Early Airway Pathological Changes in Children: New Insights into the Natural History of Wheezing
Abstract
1. Introduction
2. Wheezing Disorders and Their Evolution across Developmental Ages
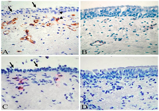
3. Pathological Changes in Childhood Asthma
4. Atopy and Related Pathological Changes
5. Viral Infections and Related Pathological Changes
6. Evolution of Asthma Symptoms in Relation to Pathological Changes
Funding
Conflicts of Interest
References
- Martinez, F.D. Development of wheezing disorders and asthma in preschool children. Pediatrics 2002, 109, 362–367. [Google Scholar] [PubMed]
- Brand, P.L.; Baraldi, E.; Bisgaard, H.; Boner, A.L.; Castro-Rodriguez, J.A.; Custovic, A.; de Blic, J.; de Jongste, J.C.; Eber, E.; Everard, M.L.; et al. Definition, assessment and treatment of wheezing disorders in preschool children: An evidence-based approach. Eur. Respir. J. 2008, 32, 1096–1110. [Google Scholar] [CrossRef] [PubMed]
- Turner, S.W.; Palmer, L.J.; Rye, P.J.; Gibson, N.A.; Judge, P.K.; Cox, M.; Young, S.; Goldblatt, J.; Landau, L.I.; Le Souëf, P.N. The relationship between infant airway function, childhood airway responsiveness, and asthma. Am. J. Respir. Crit. Care Med. 2004, 169, 921–927. [Google Scholar] [CrossRef] [PubMed]
- Stern, D.A.; Morgan, W.J.; Wright, A.L.; Guerra, S.; Martinez, F.D. Poor airway function in early infancy and lung function by age 22 years: A non-selective longitudinal cohort study. Lancet 2007, 370, 758–764. [Google Scholar] [CrossRef]
- Fuchs, O.; Bahmer, T.; Rabe, K.F.; von Mutius, E. Asthma transition from childhood into adulthood. Lancet Respir. Med. 2017, 5, 224–234. [Google Scholar] [CrossRef]
- Bush, A. COPD: A pediatric disease. COPD 2008, 5, 53–67. [Google Scholar] [CrossRef] [PubMed]
- Honkamäki, J.; Hisinger-Mölkänen, H.; Ilmarinen, P.; Piirilä, P.; Tuomisto, L.E.; Andersén, H.; Huhtala, H.; Sovijärvi, A.; Backman, H.; Lundbäck, B.; et al. Age and gender-specific incidence of new asthma diagnosis from childhood to late adulthood. Respir. Med. 2019, 154, 56–62. [Google Scholar] [CrossRef] [PubMed]
- Martinez, F.; Wright, A.; Taussing, L.; Holberg, C.; Halonen, M.; Morgan, W. Asthma and wheezing in the first six years of life. N. Engl. J. Med. 1995, 332, 133–138. [Google Scholar] [CrossRef] [PubMed]
- Brand, P.L.; Caudri, D.; Eber, E.; Gaillard, E.A.; Garcia-Marcos, L.; Hedlin, G.; Henderson, J.; Kuehni, C.E.; Merkus, P.J.; Pedersen, S.; et al. Classification and pharmacologica teratment of preschool wheezing: Changes since 2008. Eur. Respir. J. 2014, 43, 1172–1177. [Google Scholar] [CrossRef]
- Guilbert, T.W.; Morgan, W.J.; Zeiger, R.S.; Bacharier, L.B.; Boehmer, S.J.; Krawiec, M.; Larsen, G.; Lemanske, R.F.; Liu, A.; Mauger, D.T.; et al. Atopic characteristics of children with recurrent wheezing at high risk for the development of childhood asthma. J. Allergy Clin. Immunol. 2004, 114, 1282–1287. [Google Scholar] [CrossRef]
- Sears, M.R.; Greene, J.M.; Willan, A.R.; Wiecek, E.M.; Taylor, D.R.; Flannery, E.M.; Cowan, J.O.; Herbison, G.P.; Silva, P.A.; Poulton, R. A longitudinal, population-based cohort study of childhood asthma followed to adulthood. N. Engl. J. Med. 2003, 349, 1414–1422. [Google Scholar] [CrossRef] [PubMed]
- Handerson, J.; Granell, R.; Heron, J.; Sherriff, A.; Simpson, A.; Woodcok, A.; Strachan, D.P.; Shaheen, S.O.; Sterne, J.A.C. Associations of wheezing phenotypes in the first 6 years of life with atopy, lung function and airway responsiveness in mid-childhood. Thorax 2008, 63, 974–980. [Google Scholar] [CrossRef] [PubMed]
- Midozi, W.; Rowe, H.; Majaesic, C.; Saunders, L.; Senthilselvan, A. Predictors for wheezing phenotypes in the first decade of life. Respirology 2008, 13, 537–545. [Google Scholar] [CrossRef] [PubMed]
- Saglani, S.; Bush, A. The early-life origins of asthma. Curr. Opin. Allergy Clin. Immunol. 2007, 7, 83–90. [Google Scholar] [PubMed]
- Stein, R.T.; Martinez, F.D. Asthma phenotypes in childhood: Lessons from an epidemiological approach. Paediatr. Respir Rev. 2004, 5, 155–161. [Google Scholar] [CrossRef] [PubMed]
- Lowe, L.A.; Simpson, A.; Woodcock, A.; Morris, J.; Murray, C.S.; Custovic, A. Wheeze phenotypes and lung function in preschool children. Am. J. Respir. Crit. Care Med. 2005, 171, 231–237. [Google Scholar] [CrossRef] [PubMed]
- Caudri, D.; Wijga, A.; Schipper, M.; Hoekstra, M.; Postma, D.S.; Koppelman, G.H.; Brunekreef, B.; Smit, H.A.; de Jongste, J.C. Predicting the long-term prognosis of children with symptoms suggestive of asthma at preschool age. J. Allergy Clin. Immunol. 2009, 124, 903–910. [Google Scholar] [CrossRef] [PubMed]
- Kappelle, L.; Brand, P.L. Severe episodic viral wheeze in preschool children: High risk of asthma at age 5–10 years. Eur. J. Pediatr. 2012, 171, 947–954. [Google Scholar] [CrossRef] [PubMed][Green Version]
- Savenije, O.E.M.; Kerkhof, M.; Koppelman, G.H.; Postma, D.S. Predicting who will have asthma at school age among preschool children. J. Allergy Clin. Immunol. 2012, 130, 325–331. [Google Scholar] [CrossRef]
- Regamey, N.; Balfour-Lynn, I.; Rosenthal, M.; Hogg, C.; Bush, A.; Davies, J.C. Time required to obtain endobronchial biopsies in children during fiberoptic bronchoscopy. Pediatr. Pulmonol. 2009, 44, 76–79. [Google Scholar] [CrossRef]
- Payne, D.; McKenzie, S.A.; Stacey, S.; Misra, D.; Haxby, E.; Bush, A. Safety and ethics of bronchoscopy and endobronchial biopsy in difficult asthma. Arch. Dis. Child. 2001, 84, 423–426. [Google Scholar] [CrossRef] [PubMed]
- Saetta, M.; Turato, G. Airway patology in asthma. Eur. Respir. J. 2001, 18, 18s–23s. [Google Scholar] [CrossRef]
- Jeffery, P.K. Remodelling in asthma and chronic obstructive lung disease. Am. J. Respir. Crit. Care Med. 2001, 164, 28–38. [Google Scholar] [CrossRef] [PubMed]
- Cutz, E.; Levison, H.; Cooper, D.M. Ultrastructure in airways in children with asthma. Hystopatology 1978, 2, 407–421. [Google Scholar] [CrossRef]
- Cokuğraş, H.; Akçakaya, N.; Seçkin, I.; Camcioğlu, Y.; Sarimurat, N.; Aksoy, F. Ultrastructural examination of bronchial biopsy specimens from children with moderate asthma. Thorax 2001, 56, 25–29. [Google Scholar] [CrossRef] [PubMed]
- Jenkins, H.; Cool, C.; Szefler, C. Histopatology of severe childhood asthma. Chest 2003, 124, 32–41. [Google Scholar] [CrossRef] [PubMed]
- Payne, D.N.; Rogers, A.V.; Ädelroth, E.; Bandi, V.; Guntupalli, K.K.; Bush, A.; Jeffery, P.K. Early thickening of the reticular basement membrane in children with difficult asthma. Am. J. Respir. Crit. Care Med. 2003, 167, 78–82. [Google Scholar] [CrossRef] [PubMed]
- Payne, D.N.; Qiu, Y.; Zhu, J.; Peachey, L.; Scallan, M.; Bush, A.; Jeffery, P.K. Airway inflammation in children with difficult asthma: Relationships with airflow limitation and persistent symptoms. Thorax 2004, 59, 862–869. [Google Scholar] [CrossRef]
- Barbato, A.; Turato, G.; Baraldo, S.; Bazzan, E.; Calabrese, F.; Tura, M.; Zuin, R.; Beghe, B.; Maestrelli, P.; Fabbri, L.M.; et al. Airway inflammation in childhood asthma. Am. J. Respir. Crit. Care Med. 2003, 168, 798–803. [Google Scholar] [CrossRef]
- Barbato, A.; Turato, G.; Baraldo, S.; Bazzan, E.; Calabrese, F.; Panizzolo, C.; Zanin, M.E.; Zuin, R.; Maestrelli, P.; Fabbri, L.M.; et al. Epithelial damage and angiogenesis in the airways of children with asthma. Am. J. Respir. Crit. Care Med. 2006, 174, 975–981. [Google Scholar] [CrossRef]
- Saglani, S.; Payne, D.N.; Zhu, J.; Wang, Z.; Nicholson, A.G.; Bush, A.; Jeffery, P.K. Early detection of airway wall remodeling and eosinophilic inflammation in preschool wheezers. Am. J. Respir. Crit. Care Med. 2007, 176, 858–864. [Google Scholar] [CrossRef]
- Kim, E.S.; Kim, S.H.; Kim, K.W.; Park, J.W.; Kim, Y.S.; Sohn, M.H.; Kim, K.E. Basement membrane thickening and clinical features of children with asthma. Allergy 2007, 62, 635–640. [Google Scholar] [CrossRef]
- Zhou, C.; Yin, G.; Liu, J.; Liu, X.; Zhao, S. Epithelial apoptosis and loss in airways of children with asthma. J Asthma 2011, 48, 358–365. [Google Scholar] [CrossRef]
- Berankova, K.; Uhlik, J.; Honkova, L.; Pohunek, P. Structural changes in the bronchial mucosa of young children at risk of developing asthma. Pediatr. Allergy Immunol. 2014, 25, 136–142. [Google Scholar] [CrossRef]
- Van Mastrigt, E.; Vanlaeken, L.; Heida, F.; Caudri, D.; de Jongste, J.C.; Timens, W.; Rottier, B.L.; Krijger, R.R.; Pijnenburg, M.W. The clinical utility of reticular basement membrane thickness measurements in asthmatic children. J Asthma 2015, 52, 926–930. [Google Scholar] [CrossRef]
- Saglani, S.; Malmström, K.; Pelkonen, A.S.; Malmberg, L.P.; Lindahl, H.; Kajosaari, M.; Turpeinen, M.; Rogers, A.V.; Payne, D.N.; Bush, A.; et al. Airway remodeling and inflammation in symptomatic infants with reversible airflow obstruction. Am. J. Respir. Crit. Care Med. 2005, 171, 722–727. [Google Scholar] [CrossRef]
- Regamey, N.; Ochs, M.; Hilliard, T.N.; Mühlfeld, C.; Cornish, N.; Fleming, L.; Saglani, S.; Alton, E.W.; Bush, A.; Jeffery, P.K.; et al. Increased airway smooth muscle mass in children with asthma, cystic fibrosis, and non-cystic fibrosis bronchiectasis. Am. J. Respir. Crit. Care Med. 2008, 177, 837–843. [Google Scholar] [CrossRef]
- Bossley, C.J.; Fleming, L.; Gupta, A.; Regamey, N.; Frith, J.; Oates, T.; Tsartsali, L.; Lloyd, C.M.; Bush, A.; Saglani, S. Pediatric severe asthma is characterized by eosinophilia and remodeling without T(H)2 cytokines. J. Allergy Clin. Immunol. 2012, 129, 974–982. [Google Scholar] [CrossRef]
- Castro-Rodriguez, J.A.; Saglani, S.; Rodriguez-Martinez, C.E.; Oyarzun, M.A.; Fleming, L.; Bush, A. The relationship between inflammation and remodeling in childhood asthma: A systematic review. Pediatr. Pulmonol. 2018, 53, 824–835. [Google Scholar] [CrossRef]
- Saglani, S.; Lui, S.; Ullmann, N.; Campbell, G.A.; Sherburn, R.T.; Mathie, S.A.; Denney, L.; Bossley, C.J.; Oates, T.; Walker, S.A.; et al. IL-33 promotes airway remodeling in pediatric patients with severe steroid-resistant asthma. J. Allergy Clin. Immunol. 2013, 132, 676–685. [Google Scholar] [CrossRef]
- Holgate, S.T.; Holloway, J.; Wilson, S.; Bucchieri, F.; Puddicombe, S.; Davies, D.E. Epithelial-mesenchymal communication in the pathogenesis of chronic asthma. Proc. Am. Thorac. Soc. 2004, 1, 93–98. [Google Scholar] [CrossRef]
- Holgate, S.T.; Davies, D.E.; Puddicombe, S.; Richter, A.; Lackie, P.; Lordan, J.; Howarth, P. Mechanisms of aiway epithelial damage epithelial-mesenchymal interactions in the pathogenesis of asthma. Eur. J. Respir. 2003, 22, S24–S29. [Google Scholar] [CrossRef]
- Roan, F.; Obata-Ninomiya, K.; Ziegler, S.F. Epithelial cell-derived cytokines: More than just signaling the alarm. J. Clin. Invest. 2019, 129, 1441–1445. [Google Scholar] [CrossRef]
- Wynn, T.A. Type 2 cytokines: Mechanisms and therapeutic strategies. Nat. Rev. Immunol. 2015, 15, 271–282. [Google Scholar] [CrossRef]
- Turato, G.; Barbato, A.; Baraldo, S.; Zanin, M.E.; Bazzan, E.; Lokar-Oliani, K.; Calabrese, F.; Panizzolo, C.; Snijders, D.; Maestrelli, P.; et al. Non atopic children with multitrigger wheezing have airway pathology comparable to atopic asthma. Am. J. Respir. Crit. Care Med. 2008, 178, 476–482. [Google Scholar] [CrossRef]
- Snijders, D.; Agostini, S.; Bertuola, F.; Panizzolo, C.; Baraldo, S.; Turato, G.; Faggian, D.; Plebani, M.; Saetta, M.; Barbato, A. Markers of eosinophilic and neutrophilic inflammation in bronchoalveolar lavage of asthmatic and atopic children. Allergy 2010, 65, 978–985. [Google Scholar] [CrossRef]
- Humbert, M.; Menz, G.; Ying, S.; Corrigan, C.J.; Robinson, D.S.; Durham, S.R.; Kay, A.B. The immunopathology of extrinsic (atopic) and intrinsic (non-atopic) asthma: More similarities than differences. Immunol. Today 1999, 20, 528–533. [Google Scholar] [CrossRef]
- Corne, J.M.; Marshall, C.; Smith, S.; Schreiber, J.; Sanderson, G.; Holgate, S.T.; Johnston, S.L. Frequency, severity, and duration of rhinovirus infections in asthmatic and non-asthmatic individuals: A longitudinal cohort study. Lancet 2002, 359, 831–834. [Google Scholar] [CrossRef]
- Johnston, S.L.; Pattemore, P.K.; Sanderson, G.; Smith, S.; Lampe, F.; Josephs, L.; Symington, P.; O’Toole, S.; Myint, S.H.; Tyrrell, D.A. Community study of role of viral infections in exacerbations of asthma in 9–11 year old children. BMJ 1995, 310, 1225–1229. [Google Scholar] [CrossRef]
- Jackson, D.J.; Gern, J.E.; Lemanske, R.F., Jr. The contributions of allergic sensitization and respiratory pathogens to asthma inception. J. Allergy Clin. Immunol. 2016, 137, 659–665. [Google Scholar] [CrossRef]
- Sigurs, N.; Bjarnason, R.; Sigurbergsson, F.; Kjellman, B. Respiratory syncytial virus bronchiolitis in infancy is an important risk factor for asthma and allergy at age 7. Am. J. Respir. Crit. Care Med. 2000, 161, 1501–1507. [Google Scholar] [CrossRef]
- Lemanske, R.F.; Jackson, D.J.; Gangnon, R.E.; Evans, M.D.; Li, Z.H.; Shult, P.A.; Kirk, C.J.; Reisdorf, E.; Roberg, K.A.; Anderson, E.; et al. Rhinovirus illnesses during infancy predict subsequent childhood wheezing. J. Allergy Clin. Immunol. 2005, 116, 571–577. [Google Scholar] [CrossRef]
- Kusel, M.M.; de Klerk, N.H.; Kebadze, T.; Vohma, V.; Holt, P.G.; Johnston, S.L.; Sly, P.D. Early-life respiratory viral infections, atopic sensitization, and risk of subsequent development of persistent asthma. J. Allergy Clin. Immunol. 2007, 119, 1105–1110. [Google Scholar] [CrossRef]
- Jackson, D.J.; Gangnon, R.E.; Evans, M.D.; Roberg, K.A.; Anderson, E.L.; Pappas, T.E.; Printz, M.C.; Lee, W.M.; Shult, P.A.; Reisdorf, E.; et al. Wheezing rhinovirus illnesses in early life predict asthma development in high-risk children. Am. J. Respir. Crit. Care Med. 2008, 178, 667–672. [Google Scholar] [CrossRef]
- Rubner, F.J.; Jackson, D.J.; Evans, M.D.; Gangnon, R.E.; Tisler, C.J.; Pappas, T.E.; Gern, J.E.; Lemanske, R.F., Jr. Early life rhinovirus wheezing, allergic sensitization, and asthma risk at adolescence. J. Allergy Clin. Immunol. 2017, 139, 501–507. [Google Scholar] [CrossRef]
- Martinez, F.D. Respiratory syncytial virus bronchiolitis and the pathogenesis of childhood asthma. Pediatr. Infect Dis. J. 2003, 22, S76–S82. [Google Scholar] [CrossRef]
- Papadopoulos, N.; Stanciu, L.; Papi, A.; Holgate, S.; Johnston, S. A defective type 1 response to rhinovirus in atopic asthma. Thorax 2002, 57, 328–332. [Google Scholar] [CrossRef]
- Contoli, M.; Message, S.D.; Laza-Stanca, V.; Edwards, M.R.; Wark, P.A.; Bartlett, N.W.; Kebadze, T.; Mallia, P.; Stanciu, L.A.; Parker, H.L. Role of deficient type III interferon-lambda production in asthma exacerbations. Nat. Med. 2006, 12, 1023–1026. [Google Scholar] [CrossRef]
- Baraldo, S.; Contoli, M.; Bazzan, E.; Turato, G.; Padovani, A.; Marku, B.; Calabrese, F.; Caramori, G.; Ballarin, A.; Snijders, D.; et al. Deficient antiviral immune responses in childhood: Distinct roles of atopy and asthma. J. Allergy Clin. Immunol. 2012, 130, 1307–1314. [Google Scholar] [CrossRef]
- Baraldo, S.; Contoli, M.; Bonato, M.; Snijders, D.; Biondini, D.; Bazzan, E.; Cosio, M.G.; Barbato, A.; Papi, A.; Saetta, M. Deficient immune response to viral infections in children predicts later asthma persistence. Am. J. Respir. Crit. Care Med. 2018, 197, 673–675. [Google Scholar] [CrossRef]
- Stern, D.A.; Guerra, S.; Halonen, M.; Wright, A.L.; Martinez, F.D. Low IFN-gamma production in the first year of life as a predictor of wheeze during childhood. J. Allergy Clin. Immunol. 2007, 120, 835–841. [Google Scholar] [CrossRef]
- Madura-Larsen, J.; Brix, S.; Thysen, A.H.; Birch, S.; Rasmussen, M.A.; Bisgaard, H. Children with asthma by school age display aberrant immune responses to pathogenic airway bacteria as infants. J. Allergy Clin. Immunol. 2014, 133, 1008–1013. [Google Scholar] [CrossRef]
- Strachan, D.P.; Butland, B.K.; Anderson, H.R. Incidence and prognosis of asthma and wheezing illness from early childhood to age 33 in a national British cohort. BMJ 1996, 312, 1195–1199. [Google Scholar] [CrossRef]
- Malmström, K.; Pelkonen, A.S.; Mäkelä, M.J. Remodeling, inflammation and airway responsiveness in early childhood asthma. Curr. Opin. Allergy Clin. Immunol. 2013, 13, 203–210. [Google Scholar] [CrossRef]
- Moffatt, M.F.; Gut, I.G.; Demenais, F.; Strachan, D.P.; Bouzigon, E.; Heath, S.; von Mutius, E.; Farrall, M.; Lathrop, M.; Cookson, W.O.C.M.; et al. A large-scale, consortium-based genomewide association study of asthma. N. Engl. J. Med. 2010, 363, 1211–1221. [Google Scholar] [CrossRef]
- Wang, A.L.; Datta, S.P.; Weiss, S.T.; Tantisira, K.G. Remission of persistent childhood asthma: Early predictors of adult outcomes. J. Allergy Clin. Immunol. 2019, 143, 1752–1759. [Google Scholar] [CrossRef]
- Malmström, K.; Pelkonen, A.S.; Malmberg, L.P.; Sarna, S.; Lindahl, H.; Kajosaari, M.; Turpeinen, M.; Saglani, S.; Bush, A.; Haahtela, T.; et al. Lung function, airway remodelling and inflammation in symptomatic infants: Outcome at 3 years. Thorax 2011, 66, 157–162. [Google Scholar] [CrossRef][Green Version]
- Malmström, K.; Malmberg, L.P.; O’Reilly, R.; Lindahl, H.; Kajosaari, M.; Saarinen, K.M.; Saglani, S.; Jahnsen, F.L.; Bush, A.; Haahtela, T.; et al. Lung function, airway remodeling, and inflammation in infants: Outcome at 8 years. Ann. Allergy Asthma Immunol. 2015, 114, 90–96. [Google Scholar] [CrossRef]
- O’Reilly, R.; Ullmann, N.; Irving, S.; Bossley, C.; Sonnappa, S.; Zhe, J.; Oates, T.; Banya, W.; Heffery, P.; Bush, A.; et al. Increased airway smooth muscle in preschool wheezers who have asthma at school age. J. Allergy Clin. Immunol. 2013, 131, 1024–1032. [Google Scholar] [CrossRef]
- Bonato, M.; Bazzan, E.; Snijders, D.; Tiné, M.E.; Biondini, D.; Turato, G.; Balestro, E.; Papi, A.; Cosio, M.G.; Barbato, A.; et al. Clinical and pathologic factors predicting future asthma in wheezing children. Am. J. Respir. Cell Mol. Biol. 2018, 59, 458–466. [Google Scholar] [CrossRef]
- Marshall, L.; Beardsmore, C.S.; Pescatore, A.M.; Kuehni, C.E.; Gaillard, E.A. Airway eosinophils in older teenagers with outgrown preschool wheeze: A pilot study. Eur. Respir. J. 2015, 46, 1486–1489. [Google Scholar] [CrossRef]
- Van den Toorn, L.M.; Overbeek, S.E.; de Jongste, J.C.; Leman, K.; Hoogsteden, H.C.; Prins, J.B. Airway inflammation is present during clinical remission of atopic asthma. Am. J. Respir. Crit. Care Med. 2001, 164, 2107–2113. [Google Scholar] [CrossRef]
- Broekema, M.; Timens, W.; Vonk, J.M.; Volbeda, F.; Lodewijk, M.E.; Hylkema, M.N.; Ten Hacken, N.H.; Postma, D.S. Persisting remodeling and less airway wall eosinophil activation in complete remission of asthma. Am. J. Respir. Crit. Care Med. 2011, 183, 310–316. [Google Scholar] [CrossRef]
- Vonk, J.M.; Postma, D.S.; Boezen, H.M.; Grol, M.H.; Schouten, J.P.; Koëter, G.H.; Gerritsen, J. Childhood factors associated with asthma remission after 30 year follow up. Thorax 2004, 59, 925–929. [Google Scholar] [CrossRef]


| Number of Children | Mean Age (years) | RBM Thickening | Epithelial Loss | SM Enlargement | Submucosal Inflammation | Angiogenesis | |
|---|---|---|---|---|---|---|---|
| Cutz 1978 [24] | 4 | 12 (11–12) | + | 0 | + | Eos | / |
| Cokuğraş 2001 [25] | 10 | 9.3 ± 3.8 | + | / | / | Ly | / |
| Jenkins 2003 [26] | 6 | 13.5 (6–17) | + | / | + | Eos Ly | / |
| Payne 2003 [27] | 19 | 13 (6–16) | + | / | / | 0 | / |
| Barbato 2003 [29] | 9 | 8 (4–12) | + | / | / | Eos | / |
| Payne 2004 [28] | 36 | 13 (6–16) | + | / | / | 0 | / |
| Saglani 2005 [36] | 16 | 1 (0.3–2) | 0 | / | / | 0 | / |
| Barbato 2006 [30] | 17 | 5 (2–15) | + | + | / | Eos | + |
| Saglani 2007 [31] | 16 | 2.4 (0.6–4.75) | + | / | / | Eos | / |
| Kim 2007 [32] | 18 | 13 ± 1 | + | / | / | / | / |
| Regamey 2008 [37] | 24 | 12.5 (6.7–15.8) | / | / | + | / | / |
| Zhou 2011 [33] | 13 | 7.2 (1.5–15) | + | + | + | Ly Eos | / |
| Bossley 2012 [38] | 53 | 12 (9–14) | + | / | + | Eos | / |
| Berankova 2014 [34] | 30 | 1 (0.3–3.3) | + | / | / | / | / |
| Van Mastrigt 2015 [35] | 107 | 9.5 ± 4.6 | + | / | / | / | / |
© 2019 by the authors. Licensee MDPI, Basel, Switzerland. This article is an open access article distributed under the terms and conditions of the Creative Commons Attribution (CC BY) license (http://creativecommons.org/licenses/by/4.0/).
Share and Cite
Bonato, M.; Tiné, M.; Bazzan, E.; Biondini, D.; Saetta, M.; Baraldo, S. Early Airway Pathological Changes in Children: New Insights into the Natural History of Wheezing. J. Clin. Med. 2019, 8, 1180. https://doi.org/10.3390/jcm8081180
Bonato M, Tiné M, Bazzan E, Biondini D, Saetta M, Baraldo S. Early Airway Pathological Changes in Children: New Insights into the Natural History of Wheezing. Journal of Clinical Medicine. 2019; 8(8):1180. https://doi.org/10.3390/jcm8081180
Chicago/Turabian StyleBonato, Matteo, Mariaenrica Tiné, Erica Bazzan, Davide Biondini, Marina Saetta, and Simonetta Baraldo. 2019. "Early Airway Pathological Changes in Children: New Insights into the Natural History of Wheezing" Journal of Clinical Medicine 8, no. 8: 1180. https://doi.org/10.3390/jcm8081180
APA StyleBonato, M., Tiné, M., Bazzan, E., Biondini, D., Saetta, M., & Baraldo, S. (2019). Early Airway Pathological Changes in Children: New Insights into the Natural History of Wheezing. Journal of Clinical Medicine, 8(8), 1180. https://doi.org/10.3390/jcm8081180

