Temporal Arcuate Relaxing Retinotomy for Persistent Full-Thickness Macular Holes: Anatomical and Functional Assessment
Abstract
1. Introduction
2. Material and Methods
3. Results
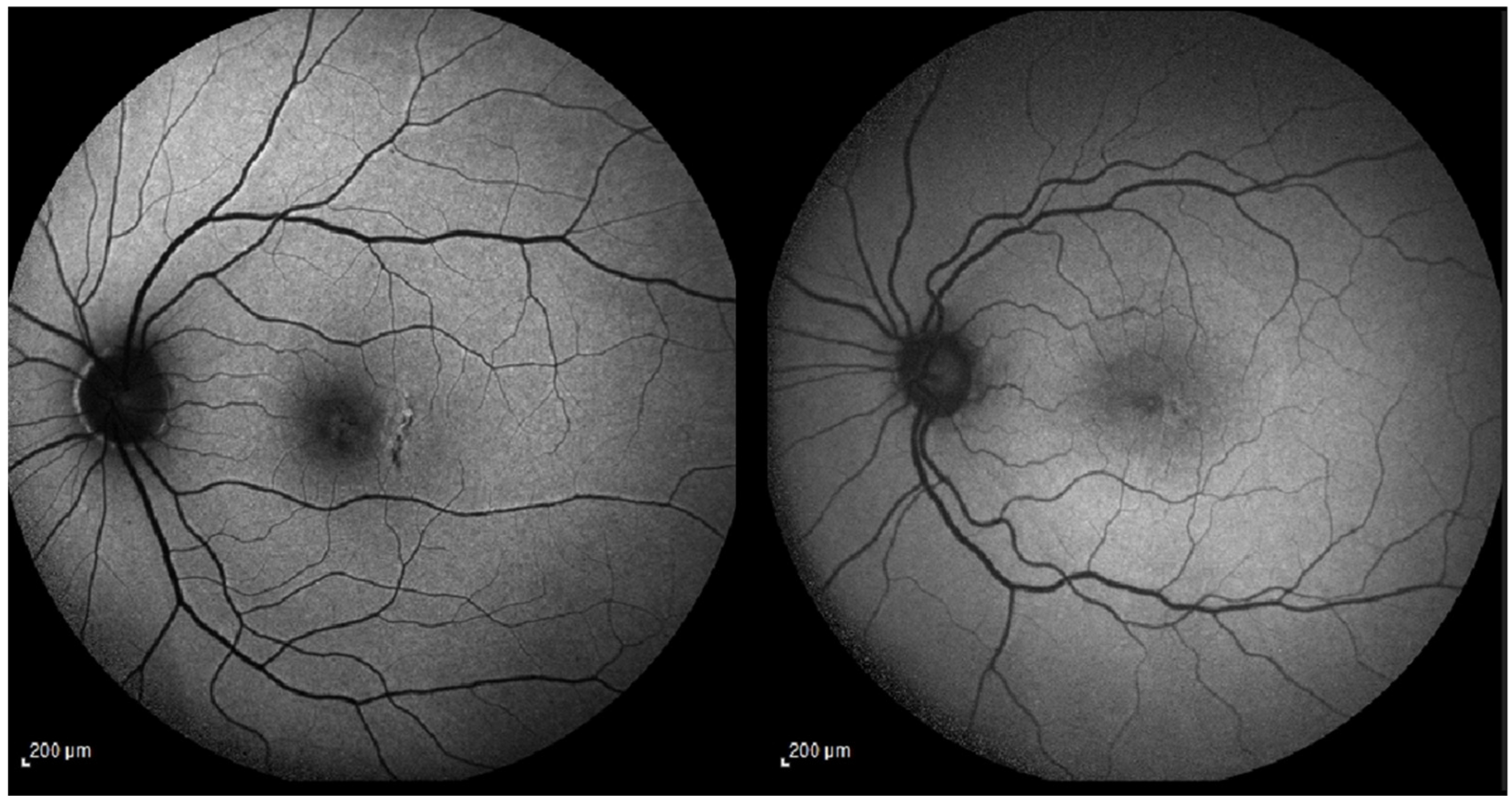
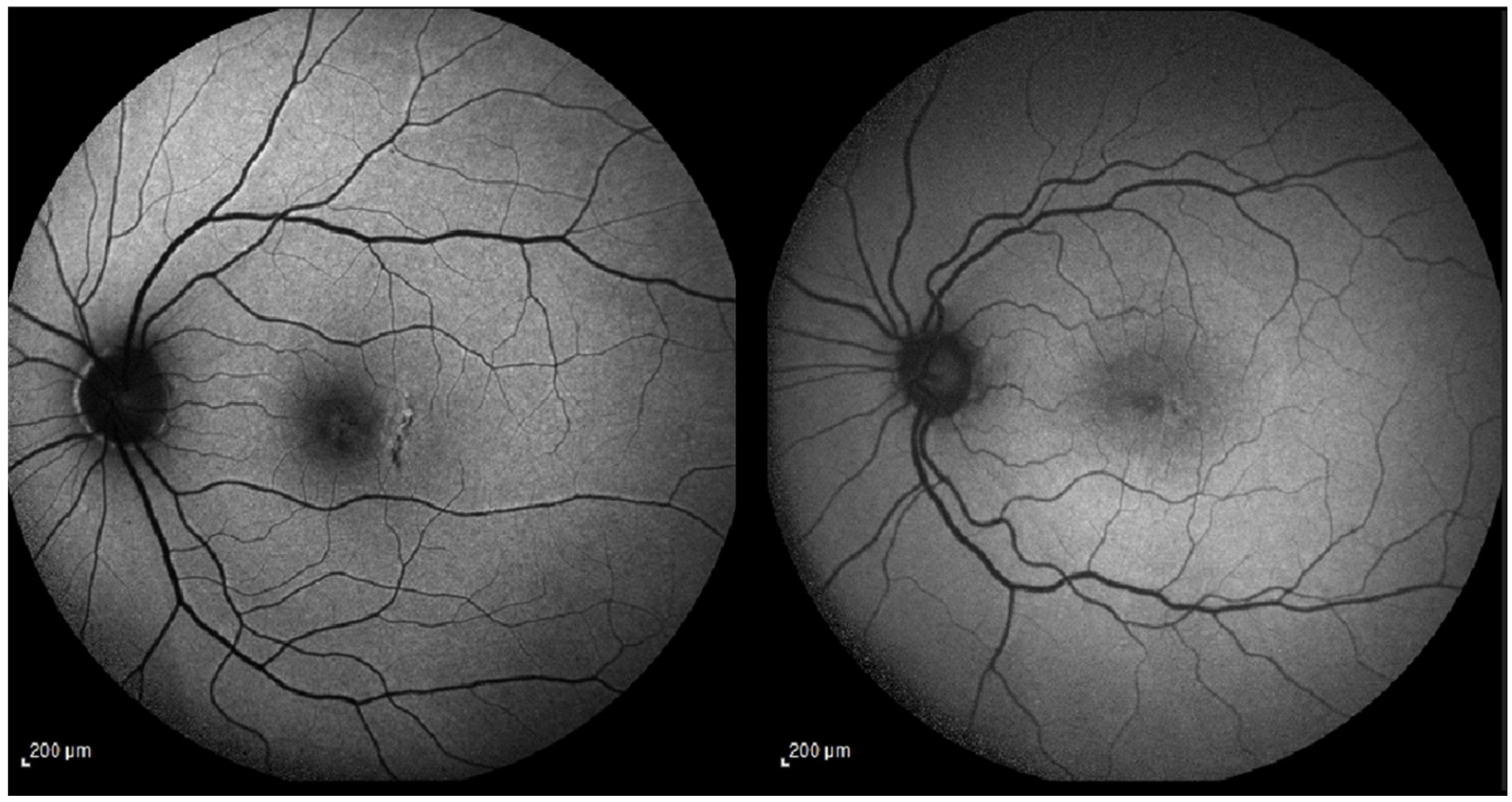
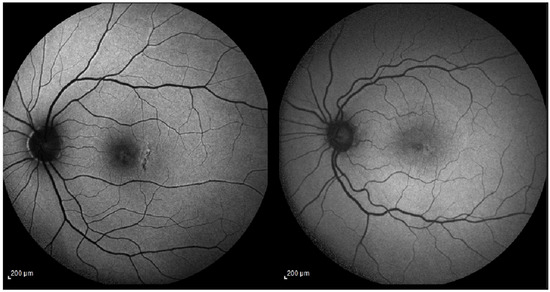
Expanded Case Study
4. Discussion
5. Conclusions
Author Contributions
Funding
Institutional Review Board Statement
Informed Consent Statement
Data Availability Statement
Conflicts of Interest
References
- Abdelkader, E.; Lois, N. Internal limiting membrane peeling in vitreo-retinal surgery. Surv. Ophthalmol. 2008, 53, 368–396. [Google Scholar] [CrossRef]
- Ch’ng, S.W.; Patton, N.; Ahmed, M.; Ivanova, T.; Baumann, C.; Charles, S.; Jalil, A. The Manchester Large Macular Hole Study: Is it Time to Reclassify Large Macular Holes? Am. J. Ophthalmol. 2018, 195, 36–42. [Google Scholar] [CrossRef] [PubMed]
- la Cour, M.; Friis, J. Macular holes: Classification, epidemiology, natural history and treatment. Acta Ophthalmol. Scand. 2002, 80, 579–587. [Google Scholar] [CrossRef]
- Lois, N.; Burr, J.; Norrie, J.; Vale, L.; Cook, J.; McDonald, A.; Boachie, C.; Ternent, L.; McPherson, G. Full-thickness Macular Hole and Internal Limiting Membrane Peeling Study (FILMS) Group. Internal limiting membrane peeling versus no peeling for idiopathic full-thickness macular hole: A pragmatic randomized controlled trial. Investig. Opthalmology Vis. Sci. 2011, 52, 1586–1592. [Google Scholar] [CrossRef] [PubMed]
- Steel, D.H.; Donachie, P.H.J.; Aylward, G.W.; Laidlaw, D.A.; Williamson, T.H.; Yorston, D. Factors affecting anatomical and visual outcome after macular hole surgery: Findings from a large prospective UK cohort. Eye 2021, 35, 316–325. [Google Scholar] [CrossRef] [PubMed]
- Ventre, L.; Mus, E.; Maradei, F.; Imparato, R.; Pintore, G.; Parisi, G.; Marolo, P.; Reibaldi, M. Relaxing Retinotomy in Recurrent and Refractory Full-Thickness Macular Holes: The State of the Art. Life 2023, 13, 1844. [Google Scholar] [CrossRef]
- Romano, M.R.; Rossi, T.; Borgia, A.; Catania, F.; Sorrentino, T.; Ferrara, M. Management of refractory and recurrent macular holes: A comprehensive review. Surv. Ophthalmol. 2022, 67, 908–931. [Google Scholar] [CrossRef]
- Abbey, A.M.; Van Laere, L.; Shah, A.R.; Hassan, T.S. Recurrent Macular Holes in The Era of Small-Gauge Vitrectomy: A Review of Incidence, Risk Factors, and Outcomes. Retina 2017, 37, 921–924. [Google Scholar] [CrossRef]
- Hillenkamp, J.; Kraus, J.; Framme, C.; Jackson, T.L.; Roider, J.; Gabel, V.-P.; Sachs, H.G. Retreatment of full-thickness macular hole: Predictive value of optical coherence tomography. Br. J. Ophthalmol. 2007, 91, 1445–1449. [Google Scholar] [CrossRef]
- Reid, G.A.; Mcdonagh, N.; Wright, D.M.; Yek, J.T.O.; Essex, R.W.; Lois, N. First Failed Macular Hole Surgery or Reopening of a Previously Closed Hole: Do We Gain by Reoperating?—A Systematic Review and Meta-analysis. Retina 2020, 40, 1–15. [Google Scholar] [CrossRef]
- Valldeperas, X.; Wong, D. Is it worth reoperating on macular holes? Ophthalmology 2008, 115, 158–163. [Google Scholar] [CrossRef]
- Maguire, M.J.M.; Steel, D.H.M.; Yorston, D.F.; Hind, J.F.; El-Faouri, M.F.; Jalil, A.F.; Tyagi, P.F.; Wickham, L.F.; Laidlaw, A.H.M. Outcome of Revision Procedures for Failed Primary Macular Hole Surgery. Retina 2021, 41, 1389–1395. [Google Scholar] [CrossRef]
- D’Souza, M.J.J.; Chaudhary, V.; Devenyi, R.; Kertes, P.J.; Lam, W.C. Re-operation of idiopathic full-thickness macular holes after initial surgery with internal limiting membrane peel. Br. J. Ophthalmol. 2011, 95, 1564–1567. [Google Scholar] [CrossRef]
- Baumann, C.M.; El-Faouri, M.M.; Ivanova, T.; Patton, N.M.C.; Ch’Ng, S.W.F.; Dhawahir-Scala, F.F.; Jalil, A.M. Manchester Revisional Macular Hole Study: Predictive Value of Optical Coherence Tomography Parameters on Outcomes of Repeat Vitrectomy, Extension of Internal Limiting Membrane Peel, and Gas Tamponade for Persistent Macular Holes. Retina 2021, 41, 908–914. [Google Scholar] [CrossRef] [PubMed]
- Figueroa, M.S.; Mora Cantallops, A.; Virgili, G.; Govetto, A. Long-term results of autologous plasma as adjuvant to pars plana vitrectomy in the treatment of high myopic full-thickness macular holes. Eur. J. Ophthalmol. 2021, 31, 2612–2620. [Google Scholar] [CrossRef] [PubMed]
- Cao, J.L.; Kaiser, P.K. Surgical Management of Recurrent and Persistent Macular Holes: A Practical Approach. Ophthalmol. Ther. 2021, 10, 1137–1153. [Google Scholar] [CrossRef]
- Meyer, C.H.; Szurman, P.; Haritoglou, C.; Maier, M.; Wolf, A.; Lytvynchuk, L.; Priglinger, S.; Hillenkamp, J.; Wachtlin, J.; Becker, M.; et al. Application of subretinal fluid to close refractory full thickness macular holes: Treatment strategies and primary outcome: Apostel study. Graefes Arch. Clin. Exp. Ophthalmol. 2020, 258, 2151–2161. [Google Scholar] [CrossRef]
- Rao, X.; Wang, N.K.; Chen, Y.P.; Hwang, Y.S.; Chuang, L.H.; Liu, I.C.; Chen, K.J.; Wu, W.C.; Lai, C.C. Outcomes of outpatient fluid-gas exchange for open macular hole after vitrectomy. Am. J. Ophthalmol. 2013, 156, 326–333.e1. [Google Scholar] [CrossRef]
- Wang, H.; Ji, M.; Di, R.; Qi, Y.; Pei, C.; Gao, S.; Liu, S.W.; Xie, A.M.; Cheng, Y.H. Parafoveal retinal massage combined with autologous blood cover in the management of giant, persistent or recurrent macular holes. Int. J. Ophthalmol. 2020, 13, 1773–1779. [Google Scholar] [CrossRef]
- Hejsek, L.; Dusova, J.; Stepanov, A.; Rozsival, P. Re-operation of idiopathic macular hole after failed initial surgery. Biomed. Pap. Med. Fac. Univ. Palacky. Olomouc Czech Repub. 2014, 158, 596–599. [Google Scholar] [CrossRef]
- Mura, M.; Iannetta, D.; Buschini, E.; De Smet, M.D. T-shaped macular buckling combined with 25G pars plana vitrectomy for macular hole, macular schisis, and macular detachment in highly myopic eyes. Br. J. Ophthalmol. 2017, 101, 383–388. [Google Scholar] [CrossRef]
- Grewal, D.S.; Charles, S.; Parolini, B.; Kadonosono, K.; Mahmoud, T.H. Autologous Retinal Transplant for Refractory Macular Holes: Multicenter International Collaborative Study Group. Ophthalmology 2019, 126, 1399–1408. [Google Scholar] [CrossRef] [PubMed]
- Rizzo, S.; Caporossi, T.; Tartaro, R.; Finocchio, L.; Franco, F.; Barca, F.; Giansanti, F. A Human Amniotic Membrane Plug to Promote Retinal Breaks Repair and Recurrent Macular Hole Closure. Retina 2019, 39, S95–S103. [Google Scholar] [CrossRef]
- Morizane, Y.; Shiraga, F.; Kimura, S.; Hosokawa, M.; Shiode, Y.; Kawata, T.; Hosogi, M.; Shirakata, Y.; Okanouchi, T. Autologous transplantation of the internal limiting membrane for refractory macular holes. Am. J. Ophthalmol. 2014, 157, 861–869.e1. [Google Scholar] [CrossRef] [PubMed]
- Chen, S.N.; Yang, C.M. Lens Capsular Flap Transplantation in The Management of Refractory Macular Hole From Multiple Etiologies. Retina 2016, 36, 163–170. [Google Scholar] [CrossRef]
- Peng, J.; Chen, C.; Zhang, H.; Zhang, L.; Liu, J.; Ren, J.; Zhao, P. Long-Term Surgical Outcomes of Lens Capsular Flap Transplantation in the Management of Refractory Macular Hole. Retina 2021, 41, 726–734. [Google Scholar] [CrossRef]
- Tam, A.L.C.; Yan, P.; Gan, N.Y.; Lam, W.C. The Current Surgical Management of Large, Recurrent, or Persistent Macular Holes. Retina 2018, 38, 1263–1275. [Google Scholar] [CrossRef]
- Reis, R.; Ferreira, N.; Meireles, A. Management of Stage IV Macular Holes: When Standard Surgery Fails. Case Rep. Ophthalmol. 2012, 3, 240–250. [Google Scholar] [CrossRef] [PubMed]
- Charles, S.; Randolph, J.C.; Neekhra, A.; Salisbury, C.D.; Littlejohn, N.; Calzada, J.I. Arcuate retinotomy for the repair of large macular holes. Ophthalmic Surg. Lasers Imaging 2013, 44, 69–72. [Google Scholar] [CrossRef]
- Tsipursky, M.S.; Byun, M.; Jager, R.D.; Sheth, V.S. Anatomical and Functional Outcomes of Relaxing Parafoveal Nasal Retinotomy for Refractory Macular Hole Repair. J. Vitr. Dis. 2021, 5, 479–487. [Google Scholar] [CrossRef]
- Knight, D.; Yu, J.J.; Adrean, S.D. Relaxing Nasal Retinotomy Technique for Closure of a Macular Hole that Reopened after Primary Vitrectomy. Retin. Cases Brief. Rep. 2021, 15, 611–614. [Google Scholar] [CrossRef] [PubMed]
- Karacorlu, M.; Sayman Muslubas, I.; Hocaoglu, M.; Arf, S.; Ersoz, M.G. Double Arcuate Relaxing Retinotomy for a Large Macular Hole. Retin. Cases Brief Rep. 2019, 13, 167–170. [Google Scholar] [CrossRef] [PubMed]
- Tsipursky, M. Creation of Paracentral Retinotomy to Facilitate Closure of Persistent Macular Holes. In Proceedings of the American Society of Retina Specialists 35th Annual Meeting, Boston, MA, USA, 11–15 August 2017. [Google Scholar]





| Patient | Gender | Age | Eye | Lens Status | Surgical Procedure | Hole Diameter FTMH (µm) | Preoperative BCVA (LogMAR) | Postoperative BCVA (LogMAR) | Follow-Up (Months) | FTMH Closure | Etiology |
|---|---|---|---|---|---|---|---|---|---|---|---|
| 1 | M | 68 | LE | Pseudophakic | PPV + enlargement ILMP + TRR + SF6 | 412 | 1 | 0.5 | 9 | Yes | Idiopathic |
| 2 | M | 73 | LE | Pseudophakic | PPV + enlargement + TRR + C3F8 | 612 | 1 | 0.5 | 5 | Yes | Idiopathic |
| 3 | M | 72 | LE | Pseudophakic | PPV + enlargement + TRR + C3F8 | 457 | 1 | 0.4 | 4 | Yes | Idiopathic |
| 4 | M | 73 | LE | Pseudophakic | PPV + enlargement ILMP + TRR + SO | Not available | 2.3 | 0.5 | 6 | Yes | Post-RD repair |
| 5 | M | 70 | RE | Pseudophakic | PPV + enlargement ILMP + TRR + SF6 | 1037 | 2 | 0.7 | 7 | Yes | Traumatic |
| 6 | F | 58 | RE | Pseudophakic | PPV + enlargement + TRR + C3F8 | 610 | 1 | 1 | 2 | No | Idiopathic |
| 7 | M | 76 | RE | Pseudophakic | PPV + enlargement + TRR + SF6 | 911 | 1 | 0.5 | 12 | Yes | Idiopathic |
| 8 | F | 63 | LE | Pseudophakic | PPV + enlargement + TRR + SF6 | 499 | 1 | 0.7 | 5 | Yes | Idiopathic |
| 9 | M | 55 | LE | Pseudophakic | PPV + enlargement ILMP + TRR + C3F8 | 939 | 1 | 0.7 | 3 | No | Traumatic |
| Study | Design | Retinotomy Type/Location | n (Eyes) | Population | Key Adjuncts | Tamponade | Closure (%) | VA Outcome | Functional Safety Reporting | Notes |
|---|---|---|---|---|---|---|---|---|---|---|
| Reis et al. [28] | Case report/series | Relaxing retinotomy (varied) | Failed standard surgery | NR | Early reports | |||||
| Charles et al. [29] | Case series | Temporal arcuate full-thickness | Large/persistent MH | ILMP | Limited/NR | Foundational temporal technique | ||||
| Tsipursky et al. [30] | Case series | Nasal parafoveal relaxing retinotomy | Refractory MH | Suction/drainage maneuver | Reported | HVF subset; scotomas reported | Nasal location | |||
| Knight et al. [31] | Case report | Nasal retinotomy | Reopened MH | NR | ||||||
| Karacorlu et al. [32] | Case report | Double arcuate relaxing retinotomy | Large MH | NR | ||||||
| Present study | Retrospective consecutive | Temporal arcuate relaxing retinotomy | 9 | Persistent after ≥1 PPV/ILMP | ILMP extension in 4/9 | SF6/C3F8/SO | 77.8 | Improved; p = 0.002 | Symptoms systematic; HVF 6/9 | Real-world feasibility |
Disclaimer/Publisher’s Note: The statements, opinions and data contained in all publications are solely those of the individual author(s) and contributor(s) and not of MDPI and/or the editor(s). MDPI and/or the editor(s) disclaim responsibility for any injury to people or property resulting from any ideas, methods, instructions or products referred to in the content. |
© 2026 by the authors. Licensee MDPI, Basel, Switzerland. This article is an open access article distributed under the terms and conditions of the Creative Commons Attribution (CC BY) license.
Share and Cite
Ventre, L.; Mus, E.; Valastro, A.; De Salvo, G.; Reibaldi, M. Temporal Arcuate Relaxing Retinotomy for Persistent Full-Thickness Macular Holes: Anatomical and Functional Assessment. J. Clin. Med. 2026, 15, 863. https://doi.org/10.3390/jcm15020863
Ventre L, Mus E, Valastro A, De Salvo G, Reibaldi M. Temporal Arcuate Relaxing Retinotomy for Persistent Full-Thickness Macular Holes: Anatomical and Functional Assessment. Journal of Clinical Medicine. 2026; 15(2):863. https://doi.org/10.3390/jcm15020863
Chicago/Turabian StyleVentre, Luca, Erik Mus, Antonio Valastro, Gabriella De Salvo, and Michele Reibaldi. 2026. "Temporal Arcuate Relaxing Retinotomy for Persistent Full-Thickness Macular Holes: Anatomical and Functional Assessment" Journal of Clinical Medicine 15, no. 2: 863. https://doi.org/10.3390/jcm15020863
APA StyleVentre, L., Mus, E., Valastro, A., De Salvo, G., & Reibaldi, M. (2026). Temporal Arcuate Relaxing Retinotomy for Persistent Full-Thickness Macular Holes: Anatomical and Functional Assessment. Journal of Clinical Medicine, 15(2), 863. https://doi.org/10.3390/jcm15020863

