Measuring Pathogenic Soil Fungi That Cause Sclerotinia Rot of Panax ginseng Using Real-Time Fluorescence Quantitative PCR
Abstract
1. Introduction
2. Materials and Methods
2.1. Materials
2.2. DNA Extraction from Fungi That Acquired from Table 1
2.3. Primer Design and Synthesis
2.4. Development of Standard Plasmids and Assessment of Primer Specificity by Real-Time PCR
2.5. Assessment of the Real-Time PCR System and Generation of Standard Real-Time PCR Curves
2.6. Establishment of the Relationship between the Mycelial Quantity of Sclerotinia Ginseng and the Ct Value in Soil
2.7. Establishment of the Relationship between the Number of Sclerotia in the Soil and the Ct Value
2.8. Assay of Field Soil Samples Using Specific Primers
2.9. Data Analysis
3. Results
3.1. Design and Synthesis of Specific Primers
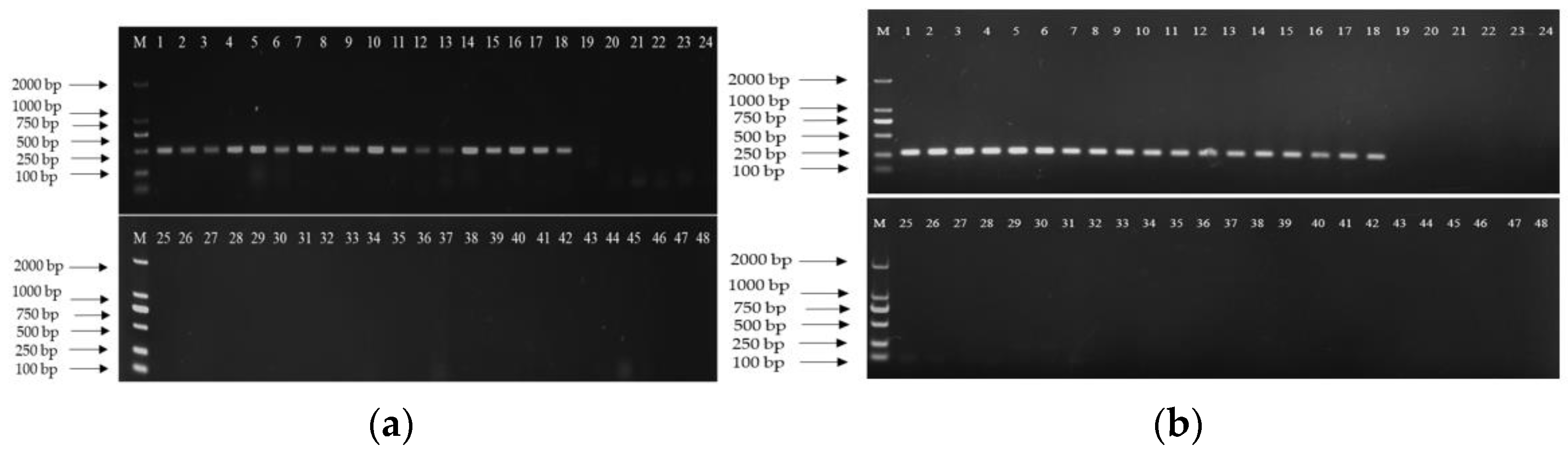
3.2. Specificity of Primers Assessed Using Conventional PCR
3.3. Specificity of Primers Assessed Using Real-Time PCR
3.4. Assessment of the Real-Time PCR System
3.5. Plotting Real-Time PCR Standard Curves of Sclerotinia spp.
3.6. Establishment of the Relationship between the Amount of Mycelium in the Soil and the Ct Value
3.7. Establishment of a Relationship between the Number of Sclerotia in the Soil and the Ct Value
3.8. Assay of Field Soil Samples Using Specific q2001F/q2001R Primers
4. Discussion
5. Conclusions
Supplementary Materials
Author Contributions
Funding
Institutional Review Board Statement
Data Availability Statement
Conflicts of Interest
References
- Wang, C.R.; Chen, C.F.; Chen, J.; Fu, J.F. Sclerotinia ginseng, A new species of Sclerotinia. Acta Mycol. Sin. 1995, 14, 187–188. [Google Scholar]
- Han, Y.L.; Wang, D.; Li, Z.B.; Zhou, R.J.; Fu, J.F. Study on myceliogenic germination of sclerotia of Sclerotinia ginseng. China Plant Prot. 2019, 39, 19–22+62. [Google Scholar]
- Chen, X.; Qi, F.K.; Kang, L.G.; Li, J.F. Advance and application of real-time fluorescent quantitative PCR. J. Northeast. Agric. Univ. 2010, 41, 148–155. [Google Scholar]
- Xu, X.G.; Liu, Y.T. Application of Real-time Fluorescence Quantitative PCR in Plant Disease. Chin. Agric. Sci. Bull. 2009, 25, 52–56. [Google Scholar]
- Zhu, Z.X.; Dong, Z.X.; Mo, R.L.; Hu, X.M.; Yu, C. Establishment and application of real-time PCR for detecting pathogens causing mulberry fruit sclerotiniosis. J. Plant Prot. 2022, 49, 909–916. [Google Scholar]
- Milner, H.; Ji, P.; Sabula, M.; Wu, T. Quantitative polymerase chain reaction (Q-PCR) and fluorescent in situ hybridization (FISH) detection of soilborne pathogen Sclerotium rolfsii. Appl. Soil Ecol. 2019, 136, 86–92. [Google Scholar] [CrossRef]
- Atallah, Z.K.; Bae, J.; Jansky, S.H.; Rouse, D.I.; Stevenson, W.R. Multiplex real-time quantitative PCR to detect and quantify Verticillium dahliae colonization in potato lines that differ in response to Verticillium wilt. Phytopathology 2007, 97, 865–872. [Google Scholar] [CrossRef]
- Ziesman, B.R.; Turkington, T.K.; Basu, U.; Strelkov, S.E. A quantitative PCR system for measuring Sclerotinia sclerotiorum in canola (Brassica napus). Plant Dis. 2016, 100, 984–990. [Google Scholar] [CrossRef]
- Kim, T.G.; Knudsen, G.R. Quantitative real-time PCR effectively detects and quantifies colonization of sclerotia of Sclerotinia sclerotiorum by Trichoderma spp. Appl. Soil Ecol. 2008, 40, 100–108. [Google Scholar] [CrossRef]
- Thomas, W.J.; Borland, T.G.; Bergl, D.D.; Claassen, B.J.; Flodquist, T.A.; Montgomery, A.S.; Gent, D.H. A Quantitative PCR Assay for Detection and Quantification of Fusarium sambucinum. Plant Dis. 2022, 106, 2601–2606. [Google Scholar] [CrossRef] [PubMed]
- Grabicoski EM, G.; Jaccoud-Filho DD, S.; Lee, D.; Henneberg, L.; Pileggi, M. Real-time quantitative and ion-metal indicator LAMP-based assays for rapid detection of Sclerotinia sclerotiorum. Plant Dis. 2020, 104, 1514–1526. [Google Scholar] [CrossRef]
- Roth, M.G.; Oudman, K.A.; Griffin, A.; Jacobs, J.L.; Sang, H.; Chilvers, M.I. Diagnostic qPCR assay to detect Fusarium brasiliense, a causal agent of soybean sudden death syndrome and root rot of dry bean. Plant Dis. 2020, 104, 246–254. [Google Scholar] [CrossRef]
- Meng, Z.; Zhang, W.P.; Wang, Y.; Li, L.; Ji, X.X.; Dong, B.; Qiao, K. Establishment and Application of Real-Time PCR for Quantitative Detection of Fusarium oxysporum f. sp. Lycopersici. Acta Hortic. Sin. 2022, 49, 2479–2488. [Google Scholar]
- Wang, X.Y.; Dong, C.M.; Yang, L.L.; Gao, Y.H.; Hou, W.C.; Gu, X.P.; Hou, Q.F. Establishment and Application of Real-Time Fluorescent Quantitative PCR Assay for Leaf Ring Rot of Rehmannia glutinosa. J. Chin. Med. Mater. 2022, 45, 530–535. [Google Scholar]
- Li, L.; Chen, L.D.; Huang, Y.S.; Xie, X.W.; Shi, Y.X.; Chai, A.L.; Li, B.J. Establishment and Application of Real-time Quantitative PCR Detection System for Black Scurf Pathogen in Potato (Solanum tuberosum). J. Agric. Biotechnol. 2021, 29, 1417–1425. [Google Scholar]
- Li, M.; Lu, B.H.; Gao, J.; Zhang, Y.J. Molecular Specific Detection of Phytophthora cactorum and Five Other Species of Phytophythora by Conventional PCR. J. Jilin Agric. Univ. 2022, 44, 135–142. [Google Scholar]
- Demontis, M.A.; Cacciola, S.O.; Orrù, M.; Balmas, V.; Chessa, V.; Maserti, B.E.; Migheli, Q. Development of real-time PCR systems based on SYBR® Green I and TaqMan® technologies for specific quantitative detection of Phoma tracheiphila in infected Citrus. Eur. J. Plant Pathol. 2008, 120, 339–351. [Google Scholar] [CrossRef]
- Wei, F.; Yu, Z.Z.; Shang, W.J.; Yang, J.R.; Xu, X.M.; Hu, X.P. Rapid detection and quantification of Verticillium dahliae microsclerotia in soil. Acta Phytopathol. Sin. 2013, 43, 449–457. [Google Scholar]
- Chen, C.J.; Li, J.; Zhao, W.; Wang, J.X.; Zhou, M.G. Detection of Sclerotinia sclerotiorum by a quantitative real-time PCR. Acta Phytopathol. Sin. 2011, 41, 516–525. [Google Scholar]
- Shen, Y.M.; Guo, C.J.; Wang, X.G.; Shen, R.Q.; Chen, A.C.; Hu, X.P. Rapid detection of Rhizoctonia solani AG3 sclerotia in soil by quantitative real-time PCR. Mycosystema 2017, 36, 1383–1391. [Google Scholar]
- Kang, Z.H.; Huang, J.L. Detection of Thielaviopsis basicola in soil with real-time quantitative PCR. Acta Phytopathol. Sin. 2010, 40, 210–213. [Google Scholar]
- Yu, Z.Z. Quantitative Detection of the Cotton Verticillium dahliae Microsclerotia of Cotton in Soil by Molecular Analysis. Master’s Thesis, Northwest A&F University, Xianyang, China, 2012. [Google Scholar]
- Gu, Y.Y.; Wang, L.N.; Yuan, J.; Zhang, Y.; Yao, L.M.; Ma, X.H.; Wang, B.; Wu, T.L. Identification of Hyacinth Bean Sclerotinia Pathogen and Its Biological Characteristics. China Veg. 2020, 10, 68–76. [Google Scholar]
- Xiao, R.; Yu, Z.Z.; Elsharawy, A.A.; Wei, F.; Yang, J.R. SYBR Green I real time RT-PCR assay for quantitatively detecting the occurrence of Verticillium dahliae of cotton in naturally infested Soil. Mycosystema 2011, 30, 598–603. [Google Scholar]
- Jansson, L.; Koliana, M.; Sidstedt, M.; Hedman, J. Blending DNA binding dyes to improve detection in real-time PCR. Biotechnol. Rep. 2017, 14, 34–37. [Google Scholar] [CrossRef]
- Lees, A.K.; Cullen, D.W.; Sullivan, L.; Nicolson, M.J. Development of conventional and quantitative real-time PCR assays for the detection and identification of Rhizoctonia solani AG-3 in potato and soil. Plant Pathol. 2002, 51, 293–302. [Google Scholar] [CrossRef]
- Shen, Y.M. Pathogen detection of potato black scurf in soil and evaluation of potato cultivars resistance to Rhizoctonia solani. Master’s Thesis, Northwest A&F University, Xianyang, China, 2017. [Google Scholar]






| Pathogen Name | Isolate Code | Hosts |
|---|---|---|
| S. ginseng | YC7, TH2, 149-1, 150-1 | P. ginseng |
| S. nivalis | YC5, KD616, CBG1-3 | P. ginseng |
| S. sclerotiorum | TH6, TH9, FS2 | P. ginseng |
| S. sclerotiorum | YB1-1, YB2-2, YB2-3 | N. tabacum |
| S. sclerotiorum | XRK1-1, XRK2-2, XRK2-3 | H. annuus |
| S. minor | JH6, YY6, JH1 | P. ginseng |
| R. solani | CB3-5, FS2-2 | P. ginseng |
| Phytophthora cactorum | FS1-1, BC8-11, SL2-1 | P. ginseng |
| Alternaria panax | JY14, JY37, CPA | P. ginseng |
| A. alternata | FS3-7, CS31-5 | P. ginseng |
| Fusarium solani | CS4, DH2-2 | P. ginseng |
| F. oxysporum | JB1-1, JB4-1 | P. ginseng |
| Colletotrichum panacicola | RS001, YL2-1 | P. ginseng |
| C. lineola | LHJ7-2, LHJ119 | P. ginseng |
| Botrytis fabae | DH-6, DH-7, SDF-1 | P. ginseng |
| B. cinerea | JA-6, HR-3, SJH-2 | P. ginseng |
| Pythium debaryanum | FM1-1, TH3-2 | P. ginseng |
| Cylindrocarpon destructans | CSM2-1, XF1-1, CS6-4 | P. ginseng |
| Code Number | Hosts | Locations | Longitude and Latitude |
|---|---|---|---|
| 1–10 | P. ginseng | Choushui, Baishan, Jilin, China | 41°52′25.36″ N, 127°42′52.66″ E |
| 11–20 | P. ginseng | Songjianghe, Baishan, Jilin, China | 42°11′10.24″ N, 127°28′31.73″ E |
| 21–30 | P. ginseng | Taishang, Tonghua, Jilin, China | 41°12′26.08″ N, 126°18′82.29″ E |
| 30–35 | P. ginseng | Yongxing street, Changchun, Jilin, China | 43°78′04.30″ N, 125°42′29.40″ E |
| 36–45 | P. ginseng | Taiwang, Tonghua, Jilin, China | 41°8′31.14″ N, 126°12′55.23″ E |
| 46–48 | P. ginseng | Liuhe, Tonghua, Jilin, China | 42°28′46.06″ N, 125°74′47.35″ E |
| 49–58 | P. ginseng | Changbai, Baishan, Jilin, China | 41°26′9.17″ N, 127°47′43.06″ E |
| 59–68 | P. ginseng | Yulin, Tonghua, Jilin, China | 40°59′17.04″ N, 125°57′44.18″ E |
| 69–78 | P. ginseng | Dunhua, Yanbian, Jilin, China | 43°56′52.43″ N, 128°43′05.57″ E |
| 70–86 | P. ginseng | Shangzhi, Haerbin, Heilongjiang, China | 45°27′60.84″ N, 127°51′25.60″ E |
| 87–91 | P. ginseng | Huanren, Benxi, Liaoning, China | 41°21′75.80″ N, 125°69′39.00″ E |
| Log Starting Quantity (Copies·μL−1) | Average Ct Value | SD (n = 5) | CV (%) |
|---|---|---|---|
| 1.87 × 105 | 4.196 | 0.060 | 1.4 |
| 1.87 × 104 | 9.642 | 0.166 | 1.7 |
| 1.87 × 103 | 14.566 | 0.154 | 1.0 |
| 1.87 × 102 | 19.566 | 0.191 | 0.9 |
| 1.87 × 101 | 23.286 | 0.403 | 1.7 |
| Samples | Ct Value | Severity | Samples | Ct Value | Severity | Samples | Ct Value | Severity |
|---|---|---|---|---|---|---|---|---|
| 1 | 23.99 | +++ | 32 | 23.80 | +++ | 63 | 24.09 | +++ |
| 2 | 23.81 | +++ | 33 | 23.64 | +++ | 64 | 35.07 | -- |
| 3 | 22.79 | +++ | 34 | 23.80 | +++ | 65 | 30.69 | + |
| 4 | 34.11 | + | 35 | 22.64 | +++ | 66 | 19.63 | ++++ |
| 5 | 33.09 | + | 36 | 23.66 | +++ | 67 | 23.72 | +++ |
| 6 | 28.75 | ++ | 37 | 23.92 | +++ | 68 | 23.60 | +++ |
| 7 | 30.10 | + | 38 | 0.00 | -- | 69 | 28.07 | ++ |
| 8 | 28.66 | + | 39 | 0.00 | -- | 70 | 32.99 | + |
| 9 | 24.31 | ++ | 40 | 23.06 | +++ | 71 | 30.29 | + |
| 10 | 26.84 | ++ | 41 | 36.72 | -- | 72 | 36.02 | -- |
| 11 | 19.39 | ++++ | 42 | 36.16 | -- | 73 | 25.65 | ++ |
| 12 | 19.84 | ++++ | 43 | 19.19 | ++++ | 74 | 36.68 | -- |
| 13 | 20.12 | ++++ | 44 | 24.73 | ++ | 75 | 22.81 | +++ |
| 14 | 20.33 | ++++ | 45 | 24.02 | +++ | 76 | 33.17 | + |
| 15 | 19.06 | ++++ | 46 | 19.84 | +++ | 77 | 30.13 | + |
| 16 | 17.80 | ++++ | 47 | 23.80 | +++ | 78 | 25.42 | ++ |
| 17 | 36.60 | -- | 48 | 33.72 | + | 79 | 22.88 | +++ |
| 18 | 20.60 | ++++ | 49 | 24.06 | +++ | 80 | 22.60 | +++ |
| 19 | 28.59 | + | 50 | 31.00 | + | 81 | 22.78 | +++ |
| 20 | 19.87 | ++++ | 51 | 34.57 | + | 82 | 20.85 | ++++ |
| 21 | 31.53 | + | 52 | 35.34 | -- | 83 | 23.67 | +++ |
| 22 | 33.61 | + | 53 | 28.83 | + | 84 | 24.36 | ++ |
| 23 | 33.87 | + | 54 | 18.85 | ++++ | 85 | 33.13 | + |
| 24 | 18.42 | ++++ | 55 | 18.57 | ++++ | 86 | 23.12 | +++ |
| 25 | 25.69 | ++ | 56 | 22.81 | +++ | 87 | 34.05 | + |
| 26 | 36.73 | -- | 57 | 22.73 | +++ | 88 | 22.66 | +++ |
| 27 | 23.20 | +++ | 58 | 26.83 | ++ | 89 | 21.84 | +++ |
| 28 | 21.23 | +++ | 59 | 22.73 | +++ | 90 | 31.87 | + |
| 29 | 23.92 | +++ | 60 | 22.64 | +++ | 91 | 31.83 | + |
| 30 | 24.05 | +++ | 61 | 22.33 | +++ | |||
| 31 | 23.84 | +++ | 62 | 22.89 | +++ |
Disclaimer/Publisher’s Note: The statements, opinions and data contained in all publications are solely those of the individual author(s) and contributor(s) and not of MDPI and/or the editor(s). MDPI and/or the editor(s) disclaim responsibility for any injury to people or property resulting from any ideas, methods, instructions or products referred to in the content. |
© 2023 by the authors. Licensee MDPI, Basel, Switzerland. This article is an open access article distributed under the terms and conditions of the Creative Commons Attribution (CC BY) license (https://creativecommons.org/licenses/by/4.0/).
Share and Cite
Feng, S.; Zhang, C.; Wang, X.; Chen, C.; Lu, B.; Gao, J. Measuring Pathogenic Soil Fungi That Cause Sclerotinia Rot of Panax ginseng Using Real-Time Fluorescence Quantitative PCR. Agriculture 2023, 13, 1452. https://doi.org/10.3390/agriculture13071452
Feng S, Zhang C, Wang X, Chen C, Lu B, Gao J. Measuring Pathogenic Soil Fungi That Cause Sclerotinia Rot of Panax ginseng Using Real-Time Fluorescence Quantitative PCR. Agriculture. 2023; 13(7):1452. https://doi.org/10.3390/agriculture13071452
Chicago/Turabian StyleFeng, Shi, Cong Zhang, Xue Wang, Changqing Chen, Baohui Lu, and Jie Gao. 2023. "Measuring Pathogenic Soil Fungi That Cause Sclerotinia Rot of Panax ginseng Using Real-Time Fluorescence Quantitative PCR" Agriculture 13, no. 7: 1452. https://doi.org/10.3390/agriculture13071452
APA StyleFeng, S., Zhang, C., Wang, X., Chen, C., Lu, B., & Gao, J. (2023). Measuring Pathogenic Soil Fungi That Cause Sclerotinia Rot of Panax ginseng Using Real-Time Fluorescence Quantitative PCR. Agriculture, 13(7), 1452. https://doi.org/10.3390/agriculture13071452

