You are currently viewing a new version of our website. To view the old version click .
Journal of Marine Science and Engineering
  • Article
  • Open Access

1 January 2024

Multi-Objective Path Planning of Autonomous Underwater Vehicles Driven by Manta Ray Foraging

,
,
,
,
and
1
School of Electronics and Control Engineering, Chang’an University, Xi’an 710064, China
2
Xi’an Key Laboratory of Intelligent Expressway Information Fusion and Control, Chang’an University, Xi’an 710064, China
3
IVR Low-Carbon Research Institute, School of Energy and Electrical Engineering, Chang’an University, Xi’an 710064, China
4
Department of Signal Theory and Communications, University Carlos III of Madrid, 28911 Leganes, Spain
This article belongs to the Special Issue AI for Navigation and Path Planning of Marine Vehicles

Abstract

Efficient navigation of multiple autonomous underwater vehicles (AUVs) plays an important role in monitoring underwater and off-shore environments. It has encountered challenges when AUVs work in complex underwater environments. Traditional swarm intelligence (SI) optimization algorithms have limitations such as insufficient path exploration ability, susceptibility to local optima, and difficulty in convergence. To address these issues, we propose an improved multi-objective manta ray foraging optimization (IMMRFO) method, which can improve the accuracy of trajectory planning through a comprehensive three-stage approach. Firstly, basic model sets are established, including a three-dimensional ocean terrain model, a threat source model, the physical constraints of AUV, path smoothing constraints, and spatiotemporal coordination constraints. Secondly, an innovative chaotic mapping technique is introduced to initialize the position of the manta ray population. Moreover, an adaptive rolling factor “S” is introduced from the manta rays’ rolling foraging. This allows the collaborative-vehicle population to jump out of local optima through “collaborative rolling." In the processes of manta ray chain feeding and manta ray spiral feeding, Cauchy reverse learning is integrated to broaden the search space and enhance the global optimization ability. The optimal Pareto front is then obtained using non-dominated sorting. Finally, the position of the manta ray population is mapped to the spatial positions of multi-AUVs, and cubic spline functions are used to optimize the trajectory of multi-AUVs. Through detailed analysis and comparison with five existing multi-objective optimization algorithms, it is found that the IMMRFO algorithm proposed in this paper can significantly reduce the average planned path length by 3.1~9.18 km in the path length target and reduce the average cost by 18.34~321.872 in the cost target. In an actual off-shore measurement process, IMMRFO enables AUVs to effectively bypass obstacles and threat sources, reduce risk costs, and improve mobile surveillance safety.

1. Introduction

Underwater navigation is an important part of ocean exploration and environmental inspection. Autonomous underwater vehicles (AUVs) play a vital role in these activities. AUVs have been widely used in a variety of underwater tasks, including salvage operations, seabed image sensing, underwater pipeline maintenance, and environmental monitoring [1]. Efficient navigation refers to the complex task of multi-AUV path planning within a continuous underwater space. Existing navigation methods can be broadly classified into two main categories: terrain-based navigation and grid-based navigation. Among the commonly used algorithms, there are two main categories: traditional optimization algorithms, including methods such as the artificial potential field method [2], A* algorithm [3], D* algorithm [4], and intelligent optimization algorithms, including the particle swarm algorithm [5], ant colony algorithm [6], grey wolf optimizer (GWO) [7], etc. Such algorithms enable an AUV to intelligently adapt to and navigate through the underwater environment.
As underwater technology continues to advance, the utilization of multi-AUV systems for underwater missions is becoming increasingly prevalent. These AUVs have the ability to collaborate effectively, leading to improved efficiency, broader coverage, and enhanced safety during underwater sensing operations. However, collaborative path planning is a crucial aspect of multi-AUV inspection missions that must be solved. It involves collaborative constraints while planning the paths of multiple AUVs to efficiently accomplish complex underwater tasks. However, this collaborative approach also introduces new challenges. These challenges include dealing with a substantial increase in the dimensions of problem-solving, slow convergence of solutions, and the need to resolve intricate spatiotemporal conflicts. Solving these more complex problems places higher demands on the performance of algorithms and the accuracy of models used in AUV navigation. According to recent research findings [8,9], artificial intelligence methods have long dominated the field of AUV path planning. Among them, swarm intelligence (SI) methods [10], which are less sensitive to initial conditions, are highly suitable for optimizing paths in multi-AUV scenarios.
Recently, SI algorithms have been increasingly applied in multi-AUV trajectory planning and have achieved several research breakthroughs. Wen et al. [11] introduced the concept of the Pareto front for non-dominated solutions in multi-objective problems and proposed a three-dimensional path planning method based on an improved ant colony algorithm. This method considers the smoothness and time consumption of AUV paths as two conflicting objectives and introduces an “attracting target” strategy for optimization to find a compromise solution set. Zeng et al. [12] introduced the quantum-behaved particle swarm optimization (QPSO) algorithm to address the problem of optimal path planning for AUVs in environments with ocean currents. Kumar et al. [13] introduced a hybrid algorithm approach that combines the characteristics of whale optimization and cuckoo search algorithms. It aims to select the optimal path by minimizing the search distance and search delay to improve search efficiency. Li et al. [14] designed an improved sparrow search algorithm that can find the path with the least cost and the least change in navigation height and energy consumption. Sarada et al. [15] proposed a hybrid method for the path planning of autonomous underwater vehicles (AUVs). They combine the advantages of the Gray Wolf optimization algorithm (GWO) and genetic algorithm (GA) in a bionic algorithm to achieve a hybrid Gray Wolf optimization algorithm (HGWO), but this method is limited by the combination of the two SI methods and relies on a high number of iterations. Zhang et al. [16] proposed a path planning algorithm based on deep q network and quantum particle swarm optimization (DQN-QPSO), which took into account the influence of route length, deflection angle, and ocean current so that the algorithm could find the solution path with the shortest energy consumption in an underwater environment. These innovative approaches underscore the importance of advanced algorithms in enhancing the capabilities and effectiveness of AUVs in underwater navigation and exploration.
Although previous research has made significant progress in the navigation of underwater vehicles, there is still room for improving effectiveness and accuracy for underwater obstacle avoidance with well-planned navigation. In addition, in the scenario of 3D multi-AUV navigation, the amount of underwater terrain and threat information is large, resulting in a large increase in the complexity of the SI optimization algorithm when finding the optimal path. Therefore, it is advisable to employ multi-objective SI methods for the solution. The manta ray foraging optimization (MRFO) algorithm [17] is a novel SI optimization algorithm introduced in 2020 that simulates the foraging process of manta rays. It possesses characteristics such as fast convergence and strong optimization capabilities. Although MRFO can maintain good optimization performance in complex underwater environments, it may occasionally get stuck in local optima and require further improvement. Hence, this paper, taking into consideration the marine biological characteristics of manta rays, proposes a three-dimensional path planning method for AUVs based on the improved multi-objective manta ray foraging optimization (IMMRFO) algorithm. This innovative approach is designed to prevent algorithms from falling into local optimality, improve AUV path optimization accuracy, and effectively navigate underwater threats and obstacles. Its goal is to reduce the driving distance and quickly obtain the optimal path. To achieve this, the IMMRFO algorithm will be combined with sonar imaging data to provide the AUV with more accurate and efficient underwater navigation.
The main contributions of this work are summarized as follows:
(i).
We have developed precise mathematical models for multi-AUV navigation that are closely related to sonar sensing data. These models include a 3D ocean terrain model, an underwater threat source model, an AUV physical constraint, spatio-temporal collaboration, and a track smoothness constraint model. These models enable AUVs to make decisions based on sensing data while navigating underwater, ensuring safe and effective exploration.
(ii).
In this multi-AUV collaborative underwater navigation framework, we rely on a full range of data parameters and constraints. These data parameters contain important information about the underwater environment, including terrain depth, threat sources, and mission objectives. By considering these factors and integrating constraints, our approach establishes a multi-objective cost function as a guiding principle for AUV trajectory planning, enabling them to navigate cooperatively. This transforms the path planning problem into a complex, multi-constraint, strongly coupled, multi-objective optimization and decision problem.
(iii).
Drawing inspiration from the marine biological characteristics of manta rays, we have proposed a three-dimensional path planning method for multiple AUVs based on the improved multi-objective manta ray foraging optimization (IMMRFO) algorithm. Our innovations include designing a novel chaotic mapping for initializing the manta ray population positions, improving the rolling factor ‘S’ for manta ray rolling foraging to achieve “adaptive cooperative rolling” and escape local optima, integrating cauchy reverse learning to expand search paths and population search range, and introducing non-dominated sorting to better balance multiple optimization objectives.
The remaining sections of this paper are organized as follows: Section 2 introduces the establishment of complex three-dimensional marine terrain models and other models. Section 3 presents the proposed IMMRFO algorithm. Section 4 showcases the experimental results. The paper is summarized in Section 5.

2. Three-Dimensional (3D) Environment Modeling for AUVs

In this study, we used advanced image sensing techniques to quantify the various threats that AUVs may face during their mission and create a robust mathematical model. We considered a variety of key factors, including terrain features, sonar monitoring data, the dynamic effects of ocean currents, potential mine threats, and the physical constraints inherent in AUVs. The underwater environment in which the AUV operates is then modeled to improve its performance and safety in underwater detection and surveillance missions.

2.1. Terrain Constraints

Based on the different underwater elevations (which are negative, but for the sake of convenience, we assign positive values starting from the seabed), the terrain can be categorized into three types: underwater plains, underwater mountainous areas, and underwater hilly areas. Among these, one of the most significant factors is the presence of underwater peaks. The modeling of underwater peaks is as follows:
Z X , Y = h e X X 0 2 m 1 Y Y 0 2 m 2 2 .
In (1), (X,Y) represents the coordinates corresponding to the peak above the seafloor, (X0, Y0) represents the coordinates corresponding to the center point of the peak, h represents the height, and m1 and m2 represent the steepness of the peak. The planned path is represented by waypoints. The terrain threat cost for the i-th waypoint of the j-th AUV is expressed as:
f Z , i j = K Z , i j , h i j Z i j 0 , K Z , i j , h i j Z i j 0.1 ,       0 , h i j Z i j > 0.1 .
where h i j is the altitude corresponding to the i-th track point of the j-th AUV, K Z , i j and K Z , i j are the threat factors; Z i j is the vertical height of the i-th track point of the j-th AUV from the seabed, and f Z , i j is the threat cost corresponding to the i-th track point of the j-th AUV. In addition, AUV path planning needs to consider the depth cost of the dive. In this paper, the total depth of AUV track points is taken to measure the depth cost of AUV, and the depth cost of the j-th AUV is shown as follows:
f H j = i = 1 n h i j
where n is the total number of track points in the j-th AUV. In AUV path planning, it is also necessary to consider the boundary range and the maximum height relative to the sea floor to ensure the safety of the AUV. Therefore, it is assumed that the horizontal boundary range of the AUV is (Xmin,Ymin) and (Xmax, Ymax), and the maximum height relative to the seabed is Hmax.

2.2. Threat Model Constraints

Sonar, ocean currents, and mines are the main sources of threats to AUVs. The modeling is as follows:
(i) Sonar Threat: Sonar detects information about the distance, speed, and relative position of enemy targets using sound waves. During the AUV path planning process, it must avoid its detection range. The sonar threat area is approximately represented as an ellipsoid, and the range represented on a three-dimensional plane is as follows:
S t h = { P ( X , Y , Z ) | P ( X , Y , Z ) S , ( y [ 0 , h ] [ ( X X 0 ) 2 / a 2 + ( Z Z 0 ) 2 / b 2 ] R 2 ) } .
In (4), Sth represents the region affected by the threat area, where X, Y, and Z correspond to the X-axis, Y-axis, and Z-axis of the three-dimensional plane. X0, Y0, and Z0 are the respective coordinates of the ellipsoid’s center; a and b represent the long and short radii of the ellipsoid. R is the radius of the corresponding sphere.
(ii) Ocean Current Threat: When AUVs navigate underwater, they may encounter strong ocean current areas, leading to energy consumption during navigation. To conserve energy and extend endurance, it is essential to avoid AUV routes passing through areas of strong ocean currents. In this paper, strong ocean current zones can be represented as follows:
S o = P ( X , Y , Z ) | P ( X , Y , Z ) S , ( Y [ 0 , h ] [ ( X X 0 ) 2 + ( Z Z 0 ) R 2 ) .
In (5), So represents the ocean current region.
(iii) Mine Threat: The area within the threat range of enemy mines is referred to as a no-go zone and must be avoided. In a three-dimensional plane, the threat range of mines is approximately represented as a hemisphere. The probability of the AUV being hit within the radius of the no-go zone is expressed as follows:
P M = P v P k / v .
P v = K 0 Δ h A S R S = k 0 sin θ , 0 θ 90
where Pk/v is a constant and represents the probability of the AUV being destroyed within the radius of the no-travel zone, K0 is the scale coefficient, and Rs is the oblique distance between the mine threat center and the AUV. θ is the overlooked angle of sight. Then:
P M = k 0 sin θ P k / v .
In the process of 3D model creation, the radius of the threat source is relatively large, so all threat sources can be equivalent to cylindrical terrain processing. The threat cost is expressed as follows:
f T , i j , m = K T m r i m 4 , r i m R T m ; 0 , r i m > R T m .
where K T m is the threat coefficient, rim is the linear distance from the i-th track point to the threat source m, RTm is the threat radius of the threat source, and f T , i j , m represents the cost from the i-th track point of the j-th AUV to the threat source m. The schematic diagram of each threat is shown in Figure 1.
Figure 1. Threat Sources Diagram.

2.3. Single AUV Constraints

The AUV will be constrained by its own turning angle α0 and climb angle β0. At the same time, there is its own fuel cost, which can be expressed in terms of distance. The maximum turning angle is set as αmax and the maximum climbing angle as βmax. The physical constraints are shown as follows:
J α , i j = 0 , α 0 < α max ; K h , α 0 > α max .
J v , i j = 0 , β 0 < β max ; K v , β 0 > β max .
J L , i j = l i , i > 1 ; 0 , i = 1 .
In (10)–(12), Kh and Kv are the threat coefficients for the yaw angle and climb angle, respectively. J α , i j and J v , i j represent the cost functions corresponding to α0 and β0 for the i-th waypoint of the j-th AUV. J L , i j is the physical constraint cost function for the i-th trajectory point of the j-th AUV. Combining all these cost functions, the physical constraint cost function for the i-th waypoint of the j-th AUV can be derived as follows:
f J , i j = J α , i j + J v , i j + J L , i j .

2.4. Path Smoothness Constraints

Path smoothness is a necessary condition for generating feasible paths and is calculated by calculating turning and climbing rates. As shown in Figure 2, the turning angle ϕ j i is the angle between two consecutive path segments. P j i P j + 1 i and P j + 1 i P j + 2 i are the projection of the horizontal plane 0xy, set k as the unit vector in the z-axis direction, then the calculation equation of the projection vector is:
P j i P j + 1 i = k × ( P j i P j + 1 i × k ) .
Figure 2. Diagram of turning and climbing angles of AUV.
Therefore, the turning angle is given by:
ϕ j i = arctan P j i P j + 1 i × P j + 1 i P j + 2 i P j i P j + 1 i P j + 1 i P j + 2 i .
Climb angle Ψ j i is the angle between path segment P j i P j + 1 i and its projection P j i P j + 1 i on the horizontal plane. It can be found by:
ψ j i = arctan z j + 1 i z j i P j i P j + 1 i .
In summary, the cost of path smoothness f s i for the i-th AUV is
f s i = λ 1 j = 1 n 2 ϕ j i + λ 2 j = 1 n 1 ψ j i ψ j 1 i .
In (17), λ1 and λ2 are the penalty coefficients for turning angle and climbing angle, respectively.

2.5. Multi-UAV Collaborative Constraint Model

When multiple AUVs work together to perform complex tasks, they need to achieve sufficient dispersion between each AUV’s navigation path while ensuring that they reach the same target point at the same time. The co-constraints of time and space are as follows:
t c i , j = P / t i t j , max t i min , t j min < min t i max , t j max 0 , e l s e
d c i , j = P / k = 1 n d p k i p k j ; 0 , e l s e
where P and P′ are sufficiently large constants, |titj| represents the time difference between the arrival of AUVi and AUVj at the target point, tci,j represents the time synergy coefficient between AUVs, p k i is the k-th path point in the path sequence of AUVi; d p k i p k j is the Euclidean distance between the k-th trajectory point of two AUVs, and n is the number of trajectory points. The time synergy condition is max[timin, tjmin] < min[timax, tjmax], which indicates that there is a crossover in the arrival time range of the AUV. In summary, we can conclude that the collaborative spatiotemporal constraint cost function fTDC for the i-th AUV and j-th AUV is:
f T D C = 1 / j = 1 M t c i , j + d c i , j .
where M is the number of collaborating AUVs.

2.6. Multi-Target Trajectory Cost Function for Multi-AUV Cooperation

The problem of multi-AUV collaborative trajectory planning involves the trajectory planning of a single AUV and the spatio-temporal coordination between AUVs. We select the total path length and threat cost of each AUV as conflict targets, and we construct a multi-objective optimization model suitable for multi-AUV collaborative trajectory planning. The specific equations are given as follows:
min l i , f i T , i = 1 , 2 , M . s . t . AUV   j   meets   its   own   physical   constraints AUVs   meet   spatiotemporal   collaborative   constraints
l i = k = 1 n d p k 1 p k
f j = i = 1 n ( σ 1 f Z , i j + σ 2 f H j + σ 3 f T , i j , m + σ 4 f J , i j + σ 5 f S , j i ) + σ 6 f T D C
where d p k 1 p k represents the Euclidean distance between path points pk−1 and pk, and σ1, σ2, σ3, σ4, σ5, and σ6 are different weight coefficients. In practical applications, weights are set to meet the task requirements.

3. Improved Multi-Objective Manta Ray Foraging Optimization

By combining the equation array in (21)–(23), the trajectory planning problem can be transformed into a multi-objective optimization problem. In this section, we design an IMMRFO algorithm and apply it to improve the efficiency and accuracy of multi-objective collaborative trajectory planning.

3.1. Manta Ray Foraging Optimization

MRFO mathematically models the different hunting behaviors of manta rays and describes the method of updating their positions. It exhibits significant improvements in robustness and solution accuracy compared with traditional swarm intelligence algorithms. It specifically describes three foraging behaviors: chain foraging, spiral foraging, and rolling foraging.

3.1.1. Chain Foraging

During the chain foraging process, the manta ray population arranges itself in a predatory chain. The mathematical model for the updating process is as follows:
x d i ( t + 1 ) = x d i ( t ) + r ( x d b e s t ( t ) x d i ( t ) ) + α ( x d b e s t x d i ( t ) ) , i = 1 x d i ( t ) + r ( x d i 1 ( t ) x d i ( t ) ) + α ( x d b e s t x d i ( t ) ) , i = 2 , 3 ,
α = 2 r | log ( r ) | .
In the equation, x d i ( t ) represents the position of the i-th individual in the t-th generation in d dimensions, r is a random number in the range [0, 1], and x d b e s t (t) represents the position of the best individual in the t-th generation in d dimensions.

3.1.2. Spiral Feeding

When the manta finds its prey, it approaches it in a kind of spiral. The mathematical model of location update mode is as follows:
(1) When t/T > rand, the manta ray spiral feeding equation is
x d i ( t + 1 ) = x d b e s t ( t ) + r ( x d b e s t ( t ) x d i ( t ) ) + β ( x d b e s t x d i ( t ) ) , i = 1 x d b e s t ( t ) + r ( x d i 1 ( t ) x d i ( t ) ) + β ( x d b e s t x d i ( t ) ) , i = 2 , 3 ,
β = 2 e r 1 T i + 1 T sin ( 2 π r 1 ) .
where T is the total number of iterations, t is the current number of iterations, and rand, r, and r1 are all represented as random numbers on [0, 1].
(2) When t/Trand, the manta ray spiral feeding equation is:
x d i ( t + 1 ) = x d r a n d ( t ) + r ( x d r a n d ( t ) x d i ( t ) ) + β ( x d r a n d x d i ( t ) ) , i = 1 x d r a n d ( t ) + r ( x d i 1 ( t ) x d i ( t ) ) + β ( x d r a n d x d i ( t ) ) , i = 2 , 3
x d r a n d = L b d + r ( U b d L b d ) .
where x d r a n d ( t ) is the random position of the d-dimension of the t-th generation, and Ubd and Lbd are the upper and lower bounds of the position variables. The schematic diagram of spiral foraging is shown in Figure 3.
Figure 3. Diagram of manta ray foraging behavior. (a) Chain foraging behavior. (b) Somersault foraging behavior. (c) Cyclone foraging behavior.

3.1.3. Rolling for Food

When tumbling for food, individual manta rays will use the position of the current optimal solution as the tumbling fulcrum and then roll to the other side of the mirror relationship with their current position. The mathematical expression is as follows:
x d i ( t + 1 ) = x d i ( t ) + S ( r 2 x d b e s t r 3 x d i ( t ) ) , i = 1 , 2 , , N .
In (30), r 2 and r 3 are random numbers on [0, 1]. S is the tumbling factor and the value is 2, and N is the number of individuals.

3.2. Improved Multi-Objective Manta Ray Foraging Optimization

3.2.1. Novel Chaotic Mapping Initialization

In SI, a set of solutions needs to be maintained, and heuristic rules are used to continuously evaluate and search for the optimal solution. The initial population plays a crucial role in the evolutionary process, influencing the starting point for the SI algorithm to search for the global optimal solution and directly affecting the convergence rate of the population as well as the accuracy of the final solution. MRFO’s initial population is randomly generated, which may result in insufficient population diversity and have a significant impact on iterations. Using chaotic mapping [18] for initialization can have a positive effect on the quality of the initial population. In this paper, we employ an infinite folding chaotic mapping to enhance the quality of the initial population. Its bifurcation diagram is shown in Figure 4a, and the variation curve of the z-coordinate applied to multi-AUV path planning is illustrated in Figure 4b. The update equation for this mapping is as follows:
x i + 1 = sin ( a π x i ) , x i [ 1 , 0 ) ( 0 , 1 ] .
Figure 4. Infinite folding chaotic mapping. (a) Bifurcation diagram. (b) Infinitely folded chaotic map change curve.
In (31), a is the chaotic control parameter, with a range of (0, 1). The existing chaotic sequence generated by the Infinite Folding Chaotic Mapping lacks thoroughness and uniformity in its distribution at the z-dimension. To address this limitation, this paper can be utilized to introduce a novel chaotic mapping method. The bifurcation diagram after applying this novel chaotic mapping method is shown in Figure 5a, and the variation curve of the z-coordinate applied to multi-AUV path planning is illustrated in Figure 5b. The update equation for the novel chaotic mapping is as follows:
x i = cos 1 u x i 1 ( 1 x i 1 ) 4
where u is a chaos control parameter with a range of (0, 1). The chaotic sequence is substituted into the individual position formula to find the individual position of the population. The equation is as follows:
x i d = L b d + x i ( U b d L b d ) .
Figure 5. New chaotic mapping. (a) Bifurcation diagram. (b) New chaotic map change curve.
x i d is the position of the i-th individual on the d-dimension, and Ubd and Lbd are the upper and lower boundaries of the D-dimension search space, respectively.
As shown in Figure 5, the chaotic sequence generated by the new chaos map is evenly distributed at its mean value of 0.5. Experimental verification of the improved initialization algorithm was carried out, and the MRFO algorithm of the population was initialized with the new chaotic mapping and compared with the original MRFO. A comparative experiment was conducted on the ZDT1 test function between the MRFO algorithm (referred to as IMMRFO1) and the original multi-objective MRFO algorithm using a new chaotic mapping to initialize the population. The results are shown in Figure 6. Among them, f1 is the objective function 1 of the ZDT1 test function, and f2 is the objective function 2 of the ZDT1 test function. The results were shown in Figure 4. It can be seen from the figure that the improved algorithm effectively reduces the cost of initializing the population.
Figure 6. Cost variation curve.

3.2.2. Adaptive Cooperative Tumbling

In the MRFO algorithm, rolling foraging is a frequent action that enhances the efficiency of manta ray foraging. There is a rolling factor ‘S’ in its mathematical model that determines the distance of rolling. In traditional MRFO algorithms, ‘S’ is usually set to 2. However, because the rolling factor ‘S’ remains constant during the iteration updates of the manta ray population in the traditional approach, it can easily lead to local optima during the search process. Therefore, this paper proposes a new jumping-rolling method. Based on the varying fitness of the population after each iteration, a changing rolling coefficient ‘ρ’ is introduced into the rolling factor. The rolling coefficient ‘ρ’ changes with the fitness variation of the manta ray population’s positions. This dynamic adjustment of the rolling factor ‘S’ with changing population fitness effectively broadens the search range, facilitating escape from local optima. This can be understood as manta rays adaptively rolling during foraging with the massive flapping of their pectoral fins. The introduction of ‘ρ’ makes the manta ray population’s changes more flexible, aiding in escaping local optima and seeking global optima, thus improving optimization accuracy. The updated equation for the rolling coefficient is shown in Equation (34):
ρ = 5 + 1 0.25 + e ( f i t n e s s ( i ) / f i t n e s s ( 1 ) )
where fitness(i) is the fitness of the manta ray at the i-th iteration. Therefore, the manta’s renewed pattern of tumbling for food becomes:
x d i ( t + 1 ) = x d i ( t ) + ρ s ( r 2 x d b e s t r 3 x d i ( t ) ) , i = 1 , 2 , N .
It can be seen from Equation (34) that the designed tumbling coefficient ρ changes continuously with the change of fitness in the iteration process. Adding ρ to manta rays’ tumbling foraging, as shown in Equation (35), ρ is constantly changing, so the tumbling range of manta rays is expanded; that is, the random search range of the population is increased. Comparative experiments were conducted on the ZDT1 test function between the MRFO algorithm (referred to as IMMRFO2) using the adaptive collaborative rolling strategy and the original multi-objective MRFO algorithm. The results are shown in Figure 7. It can be seen from the figure that, compared with MRFO, the new algorithm can jump out of the local optimal better.
Figure 7. Cost variation curve.

3.2.3. Fusion of Cauchy Reverse Learning and Non-Dominated Sorting

The Cauchy reverse learning strategy [19] involves reverse learning of the current solution in the solution space to find the corresponding Cauchy reverse solution, thereby increasing the probability of finding the optimal solution. Firstly, this strategy is applied during the spiral foraging phase, expanding the exploration space and optimizing the quality of the population during this phase. Simultaneously, during the chain foraging phase, a Cauchy reverse jump method is employed to generate a reverse population for the current population. This is advantageous for breaking out of local optima and accelerating the algorithm’s convergence. Assuming that in a d-dimensional space, the position of the manta ray is denoted as P = x(x1, x2, …, xk), where xd ϵ [Ubd,Lbd], and d = 1, 2, …, k. Ubd and Lbd represent the upper and lower boundaries of the manta ray in dimension d. The Cauchy reverse point of P is defined as follows:
QOP = rand((Ubd + Lbd)/2, Ubd + Lbdxd), d = 1, 2, …, k.
After population renewal in the chain foraging stage, n/2 individual manta rays with high fitness were selected, and their opposite positions were obtained through Cauchy reverse opposition learning, and the new renewal formula was revised, as shown in Equation (37). At the same time, the jump rate Jr is introduced, and if the chain foraging stage rand[0, 1] ≤ Jr[0, 1], the corresponding Cauchy reverse population is generated for the current population.
x d i ( t + 1 ) = x d i ( t ) n / 2 x d i ( t ) n / 2 ¯ .
In addition, we introduce a non-dominated sorting strategy [20] to enhance the optimization performance of the multi-objective algorithm. Comparative experiments were conducted on the ZDT1 test function between the MRFO algorithm (referred to as IMMRFO3) that introduced Cauchy reverse learning and a fast non-dominated sorting strategy and the original multi-objective MRFO algorithm, and the results are shown in Figure 8. It can be found that the Pareto boundary solution obtained by the improved algorithm has higher precision.
Figure 8. Cost variation curve.
The flow of the IMMRFO algorithm is shown in Figure 9.
Figure 9. IMMRFO algorithm flow.
Specific Procedures:
Step 1: Utilize the new chaotic mapping initialization, as per Equation (33), to generate the positions of the manta ray population.
Step 2: Perform chain foraging based on Equation (24), followed by Cauchy reverse learning for the population. Select the top n/2 manta ray individuals in terms of fitness and acquire their opposite positions through Cauchy reverse learning. Update their positions according to Equation (37).
Step 3: Execute spiral foraging based on Equations (26) or (28). Then, check if rand[0, 1] ≤ Jr[0, 1]. If this condition is met, apply Cauchy reverse learning.
Step 4: Incorporate the adaptive cooperative rolling factor ρ based on the different fitness values obtained in each iteration. Implement adaptive cooperative rolling foraging according to Equation (35).
Step 5: Calculate the fitness values, conduct non-dominated sorting, and adjust the size of the solution set based on crowding distance.
Step 6: Update the non-dominated solution set.
Step 7: Check if the termination condition is met. If it is, output the Pareto solution set. If not, repeat Steps 3 to 6.

3.3. Trajectory Planning Method Framework

The specific operations for the single AUV trajectory planning layer are as follows: Firstly, acquire three-dimensional terrain, threat, start, and target environmental information. Then, construct corresponding cost functions and constraint functions to obtain the objective function. Utilize the algorithm to encode population individuals and solve the objective function to obtain trajectory points. Afterward, perform smoothing on the trajectory points to create a set of candidate trajectories.
For the multi-AUV collaborative trajectory planning layer, the specific operations are as follows: Select a set of candidate trajectories generated by the single AUV trajectory planning layer. Calculate the time range for a particular AUV to reach its target location, and extrapolate to obtain the time ranges for all AUVs to reach their target locations. Subsequently, calculate the temporal intersections between different AUVs, determining the collaborative time intervals. Choose paths that satisfy the spatiotemporal coordination constraints to obtain the optimal collaborative trajectory planning solution, i.e., the Pareto solution set.
In summary, combining the models presented in Section 2 and incorporating the improved multi-objective manta ray foraging optimization algorithm, the underwater robot’s three-dimensional path planning is depicted in Figure 10.
Figure 10. Multi-AUV collaborative trajectory planning framework.

4. Experimental Simulation and Analysis of Path Planning

4.1. Trajectory Encoding and Optimization

In our algorithm, each path is represented by an individual manta ray. We define a particular manta ray within the population as a path composed of multiple trajectory points. In other words, an individual Xi of a manta ray in the population can be represented as: X i n =[ X i 1 , X i 2 , ⋯, X i n ], where n represents the total number of trajectory points. Each trajectory point X i n has three-dimensional spatial attributes (x, y, z). Therefore, the dimensionality of each manta ray is 3n. When planning the three-dimensional paths for multiple AUVs using our algorithm, we first determine the number of trajectory points. Then we keep the x-coordinate of the trajectory points fixed and treat the problem as a two-dimensional optimization, optimizing the y and z coordinates to determine the optimal route. During the actual navigation of the AUVs, we use the IMMRFO algorithm to optimize and obtain the trajectory points. To accommodate the continuous changes in the AUV’s path, we employ a cubic B-spline method to perform cubic spline interpolation on the path, smoothing it out and ultimately generating a more stable and smoother underwater inspection trajectory.

4.2. Simulation Experimental Conditions and Algorithm Parameters

The hardware simulation platform for the experiments is a computer with a 12th Gen Intel(R) Core (TM) i7-12700H 2.30 GHz processor and 16.0 GB of memory. The software platform used is Matlab R2020b. The population size is set to 200, and the number of iterations is set to 500. A dual-model experiment is established to simulate both single AUV trajectory planning and multi-AUV trajectory planning, enhancing the credibility of the proposed algorithm. In single AUV trajectory planning, the algorithm presented in this paper is compared with GWO [21], SSA [22], MFO [23], and BES [24]. In multi-AUV trajectory planning, the algorithm presented in this paper is compared with the solution performance of the Multi-Objective Grey Wolf Optimization (MOGWO), Multi-Objective Sparrow Search Algorithm (MOSSA), Multi-Objective Moth-Flame Optimization (MOMFO), Multi-Objective Bald Eagle Search (MOBES), and NSGA-III [25] algorithms. The main parameters during the path planning process are listed in Table 1.
Table 1. Main parameters in the path planning process.

4.3. Single AUV Trajectory Planning Simulation Experiment

In Experiment 1, the size of the terrain area is 100 km × 100 km. During the test, the maximum altitude of the AUV below sea level is 3 km. The AUV’s starting point and ending point are located at (1, 93, 0.5) km and (99, 8, 0.5) km, respectively. The centers of underwater mine threats are at (30, 80), (70, 50), and (40, 11), distributed within a radius of 9 km. The centers of sonar threats are at (75, 15) and (61, 90), with an effective radius of 10 km. The AUV trajectory paths and cost curves generated by each algorithm are shown in Figure 11a,b, respectively. The AUV’s distance traveled and optimal cost for Experiment 1 are presented in Table 2. Each algorithm runs 50 times.
Figure 11. Simulation diagram of Experiment One. (a) 3D scene and path. (b) Cost map of each algorithm. (c) Contour map of each algorithm’s planned path.
Table 2. Range and optimal cost of AUV in Experiment 1.
In Figure 11, according to the trajectory cost function (Equation (23)), it is evident that during the AUV’s path planning, it needs to simultaneously avoid terrain variations and threat sources such as underwater mines and ocean currents. The final path depends on the trajectory’s cost function and the optimization algorithm’s ability to find the best solution. If the optimization algorithm has weak search capabilities, the path points may become trapped in local optima, leading the AUV into threat zones or causing collisions with obstacles. From Figure 11a, it can be observed that the path planned by the GWO algorithm collides with underwater mountains. The path generated by the MFO algorithm initially avoids the mountains, but it fails to find a better path during iterations and maintains a high depth throughout the entire trajectory, indicating the insufficient optimization capabilities of the MFO algorithm. In contrast, the path generated by the algorithm proposed in this paper effectively avoids threat areas such as underwater sonars and mines while also navigating around underwater mountains and other obstacles. This is mainly because the optimization capabilities of the algorithm proposed in this paper are stronger. Compared with the other four algorithms, the path planned by the algorithm in this paper is the most optimal. From Table 2, it can be seen that the MFO algorithm has the longest average distance and highest cost, while the algorithm proposed in this paper has the shortest average distance and lowest cost. Relative to the other four optimization algorithms, the algorithm proposed in this paper reduces the average distance by 38.51–216.95 km, decreases the turning and pitch angle cost by 20–160, reduces the optimal cost loss by 4.36–49.97, and improves the success rate of optimization by 1.1–2.25 times. Furthermore, from Figure 11a,b, it can be observed that the SSA and BES algorithms converge too quickly and are prone to getting stuck in local optima. In contrast, the algorithm proposed in this paper can effectively escape local optima and has stronger optimization capabilities. This is because the algorithm in this paper utilizes a Cauchy reverse learning strategy, which provides strong optimization capabilities for individual trajectory points when facing complex terrain. This allows the algorithm to rapidly avoid threats and find the optimal path before encountering threat sources or collisions.

4.4. Multi-AUV Trajectory Planning Simulation Experiment

Two AUVs were selected for the simulation experiment, and a simulated terrain area of 100 km × 100 km × 5 km was created. The first UAV is referred to as UAV1, with its route starting and ending points at (15, 20, 0.5) and (70, 90, 0.5), respectively. UAV2’s route starts and ends at (40, 10, 0.5) and (90, 55, 0.5), respectively. Both UAVs have the same model. There are a total of five threat sources, including two sonar threats with centers at (30, 40) and (70, 60) and an effective radius of 10 km, with their effects represented as spirals. The combined threat of sonar, mines, and ocean currents is treated as a cylindrical threat, and there are three of them with centers at (35, 20), (65, 75), and (50, 60), and radii of 7 km, 8 km, and 5 km, respectively. The effects of these threats are represented as cylindrical volumes. Figure 12a shows the three-dimensional trajectory routes for multi-AUV collaborative planning; Figure 12b displays the convergence of the objective functions for each algorithm; and Figure 12c presents contour plots of the planned paths. Table 3 provides a comparison of the solution quality for each algorithm.
Figure 12. Simulation diagram of Experiment Two. (a) 3D scene and path. (b) Cost map of each algorithm. (c) Contour map of each algorithm’s planned path.
Table 3. Comparison of solution quality of various algorithms.
Figure 12a displays the spatial distribution of the shortest-range optimal paths for the two AUVs. Blue represents the path planned by MOGWO, pink represents the path planned by MOSSA, cyan represents the path planned by MOMFO, yellow represents the path planned by MOBES, green represents the path planned by NSGA-III, and red represents the optimal path planned by the algorithm presented in this paper. From Table 3, it can be observed that the algorithm proposed in this paper exhibits superiority in terms of average path length, average threat cost, shortest path length, and minimum threat cost. Compared with other algorithms, the proposed algorithm achieves the shortest path length and the lowest threat cost. Other algorithms show varying degrees of performance across different metrics. For instance, MOSSA, MOMFO, and MOBES have higher threat costs, while MOGWO has slightly longer average path lengths. The paths planned by MOBES cross threat sources multiple times, resulting in higher average and minimum threat costs. Meanwhile, as shown in Figure 12a, it can be seen that the flight paths of AUV1 and AUV2 planned by the algorithm in this paper do not intersect or overlap, indicating that the algorithm achieves spatial collaboration between the UAVs when optimizing the collaborative path planning problem of AUVs. In addition, from the distribution of the optimal Pareto solution set of each algorithm in Figure 10b, it can be found that the optimization effect of the proposed algorithm achieves shorter submerged paths and lower threat costs.

4.5. AUV Autonomous Obstacle Avoidance Test

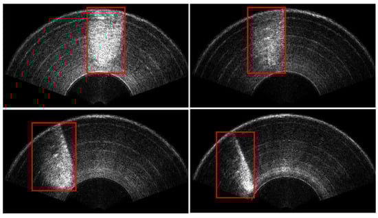
In AUV autonomous obstacle avoidance experiments, we use advanced sonar sensors to capture and analyze images of underwater environments to verify the autonomous obstacle avoidance performance of the proposed IMMRFO algorithm in actual underwater navigation tasks. These sonar images display the underwater scene in front of the AUV for the AUV to take obstacle avoidance measures [26]. The key two-dimensional forward-looking sonar images in the experiment are shown in Figure 13. The red rectangle represents an obstacle.
Figure 13. Key 2D forward-looking sonar images in the experiment.
As shown in Figure 11, the IMMRFO algorithm utilizes information from sonar images to assist the AUV in turning left to avoid obstacles. Through extensive experiments, we have observed that AUVs using the IMMRFO algorithm can efficiently navigate autonomously in complex underwater environments, effectively avoiding obstacles and collisions. This experiment verifies the feasibility and superiority of the IMMRFO algorithm in practical applications, providing a reliable solution for the autonomous navigation of multiple AUVs.

5. Conclusions

In this paper, we developed a 3D model that includes relevant factors such as underwater terrain, potential threats, and AUV constraints. In order to solve the limitations of the local optimization sensitivity and low convergence accuracy of the MRFO algorithm, we introduced a new algorithm, IMMRFO. We applied the IMMRFO algorithm to AUV navigation. The main goal is to minimize the path length and cost of the AUVs while ensuring safe navigation by avoiding underwater obstacles and threats and ultimately determining the optimal path. Both qualitative and quantitative experimental results confirm that the proposed IMMRFO can significantly enhance the path optimization capability and complete underwater autonomous obstacle avoidance, providing a novel and effective supplement solution for multi-AUV image sensing tasks in underwater environments. In our future research, we will continue to explore sensor fusion for enhanced perception, energy-efficient navigation, and method validation in other challenging environments, with the aim of improving the capabilities of AUVs to make them more versatile, robust, and efficient in underwater exploration and missions.

Author Contributions

Conceptualization, H.H. and M.N.; data curation, X.W., M.S.M. and H.W.; methodology, H.H., M.N. and X.W.; software, H.H.; validation, H.H., X.W. and M.N.; formal analysis, M.N.; investigation, X.W. and T.G.; resources, M.S.M. and H.W.; writing—original draft preparation, H.H. and X.W.; writing—review and editing, M.N.; visualization, H.H., M.N. and M.S.M.; supervision, M.N.; project administration, M.N., T.G. and M.S.M.; funding acquisition, H.H. and M.N. All authors have read and agreed to the published version of the manuscript.

Funding

This research was supported by the National Natural Science Foundation of China, grant number 52172379, 52172324, the Project of the Ministry of Science and Technology of China, grant number G2021171024L, the innovation creative base project of Shaanxi Province, grant number 300201000173, the special fund for the basic scientific research business expenses of Chang’an University Central Universities, grant number 300102323501, and the Open Fund Project of the Key Laboratory of Information Fusion and Control of Xi’an Smart Expressway (Chang’an University), grant number 300102323502.

Institutional Review Board Statement

Not applicable.

Data Availability Statement

The data presented in this study are available on request from the corresponding author.

Acknowledgments

The authors would like to express the heartfelt gratitude to everyone who has contributed to the completion of this paper. Special thanks to the reviewers and editorial department for their valuable guidance and support. The authors also thank the colleagues for their insightful discussions and constructive feedback. In addition, the authors are grateful for the financial support provided by various funds. Without the collective efforts of all parties mentioned above, this work would not have been possible, and the authors truly appreciate their assistance.

Conflicts of Interest

The authors declare no conflict of interest.

References

  1. Londhe, P.S.; Santhakumar, M.; Patre, B.M.; Waghmare, L.M. Task Space Control of an Autonomous Underwater Vehicle Manipulator System by Robust Single-Input Fuzzy Logic Control Scheme. IEEE J. Ocean. Eng. 2016, 42, 13–28. [Google Scholar] [CrossRef]
  2. Khatib, O. Real-time obstacle avoidance for manipulators and mobile robots. Int. J. Robot. Res. 1986, 5, 90–98. [Google Scholar] [CrossRef]
  3. Zhong, X.; Tian, J.; Hu, H.; Peng, X. Hybrid path planning based on safe A* algorithm and adaptive window approach for mobile robot in large-scale dynamic environment. J. Intell. Robot. Syst. 2020, 99, 65–77. [Google Scholar] [CrossRef]
  4. Almurib, H.A.; Nathan, P.T.; Kumar, T.N. Control and path planning of quadrotor aerial vehicles for search and rescue. In Proceedings of the SICE Annual Conference 2011, Tokyo, Japan, 13–18 September 2011; IEEE: Piscataway, NJ, USA, 2011; pp. 700–705. [Google Scholar]
  5. Zhao, Q.; Yan, S. Collision-Free path planning for mobile robots using chaotic particle swarm optimization. In Advances in Natural Computation; Lecture Notes in Computer Science; Springer: Berlin/Heidelberg, Germany, 2005; pp. 632–635. [Google Scholar]
  6. Miao, C.; Chen, G.; Yan, C.; Wu, Y. Path planning optimization of indoor mobile robot based on adaptive ant colony algorithm. Comput. Ind. Eng. 2021, 156, 107230. [Google Scholar] [CrossRef]
  7. Mirjalili, S.; Mirjalili, S.M.; Lewis, A. Grey Wolf Optimizer. Adv. Eng. Softw. 2014, 69, 46–61. [Google Scholar] [CrossRef]
  8. Kot, R. Review of Collision Avoidance and Path Planning Algorithms Used in Autonomous Underwater Vehicles. Electronics 2022, 11, 2301. [Google Scholar] [CrossRef]
  9. Sun, Y.; Luo, X.; Ran, X.; Zhang, G. A 2D Optimal Path Planning Algorithm for Autonomous Underwater Vehicle Driving in Unknown Underwater Canyons. J. Mar. Sci. Eng. 2021, 9, 252. [Google Scholar] [CrossRef]
  10. Bonyadi, M.R.; Michalewicz, Z. A locally convergent rotationally invariant particle swarm optimization algorithm. Swarm Intell. 2014, 8, 159–198. [Google Scholar] [CrossRef]
  11. Zhiwen, W.; Weijun, C.; Chunwu, Y. Three-dimensional path planning method based on improved ant colony algorithm for UUV. Torpedo Technol. 2016, 24, 120–125. [Google Scholar]
  12. Zeng, Z.; Sammut, K.; Lian, L.; He, F.; Lammas, A.; Tang, Y. A comparison of optimization techniques for AUV path planning in environments with ocean currents. Robot. Auton. Syst. 2016, 82, 61–72. [Google Scholar] [CrossRef]
  13. Kumar, S.V.; Jayaparvathy, R.; Priyanka, B.N. Efficient path planning of AUVs for container ship oil spill detection in coastal areas. Ocean. Eng. 2020, 217, 107932. [Google Scholar] [CrossRef]
  14. Li, B.; Mao, J.; Yin, S.; Fu, L.; Wang, Y. Path Planning of Multi-Objective Underwater Robot Based on Improved Sparrow Search Algorithm in Complex Marine Environment. J. Mar. Sci. Eng. 2022, 10, 1695. [Google Scholar] [CrossRef]
  15. Sahoo, S.P.; Das, B.; Pati, B.B.; Garcia Marquez, F.P.; Segovia Ramirez, I. Hybrid Path Planning Using a Bionic-Inspired Optimization Algorithm for Autonomous Underwater Vehicles. J. Mar. Sci. Eng. 2023, 11, 761. [Google Scholar] [CrossRef]
  16. Zhang, H.; Shi, X. An Improved Quantum-Behaved Particle Swarm Optimization Algorithm Combined with Reinforcement Learning for AUV Path Planning. J. Robot. 2023, 2023, 8821906. [Google Scholar] [CrossRef]
  17. Zhao, W.; Zhang, Z.; Wang, L. Manta ray foraging optimization: An effective bio-inspired optimizer for engineering applications. Eng. Appl. Artif. Intell. 2020, 87, 103300. [Google Scholar] [CrossRef]
  18. Varol Altay, E.; Alatas, B. Bird swarm algorithms with chaotic mapping. Artif. Intell. Rev. 2020, 53, 1373–1414. [Google Scholar] [CrossRef]
  19. Mao, Q.; Zhang, Q. Improved sparrow algorithm combining Cauchy mutation and opposition-based learning. J. Front. Comput. Sci. Technol. 2021, 15, 1155. [Google Scholar]
  20. Labbi, O.; Ahmadi, A.; Ouzizi, L.; Douimi, M. A non-dominant sorting genetic algorithm for optimization of a product design and selection of its suppliers. J. Adv. Manuf. Syst. 2020, 19, 167–188. [Google Scholar] [CrossRef]
  21. Soundarya, M.S.; Anusha, D.K.; Rohith, P.; Panneerselvam, K.; Srinivasan, S. Optimal path planning of UAV using grey wolf optimiser. Int. J. Comput. Syst. Eng. 2019, 5, 129–136. [Google Scholar]
  22. Xue, J.; Shen, B. A novel swarm intelligence optimization approach: Sparrow search algorithm. Syst. Sci. Control. Eng. 2020, 8, 22–34. [Google Scholar] [CrossRef]
  23. Ma, M.; Wu, J.; Shi, Y.; Yan, L.; Lu, W. Research on Multi-aircrafts Cooperative Arraying to Jam Based on Multi-objective Moth-Flame Optimization Algorithm. IEEE Access 2022, 10, 80539–80554. [Google Scholar] [CrossRef]
  24. Alsattar, H.A.; Zaidan, A.A.; Zaidan, B.B. Novel meta-heuristic bald eagle search optimization algorithm. Artif. Intell. Rev. 2020, 53, 2237–2264. [Google Scholar] [CrossRef]
  25. Yi, J.H.; Xing, L.N.; Wang, G.G.; Dong, J.; Vasilakos, A.V.; Alavi, A.H.; Wang, L. Behavior of crossover operators in NSGA-III for large-scale optimization problems. Inf. Sci. 2020, 509, 470–487. [Google Scholar] [CrossRef]
  26. Fallon, M.F.; Kaess, M.; Johannsson, H.; Leonard, J.J. Efficient AUV navigation fusing acoustic ranging and side-scan sonar. In Proceedings of the 2011 IEEE International Conference on Robotics and Automation, Shanghai, China, 9–13 May 2011. [Google Scholar]
Disclaimer/Publisher’s Note: The statements, opinions and data contained in all publications are solely those of the individual author(s) and contributor(s) and not of MDPI and/or the editor(s). MDPI and/or the editor(s) disclaim responsibility for any injury to people or property resulting from any ideas, methods, instructions or products referred to in the content.

Article Metrics

Citations

Article Access Statistics

Multiple requests from the same IP address are counted as one view.