Hydrothermal Synthesis and In Vivo Fluorescent Bioimaging Application of Eu3+/Gd3+ Co-Doped Fluoroapatite Nanocrystals
Abstract
:1. Introduction
2. Experimental Section
2.1. Materials
2.2. Preparation of Eu3+/Gd3+ Co-Doped FAP Nanocrystals
2.3. Characterization of Samples
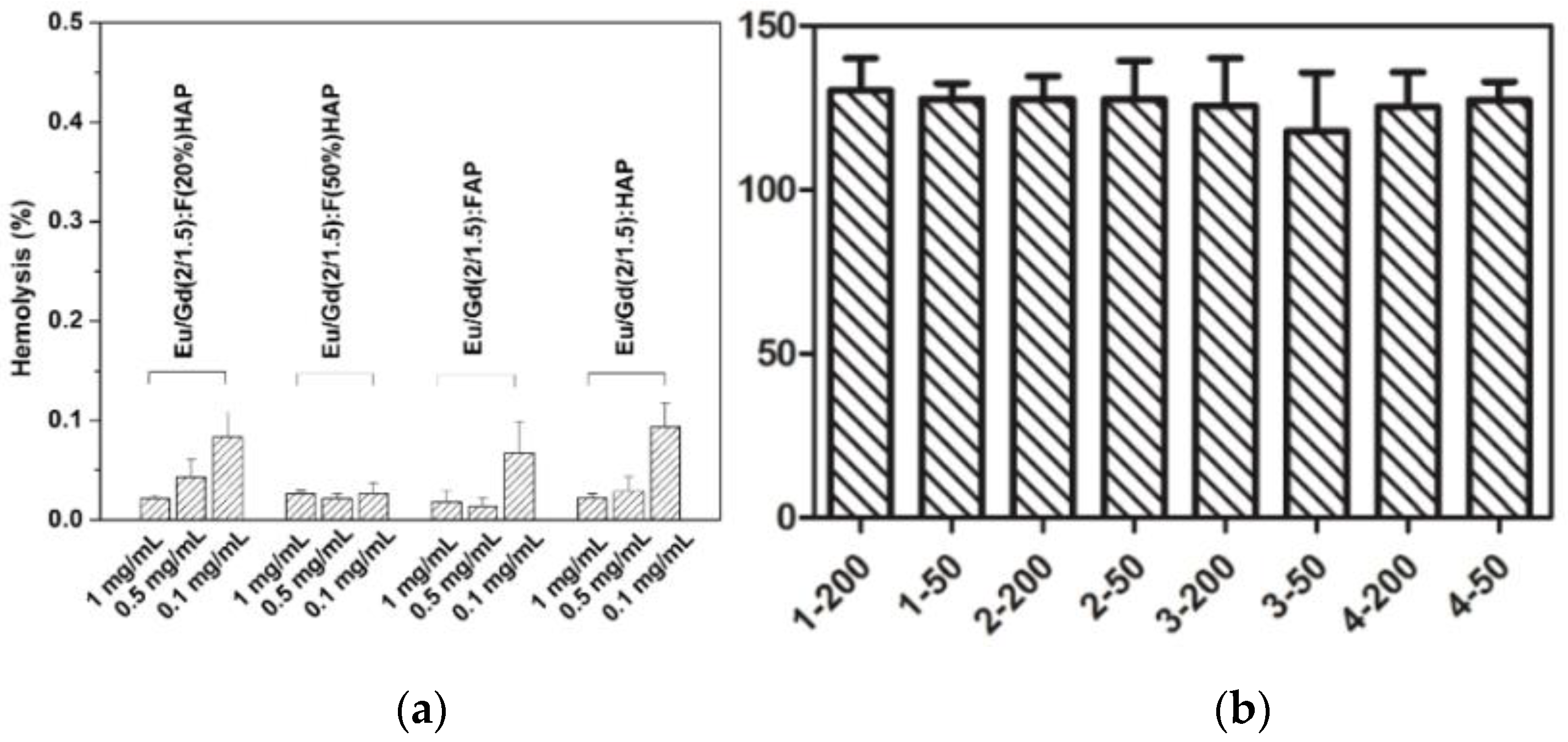
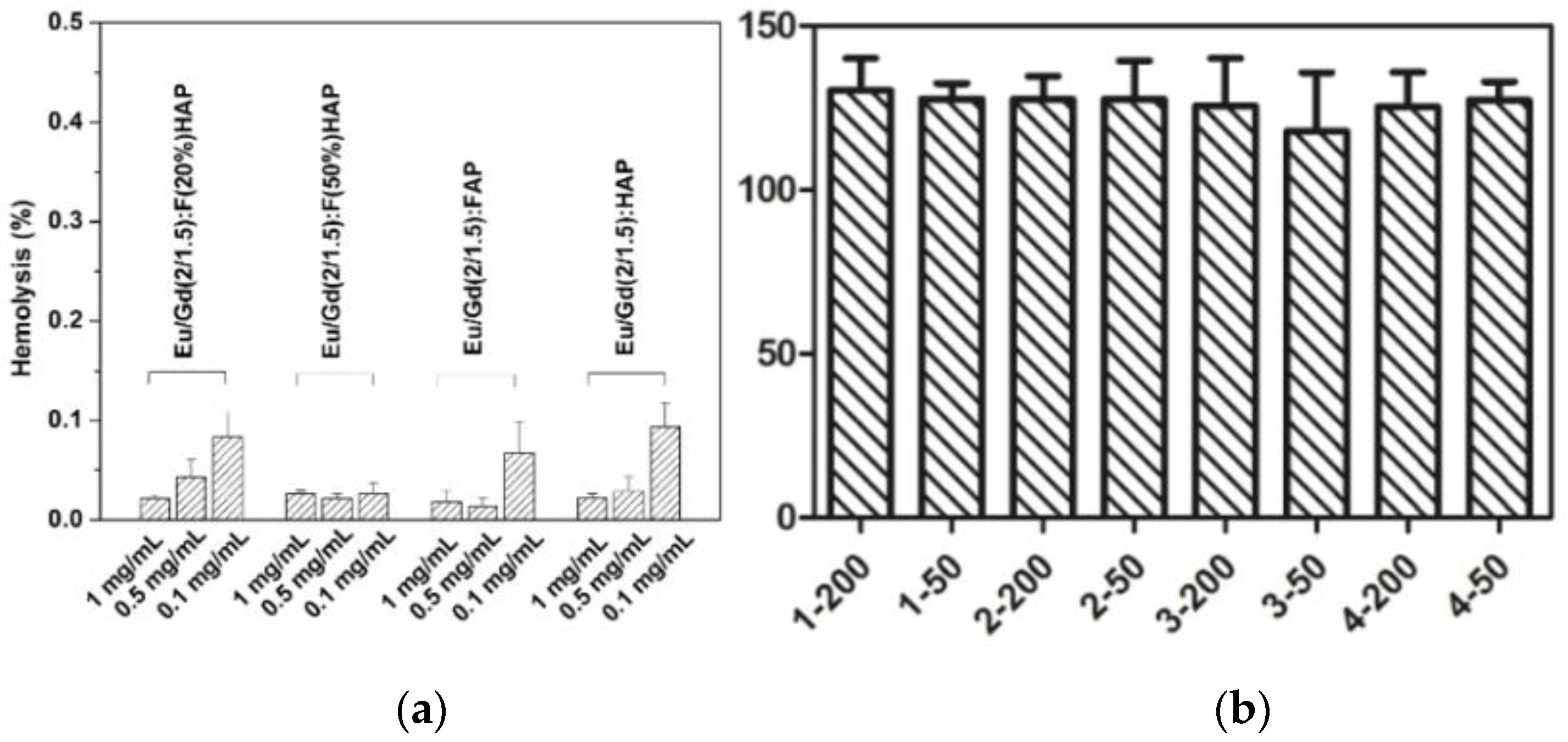
2.4. Hemolysis and Cytotoxicity Evaluation
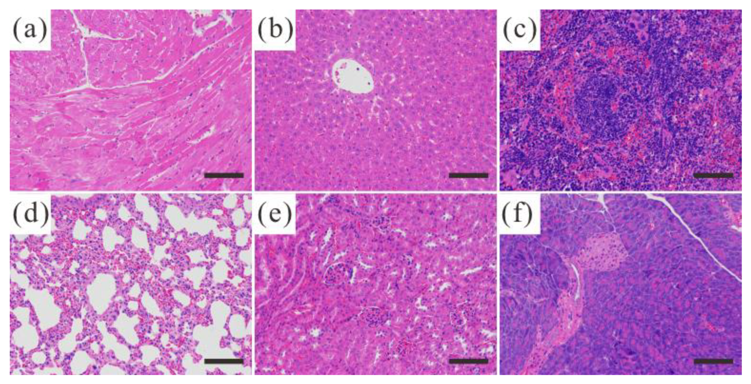
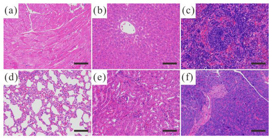
2.5. In Vivo Bioimaging
3. Results and Discussion
3.1. Characterization of Eu3+/Gd3+ Co-Doped Fluoroapatite
3.2. Fluorescence Properties
3.3. Biosafety Evaluation
3.4. In Vivo Imaging
4. Conclusions
Author Contributions
Funding
Institutional Review Board Statement
Informed Consent Statement
Data Availability Statement
Conflicts of Interest
References
- Owens, C.L.; Nash, G.R.; Hadler, K.; Fitzpatrick, R.S.; Anderson, C.G.; Wall, F. Apatite enrichment by rare earth elements: A review of the effects of surface properties. Adv. Colloid Interface Sci. 2019, 265, 14–28. [Google Scholar] [CrossRef]
- Ruan, Z.Z.; Zhang, X.J.; Xing, Q.G.; Han, Y.C. Preparation and characterization of magnetic Gd3+ doped hydroxyapatite nanoparticles. IOP Conf. Ser. Mater. Sci. Eng. 2019, 678, 012006. [Google Scholar] [CrossRef]
- Demir, B.; Derince, D.; Dayioglu, T.; Koroglu, L.; Karacaoglu, E.; Uz, V.; Ayas, E. Effects of doping content and crystallite size on luminescence properties of Eu3+ doped fluorapatites obtained from natural waste. Ceram. Int. 2021, 47, 34657–34666. [Google Scholar] [CrossRef]
- Leroy, N.; Brès, E.F. Structure and substitutions in fluorapatite. Eur. Cells Mater. 2001, 2, 36. [Google Scholar] [CrossRef]
- Kannan, S.; Rebelo, A.; Lemos, A.F.; Barba, A.; Ferreira, J.M.F. Synthesis and mechanical behaviour of chlorapatite and chlorapatite/β-TCP composites. J. Eur. Ceram. Soc. 2007, 27, 2287–2294. [Google Scholar] [CrossRef]
- Pajor, K.; Pajchel, L.; Kolmas, J. Hydroxyapatite and fluorapatite in conservative dentistry and oral implantology—A review. Materials 2019, 12, 2683. [Google Scholar] [CrossRef] [PubMed] [Green Version]
- Chen, F.; Huang, P.; Zhu, Y.J.; Wu, J.; Cui, D.X. Multifunctional Eu3+/Gd3+ dual-doped calcium phosphate vesicle-like nanospheres for sustained drug release and imaging. Biomaterials 2012, 33, 6447–6455. [Google Scholar] [CrossRef] [PubMed]
- Fan, Q.; Cui, X.; Guo, H.; Xu, Y.; Peng, B. Application of rare earth-doped nanoparticles in biological imaging and tumor treatment. J. Biomater. Appl. 2020, 35, 237–263. [Google Scholar] [CrossRef] [PubMed]
- Xing, Q.; Zhang, X.; Wu, D.; Han, Y.; Wick Ra Maratne, M.N.; Dai, H.; Wang, X. Ultrasound-assisted synthesis and characterization of heparin-coated Eu3+ doped hydroxyapatite luminescent nanoparticles. Colloids Interface Sci. Commun. 2019, 29, 17–25. [Google Scholar] [CrossRef]
- Mirhosseini, M.M.; Haddadi-Asl, V.; Zargarian, S.S. Fabrication and characterization of polymer–ceramic nanocomposites containing pluronic F127 immobilized on hydroxyapatite nanoparticles. RSC Adv. 2016, 6, 80564–80575. [Google Scholar] [CrossRef]
- Mandler, D.; Geuli, O.; Metoki, N.; Eliaz, N.; Zada, T. Synthesis, coating, and drug-release of hydroxyapatite nanoparticles loaded with antibiotics. J. Mater. Chem. B 2017, 5, 7819–7830. [Google Scholar]
- Qiao, P.; Wang, J.; Xie, Q.; Li, F.; Xu, T. Injectable calcium phosphate-alginate-chitosan microencapsulated MC3T3-E1 cell paste for bone tissue engineering in vivo. Mater. Sci. Eng. C Mater. Biol. Appl. 2013, 33, 4633–4639. [Google Scholar] [CrossRef]
- Gopi, D.; Ramya, S.; Rajeswari, D.; Karthikeyan, P.; Kavitha, L. Strontium, cerium co-substituted hydroxyapatite nanoparticles: Synthesis, characterization, antibacterial activity towards prokaryotic strains and in vitro studies. Colloids Surf. A Physicochem. Eng. Asp. 2014, 451, 172–180. [Google Scholar] [CrossRef]
- Neacsu, I.A.; Stoica, A.E.; Vasile, B.S.; Andronescu, E. Luminescent hydroxyapatite doped with rare earth elements for biomedical applications. Nanomaterials 2019, 9, 239. [Google Scholar] [CrossRef] [Green Version]
- Xie, Y.; He, W.; Li, F.; Perera, T.S.H.; Gan, L.; Han, Y.; Wang, X.; Li, S.; Dai, H. Luminescence enhanced Eu3+/Gd3+ co-doped hydroxyapatite nanocrystals as imaging agents In vitro and In vivo. ACS Appl. Mater. Interfaces 2016, 8, 10212–10219. [Google Scholar] [CrossRef]
- Rodríguez-Lorenzo, L.; Hart, J.N.; Gross, K.A. Influence of fluorine in the synthesis of apatites. Synthesis of solid solutions of hydroxy-fluorapatite. Biomaterials 2003, 24, 3777–3785. [Google Scholar] [CrossRef]
- Sobierajska, P.; Wiglusz, R.J. Influence of the grain sizes on Stokes and anti-Stokes fluorescence in the Yb3+ and Tb3+ ions co-doped nanocrystalline fluorapatite. J. Alloys Compd. 2019, 785, 808–818. [Google Scholar] [CrossRef]
- Rivas, M.; Valle, L.D.; Turon, P.; Puiggalí, J.; Alemán, C. Influence of the atmosphere conditions in the structure, properties and solubility of fluorine-substituted hydroxyapatites. Mater. Chem. Phys. 2019, 226, 279–289. [Google Scholar] [CrossRef]
- Nikčević, I.; Jokanović, V.; Mitrić, M.; Nedić, Z.; Makovec, D.; Uskoković, D. Mechanochemical synthesis of nanostructured fluorapatite/fluorhydroxyapatite and carbonated fluorapatite/fluorhydroxyapatite. J. Solid State Chem. 2004, 177, 2565–2574. [Google Scholar] [CrossRef]
- Niu, N.; Wang, D.; Huang, S.; Li, C.; He, F.; Gai, S.; Li, X.; Yang, P. Controlled synthesis of luminescent F-substituted strontium hydroxyapatite with hierarchical structures for drug delivery. Crystengcomm 2012, 14, 1744–1752. [Google Scholar] [CrossRef]
- Sun, Y.; Yang, H.; Tao, D. Preparation and characterization of Eu3+-doped fluorapatite nanoparticles by a hydrothermal method. Ceram. Int. 2012, 38, 6937–6941. [Google Scholar] [CrossRef]
- Han, Y.; Wang, X.; Dai, H.; Li, S. Synthesis and luminescence of Eu3+ doped hydroxyapatite nanocrystallines: Effects of calcinations and Eu3+ content. J. Lumin. 2013, 135, 281–287. [Google Scholar] [CrossRef]
- Ignjatovic, N.L.; Mani, L.; Vukovi, M.; Stojanovic, Z.S.; U Skokovi, D.P. Rare-earth (Gd3+,Yb3+/Tm3+, Eu3+) co-doped hydroxyapatite as magnetic, up-conversion and down-conversion materials for multimodal imaging. Sci. Rep. 2019, 9, 16305. [Google Scholar] [CrossRef]
- Li, X.; Zhu, J.; Man, Z.; Ao, Y.; Chen, H. Investigation on the structure and upconversion fluorescence of Yb3+/Ho3+ co-doped fluorapatite crystals for potential biomedical applications. Sci. Rep. 2014, 4, 4446. [Google Scholar] [CrossRef] [PubMed] [Green Version]
- Zhang, H.; Lu, J.; Luo, L.; Zhao, X.; Guo, F.; Xiao, P. Chemical compatibility of rare earth apatite with yttria-stabilized zirconia. J. Eur. Ceram. Soc. 2021, 41, 1995–2001. [Google Scholar] [CrossRef]
- He, W.; Xie, Y.; Xing, Q.; Ni, P.; Han, Y.; Dai, H. Sol-gel synthesis of biocompatible Eu3+/Gd3+ co-doped calcium phosphate nanocrystals for cell bioimaging. J. Lumin. 2017, 192, 902–909. [Google Scholar] [CrossRef]
- Xie, Y.; Perera, T.S.H.; Fang, L.; Han, Y.; Yin, M. Quantitative detection method of hydroxyapatite nanoparticles based on Eu3+ fluorescent labeling in vitro and in vivo. ACS Appl. Mater. Interfaces 2015, 7, 23819. [Google Scholar] [CrossRef]
- Milojkov, D.V.; Silvestre, O.F.; Stanić, V.D.; Janjić, G.V.; Mutavdžić, D.R.; Milanović, M.; Nieder, J.B. Fabrication and characterization of luminescent Pr3+ doped fluorapatite nanocrystals as bioimaging contrast agents. J. Lumin. 2020, 217, 116757. [Google Scholar] [CrossRef]
- Kai, P.; Li, J.; Peng, Z.; Zhang, Q.; Yue, W. Synthesis and luminescent properties of rare earth doped upconversion nano-fluorapatite. In Proceedings of the Tenth International Conference on Information Optics and Photonics, Beijing, China, 7 July 2018. [Google Scholar]
- Hui, J.; Zhang, X.; Zhang, Z.; Wang, S.; Tao, L.; Wei, Y.; Wang, X. Fluoridated HAp:Ln3+ (Ln = Eu or Tb) nanoparticles for cell-imaging. Nanoscale 2012, 4, 6967–6970. [Google Scholar] [CrossRef]
- Zhang, X.J.; Xing, Q.G.; Liao, L.X.; Han, Y.C. Effect of the fluorine substitution for -OH group on the luminescence property of Eu3+ doped hydroxyapatite. Crystals 2020, 10, 191. [Google Scholar] [CrossRef] [Green Version]
- Wiglusz, R.J. Nanostructural materials with rare earth ions: Synthesis, physicochemical characterization, modification and applications. Nanomaterials 2021, 11, 1848. [Google Scholar] [CrossRef]
- Meng, L.Y.; Wang, B.; Ma, M.G.; Lin, K.L. The progress of microwave-assisted hydrothermal method in the synthesis of functional nanomaterials. Mater. Today Chem. 2016, 1–2, 63–83. [Google Scholar] [CrossRef]
- Girija, E.K.; Karthi, S.; Karthickraja, D.; Kumar, G.A.; Sardar, D.K.; Santhosh, C. Synthesis of NIR emitting rare earth doped fluorapatite nanoparticles for bioimaging applications. Curr. Phys. Chem. 2019, 9, 80–93. [Google Scholar] [CrossRef]
- Binnemans, K. Interpretation of europium(III) spectra. Coord. Chem. Rev. 2015, 295, 1–45. [Google Scholar] [CrossRef] [Green Version]
- Hui, Y.; Liu, S.; Zhao, S.; Xu, J.; Zou, B.; Wang, Y.; Zhu, L.; Cao, X. Application of Eu3+ as a fluorescence probe for phase transformation of hydrothermally prepared YSZ nanopowder. J. Eur. Ceram. Soc. 2014, 34, 2465–2474. [Google Scholar] [CrossRef]
- Sandhöfer, B.; Meckel, M.; Delgado-López, J.M.; Patrício, T.; Tampieri, A.; Rösch, F.; Iafisco, M. Synthesis and preliminary in vivo evaluation of well-dispersed biomimetic nanocrystalline apatites labeled with positron emission tomographic imaging agents. ACS Appl. Mater. Interfaces 2015, 7, 10623–10633. [Google Scholar] [CrossRef]
- Liu, Y.; Sun, Y.; Cao, C.; Yang, Y.; Wu, Y.; Ju, D.; Li, F. Long-term biodistribution in vivo and toxicity of radioactive/magnetic hydroxyapatite nanorods. Biomaterials 2014, 35, 3348–3355. [Google Scholar] [CrossRef]
- Qi, C.; Lin, J.; Fu, L.H.; Huang, P. Calcium-based biomaterials for diagnosis, treatment, and theranostics. Chem. Soc. Rev. 2018, 47, 357–403. [Google Scholar] [CrossRef] [PubMed]
- Smith, B.R.; Gambhir, S.S. Nanomaterials for in vivo imaging. Chem. Rev. 2017, 117, 901–986. [Google Scholar] [CrossRef]









Publisher’s Note: MDPI stays neutral with regard to jurisdictional claims in published maps and institutional affiliations. |
© 2022 by the authors. Licensee MDPI, Basel, Switzerland. This article is an open access article distributed under the terms and conditions of the Creative Commons Attribution (CC BY) license (https://creativecommons.org/licenses/by/4.0/).
Share and Cite
Gedara, S.M.K.; Ding, Z.-Y.; Balasooriya, I.L.; Han, Y.; Wickramaratne, M.N. Hydrothermal Synthesis and In Vivo Fluorescent Bioimaging Application of Eu3+/Gd3+ Co-Doped Fluoroapatite Nanocrystals. J. Funct. Biomater. 2022, 13, 108. https://doi.org/10.3390/jfb13030108
Gedara SMK, Ding Z-Y, Balasooriya IL, Han Y, Wickramaratne MN. Hydrothermal Synthesis and In Vivo Fluorescent Bioimaging Application of Eu3+/Gd3+ Co-Doped Fluoroapatite Nanocrystals. Journal of Functional Biomaterials. 2022; 13(3):108. https://doi.org/10.3390/jfb13030108
Chicago/Turabian StyleGedara, Sriyani Menike Korale, Zi-You Ding, Iresha Lakmali Balasooriya, Yingchao Han, and Merita Nirmali Wickramaratne. 2022. "Hydrothermal Synthesis and In Vivo Fluorescent Bioimaging Application of Eu3+/Gd3+ Co-Doped Fluoroapatite Nanocrystals" Journal of Functional Biomaterials 13, no. 3: 108. https://doi.org/10.3390/jfb13030108
APA StyleGedara, S. M. K., Ding, Z.-Y., Balasooriya, I. L., Han, Y., & Wickramaratne, M. N. (2022). Hydrothermal Synthesis and In Vivo Fluorescent Bioimaging Application of Eu3+/Gd3+ Co-Doped Fluoroapatite Nanocrystals. Journal of Functional Biomaterials, 13(3), 108. https://doi.org/10.3390/jfb13030108

