Development and Physicochemical Characterization of Eugenia brejoensis Essential Oil-Doped Dental Adhesives with Antimicrobial Action towards Streptococcus mutans
Abstract
1. Introduction
2. Results
2.1. EBEO Has Antibacterial Activity against Streptococcus mutans
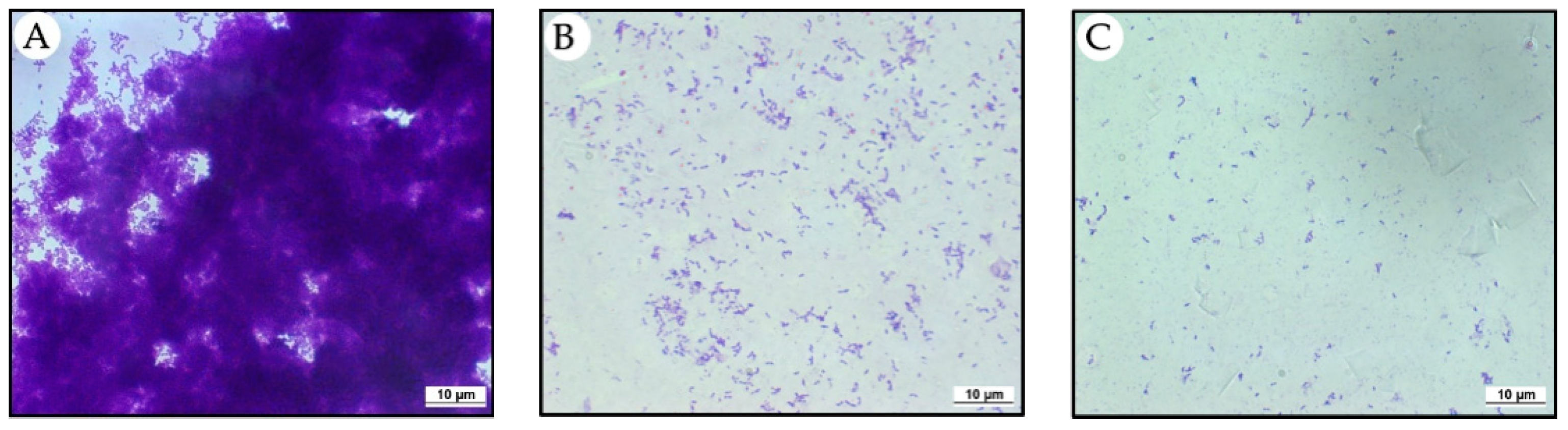
2.2. EBEO Inhibits the Formation of Streptococcus mutans Biofilm
2.3. EBEO Is Non-Toxic towards Tenebrio molitor Larvae
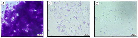
2.4. Inhibition of Streptococcus mutans Biofilm Formation on EBEO-Coated Resin Discs
2.5. Flexural Strength (FS) and Elastic Modulus (E)
2.6. Degree of Conversion and Maximum Rate of Polymerization
3. Discussion
4. Materials and Methods
4.1. Essential Oil Obtention
4.2. Bacterial Suspension
4.3. Minimum Inhibitory Concentration (MIC) and Minimum Bactericidal Concentration (MBC)
4.4. Anti-Biofilm Assay on Circular Coverslip
- Control Group: S. mutans + BHI + 1% Glucose (CON);
- Group 2: S mutans + BHI + 1% Glucose + EBEO in MIC (EBEO 62.5);
- Group 3: S. mutans + BHI + 1% Glucose + EBEO 10×MIC (EBEO/625).
4.5. Toxicity in Tenebrio molitor Larvae
4.6. Adhesive Formulation
4.7. Inhibition of Streptococcus mutans Biofilm Formation on EBEO-coated Resin Discs
- Control Group: RCD without adhesive (CON);
- Group 2: RCD + adhesive (ADH);
- Group 3: RCD + adhesive with EBEO at MIC (ADH/EBEO/62.5);
- Group 4: RCD + adhesive with EBEO at 10×MIC (ADH/EBEO/625).
4.8. Flexural Strength (FS) and Elastic Modulus (E)
4.9. Degree of Conversion and Maximum Rate of Polymerization
5. Conclusions
Author Contributions
Funding
Institutional Review Board Statement
Informed Consent Statement
Data Availability Statement
Acknowledgments
Conflicts of Interest
Sample Availability
References
- Valm, A.M. The Structure of Dental Plaque Microbial Communities in the Transition from Health to Dental Caries and Periodontal Disease. J. Mol. Biol. 2019, 431, 2957–2969. [Google Scholar] [CrossRef] [PubMed]
- Askar, H.; Krois, J.; Göstemeyer, G.; Bottenberg, P.; Zero, D.; Banerjee, A.; Schwendicke, F. Secondary caries: What is it, and how it can be controlled, detected, and managed? Clin. Oral Investig. 2020, 24, 1869–1876. [Google Scholar] [CrossRef] [PubMed]
- Meyer, F.; Enax, J.; Epple, M.; Amaechi, B.; Simader, B. Cariogenic Biofilms: Development, Properties, and Biomimetic Preventive Agents. Dent. J. 2021, 9, 88. [Google Scholar] [CrossRef] [PubMed]
- Moraes, G.S.; Cachoeira, V.S.; Alves, F.M.C.; Kiratcz, F.; Albach, T.; Bueno, M.G.; Neppelenbroek, K.H.; Urban, V.M. Is there an optimal method to detach Candida albicans biofilm from dental materials? J. Med. Microbiol. 2021, 70, 001436. [Google Scholar] [CrossRef]
- Hardan, L.; Bourgi, R.; Cuevas-Suárez, C.; Zarow, M.; Kharouf, N.; Mancino, D.; Villares, C.; Skaba, D.; Lukomska-Szymanska, M. The Bond Strength and Antibacterial Activity of the Universal Dentin Bonding System: A Systematic Review and Meta-Analysis. Microorganisms 2021, 9, 1230. [Google Scholar] [CrossRef]
- Lemos, J.A.; Burne, R.A. A model of efficiency: Stress tolerance by Streptococcus mutans. Microbiology 2008, 154, 3247–3255. [Google Scholar] [CrossRef]
- Martignon, S.; Roncalli, A.G.; Alvarez, E.; Aránguiz, V.; Feldens, C.A.; Buzalaf, M.A.R. Risk factors for dental caries in Latin American and Caribbean countries. Braz. Oral Res. 2021, 35, e053. [Google Scholar] [CrossRef]
- Bowen, W.H.; Koo, H. Biology of Streptococcus mutans-Derived Glucosyltransferases: Role in Extracellular Matrix Formation of Cariogenic Biofilms. Caries Res. 2011, 45, 69–86. [Google Scholar] [CrossRef]
- Lemos, J.A.; Palmer, S.R.; Zeng, L.; Wen, Z.T.; Kajfasz, J.K.; Freires, I.A.; Abranches, J.; Brady, L.J. The Biology of Streptococcus mutans. Microbiol. Spectr. 2019, 7. [Google Scholar] [CrossRef]
- Wu, R.; Tao, Y.; Cao, Y.; Zhou, Y.; Lin, H. Streptococcus mutans Membrane Vesicles Harboring Glucosyltransferases Augment Candida albicans Biofilm Development. Front. Microbiol. 2020, 11, 581184. [Google Scholar] [CrossRef]
- Abranches, J.; Miller, J.H.; Martinez, A.R.; Simpson-Haidaris, P.J.; Burne, R.A.; Lemos, J.A. The Collagen-Binding Protein Cnm Is Required for Streptococcus mutans Adherence to and Intracellular Invasion of Human Coronary Artery Endothelial Cells. Infect. Immun. 2011, 79, 2277–2284. [Google Scholar] [CrossRef]
- Kajfasz, J.K.; Rivera-Ramos, I.; Abranches, J.; Martinez, A.R.; Rosalen, P.L.; Derr, A.M.; Quivey, R.G.; Lemos, J.A. Two Spx Proteins Modulate Stress Tolerance, Survival, and Virulence in Streptococcus mutans. J. Bacteriol. 2010, 192, 2546–2556. [Google Scholar] [CrossRef] [PubMed]
- Ferracane, J.L. Resin-based composite performance: Are there some things we can’t predict? Dent. Mater. 2013, 29, 51–58. [Google Scholar] [CrossRef] [PubMed]
- Yaghmoor, R.B.; Xia, W.; Ashley, P.; Allan, E.; Young, A.M. Effect of Novel Antibacterial Composites on Bacterial Biofilms. J. Funct. Biomater. 2020, 11, 55. [Google Scholar] [CrossRef] [PubMed]
- Lygidakis, N.N.; Allan, E.; Xia, W.; Ashley, P.F.; Young, A.M. Early Polylysine Release from Dental Composites and Its Effects on Planktonic Streptococcus mutans Growth. J. Funct. Biomater. 2020, 11, 53. [Google Scholar] [CrossRef]
- Andre, C.; Chan, D.C.; Giannini, M. Antibacterial-containing dental adhesives’ effects on oral pathogens and on Streptococcus mutans biofilm: Current perspectives. Am. J. Dent. 2018, 31, 37B–41B. [Google Scholar]
- Cocco, A.R.; Rosa, W.L.D.O.D.; da Silva, A.F.; Lund, R.G.; Piva, E. A systematic review about antibacterial monomers used in dental adhesive systems: Current status and further prospects. Dent. Mater. 2015, 31, 1345–1362. [Google Scholar] [CrossRef]
- Freitas, P.H.; André, C.B.; Fronza, B.M.; Giannini, M.; Rosalen, P.L.; Consani, S.; França, R. Physicochemical properties, metalloproteinases inhibition, and antibiofilm activity of doxycycline-doped dental adhesive. J. Dent. 2021, 104, 103550. [Google Scholar] [CrossRef]
- Makvandi, P.; Jamaledin, R.; Jabbari, M.; Nikfarjam, N.; Borzacchiello, A. Antibacterial quaternary ammonium compounds in dental materials: A systematic review. Dent. Mater. 2018, 34, 851–867. [Google Scholar] [CrossRef]
- Boaro, L.C.C.; Campos, L.M.; Varca, G.H.C.; dos Santos, T.M.R.; Marques, P.A.; Sugii, M.M.; Saldanha, N.R.; Cogo-Müller, K.; Brandt, W.C.; Braga, R.R.; et al. Antibacterial resin-based composite containing chlorhexidine for dental applications. Dent. Mater. 2019, 35, 909–918. [Google Scholar] [CrossRef]
- André, C.B.; Rosalen, P.L.; Giannini, M.; Bueno-Silva, B.; Pfeifer, C.S.; Ferracane, J.L. Incorporation of Apigenin and tt-Farnesol into dental composites to modulate the Streptococcus mutans virulence. Dent. Mater. 2021, 37, e201–e212. [Google Scholar] [CrossRef]
- André, C.B.; Rosalen, P.L.; Galvão, L.C.D.C.; Fronza, B.M.; Ambrosano, G.M.B.; Ferracane, J.L.; Giannini, M. Modulation of Streptococcus mutans virulence by dental adhesives containing anti-caries agents. Dent. Mater. 2017, 33, 1084–1092. [Google Scholar] [CrossRef]
- Peralta, S.L.; de Carvalho, P.H.A.; Ccahuana-Vásquez, R.A.; de Pereira, C.M.P.; Cury, J.A.; Piva, E.; Lund, R.G. Cytotoxicity, genotoxicity and antibiofilm activity on Streptococcus mutans of an experimental self-etching adhesive system containing natural Butia capitata oil. Int. J. Adhes. Adhes. 2017, 78, 95–101. [Google Scholar] [CrossRef]
- Cocco, A.R.; Maske, T.T.; Lund, R.G.; Moraes, R.R. The antibacterial and physicochemical properties of a one-step dental adhesive modified with potential antimicrobial agents. Int. J. Adhes. Adhes. 2016, 71, 74–80. [Google Scholar] [CrossRef]
- Peralta, S.; Carvalho, P.H.; van de Sande, F.; de Pereira, C.M.P.; Piva, E.; Lund, R.G. Self-etching dental adhesive containing a natural essential oil: Anti-biofouling performance and mechanical properties. Biofouling 2013, 29, 345–355. [Google Scholar] [CrossRef]
- Mittal, R.P.; Rana, A.; Jaitak, V. Essential Oils: An Impending Substitute of Synthetic Antimicrobial Agents to Overcome Antimicrobial Resistance. Curr. Drug Targets 2019, 20, 605–624. [Google Scholar] [CrossRef]
- Spengler, G.; Gajdács, M.; Donadu, M.G.; Usai, M.; Marchetti, M.; Ferrari, M.; Mazzarello, V.; Zanetti, S.; Nagy, F.; Kovács, R. Evaluation of the Antimicrobial and Antivirulent Potential of Essential Oils Isolated from Juniperus oxycedrus L. ssp. macrocarpa Aerial Parts. Microorganisms 2022, 10, 758. [Google Scholar] [CrossRef]
- Galvão, L.C.D.C.; Furletti, V.F.; Bersan, S.M.F.; da Cunha, M.G.; Ruiz, A.L.T.G.; de Carvalho, J.E.; Sartoratto, A.; Rehder, V.L.G.; Figueira, G.M.; Duarte, M.C.T.; et al. Antimicrobial Activity of Essential Oils against Streptococcus mutansand their Antiproliferative Effects. Evid.-Based Complement. Altern. Med. 2012, 2012, 751435. [Google Scholar] [CrossRef]
- Da Costa, J.S.; Cruz, E.D.N.S.D.; Setzer, W.N.; Da Silva, J.K.D.R.; Maia, J.G.S.; Figueiredo, P.L.B. Essentials Oils from Brazilian Eugenia and Syzygium Species and Their Biological Activities. Biomolecules 2020, 10, 1155. [Google Scholar] [CrossRef]
- Mazine, F.F.; Souza, V.C. A new species of Eugenia (Myrtaceae) from north-eastern Brazil. Bot. J. Linn. Soc. 2008, 158, 775–777. [Google Scholar] [CrossRef][Green Version]
- Mendes, J.F.; Martins, H.H.A.; Otoni, C.G.; Santana, N.A.; Silva, R.C.S.; Da Silva, A.G.; Silva, M.V.; Correia, M.T.S.; Machado, G.; Pinheiro, A.C.M.; et al. Chemical composition and antibacterial activity of Eugenia brejoensis essential oil nanoemulsions against Pseudomonas fluorescens. LWT 2018, 93, 659–664. [Google Scholar] [CrossRef]
- Filho, C.M.B.; da Silva, L.C.N.; da Silva, M.V.; Løbner-Olesen, A.; Struve, C.; Krogfelt, K.A.; Correia, M.T.D.S.; Oliva, M.L.V. Antimicrobial and Antivirulence Action of Eugenia brejoensis Essential Oil in vitro and in vivo Invertebrate Models. Front. Microbiol. 2020, 11, 424. [Google Scholar] [CrossRef] [PubMed]
- Da Silva, A.G.; Alves, R.C.C.; Filho, C.M.B.; Bezerra-Silva, P.C.; Dos Santos, L.M.M.; Foglio, M.A.; Navarro, D.M.D.A.F.; Da Silva, M.V.; Correia, M.T.D.S. Chemical Composition and Larvicidal Activity of the Essential Oil from Leaves of Eugenia brejoensis Mazine (Myrtaceae). J. Essent. Oil Bear. Plants 2015, 18, 1441–1447. [Google Scholar] [CrossRef]
- Aligiannis, N.; Kalpoutzakis, E.; Mitaku, S.; Chinou, I.B. Composition and Antimicrobial Activity of the Essential Oils of Two Origanum Species. J. Agric. Food Chem. 2001, 49, 4168–4170. [Google Scholar] [CrossRef]
- Fonseca, B.M.; Barcellos, D.C.; Da Silva, T.M.; Borges, A.L.S.; Cavalcanti, B.D.N.; Prakki, A.; De Oliveira, H.P.M.; Gonçalves, S.E.D.P. Mechanical-physicochemical properties and biocompatibility of catechin-incorporated adhesive resins. J. Appl. Oral Sci. 2019, 27. [Google Scholar] [CrossRef]
- Ebenaducci, T.; Sardi, J.D.C.O.; Lourencetti, N.M.S.; Scorzoni, L.; Egullo, F.P.; Erossi, S.A.; Derissi, J.B.; Prata, M.C.D.A.; Efusco-Almeida, A.M.; Mendes-Giannini, M.J.S. Virulence of Cryptococcus sp. Biofilms In Vitro and In Vivo using Galleria mellonella as an Alternative Model. Front. Microbiol. 2016, 7, 290. [Google Scholar] [CrossRef]
- Ignasiak, K.; Maxwell, A. Galleria mellonella (greater wax moth) larvae as a model for antibiotic susceptibility testing and acute toxicity trials. BMC Res. Notes 2017, 10, 428. [Google Scholar] [CrossRef]
- Yoo, H.-J.; Jwa, S. Inhibitory effects of β-caryophyllene on Streptococcus mutans biofilm. Arch. Oral Biol. 2018, 88, 42–46. [Google Scholar] [CrossRef]
- Kubo, I.; Muroi, H.; Kubo, A. Antibacterial activity of long-chain alcohols against Streptococcus mutans. J. Agric. Food Chem. 1993, 41, 2447–2450. [Google Scholar] [CrossRef]
- Dimou, I.; Dritsas, S.; Aggelopoulou, P.; Vassilatou, K.; Damianaki, S.; Giaouris, E. Development of a herbal mouthwash containing a mixture of essential oils and plant extracts and in vitro testing of its antimicrobial efficiency against the planktonic and biofilm-enclosed cariogenic bacterium Streptococcus mutans. Biofouling 2021, 37, 397–409. [Google Scholar] [CrossRef]
- De Oliveira Carvalho, I.; Purgato, G.A.; Píccolo, M.S.; Pizziolo, V.R.; Coelho, R.R.; Diaz-Muñoz, G.; Diaz, M.A.N. In vitro anticariogenic and antibiofilm activities of toothpastes formulated with essential oils. Arch. Oral Biol. 2020, 117, 104834. [Google Scholar] [CrossRef]
- Lapinska, B.; Szram, A.; Zarzycka, B.; Grzegorczyk, J.; Hardan, L.; Sokolowski, J.; Lukomska-Szymanska, M. An In Vitro Study on the Antimicrobial Properties of Essential Oil Modified Resin Composite against Oral Pathogens. Materials 2020, 13, 4383. [Google Scholar] [CrossRef] [PubMed]
- Almaroof, A.; Niazi, S.A.; Rojo, L.; Mannocci, F.; Deb, S. Evaluation of dental adhesive systems incorporating an antibacterial monomer eugenyl methacrylate (EgMA) for endodontic restorations. Dent. Mater. 2017, 33, e239–e254. [Google Scholar] [CrossRef]
- Dauvillier, B.S.; Feilzer, A.J.; De Gee, A.J.; Davidson, C.L. Visco-elastic Parameters of Dental Restorative Materials during Setting. J. Dent. Res. 2000, 79, 818–823. [Google Scholar] [CrossRef]
- Amorim, E.A.D.F.; Castro, E.J.M.; Da Souza, S.V.; Alves, M.S.; Dias, L.R.L.; Melo, M.H.F.; Da Silva, I.M.A.; Villis, P.C.M.; Bonfim, M.R.Q.; Falcai, A.; et al. Antimicrobial Potential of Streptomyces ansochromogenes (PB3) Isolated From a Plant Native to the Amazon Against Pseudomonas aeruginosa. Front. Microbiol. 2020, 11, 574693. [Google Scholar] [CrossRef]
- Kim, S.; Song, M.; Roh, B.-D.; Park, S.-H.; Park, J.-W. Inhibition of Streptococcus mutans biofilm formation on composite resins containing ursolic acid. Restor. Dent. Endod. 2013, 38, 65–72. [Google Scholar] [CrossRef]



| Groups | FS (MPa) | E (GPa) |
|---|---|---|
| Adhesive (control group) | 40.9 (±5.3) a | 0.16 (±0.01) a |
| Adhesive + EBEO (62.5 µg/mL) | 51.8 (±6.6) b | 0.20 (±0.02) b |
| Adhesive + EBEO (625 µg/mL) | 42.3 (±3.4) a | 0.16 (±0.01) a |
| Groups | DC (%) | Rpmax (%/s) |
|---|---|---|
| Adhesive (control group) | 94.6 (±3.1) a | 16.4 (1.5) a |
| Adhesive + EBEO (62.5 µg/mL) | 94.5 (2.2) a | 18.6 (2.3) a |
| Adhesive + EBEO (625 µg/mL) | 94.8 (0.5) a | 18.9 (0.9) a |
| Components | |
|---|---|
| Ambar APS | Urethane dimethacrylate glycerol dimethacrylate. |
| 2-Hidroxyethylmethacrylate | |
| Ethanol | |
| 10-Methacryloyoxydecyl dihydrogen phosphate | |
| Ethyl 4-(Dimethylamino) Benzoate | |
| Adhesive monomer (under patent protection) | |
| Antioxidant (under patent protection) | |
| Camphorquinone |
Publisher’s Note: MDPI stays neutral with regard to jurisdictional claims in published maps and institutional affiliations. |
© 2022 by the authors. Licensee MDPI, Basel, Switzerland. This article is an open access article distributed under the terms and conditions of the Creative Commons Attribution (CC BY) license (https://creativecommons.org/licenses/by/4.0/).
Share and Cite
Pereira, M.L.; Santos, D.C.P.; Soares Júnior, C.A.M.; Bazan, T.A.X.N.; Bezerra Filho, C.M.; Silva, M.V.d.; Correia, M.T.d.S.; Cardenas, A.F.M.; Siqueira, F.S.F.d.; Carvalho, E.M.; et al. Development and Physicochemical Characterization of Eugenia brejoensis Essential Oil-Doped Dental Adhesives with Antimicrobial Action towards Streptococcus mutans. J. Funct. Biomater. 2022, 13, 149. https://doi.org/10.3390/jfb13030149
Pereira ML, Santos DCP, Soares Júnior CAM, Bazan TAXN, Bezerra Filho CM, Silva MVd, Correia MTdS, Cardenas AFM, Siqueira FSFd, Carvalho EM, et al. Development and Physicochemical Characterization of Eugenia brejoensis Essential Oil-Doped Dental Adhesives with Antimicrobial Action towards Streptococcus mutans. Journal of Functional Biomaterials. 2022; 13(3):149. https://doi.org/10.3390/jfb13030149
Chicago/Turabian StylePereira, Maury Luz, Danyelle Cristina Pereira Santos, Carlos Alberto Mendes Soares Júnior, Tamyris Alicely Xavier Nogueira Bazan, Clovis Macêdo Bezerra Filho, Márcia Vanusa da Silva, Maria Tereza dos Santos Correia, Andres Felipe Millan Cardenas, Fabiana Suelen Figuerêdo de Siqueira, Edilausson Moreno Carvalho, and et al. 2022. "Development and Physicochemical Characterization of Eugenia brejoensis Essential Oil-Doped Dental Adhesives with Antimicrobial Action towards Streptococcus mutans" Journal of Functional Biomaterials 13, no. 3: 149. https://doi.org/10.3390/jfb13030149
APA StylePereira, M. L., Santos, D. C. P., Soares Júnior, C. A. M., Bazan, T. A. X. N., Bezerra Filho, C. M., Silva, M. V. d., Correia, M. T. d. S., Cardenas, A. F. M., Siqueira, F. S. F. d., Carvalho, E. M., Fronza, B. M., André, C. B., Nascimento da Silva, L. C., & Galvão, L. C. d. C. (2022). Development and Physicochemical Characterization of Eugenia brejoensis Essential Oil-Doped Dental Adhesives with Antimicrobial Action towards Streptococcus mutans. Journal of Functional Biomaterials, 13(3), 149. https://doi.org/10.3390/jfb13030149

