Exploration of Functional Connectivity Changes Previously Reported in Fibromyalgia and Their Relation to Psychological Distress and Pain Measures
Abstract
1. Introduction
2. Experimental Section
2.1. Subjects
2.2. Procedures
2.3. Materials
2.3.1. Pain Assessments
2.3.2. Psychological Distress and Disability Assessments
2.3.3. fMRI Assessment
2.4. Statistics
3. Results
3.1. Questionnaires and Pain Thresholds
3.2. Seed-Target Tests of between and within-Group Effects
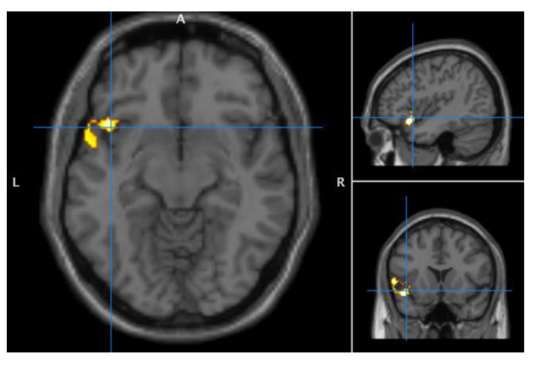
3.3. Exploration of Functional Connectivity ROI to Whole Brain
4. Discussion
5. Conclusions
Author Contributions
Funding
Acknowledgments
Conflicts of Interest
References
- Wolfe, F.; Smythe, H.A.; Yunus, M.B.; Bennett, R.M.; Bombardier, C.; Goldenberg, D.L.; Tugwell, P.; Campbell, S.M.; Abeles, M.; Clark, P.; et al. The American College of Rheumatology 1990 Criteria for the Classification of Fibromyalgia. Arthritis Rheum. 1990, 33, 160–172. [Google Scholar] [CrossRef] [PubMed]
- Wolfe, F.; Clauw, D.J.; Fitzcharles, M.A.; Goldenberg, D.L.; Häuser, W.; Katz, R.L.; Mease, P.J.; Russell, A.S.; Russell, I.J.; Walitt, B. 2016 Revisions to the 2010/2011 fibromyalgia diagnostic criteria. Semin. Arthritis Rheum. 2016, 46, 319–329. [Google Scholar] [CrossRef] [PubMed]
- Arnold, L.M.; Bennett, R.M.; Crofford, L.J.; Dean, L.E.; Clauw, D.J.; Goldenberg, D.L.; Fitzcharles, M.A.; Paiva, E.S.; Staud, R.; Sarzi-Puttini, P.; et al. AAPT Diagnostic Criteria for Fibromyalgia. J. Pain 2018, 20, 611–628. [Google Scholar] [CrossRef] [PubMed]
- Borchers, A.T.; Gershwin, M.E. Fibromyalgia: A Critical and Comprehensive Review; Springer: New York, NY, US, 2015; Volume 49, pp. 100–151. [Google Scholar]
- Chinn, S.; Caldwell, W.; Gritsenko, K. Fibromyalgia Pathogenesis and Treatment Options Update. Curr. Pain Headache Rep. 2016, 20, 1–10. [Google Scholar] [CrossRef] [PubMed]
- Coppieters, I.; Meeus, M.; Kregel, J.; Caeyenberghs, K.; De Pauw, R.; Goubert, D.; Cagnie, B. Relations Between Brain Alterations and Clinical Pain Measures in Chronic Musculoskeletal Pain: A Systematic Review. J. Pain 2016, 17, 949–962. [Google Scholar] [CrossRef] [PubMed]
- Dutta, A.; McKie, S.; Deakin, J.F.W. Resting state networks in major depressive disorder. Psychiatry Res. 2014, 224, 139–151. [Google Scholar] [CrossRef] [PubMed]
- Modi, S.; Kumar, M.; Kumar, P.; Khushu, S. Aberrant functional connectivity of resting state networks associated with trait anxiety. Psychiatry Res. Neuroimaging 2015, 234, 25–34. [Google Scholar] [CrossRef]
- Pannekoek, J.N.; van der Werff, S.J.A.; van Tol, M.J.; Veltman, D.J.; Aleman, A.; Zitman, F.G.; Rombouts, S.A.R.B.; van der Wee, N.J.A. Investigating distinct and common abnormalities of resting-state functional connectivity in depression, anxiety, and their comorbid states. Eur. Neuropsychopharmacol. 2015, 25, 1933–1942. [Google Scholar] [CrossRef]
- Sluka, K.A.; Clauw, D.J. Neurobiology of fibromyalgia and chronic widespread pain. Neuroscience 2016, 338, 114–129. [Google Scholar] [CrossRef] [PubMed]
- Fox, M.D.; Snyder, A.Z.; Vincent, J.L.; Corbetta, M.; Van Essen, D.C.; Raichle, M.E. The human brain is intrinsically organized into dynamic, anticorrelated functional networks. Proc. Natl. Acad. Sci. USA 2005, 102, 9673–9678. [Google Scholar] [CrossRef]
- Laird, A.R.; Fox, P.M.; Eickhoff, S.B.; Turner, J.A.; Ray, K.L.; McKay, D.R.; Glahn, D.C.; Beckmann, C.F.; Smith, S.M.; Fox, P.T. Behavioral Interpretations of Intrinsic Connectivity Networks. J. Cogn. Neurosci. 2011, 23, 4022–4037. [Google Scholar] [CrossRef]
- Seeley, W.W.; Menon, V.; Schatzberg, A.F.; Keller, J.; Glover, G.H.; Kenna, H.; Reiss, A.L.; Greicius, M.D. Dissociable intrinsic connectivity networks for salience processing and executive control. J. Neurosci. 2007, 27, 2349–2356. [Google Scholar] [CrossRef]
- Wager, T.D.; Atlas, L.Y.; Lindquist, M.A.; Roy, M.; Woo, C.-W.; Kross, E. An fMRI-Based Neurologic Signature of Physical Pain. N. Engl. J. Med. 2013, 368, 1388–1397. [Google Scholar] [CrossRef] [PubMed]
- Cifre, I.; Sitges, C.; Fraiman, D.; Munoz, M.A.; Balenzuela, P.; Gonzalez-Roldan, A.; Martinez-Jauand, M.; Birbaumer, N.; Chialvo, D.R.; Montoya, P.; et al. Disrupted functional connectivity of the pain network in fibromyalgia. Psychosom. Med. 2012, 74, 55–62. [Google Scholar] [CrossRef]
- Napadow, V.; LaCount, L.; Park, K.; As-Sanie, S.; Clauw, D.J.; Harris, R.E. Intrinsic brain connectivity in fibromyalgia is associated with chronic pain intensity. Arthritis Rheum. 2010, 62, 2545–2555. [Google Scholar] [CrossRef]
- Ichesco, E.; Schmidt-Wilcke, T.; Bhavsar, R.; Clauw, D.J.; Peltier, S.J.; Kim, J.; Napadow, V.; Hampson, J.P.; Kairys, A.E.; Williams, D.A.; et al. Altered resting state connectivity of the insular cortex in individuals with fibromyalgia. J. Pain 2014, 15, 815–826. [Google Scholar] [CrossRef]
- Ichesco, E.; Puiu, T.; Hampson, J.P.; Kairys, A.E.; Clauw, D.J.; Harte, S.E.; Peltier, S.J.; Harris, R.E.; Schmidt-Wilcke, T. Altered fMRI resting-state connectivity in individuals with fibromyalgia on acute pain stimulation. Eur. J. Pain 2016, 20, 1079–1089. [Google Scholar] [CrossRef] [PubMed]
- Napadow, V.; Kim, J.; Clauw, D.J.; Harris, R.E. Decreased intrinsic brain connectivity is associated with reduced clinical pain in fibromyalgia. Arthritis Rheum. 2012, 64, 2398–2403. [Google Scholar] [CrossRef]
- Baliki, M.N.; Mansour, A.R.; Baria, A.T.; Apkarian, A.V. Functional reorganization of the default mode network across chronic pain conditions. PLoS ONE 2014, 9, e106133. [Google Scholar] [CrossRef] [PubMed]
- Goya-Maldonado, R.; Brodmann, K.; Keil, M.; Trost, S.; Dechent, P.; Gruber, O. Differentiating unipolar and bipolar depression by alterations in large-scale brain networks. Hum. Brain Mapp. 2016, 37, 808–818. [Google Scholar] [CrossRef]
- Mulders, P.C.; van Eijndhoven, P.F.; Schene, A.H.; Beckmann, C.F.; Tendolkar, I. Resting-state functional connectivity in major depressive disorder: A review. Neurosci. Biobehav. Rev. 2015, 56, 330–344. [Google Scholar] [CrossRef]
- Borsook, D.; Sava, S.; Becerra, L. The Pain Imaging Revolution: Advancing Pain Into the 21st Century. Neuroscientist 2010, 16, 171–185. [Google Scholar] [CrossRef]
- Ruscheweyh, R.; Marziniak, M.; Stumpenhorst, F.; Reinholz, J.; Knecht, S. Pain sensitivity can be assessed by self-rating: Development and validation of the Pain Sensitivity Questionnaire. Pain 2009, 146, 65–74. [Google Scholar] [CrossRef] [PubMed]
- Larsson, B.; Gerdle, B.; Björk, J.; Grimby-Ekman, A. Pain Sensitivity and its Relation to Spreading on the Body, Intensity, Frequency, and Duration of Pain. Clin. J. Pain 2017, 33, 579–587. [Google Scholar] [CrossRef]
- Valeberg, B.T.; Pedersen, L.M.; Girotto, V.; Christensen, V.L.; Stubhaug, A. Validation of the Norwegian Pain Sensitivity Questionnaire. J. Pain Res. 2017, 10, 1137–1142. [Google Scholar] [CrossRef] [PubMed]
- Ruscheweyh, R.; Verneuer, B.; Dany, K.; Marziniak, M.; Wolowski, A.; Colak-Ekici, R.; Schulte, T.L.; Bullmann, V.; Grewe, S.; Gralow, I.; et al. Validation of the pain sensitivity questionnaire in chronic pain patients. Pain 2012, 153, 1210–1218. [Google Scholar] [CrossRef]
- Sellers, A.B.; Ruscheweyh, R.; Kelley, B.J.; Ness, T.J.; Vetter, T.R. Validation of the English Language Pain Sensitivity Questionnaire. Reg. Anesth. Pain Med. 2013, 38, 508–514. [Google Scholar] [CrossRef]
- Kim, H.-J.; Ruscheweyh, R.; Yeo, J.-H.; Cho, H.-G.; Yi, J.-M.; Chang, B.-S.; Lee, C.-K.; Yeom, J.S. Translation, Cross-Cultural Adaptation, and Validity of the Korean Version of the Pain Sensitivity Questionnaire in Chronic Pain Patients. Pain Pract. 2014, 14, 745–751. [Google Scholar] [CrossRef]
- Börsbo, B.; Liedberg, G.M.; Wallin, M.; Gerdle, B. Subgroups based on thermal and pressure pain thresholds in women with chronic whiplash display differences in clinical presentation—An explorative study. J. Pain Res. 2012, 5, 511. [Google Scholar] [CrossRef] [PubMed]
- Lemming, D.; Börsbo, B.; Sjörs, A.; Lind, E.B.; Arendt-Nielsen, L.; Graven-Nielsen, T.; Gerdle, B. Single-point but not tonic cuff pressure pain sensitivity is associated with level of physical fitness—A study of non-athletic healthy subjects. PLoS ONE 2015, 10, e0125432. [Google Scholar] [CrossRef]
- Zigmond, A.S.; Snaith, R.P. The hospital anxiety and depression scale. Acta Psychiatr. Scand. 1983, 67, 361–370. [Google Scholar] [CrossRef] [PubMed]
- Bjelland, I.; Dahl, A.A.; Haug, T.T.; Neckelmann, D. The validity of the Hospital Anxiety and Depression Scale: An updated literature review. J. Psychosom. Res. 2002, 52, 69–77. [Google Scholar] [CrossRef]
- Miró, J.; Nieto, R.; Huguet, A. The Catalan Version of the Pain Catastrophizing Scale: A Useful Instrument to Assess Catastrophic Thinking in Whiplash Patients. J. Pain 2008, 9, 397–406. [Google Scholar] [CrossRef]
- Sullivan, M.J.L.; Bishop, S.R.; Pivik, J. The Pain Catastrophizing Scale: Development and validation. Psychol. Assess. 1995, 7, 524–532. [Google Scholar] [CrossRef]
- Tait, R.C.; Pollard, C.A.; Margolis, R.B.; Duckro, P.N.; Krause, S.J. The Pain Disability Index: Psychometric and validity data. Arch. Phys. Med. Rehabil. 1987, 68, 438–441. [Google Scholar]
- Chibnall, J.T.; Tait, R.C. The Pain Disability Index: Factor structure and normative data. Arch. Phys. Med. Rehabil. 1994, 75, 1082–1086. [Google Scholar] [CrossRef]
- Boehme, R.; van Ettinger-Veenstra, H.; Olausson, H.; Gerdle, B.; Nagi, S.S. Anhedonia to gentle touch in fibromyalgia: Normal sensory processing but abnormal evaluation. Brain Sci. 2020, 10, 306. [Google Scholar] [CrossRef]
- Whitfield-Gabrieli, S.; Nieto-Castanon, A. Conn: A Functional Connectivity Toolbox for Correlated and Anticorrelated Brain Networks. Brain Connect. 2012, 2, 125–141. [Google Scholar] [CrossRef]
- Witt, S.T.; van Ettinger-Veenstra, H.; Salo, T.; Riedel, M.C.; Laird, A.R. What executive function network is that? An image-based meta-analysis of network labels. bioRxiv 2020. [Google Scholar] [CrossRef]
- Shirer, W.R.; Ryali, S.; Rykhlevskaia, E.; Menon, V.; Greicius, M.D. Decoding subject-driven cognitive states with whole-brain connectivity patterns. Cereb. Cortex 2012, 22, 158–165. [Google Scholar] [CrossRef]
- Greicius, M.D. Functional ROIs. Available online: http://findlab.stanford.edu/functional_ROIs.html (accessed on 16 October 2019).
- Benjamini, Y.; Hochberg, Y. Controlling the False Discovery Rate: A Practical and Powerful Approach to Multiple Testing. J. R. Stat. Soc. B 1995, 57, 289–300. [Google Scholar] [CrossRef]
- Tesio, V.; Torta, D.M.E.; Colonna, F.; Leombruni, P.; Ghiggia, A.; Fusaro, E.; Geminiani, G.C.; Torta, R.; Castelli, L. Are fibromyalgia patients cognitively impaired? Objective and subjective neuropsychological evidence. Arthritis Care Res. 2015, 67, 143–150. [Google Scholar] [CrossRef]
- Bell, T.; Trost, Z.; Buelow, M.T.; Clay, O.; Younger, J.; Moore, D.; Crowe, M. Meta-analysis of cognitive performance in fibromyalgia. J. Clin. Exp. Neuropsychol. 2018, 40, 698–714. [Google Scholar] [CrossRef]
- Glass, J.M.; Williams, D.A.; Fernandez-Sanchez, M.L.; Kairys, A.; Barjola, P.; Heitzeg, M.M.; Clauw, D.J.; Schmidt-Wilcke, T. Executive function in chronic pain patients and healthy controls: Different cortical activation during response inhibition in fibromyalgia. J. Pain 2011, 12, 1219–1229. [Google Scholar] [CrossRef]
- Ceko, M.; Bushnell, M.C.; Fitzcharles, M.A.; Schweinhardt, P. Fibromyalgia interacts with age to change the brain. NeuroImage Clin. 2013, 3, 249–260. [Google Scholar] [CrossRef]
- Walitt, B.; Čeko, M.; Gracely, J.L.; Gracely, R.H. Neuroimaging of central sensitivity syndromes: Key insights from the scientific literature. Curr. Rheumatol. Rev. 2016, 12, 55–87. [Google Scholar] [CrossRef] [PubMed]
- López-Solà, M.; Woo, C.W.; Pujol, J.; Deus, J.; Harrison, B.J.; Monfort, J.; Wager, T.D. Towards a neurophysiological signature for fibromyalgia. Pain 2017, 158, 34–47. [Google Scholar] [CrossRef]
- Menon, V. Salience Network. In Brain Mapping: An Encyclopedic Reference; Academic Press: Waltham, MA, USA, 2015; Volume 2, pp. 597–611. ISBN 9780123970251. [Google Scholar]
- Menon, V. Large-scale brain networks and psychopathology: A unifying triple network model. Trends Cogn. Sci. 2011, 15, 483–506. [Google Scholar] [CrossRef]
- Hemington, K.S.; Wu, Q.; Kucyi, A.; Inman, R.D.; Davis, K.D. Abnormal cross-network functional connectivity in chronic pain and its association with clinical symptoms. Brain Struct. Funct. 2016, 221, 4203–4219. [Google Scholar] [CrossRef]
- Van Ettinger-Veenstra, H.; Lundberg, P.; Alföldi, P.; Södermark, M.; Graven-Nielsen, T.; Sjörs, A.; Engström, M.; Gerdle, B. Chronic widespread pain patients show disrupted cortical connectivity in default mode and salience networks, modulated by pain sensitivity. J. Pain Res. 2019, 12, 1743–1755. [Google Scholar] [CrossRef] [PubMed]



| Region of Interest | MNI Coordinates | Volume (Voxels) | ||
|---|---|---|---|---|
| x | y | z | ||
| Posterior Cingulate Cortex | 0 | −52 | 30 | 1555 |
| vmPFC | −4 | 50 | 14 | 5257 |
| Left IPS | −42 | −62 | 46 | 2110 |
| Right IPS | 46 | −52 | 48 | 1873 |
| Left anterior insula | −42 | 16 | −2 | 305 |
| Right anterior insula | 42 | 16 | 0 | 319 |
| Variable | HC (n = 28) | FM (n = 31) | Statistics | |||||
|---|---|---|---|---|---|---|---|---|
| Mean | SD | Range | Mean | SD | Range | t | p-Value | |
| Age | 42.64 | 10.24 | 23–55 | 39.23 | 11.44 | 22–56 | 1.21 | 0.233 |
| Pain Intensity | 0 | 0 | 0 | 5.68 | 1.83 | 3–10 | N/A | N/A |
| PSQ total | 3.49 | 0.91 | 2.14–5.71 | 5.70 | 1.80 | 1.93–11.50 | 5.86 | <0.001 |
| PPT (kPa/s) | 363.69 | 111.49 | 186–607 | 122.94 | 77.42 | 32–350 | 9.54 † | <0.001 |
| HADS total | 4.14 | 3.14 | 0–12 | 13.81 | 6.75 | 1–29 | 6.93 | <0.001 |
| HADS-depression | 1.43 | 1.71 | 0–6 | 6.00 | 3.61 | 0–15 | 6.32 † | <0.001 |
| HADS-anxiety | 2.71 | 2.28 | 0–7 | 7.81 | 4.04 | 0–14 | 6.04 † | <0.001 |
| PCS total | 11.32 | 8.98 | 0–45 | 20.32 | 10.47 | 1–45 | 3.53 | <0.001 |
| PCS rumination | 5.64 | 3.78 | 0–15 | 6.42 | 3.84 | 0–15 | 0.78 | 0.438 |
| PCS magnification | 2.04 | 2.29 | 0–10 | 3.35 | 2.30 | 0–8 | 2.21 | 0.031 |
| PCS helplessness | 3.71 | 4.05 | 0–20 | 10.55 | 5.32 | 0–22 | 5.51 | <0.001 |
| PDI total | 8.50 | 5.11 | 6–33 | 36.48 | 11.27 | 14–66 | 12.48 † | <0.001 |
Publisher’s Note: MDPI stays neutral with regard to jurisdictional claims in published maps and institutional affiliations. |
© 2020 by the authors. Licensee MDPI, Basel, Switzerland. This article is an open access article distributed under the terms and conditions of the Creative Commons Attribution (CC BY) license (http://creativecommons.org/licenses/by/4.0/).
Share and Cite
van Ettinger-Veenstra, H.; Boehme, R.; Ghafouri, B.; Olausson, H.; Wicksell, R.K.; Gerdle, B. Exploration of Functional Connectivity Changes Previously Reported in Fibromyalgia and Their Relation to Psychological Distress and Pain Measures. J. Clin. Med. 2020, 9, 3560. https://doi.org/10.3390/jcm9113560
van Ettinger-Veenstra H, Boehme R, Ghafouri B, Olausson H, Wicksell RK, Gerdle B. Exploration of Functional Connectivity Changes Previously Reported in Fibromyalgia and Their Relation to Psychological Distress and Pain Measures. Journal of Clinical Medicine. 2020; 9(11):3560. https://doi.org/10.3390/jcm9113560
Chicago/Turabian Stylevan Ettinger-Veenstra, Helene, Rebecca Boehme, Bijar Ghafouri, Håkan Olausson, Rikard K. Wicksell, and Björn Gerdle. 2020. "Exploration of Functional Connectivity Changes Previously Reported in Fibromyalgia and Their Relation to Psychological Distress and Pain Measures" Journal of Clinical Medicine 9, no. 11: 3560. https://doi.org/10.3390/jcm9113560
APA Stylevan Ettinger-Veenstra, H., Boehme, R., Ghafouri, B., Olausson, H., Wicksell, R. K., & Gerdle, B. (2020). Exploration of Functional Connectivity Changes Previously Reported in Fibromyalgia and Their Relation to Psychological Distress and Pain Measures. Journal of Clinical Medicine, 9(11), 3560. https://doi.org/10.3390/jcm9113560

