Are Absorbable Plates More Resistant to Infection Than Titanium Implants? An Experimental Pre-Clinical Trial in Rabbits
Abstract
:1. Introduction
2. Material and Methods
2.1. Bacterial Suspension
2.2. Inoculation Method
2.3. Implants
2.4. Surgical Procedure
2.5. Postoperative Care
2.6. Clinical Assessment
2.7. Radiographic Assessment
2.8. Laboratory Testing
2.9. Histology
2.10. Stains and Cultures
2.11. Primary Outcome
2.12. Statistical Analysis
3. Results
3.1. Infection Rates
3.2. Foreign-Body Reactions
3.3. Laboratory Testing
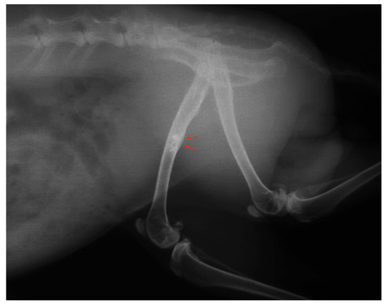
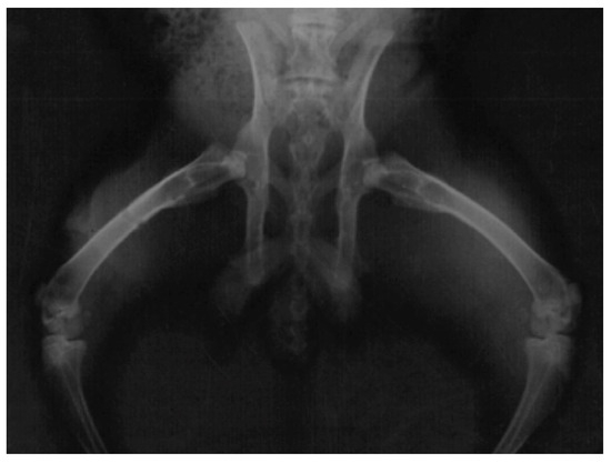
3.4. Radiographic Assessment
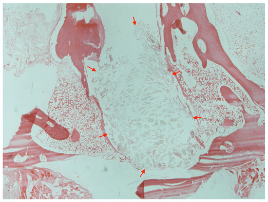
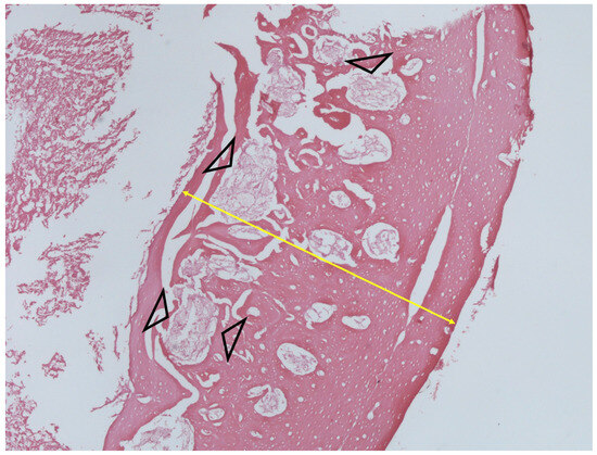
3.5. Histology
4. Discussion
5. Conclusions
Author Contributions
Funding
Institutional Review Board Statement
Informed Consent Statement
Data Availability Statement
Conflicts of Interest
References
- Dougherty, S.H. Pathobiology of Infection in Prosthetic Devices. Rev. Infect. Dis. 1988, 10, 1102–1117. [Google Scholar] [CrossRef]
- Gristina, A.G.; Hobgood, C.D.; Webb, L.X.; Myrvik, Q.N. Adhesive Colonization of Biomaterials and Antibiotic Resistance. Biomaterials 1987, 8, 423–426. [Google Scholar] [CrossRef]
- Schmidt, A.H.; Swiontkowski, M.F. Pathophysiology of Infections after Internal Fixation of Fractures. J. Am. Acad. Orthop. Surg. 2000, 8, 285–291. [Google Scholar] [CrossRef]
- Kulshrestha, A.; Gupta, P. Combating Polymicrobial Biofilm: Recent Approaches. Folia Microbiol. 2023, 68, 495–505. [Google Scholar] [CrossRef] [PubMed]
- Dhillon, M.S.; Hooda, A.; Moriarty, T.F.; Sharma, S. Biofilms-What Should the Orthopedic Surgeon Know? Indian J. Orthop. 2023, 57, 44–51. [Google Scholar] [CrossRef]
- Lu, Y.; Cai, W.-J.; Ren, Z.; Han, P. The Role of Staphylococcal Biofilm on the Surface of Implants in Orthopedic Infection. Microorganisms 2022, 10, 1909. [Google Scholar] [CrossRef]
- Tsikopoulos, K.; Christofilos, S.I.; Kitridis, D.; Sidiropoulos, K.; Stoikos, P.N.; Gravalidis, C.; Givissis, P.; Papaioannidou, P. Is Sonication Superior to Dithiothreitol in Diagnosis of Periprosthetic Joint Infections? A Meta-Analysis. Int. Orthop. 2022, 46, 1215–1224. [Google Scholar] [CrossRef]
- Katsikogianni, M.; Missirlis, Y.F. Concise Review of Mechanisms of Bacterial Adhesion to Biomaterials and of Techniques Used in Estimating Bacteria-Material Interactions. Eur. Cells Mater. 2004, 8, 37–57. [Google Scholar] [CrossRef]
- Sharma, S.; Mohler, J.; Mahajan, S.D.; Schwartz, S.A.; Bruggemann, L.; Aalinkeel, R. Microbial Biofilm: A Review on Formation, Infection, Antibiotic Resistance, Control Measures, and Innovative Treatment. Microorganisms 2023, 11, 1614. [Google Scholar] [CrossRef] [PubMed]
- Cordero, J.; Munuera, L.; Folgueira, M.D. Influence of Metal Implants on Infection. An Experimental Study in Rabbits. J. Bone Jt. Surg. Br. 1994, 76, 717–720. [Google Scholar] [CrossRef]
- Arens, S.; Schlegel, U.; Printzen, G.; Ziegler, W.J.; Perren, S.M.; Hansis, M. Influence of Materials for Fixation Implants on Local Infection. J. Bone Jt. Surg. 1996, 78, 647–651. [Google Scholar] [CrossRef]
- Petty, W.; Spanier, S.; Shuster, J.J.; Silverthorne, C. The Influence of Skeletal Implants on Incidence of Infection. Experiments in a Canine Model. J Bone Jt. Surg. Am. 1985, 67, 1236–1244. [Google Scholar] [CrossRef]
- Arens, S.; Hansis, M.; Schlegel, U.; Eijer, H.; Printzen, G.; Ziegler, W.J.; Perren, S.M. Infection after Open Reduction and Internal Fixation with Dynamic Compression Plates--Clinical and Experimental Data. Injury 1996, 27 (Suppl. 3), SC27-33. [Google Scholar] [CrossRef]
- Böstman, O.M.; Pihlajamäki, H.K. Adverse Tissue Reactions to Bioabsorbable Fixation Devices. Clin. Orthop. Relat. Res. 2000, 371, 216–227. [Google Scholar] [CrossRef]
- Rokkanen, P.; Böstman, O.; Vainionpaa, S.; Makela, E.A.; Hirvensalo, E.; Partio, E.K.; Vihtonen, K.; Patiala, H.; Tormala, P. Absorbable Devices in the Fixation of Fractures. J. Trauma 1996, 40, S123–S127. [Google Scholar] [CrossRef]
- Sinisaari, I.; Pätiälä, H.; Böstman, O.; Mäkelä, E.A.; Hirvensalo, E.; Partio, E.K.; Törmälä, P.; Rokkanen, P. Wound Infections Associated with Absorbable or Metallic Devices Used in the Fixation of Fractures, Arthrodeses and Osteotomies. Eur. J. Orthop. Surg. Traumatol. 1995, 5, 41–43. [Google Scholar] [CrossRef] [PubMed]
- Waris, E.; Konttinen, Y.T.; Ashammakhi, N.; Suuronen, R.; Santavirta, S. Bioabsorbable Fixation Devices in Trauma and Bone Surgery: Current Clinical Standing. Expert Rev. Med. Devices 2004, 1, 229–240. [Google Scholar] [CrossRef] [PubMed]
- Rokkanen, P.U.; Böstman, O.; Hirvensalo, E.; Mäkelä, E.A.; Partio, E.K.; Pätiälä, H.; Vainionpää, S.; Vihtonen, K.; Törmälä, P. Bioabsorbable Fixation in Orthopaedic Surgery and Traumatology. Biomaterials 2000, 21, 2607–2613. [Google Scholar] [CrossRef]
- Waris, E.; Ashammakhi, N.; Happonen, H.; Raatikainen, T.; Kaarela, O.; Törmälä, P.; Santavirta, S.; Konttinen, Y.T. Bioabsorbable Miniplating versus Metallic Fixation for Metacarpal Fractures. Clin. Orthop. Relat. Res. 2003, 410, 310–319. [Google Scholar] [CrossRef] [PubMed]
- Waris, E.; Ashammakhi, N.; Kaarela, O.; Raatikainen, T.; Vasenius, J. Use of Bioabsorbable Osteofixation Devices in the Hand. J. Hand Surg. Br. 2004, 29, 590–598. [Google Scholar] [CrossRef] [PubMed]
- Voutilainen, N.; Juutilainen, T.; Pätiälä, H.; Rokkanen, P. Arthrodesis of the Wrist with Bioabsorbable Fixation in Patients with Rheumatoid Arthritis. J. Hand Surg. Br. 2002, 27, 563–567. [Google Scholar] [CrossRef]
- Gaiarsa, G.P.; dos Reis, P.R.; Mattar Junior, R.; Silva, J.D.S.; Fernandez, T.D. Comparative Study between Osteosynthesis in Conventional and Bioabsorbable Implants in Ankle Fractures. Acta Ortop. Bras. 2015, 23, 263–267. [Google Scholar] [CrossRef] [PubMed]
- Kukk, A.; Nurmi, J.T. A Retrospective Follow-up of Ankle Fracture Patients Treated with a Biodegradable Plate and Screws. Foot Ankle Surg. Off. J. Eur. Soc. Foot Ankle Surg. 2009, 15, 192–197. [Google Scholar] [CrossRef]
- Demina, V.A.; Krasheninnikov, S.V.; Buzin, A.I.; Kamyshinsky, R.A.; Sadovskaya, N.V.; Goncharov, E.N.; Zhukova, N.A.; Khvostov, M.V.; Pavlova, A.V.; Tolstikova, T.G.; et al. Biodegradable Poly(l-Lactide)/Calcium Phosphate Composites with Improved Properties for Orthopedics: Effect of Filler and Polymer Crystallinity. Mater. Sci. Eng. C. Mater. Biol. Appl. 2020, 112, 110813. [Google Scholar] [CrossRef]
- Osborn, E.J.; Farnsworth, C.L.; Doan, J.D.; Edmonds, E.W. Bioabsorbable Plating in the Treatment of Pediatric Clavicle Fractures: A Biomechanical and Clinical Analysis. Clin. Biomech. 2018, 55, 94–99. [Google Scholar] [CrossRef] [PubMed]
- Givissis, P.K.; Stavridis, S.I.; Papagelopoulos, P.J.; Antonarakos, P.D.; Christodoulou, A.G. Delayed Foreign-Body Reaction to Absorbable Implants in Metacarpal Fracture Treatment. Clin. Orthop. Relat. Res. 2010, 468, 3377–3383. [Google Scholar] [CrossRef]
- Chalidis, B.; Kitridis, D.; Savvidis, P.; Papalois, A.; Givissis, P. Does the Inion OTPSTM Absorbable Plating System Induce Higher Foreign-Body Reaction than Titanium Implants? An Experimental Randomized Comparative Study in Rabbits. Biomed. Mater. 2020, 15, 65011. [Google Scholar] [CrossRef]
- Böstman, O.; Hirvensalo, E.; Makinen, J.; Rokkanen, P.; Mäkinen, J.; Rokkanen, P. Foreign-Body Reactions to Fracture Fixation Implants of Biodegradable Synthetic Polymers. J. Bone Jt. Surg. Br. 1990, 72, 592–596. [Google Scholar] [CrossRef]
- Hazan, J.; Azzi, A.J.; Thibaudeau, S. Surgical Fixation of Metacarpal Shaft Fractures Using Absorbable Implants: A Systematic Review of the Literature. Hand 2019, 14, 19–26. [Google Scholar] [CrossRef]
- Losken, H.W.; van Aalst, J.A.; Mooney, M.P.; Godfrey, V.L.; Burt, T.; Teotia, S.; Dean, S.B.; Moss, J.R.; Rahbar, R. Biodegradation of Inion Fast-Absorbing Biodegradable Plates and Screws. J. Craniofac. Surg. 2008, 19, 748–756. [Google Scholar] [CrossRef]
- Waris, E.; Ashammakhi, N.; Raatikainen, T.; Törmälä, P.; Santavirta, S.; Konttinen, Y.T. Self-Reinforced Bioabsorbable versus Metallic Fixation Systems for Metacarpal and Phalangeal Fractures: A Biomechanical Study. J. Hand Surg. Am. 2002, 27, 902–909. [Google Scholar] [CrossRef] [PubMed]
- Heikel, H. V On Ossification and Growth of Certain Bones of the Rabbit; with a Comparison of the Skeletal Age in the Rabbit and in Man. Acta Orthop. Scand. 1960, 29, 171–184. [Google Scholar] [CrossRef] [PubMed]
- Rahn, B.A.; Gallinaro, P.; Baltensperger, A.; Perren, S.M. Primary Bone Healing. An Experimental Study in the Rabbit. J. Bone Jt. Surg. Am. 1971, 53, 783–786. [Google Scholar] [CrossRef]
- Kälicke, T.; Schierholz, J.; Schlegel, U.; Frangen, T.M.; Köller, M.; Printzen, G.; Seybold, D.; Klöckner, S.; Muhr, G.; Arens, S. Effect on Infection Resistance of a Local Antiseptic and Antibiotic Coating on Osteosynthesis Implants: An in Vitro and in Vivo Study. J. Orthop. Res. Off. Publ. Orthop. Res. Soc. 2006, 24, 1622–1640. [Google Scholar] [CrossRef]
- Kanellakopoulou, K.; Thivaios, G.C.; Kolia, M.; Dontas, I.; Nakopoulou, L.; Dounis, E.; Giamarellos-Bourboulis, E.J.; Andreopoulos, A.; Karagiannakos, P.; Giamarellou, H. Local Treatment of Experimental Pseudomonas Aeruginosa Osteomyelitis with a Biodegradable Dilactide Polymer Releasing Ciprofloxacin. Antimicrob. Agents Chemother. 2008, 52, 2335–2339. [Google Scholar] [CrossRef] [PubMed]
- Evans, D.J.; Allison, D.G.; Brown, M.R.; Gilbert, P. Susceptibility of Pseudomonas Aeruginosa and Echerichia Coli Biofilms towards Ciprotoxin: Effect of Specific Growth Rate. J. Antimicrob. Chemother. 1991, 27, 177–184. [Google Scholar] [CrossRef]
- Yasuda, H.; Ajiki, Y.; Koga, T.; Kawada, H.; Yokota, T. Interaction Between Biofilms Formed By Pseudomonas-Aeruginosa and Clarithromycin. Antimicrob. Agents Chemother. 1993, 37, 1749–1755. [Google Scholar] [CrossRef]
- Norden, C.W.; Myerowitz, R.L.; Keleti, E. Experimental Osteomyelitis Due to Staphylococcus Aureus or Pseudomonas Aeruginosa: A Radiographic-Pathological Correlative Analysis. Br. J. Exp. Path. 1980, 61, 451. [Google Scholar]
- Sheehan, E.; McKenna, J.; Marks, P.; Mulhall, K.J.; Marks, P.; McCormack, D. Adhesion of Staphylococcus to Orthopaedic Metals, an in Vivo Study. J. Orthop. Res. Off. Publ. Orthop. Res. Soc. 2004, 22, 39–43. [Google Scholar] [CrossRef]
- Buret, A.; Ward, K.H.; Olson, M.E.; Costerton, J.W. An in Vivo Model to Study the Pathobiology of Infectious Biofilms on Biomaterial Surfaces. J. Biomed. Mater. Res. 1991, 25, 865–874. [Google Scholar] [CrossRef]
- Sanzén, L.; Linder, L. Infection Adjacent to Titanium and Bone Cement Implants: An Experimental Study in Rabbits. Biomaterials 1995, 16, 1273–1277. [Google Scholar] [CrossRef] [PubMed]
- Isiklar, Z.U.; Darouiche, R.O.; Landon, G.C.; Beck, T. Efficacy of Antibiotics Alone for Orthopaedic Device Related Infections. Clin. Orthop. Relat. Res. 1996, 332, 184–189. [Google Scholar] [CrossRef] [PubMed]
- Southwood, R.T.; Rice, J.L.; McDonald, P.J.; Hakendorf, P.H.; Rozenbilds, M.A. Infection in Experimental Hip Arthroplasties. J. Bone Jt. Surg. Br. 1985, 67, 229–231. [Google Scholar] [CrossRef]
- Odekerken, J.C.; Arts, J.J.; Surtel, D.A.; Walenkamp, G.H.; Welting, T.J. A Rabbit Osteomyelitis Model for the Longitudinal Assessment of Early Post-Operative Implant Infections. J. Orthop. Surg. Res. 2013, 8, 38. [Google Scholar] [CrossRef]
- Böstman, O.; Pihlajamäki, H. Clinical Biocompatibility of Biodegradable Orthopaedic Implants for Internal Fixation: A Review. Biomaterials 2000, 21, 2615–2621. [Google Scholar] [CrossRef]
- Sinisaari, I.; Pätiälä, H.; Böstman, O.; Mäkelä, E.A.; Hirvensalo, E.; Partio, E.K.; Törmälä, P.; Rokkanen, P. Metallic or Absorbable Implants for Ankle Fractures: A Comparative Study of Infections in 3,111 Cases. Acta Orthop. Scand. 1996, 67, 16–18. [Google Scholar] [CrossRef]
- Devereux, D.F.; O’Connell, S.M.; Liesch, J.B.; Weinstein, M.; Robertson, F.M. Induction of Leukocyte Activation by Meshes Surgically Implanted in the Peritoneal Cavity. Am. J. Surg. 1991, 162, 243–246. [Google Scholar] [CrossRef]
- Schierholz, J.M.; Beuth, J. Implant Infections: A Haven for Opportunistic Bacteria. J. Hosp. Infect. 2001, 49, 87–93. [Google Scholar] [CrossRef]
- McWhirter, M.J.; McQuillan, A.J.; Bremer, P.J. Influence of Ionic Strength and PH on the First 60 Min of Pseudomonas Aeruginosa Attachment to ZnSe and to TiO2 Monitored by ATR-IR Spectroscopy. Colloids Surf. B Biointerfaces 2002, 26, 365–372. [Google Scholar] [CrossRef]
- Isberg, R.R.; Barnes, P. Dancing with the Host; Flow-Dependent Bacterial Adhesion. Cell 2002, 110, 1–4. [Google Scholar] [CrossRef]
- Kapoutsis, D.; Kitridis, D.; Sachinis, N.P.; Ploumis, A.; Givissis, P. Absorbable Plates for Isolated Ulnar Diaphyseal Fractures in Adults—A Case Series Study. J. Orthop. Case Rep. 2020, 10, 49–53. [Google Scholar] [PubMed]







| Clinical | Wound Redness or Fluctuant Swelling or Wound Drainage |
|---|---|
| Laboratory | WBC > 15 × 109/L, ESR > 3 mm/h, and CRP > 0.15 mg/dL (at least two out of three) |
| Histological | Nonspecific inflammatory reaction with numerous polymeric particles (birefringent under polarized light) phagocytosed by macrophages and giant cells, negative cultures, and Gram stain |
| Group A Titanium Implants | Group B Absorbable Implants | ||
|---|---|---|---|
| n | 30 | 30 | |
| Infection (%) | 11 (36.7%) | 4 (13.3%) | p a = 0.04 |
| CRP (mg/dL) | ||||
| Pre-op | 3 weeks | 6 weeks | 16 weeks | |
| Healthy animals (n = 40) | 0.104 (0.016) | 0.112 (0.019) | 0.110 (0.019) | 0.109 (0.020) |
| Infection (n = 15) | 0.101 (0.004) | 0.154 (0.036) | 0.160 (0.038) | 0.158 (0.026) |
| Foreign-body reaction (n = 5) | 0.106 (0.009) | 0.160 (0.036) | 0.165 (0.038) | 0.151 (0.035) |
| p = 0.18 a | p < 0.01 a | p < 0.01 a | p < 0.01 a | |
| ESR (mm/h) | ||||
| Pre-op | 3 weeks | 6 weeks | 16 weeks | |
| Healthy animals (n = 40) | 1.68 (0.62) | 9.48 (3.19) | 7.28 (4.42) | 5.53 (3.8) |
| Infection (n = 15) | 1.73 (0.78) | 16.1 (2.85) | 17.5 (3.34) | 17.9 (3.48) |
| Foreign-body reaction (n = 5) | 1.9 (0.22) | 19.6 (6.73) | 18 (3.81) | 18.8 (3.49) |
| p = 0.39 a | p < 0.01 a | p < 0.01 a | p < 0.01 a | |
Disclaimer/Publisher’s Note: The statements, opinions and data contained in all publications are solely those of the individual author(s) and contributor(s) and not of MDPI and/or the editor(s). MDPI and/or the editor(s) disclaim responsibility for any injury to people or property resulting from any ideas, methods, instructions or products referred to in the content. |
© 2023 by the authors. Licensee MDPI, Basel, Switzerland. This article is an open access article distributed under the terms and conditions of the Creative Commons Attribution (CC BY) license (https://creativecommons.org/licenses/by/4.0/).
Share and Cite
Kitridis, D.; Savvidis, P.; Cheva, A.; Papalois, A.; Givissis, P.; Chalidis, B. Are Absorbable Plates More Resistant to Infection Than Titanium Implants? An Experimental Pre-Clinical Trial in Rabbits. J. Funct. Biomater. 2023, 14, 498. https://doi.org/10.3390/jfb14100498
Kitridis D, Savvidis P, Cheva A, Papalois A, Givissis P, Chalidis B. Are Absorbable Plates More Resistant to Infection Than Titanium Implants? An Experimental Pre-Clinical Trial in Rabbits. Journal of Functional Biomaterials. 2023; 14(10):498. https://doi.org/10.3390/jfb14100498
Chicago/Turabian StyleKitridis, Dimitrios, Panagiotis Savvidis, Angeliki Cheva, Apostolos Papalois, Panagiotis Givissis, and Byron Chalidis. 2023. "Are Absorbable Plates More Resistant to Infection Than Titanium Implants? An Experimental Pre-Clinical Trial in Rabbits" Journal of Functional Biomaterials 14, no. 10: 498. https://doi.org/10.3390/jfb14100498
APA StyleKitridis, D., Savvidis, P., Cheva, A., Papalois, A., Givissis, P., & Chalidis, B. (2023). Are Absorbable Plates More Resistant to Infection Than Titanium Implants? An Experimental Pre-Clinical Trial in Rabbits. Journal of Functional Biomaterials, 14(10), 498. https://doi.org/10.3390/jfb14100498

