The Multidisciplinary Approach to Acute Necrotizing Pancreatitis
Abstract
1. Introduction
2. Severity Assessment in AP
- Mild Acute Pancreatitis (MAP): No organ failure, no local or systemic complications, typically resolves within a few days with supportive care.
- Moderately Severe Acute Pancreatitis (MSAP): Transient organ failure (resolves within 48 h), local or systemic complications (e.g., peripancreatic fluid collections, necrosis, infection), may require longer hospitalization but generally has a good prognosis.
- Severe Acute Pancreatitis (SAP): Persistent organ failure (>48 h), affecting at least one of the following: Respiratory (PaO2/FiO2 < 300)/Cardiovascular (systolic BP < 90 mmHg, unresponsive to fluids)/Renal (creatinine > 1.9 mg/dL). SAP poses high risk of mortality and multi-organ failure.
2.1. Scoring Systems for Severity Assessment
2.2. Approach to Imaging Studies in AP
2.3. Classification of Necrotizing Pancreatitis Peripancreatic Collections
- Acute peripancreatic fluid collection:
- 2.
- Pancreatic pseudocyst:
- 3.
- Acute necrotic pancreatic collections:
- 4.
- Walled-off necrosis (WON):
3. The Treatment Approach for Acute Necrotizing Pancreatitis (ANP)
3.1. Fluid Resuscitation
3.2. Nutrition
3.3. Antibiotics
3.4. Drainage of Peripancreatic Necrotic Collection
- Infection of the collection: Confirmed by positive Gram staining or bacterial growth from a culture obtained from the collection fluid.
- High clinical suspicion of infection: Based on clinical deterioration and progression to multi-organ failure, failure to thrive, or evidence of gas within the collection on imaging studies.
- Symptoms resulting from the collection’s pressure on adjacent organs: These may include gastric outlet obstruction or impairment of biliary drainage. Examples of symptoms indicating the need for drainage include nausea, vomiting, early satiety, abdominal fullness, weight loss, and persistent abdominal pain [20].
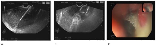
4. The Approach to Drainage of Pancreatic Necrotic Collections
5. Percutaneous Catheter Drainage (PCD)
6. Necrotic Peripancreatic Collection Debridement
7. Predictors for Necrosectomy Debridement
- DEN vs. video-assisted retroperitoneal debridement (VARD):
- 2.
- DEN vs. percutaneous drainage:
- 3.
- DEN vs. open surgical debridement:
8. Debridement Optimization
9. Endoscopic Step-Up Therapy
10. Timing of Direct Endoscopic Necrosectomy (DEN) of Walled-Off Necrosis (WON)
11. Emerging and Future Innovations in DEN
12. Summary
Funding
Conflicts of Interest
References
- Tenner, S.; Baillie, J.; DeWitt, J.; Vege, S.S.; American College of Gastroenterology. American College of Gastroenterology guideline: Management of acute pancreatitis. Am. J. Gastroenterol. 2013, 108, 1400–1415. [Google Scholar] [CrossRef] [PubMed]
- Yu, L.; Xie, F.; Luo, L.; Lei, Y.; Huang, X.; Yang, X.; Zhu, Y.; He, C.; Li, N.; He, W.; et al. Clinical characteristics and risk factors of organ failure and death in necrotizing pancreatitis. BMC Gastroenterol. 2023, 23, 19. [Google Scholar] [CrossRef] [PubMed]
- Management of Infected Pancreatic Necrosis in the Intensive Care Unit: A Narrative Review—PubMed. Available online: https://pubmed-ncbi-nlm-nih-gov.beilinson.idm.oclc.org/31238118/ (accessed on 19 December 2024).
- De Souza, G.D.; Souza, L.R.Q.; Cuenca, R.M.; Jerônimo, B.S.d.M.; de Souza, G.M.; Vilela, V.M. Understanding the international consensus for acute pancreatitis: Classification of Atlanta 2012. Arq. Bras. Cir. Dig. 2016, 29, 206–210. [Google Scholar] [CrossRef] [PubMed]
- Tenner, S.; Vege, S.S.; Sheth, S.G.; Sauer, B.; Yang, A.; Conwell, D.L.; Yadlapati, R.H.; Gardner, T.B. American College of Gastroenterology Guidelines: Management of Acute Pancreatitis. Am. J. Gastroenterol. 2024, 119, 419–437. [Google Scholar] [CrossRef]
- Sun, H.; Zuo, H.-D.; Lin, Q.; Yang, D.-D.; Zhou, T.; Tang, M.-Y.; Wáng, Y.X.J.; Zhang, X.-M. MR imaging for acute pancreatitis: The current status of clinical applications. Ann. Transl. Med. 2019, 7, 269. [Google Scholar] [CrossRef]
- Kamal, A.; Singh, V.K.; Akshintala, V.S.; Kawamoto, S.; Tsai, S.; Haider, M.; Fishman, E.K.; Kamel, I.R.; Zaheer, A. CT and MRI assessment of symptomatic organized pancreatic fluid collections and pancreatic duct disruption: An interreader variability study using the revised Atlanta classification 2012. Abdom. Imaging 2015, 40, 1608–1616. [Google Scholar] [CrossRef]
- Banks, P.A.; Bollen, T.L.; Dervenis, C.; Gooszen, H.G.; Johnson, C.D.; Sarr, M.G.; Tsiotos, G.G.; Vege, S.S.; Acute Pancreatitis Classification Working Group. Classification of acute pancreatitis—2012: Revision of the Atlanta classification and definitions by international consensus. Gut 2013, 62, 102–111. [Google Scholar] [CrossRef]
- Koo, J.G.; Liau, M.Y.Q.; Kryvoruchko, I.A.; Habeeb, T.A.; Chia, C.; Shelat, V.G. Pancreatic pseudocyst: The past, the present, and the future. World J. Gastrointest. Surg. 2024, 16, 1986–2002. [Google Scholar] [CrossRef]
- Baron, T.H.; DiMaio, C.J.; Wang, A.Y.; Morgan, K.A. American Gastroenterological Association Clinical Practice Update: Management of Pancreatic Necrosis. Gastroenterology 2020, 158, 67–75.e1. [Google Scholar] [CrossRef]
- Boumitri, C.; Brown, E.; Kahaleh, M. Necrotizing Pancreatitis: Current Management and Therapies. Clin. Endosc. 2017, 50, 357–365. [Google Scholar] [CrossRef]
- de-Madaria, E.; Buxbaum, J.L.; Maisonneuve, P.; García García de Paredes, A.; Zapater, P.; Guilabert, L.; Vaillo-Rocamora, A.; Rodríguez-Gandía, M.Á.; Donate-Ortega, J.; Lozada-Hernández, E.E.; et al. Aggressive or Moderate Fluid Resuscitation in Acute Pancreatitis. N. Engl. J. Med. 2022, 387, 989–1000. [Google Scholar] [CrossRef] [PubMed]
- Arvanitakis, M.; Dumonceau, J.-M.; Albert, J.; Badaoui, A.; Bali, M.A.; Barthet, M.; Besselink, M.; Deviere, J.; Oliveira Ferreira, A.; Gyökeres, T.; et al. Endoscopic management of acute necrotizing pancreatitis: European Society of Gastrointestinal Endoscopy (ESGE) evidence-based multidisciplinary guidelines. Endoscopy 2018, 50, 524–546. [Google Scholar] [CrossRef] [PubMed]
- Capurso, G.; Zerboni, G.; Signoretti, M.; Valente, R.; Stigliano, S.; Piciucchi, M.; Delle Fave, G. Role of the gut barrier in acute pancreatitis. J. Clin. Gastroenterol. 2012, 46, S46–S51. [Google Scholar] [CrossRef] [PubMed]
- Arvanitakis, M.; Ockenga, J.; Bezmarevic, M.; Gianotti, L.; Krznarić, Ž.; Lobo, D.N.; Löser, C.; Madl, C.; Meier, R.; Phillips, M.; et al. ESPEN guideline on clinical nutrition in acute and chronic pancreatitis. Clin. Nutr. Edinb. Scotl. 2020, 39, 612–631. [Google Scholar] [CrossRef]
- Boxhoorn, L.; Voermans, R.P.; Bouwense, S.A.; Bruno, M.J.; Verdonk, R.C.; Boermeester, M.A.; van Santvoort, H.C.; Besselink, M.G. Acute pancreatitis. Lancet 2020, 396, 726–734. [Google Scholar] [CrossRef]
- Wang, M.; Wei, A.; Guo, Q.; Zhang, Z.; Lu, H.; Li, A.; Hu, W. Clinical outcomes of combined necrotizing pancreatitis versus extrapancreatic necrosis alone. Pancreatology 2016, 16, 57–65. [Google Scholar] [CrossRef]
- Slavin, J.; Ghaneh, P.; Sutton, R.; Hartley, M.; Rowlands, P.; Garvey, C.; Hughes, M.; Neoptolemos, J. Management of necrotizing pancreatitis. World J. Gastroenterol. 2001, 7, 476–481. [Google Scholar] [CrossRef]
- Xiao, N.-J.; Cui, T.-T.; Liu, F.; Li, W. Current status of treatments of pancreatic and peripancreatic collections of acute pancreatitis. World J. Gastrointest. Surg. 2021, 13, 633–644. [Google Scholar] [CrossRef]
- ASGE Standards of Practice Committee; Muthusamy, V.R.; Chandrasekhara, V.; Acosta, R.D.; Bruining, D.H.; Chathadi, K.V.; Eloubeidi, M.A.; Faulx, A.L.; Fonkalsrud, L.; Gurudu, S.R.; et al. The role of endoscopy in the diagnosis and treatment of inflammatory pancreatic fluid collections. Gastrointest. Endosc. 2016, 83, 481–488. [Google Scholar] [CrossRef]
- Baron, T.H.; Thaggard, W.G.; Morgan, D.E.; Stanley, R.J. Endoscopic therapy for organized pancreatic necrosis. Gastroenterology 1996, 111, 755–764. [Google Scholar] [CrossRef]
- Bang, J.Y.; Arnoletti, J.P.; Holt, B.A.; Sutton, B.; Hasan, M.K.; Navaneethan, U.; Feranec, N.; Wilcox, C.M.; Tharian, B.; Hawes, R.H.; et al. An Endoscopic Transluminal Approach, Compared with Minimally Invasive Surgery, Reduces Complications and Costs for Patients with Necrotizing Pancreatitis. Gastroenterology 2019, 156, 1027–1040.e3. [Google Scholar] [CrossRef] [PubMed]
- Boxhoorn, L.; van Dijk, S.M.; van Grinsven, J.; Verdonk, R.C.; Boermeester, M.A.; Bollen, T.L.; Bouwense, S.A.W.; Bruno, M.J.; Cappendijk, V.C.; Dejong, C.H.C.; et al. Immediate versus Postponed Intervention for Infected Necrotizing Pancreatitis. N. Engl. J. Med. 2021, 385, 1372–1381. [Google Scholar] [CrossRef] [PubMed]
- Tyberg, A.; Karia, K.; Gabr, M.; Desai, A.; Doshi, R.; Gaidhane, M.; Sharaiha, R.Z.; Kahaleh, M. Management of pancreatic fluid collections: A comprehensive review of the literature. World J. Gastroenterol. 2016, 22, 2256–2270. [Google Scholar] [CrossRef] [PubMed]
- Lang, G.D.; Fritz, C.; Bhat, T.; Das, K.K.; Murad, F.M.; Early, D.S.; Edmundowicz, S.A.; Kushnir, V.M.; Mullady, D.K. EUS-guided drainage of peripancreatic fluid collections with lumen-apposing metal stents and plastic double-pigtail stents: Comparison of efficacy and adverse event rates. Gastrointest. Endosc. 2018, 87, 150–157. [Google Scholar] [CrossRef]
- Abu Dayyeh, B.K.; Mukewar, S.; Majumder, S.; Zaghlol, R.; Vargas Valls, E.J.; Bazerbachi, F.; Levy, M.J.; Baron, T.H.; Gostout, C.J.; Petersen, B.T.; et al. Large-caliber metal stents versus plastic stents for the management of pancreatic walled-off necrosis. Gastrointest. Endosc. 2018, 87, 141–149. [Google Scholar] [CrossRef]
- Rinninella, E.; Kunda, R.; Dollhopf, M.; Sanchez-Yague, A.; Will, U.; Tarantino, I.; Gornals Soler, J.; Ullrich, S.; Meining, A.; Esteban, J.M.; et al. EUS-guided drainage of pancreatic fluid collections using a novel lumen-apposing metal stent on an electrocautery-enhanced delivery system: A large retrospective study (with video). Gastrointest. Endosc. 2015, 82, 1039–1046. [Google Scholar] [CrossRef]
- Siddiqui, A.A.; Adler, D.G.; Nieto, J.; Shah, J.N.; Binmoeller, K.F.; Kane, S.; Yan, L.; Laique, S.N.; Kowalski, T.; Loren, D.E.; et al. EUS-guided drainage of peripancreatic fluid collections and necrosis by using a novel lumen-apposing stent: A large retrospective, multicenter U.S. experience (with videos). Gastrointest. Endosc. 2016, 83, 699–707. [Google Scholar] [CrossRef]
- van Brunschot, S.; van Grinsven, J.; van Santvoort, H.C.; Bakker, O.J.; Besselink, M.G.; Boermeester, M.A.; Bollen, T.L.; Bosscha, K.; Bouwense, S.A.; Bruno, M.J.; et al. Endoscopic or surgical step-up approach for infected necrotising pancreatitis: A multicentre randomised trial. Lancet 2018, 391, 51–58. [Google Scholar] [CrossRef]
- van Santvoort, H.C.; Besselink, M.G.; Bakker, O.J.; Hofker, H.S.; Boermeester, M.A.; Dejong, C.H.; van Goor, H.; Schaapherder, A.F.; van Eijck, C.H.; Bollen, T.L.; et al. A Step-Up Approach or Open Necrosectomy for Necrotizing Pancreatitis. N. Engl. J. Med. 2010, 362, 1491–1502. [Google Scholar] [CrossRef]
- Gluck, M.; Ross, A.; Irani, S.; Lin, O.; Gan, S.I.; Fotoohi, M.; Hauptmann, E.; Crane, R.; Siegal, J.; Robinson, D.H.; et al. Dual modality drainage for symptomatic walled-off pancreatic necrosis reduces length of hospitalization, radiological procedures, and number of endoscopies compared to standard percutaneous drainage. J. Gastrointest. Surg. Off. J. Soc. Surg. Aliment. Tract 2012, 16, 248–256; discussion 256–257. [Google Scholar] [CrossRef]
- Beger, H.G.; Büchler, M.; Bittner, R.; Oettinger, W.; Block, S.; Nevalainen, T. Necrosectomy and postoperative local lavage in patients with necrotizing pancreatitis: Results of a prospective clinical trial. World J. Surg. 1988, 12, 255–262. [Google Scholar] [CrossRef] [PubMed]
- Varadarajulu, S.; Christein, J.D.; Wilcox, C.M. Frequency of complications during EUS-guided drainage of pancreatic fluid collections in 148 consecutive patients. J. Gastroenterol. Hepatol. 2011, 26, 1504–1508. [Google Scholar] [CrossRef] [PubMed]
- Varadarajulu, S.; Bang, J.Y.; Sutton, B.S.; Trevino, J.M.; Christein, J.D.; Wilcox, C.M. Equal efficacy of endoscopic and surgical cystogastrostomy for pancreatic pseudocyst drainage in a randomized trial. Gastroenterology 2013, 145, 583–590.e1. [Google Scholar] [CrossRef] [PubMed]
- Tamura, T.; Itonaga, M.; Tanioka, K.; Kawaji, Y.; Nuta, J.; Hatamaru, K.; Yamashita, Y.; Yoshida, T.; Ida, Y.; Maekita, T.; et al. Radical treatment for walled-off necrosis: Transmural nasocyst continuous irrigation. Dig. Endosc. Off. J. Jpn. Gastroenterol. Endosc. Soc. 2019, 31, 307–315. [Google Scholar] [CrossRef]
- Papachristou, G.I.; Takahashi, N.; Chahal, P.; Sarr, M.G.; Baron, T.H. Peroral endoscopic drainage/debridement of walled-off pancreatic necrosis. Ann. Surg. 2007, 245, 943–951. [Google Scholar] [CrossRef]
- Bakker, O.J.; van Santvoort, H.C.; van Brunschot, S.; Geskus, R.B.; Besselink, M.G.; Bollen, T.L.; van Eijck, C.H.; Fockens, P.; Hazebroek, E.J.; Nijmeijer, R.M.; et al. Endoscopic transgastric vs surgical necrosectomy for infected necrotizing pancreatitis: A randomized trial. JAMA 2012, 307, 1053–1061. [Google Scholar] [CrossRef]
- Samanta, J.; Dhar, J.; Muktesh, G.; Gupta, P.; Kumar-M, P.; Das, A.; Agarwala, R.; Bellam, B.L.; Chauhan, R.; Kumar, K.H.; et al. Endoscopic drainage versus percutaneous drainage for the management of infected walled-off necrosis: A comparative analysis. Expert Rev. Gastroenterol. Hepatol. 2022, 16, 297–305. [Google Scholar] [CrossRef]
- Messallam, A.A.; Adler, D.G.; Shah, R.J.; Nieto, J.M.; Moran, R.; Elmunzer, B.J.; Cosgrove, N.; Mullady, D.; Singh, H.; Cote, G.; et al. Direct Endoscopic Necrosectomy with and Without Hydrogen Peroxide for Walled-off Pancreatic Necrosis: A Multicenter Comparative Study. Am. J. Gastroenterol. 2021, 116, 700–709. [Google Scholar] [CrossRef]
- Lariño-Noia, J.; de la Iglesia-García, D.; González-Lopez, J.; Díaz-Lopez, J.; Macías-García, F.; Mejuto, R.; Quiroga, A.; Mauriz, V.; Jardí, A.; Iglesias-García, J.; et al. Endoscopic drainage with local infusion of antibiotics to avoid necrosectomy of infected walled-off necrosis. Surg. Endosc. 2021, 35, 644–651. [Google Scholar] [CrossRef]
- Powers, P.C.; Siddiqui, A.; Sharaiha, R.Z.; Yang, G.; Dawod, E.; Novikov, A.A.; Javia, A.; Edirisuriya, C.; Noor, A.; Mumtaz, T.; et al. Discontinuation of proton pump inhibitor use reduces the number of endoscopic procedures required for resolution of walled-off pancreatic necrosis. Endosc. Ultrasound 2019, 8, 194–198. [Google Scholar] [CrossRef]
- Hollemans, R.A.; Bakker, O.J.; Boermeester, M.A.; Bollen, T.L.; Bosscha, K.; Bruno, M.J.; Buskens, E.; Dejong, C.H.; van Duijvendijk, P.; van Eijck, C.H.; et al. Superiority of Step-up Approach vs Open Necrosectomy in Long-term Follow-up of Patients with Necrotizing Pancreatitis. Gastroenterology 2019, 156, 1016–1026. [Google Scholar] [CrossRef] [PubMed]
- Onnekink, A.M.; Boxhoorn, L.; Timmerhuis, H.C.; Bac, S.T.; Besselink, M.G.; Boermeester, M.A.; Bollen, T.L.; Bosscha, K.; Bouwense, S.A.W.; Bruno, M.J.; et al. Endoscopic versus surgical step-up approach for infected necrotizing pancreatitis (ExTENSION): Long-term follow-up of a randomized trial. Gastroenterology 2022, 163, 712–722.e14. [Google Scholar] [CrossRef] [PubMed]
- Bang, J.Y.; Lakhtakia, S.; Thakkar, S.; Buxbaum, J.L.; Waxman, I.; Sutton, B.; Memon, S.F.; Singh, S.; Basha, J.; Singh, A.; et al. Upfront endoscopic necrosectomy or step-up endoscopic approach for infected necrotising pancreatitis (DESTIN): A single-blinded, multicentre, randomised trial. Lancet Gastroenterol. Hepatol. 2024, 9, 22–33. [Google Scholar] [CrossRef]
- Sato, T.; Saito, T.; Takenaka, M.; Iwashita, T.; Shiomi, H.; Fujisawa, T.; Hayashi, N.; Iwata, K.; Maruta, A.; Mukai, T.; et al. WONDER-01: Immediate necrosectomy vs. drainage-oriented step-up approach after endoscopic ultrasound-guided drainage of walled-off necrosis-study protocol for a multicentre randomised controlled trial. Trials 2023, 24, 352. [Google Scholar] [CrossRef]
- Nemoto, Y.; Attam, R.; Arain, M.A.; Trikudanathan, G.; Mallery, S.; Beilman, G.J.; Freeman, M.L. Interventions for walled off necrosis using an algorithm based endoscopic step-up approach: Outcomes in a large cohort of patients. Pancreatology 2017, 17, 663–668. [Google Scholar] [CrossRef]
- Pavlek, G.; Romic, I.; Kekez, D.; Zedelj, J.; Bubalo, T.; Petrovic, I.; Deban, O.; Baotic, T.; Separovic, I.; Strajher, I.M.; et al. Step-Up versus Open Approach in the Treatment of Acute Necrotizing Pancreatitis: A Case-Matched Analysis of Clinical Outcomes and Long-Term Pancreatic Sufficiency. J. Clin. Med. 2024, 13, 3766. [Google Scholar] [CrossRef]
- van der Wiel, S.E.; Poley, J.-W.; Grubben, M.J.A.L.; Bruno, M.J.; Koch, A.D. The EndoRotor, a novel tool for the endoscopic management of pancreatic necrosis. Endoscopy 2018, 50, E240–E241. [Google Scholar] [CrossRef]
- Ramai, D.; Ahmed, Z.; Chandan, S.; Facciorusso, A.; Deliwala, S.S.; Alastal, Y.; Nawras, A.; Maida, M.; Barakat, M.T.; Anderloni, A.; et al. Safety and efficacy of the EndoRotor device for the treatment of walled-off pancreatic necrosis after EUS-guided cystenterostomy: A systematic review and meta-analysis. Endosc. Ultrasound 2024, 13, 165–170. [Google Scholar] [CrossRef]
- Ligresti, D.; Binda, C.; Fugazza, A.; Maida, M.; Traina, M.; Anderloni, A.; Fabbri, C.; Tarantino, I. Direct endoscopic necrosectomy: Pilot study of a new dedicated device. Endosc. Int. Open 2024, 12, E962–E967. [Google Scholar] [CrossRef]
- Yachimski, P.; Landewee, C.A.; Campisano, F.; Valdastri, P.; Obstein, K.L. The waterjet necrosectomy device for endoscopic management of pancreatic necrosis: Design, development, and preclinical testing (with videos). Gastrointest. Endosc. 2020, 92, 770–775. [Google Scholar] [CrossRef]


| Treatment Approach | Key Points |
| Fluid Resuscitation |
|
| Nutrition |
|
| Antibiotics |
|
| Drainage of Necrotic Collection |
|
| Necrotic Tissue Debridement |
|
Disclaimer/Publisher’s Note: The statements, opinions and data contained in all publications are solely those of the individual author(s) and contributor(s) and not of MDPI and/or the editor(s). MDPI and/or the editor(s) disclaim responsibility for any injury to people or property resulting from any ideas, methods, instructions or products referred to in the content. |
© 2025 by the authors. Licensee MDPI, Basel, Switzerland. This article is an open access article distributed under the terms and conditions of the Creative Commons Attribution (CC BY) license (https://creativecommons.org/licenses/by/4.0/).
Share and Cite
Ben-Ami Shor, D.; Ritter, E.; Borkovsky, T.; Santo, E. The Multidisciplinary Approach to Acute Necrotizing Pancreatitis. J. Clin. Med. 2025, 14, 2904. https://doi.org/10.3390/jcm14092904
Ben-Ami Shor D, Ritter E, Borkovsky T, Santo E. The Multidisciplinary Approach to Acute Necrotizing Pancreatitis. Journal of Clinical Medicine. 2025; 14(9):2904. https://doi.org/10.3390/jcm14092904
Chicago/Turabian StyleBen-Ami Shor, Dana, Einat Ritter, Tom Borkovsky, and Erwin Santo. 2025. "The Multidisciplinary Approach to Acute Necrotizing Pancreatitis" Journal of Clinical Medicine 14, no. 9: 2904. https://doi.org/10.3390/jcm14092904
APA StyleBen-Ami Shor, D., Ritter, E., Borkovsky, T., & Santo, E. (2025). The Multidisciplinary Approach to Acute Necrotizing Pancreatitis. Journal of Clinical Medicine, 14(9), 2904. https://doi.org/10.3390/jcm14092904

