Enhanced Resorption of Liposomal Packed Vitamin C Monitored by Ultrasound
Abstract
1. Introduction
2. Experimental Section
2.1. Liposomal Packaging
2.2. Ascorbic Acid Detection
2.3. Freeze-Etching
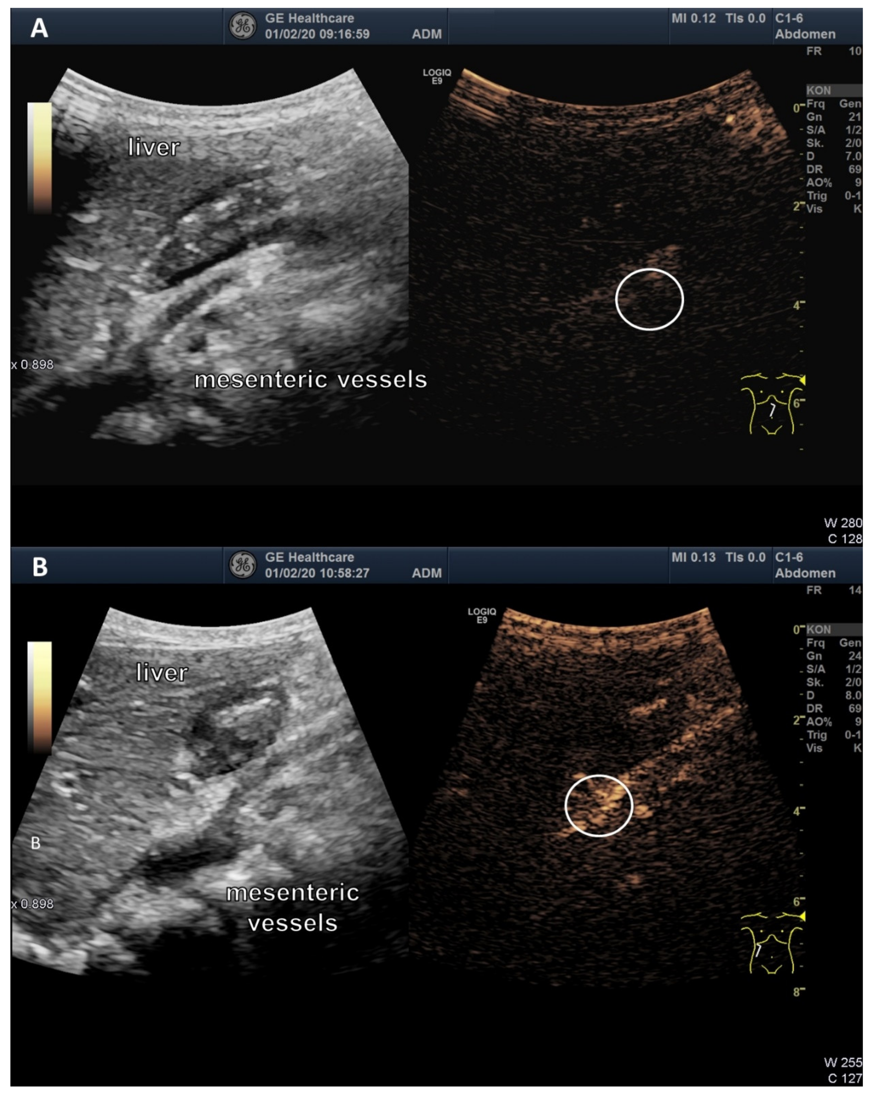
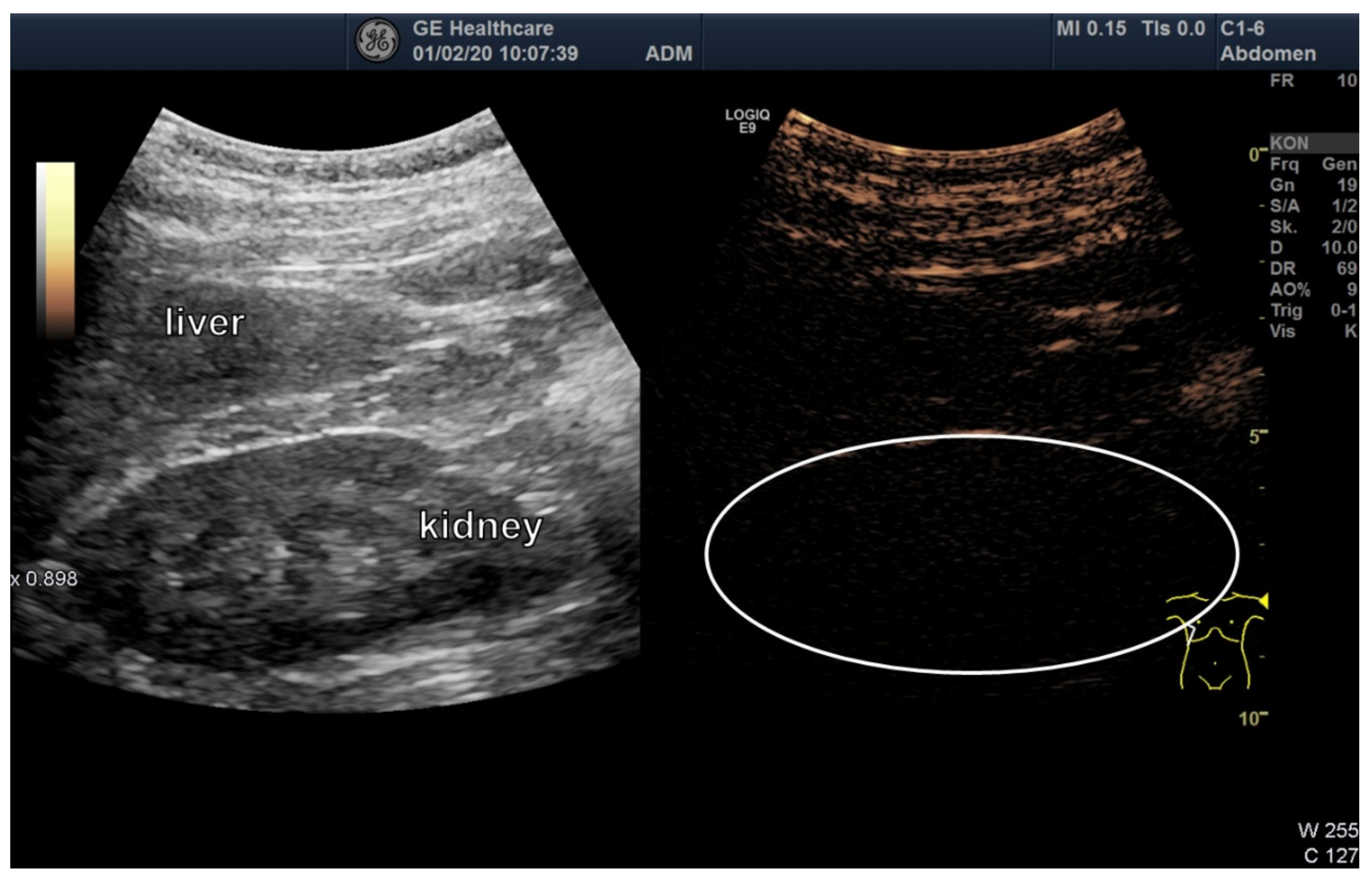
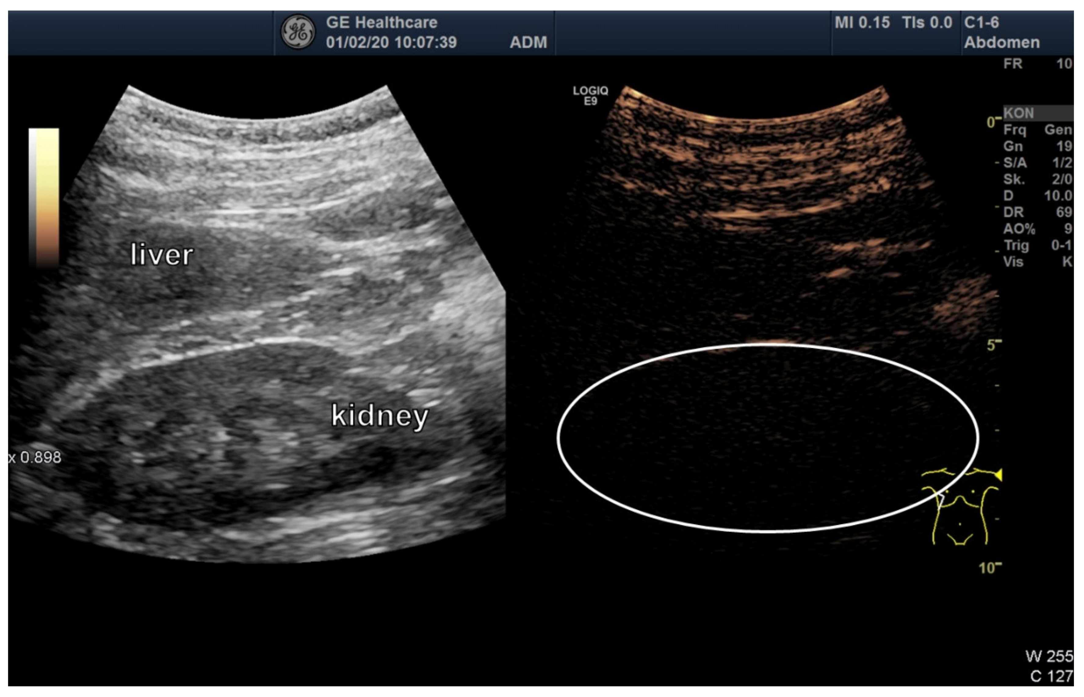
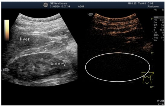
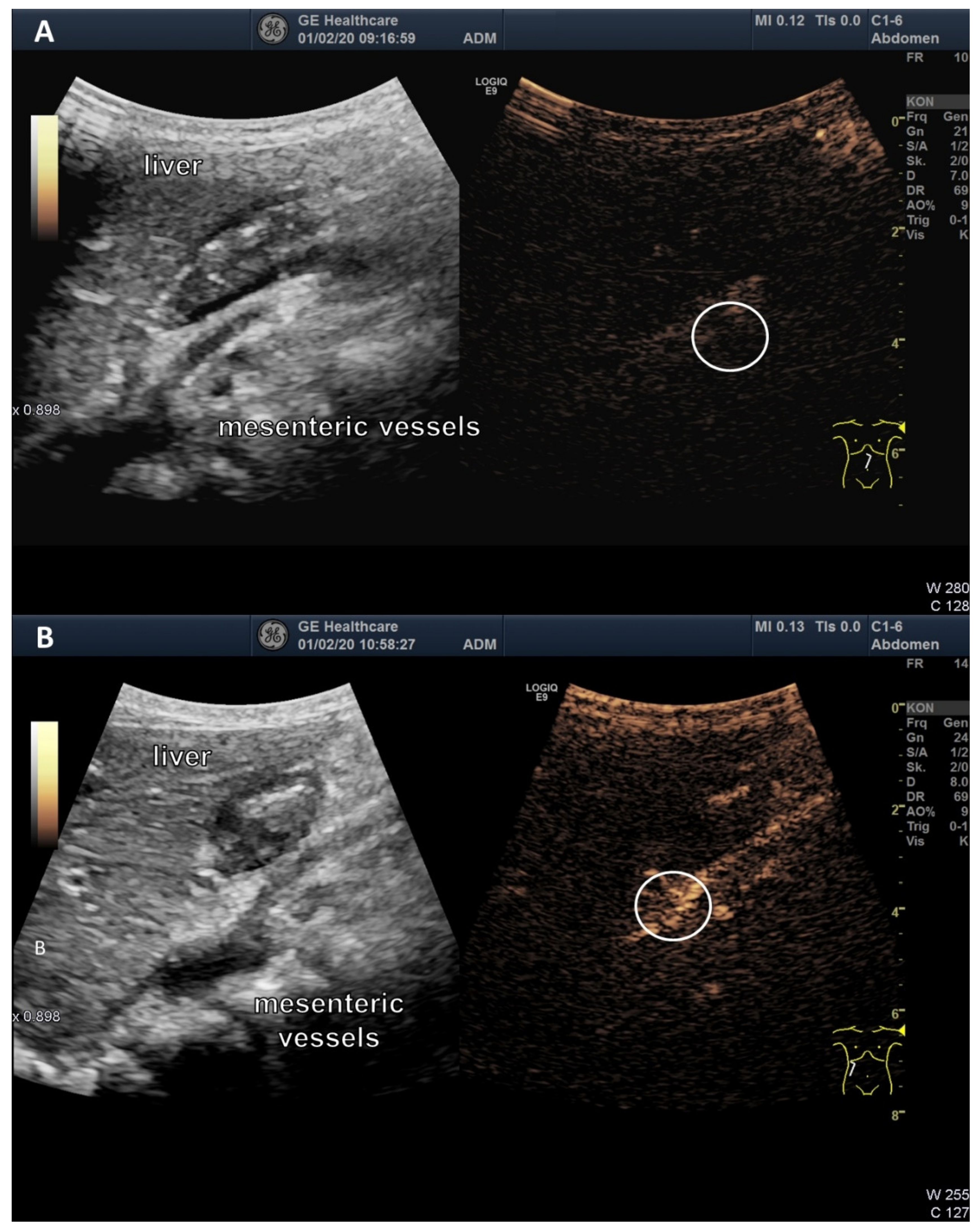
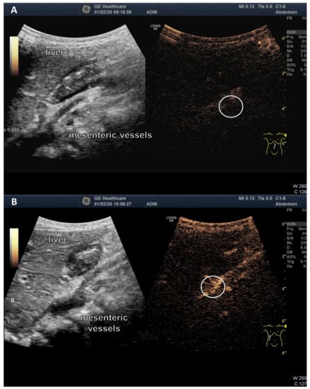
2.4. Ultrasound Examination of Intestinal Absorption
3. Results
3.1. Ascorbic Acid Detection
3.2. Freeze-Etching
3.3. Ultrasound Examination of Intestinal Absorption
4. Discussion
5. Conclusions
Author Contributions
Funding
Acknowledgments
Conflicts of Interest
References
- Yang, H. Conserved or Lost: Molecular Evolution of the Key Gene GULO in Vertebrate Vitamin C Biosynthesis. Biochem. Genet. 2013, 51, 413–425. [Google Scholar] [CrossRef] [PubMed]
- Lykkesfeldt, J.; Michels, A.J.; Frei, B. Vitamin C. Adv. Nutr. 2014, 5, 16–18. [Google Scholar] [CrossRef] [PubMed]
- Tveden-Nyborg, P.; Lykkesfeldt, J. Does Vitamin C Deficiency Increase Lifestyle-Associated Vascular Disease Progression? Evidence Based on Experimental and Clinical Studies. Antioxid. Redox Signal. 2013, 19, 2084–2104. [Google Scholar] [CrossRef] [PubMed]
- Hodges, R.E.; Hood, J.; Canham, J.E.; Sauberlich, H.E.; Baker, E.M. Clinical manifestations of ascorbic acid deficiency in man. Am. J. Clin. Nutr. 1971, 24, 432–443. [Google Scholar] [CrossRef] [PubMed]
- Hemilä, H. Vitamin C and Infections. Nutrients 2017, 9, 339. [Google Scholar] [CrossRef]
- Maggini, S.; Wintergerst, E.S.; Beveridge, S.; Hornig, D.H. Selected vitamins and trace elements support immune function by strengthening epithelial barriers and cellular and humoral immune responses. Br. J. Nutr. 2007, 98, S29–S35. [Google Scholar] [CrossRef]
- Webb, A.L.; Villamor, E. Update: Effects of Antioxidant and Non-Antioxidant Vitamin Supplementation on Immune Function. Nutr. Rev. 2008, 65, 181–217. [Google Scholar] [CrossRef]
- Hemilä, H.; Chalker, E. Vitamin C for preventing and treating the common cold. Cochrane Database Syst. Rev. 2013, CD000980. [Google Scholar] [CrossRef]
- Hemilä, H.; Douglas, R.M. Vitamin C and acute respiratory infections. Int. J. Tuberc. Lung Dis. 1999, 3, 756–761. [Google Scholar]
- A Fowler, A.; Nursing, M.R.I.C.U.; A Syed, A.; Knowlson, S.; Sculthorpe, R.; Farthing, D.; Dewilde, C.; Farthing, C.A.; Larus, T.L.; Martin, E.J.; et al. Phase I safety trial of intravenous ascorbic acid in patients with severe sepsis. J. Transl. Med. 2014, 12, 32. [Google Scholar] [CrossRef]
- Nakajima, M.; Kojiro, M.; Aso, S.; Matsui, H.; Fushimi, K.; Kaita, Y.; Goto, H.; Yamaguchi, Y.; Yasunaga, H. Effect of high-dose vitamin C therapy on severe burn patients: A nationwide cohort study. Crit. Care 2019, 23, 407–408. [Google Scholar] [CrossRef] [PubMed]
- Davelaar, F.G.; Bos, J.V.D. Ascorbic acid and infectious bronchitis infections in broilers. Avian Pathol. 1992, 21, 581–589. [Google Scholar] [CrossRef] [PubMed]
- Hemilä, H. Vitamin C and SARS coronavirus. J. Antimicrob. Chemother. 2003, 52, 1049–1050. [Google Scholar] [CrossRef] [PubMed]
- Zhang, L.; Liu, Y. Potential interventions for novel coronavirus in China: A systematic review. J. Med. Virol. 2020, 92, 479–490. [Google Scholar] [CrossRef] [PubMed]
- Atherton, J.G.; Kratzing, C.C.; Fisher, A. The effect of ascorbic acid on infection of chick-embryo ciliated tracheal organ cultures by coronavirus. Arch. Virol. 1978, 56, 195–199. [Google Scholar] [CrossRef]
- Li, W.; Maeda, N.; Beck, M.A. Vitamin C Deficiency Increases the Lung Pathology of Influenza Virus–Infected Gulo−/−Mice. J. Nutr. 2006, 136, 2611–2616. [Google Scholar] [CrossRef]
- Buffinton, G.D.; Christen, S.; Peterhans, E.; Stocker, R. Oxidative Stress in Lungs of Mice Infected with Influenza a Virus. Free. Radic. Res. Commun. 1992, 16, 99–110. [Google Scholar] [CrossRef]
- Galley, H. Oxidative stress and mitochondrial dysfunction in sepsis. Br. J. Anaesth. 2011, 107, 57–64. [Google Scholar] [CrossRef]
- Raffaella, T.; Fiore, F.; Fabrizia, M.; Francesco, P.; Arcangela, I.; Salvatore, S.; Luigi, S.; Nicola, B. Induction of mitochondrial dysfunction and oxidative stress in human fibroblast cultures exposed to serum from septic patients. Life Sci. 2012, 91, 237–243. [Google Scholar] [CrossRef]
- Levine, M.; Conry-Cantilena, C.; Wang, Y.; Welch, R.W.; Washko, P.W.; Dhariwal, K.R.; Park, J.B.; Lazarev, A.; Graumlich, J.F.; King, J.; et al. Vitamin C pharmacokinetics in healthy volunteers: Evidence for a recommended dietary allowance. Proc. Natl. Acad. Sci. USA 1996, 93, 3704–3709. [Google Scholar] [CrossRef]
- Levine, M.; Dhariwal, K.R.; Welch, R.W.; Wang, Y.; Park, J.B. Determination of optimal vitamin C requirements in humans. Am. J. Clin. Nutr. 1995, 62, 1347S–1356S. [Google Scholar] [CrossRef] [PubMed]
- Finglas, P.; Bailey, A.; Walker, A.; Loughridge, J.M.; Wright, A.J.A.; Southon, S. Vitamin C intake and plasma ascorbic acid concentration in adolescents. Br. J. Nutr. 1993, 69, 563–576. [Google Scholar] [CrossRef] [PubMed]
- May, J.M.; Qu, Z.-C. Transport and intracellular accumulation of vitamin C in endothelial cells: Relevance to collagen synthesis. Arch. Biochem. Biophys. 2005, 434, 178–186. [Google Scholar] [CrossRef] [PubMed]
- Nair, V.S.; Song, M.H.; Oh, K.I. Vitamin C Facilitates Demethylation of the Foxp3 Enhancer in a Tet-Dependent Manner. J. Immunol. 2016, 196, 2119–2131. [Google Scholar] [CrossRef] [PubMed]
- Wang, Y.; MacKenzie, B.; Tsukaguchi, H.; Weremowicz, S.; Morton, C.C.; Hediger, M.A. Human Vitamin C (l-Ascorbic Acid) Transporter SVCT1. Biochem. Biophys. Res. Commun. 2000, 267, 488–494. [Google Scholar] [CrossRef]
- Tsukaguchi, H.; Tokui, T.; MacKenzie, B.; Berger, U.V.; Chen, X.-Z.; Wang, Y.; Brubaker, R.F.; A Hediger, M. A family of mammalian Na+-dependent L-ascorbic acid transporters. Nature 1999, 399, 70–75. [Google Scholar] [CrossRef]
- Eck, P.; Kwon, O.; Chen, S.; Mian, O.; Levine, M. The human sodium-dependent ascorbic acid transporters SLC23A1 and SLC23A2 do not mediate ascorbic acid release in the proximal renal epithelial cell. Physiol. Rep. 2013, 1, 00136. [Google Scholar] [CrossRef]
- Klimant, E.; Wright, H.; Rubin, D.; Seely, D.; Markman, M. Intravenous vitamin C in the supportive care of cancer patients: A review and rational approach. Curr. Oncol. 2018, 25, 139–148. [Google Scholar] [CrossRef]
- Nagle, J.F.; Nagle, J.F. Structure of lipid bilayers. Biochim. Biophys. Acta (BBA) Rev. Biomembr. 2000, 1469, 159–195. [Google Scholar] [CrossRef]
- Wechtersbach, L.; Polak, T.; Ulrih, N.P.; Cigić, B. Stability and transformation of products formed from dimeric dehydroascorbic acid at low pH. Food Chem. 2011, 129, 965–973. [Google Scholar] [CrossRef]
- Pastoriza-Gallego, M.J.; Sánchez-Paz, V.; Losada-Barreiro, S.; Bravo-Díaz, C.; Gunaseelan, K.; Romsted, L.S. Effects of Temperature and Emulsifier Concentration on α-Tocopherol Distribution in a Stirred, Fluid, Emulsion. Thermodynamics of α-Tocopherol Transfer between the Oil and Interfacial Regions. Langmuir 2009, 25, 2646–2653. [Google Scholar] [CrossRef] [PubMed]
- Łukawski, M.; Dałek, P.; Borowik, T.; Forys, A.; Langner, M.; Witkiewicz, W.; Przybyło, M. New oral liposomal vitamin C formulation: Properties and bioavailability. J. Liposome Res. 2019, 1–8. [Google Scholar] [CrossRef] [PubMed]
- Davis, J.L.; Paris, H.L.; Beals, J.W.; Binns, S.E.; Giordano, G.R.; Scalzo, R.L.; Schweder, M.M.; Blair, E.; Bell, C. Liposomal-encapsulated Ascorbic Acid: Influence on Vitamin C Bioavailability and Capacity to Protect Against Ischemia–Reperfusion Injury. Nutr. Metab. Insights 2016, 9, 25–30. [Google Scholar] [CrossRef] [PubMed]
- Zeisel, S.H.; Da Costa, K.-A. Choline: An essential nutrient for public health. Nutr. Rev. 2009, 67, 615–623. [Google Scholar] [CrossRef]
- Küllenberg, D.; Taylor, L.A.; Schneider, M.; Massing, U. Health effects of dietary phospholipids. Lipids Health Dis. 2012, 11, 3. [Google Scholar] [CrossRef]
- Van Der Veen, J.N.; Kennelly, J.P.; Wan, S.; Vance, J.E.; Vance, D.E.; Jacobs, R.; Jacobs, R.L. The critical role of phosphatidylcholine and phosphatidylethanolamine metabolism in health and disease. Biochim. Biophys. Acta (BBA) Biomembr. 2017, 1859, 1558–1572. [Google Scholar] [CrossRef]
- Blesso, C.N. Egg Phospholipids and Cardiovascular Health. Nutrients 2015, 7, 2731–2747. [Google Scholar] [CrossRef]
- Willer, A.; Heinzmann, U.; Mellert, W.; Kleinschmidt, A.; Goebel, F.-D.; Erfle, V. Reduction of HIV-1 antigen production by phosphatidylcholine containing formulations via growth inhibition of HIV-1-infected cells. Res. Exp. Med. 1993, 193, 123–135. [Google Scholar] [CrossRef]
- Tavill, A. Diagnosis and management of hemochromatosis. Hepatology 2001, 33, 1321–1328. [Google Scholar] [CrossRef]
- Mehta, J.; Singhal, S.; Mehta, B. Ascorbic-acid-induced haemolysis in G-6-PD deficiency. Lancet 1990, 336, 944. [Google Scholar] [CrossRef]
- Institute of Medicine. Food and Nutrition Board. Dietary Reference Intakes for Vitamin C, Vitamin E, Selenium, and Carotenoids; National Academy Press: Washington, DC, USA, 2000. [Google Scholar]
- E Sauberlich, H. Pharmacology of Vitamin C. Annu. Rev. Nutr. 1994, 14, 371–391. [Google Scholar] [CrossRef] [PubMed]
- Thomas, L.D.K.; Elinder, C.-G.; Tiselius, H.-G.; Wolk, A.; Åkesson, A. Ascorbic Acid Supplements and Kidney Stone Incidence Among Men: A Prospective Study. JAMA Intern. Med. 2013, 173, 386. [Google Scholar] [CrossRef] [PubMed]
- Girlich, C.; Schacherer, D.; Lamby, P.; Scherer, M.; Schreyer, A.G.; Jung, E. Innovations in contrast enhanced high resolution ultrasound improve sonographic imaging of the intestine. Clin. Hemorheol. Microcirc. 2010, 45, 207–215. [Google Scholar] [CrossRef]
- Sidhu, P.S.; Cantisani, V.; Deganello, A.; Dietrich, C.F.; Duran, C.; Franke, D.; Harkanyi, Z.; Kosiak, W.; Miele, V.; Ntoulia, A.; et al. Authors’ Reply to Letter: Role of Contrast-Enhanced Ultrasound (CEUS) in Paediatric Practice: An EFSUMB Position Statement. Ultraschall der Med. Eur. J. Ultrasound 2017, 38, 447–448. [Google Scholar] [CrossRef] [PubMed]
- Schindelin, J. Fiji: An open-source platform for biological-image analysis. Nat. Methods 2012, 9, 676–682. [Google Scholar] [CrossRef]
- Padayatty, S.J.; Levine, M. Vitamin C: The known and the unknown and Goldilocks. Oral Dis. 2016, 22, 463–493. [Google Scholar] [CrossRef]
- Geiß, S.; Prantl, L.; Dolderer, J.; Lamby, P.; Mueller, S.; Jung, E. Postoperative Monitoring of Local and Free Flaps with Contrast-Enhanced Ultrasound (CEUS)–Analysis of 112 Patients. Ultraschall der Med. Eur. J. Ultrasound 2013, 34, 550–558. [Google Scholar] [CrossRef]
- Prantl, L.; Geis, S.; Lamby, P.; Jung, E.M. Recommendations for contrast enhanced ultrasound (CEUS) in free tissue transplant monitoring. Clin. Hemorheol. Microcirc. 2015, 61, 359–365. [Google Scholar] [CrossRef]
- Piscaglia, F.; Nolsoe, C.; Dietrich, C.F.; Cosgrove, D.O.; Gilja, O.H.; Nielsen, M.B.; Albrecht, T.; Barozzi, L.; Bertolotto, M.; Catalano, O.; et al. The EFSUMB Guidelines and Recommendations on the Clinical Practice of Contrast Enhanced Ultrasound (CEUS): Update 2011 on non-hepatic applications. Ultraschall Med. Eur. J. Ultrasound 2011, 33, 33–59. [Google Scholar] [CrossRef]
- Dietrich, C.F.; Ignee, A.; Schreiber-Dietrich, D.; Greis, C.; Hocke, M. Pitfalls and Artefacts using Contrast Enhanced Ultrasound. Z. Gastroenterol. 2011, 49, 350–356. [Google Scholar] [CrossRef]
- Skupin-Mrugalska, P.; Sobotta, L.; Warowicka, A.; Wereszczyńska, B.; Zalewski, T.; Gierlich, P.; Jarek, M.; Nowaczyk, G.; Kempka, M.; Gapiński, J.; et al. Theranostic liposomes as a bimodal carrier for magnetic resonance imaging contrast agent and photosensitizer. J. Inorg. Biochem. 2018, 180, 1–14. [Google Scholar] [CrossRef] [PubMed]
- Liu, Z.; Guo, J.; Sun, S.; Ren, W.; Tang, S.; Xie, L.; Huang, L. Evaluation of transabdominal ultrasound after oral administration of an echoic cellulose-based gastric ultrasound contrast agent for demonstrating small gastric subepithelial masses. Abdom. Imaging 2013, 39, 424–431. [Google Scholar] [CrossRef] [PubMed]
- Liu, Z.; Dou, X.; Guo, J.; Zhao, Y.; Zhang, J.; Ren, W.; Tang, S.; Zhang, Y.; Zhang, X.; Huang, L.; et al. Utility of Transabdominal Ultrasonography Enhanced by Oral Cellulose-Based Contrast Agent in Depicting Varices at Cardia and Fundus. Ultrasound Med. Biol. 2020. [Google Scholar] [CrossRef] [PubMed]








© 2020 by the authors. Licensee MDPI, Basel, Switzerland. This article is an open access article distributed under the terms and conditions of the Creative Commons Attribution (CC BY) license (http://creativecommons.org/licenses/by/4.0/).
Share and Cite
Prantl, L.; Eigenberger, A.; Gehmert, S.; Haerteis, S.; Aung, T.; Rachel, R.; Jung, E.M.; Felthaus, O. Enhanced Resorption of Liposomal Packed Vitamin C Monitored by Ultrasound. J. Clin. Med. 2020, 9, 1616. https://doi.org/10.3390/jcm9061616
Prantl L, Eigenberger A, Gehmert S, Haerteis S, Aung T, Rachel R, Jung EM, Felthaus O. Enhanced Resorption of Liposomal Packed Vitamin C Monitored by Ultrasound. Journal of Clinical Medicine. 2020; 9(6):1616. https://doi.org/10.3390/jcm9061616
Chicago/Turabian StylePrantl, Lukas, Andreas Eigenberger, Sebastian Gehmert, Silke Haerteis, Thiha Aung, Reinhard Rachel, Ernst Michael Jung, and Oliver Felthaus. 2020. "Enhanced Resorption of Liposomal Packed Vitamin C Monitored by Ultrasound" Journal of Clinical Medicine 9, no. 6: 1616. https://doi.org/10.3390/jcm9061616
APA StylePrantl, L., Eigenberger, A., Gehmert, S., Haerteis, S., Aung, T., Rachel, R., Jung, E. M., & Felthaus, O. (2020). Enhanced Resorption of Liposomal Packed Vitamin C Monitored by Ultrasound. Journal of Clinical Medicine, 9(6), 1616. https://doi.org/10.3390/jcm9061616

