Morphometric, Histochemical, and Ultrastructural Analysis of the Reproductive System and Spermatogenic Stages of Male Blue Crab (Callinectessapidus Rathbun, 1896)
Abstract
1. Introduction
2. Materials and Methods
2.1. Study Area
2.2. Studied Animal
2.3. Morphometric Measurements
2.4. Histochemical Studies
2.5. Electron Microscopic Study
2.5.1. Scanning Electron Microscopy Study
2.5.2. Transmission Electron Microscopic Study
3. Results
3.1. Morphometric Characters
3.2. Spermatophore
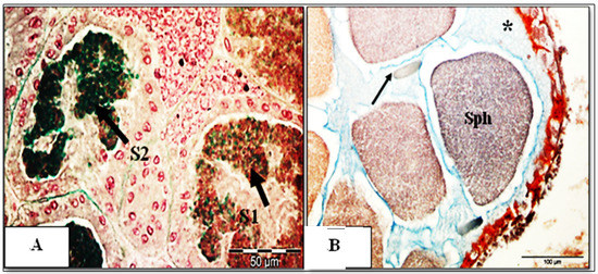
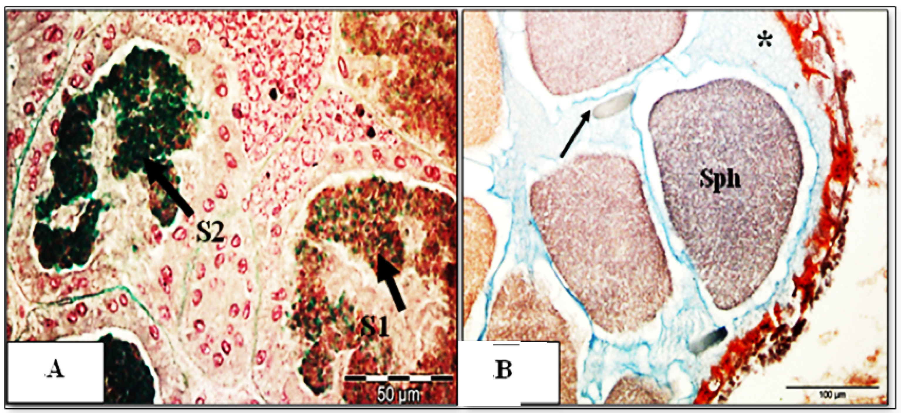
3.3. Spermatogenesis
3.4. Vas Deferens
4. Discussion
4.1. Morphometric Characteristics
4.2. Testis and Vas Deferens
4.3. Spermatogenesis
5. Conclusions
Author Contributions
Funding
Institutional Review Board Statement
Data Availability Statement
Acknowledgments
Conflicts of Interest
References
- Soundarapandian, P.; Varadharajan, D.; Anand, T. Male reproductive system of blue swimming crab, Portunus pelagicus (Linnaeus, 1758). J. Cytol. Histol. 2014, 5, 1. [Google Scholar]
- Roer, R.D.; Dillaman, R.M. The initiation and early stages of postmolt mineralization in the blue crab, Callinectes sapidus. Front. Mar. Sci. 2018, 5, 151. [Google Scholar] [CrossRef]
- Mansour, A.; Allam, B.; Srour, T.; Omar, E.; Nour, A.; Khalil, H. The Feasibility of Monoculture and Polyculture of Striped Catfish and Nile Tilapia in Different Proportions and Their Effects on Growth Performance, Productivity, and Financial Revenue. J. Mar. Sci. Eng. 2021, 9, 586. [Google Scholar] [CrossRef]
- Lavado-Garcia, J.M.; Roncero-Martin, R.; Moran, J.M.; Pedrera-Canal, M.; Aliaga, I.; Leal-Hernández, O.; Martin, S.R.; Canal-Macias, M.L. Long-chain omega-3 polyunsaturated fatty acid dietary intake is positively associated with bone mineral density in normal and osteopenic Spanish women. PLoS ONE 2018, 13, e0190539. [Google Scholar]
- Khalil, H.S.; Mansour, A.T.; Goda, A.M.A.; El Hammady, A.K.; Omar, E.A. Effect of Poly-Unsaturated Fatty Acids Fortification on Growth Performance, Survival, Fatty Acid Composition and Antioxidant Balance of Meagre, Argyrosomus regius Larvae. J. Aquac. Res. Dev. 2018, 9, 1–8. [Google Scholar] [CrossRef]
- Eleftheriou, A.; Visilia, E.A.; Anastasopoulou, E.; Ates, A.; Bachari, N.I.; Cavas, L.; Çevik, C.; Ulha, M.; Cevik, F.; Delos, A.; et al. New Mediterranean Biodiversity Records (December 2011). Mediterr. Mar. Sci. 2011, 12, 491–508. [Google Scholar] [CrossRef]
- Suaria, G.; Pierucci, A.; Zanello, P.; Fanelli, E.; Chiesa, S.; Azzurro, E. Percnon gibbesi (H. Milne Edwards, 1853) and Callinectes sapidus (Rathbun, 1896) in the Ligurian Sea: Two additional invasive species detections made in collaboration with local fishermen. BioInvasions Rec. 2017, 6, 147–151. [Google Scholar] [CrossRef]
- Jivoff, P.R.; Smith, J.M.; Sodi, V.L.; VanMorter, S.M.; Faugno, K.M.; Werda, A.L.; Shaw, M.J. Population Structure of Adult Blue Crabs, Callinectes sapidus, in Relation to Physical Characteristics in Barnegat Bay, New Jersey. Chesap. Sci. 2017, 40, 235–250. [Google Scholar] [CrossRef]
- Josileen, J. Morphometrics and Length-Weight Relationship in the Blue Swimmer Crab, Portunus Pelagicus (Linnaeus, 1758) (Decapoda, Brachyura) from the Mandapam Coast, India. Crustaceana 2011, 84, 1665–1681. [Google Scholar] [CrossRef]
- Kord, M.I.; Srour, T.M.; Omar, E.A.; Farag, A.A.; Nour, A.A.M.; Khalil, H.S. The Immunostimulatory Effects of Commercial Feed Additives on Growth Performance, Non-specific Immune Response, Antioxidants Assay, and Intestinal Morphometry of Nile tilapia, Oreochromis niloticus. Front. Physiol. 2021, 12, 111. [Google Scholar] [CrossRef]
- Kampouris, T.E.; Kouroupakis, E.; Batjakas, I.E. Morphometric Relationships of the Global Invader Callinectes sapidus Rathbun, 1896 (Decapoda, Brachyura, Portunidae) from Papapouli Lagoon, NW Aegean Sea, Greece. with Notes on Its Ecological Preferences. Fishes 2020, 5, 5. [Google Scholar] [CrossRef]
- Kampouris, T.E.; Kouroupakis, E.; Lazaridou, M.; Batjakas, I.E. Length-weight relationships of Squilla mantis (Linnaeus, 1758) (Crustacea, Stomatopoda, Squillidae) from Thermaikos Gulf, North-West Aegean Sea, Greece. Int. J. Fish. Aquat. Stud. 2018, 6, 241–246. [Google Scholar]
- Anand, T.; Soundarapandian, P. Sea ranching of commercially important blue swimming crab Portunus pelagicus (Linnaeus, 1758) in Parangipettai Coast. Int. J. Sci. Nat. 2011, 2, 215–219. [Google Scholar]
- Wang, Y.; Sun, W.J.; He, L.; Li, Q.; Wang, Q. Morphological alterations of all stages of spermatogenesis and acrosome reaction in Chinese mitten crab Eriocheir sinensis. Cell Tissue Res. 2015, 360, 401–412. [Google Scholar] [CrossRef] [PubMed]
- d’Almeida, M.-A.; Kouassi, K.D. Male internal reproductive tracts of Côte d’Ivoire brackishwaters crabs, Callinectes amnicola, (de Rochebrune; 1883; Decapoda: Portunidae). J. Appl. Biosci. 2018, 125, 12506–12517. [Google Scholar] [CrossRef]
- Watanabe, T.T.; Nascimento, F.A.; Mantelatto, F.L.; Zara, F.J. Ultrastructure and histochemistry of the male reproductive system of the genus Callinectes Stimpson, 1860 (Brachyura: Portunidae). J. Morphol. 2020, 281, 1660–1678. [Google Scholar] [CrossRef]
- Kurtz, K.; Ausió, J.; Chiva, M. Preliminary study of sperm chromatin characteristics of the brachyuran crab Maja brachydactyla. Histones and nucleosome-like structures in decapod crustacean sperm nuclei previously described without SNBPs. Tissue Cell 2009, 41, 334–344. [Google Scholar] [CrossRef]
- Liu, J.; Liu, F.; Huang, Y.; Wang, G.; Ye, H. Crustacean Female Sex Hormone From the Mud Crab Scylla paramamosain Is Highly Expressed in Prepubertal Males and Inhibits the Development of Androgenic Gland. Front. Physiol. 2018, 9, 924. [Google Scholar] [CrossRef]
- Stewart, M.J.; Stewart, P.; Soonklang, N.; Linthong, V.; Hanna, P.J.; Duan, W.; Sobhon, P. Spermatogenesis in the blue swimming crab, Portunus pelagicus, and evidence for histones in mature sperm nuclei. Tissue Cell 2010, 42, 137–150. [Google Scholar] [CrossRef]
- Ausio, J.; Gonzalez-Romero, R.; Woodcock, C.L. Comparative structure of vertebrate sperm chromatin. J. Struct. Biol. 2014, 188, 142–155. [Google Scholar] [CrossRef]
- Simeó, C.G.; Kurtz, K.; Chiva, M.; Ribes, E.; Rotllant, G. Spermatogenesis of the spider crabMaja brachydactyla(Decapoda: Brachyura). J. Morphol. 2009, 271, 394–406. [Google Scholar] [CrossRef]
- Simeó, C.; Ribes, E.; Rotllant, G. Internal anatomy and ultrastructure of the male reproductive system of the spider crab Maja brachydactyla (Decapoda: Brachyura). Tissue Cell 2009, 41, 345–361. [Google Scholar] [CrossRef]
- Ravi, R.; Manisseri, M.K.; Sanil, N.K. Structure of the male reproductive system of the blue swimmer crab Portunus pelagicus (Decapoda: Portunidae). Acta Zool. 2014, 95, 176–185. [Google Scholar] [CrossRef]
- Subramoniam, T. Spermatophores and sperm transfer in marine crustaceans. Adv. Mar. Biol. 1993, 29, 129–214. [Google Scholar]
- Santos, C.M.; Lima, G.V.; A Nascimento, A.; Sales, A.; Oshiro, L.M.Y. Histological and histochemical analysis of the gonadal development of males and females of Armases rubripes (Rathbun 1897) (Crustacea, Brachyura, Sesarmidae). Braz. J. Biol. 2009, 69, 161–169. [Google Scholar] [CrossRef] [PubMed]
- Johnson, P.T. Histology of the Blue Crab, Callinectes Sapidus: A Model for the Decapoda; Greenwood: Westport, CT, USA, 1980. [Google Scholar]
- Beninger, P.G.; Elner, R.W.; Foyle, T.P.; Odense, P.H. Functional anatomy of the male reproductive system and the female spermatheca in the snow crab Chionoecetes opilio (0. Fabricius) (Decapoda: Majidae) and a hypothesis for fertilization. J. Crustac. Biol. 1988, 8, 322–332. [Google Scholar] [CrossRef]
- Subramoniam, T. Sexual Biology and Reproduction in Crustaceans; Academic Press: Waltham, MS, USA, 2016. [Google Scholar]
- Vogt, G. Structural specialties, curiosities, and record-breaking features of crustacean reproduction. J. Morphol. 2016, 277, 1399–1422. [Google Scholar] [CrossRef] [PubMed]
- Watanabe, T.T.; Sant’Anna, B.S.; Hattori, G.Y.; Zara, F.J. Population biology and distribution of the portunid crab Callinectes ornatus (Decapoda: Brachyura) in an estuary-bay complex of southern Brazil. Zoologia 2014, 31, 329–336. [Google Scholar] [CrossRef]
- Mantelatto, F.; Fransozo, A. Characterization of the physical and chemical parameters of Ubatuba Bay, northern coast of São Paulo State, Brazil. Rev. Bras. Biol. 1999, 59, 23–31. [Google Scholar] [CrossRef][Green Version]
- Kyomo, J. Analysis of the relationship between gonads and hepatopancreas in males and females of the crab Sesarma intermedia, with reference to resource use and reproduction. Mar. Biol. 1988, 97, 87–93. [Google Scholar] [CrossRef]
- Rohlf, F.J.; Sokal, R.R. Statistical Tables; Macmillan: New York, NY, USA, 1995. [Google Scholar]
- Anderson, G.; Gordon, K. Tissue Processing, Microtomy and Paraffin Sections. In Theory and Practice of Histological Techniques, 4th ed.; Churchill Livingstone: New York, NY, USA, 1996. [Google Scholar]
- Felgenhauer, B.E. Techniques for preparing crustaceans for scanning electron microscopy. J. Crustacean Biol. 1987, 7, 71–76. [Google Scholar] [CrossRef]
- Mancini, K.; Dolder, H. Ultrastructure of apyrene and eupyrene spermatozoa from the seminal vesicle of Euptoieta hegesia (Lepidoptera: Nymphalidae). Tissue Cell 2001, 33, 301–308. [Google Scholar] [CrossRef] [PubMed]
- Cronin, L.E. Anatomy and histology of the male reproductive system of Callinectes sapidus Rathbun. J. Morphol. 1947, 81, 209–239. [Google Scholar] [CrossRef] [PubMed]
- Zara, F.J.; Toyama, M.H.; Caetano, F.H.; López-Greco, L.S. Spermatogenesis, Spermatophore, and Seminal Fluid Production in the Adult Blue Crab Callinestes danae (Portunidae). J. Crustac. Biol. 2012, 32, 249–262. [Google Scholar] [CrossRef]
- Sant’Anna, B.S.; Turra, A.; Zara, F.J. Reproductive migration and population dynamics of the blue crab Callinectes danae in an estuary in southeastern Brazil. Mar. Biol. Res. 2012, 8, 354–362. [Google Scholar] [CrossRef]
- Belgrad, B.A.; Griffen, B.D. The influence of diet composition on fitness of the blue crab, Callinectes sapidus. PLoS ONE 2016, 11, e0145481. [Google Scholar] [CrossRef]
- Leme, M.H.A. Seasonal changes in reproductive traits of the crab Sesarma rectum (Grapsoidea: Sesarmidae) on the northern coast of São Paulo State. Brazil. J. Crustacean Biol. 2006, 26, 141–147. [Google Scholar] [CrossRef]
- Jivoff, P.R.; Hines, A.H.; Quackenbush, S. Reproduction and Embryonic Development. In Blue Crab: Callinectes Sapidus; Maryland Sea Grant College: College Park, MD, USA, 2007. [Google Scholar]
- Nascimento, F.A.D.; Zara, F.J. Development of the male reproductive system in Callinectes ornatus Ordway, 1863 (Brachyura: Portunidae). Nauplius 2013, 21, 161–177. [Google Scholar] [CrossRef][Green Version]
- Carvalho-Saucedo, L.; Ramírez-Santiago, C.; Pérez, C. Histological description of gonadal development of females and males of Callinectes sapidus Rathbun, 1896 (Decapoda: Portunidae). Zool. Sci. 2015, 32, 188–194. [Google Scholar] [CrossRef]
- Castilho, G.G.; Ostrensky, A.; Pie, M.R.; Boeger, W.A. Morphology and histology of the male reproductive system of the mangrove land crab Ucides cordatus (L.) (Crustacea, Brachyura, Ocypodidae). Acta Zool. 2008, 89, 157–161. [Google Scholar] [CrossRef]
- Shinozaki-Mendes, R.A.; Lessa, R. Population dynamics of Callinectes danae Smith, 1869 (Brachyura: Portunidae) in a tropical estuary. J. Crustacean Biol. 2017, 37, 683–692. [Google Scholar] [CrossRef][Green Version]
- Hinsch, G.W.; Walker, M.H. The vas deferens of the spider crab, Libinia emarginata. J. Morphol. 1974, 143, 1–19. [Google Scholar] [CrossRef] [PubMed]
- Hinsch, G.W.; McKnight, C.E. The vas deferens of the Spanish lobster, Scyllarus chacei. Int. J. Invertebr. Reprod. Dev. 1988, 13, 267–280. [Google Scholar] [CrossRef]
- Klaus, S.; Brandis, D. Evolution of sperm morphology in potamid freshwater crabs (Crustacea: Brachyura: Potamoidea). Zool. J. Linn. Soc. 2011, 161, 53–63. [Google Scholar] [CrossRef]
- Hinsch, G.W. A comparison of sperm morphologies, transfer and sperm mass storage between two species of crab, Ovalipes ocellatus and Libinia emarginata. Int. J. Invertebr. Reprod. Dev. 1986, 10, 79–87. [Google Scholar] [CrossRef]
- Garcia, T.M.; Silva, J.S.F. Testis and vas deferens morphology of the red-clawed mangrove tree crab (Goniopsis cruentata) (Latreille, 1803). Braz. Arch. Biol. Technol. 2006, 49, 339–345. [Google Scholar] [CrossRef]
- Davie, P.J.F.; Guinot, D.; Ng, P.K.L. Anatomy and Functional Morphology of Brachyura. In Treatise on Zoology—Anatomy, Taxonomy, Biology—The Crustacea; Brill: Leiden, The Netherlands, 2015; Volume 9, pp. 11–163. [Google Scholar]
- Erkan, M.; Tunalı, Y.; Sancar-Bas, S. Male reproductive system morphology and spermatophore formation in Astacus leptodactylus (Decapoda: Astacidae). J. Crustacean Biol. 2009, 29, 42–50. [Google Scholar] [CrossRef][Green Version]
- Klaus, S.; Münzner, S.; Modenbach, A.-C.; Streit, B.; Tudge, C.C. Spermatophore formation and sperm ultrastructure ofSundathelphusa philippina(Crustacea: Brachyura: Gecarcinucidae). Acta Zool. 2011, 94, 267–272. [Google Scholar] [CrossRef]
- Andrioli, G.C. Morfologia e Ultraestrutura do Sistema Reprodutor Masculino do Camarão Sete-Barbas Xiphopenaeus Kroyeri (Heller, 1862) Caracterização da Maturidade Morfológica e Fisiológica. Master’s Thesis, Universidade Estadual Paulista “Júlio de Mesquita Filho”, Sao Paulo, Brazil, 2017. [Google Scholar]
- Moriyasu, M.; Duggan, D.; Moriyasu, M.; Benhalima, K.; Robichaud, D. Reproductive biology of male Jonah crab, Cancer borealis Stimpson, 1859 (Decapoda, Cancridae) on the Scotian shelf, northwestern Atlantic. Crustaceana 2002, 75, 891–913. [Google Scholar]
- El-Sherief, S.S. Fine structure of the sperm and spermatophores of Portunus pelagicus (L.) (Decapoda, Brachyura). Crustaceana 1991, 61, 271–279. [Google Scholar] [CrossRef]
- Hartnoll, R. Mating in the Brachyura. Crustaceana 1969, 16, 161–181. [Google Scholar] [CrossRef]
- Mann, T. Spermatophores: Development, Structure, Biochemical Attributes and Role in the Transfer of Spermatozoa; Springer Science & Business Media: Berlin/Heidelberg, Germany, 2012; Volume 15. [Google Scholar]
- Harlıoğlu, M.M.; Farhadi, A.; Gür, S. Determination of sperm quality in decapod crustaceans. Aquaculture 2018, 490, 185–193. [Google Scholar] [CrossRef]
- Vogt, G. Ageing and longevity in the Decapoda (Crustacea): A review. Zool. Anz. J. Comp. Zool. 2012, 251, 1–25. [Google Scholar] [CrossRef]
- Suntharalingam, M.; Wente, S.R. Peering through the pore: Nuclear pore complex structure, assembly, and function. Dev. Cell 2003, 4, 775–789. [Google Scholar] [CrossRef]
- Lan, W.; NanShan, D.; Wai, L. Mitochondrial ultrastructure during spermatogenesis of Sinopotamon yangtsekiense (Crustacea: Decapoda). Dong wu xue bao. Acta Zool. 1997, 43, 113–118. [Google Scholar]
- Medina, A.; Rodriguez, A. Structural changes in sperm from the fiddler crab, Uca tangeri (Crustacea, Brachyura), during the acrosome reaction. Mol. Reprod. Dev. 1992, 33, 195–201. [Google Scholar] [CrossRef]
- Tudge, C.C.; Jamieson, B. Ultrastructure of the mature spermatozoon of the coconut crab Birgus latro (Coenobitidae: Paguroidea: Decapoda). Mar. Biol. 1991, 108, 395–402. [Google Scholar] [CrossRef]
- Anilkumar, G.; Sudha, K.; Subramoniam, T. Spermatophore transfer and sperm structure in the brachyuran crab Metopograpsus messor (Decapoda: Grapsidae). J. Crustacean Biol. 1999, 19, 361–370. [Google Scholar] [CrossRef]
- Kord, M.I.; Maulu, S.; Srour, T.M.; Omar, E.A.; Farag, A.A.; Nour, A.A.M.; Hasimuna, O.J.; Abdel-Tawwab, M.; Khalil, H.S. Impacts of water additives on water quality, production efficiency, intestinal morphology, gut microbiota, and immunological responses of Nile tilapia fingerlings under a zero-water-exchange system. Aquaculture 2021, 547, 737503. [Google Scholar] [CrossRef]
- Khalil, H.S.; Momoh, T.; Al-Kenawy, D.; Yossa, R.; Badreldin, A.M.; Roem, A.; Schrama, J.; Verdegem, M. Nitrogen retention, nutrient digestibility and growth efficiency of Nile tilapia (Oreochromis niloticus) fed dietary lysine and reared in fertilized ponds. Aquac. Nutr. 2021, 1–13. [Google Scholar] [CrossRef]








Publisher’s Note: MDPI stays neutral with regard to jurisdictional claims in published maps and institutional affiliations. |
© 2021 by the authors. Licensee MDPI, Basel, Switzerland. This article is an open access article distributed under the terms and conditions of the Creative Commons Attribution (CC BY) license (https://creativecommons.org/licenses/by/4.0/).
Share and Cite
Ali, A.; El Sherif, S.; Abd Alla, J.; Maulu, S.; Tantawy, A.A.; Soliman, M.F.K.; Hassan, M.M.; Hassan, M.M.; Khalil, H.S. Morphometric, Histochemical, and Ultrastructural Analysis of the Reproductive System and Spermatogenic Stages of Male Blue Crab (Callinectessapidus Rathbun, 1896). J. Mar. Sci. Eng. 2021, 9, 1105. https://doi.org/10.3390/jmse9101105
Ali A, El Sherif S, Abd Alla J, Maulu S, Tantawy AA, Soliman MFK, Hassan MM, Hassan MM, Khalil HS. Morphometric, Histochemical, and Ultrastructural Analysis of the Reproductive System and Spermatogenic Stages of Male Blue Crab (Callinectessapidus Rathbun, 1896). Journal of Marine Science and Engineering. 2021; 9(10):1105. https://doi.org/10.3390/jmse9101105
Chicago/Turabian StyleAli, Awatef, Soheir El Sherif, Jamila Abd Alla, Sahya Maulu, Ahmed A. Tantawy, Mahmoud F. K. Soliman, Mohamed M. Hassan, Montaser M. Hassan, and Hala Saber Khalil. 2021. "Morphometric, Histochemical, and Ultrastructural Analysis of the Reproductive System and Spermatogenic Stages of Male Blue Crab (Callinectessapidus Rathbun, 1896)" Journal of Marine Science and Engineering 9, no. 10: 1105. https://doi.org/10.3390/jmse9101105
APA StyleAli, A., El Sherif, S., Abd Alla, J., Maulu, S., Tantawy, A. A., Soliman, M. F. K., Hassan, M. M., Hassan, M. M., & Khalil, H. S. (2021). Morphometric, Histochemical, and Ultrastructural Analysis of the Reproductive System and Spermatogenic Stages of Male Blue Crab (Callinectessapidus Rathbun, 1896). Journal of Marine Science and Engineering, 9(10), 1105. https://doi.org/10.3390/jmse9101105

