossRef] [PubMed]
- Kim, H.R.; Jang, S.H.; Kim, Y.K.; Son, J.S.; Min, B.K.; Kim, K.H.; Kwon, T.Y. Microstructures and mechanical properties of Co-Cr dental alloys fabricated by three CAD/CAM-based processing techniques. Materials 2016, 9, 596. [Google Scholar] [CrossRef] [PubMed]
- Chochlidakis, K.; Einarsdottir, E.; Tsigarida, A.; Papaspyridakos, P.; Romeo, D.; Barmak, A.B.; Ercoli, C. Survival rates and prosthetic complications of implant fixed complete dental prostheses: An up to 5-year retrospective study. J. Prosthet. Dent. 2020, 124, 539–546. [Google Scholar] [CrossRef]
- Gonzalez, I.G.; Lanchares, H.L.; Velasco, A.B.; Riesgo, J.A.A.; Pendas, S.L.; Climent, M.H.; Arenal, A.A. Complications of fixed full-arch implant-supported metal-ceramic prostheses. Int. J. Environ. Res. Public Health 2020, 17, 4250. [Google Scholar] [CrossRef] [PubMed]
- Papaspyridakos, P.; Bordin, B.T.; Kim, Y.J.; DeFuria, C.; Pagni, S.E.; Chochlidakis, K.; Teixeira, E.R.; Weber, H.P. Implant survival rates and biologic complications with implant-supported fixed complete dental prostheses: A retrospective study with up to 12-year follow-up. Clin. Oral Implant. Res. 2018, 29, 881–893. [Google Scholar] [CrossRef] [PubMed]
- Bagegni, A.; Abou-Ayash, S.; Rücker, G.; Algarny, A.; Att, W. The influence of prosthetic material on implant and prosthetic survival of implant-supported fixed complete dentures: A systematic review and meta-analysis. J. Prosthodont. Res. 2019, 63, 251–265. [Google Scholar] [CrossRef]
- Mori, G.; Oda, Y.; Sakamoto, K.; Ito, T.; Yajima, Y. Clinical evaluation of full-arch screw-retained implant-supported fixed prostheses and full-arch telescopic-retained implant-supported fixed prostheses: A 5–12 year follow-up retrospective study. Clin. Oral Implant. Res. 2019, 30, 197–205. [Google Scholar] [CrossRef]
- Papaspyridakos, P.; Bordin, T.B.; Natto, Z.S.; El-Rafie, K.; Pagni, S.E.; Chochlidakis, K.; Ercoli, C.; Weber, H.P. Complications and survival rates of 55 metal-ceramic implant-supported fixed complete-arch prostheses: A cohort study with mean 5-year follow-up. J. Prosthet. Dent. 2019, 122, 441–449. [Google Scholar] [CrossRef]
- Nikellis, T.; Lampraki, E.; Romeo, D.; Tsigarida, A.; Barmak, A.B.; Malamou, C.; Ercoli, C.; Papaspyridakos, P.; Kotsailidi, E.A.; Chochlidakis, K. Survival rates, patient satisfaction, and prosthetic complications of implant fixed complete dental prostheses: A 12-month prospective study. J. Prosthodont. 2023, 32, 214–220. [Google Scholar] [CrossRef]
- Papaspyridakos, P.; Bordin, T.B.; Natto, Z.S.; Kim, Y.J.; El-Rafie, K.; Tsigarida, A.; Chochlidakis, K.; Weber, H.P. Double full-arch fixed implant-supported prostheses: Outcomes and complications after a mean follow-up of 5 years. J. Prosthodont. 2019, 28, 387–397. [Google Scholar] [CrossRef]
- Mijiritsky, E.; Shacham, M.; Meilik, Y.; Dekel-Steinkeller, M. Clinical influence of mandibular flexure on oral rehabilitation: Narrative review. Int. J. Environ. Res. Public Health 2022, 19, 16748. [Google Scholar] [CrossRef] [PubMed]



| Characteristics | Number |
|---|---|
| Participants | 25 |
| Mean age Female/male | 63.6 years 15/10 |
| Number of prostheses | 33 |
| Maxilla/mandible | 19/14 |
| Number of implants | 245 |
| Number of crown units Mean time follow-up | 387 68.9 months |
| Interval (Years) | No. of Implants | No. of Failures | Interval Survival Rate (%) | Cumulative Survival Rate (%) |
|---|---|---|---|---|
| 0–1 | 245 | 0 | 100 | 100 |
| 1–2 | 226 | 1 | 99.5 | 99.6 |
| 2–3 | 196 | 0 | 100 | 99.6 |
| 3–4 | 196 | 0 | 100 | 99.6 |
| 4–5 | 140 | 0 | 100 | 99.6 |
| 5–6 | 105 | 1 | 99.0 | 99.2 |
| 6–7 | 80 | 2 | 97.5 | 98.4 |
| 7–8 | 56 | 2 | 96.4 | 97.5 |
| 8–9 | 37 | 0 | 100 | 97.5 |
| 9–10 | 23 | 1 | 95.6 | 97.1 |
| Interval (Years) | No. of SCCSIP | No. of Crown Units | No. of Failures | Interval Survival Rate (%) | Cumulative Survival Rate (%) |
|---|---|---|---|---|---|
| 0–1 | 33 | 387 | 0 | 100 | 100 |
| 1–2 | 31 | 363 | 0 | 100 | 100 |
| 2–3 | 28 | 328 | 0 | 100 | 100 |
| 3–4 | 28 | 328 | 0 | 100 | 100 |
| 4–5 | 20 | 248 | 0 | 100 | 100 |
| 5–6 | 15 | 190 | 0 | 100 | 100 |
| 6–7 | 11 | 143 | 0 | 100 | 100 |
| 7–8 | 7 | 85 | 0 | 100 | 100 |
| 8–9 | 5 | 57 | 0 | 100 | 100 |
| 9–10 | 3 | 35 | 0 | 100 | 100 |
| Complication | No. of Implants Affected | No. of Prostheses Affected | Percentage of Complications | |
|---|---|---|---|---|
| Biological | Implants (%) | Prostheses (%) | ||
| Minor complications | ||||
| Soft tissue recession | 22 | 10 | 22/246 (9.0) | 10/30 (30.3) |
| Peri-implant mucositis | 15 | 7 | 15/245 (6.1) | 7/33 (21.2) |
| Major complications | ||||
| Peri-implantitis | 5 | 4 | 5/245 (2.0) | 4/33 (12.1) |
| Implant failure | 7 | 5 | 7/245 (2.8) | 5/33 (15.1) |
| Total | 49 | 11 | 49/245 (20.0) | 11/33 (33.3) |
| Technical | Crown (%) | Prosthesis (%) | ||
| Minor complications | ||||
| Porcelain chipping | 21 | 9 | 21/387 (5.4) | 9/33 (27.3) |
| Loosening of a screw | 0 | 0 | 0 | |
| Major complications | ||||
| Porcelain fracture | 4 | 4 | 4/387 (1) | 4/33 (12.1) |
| Abutment fracture | 0 | 0 | 0 | |
| Fracture of a screw | 0 | 0 | 0 | |
| Fracture of framework | 0 | 0 | 0 | |
| Total | 25 | 10 | 25/387 (6.4) | 10/33 (30.3) |
Disclaimer/Publisher’s Note: The statements, opinions and data contained in all publications are solely those of the individual author(s) and contributor(s) and not of MDPI and/or the editor(s). MDPI and/or the editor(s) disclaim responsibility for any injury to people or property resulting from any ideas, methods, instructions or products referred to in the content. |
© 2023 by the authors. Licensee MDPI, Basel, Switzerland. This article is an open access article distributed under the terms and conditions of the Creative Commons Attribution (CC BY) license (https://creativecommons.org/licenses/by/4.0/).
Share and Cite
Heller, H.; Beitlitum, I.; Goldberger, T.; Emodi-Perlman, A.; Levartovsky, S. Outcomes and Complications of 33 Soft-Milled Cobalt-Chromium-Ceramic Full-Arch Screw-Retained Implant-Supported Prostheses: A Retrospective Study with up to 10-Year Follow-Up. J. Funct. Biomater. 2023, 14, 157. https://doi.org/10.3390/jfb14030157
Heller H, Beitlitum I, Goldberger T, Emodi-Perlman A, Levartovsky S. Outcomes and Complications of 33 Soft-Milled Cobalt-Chromium-Ceramic Full-Arch Screw-Retained Implant-Supported Prostheses: A Retrospective Study with up to 10-Year Follow-Up. Journal of Functional Biomaterials. 2023; 14(3):157. https://doi.org/10.3390/jfb14030157
Chicago/Turabian StyleHeller, Hadas, Ilan Beitlitum, Tomer Goldberger, Alona Emodi-Perlman, and Shifra Levartovsky. 2023. "Outcomes and Complications of 33 Soft-Milled Cobalt-Chromium-Ceramic Full-Arch Screw-Retained Implant-Supported Prostheses: A Retrospective Study with up to 10-Year Follow-Up" Journal of Functional Biomaterials 14, no. 3: 157. https://doi.org/10.3390/jfb14030157
APA StyleHeller, H., Beitlitum, I., Goldberger, T., Emodi-Perlman, A., & Levartovsky, S. (2023). Outcomes and Complications of 33 Soft-Milled Cobalt-Chromium-Ceramic Full-Arch Screw-Retained Implant-Supported Prostheses: A Retrospective Study with up to 10-Year Follow-Up. Journal of Functional Biomaterials, 14(3), 157. https://doi.org/10.3390/jfb14030157

