Expression of Inflammatory Markers RANK, MMP-9 and PTHrP in Chronic Apical Periodontitis from People Living with HIV Undergoing Antiretroviral Therapy
Abstract
1. Introduction
2. Materials and Methods
2.1. Case Selection
2.2. Sample Collection and Processing
2.3. Chronic Apical Periodontitis
2.4. Clinical Record
2.5. Histological Process
2.6. Statistical Analysis
3. Results
3.1. Characteristics of the HIV-1 Infected and Non-Infected Groups
3.2. Radiographic and Histopathological Analyses
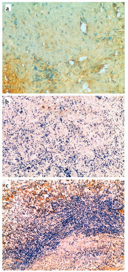
3.3. Immunohistochemical Analysis
4. Discussion
5. Conclusions
Author Contributions
Funding
Acknowledgments
Conflicts of Interest
References
- Ottria, L.; Lauritano, D.; Oberti, L.; Candotto, V.; Cura, F.; Tagliabue, A.; Tettamanti, L. Prevalence of HIV-related oral manifestations and their association with HAART and CD4+ T cell count: A review. J. Biol. Regul. Homeost. Agents 2018, 32, 51–59. [Google Scholar]
- Patton, L. Progress in understanding oral health and HIV/AIDS. Oral Dis. 2014, 20, 223–225. [Google Scholar] [CrossRef] [PubMed]
- Berberi, A.; Aoun, G. Oral lesions associated with human immunodeficiency virus in 75 adult patients: A clinical study. J. Korean Assoc. Oral Maxillofac. Surg. 2017, 43, 388–394. [Google Scholar] [CrossRef] [PubMed][Green Version]
- Schiødt, M. Less common oral lesions associated with HIV infection: Prevalence and classification. Oral Dis. 1997, 3, S208–S213. [Google Scholar] [CrossRef] [PubMed]
- Pak, J.G.; Fayazi, S.; White, S.N. Prevalence of periapical radiolucency and root canal treatment: A systematic review of cross-sectional studies. J. Endod. 2012, 38, 1170–1176. [Google Scholar] [CrossRef] [PubMed]
- Lopes, H.P.; Siqueira, J.F. Endodontia—Biologia e Técnica, 3rd ed.; Saraiva: São Paulo, Brazil, 2010. [Google Scholar]
- Delgado, E.; Benito, S.; Montero, V.; Cuevas, M.T.; Fernández-García, A.; Sánchez-Martínez, M.; García-Bodas, E.; Díez-Fuertes, F.; Gil, H.; Cañada, J.; et al. Diverse Large HIV-1 Non-subtype B Clusters Are Spreading Among Men Who Have Sex With Men in Spain. Front. Microbiol. 2019, 10, 655. [Google Scholar] [CrossRef]
- Gomes, M.S.; Blattner, T.C.; Sant’Ana Filho, M.; Grecca, F.S.; Hugo, F.N.; Fouad, A.F.; Reynolds, M.A. Can apical periodontitis modify systemic levels of inflammatory markers? A systematic review and meta-analysis. J. Endod. 2013, 39, 1205–1217. [Google Scholar] [CrossRef]
- Bercini, F.; de Azambuja, T.W.F.; Pilla, F.S. Lesão periapical em paciente aidético: Revisão da literatura e apresentação de caso clínico cirúrgico. Rev. Fac. Odontol. Porto Alegre 1995, 36, 17–19. [Google Scholar] [CrossRef]
- El Howati, A.; Tappuni, A. Systematic review of the changing pattern of the oral manifestations of HIV. J. Investig. Clin. Dent. 2018, 9, e12351. [Google Scholar] [CrossRef]
- Ørstavik, D.; Kerekes, K.; Eriksen, H.M. The periapical index: A scoring system for radiographic assessment of apical periodontitis. Dent. Traumatol. 1986, 2, 20–34. [Google Scholar] [CrossRef]
- Bouillaguet, S.; Manoil, D.; Girard, M.; Louis, J.; Gaïa, N.; Leo, S.; Schrenzel, J.; Lazarevic, V. Root Microbiota in Primary and Secondary Apical Periodontitis. Front. Microbiol. 2018, 9, 2374. [Google Scholar] [CrossRef] [PubMed]
- Sundqvist, G. Bacteriological Studies of Necrotic Dental Pulps; University of Umea: Umea, Sweden, 1976. [Google Scholar]
- Ajuz, N.C.; Antunes, H.; Mendonça, T.A.; Pires, F.R.; Siqueira, J.F.; Armada, L. Immunoexpression of interleukin 17 in apical periodontitis lesions. J. Endod. 2014, 40, 1400–1403. [Google Scholar] [CrossRef] [PubMed]
- Armada, L.; dos Santos Marotta, P.; Pires, F.R.; Siqueira, J.F. Expression and Distribution of Receptor Activator of Nuclear Factor Kappa B, Receptor Activator of Nuclear Factor Kappa B Ligand, and Osteoprotegerin in Periradicular Cysts. J. Endod. 2015, 41, 1281–1287. [Google Scholar] [CrossRef] [PubMed]
- Bracks, I.V.; Armada, L.; Gonçalves, L.S.; Pires, F.R. Distribution of mast cells and macrophages and expression of interleukin-6 in periapical cysts. J. Endod. 2014, 40, 63–68. [Google Scholar] [CrossRef] [PubMed]
- Lenhard, W.; Lenhard, A. Computation of Effect Sizes; Psychometrica: Dettelbach, Germany, 2017. [Google Scholar]
- Vohra, P.; Jamatia, K.; Subhada, B.; Tiwari, R.V.C.; Althaf, M.N.; Jain, C. Correlation of CD4 counts with oral and systemic manifestations in HIV patients. J. Fam. Med. Prim. Care 2019, 8, 3247–3252. [Google Scholar] [CrossRef] [PubMed]
- Wattanachanya, L.; Jantrapakde, J.; Avihingsanon, A.; Ramautarsing, R.; Kerr, S.; Trachunthong, D.; Pussadee, K.; Teeratakulpisarn, N.; Jadwattanakul, T.; Chaiwatanarat, T.; et al. Antiretroviral-naïve HIV-infected patients had lower bone formation markers than HIV-uninfected adults. AIDS Care 2020, 32, 984–993. [Google Scholar] [CrossRef]
- Desta, A.A.; Wubayehu Woldearegay, T.; Berhe, A.A.; Futwi, N.; Gebremedhn Gebru, G.; Godefay, H. Immunological recovery, failure and factors associated with CD-4 T-cells progression over time, among adolescents and adults living with HIV on Antiretroviral Therapy in Northern Ethiopia: A retrospective cross sectional study. PLoS ONE 2019, 14, e0226293. [Google Scholar] [CrossRef]
- Aminoshariae, A.; Kulild, J.C.; Mickel, A.; Fouad, A.F. Association between Systemic Diseases and Endodontic Outcome: A Systematic Review. J. Endod. 2017, 43, 514–519. [Google Scholar] [CrossRef]
- Minniear, T.D.; Girde, S.; Angira, F.; Mills, L.A.; Zeh, C.; Peters, P.J.; Masaba, R.; Lando, R.; Thomas, T.K.; Taylor, A.W.; et al. Outcomes in a cohort of women who discontinued maternal triple-antiretroviral regimens initially used to prevent mother-to-child transmission during pregnancy and breastfeeding—Kenya, 2003–2009. PLoS ONE 2014, 9, e93556. [Google Scholar] [CrossRef]
- Tootla, S.; Owen, C.P. A comparison of endodontic treatment outcomes between HIV-positive and HIV-negative patients. SADJ 2012, 67, 322–325. [Google Scholar]
- Alley, B.S.; Buchanan, T.H.; Eleazer, P.D. Comparison of the success of root canal therapy in HIV/AIDS patients and non-infected controls. Gen. Dent. 2008, 56, 155–157. [Google Scholar] [PubMed]
- Quesnell, B.T.; Alves, M.; Hawkinson, R.W.; Johnson, B.R.; Wenckus, C.S.; BeGole, E.A. The effect of human immunodeficiency virus on endodontic treatment outcome. J. Endod. 2005, 31, 633–636. [Google Scholar] [CrossRef] [PubMed]
- Gama, T.G.V.; Pires, F.R.; Armada, L.; Gonçalves, L.S. Cellular Profile and Expression of Immunologic Markers in Chronic Apical Periodontitis from HIV-infected Patients Undergoing Highly Active Antiretroviral Therapy. J. Endod. 2016, 42, 921–927. [Google Scholar] [CrossRef] [PubMed]
- Fontes, T.V.; Ferreira, S.M.S.; Silva-Júnior, A.; Dos Santos Marotta, P.; Noce, C.W.; de Carvalho Ferreira, D.; Gonçalves, L.S. Periradicular lesions in HIV-infected patients attending the faculty of dentistry: Clinical findings, socio-demographics status, habits and laboratory data-seeking an association. Clinics 2014, 69, 627–633. [Google Scholar] [CrossRef]
- Brito, L.C.N.; Sobrinho, A.P.R.; Teles, R.P.; Socransky, S.S.; Haffajee, A.D.; Vieira, L.Q.; Teles, F.R.F. Microbiologic profile of endodontic infections from HIV- and HIV+ patients using multiple-displacement amplification and checkerboard DNA-DNA hybridization. Oral Dis. 2012, 18, 558–567. [Google Scholar] [CrossRef]
- De Brito, L.C.N.; Teles, F.R.; Teles, R.P.; Nogueira, P.M.; Vieira, L.Q.; Ribeiro Sobrinho, A.P. Immunological profile of periapical endodontic infections from HIV- and HIV+ patients. Int. Endod. J. 2015, 48, 533–541. [Google Scholar] [CrossRef]
- Wong, S.K.; Mohamad, N.-V.; Giaze, T.R.; Chin, K.-Y.; Mohamed, N.; Ima-Nirwana, S. Prostate Cancer and Bone Metastases: The Underlying Mechanisms. Int. J. Mol. Sci. 2019, 20, 2587. [Google Scholar] [CrossRef]
- Zhang, J.; Liao, L.; Li, Y.; Xu, Y.; Guo, W.; Tian, W.; Zou, S. Parathyroid hormone-related peptide (1-34) promotes tooth eruption and inhibits osteogenesis of dental follicle cells during tooth development. J. Cell. Physiol. 2019, 234, 11900–11911. [Google Scholar] [CrossRef]
- Takahashi, A.; Nagata, M.; Gupta, A.; Matsushita, Y.; Yamaguchi, T.; Mizuhashi, K.; Maki, K.; Ruellas, A.C.; Cevidanes, L.S.; Kronenberg, H.M.; et al. Autocrine regulation of mesenchymal progenitor cell fates orchestrates tooth eruption. Proc. Natl. Acad. Sci. USA 2019, 116, 575–580. [Google Scholar] [CrossRef]
- Vu, T.H.; Shipley, J.M.; Bergers, G.; Berger, J.E.; Helms, J.A.; Hanahan, D.; Shapiro, S.D.; Senior, R.M.; Werb, Z. MMP-9/gelatinase B is a key regulator of growth plate angiogenesis and apoptosis of hypertrophic chondrocytes. Cell 1998, 93, 411–422. [Google Scholar] [CrossRef]
- Reponen, P.; Sahlberg, C.; Munaut, C.; Thesleff, I.; Tryggvason, K. High expression of 92-kD type IV collagenase (gelatinase B) in the osteoclast lineage during mouse development. J. Cell. Biol. 1994, 124, 1091–1102. [Google Scholar] [CrossRef] [PubMed]
- Khedr, M.E.M.S.; Abdelmotelb, A.M.; Pender, S.L.F.; Zhou, X.; Walls, A.F. Neutrophilia, gelatinase release and microvascular leakage induced by human mast cell tryptase in a mouse model: Lack of a role of protease-activated receptor 2 (PAR2). Clin. Exp. Allergy 2018, 48, 555–567. [Google Scholar] [CrossRef]
- Martinho, F.C.; Teixeira, F.F.C.; Cardoso, F.G.R.; Ferreira, N.S.; Nascimento, G.G.; Carvalho, C.A.T.; Valera, M.C. Clinical Investigation of Matrix Metalloproteinases, Tissue Inhibitors of Matrix Metalloproteinases, and Matrix Metalloproteinase/Tissue Inhibitors of Matrix Metalloproteinase Complexes and Their Networks in Apical Periodontitis. J. Endod. 2016, 42, 1082–1088. [Google Scholar] [CrossRef] [PubMed]
- Anderson, D.M.; Maraskovsky, E.; Billingsley, W.L.; Dougall, W.C.; Tometsko, M.E.; Roux, E.R.; Teepe, M.C.; DuBose, R.F.; Cosman, D.; Galibert, L. A homologue of the TNF receptor and its ligand enhance T-cell growth and dendritic-cell function. Nature 1997, 390, 175–179. [Google Scholar] [CrossRef] [PubMed]
- Wada, T.; Nakashima, T.; Hiroshi, N.; Penninger, J.M. RANKL-RANK signaling in osteoclastogenesis and bone disease. Trends Mol. Med. 2006, 12, 17–25. [Google Scholar] [CrossRef]
- Schramek, D.; Penninger, J. The many roles of RANKL-RANK signaling in bone, breast and cancer. IBMS BoneKEy 2011, 8, 237–256. [Google Scholar] [CrossRef]
- Sigl, V.; Jones, L.P.; Penninger, J.M. RANKL/RANK: From bone loss to the prevention of breast cancer. Open Biol. 2016, 6. [Google Scholar] [CrossRef]
- Hofbauer, L.C.; Heufelder, A.E. Role of receptor activator of nuclear factor-kappaB ligand and osteoprotegerin in bone cell biology. J. Mol. Med. 2001, 79, 243–253. [Google Scholar] [CrossRef]
- Nagy, V.; Penninger, J.M. The RANKL-RANK Story. Gerontology 2015, 61, 534–542. [Google Scholar] [CrossRef]
- Stashenko, P.; Teles, R.; D’Souza, R. Periapical inflammatory responses and their modulation. Crit. Rev. Oral Biol. Med. 1998, 9, 498–521. [Google Scholar] [CrossRef]
- Esemu, L.F.; Yuosembom, E.K.; Fang, R.; Rasay, S.; Fodjo, B.A.Y.; Nguasong, J.T.; Kidima, W.; Ekali, G.L.; Chen, J.J.; Ndhlovu, L.; et al. Impact of HIV-1 infection on the IGF-1 axis and angiogenic factors in pregnant Cameroonian women receiving antiretroviral therapy. PLoS ONE 2019, 14, e0215825. [Google Scholar] [CrossRef] [PubMed]
- Letizia, A.; Eller, M.A.; Polyak, C.; Eller, L.A.; Creegan, M.; Dawson, P.; Bryant, C.; D, K.; Crowell, T.A.; Lombardi, K.; et al. Biomarkers of Inflammation Correlate With Clinical Scoring Indices in Human Immunodeficiency Virus-Infected Kenyans. J. Infect. Dis. 2019, 219, 284–294. [Google Scholar] [CrossRef] [PubMed]
- Sufiawati, I.; Tugizov, S.M. HIV-induced matrix metalloproteinase-9 activation through mitogen-activated protein kinase signalling promotes HSV-1 cell-to-cell spread in oral epithelial cells. J. Gen. Virol. 2018, 99, 937–947. [Google Scholar] [CrossRef] [PubMed]
- Bech, A.; Van Bentum, P.; Telting, D.; Gisolf, J.; Richter, C.; De Boer, H. Treatment of calcium and vitamin D deficiency in HIV-positive men on tenofovir-containing antiretroviral therapy. HIV Clin. Trials 2012, 13, 350–356. [Google Scholar] [CrossRef]
- Weber, M.; Ries, J.; Büttner-Herold, M.; Geppert, C.-I.; Kesting, M.; Wehrhan, F. Differences in Inflammation and Bone Resorption between Apical Granulomas, Radicular Cysts, and Dentigerous Cysts. J. Endod. 2019, 45, 1200–1208. [Google Scholar] [CrossRef]

| Characteristics | HIV+ ART Group (n = 16) | HIV- Group (n = 16) | p | d1 |
|---|---|---|---|---|
| Sociodemographic parameters | ||||
| Age in years (mean (SD)) | 46.9 (10.6) | 53.1 (11.1) | 0.147 | 0.558 |
| Gender-No. (%) | ||||
| Male | 9 (56.3) | 6 (37.5) | 0.719 | 0.128 |
| Female | 7 (43.7) | 10 (62.5) | ||
| Smoker-No. (%) | ||||
| Yes | 1 (6.3) | 0 (0) | 1.00 | - |
| No | 15 (93.8) | 16 (100) |
| Characteristics | HIV+ ART Group (n = 16) | HIV- Group (n = 16) | p | d1 |
|---|---|---|---|---|
| Lesion size–mean (SD) | 3.9 (2.4) | 4.6 (1.5) | 0.805 | 0.087 |
| Histopathology–No. (%) | ||||
| Granulomas | 11 (68.8) | 15 (93.8) | 0.015 | 1.114 |
| Cysts | 5 (31.2) | 1 (6.2) |
| Variables | HIV+ ART Group (n = 16) | HIV- Group (n = 16) | p | d1 |
|---|---|---|---|---|
| RANK | 1.2 (0.4); 1.2 (0.6–1.8) | 1.1 (0.3); 1.0 (0.6–1.6) | 0.396 | 0.187 |
| MMP-9 | 1.1 (0.5); 1.2 (0.4–1.8) | 1.1 (0.5); 0.9 (0.4–1.8) | 0.504 | 0.047 |
| PTHrP | 0.7 (0.3); 0.8 (0.4–1.2) | 0.8 (0.3); 0.8 (0.4–1.2) | 0.291 | 0.140 |
Publisher’s Note: MDPI stays neutral with regard to jurisdictional claims in published maps and institutional affiliations. |
© 2020 by the authors. Licensee MDPI, Basel, Switzerland. This article is an open access article distributed under the terms and conditions of the Creative Commons Attribution (CC BY) license (http://creativecommons.org/licenses/by/4.0/).
Share and Cite
Pereira, M.F.; Pires, F.R.; Armada, L.; Ferreira, D.C.; Carrouel, F.; Bourgeois, D.; Gonçalves, L.S. Expression of Inflammatory Markers RANK, MMP-9 and PTHrP in Chronic Apical Periodontitis from People Living with HIV Undergoing Antiretroviral Therapy. J. Clin. Med. 2020, 9, 3611. https://doi.org/10.3390/jcm9113611
Pereira MF, Pires FR, Armada L, Ferreira DC, Carrouel F, Bourgeois D, Gonçalves LS. Expression of Inflammatory Markers RANK, MMP-9 and PTHrP in Chronic Apical Periodontitis from People Living with HIV Undergoing Antiretroviral Therapy. Journal of Clinical Medicine. 2020; 9(11):3611. https://doi.org/10.3390/jcm9113611
Chicago/Turabian StylePereira, Marcio Francisco, Fabio Ramoa Pires, Luciana Armada, Dennis Carvalho Ferreira, Florence Carrouel, Denis Bourgeois, and Lucio Souza Gonçalves. 2020. "Expression of Inflammatory Markers RANK, MMP-9 and PTHrP in Chronic Apical Periodontitis from People Living with HIV Undergoing Antiretroviral Therapy" Journal of Clinical Medicine 9, no. 11: 3611. https://doi.org/10.3390/jcm9113611
APA StylePereira, M. F., Pires, F. R., Armada, L., Ferreira, D. C., Carrouel, F., Bourgeois, D., & Gonçalves, L. S. (2020). Expression of Inflammatory Markers RANK, MMP-9 and PTHrP in Chronic Apical Periodontitis from People Living with HIV Undergoing Antiretroviral Therapy. Journal of Clinical Medicine, 9(11), 3611. https://doi.org/10.3390/jcm9113611

