A Novel Pathogenic Variant in MT-CO2 Causes an Isolated Mitochondrial Complex IV Deficiency and Late-Onset Cerebellar Ataxia
Abstract
1. Introduction
2. Methods
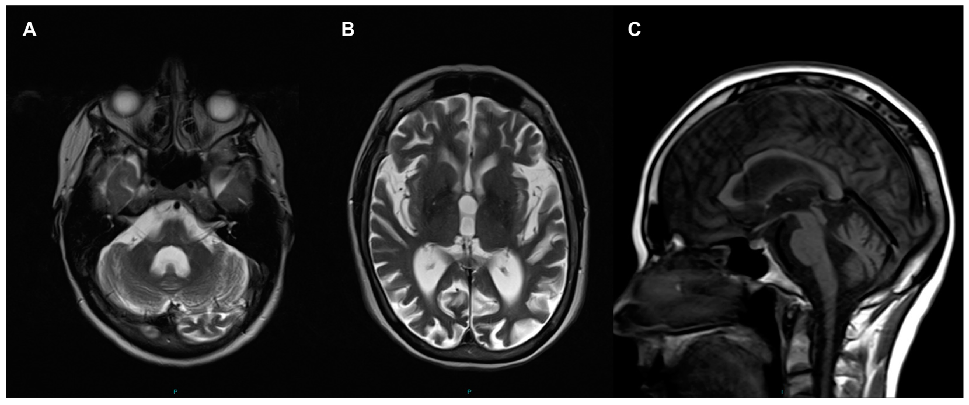
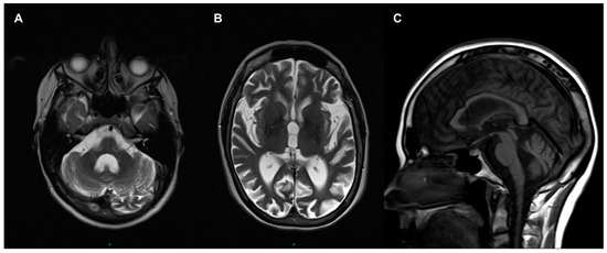
2.1. Case Report
2.2. Electrophysiological Studies
2.3. Histopathological Analysis of the Muscle Biopsy
2.4. Mitochondrial Genetic Studies
2.5. Single Fibre Segregation Analysis and mtDNA Heteroplasmy Assessment
2.6. Western Blotting and Blue Native PAGE in Patient Muscle
3. Results
3.1. Electrophysiological Findings
3.2. Histochemistry and Immunohistochemical Analyses of Muscle Biopsy
3.3. Mitochondrial Genetic Studies
3.4. Steady-State Levels of Respiratory Chain Components and Complexes
4. Discussion
Supplementary Materials
Author Contributions
Funding
Conflicts of Interest
References
- Alston, C.L.; Rocha, M.C.; Lax, N.Z.; Turnbull, D.M.; Taylor, R.W. The genetics and pathology of mitochondrial disease. J. Pathol. 2017, 241, 236–250. [Google Scholar] [CrossRef] [PubMed]
- Zhu, Z.; Yao, J.; Johns, T.; Fu, K.; De Bie, I.; Macmillan, C.; Cuthbert, A.P.; Newbold, R.F.; Wang, J.; Chevrette, M.; et al. SURF1, encoding a factor involved in the biogenesis of cytochrome c oxidase, is mutated in Leigh syndrome. Nat. Genet. 1998, 20, 337–343. [Google Scholar] [CrossRef] [PubMed]
- Von Kleist-Retzow, J.C.; Vial, E.; Chantrel-Groussard, K.; Rotig, A.; Munnich, A.; Rustin, P.; Taanman, J.W. Biochemical, genetic and immunoblot analyses of 17 patients with an isolated cytochrome c oxidase deficiency. Biochim. Biophys. Acta 1999, 1455, 35–44. [Google Scholar] [CrossRef][Green Version]
- Papadopoulou, L.C.; Sue, C.M.; Davidson, M.M.; Tanji, K.; Nishino, I.; Sadlock, J.E.; Krishna, S.; Walker, W.; Selby, J.; Glerum, D.M.; et al. Fatal infantile cardioencephalomyopathy with COX deficiency and mutations in SCO2, a COX assembly gene. Nat. Genet. 1999, 23, 333–337. [Google Scholar] [CrossRef] [PubMed]
- Shoubridge, E.A. Cytochrome c oxidase deficiency. Am. J. Med. Genet. 2001, 106, 46–52. [Google Scholar] [CrossRef] [PubMed]
- Rak, M.; Benit, P.; Chretien, D.; Bouchereau, J.; Schiff, M.; El-Khoury, R.; Tzagoloff, A.; Rustin, P. Mitochondrial cytochrome c oxidase deficiency. Clin. Sci. (Lond. Engl. 1979) 2016, 130, 393–407. [Google Scholar] [CrossRef] [PubMed]
- McFarland, R.; Taylor, R.W.; Chinnery, P.F.; Howell, N.; Turnbull, D.M. A novel sporadic mutation in cytochrome c oxidase subunit II as a cause of rhabdomyolysis. Neuromuscul. Disord. 2004, 14, 162–166. [Google Scholar] [CrossRef] [PubMed]
- Vissing, C.R.; Duno, M.; Olesen, J.H.; Rafiq, J.; Risom, L.; Christensen, E.; Wibrand, F.; Vissing, J. Recurrent myoglobinuria and deranged acylcarnitines due to a mutation in the mtDNA MT-CO2 gene. Neurology 2013, 80, 1908–1910. [Google Scholar] [CrossRef]
- Rahman, S.; Taanman, J.W.; Cooper, J.M.; Nelson, I.; Hargreaves, I.; Meunier, B.; Hanna, M.G.; Garcia, J.J.; Capaldi, R.A.; Lake, B.D.; et al. A missense mutation of cytochrome oxidase subunit II causes defective assembly and myopathy. Am. J. Hum. Genet. 1999, 65, 1030–1039. [Google Scholar] [CrossRef]
- Hanna, M.G.; Nelson, I.P.; Rahman, S.; Lane, R.J.; Land, J.; Heales, S.; Cooper, M.J.; Schapira, A.H.; Morgan-Hughes, J.A.; Wood, N.W. Cytochrome c oxidase deficiency associated with the first stop-codon point mutation in human mtDNA. Am. J. Hum. Genet. 1998, 63, 29–36. [Google Scholar] [CrossRef]
- Clark, K.M.; Taylor, R.W.; Johnson, M.A.; Chinnery, P.F.; Chrzanowska-Lightowlers, Z.M.; Andrews, R.M.; Nelson, I.P.; Wood, N.W.; Lamont, P.J.; Hanna, M.G.; et al. An mtDNA mutation in the initiation codon of the cytochrome C oxidase subunit II gene results in lower levels of the protein and a mitochondrial encephalomyopathy. Am. J. Hum. Genet. 1999, 64, 1330–1339. [Google Scholar] [CrossRef] [PubMed][Green Version]
- Poole, O.V.; Everett, C.M.; Gandhi, S.; Marino, S.; Bugiardini, E.; Woodward, C.; Lam, A.; Quinlivan, R.; Hanna, M.G.; Pitceathly, R.D.S. Adult-onset Leigh syndrome linked to the novel stop codon mutation m.6579G>A in MT-CO1. Mitochondrion 2019. [Google Scholar] [CrossRef] [PubMed]
- Manfredi, G.; Schon, E.A.; Moraes, C.T.; Bonilla, E.; Berry, G.T.; Sladky, J.T.; DiMauro, S. A new mutation associated with MELAS is located in a mitochondrial DNA polypeptide-coding gene. Neuromuscul. Disord. 1995, 5, 391–398. [Google Scholar] [CrossRef]
- Cruccu, G.; Aminoff, M.J.; Curio, G.; Guerit, J.M.; Kakigi, R.; Mauguiere, F.; Rossini, P.M.; Treede, R.D.; Garcia-Larrea, L. Recommendations for the clinical use of somatosensory-evoked potentials. Clin. Neurophysiol. 2008, 119, 1705–1719. [Google Scholar] [CrossRef] [PubMed]
- Cassim, F.; Houdayer, E. Neurophysiology of myoclonus. Neurophysiol. Clin. Clin. Neurophysiol. 2006, 36, 281–291. [Google Scholar] [CrossRef] [PubMed]
- Old, S.L.; Johnson, M.A. Methods of microphotometric assay of succinate dehydrogenase and cytochrome c oxidase activities for use on human skeletal muscle. Histochem. J. 1989, 21, 545–555. [Google Scholar] [CrossRef]
- Rocha, M.C.; Grady, J.P.; Grunewald, A.; Vincent, A.; Dobson, P.F.; Taylor, R.W.; Turnbull, D.M.; Rygiel, K.A. A novel immunofluorescent assay to investigate oxidative phosphorylation deficiency in mitochondrial myopathy: Understanding mechanisms and improving diagnosis. Sci. Rep. 2015, 5, 15037. [Google Scholar] [CrossRef]
- Grady, J.P.; Pickett, S.J.; Ng, Y.S.; Alston, C.L.; Blakely, E.L.; Hardy, S.A.; Feeney, C.L.; Bright, A.A.; Schaefer, A.M.; Gorman, G.S.; et al. mtDNA heteroplasmy level and copy number indicate disease burden in m.3243A>G mitochondrial disease. EMBO Mol. Med. 2018, 10, e8262. [Google Scholar] [CrossRef]
- Thompson, K.; Majd, H.; Dallabona, C.; Reinson, K.; King, M.S.; Alston, C.L.; He, L.; Lodi, T.; Jones, S.A.; Fattal-Valevski, A.; et al. Recurrent de novo dominant mutations in SLC25A4 cause severe early-onset mitochondrial disease and loss of mitochondrial DNA copy number. Am. J. Hum. Genet. 2016, 99, 860–876. [Google Scholar] [CrossRef]
- Olahova, M.; Hardy, S.A.; Hall, J.; Yarham, J.W.; Haack, T.B.; Wilson, W.C.; Alston, C.L.; He, L.; Aznauryan, E.; Brown, R.M.; et al. LRPPRC mutations cause early-onset multisystem mitochondrial disease outside of the French-Canadian population. Brain J. Neurol. 2015, 138, 3503–3519. [Google Scholar] [CrossRef]
- Bhatia, K.P.; Bain, P.; Bajaj, N.; Elble, R.J.; Hallett, M.; Louis, E.D.; Raethjen, J.; Stamelou, M.; Testa, C.M.; Deuschl, G.; et al. Consensus statement on the classification of tremors. From the task force on tremor of the international Parkinson and movement disorder society. Mov. Disord. 2018, 33, 75–87. [Google Scholar] [CrossRef] [PubMed]
- Shibasaki, H.; Hallett, M. Electrophysiological studies of myoclonus. Muscle Nerve 2005, 31, 157–174. [Google Scholar] [CrossRef] [PubMed]
- Caviness, J.N.; Brown, P. Myoclonus: Current concepts and recent advances. Lancet Neurol. 2004, 3, 598–607. [Google Scholar] [CrossRef]
- Deuschl, G.; Bain, P.; Brin, M.; Ad Hoc Scientific Committee. Consensus statement of the movement disorder society on tremor. Mov. Disord. 1998, 13 (Suppl. 3), 2–23. [Google Scholar] [CrossRef]
- Wong, L.J.; Dai, P.; Tan, D.; Lipson, M.; Grix, A.; Sifry-Platt, M.; Gropman, A.; Chen, T.J. Severe lactic acidosis caused by a novel frame-shift mutation in mitochondrial-encoded cytochrome c oxidase subunit II. Am. J. Med. Genet. 2001, 102, 95–99. [Google Scholar] [CrossRef]
- Rossmanith, W.; Freilinger, M.; Roka, J.; Raffelsberger, T.; Moser-Thier, K.; Prayer, D.; Bernert, G.; Bittner, R.E. Isolated cytochrome c oxidase deficiency as a cause of MELAS. J. Med. Genet. 2008, 45, 117–121. [Google Scholar] [CrossRef] [PubMed]
- Zhadanov, S.I.; Atamanov, V.V.; Zhadanov, N.I.; Schurr, T.G. De novo COX2 mutation in a LHON family of Caucasian origin: Implication for the role of mtDNA polymorphism in human pathology. J. Hum. Genet. 2006, 51, 161–170. [Google Scholar] [CrossRef] [PubMed][Green Version]
- Uusimaa, J.; Finnila, S.; Vainionpaa, L.; Karppa, M.; Herva, R.; Rantala, H.; Hassinen, I.E.; Majamaa, K. A mutation in mitochondrial DNA-encoded cytochrome c oxidase II gene in a child with Alpers-Huttenlocher-like disease. Pediatrics 2003, 111, e262–e268. [Google Scholar] [CrossRef] [PubMed]
- Renaud, M.; Tranchant, C.; Martin, J.V.T.; Mochel, F.; Synofzik, M.; van de Warrenburg, B.; Pandolfo, M.; Koenig, M.; Kolb, S.A.; Anheim, M. A recessive ataxia diagnosis algorithm for the next generation sequencing era. Ann. Neurol. 2017, 82, 892–899. [Google Scholar] [CrossRef]
- Mallaret, M.; Renaud, M.; Redin, C.; Drouot, N.; Muller, J.; Severac, F.; Mandel, J.L.; Hamza, W.; Benhassine, T.; Ali-Pacha, L.; et al. Validation of a clinical practice-based algorithm for the diagnosis of autosomal recessive cerebellar ataxias based on NGS identified cases. J. Neurol. 2016, 263, 1314–1322. [Google Scholar] [CrossRef] [PubMed]
- Fogel, B.L.; Lee, H.; Deignan, J.L.; Strom, S.P.; Kantarci, S.; Wang, X.; Quintero-Rivera, F.; Vilain, E.; Grody, W.W.; Perlman, S.; et al. Exome sequencing in the clinical diagnosis of sporadic or familial cerebellar ataxia. JAMA Neurol. 2014, 71, 1237–1246. [Google Scholar] [CrossRef] [PubMed]
- Hadjivassiliou, M.; Martindale, J.; Shanmugarajah, P.; Grunewald, R.A.; Sarrigiannis, P.G.; Beauchamp, N.; Garrard, K.; Warburton, R.; Sanders, D.S.; Friend, D.; et al. Causes of progressive cerebellar ataxia: Prospective evaluation of 1500 patients. J. Neurol. Neurosurg. Psychiatry 2017, 88, 301–309. [Google Scholar] [CrossRef] [PubMed]
- Bargiela, D.; Shanmugarajah, P.; Lo, C.; Blakely, E.L.; Taylor, R.W.; Horvath, R.; Wharton, S.; Chinnery, P.F.; Hadjivassiliou, M. Mitochondrial pathology in progressive cerebellar ataxia. Cerebellum Ataxias 2015, 2, 16. [Google Scholar] [CrossRef] [PubMed]
- Tranchant, C.; Anheim, M. Movement disorders in mitochondrial diseases. Rev. Neurol. 2016, 172, 524–529. [Google Scholar] [CrossRef] [PubMed]




© 2019 by the authors. Licensee MDPI, Basel, Switzerland. This article is an open access article distributed under the terms and conditions of the Creative Commons Attribution (CC BY) license (http://creativecommons.org/licenses/by/4.0/).
Share and Cite
Zierz, C.M.; Baty, K.; Blakely, E.L.; Hopton, S.; Falkous, G.; Schaefer, A.M.; Hadjivassiliou, M.; Sarrigiannis, P.G.; Ng, Y.S.; Taylor, R.W. A Novel Pathogenic Variant in MT-CO2 Causes an Isolated Mitochondrial Complex IV Deficiency and Late-Onset Cerebellar Ataxia. J. Clin. Med. 2019, 8, 789. https://doi.org/10.3390/jcm8060789
Zierz CM, Baty K, Blakely EL, Hopton S, Falkous G, Schaefer AM, Hadjivassiliou M, Sarrigiannis PG, Ng YS, Taylor RW. A Novel Pathogenic Variant in MT-CO2 Causes an Isolated Mitochondrial Complex IV Deficiency and Late-Onset Cerebellar Ataxia. Journal of Clinical Medicine. 2019; 8(6):789. https://doi.org/10.3390/jcm8060789
Chicago/Turabian StyleZierz, Charlotte M., Karen Baty, Emma L. Blakely, Sila Hopton, Gavin Falkous, Andrew M. Schaefer, Marios Hadjivassiliou, Ptolemaios G. Sarrigiannis, Yi Shiau Ng, and Robert W. Taylor. 2019. "A Novel Pathogenic Variant in MT-CO2 Causes an Isolated Mitochondrial Complex IV Deficiency and Late-Onset Cerebellar Ataxia" Journal of Clinical Medicine 8, no. 6: 789. https://doi.org/10.3390/jcm8060789
APA StyleZierz, C. M., Baty, K., Blakely, E. L., Hopton, S., Falkous, G., Schaefer, A. M., Hadjivassiliou, M., Sarrigiannis, P. G., Ng, Y. S., & Taylor, R. W. (2019). A Novel Pathogenic Variant in MT-CO2 Causes an Isolated Mitochondrial Complex IV Deficiency and Late-Onset Cerebellar Ataxia. Journal of Clinical Medicine, 8(6), 789. https://doi.org/10.3390/jcm8060789

