Mixed Infectious–Immune Pneumonitis Associated with PD-L1 Blockade: A Case of Durvalumab-Induced Lung Injury Complicated by Human Metapneumovirus Infection
Abstract
1. Introduction
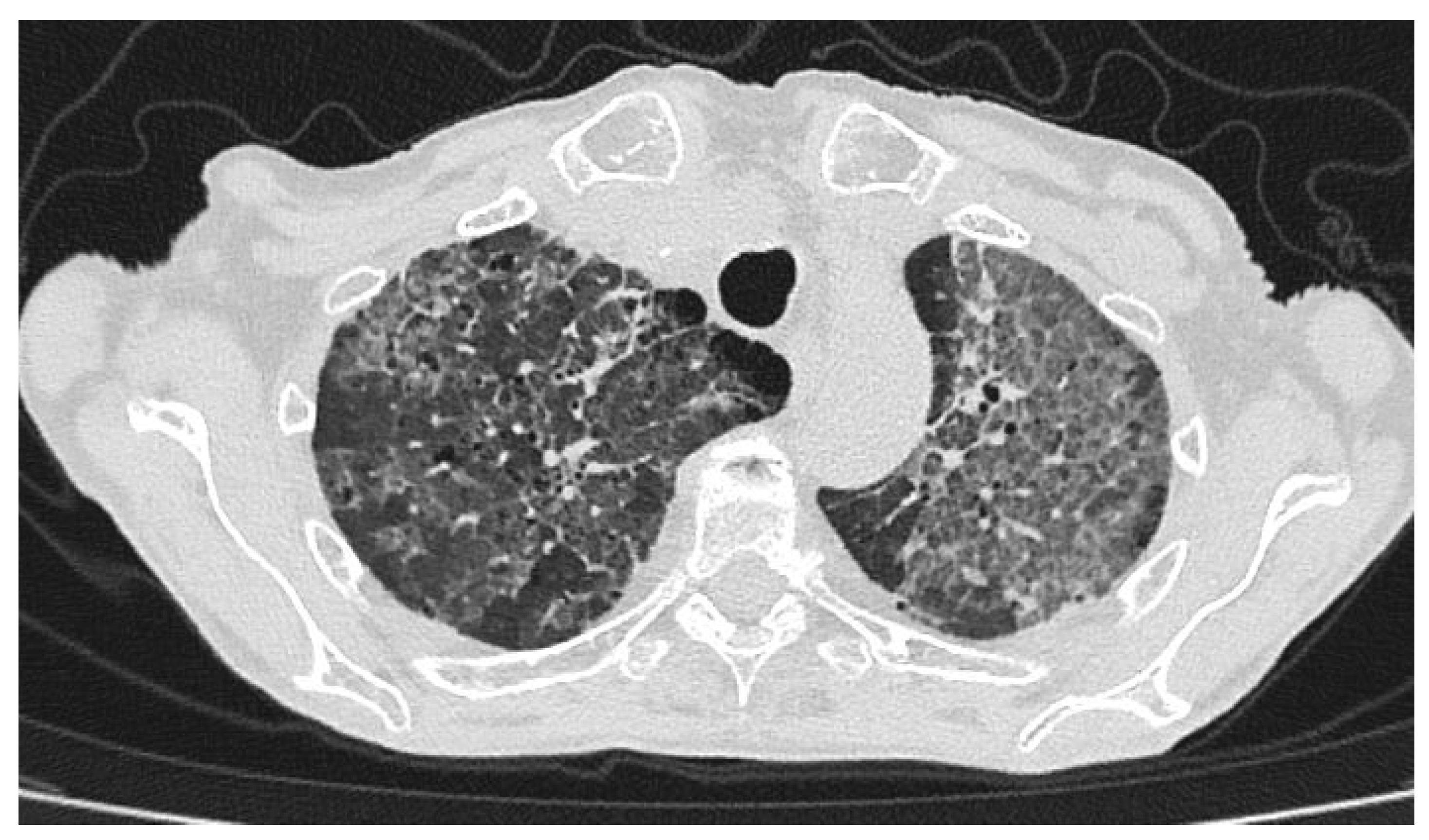
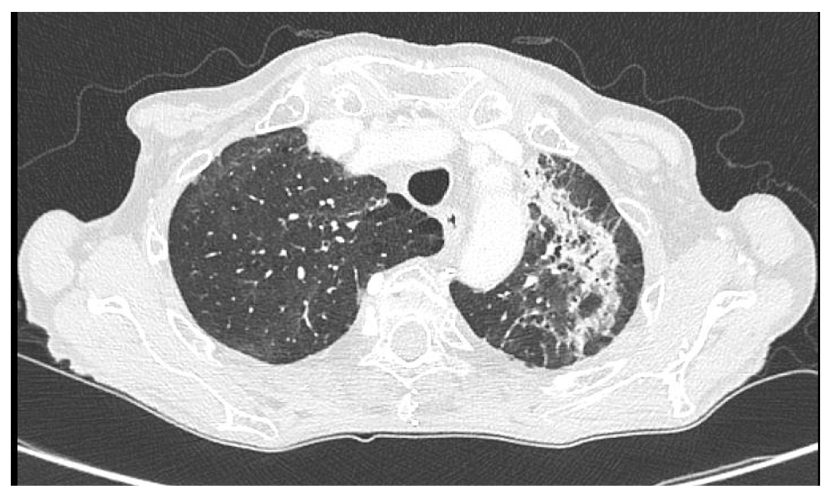
2. Case Presentation
3. Discussion
4. Conclusions
Author Contributions
Funding
Institutional Review Board Statement
Informed Consent Statement
Data Availability Statement
Acknowledgments
Conflicts of Interest
Abbreviations
| BAL | bronchoalveolar lavage |
| CAP | community-acquired pneumonia |
| CIP | checkpoint inhibitor pneumonitis |
| CRP | C-reactive protein |
| CT | computed tomography |
| NSCLC | non–small cell lung cancer |
| HMPV | human metapneumovirus |
| ICI | Immune checkpoint inhibitors |
| irAEs | immune-related adverse events |
| PD-1 | programmed death 1 |
| PD-L1 | programmed death-ligand 1 |
| WBC | White blood cell |
References
- Spagnolo, P.; Chaudhuri, N.; Bernardinello, N.; Karampitsakos, T.; Sampsonas, F.; Tzouvelekis, A. Pulmonary adverse events following immune checkpoint inhibitors. Curr. Opin. Pulm. Med. 2022, 28, 391–398. [Google Scholar] [CrossRef] [PubMed] [PubMed Central]
- Li, C.; Faiz, S.A.; Boysen-Osborn, M.; Sheshadri, A.; Wattana, M.K. Immune Checkpoint Inhibitor-associated Pneumonitis: A Narrative Review. West. J. Emerg. Med. 2025, 26, 210–218. [Google Scholar] [CrossRef] [PubMed] [PubMed Central]
- Available online: https://www.creativebiolabs.net/durvalumab-overview.htm (accessed on 14 November 2025).
- Alwhaibi, A.; Alenazi, M.A.; Alghadeer, S.; Mansy, W.; Alsaif, R.A.; Abualreesh, N.E.; Alanazi, R.J.; Alroumi, A.; Alanazi, S.A. A Real-World Comparison of the Safety Profile for Immune Checkpoint Inhibitors in Oncology Patients. J. Clin. Med. 2025, 14, 388. [Google Scholar] [CrossRef] [PubMed] [PubMed Central]
- Khunger, M.; Rakshit, S.; Pasupuleti, V.; Hernandez, A.V.; Mazzone, P.; Stevenson, J.; Pennell, N.A.; Velcheti, V. Incidence of Pneumonitis with Use of Programmed Death 1 and Programmed Death-Ligand 1 Inhibitors in Non-Small Cell Lung Cancer: A Systematic Review and Meta-Analysis of Trials. Chest 2017, 152, 271–281. [Google Scholar] [CrossRef] [PubMed]
- LeClair, J.N.; Merl, M.Y.; Cohenuram, M.; Luon, D. Real-World Incidence of Pneumonitis in Patients Receiving Durvalumab. Clin. Lung Cancer 2022, 23, 34–42. [Google Scholar] [CrossRef] [PubMed]
- Keam, S.; Turner, N.; Kugeratski, F.G.; Rico, R.; Colunga-Minutti, J.; Poojary, R.; Alekseev, S.; Patel, A.B.; Li, Y.J.; Sheshadri, A.; et al. Toxicity in the era of immune checkpoint inhibitor therapy. Front Immunol. 2024, 15, 1447021. [Google Scholar] [CrossRef] [PubMed] [PubMed Central]
- Available online: https://www.biomerieux.com/us/en/our-offer/clinical-products/biofire-pneumonia-panel.html (accessed on 30 January 2025).
- Lim, C.A.; Ghosh, S.; Morrison, H.; Meyers, D.; Stukalin, I.; Kerba, M.; Hao, D.; Pabani, A. Durvalumab-Associated Pneumonitis in Patients with Locally Advanced Non-Small Cell Lung Cancer: A Real-World Population Study. Curr. Oncol. 2023, 30, 10396–10407. [Google Scholar] [CrossRef] [PubMed] [PubMed Central]
- Iyer, V.G.; Deb, N.; Javed, M.; Jaiswal, V.; Sah, R. Human metapneumovirus-understanding a growing respiratory threat. QJM 2025, 118, 77–78. [Google Scholar] [CrossRef] [PubMed]
- Samuel, S.; Nanjappa, S.; Cooper, C.D.; Greene, J.N. Human Metapneumovirus Infection in Immunocompromised Patients. Cancer Control 2016, 23, 442–445. [Google Scholar] [CrossRef] [PubMed]
- Pipitò, L.; Mazzola, C.V.; Bono, E.; Gioè, C.; Giammanco, G.M.; Bonura, C.; Cascio, A. A Case of Severe Respiratory Failure Caused by Metapneumovirus and Influenza Virus in a Patient with HIV Infection. Viruses 2025, 17, 289. [Google Scholar] [CrossRef] [PubMed] [PubMed Central]
- Samajdar, S.S.; Chatterjee, R.; Mukherjee, S.; Chatterjee, N.; Pal, J.; Tiwaskar, M.; Joshi, S. Ribavirin and IVIG Therapy for Severe hMPV Pneumonia: A Promising Therapeutic Approach for India. J. Assoc. Physicians India 2025, 73, 98–100. [Google Scholar] [CrossRef] [PubMed]
- Guerini, A.E.; Borghetti, P.; Filippi, A.R.; Bonù, M.L.; Tomasini, D.; Greco, D.; Imbrescia, J.; Volpi, G.; Triggiani, L.; Borghesi, A.; et al. Differential Diagnosis and Clinical Management of a Case of COVID-19 in a Patient with Stage III Lung Cancer Treated with Radio-chemotherapy and Durvalumab. Clin. Lung Cancer 2020, 21, e547–e550. [Google Scholar] [CrossRef] [PubMed] [PubMed Central]
- Li, W.; Zhang, D.; Feng, H.; Jin, J.; Li, C.; Li, C.; Zhang, L.; Huang, Y. Clinical Characteristics of Influenza Pneumonia in Patients with Lung Adenocarcinoma Receiving Immunotherapy. Viral Immunol. 2025, 38, 235–244. [Google Scholar] [CrossRef] [PubMed]
- Badran, O.; Ouryvaev, A.; Baturov, V.; Shai, A. Cytomegalovirus pneumonia complicating immune checkpoint inhibitors-induced pneumonitis: A case report. Mol. Clin. Oncol. 2021, 14, 120. [Google Scholar] [CrossRef] [PubMed] [PubMed Central]
- Sumer, J.; Waldeck, F.; Fischer, N.; Appenzeller, C.; Koster, M.; Früh, M.; Albrich, W.C. HSV-pneumonitis in a patient with lung cancer receiving check point inhibitors—A case report. Pneumonia 2021, 13, 1. [Google Scholar] [CrossRef] [PubMed] [PubMed Central]
- Foukas, P.G.; Tsiodras, S.; Economopoulou, P.; Spathis, A.; Mademli, M.; Leventakos, K.; Psyrri, A.; Karakitsos, P.; Panayiotides, I.G. Concomitant Human Herpes Virus 6 and nivolumab-related pneumonitis: Potential pathogenetic insights. ID Cases 2018, 11, 101–103. [Google Scholar] [CrossRef] [PubMed] [PubMed Central]
- Brade, A.M.; Bahig, H.; Bezjak, A.; Juergens, R.A.; Lynden, C.; Marcoux, N.; Melosky, B.; Schellenberg, D.; Snow, S. Esophagitis and Pneumonitis Related to Concurrent Chemoradiation ± Durvalumab Consolidation in Unresectable Stage III Non-Small-Cell Lung Cancer: Risk Assessment and Management Recommendations Based on a Modified Delphi Process. Curr. Oncol. 2024, 31, 6512–6535. [Google Scholar] [CrossRef] [PubMed] [PubMed Central]
- Pallotta, D.P.; Stefanini, B.; Pratelli, A.; Papayannidis, C.; Bertuzzi, C.; Boe, M.; Girolami, F.; Tovoli, F.; Granito, A. Pure red cell aplasia due to Parvovirus B19 infection and atezolizumab: Case report and literature review. Immunotherapy 2025, 17, 871–877. [Google Scholar] [CrossRef] [PubMed] [PubMed Central]
- Si, X.; Song, P.; Ni, J.; Di, M.; He, C.; Zhang, L.; Liu, X.; Li, Y.; Wang, H.; Guo, X.; et al. Management of immune checkpoint inhibitor-related adverse events: A review of case reports. Thorac. Cancer 2020, 11, 498–504. [Google Scholar] [CrossRef] [PubMed] [PubMed Central]


Disclaimer/Publisher’s Note: The statements, opinions and data contained in all publications are solely those of the individual author(s) and contributor(s) and not of MDPI and/or the editor(s). MDPI and/or the editor(s) disclaim responsibility for any injury to people or property resulting from any ideas, methods, instructions or products referred to in the content. |
© 2025 by the authors. Licensee MDPI, Basel, Switzerland. This article is an open access article distributed under the terms and conditions of the Creative Commons Attribution (CC BY) license.
Share and Cite
Pipitò, L.; Mazzola, C.V.; Giacchino, I.; De Rosa, R.; Gagliardo, C.M.; Lipari, A.G.; Monte, P.; Furia, F.; Mannino, E.; Pecoraro, R.; et al. Mixed Infectious–Immune Pneumonitis Associated with PD-L1 Blockade: A Case of Durvalumab-Induced Lung Injury Complicated by Human Metapneumovirus Infection. J. Clin. Med. 2026, 15, 251. https://doi.org/10.3390/jcm15010251
Pipitò L, Mazzola CV, Giacchino I, De Rosa R, Gagliardo CM, Lipari AG, Monte P, Furia F, Mannino E, Pecoraro R, et al. Mixed Infectious–Immune Pneumonitis Associated with PD-L1 Blockade: A Case of Durvalumab-Induced Lung Injury Complicated by Human Metapneumovirus Infection. Journal of Clinical Medicine. 2026; 15(1):251. https://doi.org/10.3390/jcm15010251
Chicago/Turabian StylePipitò, Luca, Chiara Vincenza Mazzola, Ilenia Giacchino, Riccardo De Rosa, Carola Maria Gagliardo, Alessio Giuseppe Lipari, Paola Monte, Federica Furia, Erika Mannino, Rosaria Pecoraro, and et al. 2026. "Mixed Infectious–Immune Pneumonitis Associated with PD-L1 Blockade: A Case of Durvalumab-Induced Lung Injury Complicated by Human Metapneumovirus Infection" Journal of Clinical Medicine 15, no. 1: 251. https://doi.org/10.3390/jcm15010251
APA StylePipitò, L., Mazzola, C. V., Giacchino, I., De Rosa, R., Gagliardo, C. M., Lipari, A. G., Monte, P., Furia, F., Mannino, E., Pecoraro, R., Scichilone, N., & Cascio, A. (2026). Mixed Infectious–Immune Pneumonitis Associated with PD-L1 Blockade: A Case of Durvalumab-Induced Lung Injury Complicated by Human Metapneumovirus Infection. Journal of Clinical Medicine, 15(1), 251. https://doi.org/10.3390/jcm15010251

