Comparative Analysis of Conventional CNN v’s ImageNet Pretrained ResNet in Medical Image Classification
Abstract
1. Introduction
2. Materials and Methods
2.1. Materials
2.1.1. Cytological Images
2.1.2. Chest X-Rays
2.1.3. MRI Brain Scans
2.1.4. Melanoma Photographs
| Dataset | Modalities | Number of Images | Number of Classes | Image Resolution |
|---|---|---|---|---|
| Melanoma | Photographs | 13,869 | 2 | 224 × 224 |
| Pap smear test | Microscope Photographs | 1652 | 2 | 100 × 120 |
| 4039 | 5 | 100 × 120 | ||
| Pneumonia | 5850 | 2 | 768 × 1024, 500 × 700 | |
| Chest X-rays | 5847 | 2 | 768 × 1024, 500 × 700 | |
| 9203 | 4 | 300 × 400 | ||
| 7924 | 3 | 300 × 400 | ||
| Brain tumors | MRI Brain scans | 7019 | 4 | 300 × 300 |
| 7019 | 2 | 300 × 300 |
2.2. Methods
2.2.1. Custom CNN
| Melanoma | Predicted Value | |
| Actual Value | Malignant | Benign |
| Malignant | TP | FN |
| Benign | FP | TN |
2.2.2. Pretrained ResNets
3. Results
3.1. Model and Data Setup
- A.
- Healthy and viral pneumonia, for which we achieved 97.24% validation accuracy;
- B.
- Healthy and bacterial pneumonia, for which we achieved 97.99% validation accuracy.
- We imposed a random rotation on each training set with angles ranging from −40% of 2*pi to 40% of 2*pi with equal chance. Accuracy dropped to 94.18% and 95.28%, respectively.
- We imposed a random—with a 50% chance—horizontal flip on each training set. Accuracies dropped to 96.28% and 97.53%, respectively.
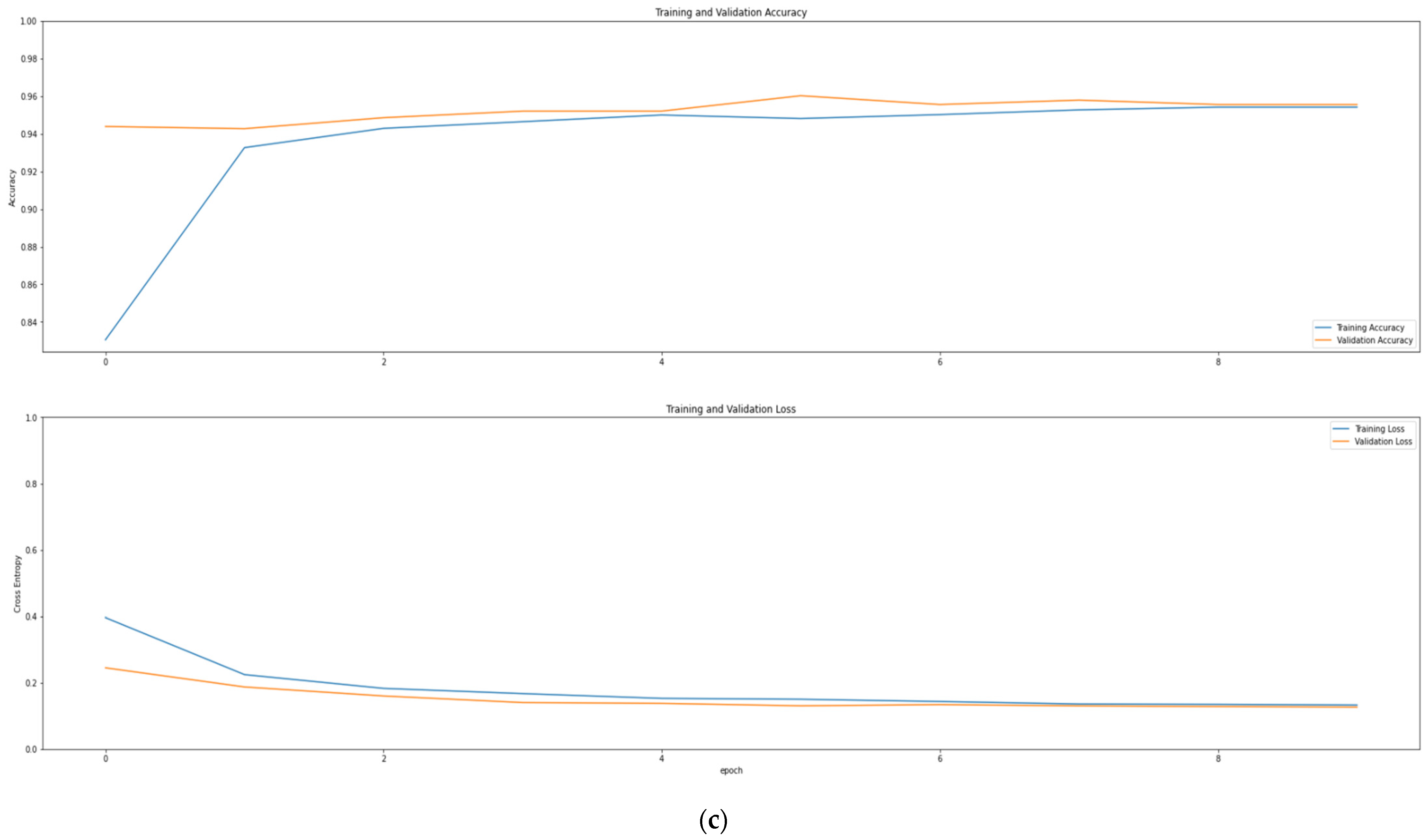
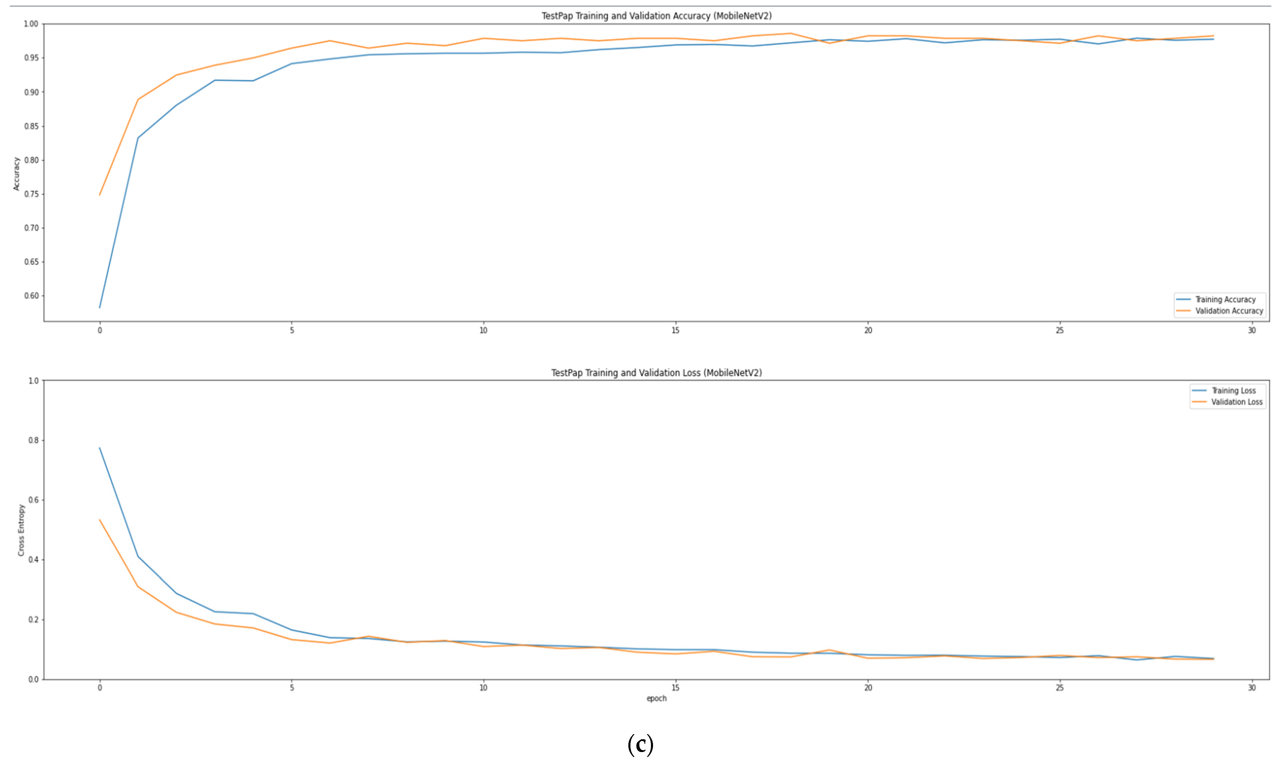
3.2. Model Architecture and Curve Results
3.2.1. Melanoma Classification Model
3.2.2. Adult X-Rays Pneumonia Model
3.2.3. Pediatric X-Rays Pneumonia Model
3.2.4. MRI Brain Scan Tumor Classification Model
3.2.5. Pap Smear Test Model
3.2.6. Fine-Tuning on the Adult Chest X-Rays Dataset
3.3. Model Perfomance
3.4. Computational Needs
4. Discussion
Author Contributions
Funding
Institutional Review Board Statement
Data Availability Statement
Conflicts of Interest
Appendix A. Residual Network Model Architectures






Appendix B. Computer Specifications
References
- Alexander, R.G.; Yazdanie, F.; Waite, S.; Chaudhry, Z.A.; Kolla, S.; Macknik, S.L.; Martinez-Conde, S. Visual Illusions in Radiology: Untrue Perceptions in Medical Images and Their Implications for Diagnostic Accuracy. Front. Neurosci. 2021, 15, 629469. [Google Scholar] [CrossRef] [PubMed]
- Waite, S.; Scott, J.; Gale, B.; Fuchs, T.; Kolla, S.; Reede, D. Interpretive Error in Radiology. AJR Am. J. Roentgenol. 2017, 208, 739–749. [Google Scholar] [CrossRef] [PubMed]
- Mall, P.K.; Singh, P.K.; Srivastav, S.; Narayan, V.; Paprzycki, M.; Jaworska, T.; Ganzha, M. A comprehensive review of deep neural networks for medical image processing: Recent developments and future opportunities. Healthc. Anal. 2023, 4, 100216. [Google Scholar] [CrossRef]
- Nallakaruppan, M.K.; Ramalingam, S.; Somayaji, S.R.K.; Prathiba, S.B. Comparative Analysis of Deep Learning Models Used in Impact Analysis of Coronavirus Chest X-ray Imaging. Biomedicines 2022, 10, 2791. [Google Scholar] [CrossRef] [PubMed] [PubMed Central]
- Chan, H.P.; Samala, R.K.; Hadjiiski, L.M.; Zhou, C. Deep Learning in Medical Image Analysis. Adv. Exp. Med. Biol. 2020, 1213, 3–21. [Google Scholar] [CrossRef] [PubMed] [PubMed Central]
- Cai, L.; Gao, J.; Zhao, D. A review of the application of deep learning in medical image classification and segmentation. Ann. Transl. Med. 2020, 8, 713. [Google Scholar] [CrossRef]
- Behar, N.; Shrivastava, M. ResNet50-Based Effective Model for Breast Cancer Classification Using Histopathology Images. Comput. Model. Eng. Sci. 2022, 130, 823–839. [Google Scholar] [CrossRef]
- Hossain, M.B.; Iqbal, S.M.H.S.; Islam, M.M.; Akhtar, M.N.; Sarker, I.H. Transfer learning with fine-tuned deep CNN ResNet50 model for classifying COVID-19 from chest X-ray images. Inform. Med. Unlocked. 2022, 30, 100916. [Google Scholar] [CrossRef] [PubMed] [PubMed Central]
- Plissiti, M.E.; Dimitrakopoulos, P.; Sfikas, G.; Nikou, C.; Krikoni, O.; Charchanti, A. Sipakmed: A New Dataset for Feature and Image Based Classification of Normal and Pathological Cervical Cells in Pap Smear Images. In Proceedings of the 2018 25th IEEE International Conference on Image Processing (ICIP), Athens, Greece, 7–10 October 2018; pp. 3144–3148. [Google Scholar] [CrossRef]
- Histopathology of the Uterine Cervix—Digital Atlas. Available online: https://screening.iarc.fr/atlasglossdef.php?key=Koilocyte&lang=1 (accessed on 1 November 2024).
- Mayoclinic.org. Available online: https://www.mayoclinic.org/diseases-conditions/pneumonia/symptoms-causes/syc-20354204 (accessed on 1 November 2024).
- Yale Medicine. Available online: https://www.yalemedicine.org/conditions/rsv-respiratory-syncytial-virus (accessed on 1 November 2024).
- Stefanidis, K.; Konstantelou, E.; Yusuf, G.T.; Oikonomou, A.; Tavernaraki, K.; Karakitsos, D.; Loukides, S.; Vlahos, I. Radiological, epidemiological and clinical patterns of pulmonary viral infections. Eur. J. Radiol. 2021, 136, 109548. [Google Scholar] [CrossRef]
- Kermany, D.S. Identifying Medical Diagnoses and Treatable Diseases by Image-Based Deep Learning. Cell 2018, 172, 1122–1131. [Google Scholar] [CrossRef] [PubMed]
- Kermany, D.; Zhang, K.; Goldbaum, M. Labeled Optical Coherence Tomography (OCT) and Chest X-Ray Images for Classification. Mendeley Data 2018, Version 2. Available online: https://data.mendeley.com/datasets/rscbjbr9sj/2 (accessed on 19 August 2024).
- Sait, U.; Lal KV, G.; Prakash Prajapati, S.; Bhaumik, R.; Kumar, T.; Shivakumar, S.; Bhalla, K. Curated Dataset for COVID-19 Posterior-Anterior Chest Radiography Images (X-Rays). Mendeley Data 2020, Version 1. Available online: https://data.mendeley.com/datasets/9xkhgts2s6/1 (accessed on 19 August 2024).
- National Institute of Biomedical Imaging and Bioengineering. Available online: https://www.nibib.nih.gov/science-education/science-topics/magnetic-resonance-imaging-mri (accessed on 19 August 2024).
- Russ, S.; Anastasopoulou, C.; Shafiq, I. Pituitary Adenoma. In StatPearls [Internet]; StatPearls Publishing: Treasure Island, FL, USA, 2024. Available online: https://www.ncbi.nlm.nih.gov/books/NBK554451/ (accessed on 27 March 2023).
- Alruwaili, A.A.; De Jesus, O. Meningioma. In StatPearls [Internet]; StatPearls Publishing: Treasure Island, FL, USA, 2024. Available online: https://www.ncbi.nlm.nih.gov/books/NBK560538/ (accessed on 23 August 2023).
- Mesfin, F.B.; Al-Dhahir, M.A. Gliomas. In StatPearls [Internet]; StatPearls Publishing: Treasure Island, FL, USA, 2024. Available online: https://www.ncbi.nlm.nih.gov/books/NBK441874/ (accessed on 20 May 2023).
- Hashemi, S.M.H. Crystal Clean: Brain Tumors MRI Dataset [Data Set]; Kaggle: San Francisco, CA, USA, 2023. [Google Scholar] [CrossRef]
- American Academy of Dermatology. Available online: https://www.aad.org/public/diseases/skin-cancer/find/at-risk/abcdes (accessed on 19 August 2024).
- Duarte, A.F.; Sousa-Pinto, B.; Azevedo, L.F.; Barros, A.M.; Puig, S.; Malvehy, J.; Haneke, E.; Correia, O. Clinical ABCDE rule for early melanoma detection. Eur. J. Dermatol. 2021, 31, 771–778. [Google Scholar] [CrossRef] [PubMed]
- Tan, A.; Greenwald, E.; Bajaj, S.; Belen, D.; Sheridan, T.; Stein, J.A.; Liebman, T.N.; Bowling, A.; Polsky, D. Melanoma surveillance for high-risk patients via telemedicine: Examination of real-world data from an integrated store-and-forward total body photography and dermoscopy service. J. Am. Acad. Dermatol. 2022, 86, 191–192. [Google Scholar] [CrossRef]
- Shaver, J. The State of Telehealth Before and After the COVID-19 Pandemic. Prim Care 2022, 49, 517–530. [Google Scholar] [CrossRef] [PubMed] [PubMed Central]
- Bhavesh Mittal. 2023. Available online: https://www.kaggle.com/datasets/bhaveshmittal/melanoma-cancer-dataset/data (accessed on 19 August 2024).
- Mafi, M.; Martin, H.; Cabrerizo, M.; Andrian, J.; Barreto, A.; Adjouadi, M. A comprehensive survey on impulse and Gaussian denoising filters for digital images. Signal Process. 2019, 157, 236–260. [Google Scholar] [CrossRef]
- Kingma, D.; Ba, J. Adam: A Method for Stochastic Optimization. In Proceedings of the International Conference on Learning Representations, Banff, AB, Canada, 14–16 April 2014. [Google Scholar]
- Loshchilov, I.; Hutter, F. Decoupled Weight Decay Regularization. In Proceedings of the International Conference on Learning Representations, Toulon, France, 24–26 April 2017. [Google Scholar]
- Sheng, M.; Li, J.; Bhatti, U.A.; Liu, J.; Huang, M.; Chen, Y. Zero Watermarking Algorithm for Medical Image Based on Resnet50-DCT. Comput. Mater. Contin. 2023, 75, 293–309. [Google Scholar] [CrossRef]
- Zhang, Y.; Liu, Y.L.; Nie, K.; Zhou, J.; Chen, Z.; Chen, J.H.; Wang, X.; Kim, B.; Parajuli, R.; Mehta, R.S.; et al. Deep Learning-based Automatic Diagnosis of Breast Cancer on MRI Using Mask R-CNN for Detection Followed by ResNet50 for Classification. Acad. Radiol. 2023, 30 (Suppl. 2), S161–S171. [Google Scholar] [CrossRef] [PubMed] [PubMed Central]
- Shah, N.U.H.; Mahum, R.; Nisar, D.e.M.; Aman, N.U.; Azim, T. Breast Cancer Identification Using Improved DarkNet53 Model. In Innovations in Bio-Inspired Computing and Applications. IBICA 2022; Lecture Notes in Networks and Systems; Abraham, A., Bajaj, A., Gandhi, N., Madureira, A.M., Kahraman, C., Eds.; Springer: Cham, Switzerland, 2023; Volume 649. [Google Scholar] [CrossRef]
- Xu, W.; Fu, Y.L.; Zhu, D. ResNet and its application to medical image processing: Research progress and challenges. Comput. Methods Programs Biomed. 2023, 240, 107660. [Google Scholar] [CrossRef] [PubMed]
- Matzinger, H.; Allgeier, A. CNN Image Recognition is Mainly Based on Local Features. In Proceedings of the 2022 4th International Conference on Robotics and Computer Vision (ICRCV), Wuhan, China, 25–27 September 2022; pp. 90–95. [Google Scholar] [CrossRef]















| Layer (Type) | Output Shape | Parameters # |
|---|---|---|
| Rescaling | (None, 224, 224, 3) | 0 |
| Conv2d | (None, 222, 222, 16) | 448 |
| Max Pooling | (None, 111, 111, 16) | 0 |
| Conv2d | (None, 109, 109, 32) | 4640 |
| Max Pooling | (None, 54, 54, 32) | 0 |
| Conv2d | (None, 52, 52, 32) | 9248 |
| Max Pooling | (None, 26, 26, 32) | 0 |
| Conv2d | (None, 24, 24, 64) | 18,496 |
| Max Pooling | (None, 12, 12, 64) | 0 |
| Conv2d | (None, 10, 10, 64) | 36,928 |
| Average Pooling | (None, 5, 5, 64) | 0 |
| Dropout | (None, 5, 5, 64) | 0 |
| Flatten | (None, 1600) | 0 |
| Dense | (None, 128) | 204,928 |
| Dense | (None, 2) | 258 |
| Total parameters | 274,946 (1.05 MB) | |
| Trainable parameters | 274,946 (1.05 MB) | |
| Non-trainable parameters | 0 (0.00 B) |
| Layer (Type) | Output Shape | Parameters # |
|---|---|---|
| Rescaling | (None, 500, 700, 3) | 0 |
| Conv2d | (None, 500, 700, 16) | 448 |
| Max Pooling | (None, 250, 350, 16) | 0 |
| Conv2d | (None, 250, 350, 32) | 4640 |
| Max Pooling | (None, 125, 175, 32) | 0 |
| Conv2d | (None, 125, 175, 32) | 9248 |
| Max Pooling | (None, 62, 87, 32) | 0 |
| Conv2d | (None, 62, 87, 32) | 9248 |
| Max Pooling | (None, 31, 43, 32) | 0 |
| Conv2d | (None, 31, 43, 64) | 18,496 |
| Max Pooling | (None, 15, 21, 64) | 0 |
| Conv2d | (None, 15, 21, 64) | 36928 |
| Max Pooling | (None, 7, 10, 64) | 0 |
| Conv2d | (None, 7, 10, 64) | 36,928 |
| Average Pooling | (None, 3, 5, 64) | 0 |
| Dropout | (None, 3, 5, 64) | 0 |
| Flatten | (None, 960) | 0 |
| Dense | (None, 128) | 123,008 |
| Dense | (None, 1) | 129 |
| Total parameters | 239,073 (933.88 KB) | |
| Trainable parameters | 239,073 (933.88 KB) | |
| Non-trainable parameters | 0 (0.00 B) |
| Layer (Type) | Output Shape | Parameters # |
|---|---|---|
| Rescaling | (None, 768, 1024, 3) | 0 |
| Conv2d | (None, 768, 1024, 16) | 448 |
| Max Pooling | (None, 384, 512, 16) | 0 |
| Conv2d | (None, 384, 512, 32) | 4640 |
| Max Pooling | (None, 192, 256, 32) | 0 |
| Conv2d | (None, 192, 256, 32) | 9248 |
| Max Pooling | (None, 96, 128, 32) | 0 |
| Conv2d | (None, 96, 128, 64) | 18,496 |
| Max Pooling | (None, 48, 64, 64) | 0 |
| Conv2d | (None, 48, 64, 64) | 36,928 |
| Max Pooling | (None, 24, 32, 64) | 0 |
| Conv2d | (None, 24, 32, 64) | 36,928 |
| Average Pooling | (None, 12, 16, 64) | 0 |
| Dropout | (None, 12, 16, 64) | 0 |
| Flatten | (None, 12,288) | 0 |
| Dense | (None, 128) | 1,572,992 |
| Dense | (None, 1) | 129 |
| Total parameters | 1,679,809 (6.41 MB) | |
| Trainable parameters | 1,679,809 (6.41 MB) | |
| Non-trainable parameters | 0 (0.00 B) |
| Layer (Type) | Output Shape | Parameters # |
|---|---|---|
| Rescaling | (None, 300, 300, 3) | 0 |
| Conv2d | (None, 300, 300, 16) | 448 |
| Max Pooling | (None, 150, 150, 16) | 0 |
| Conv2d | (None, 150, 150, 32) | 4640 |
| Max Pooling | (None, 75, 75, 32) | 0 |
| Conv2d | (None, 75, 75, 32) | 9248 |
| Max Pooling | (None, 37, 37, 32) | 0 |
| Conv2d | (None, 37, 37, 32) | 9248 |
| Max Pooling | (None, 18, 18, 32) | 0 |
| Conv2d | (None, 18, 18, 64) | 18,496 |
| Max Pooling | (None, 9, 9, 64) | 0 |
| Conv2d | (None, 9, 9, 64) | 36,928 |
| Max Pooling | (None, 4, 4, 64) | 0 |
| Conv2d | (None, 4, 4, 64) | 36,928 |
| Average Pooling | (None, 2, 2, 64) | 0 |
| Dropout | (None, 2, 2, 64) | 0 |
| Flatten | (None, 256) | 0 |
| Dense | (None, 128) | 32,896 |
| Dense | (None, 1) | 129 |
| Total parameters | 148,961 (581.88 KB) | |
| Trainable parameters | 148,961 (581.88 KB) | |
| Non-trainable parameters | 0 (0.00 B) |
| Layer (Type) | Output Shape | Parameters # |
|---|---|---|
| Rescaling | (None, 100, 120, 3) | 0 |
| Conv2d | (None, 100, 120, 16) | 448 |
| Max Pooling | (None, 50, 60, 16) | 0 |
| Conv2d | (None, 50, 60, 32) | 4640 |
| Max Pooling | (None, 25, 30, 32) | 0 |
| Conv2d | (None, 25, 30, 32) | 9248 |
| Max Pooling | (None, 12, 15, 32) | 0 |
| Conv2d | (None, 12, 15, 32) | 9248 |
| Max Pooling | (None, 6, 7, 64) | 0 |
| Conv2d | (None, 6, 6, 64) | 18,496 |
| Max Pooling | (None, 3, 3, 64) | 0 |
| Conv2d | (None, 3, 3, 64) | 36,928 |
| Average Pooling | (None, 1, 1, 64) | 0 |
| Dropout | (None, 1, 1, 64) | 0 |
| Flatten | (None, 64) | 0 |
| Dense | (None, 128) | 8320 |
| Dense | (None, 1) | 129 |
| Total parameters | 87,457 (341.63 KB) | |
| Trainable parameters | 87,457 (341.63 KB) | |
| Non-trainable parameters | 0 (0.00 B) |
| Dataset | Conventional CNN | Pretrained ResNet50 | Pretrained MobileNetV2 |
|---|---|---|---|
| Melanoma | 93.05% | 89.79% | 86.39 |
| Chest X-rays | 96.31% | 93.04% (97.83 fine-tuned) | 91.79% |
| Pediatric X-rays | 97.18% | 93.69% | 92.76% |
| MRI brain scans | 99.56% | 97.60% | 97.82% |
| Pap smear test | 96.78% | 99.28% | 99.20% |
| Processor/OS | Conventional CNN | Pretrained ResNet50 | Pretrained MobileNetV2 |
|---|---|---|---|
| Ryzen 7 7700 32 GB CPU/Windows | Pap smear 100 × 120 p: 1 s/epoch | Pap smear 100 × 120 p: 29 s/epoch | Pap smear 100 × 120 p: 10 s/epoch |
| MRI 300 × 300 p: 21 s/epoch | MRI 300 × 300 p: 190 s/epoch | MRI 300 × 300 p: 51 s/epoch | |
| Melanoma 224 × 224 p: 25 s/epoch | Melanoma 224 × 224 p: 200 s/epoch | Melanoma 224 × 224 p: 55 s/epoch | |
| chest X-rays 500 × 700 p: 195 s/epoch | chest X-rays 500 × 700 p: 1050 s/epoch | chest X-rays 500 × 700 p: 368 s/epoch | |
| RTX 4060TI 16 GB GPU/Linux | Pap smear 100 × 120 p: 0.16 s/epoch | Pap smear 100 × 120 p: 2 s/epoch | Pap smear 100 × 120 p: 0.3 s/epoch |
| MRI 300 × 300 p: 5 s/epoch | MRI 300 × 300 p: 24 s/epoch | MRI 300 × 300 p: 10 s/epoch | |
| Melanoma 224 × 224 p: 6 s/epoch | Melanoma 224 × 224 p: 25 s/epoch | Melanoma 224 × 224 p: 11 s/epoch | |
| chest X-rays 500 × 700 p: 18 s/epoch | chest X-rays 500 × 700 p: 75 s/epoch | chest X-rays 500 × 700 p: 35 s/epoch |
Disclaimer/Publisher’s Note: The statements, opinions and data contained in all publications are solely those of the individual author(s) and contributor(s) and not of MDPI and/or the editor(s). MDPI and/or the editor(s) disclaim responsibility for any injury to people or property resulting from any ideas, methods, instructions or products referred to in the content. |
© 2024 by the authors. Licensee MDPI, Basel, Switzerland. This article is an open access article distributed under the terms and conditions of the Creative Commons Attribution (CC BY) license (https://creativecommons.org/licenses/by/4.0/).
Share and Cite
Raptis, C.; Karavasilis, E.; Anastasopoulos, G.; Adamopoulos, A. Comparative Analysis of Conventional CNN v’s ImageNet Pretrained ResNet in Medical Image Classification. Information 2024, 15, 806. https://doi.org/10.3390/info15120806
Raptis C, Karavasilis E, Anastasopoulos G, Adamopoulos A. Comparative Analysis of Conventional CNN v’s ImageNet Pretrained ResNet in Medical Image Classification. Information. 2024; 15(12):806. https://doi.org/10.3390/info15120806
Chicago/Turabian StyleRaptis, Christos, Efstratios Karavasilis, George Anastasopoulos, and Adam Adamopoulos. 2024. "Comparative Analysis of Conventional CNN v’s ImageNet Pretrained ResNet in Medical Image Classification" Information 15, no. 12: 806. https://doi.org/10.3390/info15120806
APA StyleRaptis, C., Karavasilis, E., Anastasopoulos, G., & Adamopoulos, A. (2024). Comparative Analysis of Conventional CNN v’s ImageNet Pretrained ResNet in Medical Image Classification. Information, 15(12), 806. https://doi.org/10.3390/info15120806

