Early Aortic Autograft Infective Endocarditis with Perivalvular Abscess Following the Ross Procedure
Abstract
1. Introduction and Clinical Significance
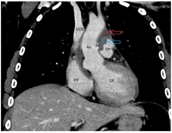
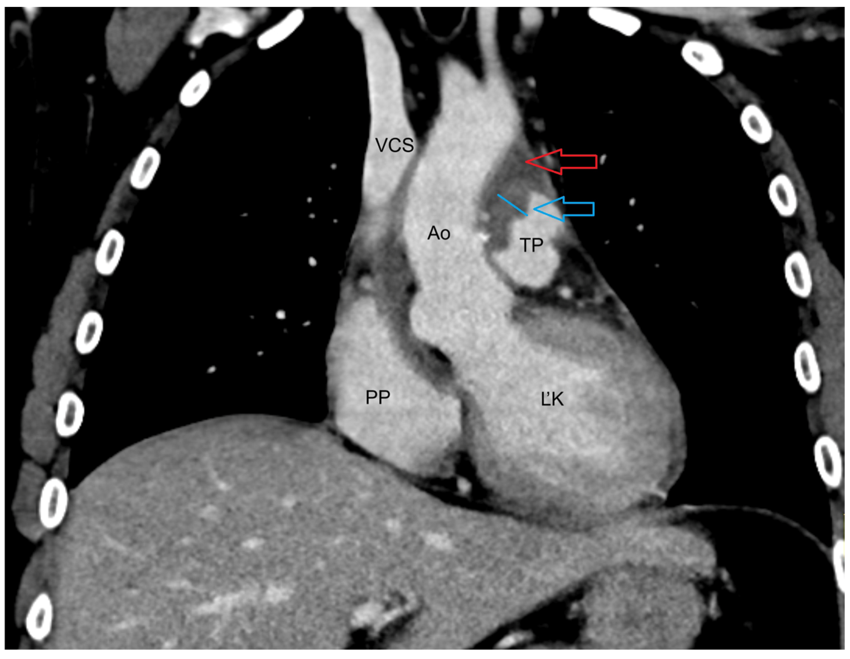
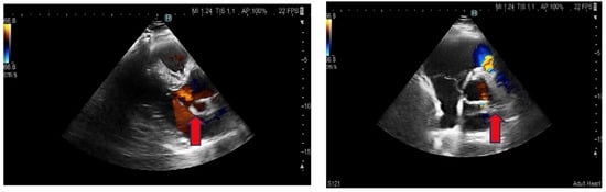
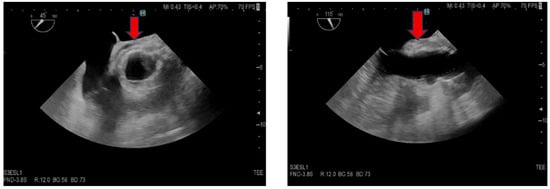
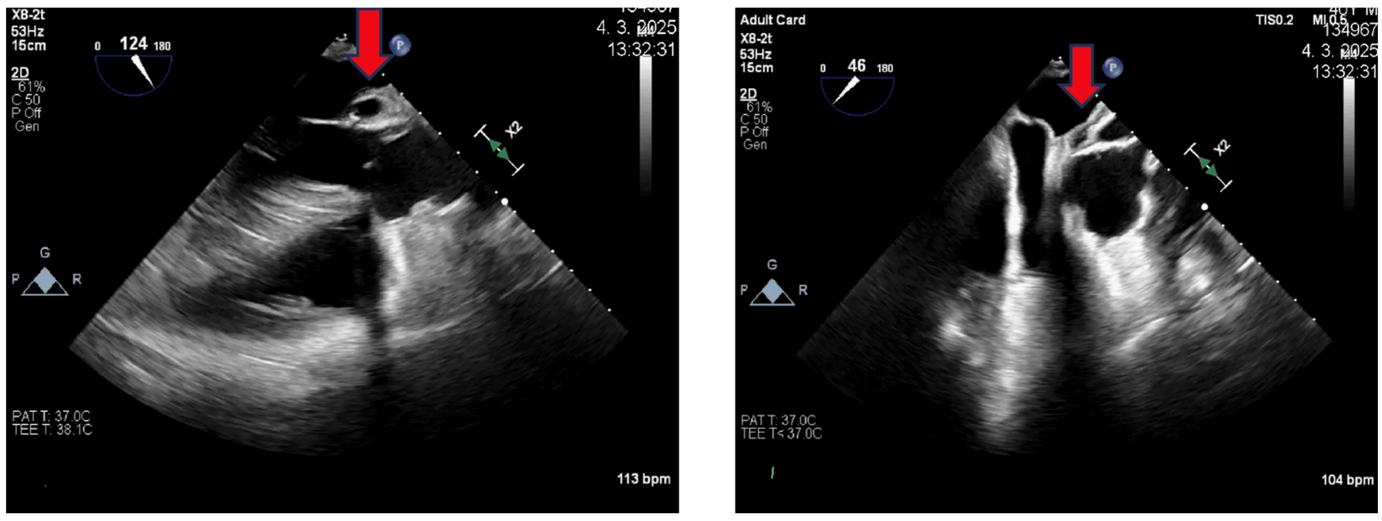
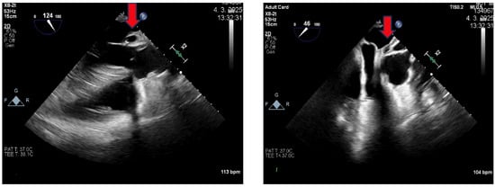
2. Case Presentation
3. Discussion
3.1. Uniqueness of the Case
3.2. Comparison with Existing Literature
3.3. Benefits of Ross Procedure in Younger Patients
3.4. Pathophysiology and Risk Factors
3.5. Management Considerations
3.6. Limitations and Lessons Learned
3.7. Future Directions
4. Conclusions
Author Contributions
Funding
Institutional Review Board Statement
Informed Consent Statement
Data Availability Statement
Acknowledgments
Conflicts of Interest
Abbreviations
| AS | Aortic Stenosis |
| AVR | Aortic Valve Replacement |
| CT | Computed Tomography |
| ESC | European Society of Cardiology |
| IE | Infective Endocarditis |
| LVOT | Left Ventricular Outflow Tract |
| RVOT | Right Ventricular Outflow Tract |
References
- Ross, D.N. Replacement of aortic and mitral valves with a pulmonary autograft. Lancet 1967, 290, 956–958. [Google Scholar] [CrossRef] [PubMed]
- Chauvette, V.; Bouhout, I.; Lefebvre, L.; Tarabzoni, M.; Chamberland, M.-È.; Poirier, N.; Demers, P.; Chu, M.W.A.; Perron, J.; El-Hamamsy, I. The Ross procedure is a safe and durable option in adults with infective endocarditis: A multicentre study. Eur. J. Cardiothorac. Surg. 2020, 58, 537–543. [Google Scholar] [CrossRef] [PubMed]
- El-Hamamsy, I.; Eryigit, Z.; Stevens, L.-M.; Sarang, Z.; George, R.; Clark, L.; Melina, G.; Takkenberg, J.J.M.; Yacoub, M.H. Long-term outcomes after autograft versus homograft aortic root replacement in adults with aortic valve disease: A randomised controlled trial. Lancet 2010, 376, 524–531. [Google Scholar] [CrossRef] [PubMed]
- Ozaki, S.; Kawase, I.; Yamashita, H.; Uchida, S.; Takatoh, M.; Hagiwara, S.; Kiyohara, N. Aortic valve reconstruction using autologous pericardium for aortic stenosis. Circ. J. 2015, 79, 1504–1510. [Google Scholar] [CrossRef] [PubMed]
- Takkenberg, J.J.M.; Klieverik, L.M.A.; Schoof, P.H.; van Suylen, R.-J.; van Herwerden, L.A.; Zondervan, P.E.; Roos-Hesselink, J.W.; Eijkemans, M.J.C.; Yacoub, M.H.; Bogers, A.J.J.C. The Ross procedure: A systematic review and meta-analysis. Circulation 2009, 119, 222–228. [Google Scholar] [CrossRef] [PubMed]
- Abeln, K.B.; Ehrlich, T.; Souko, I.; Kari, F.A.; Sievers, H.-H.; Bogers, A.J.J.C.; Charitos, E.I.; Schäfers, H.-J. Autograft reoperations after the Ross procedure. Eur. J. Cardiothorac. Surg. 2023, 63, ezad117. [Google Scholar] [CrossRef] [PubMed]
- El-Hamamsy, I.; Toyoda, N.; Itagaki, S.; Stelzer, P.; Varghese, R.; Williams, E.E.; Egorova, N.; Adams, D.H. Propensity-Matched Comparison of the Ross Procedure and Prosthetic Aortic Valve Replacement in Adults. J. Am. Coll. Cardiol. 2022, 79, 805–815. [Google Scholar] [CrossRef] [PubMed]
- Sievers, H.-H.; Stierle, U.; Charitos, E.I.; Takkenberg, J.J.M.; Hörer, J.; Lange, R.; Franke, U.; Albert, M.; Gorski, A.; Leyh, R.; et al. Major adverse cardiac and cerebrovascular events after the Ross procedure: A report from the German-Dutch Ross Registry. Circulation 2010, 122, S216–S223. [Google Scholar] [CrossRef] [PubMed]
- Aboud, A.; Charitos, E.I.; Fujita, B.; Stierle, U.; Reil, J.-C.; Voth, V.; Liebrich, M.; Holubec, T.; Bening, C.; Badiu, C.C.; et al. Long-Term Outcomes of Patients Undergoing the Ross Procedure. J. Am. Coll. Cardiol. 2021, 77, 1412–1422. [Google Scholar] [CrossRef] [PubMed]
- Siani, A.; Bajraktari, A.; Liguori, C.; Giordano, A.; Santoro, C.; Palma, G.; Bova, A.; Cipulli, F.; Fazio, V.; Stabile, E.; et al. Aortic regurgitation: A multimodality approach. J. Clin. Ultrasound 2022, 50, 1041–1050. [Google Scholar] [CrossRef] [PubMed]
- Delgado, V.; Ajmone Marsan, N.; de Waha, S.; Bonaros, N.; Brida, M.; Burri, H.; Caselli, S.; Doenst, T.; Ederhy, S.; Erba, P.A.; et al. 2023 ESC Guidelines for the management of endocarditis. Eur. Heart J. 2023, 44, 3948–4042. [Google Scholar] [CrossRef]
- Boyer, R.; Upple, C.; Joolhar, F.; Petersen, G.; Heidari, A. Infective Endocarditis 2 Decades After Pulmonary Autograft Ross Procedure. J. Investig. Med. High Impact Case Rep. 2020, 8, 2324709620969478. [Google Scholar] [CrossRef] [PubMed]
- Mazine, A.; David, T.E.; Stoklosa, K.; Chung, J.; Lafreniere-Roula, M.; Ouzounian, M. Improved Outcomes Following the Ross Procedure Compared With Bioprosthetic Aortic Valve Replacement. J. Am. Coll. Cardiol. 2022, 79, 993–1005. [Google Scholar] [CrossRef] [PubMed]
- Notenboom, M.L.; Melina, G.; Veen, K.M.; Yap, S.-C.; Bogers, A.J.J.C.; Takkenberg, J.J.M.; Yacoub, M.H.; Etnel, J.R.G. Long-Term Clinical and Echocardiographic Outcomes Following the Ross Procedure: A Post Hoc Analysis of a Randomized Clinical Trial. JAMA Cardiol. 2024, 9, 6–14. [Google Scholar] [CrossRef] [PubMed]
- Yokoyama, Y.; Kuno, T.; Toyoda, N.; Itagaki, S.; Takagi, H.; Briasoulis, A.; Katz, M.; Garan, A.R.; Masoumi, A.; Sayer, G.; et al. Ross Procedure Versus Mechanical Versus Bioprosthetic Aortic Valve Replacement: A Network Meta-Analysis. J. Am. Heart Assoc. 2023, 12, e027715. [Google Scholar] [CrossRef] [PubMed]
- Li, J.S.; Sexton, D.J.; Mick, N.; Nettles, R.; Fowler, V.G., Jr.; Ryan, T.; Bashore, T.; Corey, G.R. Proposed modifications to the Duke criteria for the diagnosis of infective endocarditis. Clin. Infect. Dis. 2000, 30, 633–638. [Google Scholar] [CrossRef] [PubMed]




| Parameter | Value | Reference Range |
|---|---|---|
| Complete Blood Count | ||
| Leukocytes | 13.2 × 109/L | 4.0–10.0 × 109/L |
| Erythrocytes | 3.89 × 1012/L | 4.5–5.5 × 1012/L |
| Hemoglobin | 115.0 g/L | 130–170 g/L |
| Hematocrit | 0.350 | 0.40–0.50 |
| Platelets | 451 × 109/L | 150–400 × 109/L |
| Biochemistry | ||
| Urea | 4.3 mmol/L | 2.5–7.5 mmol/L |
| Creatinine | 79.1 μmol/L | 60–120 μmol/L |
| AST | 0.30 μkat/L | 0.17–0.85 μkat/L |
| ALT | 0.64 μkat/L | 0.17–0.83 μkat/L |
| GGT | 1.17 μkat/L | 0.15–1.10 μkat/L |
| ALP | 1.69 μkat/L | 0.67–2.15 μkat/L |
| CRP | 49.72 mg/L | <5.0 mg/L |
| IL-6 | 139.0 pg/mL | <7.0 pg/mL |
| Procalcitonin | 0.085 ng/mL | <0.05 ng/mL |
| Electrolytes | ||
| Sodium | 140.0 mmol/L | 135–145 mmol/L |
| Potassium | 4.71 mmol/L | 3.5–5.1 mmol/L |
| Chloride | 102.0 mmol/L | 98–107 mmol/L |
Disclaimer/Publisher’s Note: The statements, opinions and data contained in all publications are solely those of the individual author(s) and contributor(s) and not of MDPI and/or the editor(s). MDPI and/or the editor(s) disclaim responsibility for any injury to people or property resulting from any ideas, methods, instructions or products referred to in the content. |
© 2026 by the authors. Licensee MDPI, Basel, Switzerland. This article is an open access article distributed under the terms and conditions of the Creative Commons Attribution (CC BY) license.
Share and Cite
Snopek, P.; Lukačín, Š.; Schusterová, I.; Kolesár, A.; Hasilla, J.; Klačanský, M.; Fülöp, P.; Porubän, T.; Tóth, Š.; Dvorožňáková, M. Early Aortic Autograft Infective Endocarditis with Perivalvular Abscess Following the Ross Procedure. J. Clin. Med. 2026, 15, 611. https://doi.org/10.3390/jcm15020611
Snopek P, Lukačín Š, Schusterová I, Kolesár A, Hasilla J, Klačanský M, Fülöp P, Porubän T, Tóth Š, Dvorožňáková M. Early Aortic Autograft Infective Endocarditis with Perivalvular Abscess Following the Ross Procedure. Journal of Clinical Medicine. 2026; 15(2):611. https://doi.org/10.3390/jcm15020611
Chicago/Turabian StyleSnopek, Peter, Štefan Lukačín, Ingrid Schusterová, Adrián Kolesár, Jozef Hasilla, Milan Klačanský, Pavol Fülöp, Tibor Porubän, Štefan Tóth, and Mariana Dvorožňáková. 2026. "Early Aortic Autograft Infective Endocarditis with Perivalvular Abscess Following the Ross Procedure" Journal of Clinical Medicine 15, no. 2: 611. https://doi.org/10.3390/jcm15020611
APA StyleSnopek, P., Lukačín, Š., Schusterová, I., Kolesár, A., Hasilla, J., Klačanský, M., Fülöp, P., Porubän, T., Tóth, Š., & Dvorožňáková, M. (2026). Early Aortic Autograft Infective Endocarditis with Perivalvular Abscess Following the Ross Procedure. Journal of Clinical Medicine, 15(2), 611. https://doi.org/10.3390/jcm15020611

