Management of Extra-Pelvic Varicose Veins of Pelvic Origin in Female Patients
Abstract
1. Introduction
2. Diagnostics
2.1. Duplex Ultrasound of the Pelvic Escape Points
2.2. Duplex Ultrasonography of Pelvic Veins
2.2.1. Transvaginal Ultrasonography
2.2.2. Transabdominal Ultrasonography
2.3. Advanced Diagnostics
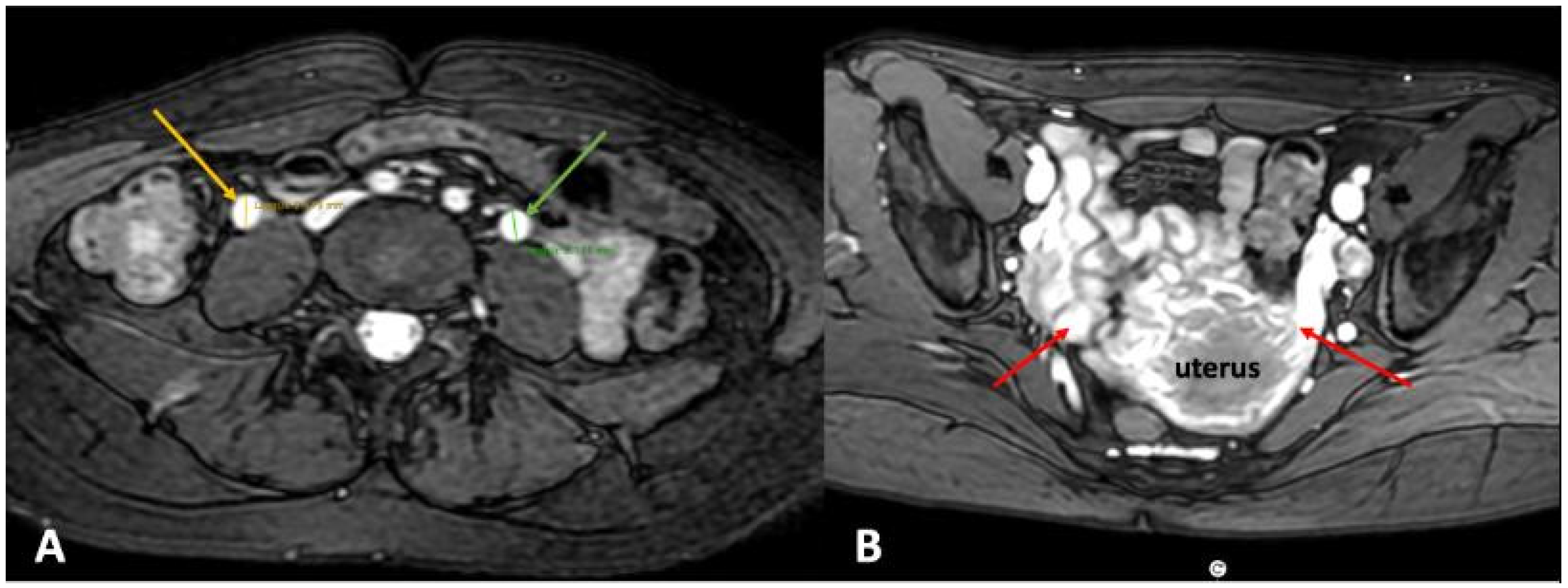
2.3.1. Cross-Sectional Imaging
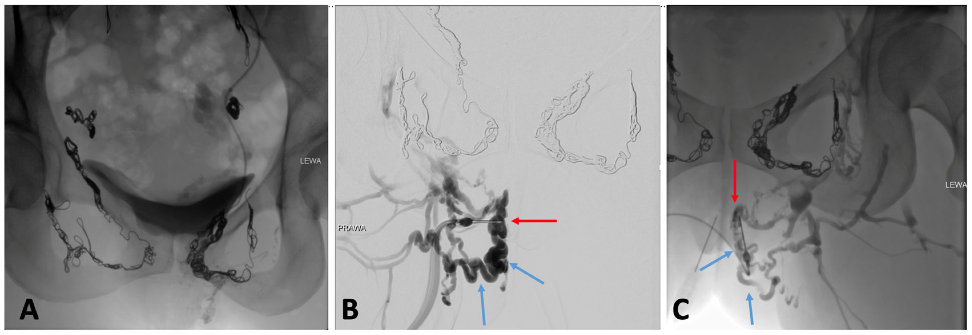
2.3.2. Catheter Venography and Intravascular Ultrasound
3. Treatment of Patients with Extra-Pelvic VVs of Pelvic Origin
3.1. Treatment of Patients Without Pelvic Symptoms
3.2. Treatment of Patients with Pelvic Symptoms
4. Conclusions
Author Contributions
Funding
Institutional Review Board Statement
Informed Consent Statement
Data Availability Statement
Conflicts of Interest
References
- Meissner, M.H.; Khilnani, N.M.; Labropoulos, N.; Gasparis, A.P.; Gibson, K.; Greiner, M.; Learman, L.A.; Atashroo, D.; Lurie, F.; Passman, M.A.; et al. The symptoms-varices-pathophysiology classification of pelvic venous disorders: A report of the American Vein & Lymphatic Society International Working Group on Pelvic Venous Disorders. J. Vasc. Surg. Venous Lymphat. Disord. 2021, 9, 568–584. [Google Scholar]
- De Maeseneer, M.G.; Kakkos, S.K.; Aherne, T.; Baekgaard, N.; Black, S.; Blomgren, L.; Giannoukas, A.; Gohel, M.; de Graaf, R.; Hamel-Desnos, C.; et al. Editor’s Choice—European Society for Vascular Surgery (ESVS) 2022 clinical practice guidelines on the management of chronic venous disease of the lower limbs. Eur. J. Vasc. Endovasc. Surg. 2022, 63, 184–267. [Google Scholar] [CrossRef] [PubMed]
- Antignani, P.-L.; Lazarashvili, Z.; Monedero, J.L.; Ezpeleta, S.Z.; Whiteley, M.S.; Khilnani, N.M.; Meissner, M.H.; Wittens, C.H.; Kurstjens, R.L.; Belova, L.; et al. Diagnosis and treatment of pelvic congestion syndrome: UIP consensus document. Int. Angiol. 2019, 38, 265–283. [Google Scholar] [CrossRef]
- Balian, E.; Lasry, J.L.; Coppe, G.; Borie, H.; Leroux, A.; Bryon, D.; Kovarsky, S. Pelviperineal venous insufficiency and varicose veins of the lower limbs. Phlebolymphology 2008, 15, 17–26. [Google Scholar]
- Asciutto, G. Pelvic vein incompetence: A review of diagnosis and treatment. Phlebolymphology 2012, 19, 84–90. [Google Scholar]
- LePage, P.A.; Villavicencio, J.L.; Gomez, E.R.; Sheridan, M.N.; Rich, N.M. The valvular anatomy of the iliac venous system and its clinical implications. J. Vasc. Surg. 1991, 14, 678–683. [Google Scholar] [CrossRef] [PubMed]
- As-Sanie, S. Chronic Pelvic Pain in Non-Pregnant Adult Females: Causes. UpToDate. 2020. Available online: https://www.uptodate.com/contents/chronic-pelvic-pain-in-nonpregnant-adult-females-causes (accessed on 20 December 2024).
- Perry, C.P. Current Concepts of Pelvic Congestion and Chronic Pelvic Pain. JSLS 2001, 5, 105–110. [Google Scholar] [PubMed]
- Asciutto, G.; Mumme, A.; Asciutto, K.C.; Geier, B. Oestradiol levels in varicose vein blood of patients with and without pelvic vein incompetence (PVI): Diagnostic implications. Eur. J. Vasc. Endovasc. Surg. 2010, 40, 117–121. [Google Scholar] [CrossRef]
- Khilnani, N.M.; Winokur, R.S.; Scherer, K.L.; Meissner, M.H. Clinical presentation and evaluation of pelvicvenous disorders in women. Tech. Vasc. Interv. Radiol. 2021, 24, 100730. [Google Scholar] [CrossRef]
- Gibson, K.; Minjarez, R.; Ferris, B.; Neradilek, M.; Wise, M.; Stoughton, J.; Meissner, M. Clinical presentation of women with pelvic source varicose veins in the perineum as a first step in the development of a disease-specific patient assessment tool. J. Vasc. Surg. Venous Lymphat. Disord. 2017, 5, 493–499. [Google Scholar] [CrossRef]
- Ahuja, R.S.; Garg, T.; Sudheendra, D. Management of patients when superficial venous disease arises from pelvic escape points. Semin. Interv. Radiol. 2021, 38, 226–232. [Google Scholar] [CrossRef] [PubMed]
- Gavrilov, S.G. Vulvar varicosities: Diagnosis, treatment, and prevention. Int. J. Womens Health 2017, 9, 463–475. [Google Scholar] [CrossRef] [PubMed]
- Kim, A.S.; Greyling, L.A.; Davis, L.S. Vulvar varicosities: A review. Dermatol. Surg. 2017, 43, 351–356. [Google Scholar] [CrossRef]
- Barros, F.S.; Storino, J.; Cardoso da Silva, N.A.; Fernandes, F.F.; Silva, M.B.; Bassetti Soares, A. A comprehensive ultrasound approach to lower limb varicose veins and abdominal-pelvic connections. J. Vasc. Surg. Venous Lymphat. Disord. 2024, 12, 101851. [Google Scholar] [CrossRef]
- Jaworucka-Kaczorowska, A.; Simka, M. Anatomical, Pathophysiological, and Clinical Aspects of Extra-Pelvic Varicose Veins of Pelvic Origin. Diagnostics 2025, 15, 245. [Google Scholar] [CrossRef]
- Mendoza, E.; Stücker, M. Duplex-ultrasound assessment of the saphenofemoral junction. Phlebol. Rev. 2015, 23, 78–85. [Google Scholar] [CrossRef]
- Simka, M.; Czaja, J.; Kawalec, A. Clinical anatomy of the lower extremity veins- topography, embryology, anatomical variability, and undergraduate educational challenges. Anatomia 2024, 3, 136–154. [Google Scholar] [CrossRef]
- Francheschi, C.; Bahnini, A. Treatment of lower extremity venous insufficiency due to pelvic leak points in women. Ann. Vasc. Surg. 2005, 19, 284–288. [Google Scholar] [CrossRef] [PubMed]
- Jaworucka-Kaczorowska, A. Pelvic escape points: Bottom-up is the way to go. Turk. J. Vasc. Surg. 2023, 32 (Suppl. S1), 14–19. [Google Scholar] [CrossRef]
- Delfrate, R. Anatomy of pelvic leak points in the context of varicose veins. Phlebologie 2021, 50, 42–50. [Google Scholar] [CrossRef]
- Gianesini, S.; Antignani, P.L.; Tessari, L. Pelvic congestion syndrome: Does one name fit all? Phlebolymphology 2016, 23, 142–145. [Google Scholar]
- Gloviczki, P.; Lawrence, P.F.; Wasan, S.M.; Meissner, M.H.; Almeida, J.; Brown, K.R.; Bush, R.L.; Di Iorio, M.; Fish, J.; Fukaya, E.; et al. The 2023 Society for Vascular Surgery, American Venous Forum, and American Vein and Lymphatic Society clinical practice guidelines for the management of varicose veins of the lower extremities. Part II: Endorsed by the Society of Interventional Radiology and the Society for Vascular Medicine. J. Vasc. Surg. Venous Lymphat. Disord. 2024, 12, 101670, Erratum in J. Vasc. Surg. Venous Lymphat. Disord. 2024, 12, 101923. [Google Scholar] [CrossRef] [PubMed] [PubMed Central]
- Jaworucka-Kaczorowska, A. Chronic pelvic pain and pelvic venous disorders: The gynecologist’s point of view. Phlebolymphology 2023, 40, 40–47. [Google Scholar]
- Whiteley, M.S.; Dos Santos, S.J.; Harrison, C.C.; Holdstoock, J.M.; Lopez, J. Transvaginal duplex ultrasonography appears to be the gold standard investigation for the haemodynamic evaluation of pelvic venous reflux in the ovarian and internal iliac veins in women. Phlebology 2015, 30, 706–713. [Google Scholar] [CrossRef]
- Steenbeek, M.P.; van der Vleuten, C.J.M.; Schultze Kool, L.J.; Nieboer, T.E. Noninvasive diagnostic tools for pelvic congestion syndrome: A systematic review. Acta Obstet. Gynecol. Scand. 2018, 97, 776–786. [Google Scholar] [CrossRef]
- Labropoulos, N.; Jasinski, P.T.; Adrahtas, D.; Gasparis, A.P.; Meissner, M.H. A standardized ultrasound approach to pelvic congestion syndrome. Phlebology 2017, 32, 608–619. [Google Scholar] [CrossRef]
- Joh, M.; Desai, K.R. Treatment of Nonthrombotic Iliac Vein Lesions. Semin. Interv. Radiol. 2021, 38, 155–159. [Google Scholar] [CrossRef]
- Desai, K.R.; Sabri, S.S.; Elias, S.; Gagne, P.J.; Garcia, M.J.; Gibson, K.; Kiguchi, M.M.; Mathews, S.J.; Murphy, E.H.; Secemsky, E.A.; et al. Consensus Statement on the Management of Nonthrombotic Iliac Vein Lesions From the VIVA Foundation, the American Venous Forum, and the American Vein and Lymphatic Society. Circ. Cardiovasc. Interv. 2024, 17, e014160, Erratum in Circ. Cardiovasc. Interv. 2024, 17, e000093. [Google Scholar] [CrossRef] [PubMed] [PubMed Central]
- Cuntz, F.; Gebauer, B.; Greiner, A.; Hagedorn, N.; Reschke, M.; Eberl, W.; Zieger, B.; Lindhoff-Last, E.; Holzhauer, S. Current Diagnostic and Therapeutic Approaches in May-Thurner Syndrome in Children, Adolescents, and Young Adults: A Survey among Thrombosis Experts of the German Society of Thrombosis and Haemostasis. Hamostaseologie 2024. [Google Scholar] [CrossRef]
- Lau, I.; Png, C.Y.M.; Eswarappa, M.; Miller, M.; Kumar, S.; Tadros, R.; Vouyouka, A.; Marin, M.; Faries, P.; Ting, W. Defining the utility of anteroposterior venography in the diagnosis of venous iliofemoral obstruction. J. Vasc. Surg. Venous Lymphat. Disord. 2019, 7, 514–521.e4. [Google Scholar] [CrossRef] [PubMed]
- Rabe, E.; Breu, F.; Cavezzi, A.; Smith, P.C.; Frullini, A.; Gillet, J.; Guex, J.; Hamel-Desnos, C.; Kern, P.; Partsch, B.; et al. European guidelines for sclerotherapy in chronic venous disorders. Phlebology 2014, 29, 338–554. [Google Scholar] [CrossRef]
- Jaworucka-Kaczorowska, A.; De Maeseneer, M. Bottom up Treatment for Vulvar and Lower Extremity Varicose Veins of Pelvic Origin: A Case Report. EJVES Vasc. Forum 2025, 63, 53–56. [Google Scholar] [CrossRef]
- Delfrate, R.; Bricchi, M.; Franceschi, C. Minimally-invasive procedure for pelvic leak points in women. Veins Lymphat. 2019, 8, 7789. [Google Scholar] [CrossRef]
- Ninia, J.G. Treatment of vulvar varicosities by injection compression sclerotherapy. Dermatol. Surg. 1997, 23, 573–575. [Google Scholar] [CrossRef]
- Sukovatykh, B.S.; Rodionov, O.A.; Sukovatykh, M.B.; Khodykin, S.P. Diagnosis and treatment of atypical forms of varicose disease of pelvic veins. Vestn. Khir Im. I I Grek. 2008, 167, 43–45. [Google Scholar]
- Creton, D.; Hennequin, L.; Kohler, F.; Allaert, F.A. Embolisation of symptomatic pelvic veins in women presenting with non-saphenous varicose veins of pelvic origin-three-year follow-up. Eur. J. Vasc. Endovasc. Surg. 2007, 34, 112–117. [Google Scholar] [CrossRef]
- Hartung, O. Embolization is essential in the treatment of leg varicosities due to pelvic venous insufficiency. Phlebology 2015, 30, 81–85. [Google Scholar] [CrossRef]
- Castenmiller, P.H.; de Leur, K.; de Jong, T.E.; van der Laan, L. Clinical results after coil embolization of the ovarian vein in patients with primary and recurrent lower-limb varices with respect to vulval varices. Phlebology 2013, 28, 234–238. [Google Scholar] [CrossRef]
- Szary, C.; Wilczko, J.; Bodziony, A.; Celejewski, K.; Swieczkowski-Feiz, S.; Napierala, M.; Plucinska, D.; Zawadzki, M.; Leszczynski, J.; Grzela, T. Does the treatment of pelvic venous insufficiency really not influence lower limb venous disease? Diagnostics 2023, 13, 2467. [Google Scholar] [CrossRef]
- Greiner, M.; Gilling-Smith, G.L. Leg varices originating from the pelvis: Diagnosis and treatment. Vascular 2007, 15, 70–78. [Google Scholar] [CrossRef]
- Brown, C.L.; Rizr, M.; Alexander, R.; Sharpe, E.E.; Rochon, P.J. Pelvic congestion syndrome: Systematic review of treatment success. Semin. Interv. Radiol. 2018, 35, 35–40. [Google Scholar]
- Szary, C.; Wilczko, J.; Bodziony, A.; Celejewski, K.; Swieczkowski-Feiz, S.; Napierala, M.; Plucinska, D.; Zawadzki, M.; Leszczynski, J.; Grzela, T. The relationship between pelvic vein incompetence and chronic pelvic pain in women: Systematic reviews of diagnosis and treatment effectiveness. Health Technol. Assess. 2016, 20, 1–108. [Google Scholar]
- Tiralongo, F.; Distefano, G.; Palermo, M.; Granata, A.; Giurazza, F.; Vacirca, F.; Palmucci, S.; Venturini, M.; Basile, A. Liquid and solid embolic agents in gonadal veins. J. Clin. Med. 2021, 10, 1596. [Google Scholar] [CrossRef]
- Sutanto, S.A.; Tan, M.; Onida, S.; Davies, A.H. A systematic review on isolated coil embolization for pelvic venous reflux. J. Vasc. Surg. Venous Lymphat. Disord. 2022, 10, 224–232.e9. [Google Scholar] [CrossRef] [PubMed]
- Gloviczki, P.; Comerota, A.J.; Dalsing, M.C.; Eklof, B.G.; Gillespie, D.L.; Gloviczki, M.L.; Lohr, J.M.; McLafferty, R.B.; Meissner, M.H.; Murad, M.H.; et al. The care of patients with varicose veins and associated chronic venous diseases: Clinical practice guidelines of the Society for Vascular Surgery and the American Venous Forum. J. Vasc. Surg. 2011, 53 (Suppl. S5), 2S–48S. [Google Scholar] [CrossRef]
- Murali, N.; Gupta, R.; Desai, K.R. The role of iliac vein stent placement in pelvic venous disorder management. J. Vasc. Surg. Venous Lymphat. Disord. 2024, 12, 101696. [Google Scholar] [CrossRef] [PubMed] [PubMed Central]
- Badesha, A.S.; Black, S.A.; Khan, G.; Harper, A.J.; Thulasidasan, N.; Doyle, A.; Khan, T. A meta-analysis of the medium- to long-term outcomes in patients with chronic deep venous disease treated with dedicated venous stents. J. Vasc. Surg. Venous Lymphat. Disord. 2024, 12, 101722. [Google Scholar] [CrossRef]
- Schleimer, K.; Barbati, M.E.; Grommes, J.; Hoeft, K.; Toonder, I.M.; Wittens, C.H.A.; Jalaie, H. Update on diagnosis and treatment strategies in patients with post-thrombotic syndrome due to chronic venous obstruction and role of endovenous recanalization. J. Vasc. Surg. Venous Lymphat. Disord. 2019, 7, 592–600. [Google Scholar] [CrossRef]
- Santoshi, R.K.N.; Lakhanpal, S.; Satwah, V.; Lakhanpal, G.; Malone, M.; Pappas, P.J. Iliac vein stenosis is an underdiagnosed cause of pelvic venous insufficiency. J. Vasc. Surg. Venous Lymphat. Disord. 2018, 6, 202–211. [Google Scholar] [CrossRef]
- Lakhanpal, G.; Kennedy, R.; Lakhanpal, S.; Sulakvelidze, L.; Pappas, P.J. Pelvic venous insufficiency secondary to iliac vein stenosis and ovarian vein reflux treated with iliac vein stenting alone. J. Vasc. Surg. Venous Lymphat. Disord. 2021, 9, 1193–1198. [Google Scholar] [CrossRef]
- Gavrilov, S.G.; Vasilyev, A.V.; Krasavin, G.V.; Moskalenko, Y.P.; Mishakina, N.Y. Endovascular interventions in the treatment of pelvic congestion syndrome caused by May-Thurner syndrome. J. Vasc. Surg. Venous Lymphat. Disord. 2020, 8, 1049–1057. [Google Scholar] [CrossRef]















Disclaimer/Publisher’s Note: The statements, opinions and data contained in all publications are solely those of the individual author(s) and contributor(s) and not of MDPI and/or the editor(s). MDPI and/or the editor(s) disclaim responsibility for any injury to people or property resulting from any ideas, methods, instructions or products referred to in the content. |
© 2025 by the authors. Licensee MDPI, Basel, Switzerland. This article is an open access article distributed under the terms and conditions of the Creative Commons Attribution (CC BY) license (https://creativecommons.org/licenses/by/4.0/).
Share and Cite
Jaworucka-Kaczorowska, A.; Roustazadeh, R.; Simka, M.; Jalaie, H. Management of Extra-Pelvic Varicose Veins of Pelvic Origin in Female Patients. J. Clin. Med. 2025, 14, 2707. https://doi.org/10.3390/jcm14082707
Jaworucka-Kaczorowska A, Roustazadeh R, Simka M, Jalaie H. Management of Extra-Pelvic Varicose Veins of Pelvic Origin in Female Patients. Journal of Clinical Medicine. 2025; 14(8):2707. https://doi.org/10.3390/jcm14082707
Chicago/Turabian StyleJaworucka-Kaczorowska, Aleksandra, Roshanak Roustazadeh, Marian Simka, and Houman Jalaie. 2025. "Management of Extra-Pelvic Varicose Veins of Pelvic Origin in Female Patients" Journal of Clinical Medicine 14, no. 8: 2707. https://doi.org/10.3390/jcm14082707
APA StyleJaworucka-Kaczorowska, A., Roustazadeh, R., Simka, M., & Jalaie, H. (2025). Management of Extra-Pelvic Varicose Veins of Pelvic Origin in Female Patients. Journal of Clinical Medicine, 14(8), 2707. https://doi.org/10.3390/jcm14082707

