Abstract
The Volga region is one of the main grain-producing regions of Russia. Wheat stem rust caused by Puccinia graminis f. sp. tritici is among the most destructive fungal diseases of wheat. Recently, its harmfulness has increased in the Volga region. In this regard, an analysis of the resistance and diversity of the Sr genes in the Russian wheat cultivars is necessary. In this work, 126 wheat cultivars (including 23 durum wheat cultivars and 103 bread wheat cultivars) approved for use in the Volga region were evaluated for their resistance to two samples of P. graminis f. sp. tritici populations from different Volga region areas at the seedling stage. Specific DNA primers were used to identify resistance genes (Sr2, Sr24, Sr25, Sr26, Sr28, Sr31, Sr32, Sr36, Sr38, Sr39, and Sr57). Highly resistant cultivars (30 from 126) were identified. In bread wheat cultivars, the genes Sr31 (in 19 cultivars), Sr24 (in one cultivar), Sr25 (in 15 spring wheat cultivars), Sr28 (in six cultivars), Sr38 (in two cultivars), and Sr57 (in 15 cultivars) and their combinations—Sr31 + Sr25, Sr31 + Sr38, Sr31 + Sr28, Sr31 + Sr57, Sr31 + Sr28 + Sr57, and Sr31 + Sr24—were identified. The obtained results may be used to develop strategies for breeding rust-resistant cultivars.
1. Introduction
The Volga region (Middle and Lower Volga) occupies a vast territory—of 536.4 thousand km2. Along with the Krasnodar Krai and Western Siberia, the Volga region is the main grain-producing region of the Russian Federation. In this region, spring bread wheat is mainly cultivated, but recently the number of areas under winter bread wheat has been increasing, and the sown area under durum wheat cultivars has also increased.
Of the cultivars of spring bread wheat in the Middle Volga region, the most common are the cultivars created by the Samara Federal Research Center of the Russian Academy of Sciences Samara Research Institute of Agriculture, named after N. M. Tulaikov, including ‘Tulaikovskaya 5’, ‘Tulaikovskaya 10’, ‘Tulaikovskaya 100’, ‘Tulaikovskaya 108’, and ‘Tulaikovskaya 110’. In the Lower Volga region, the cultivars of the Federal State Budgetary Scientific Organization “Federal Center of Agriculture Research of the South-East Region” (23 cultivars) dominate. In the Saratov region, the sown area is 205,583 hectares, and it is mostly occupied by cultivars ‘Saratovskaya 55’ (8865 ha), ‘Saratovskaya 68’ (7017 ha), ‘Saratovskaya 70’ (10,550 ha), ‘Saratovskaya 73’ (6872 ha), ‘Saratovskaya 42’ (27,053 ha), ‘Saratovskaya 74’ (728 ha), ‘Albidum 32’ (10,016 ha), ‘Prokhorovka’ (107 ha), ‘Yugo-Vostochnaya 2’ (155 ha), ‘Dobrynya’ (15,286 ha), ‘Favorit’ (18,776 ha), ‘Voevoda’ (15,567 ha), and ‘Lebedushka’ (940 ha).
Stem rust caused by a biotrophic fungus Puccinia graminis f. sp. tritici Eriks. & E. Henn (Pgt) is one of the most dangerous wheat diseases. Yield losses during the epidemic development of the disease on susceptible cultivars can reach 50–100% [1]. In Eurasian countries, including Russia, since 2016, there has been an increase in the harmfulness of this pathogen. Aggressive races of the fungus appeared, causing the strongest epidemics of the pathogen both in Europe and in Russia, especially in Western Siberia and the Volga region [2,3,4,5]. There is also a possibility of bringing the Ug99 stem rust race to Russia. Affecting cultivars with the Sr31 gene, it was first recorded in Uganda in 1999 [6]. Later, pathotypes of the Ug99 race appeared, also affecting cultivars with resistance genes Sr24 (TTKST) and Sr36 (TTTSK). By 2020, there were already 15 biotypes of the pathogen [7], and the Ug99 race spread across the African continent to Iran and Pakistan according to the wind rose.
Due to the increasing harmfulness of stem rust, the molecular screening of disease resistance genes (Sr genes) in the spring and winter cultivars of bread wheat is carried out all over the world. In the United States, the resistance genes Sr2, Sr6, Sr17, Sr24, Sr31, Sr36, and SrTmp are common in winter wheat cultivars, while Sr6, Sr9b, Sr11, and Sr17 are common in spring wheat cultivars [8]. The analysis of Chinese wheat cultivars identified the Sr2, Sr31, Sr25, and Sr38 genes [9], as well as Sr28 [10]. In recent years, stem rust resistance genes have also been identified in European wheat cultivars. For example, the Sr8a, Sr31, Sr36, and Sr38 genes were identified in Croatian cultivars [11], while Sr38 was widespread in German cultivars, and Sr31 and Sr24 were rather less common [12].
The evaluation of the resistance of spring and winter durum and bread wheat cultivars to stem rust grown in the Volga region allows for the detection of resistant cultivars and the identification of their resistance genes, which shows the genetic base of the host on which the modern pathogen population is formed.
Thus, the aim of this work was to analyze resistance to stem rust and identify Sr genes in spring and winter wheat cultivars approved for cultivation in the Middle and Lower Volga regions.
2. Materials and Methods
2.1. Plant Material
Commercial Russian wheat cultivars recommended for cultivation in the Volga region were taken into account. There were 23 cultivars of durum wheat—22 cultivars of spring durum wheat and one cultivar (‘Kermen’) of winter durum wheat—61 cultivars of spring bread wheat, and 42 cultivars of winter bread wheat. A total of 126 commercial wheat cultivars were analyzed. All cultivars and a list of originators are presented in the Supplementary Materials (Tables S1–S3).
2.2. Virulence Analysis of P. graminis f. sp. tritici and Resistance Study of Wheat Cultivars
Stem rust samples collected in 2022 in the Arsky district of the Republic of Tatarstan (from the cultivar ‘Nadira’) and in the Samoilovsky district of the Saratov region (from the cultivar ‘Voevoda’) were used for inoculation in laboratory conditions (Figure 1). These cultivars are susceptible to stem rust. ‘Nadira’ is a new high-yielding purple grain cultivar, and ‘Voevoda’ is an old high-yielding cultivar, widely grown in the Volga region. The stem rust samples were multiplied on the susceptible cultivars, ‘Khakasskaya’ and ‘Morocco’, and wheat cultivars and lines were inoculated with the resulting inoculum. A phytopathological assessment was carried out according to the standard, using laboratory techniques on seedlings [13]. Samples were grown in 11 × 15 × 6 cm plastic boxes filled with ‘Terra Vita’ peat soil (https://nevatorf.ru/) on light fixtures at 21–23 °C with a 14 h photoperiod. A total of 10 samples were planted in each box (three plants per sample and one susceptible control variant, the ‘Khakasskaya’ cultivar). Ten-day-old seedlings with a fully unfolded first leaf were inoculated with a urediniospores suspension of P. graminis (the suspension concentration was 1 mg of urediniospores of the fungus per 1 mL of water with a ‘Tween 20‘). The inoculated plants were placed in a dark, humid chamber for 16 h at a temperature of 23 °C and 100% relative humidity and then returned to the light fixture. Reaction types were considered on the 12th day after the infection of seedlings according to a 0–4 Stakman scale [14]: “0”—no visible symptoms (immune reaction); “0;”—small necrotic spots, no urediniopustules; “1”—the smallest urediniopustules, surrounded by necrotic areas; “2”—small urediniopustules, surrounded by necrosis or chlorosis; “3”—medium urediniopustules with no necrosis, and perhaps surrounded by chlorosis; and “4”—large, often coalescing uredia pustules, usually without chlorosis. The resistance or susceptibility of a line was determined according to the type of reaction. Resistance was shown by reaction types “0”, “0;”, “1”, “2”; susceptibility by “3”, “4”, “X”. Signs “+” and “–” after the value of the type of reaction indicated a larger or smaller size of the urediniopustules of the fungus. The experiments were carried out in two replications. The virulence analysis of P. graminis f. sp. tritici was performed using a set of 20 differential lines (North American differential set: Sr5, Sr21, Sr9e, Sr7b, Sr11, Sr6, Sr8a, Sr9g, Sr36, Sr9b, Sr30, Sr17, Sr9a, Sr9b, Sr10, SrTmp, Sr24, Sr31, Sr38, and SrMcN), as well as other additional lines with Sr genes (Sr2compl, Sr8b, Sr12, Sr13, Sr15, Sr20, Sr22, Sr25, Sr26, Sr27, Sr28, Sr29, Sr32, Sr33, Sr35, Sr37, Sr39, Sr40, Sr44, SrWLD, Sr24 + 31, Sr36 + 31, Sr24 + 36, Sr7a + 12, Sr17 + 13, Sr7b + 18, Sr26 + 9g, and Sr33 + 5), and cultivars ‘Avrora’ (Sr31) and ‘Khakasskaya’ (the susceptible control). Cultivars and lines with Sr genes are shown in Supplementary Table S4.
Figure 1.
Map of the Volga region that shows areas where pathogen populations were collected (marked with a red circle); original maps taken from Fedorov E.E. https://fedoroff.net/ (accessed on 6 March 2023).
2.3. DNA Extraction and PCR Analysis
DNA was extracted from five-day-old wheat seedlings using the CTAB method [15]. To identify resistance genes (Sr2, Sr24, Sr25, Sr26, Sr28, Sr31, Sr32, Sr36, Sr38, Sr39, and Sr57), DNA markers used in marker-assisted selection (MAS) were applied: Sr2- CAPS marker csSr2 [16], Sr24 gene—STS markers Sr24#12 and Sr24#50 [17], Sr25—STS marker Gb [18], Sr26—STS marker Sr26#43 [17], Sr28—DaRT marker wPt-7004-PCR and SSR marker Xwmc332 [19], Sr31—STS markers SCM9 and IAG95 [20,21], Sr32—STS marker csSr32#2 [22], Sr36—SSR marker Xstm773-2 [23], Sr38—STS marker VENTRIUP-LN2 [24], Sr39—STS marker Sr39#22 [25], and Sr57/Lr34—STS marker csLV34 [26]. To set up PCR, the PCR mixture BioMaster HS-Taq PCR-Color (2×) (BIOLABMIX LLC, Novosibirsk, Russia) and the following amplification conditions were applied: 95°—5 min, 35 cycles (95°—20 s, annealing temperature—30 s, 72°—1 min), and 72°— 5 min. The annealing temperature was individual for each pair of primers. For the Sr2 gene marker, csSr2, the following PCR mixture was used: 20 μL of the reaction mixture; bidistilled H2O—17.6 μL; a mixture of dNTPs (25 mM)—0.4 μL; primer R (10–15 pmol)—0.5 μL; primer F (10–15 pmol)—0.5 μL; 10× PCR buffer—2.5 μL; MgCl2 (50 mM)—1 μL; Taq polymerase (5 U)—0.5 μL; and genomic DNA—2 μL. The amplification conditions were as follows: 94°—4 min 30 s, 45 cycles (94°—1 min, 60°—1 min, 72°—2 min), 72—10 min. After PCR, the amplification products were treated with restriction endonuclease BspHI. PCR was performed on a C1000 Thermal Cycler (BioRad) device in two repetitions. Wheat cultivars and lines with the analyzed Sr gene were the positive control variant in the reaction. The susceptible wheat cultivars ‘Khakasskaya’ and ‘Inna’ were the negative control variant. The PCR mixture without DNA was the control variant for contamination. Amplification products were separated in agarose gels (2%) and stained with ethidium bromide. GeneRulerTM 50bp DNA Ladder Fementas was used as a molecular weight marker. Electrophoregrams were visualized using the ChemiDoc XRS+ (Bio-Rad, Hercules, CA, USA) gel-documenting system.
3. Results
3.1. Virulence Analysis of P. graminis f. sp. tritici
The virulence analysis of Tatarstan and Saratov fungus populations was carried out using a set of wheat lines with different resistance genes. Its results are presented in Table 1.
Table 1.
Resistance of Sr wheat lines to population samples of P. graminis f. sp. tritici 2022.
The following genes and their combinations were effective against both populations of the fungus: Sr2compl, Sr13, Sr24, Sr26, Sr27, Sr29, Sr31, Sr32, Sr35, Sr24 + Sr31, Sr36 + Sr31, Sr24 + Sr36, Sr26 + Sr9g, and Sr17 + Sr13. In addition to the listed resistance genes, the Sr33 and Sr39 genes and the combination of Sr33 + Sr5 genes were effective against the sample of the Tatarstan pathogen population, while Sr22 and the combination of Sr7a + Sr12 genes were effective against the Saratov population sample. In this paper, we specifically used the inoculums obtained from multiplying stem rust samples on susceptible cultivars rather than individual isolates of the fungus in order to maximize the full spectrum of virulence and to select the resistant cultivars. It should be noted that the Sr31 gene so far remains effective in Russia and, in particular, in the Volga region [4,27,28].
3.2. Analysis of the Wheat Cultivars Resistance to Stem Rust
3.2.1. Resistance of Durum Wheat Cultivars
In this work, 22 cultivars of spring durum wheat and one cultivar of winter durum wheat were analyzed. The results are presented in Table 2.
Table 2.
Evaluation of resistance to stem rust and identification of Sr genes in durum wheat cultivars in the Volga region.
Only four durum wheat cultivars (the spring cultivars ‘Bezenchukskaya krepost’, ‘Krasnokutka 13’, and ‘Triada’, as well as the only winter cultivar, ‘Kermen’) were resistant to both samples of fungus populations used in the analysis (17.4% of the analyzed durum wheat cultivars).
Fourteen durum wheat cultivars (61%) were resistant to the sample of the Tatarstan population of the fungus, which significantly exceeded the number of cultivars that were resistant to the Saratov stem rust population sample. Only five cultivars out of 23 (21.7%) were resistant to the Saratov sample of the fungus population collected from the ‘Voevoda’ cultivar. Most durum wheat cultivars were susceptible to this sample of the pathogen population (78.3% of cultivars).
3.2.2. Resistance of Bread Wheat Cultivars
In this work, 61 cultivars of spring bread wheat were analyzed. The results of the resistance evaluation are presented in Table 3.
Table 3.
Evaluation of resistance to stem rust and identification of Sr genes in spring bread wheat cultivars in the Volga region.
Fifteen cultivars that were resistant to both populations were identified: ’100 let TASSR’, ‘Balkysh’, ‘Burlak’, ‘Chistopol’skaya’, ‘Ekada 253’, ‘Ekada 258’, ‘Ekada 265’, ‘Ershovskaya 36’, ‘Kinel’skaya’ niva, ‘Kur’er’, ‘Kvartet L 375’, ‘Prohorovka, Ul’yanovskaya 105’, ‘Yugo-Vostochnaya 2’, and ‘Yugo-Vostochnaya 4’. A total of 40 out of 61 cultivars of the spring bread wheat (65.6%) were resistant to the Tatarstan pathogen population, and 17 cultivars (27.9%) were resistant to the Saratov population sample.
The results of the evaluation of the resistance of winter cultivars of bread wheat are presented in Table 4.
Table 4.
Evaluation of resistance to stem rust and identification of Sr genes in winter bread wheat cultivars in the Volga region.
As for the 42 analyzed cultivars of winter bread wheat, there were 11 cultivars (26,1%) that were resistant to both populations’ samples of stem rust: ‘Aelita’, ‘Bezostaya 100’, ‘Bulgun’, ‘Dzhangal’, ‘Gurt’, ‘Hasyr’, ‘Laureat’, ‘Levoberezhnaya 3’, ‘Liga 1’, ‘Timiryazevka 150’, and ‘Vekha’. Twenty-six cultivars (61,9%) were resistant to the sample of the Tatarstan population of the fungus, and thirteen (31%) were resistant to the population sample from the ‘Voevoda’ cultivar.
3.3. Identification of Resistance Genes in Wheat Cultivars
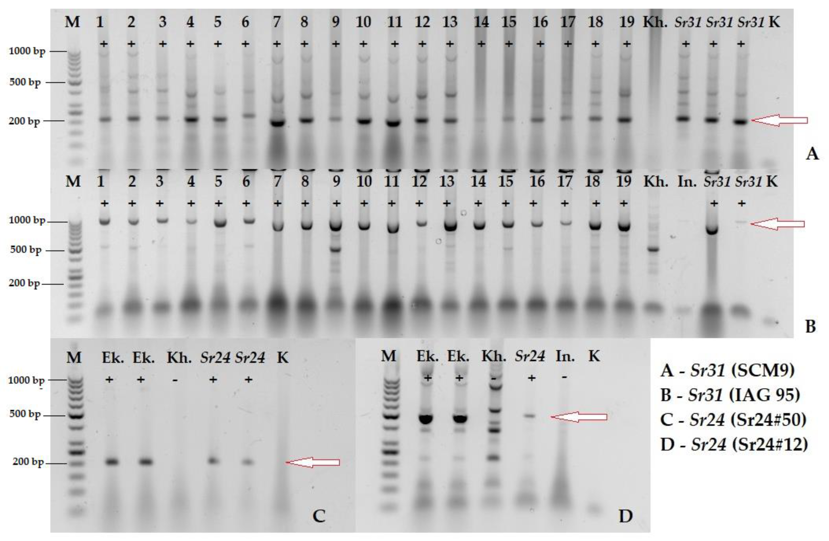
The results obtained from the identification of Sr genes in the analyzed wheat cultivars are presented in Table 3 and Table 4. No resistance genes were identified in durum wheat cultivars. The resistance genes Sr31, Sr24, Sr25, Sr28, Sr38, and Sr57/Lr34 were identified in bread wheat cultivars. Among the genes effective against Russian populations of P. graminis f. sp. tritici but ineffective against the Ug99 fungus race, the Sr31 gene was identified in spring and winter bread wheat cultivars. To identify Sr31, two markers were used in the study. These included SCM9, which reveals the wheat-rye translocation 1RS.1BL carrying a number of resistance genes, Sr31/Lr26/Yr9/Pm8, and the IAG95 marker (Figure 2A,B).
Figure 2.
Identification of the Sr31 and Sr24 genes using molecular markers. (A) Identification of the Sr31 gene using the molecular marker SCM 9. (B) Identification of the Sr31 gene using the molecular marker IAG 95: Sr31—cultivar ‘Avrora’, positive control; Khak., In.—cultivars ‘Khakasskaya’ and ‘Inna’ negative controls; №№ 1–19 (the cultivars: ‘100 let TASSR’, ‘Balkysh’, ‘Chistopol’skaya’, ‘Ekada 253’, ‘Ekada 258’, ‘Ekada 265’, ‘Ershovskaya 36’, ‘Kur’er’, ‘Kvartet L 375’, ‘Prohorovka’, ‘Yugo-Vostochnaya 2’, ‘Yugo-Vostochnaya 4’, ‘Antonina’, ‘Bezostaya 100’, ‘Bulgun’, ‘Gurt’, ‘Svarog’, ‘Timiryazevka 150’, and ‘Vekha’); K—control without DNA; M—molecular ladder 50 bp «Thermo Scientific™ GeneRuler™ DNA Ladder»; and the arrow indicates the diagnostic fragment with a molecular weight of 207 bp. (A), the arrow indicates the diagnostic fragment with a molecular weight of 1100 bp. (B); (C) Identification of the Sr24 gene in cultivar ‘Ekada 265’ using the molecular marker Sr24#50: Sr24—cultivar ‘Payne’, positive control; Ek.—cultivar ‘Ekada 265’; Khak.—cultivar ‘Khakasskaya’, negative control; K-control without DNA; M—molecular ladder 50 bp «Thermo Scientific™ GeneRuler™ DNA Ladder»; and the arrow indicates the diagnostic fragment with a molecular weight of 200 bp. (D) Identification of the Sr24 gene in cultivar ‘Ekada 265’ using the molecular marker Sr24#12: Sr24—cultivar ‘Payne’, positive control; Ek.—cultivar ‘Ekada 265’; Khak., In.—cultivars ‘Khakasskaya’ and ‘Inna’ negative controls; K-control without DNA; M—molecular ladder 50 bp «Thermo Scientific™ GeneRuler™ DNA Ladder»; and the arrow indicates the diagnostic fragment with a molecular weight of 500 bp.
Translocation 1RS.1BL (gene Sr31) was identified in 19 cultivars, namely in 12 spring cultivars—’100 let TASSR’, ‘Balkysh’, ‘Chistopol’skaya’, ‘Ekada 253’, ‘Ekada 258’, ‘Ekada 265’, ‘Ershovskaya 36’, ‘Kur’er’, ‘Kvartet L 375’, ‘Prohorovka’, ‘Yugo-Vostochnaya 2’, ‘Yugo-Vostochnaya 4’—and in 7 winter wheat cultivars—‘Antonina’, ‘Bezostaya 100’, ‘Bulgun’, ‘Gurt’, ‘Svarog’, ‘Timiryazevka 150’ and ‘Vekha’. The presence of Sr31 in the cultivars was confirmed by both markers. Using the Sr24#50 and Sr24#12 markers, the Sr24 gene was identified in only one of the analyzed spring bread wheat cultivars: ‘Ekada 265’ (Figure 2C,D). In ‘Ekada 265’, a combination of Sr31 + Sr24 genes was identified. Using VENTRIUP-LN2 primers, the Sr38 gene was identified in two winter wheat cultivars: ’Graf’ and ‘Svarog’. This gene was not identified in spring wheat cultivars. However, in 15 spring cultivars of bread wheat (Table 3), using the Gb marker recommended for MAS, the Sr25/Lr19 gene was identified. It was effective against the Ug99 race and its biotypes. Sr25/Lr19 was not identified in winter wheat cultivars. The Sr28 gene was identified using two markers: wPt-7004-PCR and Xwmc 332. The coincidence of diagnostic fragments for both markers was considered evidence of the presence of Sr28 in the test material. Thus, we postulated the presence of Sr28 in six cultivars: the spring wheat cultivar ‘Chistopol’skaya’, ‘Kur’er’, ‘Margarita’, ‘Sakara’, ‘Yugo-Vostochnaya 4’, and the winter wheat cultivar ‘Vertikal’. In 15 cultivars (four spring and 11 winter cultivars), the Sr57/Lr34 resistance gene (marker csLV34) was identified. The combination of Sr31 + Sr25 genes was identified in the spring cultivar ‘Kvartet L 375’. The combination of Sr31 + Sr38 genes was found in the winter cultivar ‘Svarog’. The combination of Sr31 + Sr28 genes was found in two spring cultivars: ‘Kur’er’ and ‘Yugo-Vostochnaya 4’. The combination of Sr31+Sr57/Lr34 genes was identified in the spring cultivar ‘Ekada 253’. The combination of Sr31 + Sr28 + Sr57/Lr34 genes was identified in the spring cultivar ‘Chistopol’skaya’, and a combination of resistance genes Sr31 + Sr24, which is very rare for Russian cultivars, was identified in the spring cultivar ‘Ekada 265’.
The Sr2, Sr26, Sr36, Sr32, Sr36, and Sr39 genes were not found.
4. Discussion
When analyzing wheat cultivar resistance to the Tatarstan and Saratov stem rust populations samples, we saw a general trend. The number of cultivars resistant to the Tatarstan population sample of P. graminis significantly increased compared with the number of cultivars resistant to the Saratov population of the pathogen population sample. The cultivars ‘Nadira’ and ‘Voevoda’ themselves, used as a source of the fungus samples of the populations, were highly susceptible to stem rust both in the field and in laboratory conditions. ‘Nadira’ is a new cultivar created by the Kazan Scientific Center of the Russian Academy of Sciences breeders. ‘Voevoda’ is a relatively old cultivar bred by the Federal Center of Agriculture Research of the South-East Region. It is known that the ‘Voevoda’ genome has a substitution of the wheat chromosome by the Agropyron intermedium chromosome 6(D)6Agi [29]. The virulence analysis of P. graminis f. sp. tritici samples of populations carried out on wheat lines with the Sr gene showed that they differed from each other in virulence against the lines with the Sr33, Sr12, Sr39, Sr33+Sr5, and Sr7a+Sr12 genes. However, as the ‘Voevoda’ cultivar had the Sr6Agi gene, the population sample collected from it also differed by virulence against this gene. The resistance genes Sr33 and Sr39 and the genes combination Sr33+Sr5 were effective against the Tatarstan population sample collected from the ‘Nadira’ cultivar, and genes Sr12 and Sr7a+Sr12 were effective against the Saratov population of the fungus from ‘Voevoda’. The Sr39 resistance gene was not found in the cultivars. It is unlikely that the Sr33 gene which introgressed into wheat from Aegilops tauschii present in Russian commercial cultivars, since “no wheat with Sr33 has been commercialized” [30]. Additionally, when analyzing the racial composition of the P. graminis f. sp. tritici populations samples used in this study, it was shown that an isolate of the TTTTF race was obtained from the Saratov population sample collected from the ‘Voevoda’ cultivar. Work to determine the racial composition of P. graminis f. sp. tritici populations in the Volga region is currently ongoing, and a separate article is being prepared. However, it can be already said that the presence of the TTTTF race in the Saratov population sample of P. graminis f. sp. tritici can explain the low number of cultivars resistant to it. In 2016 in Sicily, the TTTTF race infested several thousand hectares of durum wheat. It was the largest stem rust outbreak in Europe. The Sicilian race TTTTF is virulent against lines with the Sr9e and Sr13 resistance genes and avirulent against the Sr31, Sr24, and Sr25 genes [31]. However, in the same 2016, the TTTTF race, which differs from the Sicilian race, was identified in Western Siberia in Russia (according to the Global Rust Reference Center) [5]. Both the Tatarstan and Saratov stem rust population samples used in our work were avirulent against Sr13 and virulent against Sr25. The TTTTF race we obtained is likely to differ both from the Sicilian race and from the race obtained from Western Siberia. However, this assumption needs to be tested in further studies.
As for the juvenile resistance of the analyzed wheat cultivars, the following highly resistant cultivars were identified: durum wheat ‘Bezenchukskaya krepost’, ‘Krasnokutka 13’, ‘Triada’, and ‘Kermen’; spring bread wheat cultivars ‘100 let TASSR’, ‘Balkysh’, ‘Burlak’, ‘Chistopol’skaya’, ‘Ekada 253’, ‘Ekada 258’, ‘Ekada 265’, ‘Ershovskaya 36’, ‘Kinel’skaya niva’, ‘Kur’er’, ‘Kvartet L 375’, ‘Prohorovka’, ‘Ul’yanovskaya 105’, ‘Yugo-Vostochnaya 2’, and ‘Yugo-Vostochnaya 4’; and winter wheat cultivars ‘Aelita’, ‘Bezostaya 100’, ‘Bulgun’, ‘Dzhangal’, ‘Gurt’, ‘Hasyr’, ‘Laureat’, ‘Levoberezhnaya 3’, ‘Liga 1’, ‘Timiryazevka 150’, and ‘Vekha’. Long-used commercial wheat cultivars such as spring cultivars ‘Prohorovka’, ‘Yugo-Vostochnaya 2’, ‘Yugo-Vostochnaya 4’, ‘Kinel’skaya niva’, ‘Kur’er’, durum wheat ‘Krasnokutka 13’, and ‘Kermen’, alongside winter cultivars ‘Bulgun,’ ‘Dzhangal’, ‘Levoberezhnaya 3’ and ‘Liga 1’, were among the resistant cultivars. They were included in the Annual State Register of the Admitted Breeding Achievements of the State Commission of the Russian Federation for Breeding Achievements Test and Protection (FSBI «Gossortcommission» https://gossortrf.ru/en/) in 1996–2009 and marked as approved for use. Most of the resistant cultivars listed above are new. Among them, there are those that were included in the FSBI “Gossortcommission” Register in 2019–2022 (‘Triada’, ‘100 let TASSR’, ‘Balkysh’, ‘Burlak’, ‘Chistopol’skaya’, ‘Ekada 253’, ‘Ekada 258’, and ‘Timiryazevka 150’) and a completely new ‘Ekada 265’.
In this study, the Sr31, Sr24, Sr25/Lr25, Sr28, Sr38, and Sr57/Lr34 genes were identified in the analyzed bread wheat cultivars. The Sr genes were not identified in durum wheat cultivars. The resistant durum wheat cultivars may have other genes that are not included in the analysis or some new resistance genes. However, this requires further research to be conducted. The Sr31 gene was identified in 12 cultivars of spring and seven cultivars of winter bread wheat—19 cultivars in total, which accounted for 18.4% of the total number of 103 analyzed bread wheat cultivars (Figure 3).
Figure 3.
Representation of Sr genes in the studied wheat cultivars. Sr31 (’100 let TASSR’, ‘Balkysh’, ‘Chistopol’skaya’, ‘Ekada 253’, ‘Ekada 258’, ‘Ekada 265’, ‘Ershovskaya 36’, ‘Kur’er’, ‘Kvartet L 375’, ‘Prohorovka’, ‘Yugo-Vostochnaya 2’, ‘Yugo-Vostochnaya 4’, Antonina’, ‘Bezostaya 100’, ‘Bulgun’, ‘Gurt’, ‘Svarog’, ‘Timiryazevka 150’, and ‘Vekha’); Sr25 (‘Aleksandrit’, ‘Dobrynya’, ‘Ekada 113’, ‘Hazine’, ‘Kinel’skaya 2010’, ‘Kinel’skaya niva’, ‘Kinel’skaya yubilejnaya’, ‘Kvartet L 375’, ‘L 503’, ‘L 505’, ‘Lebedushka’ ‘Tulaikovskaya 10’, ‘Tulaikovskaya 108’, ‘Tulaikovskaya nadezhda’, and ‘Ul’yanovskaya 105’); Sr24 (‘Ekada 265’); Sr28 (‘Chistopol’skaya’, ‘Kur’er’, ‘Margarita’, ‘Sakara’, ‘Yugo-Vostochnaya 4’, and ‘Vertikal’); Sr38/Lr37 (’Graf’ and ‘Svarog’); and Sr57/Lr34 (‘Bair’, ‘Bazis’, ‘Chernozemka 115’, ‘Hasyr’, ‘Liga 1’, ‘Malahit’, ‘Proton’, ‘Resurs’, ‘Skirda’, ‘Svetoch’, ‘V’yuga’, ‘Chistopol’skaya’, ‘Ekada 253’, ‘Kazanskaya Yubilejnaya’, and ‘Zhigulevskaya).
Despite the fact that wheat cultivars with the Sr31 gene are affected by the Ug99 race and its biotypes, Sr31 remains the only gene present in Russian commercial cultivars that is effective against all Russian populations of the stem rust pathogen [4,27,28]. However, there were alarming reports about P. graminis f. sp. tritici isolates from the West Siberian stem rust population that were virulent against Sr31 [5]. As mentioned above, Sr31 is introgressed into the wheat from rye (Secale cereale L.), localized in the 1BL.1RS translocation, and closely linked to genes for resistance to leaf (Lr26) and yellow (Yr9) rusts, as well as to powdery mildew (Pm8). ‘Avrora’ and ‘Kavkaz’ cultivars, as carriers of 1BL.1RS, have long been used as parental forms in the development of wheat cultivars resistant to stem rust. The 1BL.1RS translocation is present in more than 650 bread wheat cultivars in Europe, Asia, Australia, and America [32,33]. In the present study, almost all cultivars carrying Sr31 were resistant to both stem rust population samples, except for winter cultivars ‘Antonina’ and ‘Svarog’, which turned out to be heterogeneous in the 1BL.1RS translocation. The Sr38 gene was not effective against the Volga populations of stem rust, although it was effective against the Novosibirsk and Altai populations of the pathogen [34]. It is linked to the gene for adult plant resistance (APR) to leaf rust (Lr37) and yellow rust Yr17 as part of the 2NS.2AS translocation from Triticum ventricosum L. In the present study, Sr38 was first identified in two winter cultivars: ‘Graf’ and ‘Svarog’. In the spring wheat cultivar ‘Aleksandrit’, a combination of the Sr25 + Sr38 genes was previously identified, which ensured the resistance of this cultivar to leaf rust and to the stem rust race Ug99 + Sr24 [35]. However, in this study, only the Sr25 gene was identified in ‘Aleksandrit’, and it was susceptible to the Tatarstan and Saratov populations samples of P. graminis.
At present, the resistance genes Sr28, Sr29, SrTmp (T. aestivum L.), Sr2, Sr13, Sr14 (T. turgidum L.), Sr22, Sr35 (T. monococcum L.), Sr37 (T. timopheevii Zhuk.), Sr32, Sr39 (Aegilops speltoides Tausch.), Sr47, Sr33, Sr45 (Ae. tauschii Coss.), Sr40 (T. araraticum Jakubz.), Sr25, Sr26, Sr43 (Agropyron elongatum Host.), Sr44 (Ag. intermedium Host.), Sr27, and 1A.1R (Secale cereale L.) remain effective for the Ug99 race and its biotypes. The combination of such juvenile genes as Sr22, Sr25, and Sr26 with APR resistance genes Sr57 and Sr55 remains effective [36,37]. The Sr25 gene was identified in 15 spring wheat cultivars (14,6%). As expected, it was not detected in winter cultivars. As previous studies have shown, the Sr25 gene, as well as the Sr6Agi gene, which were traditionally widely used in the breeding of spring wheat cultivars in the Volga region, lost their effectiveness in the Lower Volga region [4,38]. This was also confirmed in the present study. Such old cultivars as ‘Dobrynya’, ‘L 503’, and ‘L 505’, in which the presence of Sr25 was confirmed, as well as the new cultivar ‘Kinel’skaya 2010’ with identified Sr25, were susceptible to both stem rust populations’ samples. However, such cultivars as ‘Ekada 113’, ‘Hazine’, ‘Lebedushka’, ‘Tulaikovskaya 10’, and ‘Tulaikovskaya nadezhda’ were susceptible to the fungus population sample from the ‘Voevoda’ cultivar and resistant to the population sample P. graminis from ‘Nadira’. This is due to the possible presence of the Sr6Agi gene in them. Its presence was not identified in this study; however, it is known that ‘Lebedushka’ and ‘Tulaikovskaya 10’ cultivars have substitution combinations from Agropyron intermedium and A. elongatum—6(D)6Agi and 7DS-7DL-7Ae#1L, with genes Sr25 and Sr6Agi [29]. The cultivars ‘Kinel’skaya niva’ and ‘Ul’yanovskaya 105’, in which the presence of Sr25 was confirmed, were resistant to both pathogen populations’ samples. They probably contain other unidentified genes that affect the determination of the trait. Of the entire sample of cultivars, the Sr24 gene was identified only in one new spring bread wheat cultivar, ‘Ekada 265’, in which, for the first time, we identified an extremely promising combination of resistance genes, Sr31 + Sr24. The leaf rust resistance gene Lr24 linked to the Sr24 gene is highly effective against Russian populations of Puccinia triticina [39,40]. The Sr28 gene was identified in six bread wheat cultivars. Although it is not effective against Russian stem rust populations, it is effective against the race Ug99, which makes it valuable for breeding, especially when combined with Sr31, as, for example, in ‘Kur’er’ and ‘Yugo-Vostochnaya 4’ cultivars. The Sr28 gene was also identified in Chinese commercial cultivars [10]. Russian wheat cultivars were analyzed for the presence of this gene for the first time. The pleiotropic locus Sr57/Lr34/Yr18/Pm38/Bdv1, which determines APR non-specific resistance to biotrophic pathogens of the “slow rusting” type, was identified in five spring and ten winter cultivars of bread wheat (14.6% of the total number of analyzed cultivars of bread wheat). Wheat cultivars containing the Lr34/Yr18/Sr57/Pm38 locus are often susceptible to stem rust [41]. However, it was shown that the STS marker of the Lr34 gene, csLV34, was closely associated with resistance to Ug99 in winter and spring CIMMYT cultivars [42]. Additionally, the interaction of Lr34/Yr18/Sr57/Pm38 with other resistance genes was shown. Thus, when Lr34 was combined with the stem rust resistance gene SrCad, an additive effect was observed, i.e., a significant increase in resistance to the Ug99 stem rust pathogen race [43]. A new resistant cultivar ‘Chistopol’skaya’ stood out among the cultivars, in which the Sr57/Lr34 gene was identified during the study. A valuable combination of Sr31 + Sr28 + Sr57/Lr34 genes was identified in it for the first time, providing protection against Russian populations of stem rust and against the Ug99 race. It should be noted that according to originators, the bread wheat cultivars that we identified as resistant to stem rust at the seedling stage were also resistant to leaf rust in field conditions (Gossortcommission). Cultivars ‘Veha’ and ‘Bezostaya 100’ were highly resistant to all three types of rust (brown, yellow, and stem) in the field conditions.
5. Conclusions
Among the Russian cultivars approved for use in the Volga region, the spring and winter durum and bread wheat cultivars most resistant to stem rust were identified. These durum wheat cultivars were, namely, ‘Bezenchukskaya krepost’, ‘Krasnokutka 13’, ‘Triada’, and ‘Kermen’. They may be carriers of unknown resistance genes. In this work, Sr2, Sr24, Sr25, Sr26, Sr28, Sr31, Sr32, Sr36, Sr38, Sr39, and Sr57 were not identified in the resistant durum wheat cultivars. The identification of their resistance genes is a matter for further research.
The Sr31, Sr24, Sr25, Sr28, Sr38, and Sr57/Lr34 genes were identified in bread wheat cultivars. Sr31, Sr25, and Sr57 were the most common genes we identified, and only Sr31 was effective against the Volga region stem rust populations. Sr31 and Sr25 are widely used in Russian spring bread wheat breeding to ensure stem rust resistance. The Sr31 was identified in only 19 cultivars, and it can be concluded that the current Volga region Puccinia graminis f. sp. tritici population forms on susceptible wheat cultivars. We confirmed the partial loss of Sr25 gene efficiency in the Volga region. The Sr24 gene was identified in only one bread wheat cultivar, ‘Ekada 265’, in which it was combined with Sr31. It should be noted that the cultivars with combinations of the Sr31 gene, which are effective against Russian populations of P. graminis f. sp. tritici, and those with combinations of the Sr28 and Sr57 genes, which are effective against the Ug99 race biotypes, are promising for cultivation under the conditions of the epidemic development of the disease.
Supplementary Materials
The following supporting information can be downloaded at https://www.mdpi.com/article/10.3390/agriculture13030635/s1. Table S1: Durum wheat cultivars used in the study; Table S2: Spring bread wheat cultivars used in the study; Table S3: Winter bread wheat cultivars used in the study; Table S4: Sources of resistance genes used in the study.
Author Contributions
Conceptualization, methodology, formal analysis, investigation, data curation, writing—original draft preparation, writing—review and editing, and project administration, O.B.; conceptualization, resources, writing—review and editing, E.K. (Elmira Kon’kova); methodology, formal analysis, investigation, data curation, writing—review and editing, V.S. (Valeriya Solyanikova); methodology, formal analysis, investigation, data curation, writing—review and editing, E.K. (Elena Kyrova); conceptualization, resources, writing—review and editing, S.S. (Sergey Sibikeev); resources, writing—review and editing, V.S. (Valery Sergeev), S.G., S.S. (Sergey Shevchenko), P.M., D.D., L.B., I.A., A.T., N.V., D.A. (Damir Askhadullin) and D.A. (Danil Askhadullin). All authors have read and agreed to the published version of the manuscript.
Funding
This study was funded by the RSF (Russian Science Foundation), grant number 22-26-00172.
Institutional Review Board Statement
Not applicable.
Informed Consent Statement
Not applicable.
Data Availability Statement
All data are provided in the manuscript.
Acknowledgments
The creation of wheat cultivars was performed with financial support from the government assignment.
Conflicts of Interest
The authors declare no conflict of interest.
References
- Ashagre, Z.A. Detection of wheat stem rust (Puccinia graminis f. sp. tritici) physiological races from major wheat producing regions of Ethiopia. Aquac. Fish. Stud. 2022, 4, 1–6. [Google Scholar] [CrossRef]
- Lewis, C.M.; Persoons, A.; Bebber, D.P.; Kigathi, R.N.; Maintz, J.; Findlay, K.; Bueno-Sancho, V.; Corredor-Moreno, P.; Harrington, S.A.; Kangara, N.; et al. Saunders1Potential for re-emergence of wheat stem rust in the United Kingdom. Commun. Biol. 2018, 1, 13. [Google Scholar] [CrossRef] [PubMed]
- Vasilova, N.Z.; Askhadullin, D.F.; Askhadullin, D.F. Epiphytoty of stem rust on spring wheat in Tatarstan. Plant Prot. Quar. 2017, 2, 27–28. (In Russian) [Google Scholar]
- Baranova, O.A.; Sibikeev, S.N.; Druzhin, A.E. Molecular identification of the stem rust resistance genes in the introgression lines of spring bread wheat. Vavilov J. Genet. Breed. 2019, 23, 296–303. [Google Scholar] [CrossRef]
- Patpour, M.; Hovmøller, M.S.; Rodriguez-Algaba, J.; Randazzo, B.; Villegas, D.; Shamanin, V.P.; Berlin, A.; Flath, K.; Czembor, P.; Hanzalova, A.; et al. Wheat stem rust back in Europe: Diversity, prevalence and impact on host resistance. Front. Plant Sci. 2022, 13, 882440. [Google Scholar] [CrossRef]
- Pretorius, Z.A.; Singh, R.P.; Wagoire, W.W.; Payne, T.S. Detection of virulence to wheat stem rust resistance gene Sr31 in Puccinia graminis f. sp. tritici in Uganda. Plant Dis. 2000, 84, 203. [Google Scholar] [CrossRef]
- RustTracker.org. Available online: https://rusttracker.cimmyt.org/?page_id=22 (accessed on 28 January 2023).
- Kolmer, J.A.; Jin, Y.; Long, D.L. Wheat leaf and stem rust in the United States. Aust. J. Agric. Res. 2007, 58, 631–638. [Google Scholar] [CrossRef]
- Xu, X.; Yuan, D.; Li, D.; Gao, Y.; Wang, Z.; Liu, Y.; Wang, S.; Xuan, Y.; Zhao, H.; Li, T.; et al. Identification of stem rust resistance genes in wheat cultivars in China using molecular markers. PeerJ 2018, 6, e4882. [Google Scholar] [CrossRef]
- Li, T.Y.; Cao, Y.Y.; Wu, X.X.; Xu, X.F.; Wang, W.L. Seedling Resistance to Stem Rust and Molecular Marker Analysis of Resistance Genes in Wheat Cultivars of Yunnan, China. PLoS ONE 2016, 11, e0165640. [Google Scholar] [CrossRef]
- Spanic, V.; Rouse, M.N.; Kolmer, J.A.; Anderson, J.A. Leafand stem seedling rust resistance in wheat cultivars grown in Croatia. Euphytica 2015, 203, 437–448. [Google Scholar] [CrossRef]
- Flath, K.; Miedaner, T.; Olivera, P.; Matthew, N.; Jin, Y. Genes for wheat stem rust resistance postulated in German cultivars and their efficacy in seedling and adult-plant field tests. Plant Breed. 2018, 137, 301–312. [Google Scholar] [CrossRef]
- Jin, Y.; Singh, R.P.; Ward, R.W.; Wanyera, R.; Kinyua, M.; Njau, P.; Fetch, T.; Pretorius, Z.A.; Yahuaoui, A. Characterization of seedling infection types and adult plant infection responses of monogenic Sr gene lines to race TTKS of Puccinia graminis f. sp. tritici. Plant Dis. 2007, 9, 1096–1099. [Google Scholar] [CrossRef]
- Stakman, E.C.; Stewart, D.M.; Loegering, W.Q. Identification of Physiologic Races of Puccinia graminis var. tritici; United States Department of Agriculture—Agricultural Research Service: Washington, DC, USA, 1962; E-617. [Google Scholar]
- Murray, M.G.; Thompson, W.F. Rapid isolation of high molecular weight plant DNA. Nucleic Acids Res. 1980, 8, 4321–4325. [Google Scholar] [CrossRef] [PubMed]
- Mago, R.; Simkova, H.; Brown-Guedira, G.; Dreisigacker, S.; Breen, J.; Jin, Y.; Singh, R.; Appels, R.; Lagudah, E.S.; Ellis, J.; et al. An accurate DNA marker assay for stem rust resistance gene Sr2 in wheat. Theor. Appl. Genet. 2011, 122, 735–744. [Google Scholar] [CrossRef] [PubMed]
- Mago, R.; Bariana, H.S.; Dundas, I.S.; Spielmeyer, W.; Lawrence, G.J.; Pryor, A.J.; Ellis, J.G. Development or PCR markers for the selection of wheat stem rust resistance genes Sr24 and Sr26 in diverse wheat germplasm. Theor. Appl. Genet. 2005, 111, 496–504. [Google Scholar] [CrossRef]
- Prins, R.; Groenewald, J.Z.; Marais, G.F.; Snape, J.W.; Koebner, R. AFLP and STS tagging of Lr19, a gene conferring resistance to leaf rust in wheat. Theor. Appl. Genet. 2001, 103, 618–624. [Google Scholar] [CrossRef]
- Rouse, M.N.; Nava, I.C.; Chao, S.; Anderson, J.A.; Jin, Y. Identification of markers linked to the race Ug99 effective stem rust resistance gene Sr28 in wheat (Triticum aestivum L.). Theor. Appl. Genet. 2012, 125, 877–885. [Google Scholar] [CrossRef]
- Weng, Y.; Azhaguvel, P.; Devkota, R.N.; Rudd, J.C. PCR-based markers for detection of different sources of 1AL.1RS and 1BL.1RS wheat–rye translocations in wheat background. Plant Breed. 2007, 126, 482–486. [Google Scholar] [CrossRef]
- Mago, R.; Spielmeyer, W.; Lawrence, J.; Lagudah, E.S.; Ellis, G.J.; Pryor, A. Identification and mapping of molecular markers linked to rust resistance genes located on chromosome 1RS of rye using wheat-rye translocation lines. Theor. Appl. Genet. 2002, 104, 1317–1324. [Google Scholar] [CrossRef]
- Mago, R.; Verlin, D.; Zhang, P.; Bansal, U.; Bariana, H.; Jin, Y.; Ellis, J.; Hoxha, S.; Dundas, I. Development of wheat–Aegilops speltoides recombinants and simple PCR-based markers for Sr32 and a new stem rust resistance gene on the 2S#1 chromosome. Theor Appl Genet. 2013, 126, 2943–2955. [Google Scholar] [CrossRef]
- Tsilo, T.J.; Jin, Y.; Anderson, J.A. Diagnostic microsatellite markers for detection of stem rustresistance gene Sr36 in diverse genetic backgrounds of wheat. Crop Sci. 2008, 48, 253–261. [Google Scholar] [CrossRef]
- Helguera, M.; Khan, I.A.; Kolmer, J.; Lijavetzky, D.; Zhong-qi, L.; Dubcovsky, J. PCR assays for the Lr37-Yr17-Sr38 cluster of rust resistance genes and their use to develop isogenic hard red spring wheat lines. Crop Sci. 2003, 43, 1839–1847. [Google Scholar] [CrossRef]
- Mago, R.; Zhang, P.; Bariana, H.S.; Verlin, D.C.; Bansal, U.K.; Ellis, J.G.; Dundas, I.S. Development of wheat lines carrying stem rust resistance gene Sr39 with reduced Aegilops speltoides chromatin and simple PCR markers for marker assisted selection. Theor. Appl. Genet. 2009, 119, 1441–1450. [Google Scholar] [CrossRef] [PubMed]
- Lagudah, E.S.; McFadden, H.; Singh, R.P.; Huerta-Espino, J.; Bariana, H.S.; Spielmeyer, W. Molecular genetic characterization of the Lr34/Yr18 slow rusting resistance gene region in wheat. Theor. Appl. Genet. 2006, 114, 21–30. [Google Scholar] [CrossRef]
- Skolotneva, E.S.; Kosman, E.; Patpour, M.; Kelbin, V.N.; Morgounov, A.I.; Shamanin, V.P.; Salina, E.A. Virulence Phenotypes of Siberian Wheat Stem Rust Population in 2017–2018. Front. Agron. 2020, 2, 6. [Google Scholar] [CrossRef]
- Volkova, G.V.; Gladkova, E.V.; Miroshnichenko, O.O. Virulence of the North Caucasian population of Puccinia graminis Pers. f. sp. tritici. Bull. Russ. Agric. Sci. 2021, 2, 40–45. (In Russian) [Google Scholar] [CrossRef]
- Sibikeev, S.N.; Badaeva, E.D.; Gultyaeva, E.I.; Druzhin, A.E.; Shishkina, A.A.; Dragovich, A.Y.; Kroupin, P.Y.; Karlov, G.I.; Khuat, T.M.; Divashuk, M.G. Comparative Analysis of Agropyron intermedium (Host) Beauv 6Agi and 6Agi2 Chromosomes in Bread Wheat Cultivars and Lines with Wheat–Wheatgrass Substitutions. Russ. J. Genet. 2017, 53, 314–324. [Google Scholar] [CrossRef]
- McIntosh, R.A.; Wellings, C.R.; Park, R.F. Wheat Rusts: An Atlas of Resistance Genes; CSIRO Canberra: Canberra, Australia, 1995; p. 200. [Google Scholar]
- Bhattacharya, S. Deadly new wheat disease threatens Europe’s crops. Nature 2017, 542, 145–146. [Google Scholar] [CrossRef]
- Bulojchik, A.A.; Dolmatovich, T.V. Molecular identification of resistance genes to leaf rust of winter wheat cultivars released in the areas of the republic of Belarus. Proc. Natl. Acad. Sci. Belarus Biol. Ser. 2015, 3, 46–50. (In Russian) [Google Scholar]
- Oak, M.D.; Tamhankar, S.A. 1BL/1RS translocation in durum wheat and its effect on end use quality traits. J. Plant Biochem. Biotechnol. 2016, 26, 91–96. [Google Scholar] [CrossRef]
- Skolotneva, E.S.; Kelbin, V.N.; Shamanin, V.P.; Boyko, N.I.; Aparina, V.A.; Salina, E.A. The gene Sr38 for bread wheat breeding in Western Siberia. Vavilov J. Genet. Breed. 2021, 25, 740–745. [Google Scholar] [CrossRef]
- Druzhin, A.E.; Sibikeev, S.N.; Vlasovets, L.T.; Golubeva, T.D.; Kalintseva, T.V. The study of agronomic valuable and adaptive traits in a new cultivar of spring bread wheat Alexandrite produced by introgression breeding. Agric. Sci. 2018, 9, 12–17. (In Russian) [Google Scholar] [CrossRef]
- Food and Agriculture Organization of the United Nations. Available online: http://www.fao.org/agriculture/crops/rust/stem/stem-pathotypetracker/stem-effectivesrgenes/en/ (accessed on 20 January 2023).
- Kojshybaev, M. Wheat Diseases. Available online: https://www.fao.org/3/i8388ru/I8388RU.pdf (accessed on 28 January 2023).
- Baranova, O.A.; Sibikeev, S.N.; Druzhin, A.E.; Sozina, I.D. Loss of effectiveness of stem rust resistance genes Sr25 and Sr6Agi in the lower Volga region. Plant Prot. News 2021, 104, 105–112. [Google Scholar] [CrossRef]
- Gultyaeva, E.; Levitin, M.; Shaydayuk, E. Variability of the Russian populations of Puccinia triticina under the influence of the host plant. Biol. Commun. 2021, 66, 28–35. [Google Scholar] [CrossRef]
- Gultyaeva, E.; Gannibal, P.; Shaydayuk, E. Long-Term Studies of Wheat Leaf Rust in the North-Western Region of Russia. Agriculture 2023, 13, 255. [Google Scholar] [CrossRef]
- Voluevich, E.A. Pleiotropic effects of resistance genes of common wheat (Triticum aestivum L.) to biotrophic fungal pathogens. Proc. Natl. Acad. Sci. Belarus Biol. Ser. 2016, 2, 115–125. (In Russian) [Google Scholar]
- Yu, L.-X.; Barbier, H.; Rouse, M.N.; Singh, S.; Singh, R.P.; Bhavani, S.; HuertaEspino, J.; Sorrells, M.E. A consensus map for Ug99 stem rust resistance loci in wheat. Theor. Appl. Genet. 2014, 127, 1561–1581. [Google Scholar] [CrossRef] [PubMed]
- Hiebert, C.W.; Fetch, T.G.; Zegeye, T.; Thomas, J.B.; Somers, D.J.; Humphreys, D.G.; McCallum, B.D.; Cloutier, S.; Singh, D.; Knott, D.R. Genetics and mapping of seedling resistance to Ug99 stem rust in Canadian wheat cultivars ‘Peace’ and ‘AC Cadillac’. Theor. Appl. Genet. 2011, 122, 143–149. [Google Scholar] [CrossRef]
Disclaimer/Publisher’s Note: The statements, opinions and data contained in all publications are solely those of the individual author(s) and contributor(s) and not of MDPI and/or the editor(s). MDPI and/or the editor(s) disclaim responsibility for any injury to people or property resulting from any ideas, methods, instructions or products referred to in the content. |
© 2023 by the authors. Licensee MDPI, Basel, Switzerland. This article is an open access article distributed under the terms and conditions of the Creative Commons Attribution (CC BY) license (https://creativecommons.org/licenses/by/4.0/).


