Abstract
RNA polymerase II is an essential multiprotein complex that transcribes thousands of genes, being a fundamental component of the transcription initiation complex. In eukaryotes, RNA polymerase II is formed by a 10-multisubunit conserved core complex, and two additional peripheral subunits, Rpb4 and Rpb7, form the Rpb4/7 subcomplex. Although transcription is vital for cell and organismal viability, little is known about the transcription initiation complex in sugarcane. An initial characterization of the sugarcane RNA polymerase subunit IV (ScRpb4) was performed. Our results demonstrate that ScRpb4 is evolutionarily conserved across kingdoms. At the molecular level, ScRpb4 expression was found in vegetative and reproductive tissues. Furthermore, the expression of ScRpb4 remained stable under various stress conditions, most likely to ensure a proper transcriptional response. Optimal conditions to express ScRpb4 in vitro for further studies were also identified. In this study, an initial characterization of the sugarcane polymerase II subunit IV is presented. Our results open the window to more specific experiments to study ScRpb4 function, for instance, crystal structure determination and pull-down assays as well as their function under biotic and abiotic stresses.
1. Introduction
A precise and coordinated gene expression machinery controls transcription during plant development and in response to environmental stresses [,]. The abundance of functional mRNAs and small RNAs (snRNA) is precisely controlled by RNA polymerase II in a spatially and temporally defined manner [,,]. In eukaryotes, RNA polymerase II consists of a 10-multisubunit structurally conserved core complex and two additional peripheral subunits, Rpb4 and Rpb7 (Rpb4/7 subcomplex). The role of Rpb4 and Rpb7 in transcription is conserved among all kingdoms, and both proteins form a heterodimer localized near the primary transcript exit and next to the Carboxy-Terminal Domain (CTD) linkage region [,]. The Rpb4/7 subcomplex facilitates RNA polymerase II CTD dephosphorylation, a step needed for transcription initiation/termination []. Deletion of Rpb4 and mutations that disrupt Rpb4/7 subcomplex interaction increase phosphorylation []. Rpb7 is essential for cell viability in yeast, while Rpb4 is not required under optimal conditions []. Nevertheless, the Rpb4/7 subcomplex is essential in the transcriptional response to adverse environments [,,]. Characterization of the yeast Rpb4 has shown conserved residues at the N and C termini regions of the protein. However, the central portion of Rpb4 has non-conserved regions []. While the conserved Rpb4 regions show a high degree of identity among different species and are involved in the interaction with Rpb7, the non-conserved regions participate in the stability of the Rpb4/7 subcomplex [,,].
In plants, the function and identity of Rpb4 have been primarily studied in Arabidopsis [,,]. Unlike Rpb4 and Rpb7 from other organisms, which dissociate from the RNA polymerase II core subunits under mildly denaturing conditions, Arabidopsis Rpb4 and Rpb7 have a stronger association with the core subunits []. Interestingly, NRPD4, an Arabidopsis protein related to the Rpb4 subunit of RNA polymerase II, is a component of RNA polymerases IV and V, and is required for RNA-directed DNA methylation. Nevertheless, Rpb4 and NRPD4 have diverged significantly despite their sequence similarity, and NRPD4 cannot function as a subunit of the RNA Polymerase II [].
Sugarcane, an essential source of raw material for a diversity of human-consumed products, is a key commercial tropical and subtropical crop used historically to produce sugar and, more recently, ethanol []. The lack of a sugarcane reference genome due to its complexity and extreme polyploidy level has limited the characterization of many gene families []. Many studies focused on picturing transcriptional landscapes under drought stress, phosphate starvation, methyl jasmonate, abscisic acid, and flowering induction have been conducted in sugarcane [,,]. Together with others from different plant species, these studies have significantly improved our understanding of the transcriptional changes during plant development and in response to biotic and abiotic stresses [,,]. However, there are no reports focusing on the sugarcane RNA polymerase II complex, a fundamental enzyme involved in the transcriptional response in this crop. Most research efforts to understand the transcriptional initiation complex have been focused on yeast, mammals, and other organisms [,,,,,]. Arabidopsis has been the model organism in plants to study RNA polymerase II [,]. However, little is known on the RNA polymerase II subunits in sugarcane. Here, we present an initial characterization of the sugarcane polymerase II subunit IV (ScRpb4). Our results open the window to expand the knowledge of ScRpb4’s function. Determination of ScRpb4’s crystal structure, its protein–protein interactions, and its response under biotic and abiotic stresses will improve our understanding of the complex sugarcane gene expression machinery.
2. Materials and Methods
2.1. Sequence Retrieval and Phylogenetic Reconstruction
RNA polymerase II subunit IV (Rpb4) sequences from plants (monocots, dicots, and bryophytes), animals, and fungi were retrieved from public databases. When a gene had splice variants, primary transcripts were selected as representative for the gene []. The retrieved sequences were used as queries in an automated BLASTP search against all the genomes available in Phytozome []. Phylogenetic relationships were inferred by the Maximum Likelihood method and the Le-Gascuel model [] with 1000 Bootstrap replications using the MEGA X software [] as previously described []. Sequence accession numbers are listed in Supplementary Table S1.
2.2. Structural Analysis of the Sugarcane RPB4 Protein (ScRpb4)
A high-resolution 3D structure was obtained using the ScRpb4 protein as a query against the Protein Data Bank (PDB). Among all proteins deposited in the PDB, the human Rpb4 (PDB ID: 5iy9.1.D [] was retrieved as the protein with the highest sequence similarity (41.67%). A 3D model of the ScRpb4 protein (residues 6–143) was constructed based on the human Rpb4 template using the SWISS-MODEL database []. The secondary structure of the ScRpb4 protein was predicted using PSIPRED 4.0 []. The pairwise sequence alignment of sugarcane and human Rpb4 proteins was performed using EMBOSS Needle with the Needleman–Wunsch alignment algorithm []. The resultant alignment was visualized using BoxShade 3.21 (https://embnet.vital-it.ch/software/BOX_form.html, accessed on 11 October 2020).
2.3. Cloning of the Sugarcane RNA Polymerase II
The complete coding sequence of ScRpb4 (Acc. No. ADK66819.1) was obtained from the Sugarcane Assembled Sequence (SCRFHR1007G06.g) generated by the SUCEST project []. The full length of ScRpb4 was PCR amplified using specific primers (Supplementary Table S2) and cloned into the pGEM-T easy vector (Promega, Madison, WI, USA), thereby originating the pGEM-Rpb4 construct. PCR conditions were as follows: a final volume of 25 µL containing 50 ng of plasmid DNA, 0.20 µmol L−1 of each primer, 1.5 mmol L−1 MgCl2, 0.2 mmol L−1 of each dNTP, 1X reaction buffer, and 1 U Phusion high-fidelity DNA polymerase (#F-530S, ThermoFisher Scientific, Waltham, MA, USA) using a ProFlex PCR System (ThermoFisher Scientific, Waltham, MA, USA). Amplifications were performed using the following program: denaturation step of 4 min at 94 °C, followed by 35 cycles of a denaturation step at 94 °C for 45 s, an annealing step at 60 °C for 45 s, an extension step at 72 °C for 1.5 min, and then a final extension step at 72 °C for 5 min []. Double digestion using the BamHI and XhoI enzymes on the pGEM-Rpb4 construct yielded a product that was subcloned into pET-28a by chemical transformation in the DH10β strain of Escherichia coli. Selection for pET-28a was performed in solid LB medium containing 50 mg/mL of kanamycin and 34 mg/mL of chloramphenicol. The final construct was named pET-28a::Rpb4.
2.4. Induction and Expression Conditions of ScRpb4
To identify the ideal ScRpb4 expression conditions, E. coli cells containing pET-28a::Rpb4 were grown at 37 °C or 30 °C in 20 mL of liquid LB medium supplemented with 34 μg/mL of chloramphenicol for 2 h at 250 rpm. Subsequently, culture induction was performed with 100 mL of LB containing 100 μM of IPTG at 4 h, 6 h, and 16 h. At each induction time, samples were collected and centrifuged at 14,000 rpm at room temperature for 1 min and stored at −20 °C. We found that ScRpb4’s optimal expression conditions were at 4 h after IPTG induction at 37 °C. For all the subsequent experiments, a larger culture volume (500 mL) was used. Cultures were centrifuged at 5000 rpm at room temperature for 7 min. An aliquot of each pellet was dissolved and visualized in a 15% SDS-PAGE gel. Briefly, frozen samples were thawed, dissolved in 200 μL of Milli-Q water, and sonicated three times at a frequency of 13–16 kHz. Subsequently, 100 μL of sample buffer (β-mercaptoethanol 5%, Stacking Buffer 50 mM, Tris-HCl Ph = 6.8, SDS 2%, Glycerol 45%, Bromophenol Blue 0.02%) was added to each sample and boiled in water for 5 min. Polyacrylamide gel was loaded with 20 μL of each sample and ran at 150 V for 45 min. Coloration was achieved in a protein buffer solution for 30 min, followed by discoloration overnight.
2.5. ScRpb4 Gene Expression in Vegetative and Reproductive Tissues under Stress Conditions
RNA was extracted from different sugarcane tissues using Trizol (Invitrogen, Waltham, MA, USA) as previously described []. RNA integrity was confirmed using formaldehyde–agarose gel and quantified by spectrophotometry. Northern blots were conducted to evaluate the amount of RNA expression in different tissues. Nitrocellulose membranes were used for the following: (1) different tissues—mature leaf (L), immature leaf (IL), first (lowest) internode (In1), fourth internode (In4), lateral bud (B), root (R), flower (F); (2) in response to cold (4 °C) in vivo and in vitro; (3) lateral bud development; (4) in response to methyl jasmonate (MeJA) and abscisic acid (ABA); as well as (5) in roots exposed to phosphorus privation.
The 440 bp fragment corresponding to the complete ScRpb4 coding region cloned into pGEM-T easy was labeled using the Ready to Go DNA labeling beads kit (-dCTP) (Amersham Biosciences, São Paulo, Brazil). Probes were purified using Sephadex G50 columns (Amersham Biosciences, São Paulo, Brazil). Membranes were exposed for 96 h in phosphor imaging plates, and signals were detected in a FLA3000 equipment (Fujifilm, Osaka, Japan). Images were analyzed with the ImageGauge software (Fujifilm, Osaka, Japan).
2.6. In Situ Hybridization
RNA probes for in situ hybridization were generated using a 440-bp gene-specific fragment of the coding sequence of ScRpb4. Probes were amplified using the SAS SCRFHR1007G06.g from the SUCEST project using primers listed in Supplementary Table S2. Purified PCR products were cloned into the pGEM-T easy vector. Next, DNA was linearized using the NcoI restriction enzyme and then purified using the Monarch® DNA Gel Extraction Kit (New England Biolabs, Ipswich, MA, USA). The ScRpb4 sequence was confirmed by sequencing and then used to generate RNA probes by means of in vitro transcription using the DIG RNA Labeling Kit (Merck, Kenilworth, NJ, USA) as described in the manufacturer’s instructions. RNA transcripts by T7 and SP6 polymerase were applied to slides as sense and antisense probes, respectively []. RNA was precipitated by LiCl and stored at −80 °C until usage. Meristems and mature sugarcane leaf tissue samples were harvested and fixed in 3.7% (w/v) formaldehyde, 5% (v/v) acetic acid, and 50% (v/v) ethanol, before being vacuum infiltrated and stored at 4 °C overnight. Samples were dehydrated through a graded ethanol series, infiltrated with xylene, embedded in paraffin (Fisher Scientific), and sectioned at 10 mm []. Hybridized sections were observed and photographed after an overnight stain using an Axiovert 40 microscope (Zeiss, Oberkochen, Germany).
2.7. ScRpb4 Subcellular Localization
Total RNA was extracted from leaves of the sugarcane variety CP88-1762 using Trizol (Ambion) according to the manufacturer’s instructions. First-strand cDNA synthesis was performed using the iScript cDNA synthesis kit (Bio-rad, Hercules, CA, USA) as previously described []. Plasmids for subcellular localization were constructed using 35S promoter, eYFP, and the NOS terminator fragments amplified from pN_35S/mCitrine/P_UBQ10/Derlin1-mOrange2 [] obtained from Addgene (plasmid #118000). The ScRpb4 gene was amplified from sugarcane leaf cDNA. The primers used for cloning are listed in Supplementary Table S2. To generate 35S::eYFP and 35S::eYFP-ScRpb4 constructs, a Golden Gate cloning reaction was performed to assemble each fragment into pICH47732 plasmid [] using 20 U BsaI-HFv2 (New England Biolabs Inc., Ipswich, MA, USA) and 2.5 U T4 DNA ligase (Thermo Scientific, Shanghai, China) [].
Plasmid constructs (35S::eYFP or 35S::eYFP-ScRpb4) were transformed into Agrobacterium tumefaciens strain EHA105 using the freeze–thaw method. Transient expression using Agroinfiltration was performed on leaves of Nicotiana benthamiana plants grown in a greenhouse for 4 weeks. Three days after infiltration, the leaves were harvested, mounted in a microscope slide, and observed for fluorescent signals using a confocal laser scanning microscope (IX81-DSU, Olympus, Tokyo, Japan).
3. Results
3.1. Sugarcane Rpb4 Is Conserved across Kingdoms
The essential role of RNA polymerase II during the transcription of pre-mRNAs is well known [,]. However, the characterization of RNA polymerase II in sugarcane is far from complete. Thus, with the aim of assembling the complexity of the sugarcane’s transcriptional machinery, we investigated the role of the subunit IV (ScRpb4), one of the RNA polymerase II subunits, under stress conditions in vegetative and reproductive tissues. To identify and clone the ScRpb4 coding region, we used the Brazilian SUCEST project database []. ScRpb4 is a small protein encoded by 143 residues with a molecular weight of 16 kDa and codified by a sequence of 440 bp. The predicted tertiary structure of ScRpb4 (Figure 1A) shows high molecular spatial similarity to the solved human holo-pre-initiation complex protein in the initial transcribing state []. The ScRpb4 protein contains seven α-helices and one β-sheet (Figure 1A). Alignment of the ScRpb4 protein sequence with the human counterpart shows regions of a high degree of identity across the entire sequence (Figure 1B), especially in the central region (Figure 1C). A comparative analysis between the human and sugarcane sequences shows that the identified expressed sequence tag (EST) indeed codifies an RNA polymerase subunit.

Figure 1.
Structural analysis of the sugarcane Rpb4 protein. (A) The predicted tertiary structure of the ScRpb4 using the human Rpb4 protein (PDB ID: 5iy9.1.D) as a template. Different helical structures are indicated as I-VII. (B) Pairwise sequence alignment between ScRPB4 and human RPB4 (5iy9.1.D). (C) Secondary structural prediction of ScRPB4 protein. Conf, confidence of prediction; Cart, 3-state assignment cartoon (Strand, Helix, or Coil); Pred, 3-state prediction (E, strand; H, helix; C, coil); AA, amino acid sequences. Helices assigned as I-VII correspond to those from figure A. of the 3D structure.
To further explore the phylogenetic relationships between the sugarcane Rpb4 and proteins of other plant species and kingdoms, we constructed a phylogenetic tree using the Maximum Likelihood method (Figure 2). ScRpb4 has high homology to Setaria, sorghum, and maize within the monocotyledonous group. However, the evolutionary divergence of monocots’ Rpb4 proteins compared to dicotyledonous plants is clear (Figure 2). Interestingly, a related Rpb4 protein was also found in the bryophyte Marchantia polymorpha, which suggests the importance of this protein through evolution. Our analysis also yielded proteins in animals and fungi. Collectively, our analysis shows the presence of the RNA polymerase II subunit V across kingdoms and within many monocots and dicots plants.

Figure 2.
Rpb4 is conserved across kingdoms. Phylogenetic relationship of Rpb4 from plants (monocots, dicots, and bryophytes), animals, and fungi. Phylogenetic analysis was generated by the Maximum Likelihood method. A discrete Gamma distribution was used to model evolutionary rate differences among sites (5 categories (+G, parameter = 3.5673)). Numbers at the nodes represent the percent of bootstrap values based on 1000 replications.
3.2. Nuclear ScRpb4 Localization
The transcription machinery and its transcriptional regulators are known to be located in the nucleus. Since we did not have any information regarding whether the identified ScRpb4 was indeed a subunit of the RNA polymerase II, we decided to determine the subcellular location using transient expression in tobacco leaves. We fused the full coding sequence with the enhanced yellow fluorescence protein (eYFP) using the golden gate system (Figure 3A). ScRpb4 was localized in the nucleus (Figure 3B), corroborating the structural (Figure 1) and phylogenic analysis (Figure 2), which indicated the RNA polymerase II function. Interestingly, using WoLF PSORT, no predicted localization in the nucleus was found.

Figure 3.
Subcellular localization of Sugarcane Rpb4. (A) Schematic diagrams of plasmid constructs used in subcellular localization. 35S::eYFP (35S-eYFP-NosT) and 35S::eYFP-ScRpb4 (35S-eYFP-ScRpb4-NosT) were generated using the Golden Gate assembly. (B) Subcellular localization of eYFP protein and eYFP-ScRpb4 fusion protein in N. benthamiana leaf epidermal cells. Scale bar = 20 μm.
3.3. In Vitro Expression of the ScRpb4 Protein
Since little was known about the identity of the sugarcane Rpb4 protein, we decided to analyze its expression using an inducible system in small- and large-scale experiments. First, pET-28a::Rpb4, containing the ScRpb4 sequence cloned in the pET-28a expression vector, was evaluated in a small-scale experiment using two E. coli cell lines, pRi1 and pLysS. Both cell lines showed expression of the recombinant protein 4 h after induction (Figure 4A). However, the expression levels in pRi1 were much higher than in pLysS. While the protein expression levels in pRi1 were similar at 4, 6, and 24 h after induction, in pLysS, the protein expression levels decayed over time (Figure 4A). Our small-scale experiment showed that pET-28a::Rpb4, expressed in the E. coli cell line pRi1 at 37 °C, presented the best expression system for ScRpb4 during all times tested (Figure 4A). A large-scale experiment was then conducted to obtain larger protein amounts (Figure 3B). Overall, 4 h of induction at 37 °C using pRi1 cells constituted the best conditions to express sugarcane Rpb4. Our results open the window to more specific experiments to study ScRpb4 function; for instance, crystal structure determination and pull-down assays.

Figure 4.
ScRpb4 protein expression analysis in small and large scale using different expression Escherichia coli strains. (A) pET-28a::Rpb4 small scale expression at 37 °C. (B) pET-28a::Rpb4 large scale expression in pRil cells at 37 °C for 4 h. Protein expression induction was conducted with 100 μM IPTG and evaluated using 15% SDS-PAGE. The arrow indicates 19 kDa, the size of 6His-ScRpb4 recombinant protein. HAI, hours after IPTG induction.
3.4. ScRpb4 Is Expressed in Vegetative and Reproductive Tissues
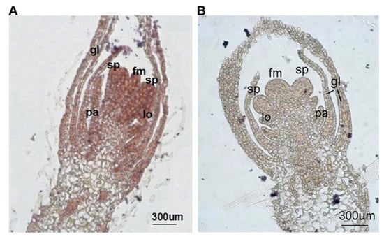
RNA polymerase II plays an essential role during vegetative and reproductive development. To elucidate the ScRpb4 expression patterns in both developmental stages, we synthesized ScRpb4 probes and hybridized them to transversal sections of mature sugarcane adult leaves (Figure 5A). Sense probes did not show any ScRpb4 signal (Figure 5b). We observed the ScRpb4 signal across the different cell layers of the mature sugarcane leaf. However, a robust ScRpb4 mRNA accumulation was observed in the bundle sheath cells (Figure 5A), compared with xylem, phloem, and mesophyll cells (Figure 5a). At the reproductive developmental stage, we selected meristematic tissues. Antisense probes hybridized to longitudinal sections of the reproductive meristem showed ScRpb4 mRNA expression in glumes, palea, lodicules, floral meristems, and spikelet pair meristem (Figure 6A). No signal was observed in the hybridization with the ScRpb4 sense probe in reproductive tissues (Figure 6B). Taken together, our results show the ubiquitous expression of ScRpb4, which reinforces the evidence that the EST clone codifies for the subunit IV of the RNA polymerase II.

Figure 5.
Ubiquitous expression of ScRpb4 transcripts in mature sugarcane leaves. (A) Hybridization signal of ScRpb4 mRNA across transversal sections of a mature sugarcane leaf. Accumulation of ScRpb4 transcripts is observed as a purple precipitate. (B) Sense probe used as a control. No signal was detected. bs, bundle sheath cells; x, xylem; p, phloem; mc, mesophyll cells. Scale bar = 300 µm.

Figure 6.
ScRpb4 expression in reproductive meristems. (A) Hybridization signal of ScRpb4 mRNA across longitudinal sections of meristems during reproductive development. ScRpb4 expression is represented as purple precipitate. (B) Expression of sense probes used as a control. No hybridization signal was observed. gl, glumes; pa, palea; lo, lodicules; sp, spikelet pair meristem; fm, floral meristem. Scale bar = 300 µm.
3.5. ScRpb4 Expression Is Maintained under Stress Conditions in Different Plant Tissues
One of the most common consequences of stress exposure in plants is a transcriptional disruption [,,,,]. Since ScRpb4 is a putative member of the transcriptional machinery in sugarcane, we tested ScRpb4’s transcriptional response to a variety of stress conditions. First, we checked the expression of ScRpb4 under control conditions in mature leaves (L), immature leaves (IL), first (lowest) internode (In1), fourth internode (In4), lateral buds (B), roots €, and flowers (F) (Figure 7A). In general, ScRpb4 transcripts were detected in all tissues tested. However, ScRpb4 showed stronger expression in immature leaves, lateral buds, roots, and flowers (Figure 7B). To assess ScRpb4’s transcriptional expression during lateral bud development, immature lateral buds were dissected and imbibed in water for 3, 4, 13, and 22 days. Throughout the developmental time course, we observed slight variations in the expression of ScRpb4 (Figure 7c).

Figure 7.
Sugarcane ScRpb4 gene expression. (A) Expression of ScRpb4 in different tissues: mature leaf (L), immature leaf (IL), first (lowest) internode (In1), fourth internode (In4), lateral bud (B), root (R), flower (F). (B) Expression of ScRpb4 in response to low temperatures. Plants were maintained for 24 h at 26 °C under control conditions and low temperatures 4 °C for 24 h. (C) Expression of ScRpb4 during lateral bud development at 3, 4, 13, and 22 days after imbibition in water. (D) Expression of ScRpb4 in response to methyl jasmonate (MeJA) and abscisic acid (ABA) for 48 h. (E) ScRpb4 expression in roots in response to phosphorus deprivation (−P) or normal conditions (+P) for 48 h. The numbers above each lane indicate the relative intensity of the hybridization signal. Asterisk indicates rRNA as an internal control. DAI, days after imbibition; HAT, hours after treatment.
To observe the effects of cold stress on the expression of ScRpb4 in mature leaves, we imposed a low temperature stress condition (4 °C) on sugarcane plants for 24 h. A parallel set of sugarcane plants was maintained under optimal conditions (26 °C) and used as controls. We observed no major changes in the expression of ScRpb4 under low temperatures (Figure 7B). To further evaluate the regulation of ScRpb4, we exposed mature leaves to methyl jasmonate (MeJA) and abscisic acid (ABA). MeJA is a plant regulator and was previously shown to control plant growth and developmental processes under changing environmental as well as biotic stresses []. ABA is a well-known phytohormone that regulates stomatal opening, adaptation to drought, salt, cold stresses, and many other physiological processes []. We exposed mature leaves to MeJA for 1 and 12 h and ABA for 6 and 12 h. Interestingly, as observed under cold conditions, the expression of ScRpb4 was not affected after MeJA and ABA treatment (Figure 7D). Finally, we tested the ScRpb4 expression in sugarcane roots in response to phosphorus deprivation (−P) for several time intervals between 0 and 48 h. Roots from a parallel set of sugarcane plants were exposed to normal phosphorus levels (+P) and were used as controls (Figure 7E). No change in the expression of ScRpb4 was observed in phosphorus deprivation (−P) and the control treatment (+P). It is worth noting that the expression of ScRpb4 was found ubiquitously and did not change in response to any type of stress. Since ScRpb4 might be a critical part of the transcriptional machinery, a well-protected and regulated mechanism may most likely control the expression of ScRpb4 under stress conditions and in all the tissues during plant development.
4. Discussion
Sugarcane transcriptomic studies [,,] have allowed the identification of genes involved in stress tolerance [,] as well as in plant development []. However, to date, there are no studies characterizing sugarcane RNA polymerase II, a key enzyme that transcribes thousands of protein-coding genes and non-coding RNAs with diverse functions. RNA polymerase is a complex molecule composed of multiple subunits. The fourth and seventh largest subunits—Rpb4 and Rpb7—form a heterodimer localized near the primary transcript exit and next to the carboxy-terminal domain linkage region []. Our structural comparison using the human Rpb4 subunit solved at a near-atomic resolution [] allowed us to predict ScRpb4’s tertiary structure (Figure 1A). However, unlike the human Rpb4 formed by six α-helices [], ScRpb4 contains seven α-helices (Figure 1C). The heterodimer formed by the human Rpb4 and Rpb7 is wrapped from the six helices of the Rpb4 protein and packed around the middle region of Rpb7. Rpb4’s fifth strand of the β-sheet is formed from residues near the N-terminus []. Despite the fact that ScRpb4 has an extra α-helix, the function likely is the same as previously described in many other organisms for the Rpb4 subunit.
Evolutionarily, ScRpb4 is a highly conserved protein present in all kingdoms (Figure 2). ScRpb4 shares the same subclade with Setaria italica, Sorghum bicolor, and Zea mays. Interestingly, we found five orthologous of the ScRpb4 in Setaria italica, but not in any of the other members within the analyzed monocotyledonous group. It remains unknown whether these extra copies of Rpb4 in Setaria italica are, in fact, functional genes or, in contrast, nonfunctional copies. In lettuce, for instance, genome triplication did not contribute to the increased gene number of LsHsp70s genes or LsHsfs []. Therefore, the increased number of Rpb4 genes in Setaria italica could be due to another evolutionary mechanism. On another hand, in rice, more than a thousand pseudogenes were identified as having high similarity to well-annotated gene models, albeit with gene frameshifts or premature stop codons []. In dicotyledonous plants, we also found many of the species analyzed with several Rpb4 copies. Nevertheless, it was not the case in Arabidopsis (Figure 2). Whole-genome duplications and triplications have been suggested as the drivers of the increased gene members [,]. However, these assumptions do not apply to all gene families []. Therefore, an extensive survey is necessary to pinpoint whether the increased number of Rpb4 in some monocotyledonous and dicotyledonous is an adaptative response to environmental cues or the result of whole-genome gene duplications or triplications.
ScRpb4 was strongly induced by IPTG in the E. coli pRil strain in small- and large-scale experiments. This initial characterization will allow further detailed study of the ScRpb4 protein. It has been demonstrated that Rpb4 forms a dissociable heterodimer with Rpb7 in yeast and other organisms [,,,]. The Rpb4/7 heterodimer has been shown to interact with various transcription factors [,], reinforcing its fundamental role within the transcription initiation complex. For instance, Rpb4 from the fission yeast Schizosaccharomyces pombe has been shown to physically interact with Formation of a Carboxy-terminal domain Phosphatase (Fcp1), a CTD phosphatase [,]. Fcp1 is an essential regulator of CTD phosphorylation and, hence, RNA polymerase function []. Rpb4/7 heterodimer has the capability to interact with several factors, especially in close proximity to the CTD, suggesting a function in the recruitment of CTD-binding [,,]. Therefore, the interaction of Rpb4 and transcription associated factors is critical for proper plant growth and development. Further, co-immunoprecipitation (Co-IP), yeast two-hybrid, and other protein–protein interaction assays could help elucidate whether Rpb7 interacts with Rpb4 in sugarcane and identify to which transcription factors they bind. Nevertheless, a complete characterization of the three-dimensional structure of the RNA Polymerase II is essential to understand the mechanisms that regulate transcription in sugarcane.
Regulation of gene expression is a key aspect during plant development. It is a continuous, dynamic, and flexible process that allows cells to acquire specific identities during vegetative and reproductive development [,]. RNA polymerase II plays a central role in this process. We found ubiquitous ScRpb4 expression in vegetative and reproductive sugarcane tissues (Figure 5 and Figure 6). In yeast and mammals, the expression of RNA polymerase II was also previously found to be ubiquitous [], which reinforces its essential role in expressing functional mRNAs and snRNA genes. Developmentally, Rpb4’s homologous genes in Arabidopsis [,], rice [], and maize [,] showed a similar expression pattern across all vegetative and reproductive tissues.
Abiotic and biotic stresses impair plant development and reproduction. To cope with a variable and constantly changing environment, plants launch a rapid and precise transcriptional response. These responses largely depend on the reliable expression of the RNA polymerase II subunit genes that form the transcription initiation complex and its associated transcription factors [,]. We did not see major changes in the expression of ScRpb4 in leaves treated with MeJA or ABA hormones and in roots exposed to low levels of phosphate (Figure 7). These results are in agreement with previous observations in S. pombe, in which Rpb4 functions in nuclear mRNA []. Thus, its function is critical to ensure proper gene expression under control and stress responses. In Arabidopsis and rice, stress experiments also showed no Rpb4 response to hormone applications, including ABA, MeJA, IAA, and GA-3 [,,]. These similar transcriptional expression patterns suggest a conserved protection mechanism to ensure RNA polymerase II expression under normal and stress conditions.
5. Conclusions
In summary, we isolated and characterized the ScRpb4 gene from sugarcane. Our experimental and in-silico data indicate that ScRpb4 is the subunit IV of the sugarcane RNA polymerase II. Our results show the stability of ScRpb4 expression during vegetative and reproductive development and under a variety of biotic and abiotic stress conditions. These data also provide initial evidence on the complex transcriptional machinery in sugarcane. Further studies are needed to better understand the entire RNA polymerase subunit complex.
Supplementary Materials
The following are available online at https://www.mdpi.com/article/10.3390/agriculture12010081/s1, Table S1: Protein sequences used in phylogenetic analysis, Table S2: Primers used in this study.
Author Contributions
T.K., F.O.D. and A.G. performed the experiments. M.M. and K.B. conceived the experiments. A.G., M.M. and K.B. analyzed the data. T.K. and A.G. prepared the figures. K.B. wrote the manuscript. All authors have read and agreed to the published version of the manuscript.
Funding
This research was funded by a grant from Fundação de Amparo a Pesquisa do Estado de Sao Paulo, FAPESP (grant 01/07546-1), to M.M. It was also funded by the Competitive Seed Grant Research Initiative (Grant No.52900129910) from the College of Agricultural and Life Sciences at the University of Florida to K.B. Furthermore, F.O.D was the recipient of a fellowship from FAPESP.
Institutional Review Board Statement
Not applicable.
Informed Consent Statement
Not applicable.
Data Availability Statement
Not applicable.
Acknowledgments
We are very grateful to Eduardo Kiyota for his assistance with the protein assays.
Conflicts of Interest
The authors declare no conflict of interest.
References
- Kaufmann, K.; Pajoro, A.; Angenent, G.C. Regulation of Transcription in Plants: Mechanisms Controlling Developmental Switches. Nat. Rev. Genet. 2010, 11, 830–842. [Google Scholar] [CrossRef] [PubMed]
- Nakashima, K.; Ito, Y.; Yamaguchi-Shinozaki, K. Transcriptional Regulatory Networks in Response to Abiotic Stresses in Arabidopsis and Grasses. Plant. Physiol. 2009, 149, 88–95. [Google Scholar] [CrossRef] [PubMed]
- Eick, D.; Geyer, M. The RNA Polymerase II Carboxy-Terminal Domain (CTD) Code. Chem. Rev. 2013, 113, 8456–8490. [Google Scholar] [CrossRef]
- Antosz, W.; Deforges, J.; Begcy, K.; Bruckmann, A.; Poirier, Y.; Dresselhaus, T.; Grasser, K.D. Critical Role of Transcript Cleavage in Arabidopsis RNA Polymerase II Transcriptional Elongation. Plant. Cell 2020, 32, 1449–1463. [Google Scholar] [CrossRef]
- Barba-Aliaga, M.; Alepuz, P.; Pérez-Ortín, J.E. Eukaryotic RNA Polymerases: The Many Ways to Transcribe a Gene. Front. Mol. Biosci. 2021, 8, 663209. [Google Scholar] [CrossRef] [PubMed]
- Allepuz-Fuster, P.; Martínez-Fernández, V.; Garrido-Godino, A.I.; Alonso-Aguado, S.; Hanes, S.D.; Navarro, F.; Calvo, O. Rpb4/7 Facilitates RNA Polymerase II CTD Dephosphorylation. Nucleic Acids Res. 2014, 42, 13674–13688. [Google Scholar] [CrossRef] [PubMed]
- McKune, K.; Richards, K.L.; Edwards, A.M.; Young, R.A.; Woychik, N.A. RPB7, One of Two Dissociable Subunits of Yeast RNA Polymerase II, Is Essential for Cell Viability. Yeast 1993, 9, 295–299. [Google Scholar] [CrossRef] [PubMed]
- Woychik, N.A.; Young, R.A. RNA Polymerase II Subunit RPB4 Is Essential for High- and Low-Temperature Yeast Cell Growth. Mol. Cell. Biol. 1989, 9, 2854–2859. [Google Scholar] [PubMed]
- Choder, M.; Young, R.A. A Portion of RNA Polymerase II Molecules Has a Component Essential for Stress Responses and Stress Survival. Mol. Cell. Biol. 1993, 13, 6984–6991. [Google Scholar] [PubMed]
- Choder, M. Rpb4 and Rpb7: Subunits of RNA Polymerase II and Beyond. Trends Biochem. Sci. 2004, 29, 674–681. [Google Scholar] [CrossRef]
- Sampath, V.; Rekha, N.; Srinivasan, N.; Sadhale, P. The Conserved and Non-Conserved Regions of Rpb4 Are Involved in Multiple Phenotypes in Saccharomyces Cerevisiae. J. Biol. Chem. 2003, 278, 51566–51576. [Google Scholar] [CrossRef]
- Meka, H.; Werner, F.; Cordell, S.C.; Onesti, S.; Brick, P. Crystal Structure and RNA Binding of the Rpb4/Rpb7 Subunits of Human RNA Polymerase II. Nucleic Acids Res. 2005, 33, 6435–6444. [Google Scholar] [CrossRef]
- Larkin, R.M.; Guilfoyle, T.J. Two Small Subunits in Arabidopsis RNA Polymerase II Are Related to Yeast RPB4 and RPB7 and Interact with One Another. J. Biol. Chem. 1998, 273, 5631–5637. [Google Scholar] [CrossRef]
- Ream, T.S.; Haag, J.R.; Wierzbicki, A.T.; Nicora, C.D.; Norbeck, A.D.; Zhu, J.-K.; Hagen, G.; Guilfoyle, T.J.; Paša-Tolić, L.; Pikaard, C.S. Subunit Compositions of the RNA-Silencing Enzymes Pol IV and Pol V Reveal Their Origins as Specialized Forms of RNA Polymerase II. Mol. Cell 2009, 33, 192–203. [Google Scholar] [CrossRef] [PubMed]
- He, X.-J.; Hsu, Y.-F.; Pontes, O.; Zhu, J.; Lu, J.; Bressan, R.A.; Pikaard, C.; Wang, C.-S.; Zhu, J.-K. NRPD4, a Protein Related to the RPB4 Subunit of RNA Polymerase II, Is a Component of RNA Polymerases IV and V and Is Required for RNA-Directed DNA Methylation. Genes Dev. 2009, 23, 318–330. [Google Scholar] [CrossRef] [PubMed]
- Formann, S.; Hahn, A.; Janke, L.; Stinner, W.; Sträuber, H.; Logroño, W.; Nikolausz, M. Beyond Sugar and Ethanol Production: Value Generation Opportunities Through Sugarcane Residues. Front. Energy Res. 2020, 8, 579577. [Google Scholar] [CrossRef]
- Thirugnanasambandam, P.P.; Hoang, N.V.; Henry, R.J. The Challenge of Analyzing the Sugarcane Genome. Front. Plant. Sci. 2018, 9, 616. [Google Scholar] [CrossRef]
- Papini-Terzi, F.S. Transcription Profiling of Signal Transduction-Related Genes in Sugarcane Tissues. DNA Res. 2005, 12, 27–38. [Google Scholar] [CrossRef] [PubMed]
- Ferreira, T.H.; Gentile, A.; Vilela, R.D.; Costa, G.G.L.; Dias, L.I.; Endres, L.; Menossi, M. MicroRNAs Associated with Drought Response in the Bioenergy Crop Sugarcane (Saccharum Spp.). PLoS ONE 2012, 7, e46703. [Google Scholar] [CrossRef]
- Manechini, J.R.V.; Santos, P.H.d.S.; Romanel, E.; Brito, M.d.S.; Scarpari, M.S.; Jackson, S.; Pinto, L.R.; Vicentini, R. Transcriptomic Analysis of Changes in Gene Expression During Flowering Induction in Sugarcane Under Controlled Photoperiodic Conditions. Front. Plant. Sci. 2021, 12, 635784. [Google Scholar] [CrossRef]
- Folsom, J.J.; Begcy, K.; Hao, X.; Wang, D.; Walia, H. Rice Fertilization-Independent Endosperm1 Regulates Seed Size under Heat Stress by Controlling Early Endosperm Development. Plant. Physiol. 2014, 165, 238–248. [Google Scholar] [CrossRef]
- Chen, C.; Begcy, K.; Liu, K.; Folsom, J.J.; Wang, Z.; Zhang, C.; Walia, H. Heat Stress Yields a Unique MADS Box Transcription Factor in Determining Seed Size and Thermal Sensitivity. Plant. Physiol. 2016, 171, 606–622. [Google Scholar] [CrossRef]
- Zhang, H.; Zhu, J.; Gong, Z.; Zhu, J.-K. Abiotic Stress Responses in Plants. Nat. Rev. Genet. 2021. Available online: https://www.nature.com/articles/s41576-021-00413-0 (accessed on 6 January 2022).
- Chung, W.-H.; Craighead, J.L.; Chang, W.-H.; Ezeokonkwo, C.; Bareket-Samish, A.; Kornberg, R.D.; Asturias, F.J. RNA Polymerase II/TFIIF Structure and Conserved Organization of the Initiation Complex. Mol. Cell 2003, 12, 1003–1013. [Google Scholar] [CrossRef]
- He, Y.; Yan, C.; Fang, J.; Inouye, C.; Tjian, R.; Ivanov, I.; Nogales, E. Near-Atomic Resolution Visualization of Human Transcription Promoter Opening. Nature 2016, 533, 359–365. [Google Scholar] [CrossRef]
- Kim, T.; Samraj, S.; Jiménez, J.; Gómez, C.; Liu, T.; Begcy, K. Genome-Wide Identification of Heat Shock Factors and Heat Shock Proteins in Response to UV and High Intensity Light Stress in Lettuce. BMC Plant. Biol. 2021, 21, 185. [Google Scholar] [CrossRef] [PubMed]
- Goodstein, D.M.; Shu, S.; Howson, R.; Neupane, R.; Hayes, R.D.; Fazo, J.; Mitros, T.; Dirks, W.; Hellsten, U.; Putnam, N.; et al. Phytozome: A Comparative Platform for Green Plant Genomics. Nucleic Acids Res. 2012, 40, D1178–D1186. [Google Scholar] [CrossRef] [PubMed]
- Le, S.Q.; Gascuel, O. An Improved General Amino Acid Replacement Matrix. Mol. Biol. Evol. 2008, 25, 1307–1320. [Google Scholar] [CrossRef] [PubMed]
- Stecher, G.; Tamura, K.; Kumar, S. Molecular Evolutionary Genetics Analysis (MEGA) for MacOS. Mol. Biol. Evol. 2020, 37, 1237–1239. [Google Scholar] [CrossRef] [PubMed]
- Begcy, K.; Mariano, E.D.; Lembke, C.G.; Zingaretti, S.M.; Souza, G.M.; Araújo, P.; Menossi, M. Overexpression of an Evolutionarily Conserved Drought-Responsive Sugarcane Gene Enhances Salinity and Drought Resilience. Ann. Bot. 2019, 124, 691–700. [Google Scholar] [CrossRef] [PubMed]
- Waterhouse, A.; Bertoni, M.; Bienert, S.; Studer, G.; Tauriello, G.; Gumienny, R.; Heer, F.T.; de Beer, T.A.P.; Rempfer, C.; Bordoli, L.; et al. SWISS-MODEL: Homology Modelling of Protein Structures and Complexes. Nucleic Acids Res. 2018, 46, W296–W303. [Google Scholar] [CrossRef] [PubMed]
- Buchan, D.W.A.; Jones, D.T. The PSIPRED Protein Analysis Workbench: 20 Years On. Nucleic Acids Res. 2019, 47, W402–W407. [Google Scholar] [CrossRef]
- Needleman, S.B.; Wunsch, C.D. A General Method Applicable to the Search for Similarities in the Amino Acid Sequence of Two Proteins. J. Mol. Biol. 1970, 48, 443–453. [Google Scholar] [CrossRef]
- Vettore, A.L.; Silva, F.R.d.; Kemper, E.L.; Arruda, P. The Libraries That Made SUCEST. Genet. Mol. Biol. 2001, 24, 1–7. [Google Scholar] [CrossRef]
- Werle, R.; Begcy, K.; Yerka, M.K.; Mower, J.P.; Dweikat, I.; Jhala, A.J.; Lindquist, J.L. Independent Evolution of Acetolactate Synthase–Inhibiting Herbicide Resistance in Weedy Sorghum Populations across Common Geographic Regions. Weed Sci. 2017, 65, 164–176. [Google Scholar] [CrossRef][Green Version]
- Begcy, K.; Weigert, A.; Egesa, A.; Dresselhaus, T. Compared to Australian Cultivars, European Summer Wheat (Triticum Aestivum) Overreacts When Moderate Heat Stress Is Applied at the Pollen Development Stage. Agronomy 2018, 8, 99. [Google Scholar] [CrossRef]
- Behrendorff, J.B.Y.H.; Sandoval-Ibañez, O.A.; Sharma, A.; Pribil, M. Membrane-Bound Protein Scaffolding in Diverse Hosts Using Thylakoid Protein CURT1A. ACS Synth. Biol. 2019, 8, 611–620. [Google Scholar] [CrossRef] [PubMed]
- Weber, E.; Engler, C.; Gruetzner, R.; Werner, S.; Marillonnet, S. A Modular Cloning System for Standardized Assembly of Multigene Constructs. PLoS ONE 2011, 6, e16765. [Google Scholar] [CrossRef]
- Marillonnet, S.; Grützner, R. Synthetic DNA Assembly Using Golden Gate Cloning and the Hierarchical Modular Cloning Pipeline. Curr. Protoc. Mol. Biol. 2020, 130, e115. [Google Scholar] [CrossRef]
- Ahmad, P.; Rasool, S.; Gul, A.; Sheikh, S.A.; Akram, N.A.; Ashraf, M.; Kazi, A.M.; Gucel, S. Jasmonates: Multifunctional Roles in Stress Tolerance. Front. Plant. Sci. 2016, 7, 813. [Google Scholar] [CrossRef]
- Vishwakarma, K.; Upadhyay, N.; Kumar, N.; Yadav, G.; Singh, J.; Mishra, R.K.; Kumar, V.; Verma, R.; Upadhyay, R.G.; Pandey, M.; et al. Abscisic Acid Signaling and Abiotic Stress Tolerance in Plants: A Review on Current Knowledge and Future Prospects. Front. Plant. Sci. 2017, 8, 161. [Google Scholar] [CrossRef]
- Begcy, K.; Mariano, E.D.; Gentile, A.; Lembke, C.G.; Zingaretti, S.M.; Souza, G.M.; Menossi, M. A Novel Stress-Induced Sugarcane Gene Confers Tolerance to Drought, Salt and Oxidative Stress in Transgenic Tobacco Plants. PLoS ONE 2012, 7, e44697. [Google Scholar] [CrossRef]
- Garcia Tavares, R.; Lakshmanan, P.; Peiter, E.; O’Connell, A.; Caldana, C.; Vicentini, R.; Soares, J.S.; Menossi, M. ScGAI Is a Key Regulator of Culm Development in Sugarcane. J. Exp. Bot. 2018, 69, 3823–3837. [Google Scholar] [CrossRef]
- Thibaud-Nissen, F.; Ouyang, S.; Buell, C.R. Identification and Characterization of Pseudogenes in the Rice Gene Complement. BMC Genom. 2009, 10, 317. [Google Scholar] [CrossRef]
- Panchy, N.; Lehti-Shiu, M.; Shiu, S.-H. Evolution of Gene Duplication in Plants. Plant Physiol. 2016, 171, 2294–2316. [Google Scholar] [CrossRef]
- Ren, R.; Wang, H.; Guo, C.; Zhang, N.; Zeng, L.; Chen, Y.; Ma, H.; Qi, J. Widespread Whole Genome Duplications Contribute to Genome Complexity and Species Diversity in Angiosperms. Mol. Plant. 2018, 11, 414–428. [Google Scholar] [CrossRef]
- Bushnell, D.A.; Kornberg, R.D. Complete, 12-Subunit RNA Polymerase II at 4.1-A Resolution: Implications for the Initiation of Transcription. Proc. Natl. Acad. Sci. USA 2003, 100, 6969–6973. [Google Scholar] [CrossRef]
- Kamenski, T.; Heilmeier, S.; Meinhart, A.; Cramer, P. Structure and Mechanism of RNA Polymerase II CTD Phosphatases. Mol. Cell 2004, 15, 399–407. [Google Scholar] [CrossRef] [PubMed]
- Kimura, M.; Suzuki, H.; Ishihama, A. Formation of a Carboxy-Terminal Domain Phosphatase (Fcp1)/TFIIF/RNA Polymerase II (Pol II) Complex in Schizosaccharomyces Pombe Involves Direct Interaction between Fcp1 and the Rpb4 Subunit of Pol II. Mol. Cell Biol. 2002, 22, 1577–1588. [Google Scholar] [CrossRef] [PubMed]
- Suh, M.-H.; Ye, P.; Zhang, M.; Hausmann, S.; Shuman, S.; Gnatt, A.L.; Fu, J. Fcp1 Directly Recognizes the C-Terminal Domain (CTD) and Interacts with a Site on RNA Polymerase II Distinct from the CTD. Proc. Natl. Acad. Sci. USA 2005, 102, 17314–17319. [Google Scholar] [CrossRef] [PubMed]
- Shiina, T.; Tsunoyama, Y.; Nakahira, Y.; Khan, M.S. Plastid RNA Polymerases, Promoters, and Transcription Regulators in Higher Plants. In International Review of Cytology; Jeon, K.W., Ed.; Elsevier: Amsterdam, The Netherlands, 2005; Volume 244, pp. 1–68. [Google Scholar]
- Tudor, M.; Murray, P.J.; Onufryk, C.; Jaenisch, R.; Young, R.A. Ubiquitous Expression and Embryonic Requirement for RNA Polymerase II Coactivator Subunit Srb7 in Mice. Genes Dev. 1999, 13, 2365–2368. [Google Scholar] [CrossRef] [PubMed][Green Version]
- Winter, D.; Vinegar, B.; Nahal, H.; Ammar, R.; Wilson, G.V.; Provart, N.J. An “Electronic Fluorescent Pictograph” Browser for Exploring and Analyzing Large-Scale Biological Data Sets. PLoS ONE 2007, 2, e718. [Google Scholar] [CrossRef]
- Patel, R.V.; Nahal, H.K.; Breit, R.; Provart, N.J. BAR Expressolog Identification: Expression Profile Similarity Ranking of Homologous Genes in Plant Species: Expression Profile Similarity Ranking of Homologous Genes. Plant. J. 2012, 71, 1038–1050. [Google Scholar] [CrossRef]
- Jain, M.; Nijhawan, A.; Arora, R.; Agarwal, P.; Ray, S.; Sharma, P.; Kapoor, S.; Tyagi, A.K.; Khurana, J.P. F-Box Proteins in Rice. Genome-Wide Analysis, Classification, Temporal and Spatial Gene Expression during Panicle and Seed Development, and Regulation by Light and Abiotic Stress. Plant. Physiol. 2007, 143, 1467–1483. [Google Scholar] [CrossRef] [PubMed]
- Li, P.; Ponnala, L.; Gandotra, N.; Wang, L.; Si, Y.; Tausta, S.L.; Kebrom, T.H.; Provart, N.; Patel, R.; Myers, C.R.; et al. The Developmental Dynamics of the Maize Leaf Transcriptome. Nat. Genet. 2010, 42, 1060–1067. [Google Scholar] [CrossRef]
- Downs, G.S.; Bi, Y.-M.; Colasanti, J.; Wu, W.; Chen, X.; Zhu, T.; Rothstein, S.J.; Lukens, L.N. A Developmental Transcriptional Network for Maize Defines Coexpression Modules. Plant. Physiol. 2013, 161, 1830–1843. [Google Scholar] [CrossRef]
- Schier, A.C.; Taatjes, D.J. Structure and Mechanism of the RNA Polymerase II Transcription Machinery. Genes Dev. 2020, 34, 465–488. [Google Scholar] [CrossRef] [PubMed]
- Schulz, D.; Pirkl, N.; Lehmann, E.; Cramer, P. Rpb4 Subunit Functions Mainly in MRNA Synthesis by RNA Polymerase II. J. Biol. Chem. 2014, 289, 17446–17452. [Google Scholar] [CrossRef]
- Zeller, G.; Henz, S.R.; Widmer, C.K.; Sachsenberg, T.; Rätsch, G.; Weigel, D.; Laubinger, S. Stress-Induced Changes in the Arabidopsis Thaliana Transcriptome Analyzed Using Whole-Genome Tiling Arrays. Plant. J. 2009, 58, 1068–1082. [Google Scholar] [CrossRef] [PubMed]
Publisher’s Note: MDPI stays neutral with regard to jurisdictional claims in published maps and institutional affiliations. |
© 2022 by the authors. Licensee MDPI, Basel, Switzerland. This article is an open access article distributed under the terms and conditions of the Creative Commons Attribution (CC BY) license (https://creativecommons.org/licenses/by/4.0/).