Imaging Modalities for the Diagnosis of Vascular Graft Infections: A Consensus Paper amongst Different Specialists
Abstract
1. Introduction
2. Surgical Management of VGI: How Can Imaging Be Helpful?
3. Radiological Modalities for Imaging VGI
3.1. Ultrasonography (US)
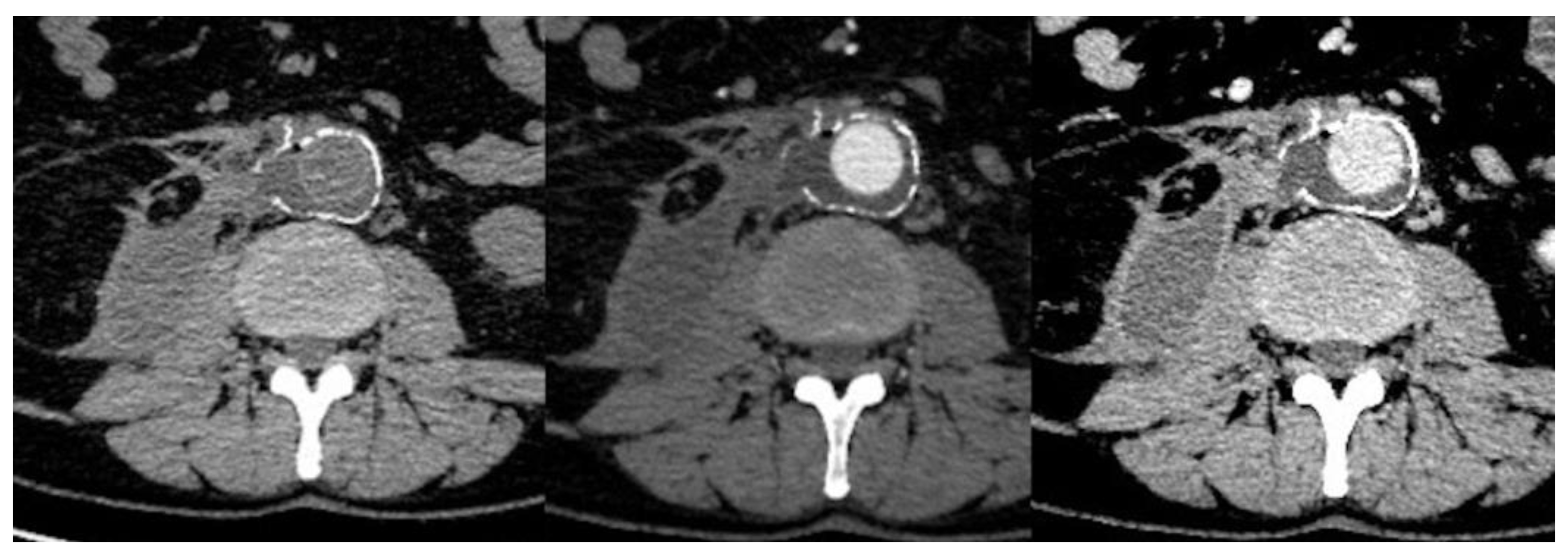
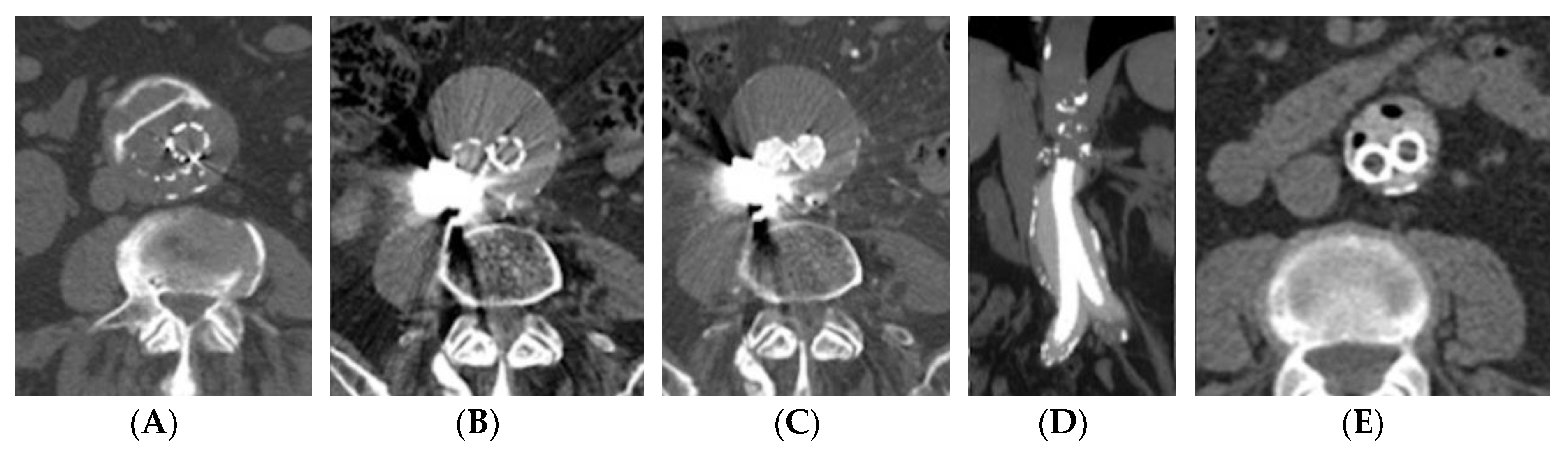
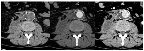
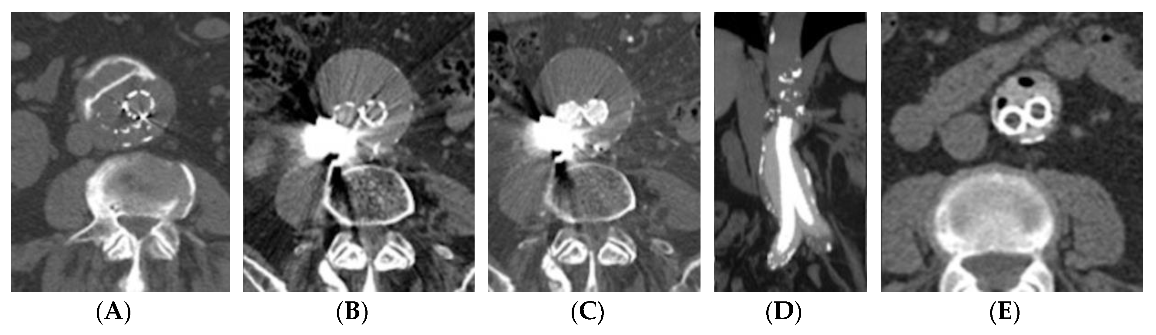
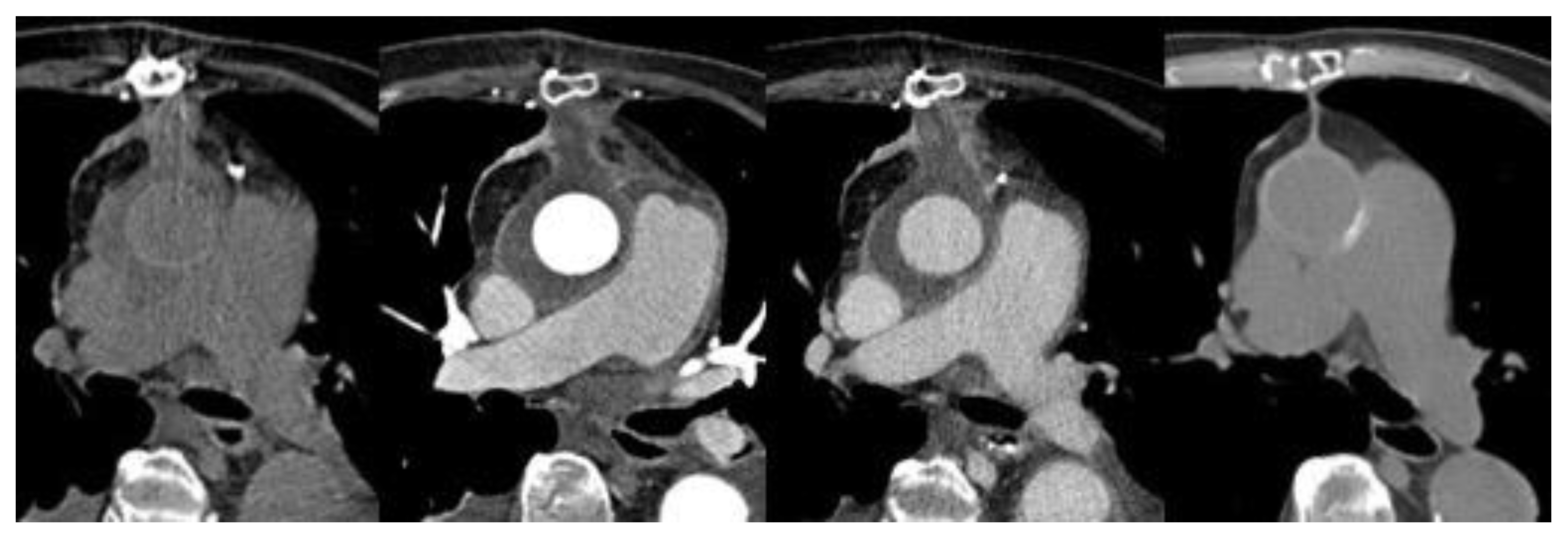
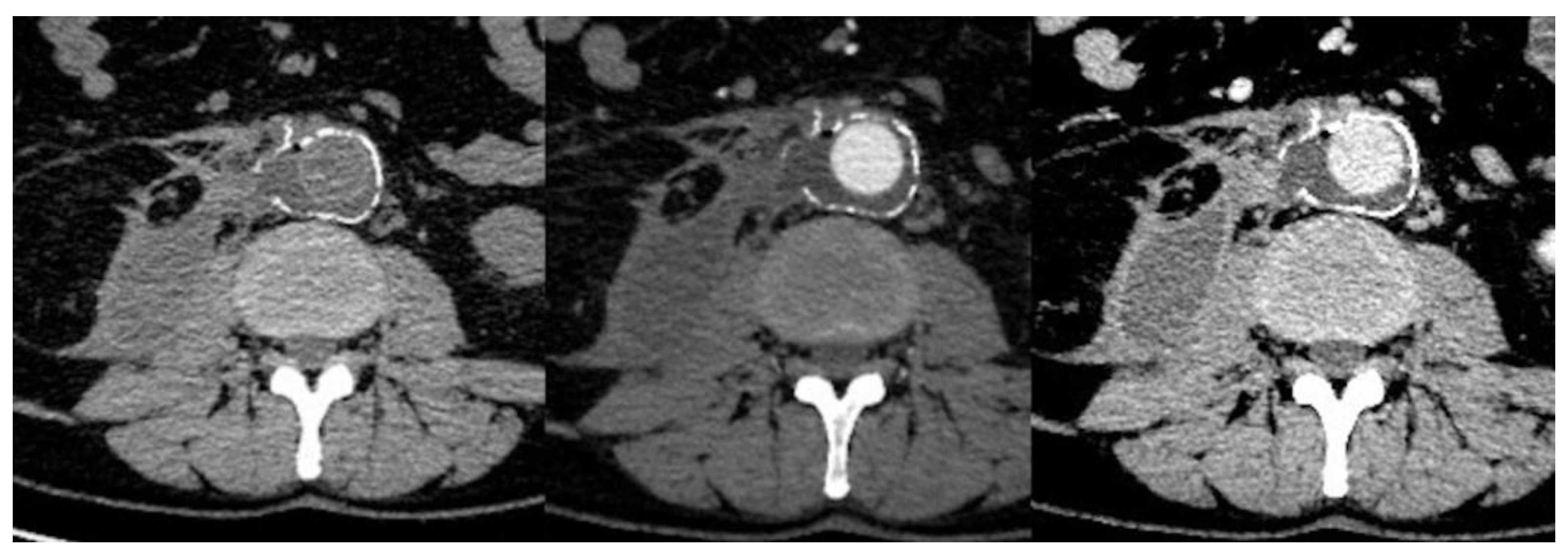
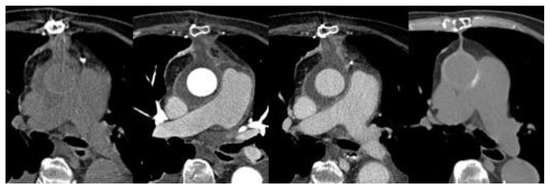
3.2. Computed Tomography (CT)—CT–Angiography (CTA)
3.3. Magnetic Resonance Imaging (MRI)
3.4. Digital Subtraction Angiography (DSA)
4. Nuclear Medicine Imaging of VGI
4.1. Gamma-Camera Imaging for VGI
4.2. [18F]FDG PET/CT Imaging of VGI
5. Consensus Statements from Round Table of 3rd European Congress of Infection and Inflammation
5.1. In Case of a Partial Resection Graft for a Fragile Patient Unfit for a Total VGI Explantation, the Exact Infection Graft Location Could Be Useful for the Surgical Strategy. Which Radiological Integration Is More Precise in This Diagnosis?
5.2. Does CTA Still Play a Role in Diagnosing Vascular Graft Infections or Should It Be Considered Obsolete, Replaced by NM Imaging?
5.3. Does Antibiotic Therapy Affect NM Exams Accuracy? Should Antibiotic Therapy Be Stopped before NM Exams? If Yes, How Long before?
5.4. Is It Reasonable to Perform an [18F]FDG-PET/CT after a Positive WBC Scintigraphy?
5.5. Which Imaging Modality Is Recommended Within the First 3 Months after Surgery in the Suspicion of Early Infection?
6. Conclusions
Supplementary Materials
Author Contributions
Funding
Conflicts of Interest
References
- Wilson, W.R.; Bower, T.C.; Creager, M.A.; Amin-Hanjani, S.; O’Gara, P.T.; Lockhart, P.B.; Darouiche, R.O.; Ramlawi, B.; Derdeyn, C.P.; Bolger, A.F.; et al. Vascular Graft Infections, Mycotic Aneurysms, and Endovascular Infections: A Scientific Statement from the American Heart Association. Circulation 2016, 134, e412–e460. [Google Scholar] [CrossRef]
- Gharamti, A.; Kanafani, Z.A. Vascular Graft Infections An update. Infect. Dis. Clin. N. Am. 2018, 32, 789–809. [Google Scholar] [CrossRef]
- Kilic, A.; Arnaoutakis, D.J.; Reifsnyder, T.; Black, J.H., 3rd; Abularrage, C.J.; Perler, B.A.; Lum, Y.W. Management of infected vascular grafts. Vasc. Med. 2016, 21, 53–60. [Google Scholar] [CrossRef] [PubMed]
- Fitzgerald, S.F.; Kelly, C.; Humphreys, H. Diagnosis and treatment of prosthetic aortic graft infections: Confusion and inconsistency in the absence of evidence or consensus. J. Antimicrob. Chemother. 2005, 56, 996–999. [Google Scholar] [CrossRef] [PubMed]
- Andercou, O.; Marian, D.; Olteanu, G.; Stancu, B.; Cucuruz, B.; Noppeney, T. Complex treatment of vascular prostheses infections. Medicine 2018, 97, e11350. [Google Scholar] [CrossRef] [PubMed]
- Lyons, O.T.; Baguneid, M.; Barwick, T.D.; Bell, R.E.; Foster, N.; Homer-Vanniasinkam, S.; Hopkins, S.; Hussain, A.; Katsanos, K.; Modarai, B.; et al. Diagnosis of Aortic Graft Infection: A Case Definition by the Management of Aortic Graft Infection Collaboration (MAGIC). Eur. J. Vasc. Endovasc. Surg. 2016, 52, 758–763. [Google Scholar] [CrossRef]
- Chakfé, N.; Diener, H.; Lejay, A.; Assadian, O.; Berard, X.; Caillon, J.; Fourneau, I.; Glaudemans, A.W.J.M.; Koncar, I.; Lindholt, J.; et al. Editor’s Choice—European Society for Vascular Surgery (ESVS) 2020 Clinical Practice Guidelines on the Management of Vascular Graft and Endograft Infections. Eur. J. Vasc. Endovasc. Surg. 2020, 59, 339–384. [Google Scholar] [CrossRef]
- Post, I.C.J.H.; Vos, C.G. Systematic Review and Meta-Analysis on the Management of Open Abdominal Aortic Graft Infections. Eur. J. Vasc. Endovasc. Surg. 2019, 58, 258–281. [Google Scholar] [CrossRef]
- Batt, M.; Feugier, P.; Camou, F.; Coffy, A.; Senneville, E.; Caillon, J.; Calvet, B.; Chidiac, C.; Laurent, F.; Revest, M.; et al. A meta-analysis of outcomes after in situ reconstructions for aortic graft infection. Angiology 2018, 69, 370–379. [Google Scholar] [CrossRef]
- Antonello, R.M.; D’Oria, M.; Cavallaro, M.; Dore, F.; Cova, M.A.; Ricciardi, M.C.; Comar, M.; Campisciano, G.; Lepidi, S.; De Martino, R.R.; et al. Management of abdominal aortic prosthetic graft and endograft infections. A multidisciplinary update. J. Infect. Chemother. 2019, 25, 669–680. [Google Scholar] [CrossRef]
- Rafailidis, V.; Partovi, S.; Dikkes, A.; Nakamoto, D.A.; Azar, N.; Staub, D. Evolving clinical applications of contrast-enhanced ultrasound (CEUS) in the abdominal aorta. Cardiovasc. Diagn. Ther. 2018, 8, S118–S130. [Google Scholar] [CrossRef] [PubMed]
- Reinders Folmer, E.I.; Von Meijenfeldt, G.C.I.; Van der Laan, M.J.; Glaudemans, A.W.J.M.; Slart, R.H.J.A.; Saleem, B.R.; Zeebregts, C.J. Diagnostic Imaging in Vascular Graft Infection: A Systematic Review and Meta-Analysis. Eur. J. Vasc. Endovasc. Surg. 2018, 56, 719–729. [Google Scholar] [CrossRef] [PubMed]
- Bruggink, J.L.M.; Slart, R.H.J.A.; Pol, J.A.; Reijnen, M.M.P.J.; Zeebregts, C.J. Current role of imaging in diagnosing aortic graft infections. Semin. Vasc. Surg. 2011, 24, 182–190. [Google Scholar] [CrossRef] [PubMed]
- Heikkinen, L.; Valtonen, M.; Lepäntalo, M.; Saimanen, E.; Järvinen, A. Infrarenal endoluminal bifurcated stent graft infected with Listeria monocytogenes. J. Vasc. Surg. 1999, 29, 554–556. [Google Scholar] [CrossRef]
- Mantoni, M.; Neergaard, K.; Christoffersen, J.K.; Lambine, T.L.; Baekgaard, N. Longterm computed tomography follow-up after open surgical open surgical repair of abdominal aortic aneurysms. Acta Radiol. 2006, 47, 549–553. [Google Scholar] [CrossRef]
- Thornton, E.; Mendiratta-Lala, M.; Siewert, B.; Eisenberg, R.L. Patterns of fat stranding. Am. J. Roentgenol. 2011, 197, W1–W14. [Google Scholar] [CrossRef]
- Adam, A.D.A.; Dixon, A.K.; Gillard, J.; Schaefer-Prokop, C.; Grainger, R.; Allison, D. Grainger & Allison’s Diagnostic Radiology; Churchill Livingstone: Edinburgh, Scotland, 2014; ISBN 978-0702042959. [Google Scholar]
- Orton, D.F.; LeVeen, R.F.; Saigh, J.A.; Culp, W.C.; Fidler, J.L.; Lynch, T.J.; Goertzen, T.C.; McCowan, T.C. Aortic prosthetic graft infections: Radiologic manifestations and implications for management. Radiographics 2000, 20, 977–993. [Google Scholar] [CrossRef]
- Macedo, T.A.; Stanson, A.W.; Oderich, G.S.; Johnson, C.M.; Panneton, J.M.; Tie, M.L. Infected aortic aneurysms: Imaging findings. Radiology 2004, 231, 250–257. [Google Scholar] [CrossRef]
- Gazzani, S.E.; Bianchini Massoni, C.; Marcato, C.; Paladini, I.; Rossi, C. Endovascular treatment of iliac artery rupture after septic embolization. Acta Biomed. 2019, 90, 339–342. [Google Scholar] [CrossRef]
- Kissin, E.Y.; Merkel, P.A. Diagnostic imaging in Takayasu arteritis. Curr. Opin. Rheumatol. 2004, 16, 31–37. [Google Scholar] [CrossRef]
- Chapman, S.A.; Delgadillo, D., 3rd; MacGuidwin, E.; Greenberg, J.I.; Jameson, A.P. Graft Infection Masquerading as Rheumatologic Disease: A Rare Case of Aortobifemoral Graft Infection Presenting as Hypertrophic Osteoarthropathy. Ann. Vasc. Surg. 2017, 41, 283.e11–283.e18. [Google Scholar] [CrossRef] [PubMed]
- Auffermann, W.; Olofsson, P.A.; Rabahie, G.N.; Tavares, N.J.; Stoney, R.J.; Higgins, C.B. Incorporation versus infection of retroperitoneal aortic grafts: MR imaging features. Radiology 1989, 172, 359–362. [Google Scholar] [CrossRef] [PubMed]
- Signore, A.; Lauri, C.; Galli, F. Radiolabelled probes targeting infection and inflammation for personalized medicine. Curr. Pharm. Des. 2014, 20, 2338–2345. [Google Scholar] [CrossRef] [PubMed]
- Signore, A.; Jamar, F.; Israel, O.; Buscombe, J.; Martin-Comin, J.; Lazzeri, E. Clinical indications, image acquisition and data interpretation for white blood cells and anti-granulocyte monoclonal antibody scintigraphy: An EANM procedural guideline. Eur. J. Nucl. Med. Mol. Imaging 2018, 45, 1816–1831. [Google Scholar] [CrossRef]
- de Vries, E.F.; Roca, M.; Jamar, F.; Israel, O.; Signore, A. Guidelines for the labelling of leucocytes with 99mTc-HMPAO. Inflammation/Infection Taskgroup of the European Association of Nuclear Medicine. Eur. J. Nucl. Med. Mol. Imaging 2010, 37, 842–848. [Google Scholar] [CrossRef]
- Roca, M.; de Vries, E.F.; Jamar, F.; Israel, O.; Signore, A. Guidelines for the labelling of leucocytes with 111In-oxine. Inflammation/Infection Taskgroup of the European Association of Nuclear Medicine. Eur. J. Nucl. Med. Mol. Imaging 2010, 37, 835–841. [Google Scholar] [CrossRef]
- Erba, P.A.; Leo, G.; Sollini, M.; Tascini, C.; Boni, R.; Berchiolli, R.N.; Menichetti, F.; Ferrari, M.; Lazzeri, E.; Mariani, G. Radiolabelled leucocyte scintigraphy versus conventional radiological imaging for the management of late, low-grade vascular prosthesis infections. Eur. J. Nucl. Med. Mol. Imaging 2014, 41, 357–368. [Google Scholar] [CrossRef]
- Glaudemans, A.W.; de Vries, E.F.; Vermeulen, L.E.; Slart, R.H.; Dierckx, R.A.; Signore, A. A large retrospective single-centre study to define the best image acquisition protocols and interpretation criteria for white blood cell scintigraphy with 99m Tc-HMPAO-labelled leucocytes in musculoskeletal infections. Eur. J. Nucl. Med. Mol. Imaging 2013, 40, 1760–1769. [Google Scholar] [CrossRef]
- Erba, P.A.; Glaudemans, A.W.; Veltman, N.C.; Sollini, M.; Pacilio, M.; Galli, F.; Dierckx, R.A.; Signore, A. Image acquisition and interpretation criteria for 99mTc-HMPAO-labelled white blood cell scintigraphy: Results of a multicenter study. Eur. J. Nucl. Med. Mol. Imaging 2014, 41, 615–623. [Google Scholar] [CrossRef]
- Annovazzi, A.; Bagni, B.; Burroni, L.; D’Alessandria, C.; Signore, A. Nuclear medicine imaging of inflammatory/infective disorders of the abdomen. Nucl. Med. Commun. 2005, 26, 657–664. [Google Scholar] [CrossRef]
- Bar-Shalom, R.; Yefremov, N.; Guralnik, L.; Keidar, Z.; Engel, A.; Nitecki, S.; Israel, O. SPECT/CT using 67Ga and 111In-labeled leukocyte scintigraphy for diagnosis of infection. J. Nucl. Med. 2006, 47, 587–594. [Google Scholar] [PubMed]
- Khaja, M.S.; Sildiroglu, O.; Hagspiel, K.; Rehm, P.K.; Cherry, K.J.; Turba, U.C. Prosthetic vascular graft infection imaging. Clin. Imaging 2013, 37, 239–244. [Google Scholar] [CrossRef] [PubMed]
- Roll, D.; Hierholzer, M.; Hepp, W.; Langer, M.; Zwicker, C.; Felix, R. Diagnostic evaluation of radioimmunoscintigraphy (RIS) using 123I-labeled monoclonal antibodies against human granulocytes (Mab-47) for the detection of prosthetic vascular graft infection. Nucl. Med. Biol. 1991, 18, 135–140. [Google Scholar] [CrossRef]
- Cordes, M.; Hepp, W.; Langer, R.; Pannhorst, J.; Hierholzer, J.; Felix, R. Vascular graft infection: Detection by 123I-labeled antigranulocyte antibody (anti-NCA95) scintigraphy. Nucl. Med. 1991, 30, 173–177. [Google Scholar]
- Cordes, M.; Hepp, W.; Barzen, G.; Langer, R. Diagnostic evaluation of radioimmunoscintigraphy (RIS) with use of iodine 123-labeled antibodies against human granulocytes (123I-anti-NCA95) for the detection of prosthetic vascular graft infection. J. Vasc. Surg. 1991, 14, 703–704. [Google Scholar] [CrossRef]
- Tronco, G.G.; Love, C.; Rini, J.N.; Yu, A.K.; Bhargava, K.K.; Nichols, K.J.; Pugliese, P.V.; Palestro, C.J. Diagnosing prosthetic vascular graft infection with the antigranulocyte antibody 99mTc-fanolesomab. Nucl. Med. Commun. 2007, 28, 297–300. [Google Scholar] [CrossRef]
- Kim, S.J.; Lee, S.W.; Jeong, S.Y.; Pak, K.; Kim, K. A systematic review and meta-analysis of (18)F-fluorodeoxyglucose positron emission tomography or positron emission tomography/computed tomography for detection of infected prosthetic vascular grafts. J. Vasc. Surg. 2019, 70, 307–313. [Google Scholar] [CrossRef]
- Rojoa, D.; Kontopodis, N.; Antoniou, S.A.; Ioannou, C.V.; Antoniou, G.A. 18F-FDG PET in the Diagnosis of Vascular Prosthetic Graft Infection: A Diagnostic Test Accuracy Meta-Analysis. Eur. J. Vasc. Endovasc. Surg. 2019, 57, 292–301. [Google Scholar] [CrossRef]
- Jamar, F.; Buscombe, J.; Chiti, A.; Christian, P.E.; Delbeke, D.; Donohoe, K.J.; Israel, O.; Martin-Comin, J.; Signore, A. EANM/SNMMI guideline for 18F-FDG use in inflammation and infection. J. Nucl. Med. 2013, 54, 647–658. [Google Scholar] [CrossRef]
- Spacek, M.; Belohlavek, O.; Votrubova, J.; Sebesta, P.; Stadler, P. Diagnostics of “non-acute” vascular prosthesis infection using 18F-FDG PET/CT: Our experience with 96 prostheses. Eur. J. Nucl. Med. Mol. Imaging 2009, 36, 850–858. [Google Scholar] [CrossRef]
- Tokuda, Y.; Oshima, H.; Araki, Y.; Narita, Y.; Mutsuga, M.; Kato, K.; Usui, A. Detection of thoracic aortic prosthetic graft infection with 18F-fluorodeoxyglucose positron emission tomography/computed tomography. Eur. J. Cardiothorac. Surg. 2013, 43, 1183–1187. [Google Scholar] [CrossRef] [PubMed]
- Berger, P.; Vaartjes, I.; Scholtens, A.; Moll, F.L.; De Borst, G.J.; De Keizer, B.; Bots, M.L.; Blankensteijn, J.D. Differential FDG-PET Uptake Patterns in Uninfected and Infected Central Prosthetic Vascular Grafts. Eur. J. Vasc. Endovasc. Surg. 2015, 50, 376–383. [Google Scholar] [CrossRef] [PubMed]
- Chang, C.Y.; Chang, C.P.; Shih, C.C.; Yang, B.H.; Cheng, C.Y.; Chang, C.W.; Chu, L.S.; Wang, S.J.; Liu, R.S. Added Value of Dual-Time-Point 18F-FDG PET/CT with Delayed Imaging for Detecting Aortic Graft Infection: An Observational Study. Medicine 2015, 94, e1124. [Google Scholar] [CrossRef] [PubMed]
- Sah, B.R.; Husmann, L.; Mayer, D.; Scherrer, A.; Rancic, Z.; Puippe, G.; Weber, R.; Hasse, B. VASGRA Cohort. Diagnostic performance of 18F-FDG-PET/CT in vascular graft infections. Eur. J. Vasc. Endovasc. Surg. 2015, 49, 455–464. [Google Scholar] [CrossRef] [PubMed]
- Wassélius, J.; Malmstedt, J.; Kalin, B.; Larsson, S.; Sundin, A.; Hedin, U.; Jacobsson, H. High 18F-FDG Uptake in synthetic aortic vascular grafts on PET/CT in symptomatic and asymptomatic patients. J. Nucl. Med. 2008, 49, 1601–1605. [Google Scholar] [CrossRef]
- Guenther, S.P.; Cyran, C.C.; Rominger, A.; Saam, T.; Kazmierzcak, P.M.; Bagaev, E.; Pichlmaier, M.; Hagl, C.; Khaladj, N. The relevance of 18F-fluorodeoxyglucose positron emission tomography/computed tomography imaging in diagnosing prosthetic graft infections post cardiac and proximal thoracic aortic surgery. Interact. Cardiovasc. Thorac. Surg. 2015, 21, 450–458. [Google Scholar] [CrossRef]
- Keidar, Z.; Engel, A.; Hoffman, A.; Israel, O.; Nitecki, S. Prosthetic vascular graft infection: The role of 18F-FDG PET/CT. J. Nucl. Med. 2007, 48, 1230–1236. [Google Scholar] [CrossRef]
- Keidar, Z.; Pirmisashvili, N.; Leiderman, M.; Nitecki, S.; Israel, O. 18F-FDG uptake in noninfected prosthetic vascular grafts: Incidence, patterns, and changes over time. J. Nucl. Med. 2014, 55, 392–395. [Google Scholar] [CrossRef]
- Saleem, B.R.; Berger, P.; Vaartjes, I.; de Keizer, B.; Vonken, E.J.; Slart, R.H.; de Borst, G.J.; Zeebregts, C.J. Modest utility of quantitative measures in 18F-fluorodeoxyglucose positron emission tomography scanning for the diagnosis of aortic prosthetic graft infection. J. Vasc. Surg. 2015, 61, 965–971. [Google Scholar] [CrossRef]
- Bruggink, J.L.; Glaudemans, A.W.; Saleem, B.R.; Meerwaldt, R.; Alkefaji, H.; Prins, T.R.; Slart, R.H.; Zeebregts, C.J. Accuracy of FDG-PET-CT in the diagnostic work-up of vascular prosthetic graft infection. Eur. J. Vasc. Endovasc. Surg. 2010, 40, 348–354. [Google Scholar] [CrossRef]
- Kagna, O.; Kurash, M.; Ghanem-Zoubi, N.; Keidar, Z.; Israel, O. Does Antibiotic Treatment Affect the Diagnostic Accuracy of 18F-FDG PET/CT Studies in Patients with Suspected Infectious Processes? J. Nucl. Med. 2017, 58, 1827–1830. [Google Scholar] [CrossRef] [PubMed]
- Liberatore, M.; Misuraca, M.; Calandri, E.; Rizzo, L.; Speziale, F.; Iurilli, A.P.; Anagnostou, C. White blood cell scintigraphy in the diagnosis of infection of endovascular prostheses within the first month after implantation. Med. Sci. Monit. 2006, 12, MT5–MT9. [Google Scholar] [PubMed]






| Paper | Imaging Modality | Sensitivity | Specificity |
|---|---|---|---|
| Annovazzi 2005 [31] | 99mTc-WBC 111In-WBC CT | 97.7% 84.1% 75% | 88.6% 79.4% 56.6% |
| Reinders Folmer 2018 [12] | [18F]FDG PET [18F]FDG PET/CT WBC (planar) WBC SPECT/CT CTA | 94% | 70% |
| 95% | 80% | ||
| 90% | 88% | ||
| 99% | 82% | ||
| 67% | 63% | ||
| Khaja 2013 [33] | 99mTc-WBC 111In-WBC [18F]FDG PET/CT | 83.7% 83% 93.7% | 97.5% 87% 75% |
| Kim 2019 [38] | [18F]FDG PET/CT | 96% | 74% |
| Rojoa 2019 [39] | [18F]FDG PET/CT: | ||
| 1. graded uptake 2. focal uptake 3. SUVmax 4. T/B ratio 5. DTPI | 89% 93% 98% 57% 100% | 61% 78% 80% 76% 88% |
© 2020 by the authors. Licensee MDPI, Basel, Switzerland. This article is an open access article distributed under the terms and conditions of the Creative Commons Attribution (CC BY) license (http://creativecommons.org/licenses/by/4.0/).
Share and Cite
Lauri, C.; Iezzi, R.; Rossi, M.; Tinelli, G.; Sica, S.; Signore, A.; Posa, A.; Tanzilli, A.; Panzera, C.; Taurino, M.; et al. Imaging Modalities for the Diagnosis of Vascular Graft Infections: A Consensus Paper amongst Different Specialists. J. Clin. Med. 2020, 9, 1510. https://doi.org/10.3390/jcm9051510
Lauri C, Iezzi R, Rossi M, Tinelli G, Sica S, Signore A, Posa A, Tanzilli A, Panzera C, Taurino M, et al. Imaging Modalities for the Diagnosis of Vascular Graft Infections: A Consensus Paper amongst Different Specialists. Journal of Clinical Medicine. 2020; 9(5):1510. https://doi.org/10.3390/jcm9051510
Chicago/Turabian StyleLauri, Chiara, Roberto Iezzi, Michele Rossi, Giovanni Tinelli, Simona Sica, Alberto Signore, Alessandro Posa, Alessandro Tanzilli, Chiara Panzera, Maurizio Taurino, and et al. 2020. "Imaging Modalities for the Diagnosis of Vascular Graft Infections: A Consensus Paper amongst Different Specialists" Journal of Clinical Medicine 9, no. 5: 1510. https://doi.org/10.3390/jcm9051510
APA StyleLauri, C., Iezzi, R., Rossi, M., Tinelli, G., Sica, S., Signore, A., Posa, A., Tanzilli, A., Panzera, C., Taurino, M., Erba, P. A., & Tshomba, Y. (2020). Imaging Modalities for the Diagnosis of Vascular Graft Infections: A Consensus Paper amongst Different Specialists. Journal of Clinical Medicine, 9(5), 1510. https://doi.org/10.3390/jcm9051510

