Increased Diagnostic Certainty of Periprosthetic Joint Infections by Combining Microbiological Results with Histopathological Samples Gained via a Minimally Invasive Punching Technique
Abstract
1. Introduction
2. Experimental Section
2.1. Patients
2.2. Technique and Biopsy System
2.3. Test Regimes
2.4. Statistics
2.5. Cost Analysis
2.6. Ethics Vote and Data Privacy
3. Results
3.1. General Patient Data and Surgical Method
3.2. Preoperative Diagnosis
3.3. Intraoperative Diagnosis
3.3.1. Microbiology
3.3.2. Histopathology
3.3.3. Analysis of the Sensitivity and the Specificity of the Different Test Regimes
3.4. Complications of the Intervention
3.5. Cost Analysis
4. Discussion
4.1. Microbial Spectrum
4.2. Testing of the Synovial Fluid
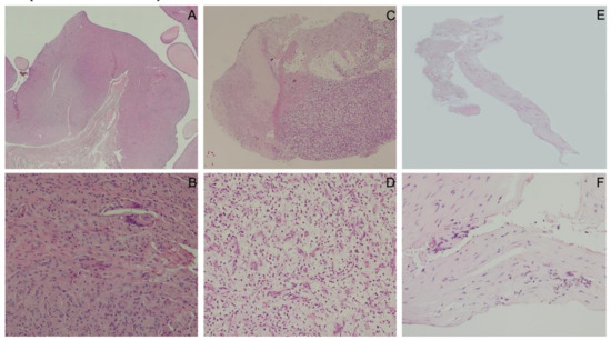
4.3. Analysis and Value of Histopathology
4.4. Cost and Benefit Analysis
5. Conclusions
Supplementary Materials
Author Contributions
Funding
Conflicts of Interest
Availability of Data and Materials
References
- Kapadia, B.H.; Berg, R.A.; Daley, J.A.; Fritz, J.; Bhave, A.; Mont, M.A. Periprosthetic joint infection. Lancet 2016, 387, 386–394. [Google Scholar] [CrossRef]
- Rezapoor, M.; Parvizi, J. Prevention of Periprosthetic Joint Infection. J. Arthroplast. 2015, 30, 902–907. [Google Scholar] [CrossRef] [PubMed]
- Garvin, K.L.; Konigsberg, B.S. Infection following total knee arthroplasty: Prevention and management. Instr. Course Lect. 2012, 61, 411–419. [Google Scholar] [CrossRef]
- Wolf, C.F.; Gu, N.Y.; Doctor, J.N.; Manner, P.A.; Leopold, S.S. Comparison of one and two-stage revision of total hip arthroplasty complicated by infection. J. Bone Jt. Surg. Am. Vol. 2011, 93, 631–639. [Google Scholar] [CrossRef]
- Ellenrieder, M.; Lenz, R.; Haenle, M.; Bader, R.; Mittelmeier, W. Two-stage revision of implant-associated infections after total hip and knee arthroplasty. GMS Krankenhhyg Interdiszip 2011, 6. [Google Scholar] [CrossRef]
- Parvizi, J.; Tan, T.L.; Goswami, K.; Higuera, C.; Della Valle, C.; Chen, A.F.; Shohat, N. The 2018 definition of periprosthetic hip and knee infection: An evidence-based and validated criteria. J. Arthroplast. 2018, 33, 1309–1314.e2. [Google Scholar] [CrossRef] [PubMed]
- Sharma, K.; Ivy, M.; Block, D.R.; Abdel, M.P.; Hanssen, A.D.; Beauchamp, C.; Perry, K.I.; Rosemark, C.L.; Ms, K.E.G.; Mandrekar, J.; et al. Comparative analysis of 23 synovial fluid biomarkers for hip and knee periprosthetic joint infection detection. J. Orthop. Res. 2020. [Google Scholar] [CrossRef] [PubMed]
- Bemer, P.; Bourigault, C.; Jolivet-Gougeon, A.; Plouzeau-Jayle, C.; Lemarie, C.; Chenouard, R.; Valentin, A.-S.; Bourdon, S.; Leroy, A.-G.; Corvec, S.; et al. Assessment of a multiplex serological test for the diagnosis of prosthetic joint infection: A prospective multicentre study. J. Bone Jt. Infect. 2020, 5, 89–95. [Google Scholar] [CrossRef] [PubMed]
- Prieto-Borja, L.; Rodríguez-Sevilla, G.; Auñon, A.; Pérez-Jorge, C.; Sandoval, E.; Garcia-Cañete, J.; Gadea, I.; Fernandez-Roblas, R.; Blanco, A.; Esteban, J. Evaluation of a commercial multiplex PCR (Unyvero i60®) designed for the diagnosis of bone and joint infections using prosthetic-joint sonication. Enferm. Infecc. Microbiol. Clínica 2017, 35, 236–242. [Google Scholar] [CrossRef] [PubMed]
- Claassen, L.; Wirries, N.; Ettinger, S.; Pastor, M.-F.; Windhagen, H.; Flörkemeier, T. Diagnosing periprosthetic hip joint low-grade infection via arthroscopic neo synovium biopsies. Technol. Health Care 2018, 26, 973–982. [Google Scholar] [CrossRef]
- Bori, G.; Munoz-Mahamud, E.; García, S.; Mallofré, C.; Gallart, X.; Bosch, J.; Garcia, E.; Riba, J.; Mensa, J.; Soriano, A. Interface membrane is the best sample for histological study to diagnose prosthetic joint infection. Mod. Pathol. 2010, 24, 579–584. [Google Scholar] [CrossRef] [PubMed]
- Morawietz, L. Proposal for a histopathological consensus classification of the periprosthetic interface membrane. J. Clin. Pathol. 2006, 59, 591–597. [Google Scholar] [CrossRef] [PubMed]
- Gallo, J.; Lužná, P.; Holinka, M.; Ehrmann, J.; Zapletalová, J.; Lošťák, J. Validity of the Morawietz classification for evaluation of periprosthetic tissue. Acta Chir. Orthop. Traumatol. Cechoslov. 2015, 82, 126–134. [Google Scholar]
- Claassen, L.; Ettinger, S.; Pastor, M.-F.; Budde, S.; Windhagen, H.; Floerkemeier, T. The value of arthroscopic neosynovium biopsies to diagnose periprosthetic knee joint low-grade infection. Arch. Orthop. Trauma Surg. 2016, 136, 1753–1759. [Google Scholar] [CrossRef]
- Dienst, M. Textbook and Atlas Hip Arthroscopy: Diagnostics-Technique-Indications; Urban & Fischer Verlag/Elsevier GmbH: München/Jena, Germany, 2009; ISBN 978-3-437-24610-4. [Google Scholar]
- Dienst, M.; Seil, R.; Gödde, S.; Brang, M.; Becker, K.; Georg, T.; Kohn, D. Effects of traction, distension, and joint position on distraction of the hip joint: An experimental study in cadavers. Arthrosc. J. Arthrosc. Relat. Surg. 2002, 18, 865–871. [Google Scholar] [CrossRef] [PubMed]
- Podbielski, A.; Abele-Horn, M.; Herrmann, M.; Kniehl, E.; Mauch, H.; Rüssmann, H. MIQ 19: Mikrobiologische Diagnostik der Arthritis und Osteomyelitis; Elsevier GmbH, Urban & Fischer Verlag/Elsevier GmbH: München/Jena, Germany, 2014; Volume 2, ISBN 978-3-437-41672-9. [Google Scholar]
- Becker, K.; Berner, R.; Eckmann, C.; Eiff, C.; Hartinger, A.; Kempf, V.A.J.; Kühn, J.; Podbielski, A.; Sunderkötter, C.H.; Vogel, U. MIQ 18: Mikrobiologische Diagnostik der Arthritis und Osteomyelitis-Ernster; Podbielski, A., Abele-Horn, M., Herrmann, M., Kniehl, E., Mauch, H., Rüssmann, H., Eds.; Urban & Fischer Verlag/Elsevier GmbH: München/Jena, Germany, 2014. [Google Scholar]
- Doyle, D.J.; Goyal, A.; Bansal, P.; Garmon, E.H. American Society of Anesthesiologists Classification (ASA Class.); StatPearls Publishing: Treasure Island, FL, USA, 2020. [Google Scholar]
- Sigmund, I.K.; Holinka, J.; Gamper, J.; Staats, K.; Böhler, C.; Kubista, B.; Windhager, R. Qualitative α-defensin test (Synovasure) for the diagnosis of periprosthetic infection in revision total joint arthroplasty. Bone Jt. J. 2017, 99, 66–72. [Google Scholar] [CrossRef] [PubMed]
- Deirmengian, C.A.; Citrano, P.A.; Gulati, S.; Kazarian, E.R.; Stave, J.W.; Kardos, K.W. The C-Reactive Protein May Not Detect Infections Caused by Less-Virulent Organisms. J. Arthroplast. 2016, 31, 152–155. [Google Scholar] [CrossRef]
- Bozhkova, S.; Suardi, V.; Sharma, H.K.; Tsuchiya, H.; Del Sel, H.; Hafez, M.A.; Benzakour, T.; Drago, L.; Romanò, C.L. The W.A.I.O.T. Definition of peri-prosthetic joint infection: A multi-center, retrospective validation study. J. Clin. Med. 2020, 9, 1965. [Google Scholar] [CrossRef] [PubMed]
- Sigmund, I.K.; Windhager, R.; Sevelda, F.; Staats, K.; Puchner, S.E.; Stenicka, S.; Thalhammer, F.; Holinka, J. Multiplex PCR Unyvero i60 ITI application improves detection of low-virulent microorganisms in periprosthetic joint infections. Int. Orthop. 2018, 43, 1891–1898. [Google Scholar] [CrossRef]
- Ryu, S.Y.; Greenwood-Quaintance, K.E.; Hanssen, A.D.; Mandrekar, J.N.; Patel, R. Low sensitivity of periprosthetic tissue PCR for prosthetic knee infection diagnosis. Diagn. Microbiol. Infect. Dis. 2014, 79, 448–453. [Google Scholar] [CrossRef]
- Shahi, A.; Parvizi, J. The role of biomarkers in the diagnosis of periprosthetic joint infection. EFORT Open Rev. 2016, 1, 275–278. [Google Scholar] [CrossRef] [PubMed]
- Walker, L.C.; Clement, N.D.; Wilson, I.; Hashmi, M.; Samuel, J.; Deehan, D.J. The importance of multi-site intra-operative tissue sampling in the diagnosis of hip and knee periprosthetic joint infection-Results from a single centre study. J. Bone Jt. Infect. 2020, 5, 151–159. [Google Scholar] [CrossRef] [PubMed]
- Bemer, P.; Léger, J.; Milin, S.; Plouzeau, C.; Valentin, A.S.; Stock, N.; Jolivet-Gougeon, A.; Moreau, A.; Corvec, S.; Quintin-Roue, I.; et al. Histopathological diagnosis of prosthetic joint infection: Does a threshold of 23 neutrophils do better than classification of the periprosthetic membrane in a prospective multicenter study? J. Clin. Microbiol. 2018, 56, e00536-18. [Google Scholar] [CrossRef] [PubMed]
- Parvizi, J.; Gehrke, T. Proceedings of the Second International Consensus Meeting on Musculoskeletal Infection; Hip and Knee Section, 2018, Philadelphia, USA; Data Trace Publishing Company: Brooklandville, MD, USA, 2018. [Google Scholar]



| Pathogen | Microbial Spectrum (%, (n)) | |
|---|---|---|
| Arthrocentesis | Intraoperative | |
| Gram-positive bacteria | ||
| Aerobic | ||
| Staphylococcus epidermidis | 33.33 (6) | 32.14 (9) |
| Staphylococcus haemolyticus | 0.00 (0) | 7.14 (2) |
| Staphylococcus capitis | 0.00 (0) | 3.57 (1) |
| Staphylococcus lugdunensis | 5.56 (1) | 3.57 (1) |
| Staphylococcus aureus | 5.56 (1) | 0.00 (0) |
| Staphylococcus hominis | 5.56 (1) | 0.00 (0) |
| Staphylococcus saphrophyticus | 5.56 (1) | 0.00 (0) |
| Coagulase negative staphylococci | 5.56 (1) | 0.00 (0) |
| Streptococcus anginosus | 5.56 (1) | 3.57 (1) |
| Streptococcus parasanguinis | 0.00 (0) | 3.57 (1) |
| Streptococcus gordonii | 5.56 (1) | 0.00 (0) |
| Enterococcus faecalis | 5.56 (1) | 10.71 (3) |
| Anaerobic | ||
| Actinomyces odontolyticus | 0.00 (0) | 3.57 (1) |
| Finegoldia magna | 0.00 (0) | 3.57 (1) |
| Cutibacterium acnes | 0.00 (0) | 7.14 (2) |
| Cutibacterium avidum | 5.56 (1) | 0.00 (0) |
| Cutibacterium (formerly Propioni) species | 0.00 (0) | 3.57 (1) |
| Gram-negative bacteria | ||
| Aerobic | ||
| Escherichia coli | 11.11 (2) | 7.14 (2) |
| Yeast | ||
| Candida parapsilosis | 0.00 (0) | 3.57 (1) |
| Candida albicans | 5.56 (1) | 3.57 (1) |
| Candida glabrata | 0.00 (0) | 3.57 (1) |
| Test Regime | Intraoperative | Results | |||
|---|---|---|---|---|---|
| Negative | Positive | ||||
| I | Preoperative: Microbiology | negative | 73 (97.3%) | 13 (48.1%) | Sensitivity 51.9% (95%-width of CI: 31.95%–71.33%) Specificity 97.3% (95%-width of CI: 90.7%–99.68%) |
| positive | 2 (2.7%) | 14 (51.9%) | |||
| total | 75 | 27 | |||
| II | Preoperative: Histopathology | negative | 75 (100%) | 13 (48.1%) | Sensitivity 51.9% (95%-width of CI: 31.95%–71.33%) Specificity 100.0% (95%-width of CI: 95.2%–100.0%) |
| positive | 0 (0%) | 14 (51.9%) | |||
| total | 75 | 27 | |||
| III | Preoperative: Combination | negative | 73 (97.3%) | 8 (29.6%) | Sensitivity 70.4% (95%-width of CI: 46.04%–83.48%) Specificity 97.3% (95%-width of CI: 90.7%–99.68%) |
| positive | 2 (2.7%) | 19 (70.4%) | |||
| total | 75 | 27 | |||
Publisher’s Note: MDPI stays neutral with regard to jurisdictional claims in published maps and institutional affiliations. |
© 2020 by the authors. Licensee MDPI, Basel, Switzerland. This article is an open access article distributed under the terms and conditions of the Creative Commons Attribution (CC BY) license (http://creativecommons.org/licenses/by/4.0/).
Share and Cite
Enz, A.; Becker, J.; Warnke, P.; Prall, F.; Lutter, C.; Mittelmeier, W.; Klinder, A. Increased Diagnostic Certainty of Periprosthetic Joint Infections by Combining Microbiological Results with Histopathological Samples Gained via a Minimally Invasive Punching Technique. J. Clin. Med. 2020, 9, 3364. https://doi.org/10.3390/jcm9103364
Enz A, Becker J, Warnke P, Prall F, Lutter C, Mittelmeier W, Klinder A. Increased Diagnostic Certainty of Periprosthetic Joint Infections by Combining Microbiological Results with Histopathological Samples Gained via a Minimally Invasive Punching Technique. Journal of Clinical Medicine. 2020; 9(10):3364. https://doi.org/10.3390/jcm9103364
Chicago/Turabian StyleEnz, Andreas, Johanna Becker, Philipp Warnke, Friedrich Prall, Christoph Lutter, Wolfram Mittelmeier, and Annett Klinder. 2020. "Increased Diagnostic Certainty of Periprosthetic Joint Infections by Combining Microbiological Results with Histopathological Samples Gained via a Minimally Invasive Punching Technique" Journal of Clinical Medicine 9, no. 10: 3364. https://doi.org/10.3390/jcm9103364
APA StyleEnz, A., Becker, J., Warnke, P., Prall, F., Lutter, C., Mittelmeier, W., & Klinder, A. (2020). Increased Diagnostic Certainty of Periprosthetic Joint Infections by Combining Microbiological Results with Histopathological Samples Gained via a Minimally Invasive Punching Technique. Journal of Clinical Medicine, 9(10), 3364. https://doi.org/10.3390/jcm9103364

