Effect of Titanium Artifacts on Cholesteatoma in Magnetic Resonance Imaging After Reconstruction of the Middle Ear
Abstract
1. Introduction
2. Materials and Methods
2.1. Patients
2.2. MRI Imaging
2.3. Statistical Analysis
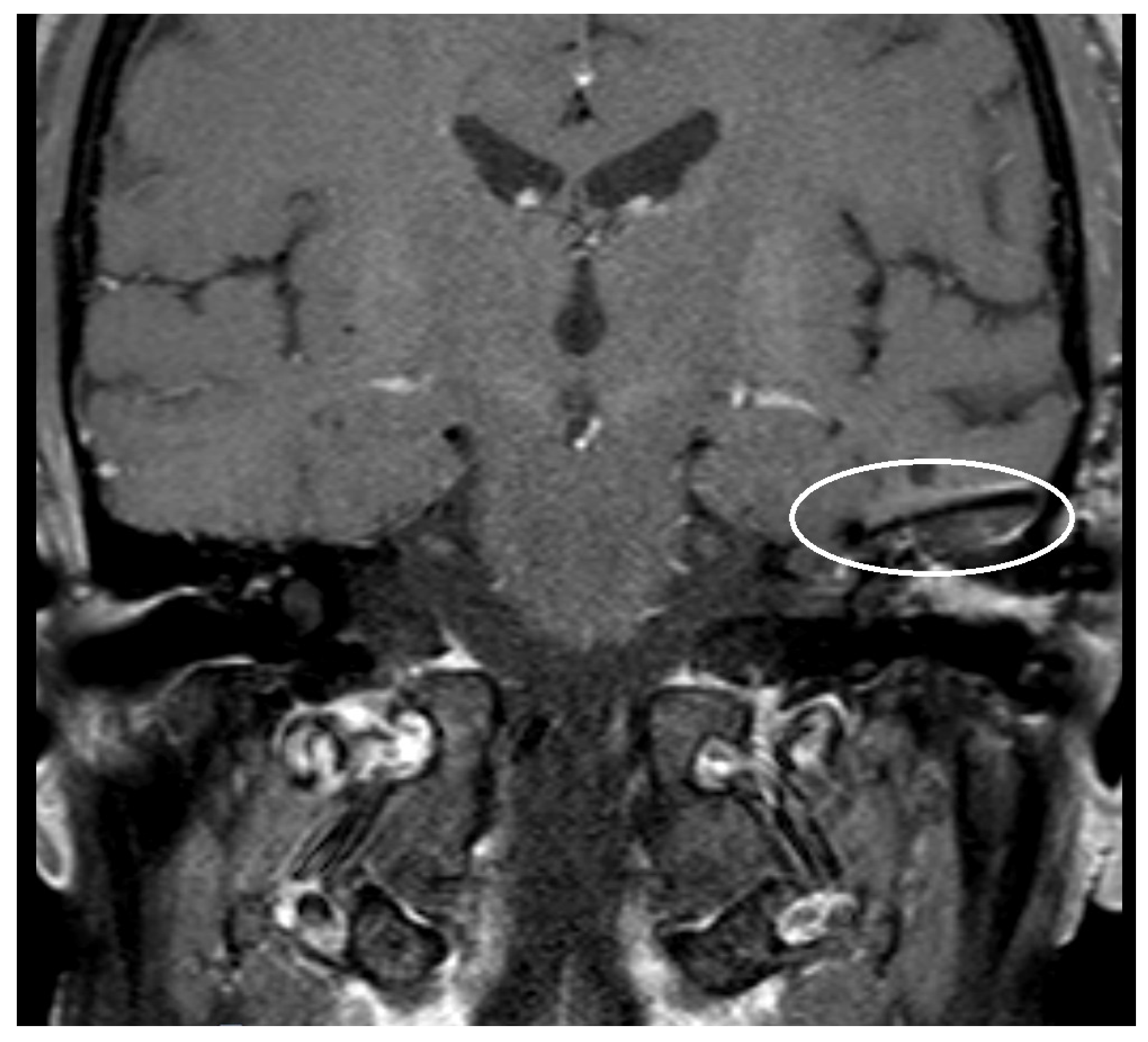
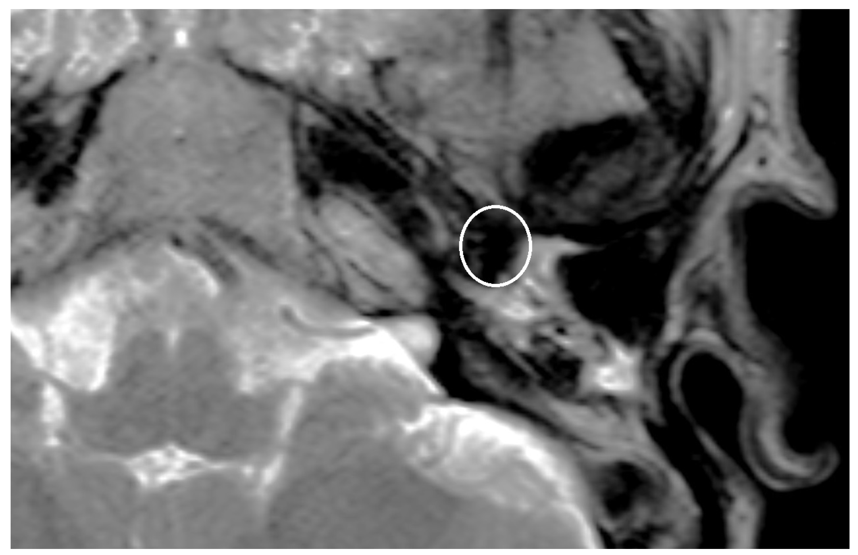
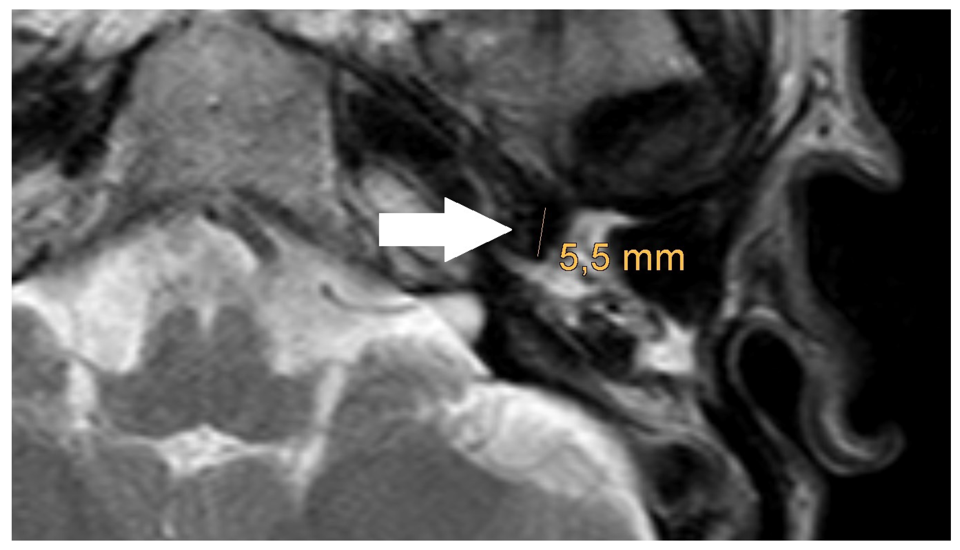
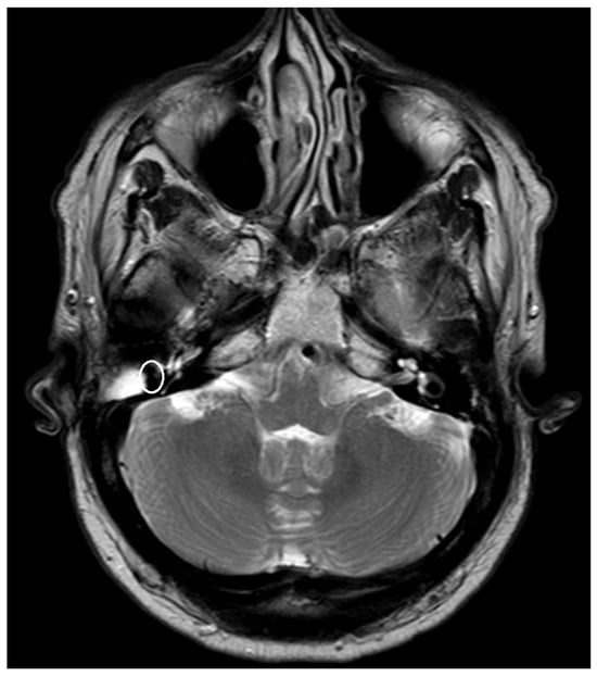
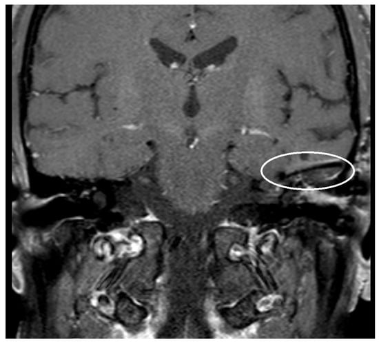
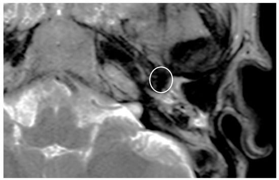
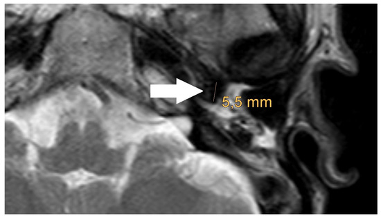
3. Results
4. Discussion
4.1. Artifact Size and Implant Type
4.2. Consequences of MRI-Based Surveillance
4.3. Clinical Decision-Making in Ossicular Reconstruction
5. Conclusions
Author Contributions
Funding
Institutional Review Board Statement
Informed Consent Statement
Data Availability Statement
Conflicts of Interest
Abbreviations
| MRI | magnetic resonance imagining |
| non-EPI DWI | non-echo planar imaging diffusion weighted |
| PORP | partial ossicular replacement prosthesis |
| TORP | total ossicular replacement prosthesis |
| CI | confidence interval |
| MR | magnetic resonance |
| OME | Otitis media with effusion |
References
- Aslıer, M.; Erdag, T.K.; Sarioglu, S.; Güneri, E.A.; Ikiz, A.O.; Uzun, E.; Özer, E. Analysis of histopathological aspects and bone destruction characteristics in acquired middle ear cholesteatoma of pediatric and adult patients. Int. J. Pediatr. Otorhinolaryngol. 2016, 82, 73–77. [Google Scholar] [CrossRef] [PubMed]
- Moffat, D.A.; Quaranta, N.; Baguley, D.M.; Hardy, D.G.; Chang, P. Staging and management of primary cerebellopontine cholesteatoma. J. Laryngol. Otol. 2002, 116, 340–345. [Google Scholar] [CrossRef]
- Cucu, A.I.; Patrascu, R.E.; Cosman, M.; Costea, C.F.; Vonica, P.; Blaj, L.A.; Hartie, V.; Istrate, A.C.; Prutianu, I.; Boisteanu, O.; et al. Cerebellar Abscess Secondary to Cholesteatomatous Otomastoiditis-An Old Enemy in New Times. Diagnostics 2023, 13, 3566. [Google Scholar] [CrossRef] [PubMed]
- Vesole, A.S.; Doyle, E.J.; Sarkovics, K.; Gharib, M.; Samy, R.N. Outcomes of Soft Versus Bony Canal Wall Reconstruction with Mastoid Obliteration. Otol. Neurotol. 2024, 45, 542–548. [Google Scholar] [CrossRef]
- Brar, S.; Watters, C.; Winters, R. Tympanoplasty; StatPearls: Treasure Island, FL, USA, 2024. [Google Scholar]
- Ascherman, J.A.; Foo, R.; Nanda, D.; Parisien, M. Reconstruction of cranial bone defects using a quick-setting hydroxyapatite cement and absorbable plates. J. Craniofac. Surg. 2008, 19, 1131–1135. [Google Scholar] [CrossRef] [PubMed]
- Boghani, Z.; Choudhry, O.J.; Schmidt, R.F.; Jyung, R.W.; Liu, J.K. Reconstruction of cranial base defects using the Medpor Titan implant: Cranioplasty applications in acoustic neuroma surgery. Laryngoscope 2013, 123, 1361–1368. [Google Scholar] [CrossRef]
- Romano, A.; Covelli, E.; Confaloni, V.; Rossi-Espagnet, M.C.; Butera, G.; Barbara, M.; Bozzao, A. Role of non-echo-planar diffusion-weighted images in the identification of recurrent cholesteatoma of the temporal bone. Radiol. Med. 2020, 125, 75–79. [Google Scholar] [CrossRef] [PubMed]
- Díaz Zufiaurre, N.; Calvo-Imirizaldu, M.; Lorente-Piera, J.; Domínguez-Echávarri, P.; Fontova Porta, P.; Manrique, M.; Manrique-Huarte, R. Toward Improved Detection of Cholesteatoma Recidivism: Exploring the Role of Non-EPI-DWI MRI. J. Clin. Med. 2024, 13, 2587. [Google Scholar] [CrossRef]
- Kwok, P.; Waldeck, A.; Strutz, J. Wie verhalten sich metallhaltige Mittelohrimplantate in der Kernspintomographie? Laryngorhinootologie. 2003, 82, 13–18. [Google Scholar] [CrossRef]
- Peschke, E.; Ulloa, P.; Jansen, O.; Hoevener, J.-B. Metallische Implantate im MRT—Gefahren und Bildartefakte. Rofo 2021, 193, 1285–1293. [Google Scholar] [CrossRef]
- Senn, P.; Haeusler, R.; Panosetti, E.; Caversaccio, M. Petrous bone cholesteatoma removal with hearing preservation. Otol. Neurotol. 2011, 32, 236–241. [Google Scholar] [CrossRef]
- Kerckhoffs, K.G.P.; Kommer, M.B.J.; van Strien, T.H.L.; Visscher, S.J.A.; Bruijnzeel, H.; Smit, A.L.; Grolman, W. The disease recurrence rate after the canal wall up or canal wall down technique in adults. Laryngoscope 2016, 126, 980–987. [Google Scholar] [CrossRef] [PubMed]
- van Egmond, S.L.; Stegeman, I.; Grolman, W.; Aarts, M.C.J. A Systematic Review of Non-Echo Planar Diffusion-Weighted Magnetic Resonance Imaging for Detection of Primary and Postoperative Cholesteatoma. Otolaryngol. Head Neck Surg. 2016, 154, 233–240. [Google Scholar] [CrossRef] [PubMed]
- Muzaffar, J.; Metcalfe, C.; Colley, S.; Coulson, C. Diffusion-weighted magnetic resonance imaging for residual and recurrent cholesteatoma: A systematic review and meta-analysis. Clin. Otolaryngol. 2017, 42, 536–543. [Google Scholar] [CrossRef]
- Yosefof, E.; Yaniv, D.; Tzelnick, S.; Sokolov, M.; Ulanovski, D.; Raveh, E.; Kornreich, L.; Hilly, O. Post-operative MRI detection of residual cholesteatoma in pediatric patients—The yield of serial scans over a long follow-up. Int. J. Pediatr. Otorhinolaryngol. 2022, 158, 111172. [Google Scholar] [CrossRef] [PubMed]
- Daoudi, H.; Levy, R.; Baudouin, R.; Couloigner, V.; Leboulanger, N.; Garabédian, E.-N.; Belhous, K.; Boddaert, N.; Denoyelle, F.; Simon, F. Performance of Non-EPI DW MRI for Pediatric Cholesteatoma Follow-Up. Otolaryngol. Head Neck Surg. 2024, 170, 221–229. [Google Scholar] [CrossRef]
- Baráth, K.; Huber, A.M.; Stämpfli, P.; Varga, Z.; Kollias, S. Neuroradiology of cholesteatomas. AJNR Am. J. Neuroradiol. 2011, 32, 221–229. [Google Scholar] [CrossRef]
- Dudau, C.; Draper, A.; Gkagkanasiou, M.; Charles-Edwards, G.; Pai, I.; Connor, S. Cholesteatoma: Multishot echo-planar vs non echo-planar diffusion-weighted MRI for the prediction of middle ear and mastoid cholesteatoma. BJR Open 2019, 1, 20180015. [Google Scholar] [CrossRef]
- Iannella, G.; Magliulo, G.; Lechien, J.R.; Maniaci, A.; Perrone, T.; Frasconi, P.C.; de Vito, A.; Martone, C.; Ferlito, S.; Cocuzza, S.; et al. Impact of COVID-19 pandemic on the incidence of otitis media with effusion in adults and children: A multicenter study. Eur. Arch. Otorhinolaryngol. 2022, 279, 2383–2389. [Google Scholar] [CrossRef]
- Walters, H.; Lee-Warder, L.; Mentias, Y.; Arullendran, P. Cartilage grafts mimicking cholesteatoma recurrence on diffusion-weighted magnetic resonance imaging: A case series. J. Laryngol. Otol. 2023, 137, 938–941. [Google Scholar] [CrossRef]
- Jindal, M.; Riskalla, A.; Jiang, D.; Connor, S.; O’Connor, A.F. A systematic review of diffusion-weighted magnetic resonance imaging in the assessment of postoperative cholesteatoma. Otol. Neurotol. 2011, 32, 1243–1249. [Google Scholar] [CrossRef] [PubMed]
- Ferlito, S.; La Mantia, I.; Caruso, S.; Cammaroto, G.; Chiesa-Estomba, C.M.; Iannella, G.; Nocera, F.; Ingrassia, A.; Cocuzza, S.; Vicini, C.; et al. High Definition Three-Dimensional Exoscope (VITOM 3D) in E.N.T. Surgery: A Systematic Review of Current Experience. J. Clin. Med. 2022, 11, 3639. [Google Scholar] [CrossRef] [PubMed]








| Variable | Mesh | PORP | TORP |
|---|---|---|---|
| Age | 38.77 (sd = 20.60, min = 26.64, max = 62.56) | 47.62 (sd = 23.22, min = 5.20, max = 78.51) | 43.03 (sd = 25.83, min = 12.53, max = 92.45) |
| Sex | |||
| m | 1 (33%) | 7 (50%) | 6 (55%) |
| w | 2 (67%) | 7 (50%) | 5 (45%) |
| Size of artifact | 3.60 (sd = 1.01, min = 2.50, max = 4.50) | 3.11 (sd = 0.54, min = 2.20, max = 4.50) | 4.74 (sd = 0.77, min = 3.90, max = 6.10) |
| Size of implant | |||
| 0.1 | 3 (100%) | 0 (0%) | 0 (0%) |
| 1.5 | 0 (0%) | 3 (21%) | 0 (0%) |
| 2 | 0 (0%) | 9 (64%) | 0 (0%) |
| 2.5 | 0 (0%) | 2 (14%) | 0 (0%) |
| 3 | 0 (0%) | 0 (0%) | 1 (9.1%) |
| 3.5 | 0 (0%) | 0 (0%) | 6 (55%) |
| 3.75 | 0 (0%) | 0 (0%) | 1 (9.1%) |
| 4 | 0 (0%) | 0 (0%) | 3 (27%) |
| Prosthesis Size | Artifact Size | ||
|---|---|---|---|
| T1/T2 | Non-EPI DWI Sequence | ||
| PORP | 2.0 mm | 3.1 mm | 5.4 mm |
| TORP | 3.6 mm | 4.7 mm | 7.2 mm |
| Mesh | 0.1 mm | 3.6 mm | 5.8 mm |
| Regression Analysis | ||||
|---|---|---|---|---|
| Estimate Std. | Error | t Value | Pr (>|t|) | |
| Intercept | 1.547 | 1.031 | 1.501 | 0.149 |
| Implant_size | 0.876 | 0.444 | 1.975 | 0.062 |
| implantTORP | 0.162 | 0.765 | 0.212 | 0.834 |
| age | −0.003 | 0.006 | −0.494 | 0.627 |
| sexw | −0.042 | 0.261 | −0.162 | 0.873 |
Disclaimer/Publisher’s Note: The statements, opinions and data contained in all publications are solely those of the individual author(s) and contributor(s) and not of MDPI and/or the editor(s). MDPI and/or the editor(s) disclaim responsibility for any injury to people or property resulting from any ideas, methods, instructions or products referred to in the content. |
© 2025 by the authors. Licensee MDPI, Basel, Switzerland. This article is an open access article distributed under the terms and conditions of the Creative Commons Attribution (CC BY) license (https://creativecommons.org/licenses/by/4.0/).
Share and Cite
Pfeiffer, C.J.; Mihailovic, D.; Gehl, H.-B.; Scholtz, L.-U.; Kilgue, A.; Riemann, C.; Voeltz, D.; Todt, I. Effect of Titanium Artifacts on Cholesteatoma in Magnetic Resonance Imaging After Reconstruction of the Middle Ear. J. Clin. Med. 2025, 14, 2995. https://doi.org/10.3390/jcm14092995
Pfeiffer CJ, Mihailovic D, Gehl H-B, Scholtz L-U, Kilgue A, Riemann C, Voeltz D, Todt I. Effect of Titanium Artifacts on Cholesteatoma in Magnetic Resonance Imaging After Reconstruction of the Middle Ear. Journal of Clinical Medicine. 2025; 14(9):2995. https://doi.org/10.3390/jcm14092995
Chicago/Turabian StylePfeiffer, Christoph J., Denis Mihailovic, Hans-Björn Gehl, Lars-Uwe Scholtz, Alexander Kilgue, Conrad Riemann, Dina Voeltz, and Ingo Todt. 2025. "Effect of Titanium Artifacts on Cholesteatoma in Magnetic Resonance Imaging After Reconstruction of the Middle Ear" Journal of Clinical Medicine 14, no. 9: 2995. https://doi.org/10.3390/jcm14092995
APA StylePfeiffer, C. J., Mihailovic, D., Gehl, H.-B., Scholtz, L.-U., Kilgue, A., Riemann, C., Voeltz, D., & Todt, I. (2025). Effect of Titanium Artifacts on Cholesteatoma in Magnetic Resonance Imaging After Reconstruction of the Middle Ear. Journal of Clinical Medicine, 14(9), 2995. https://doi.org/10.3390/jcm14092995

