Outcome Analysis of Pre-Emptive Embolization of the Collateral Branches of the Abdominal Aorta During Standard Infrarenal Endovascular Aortic Repair
Abstract
1. Introduction
2. Materials and Methods
- Elective EVAR;
- Follow-up of at least 2 years.
- EVAR for symptomatic or ruptured abdominal aortic aneurysm (AAA);
- EVAR for penetrating aortic ulcer, isolated infrarenal dissection, abdominal aortic trauma;
- Complex EVAR (e.g., fenestrated, branched, parallel grafts, endoanchors);
- EVAR performed with tubular endograft (isolate aortic cuff, aorto-uni-iliac);
- Missing clinical or morphologic data;
- Absence of follow-up data.
2.1. Data Availability Statement
2.2. Preoperative Workup
2.3. Operative Indications and Postoperative Surveillance
- IMA, when the diameter was >3 mm in diameter;
- Lumbar or sacral arteries, when >2 in number and/or >3 mm in diameter.
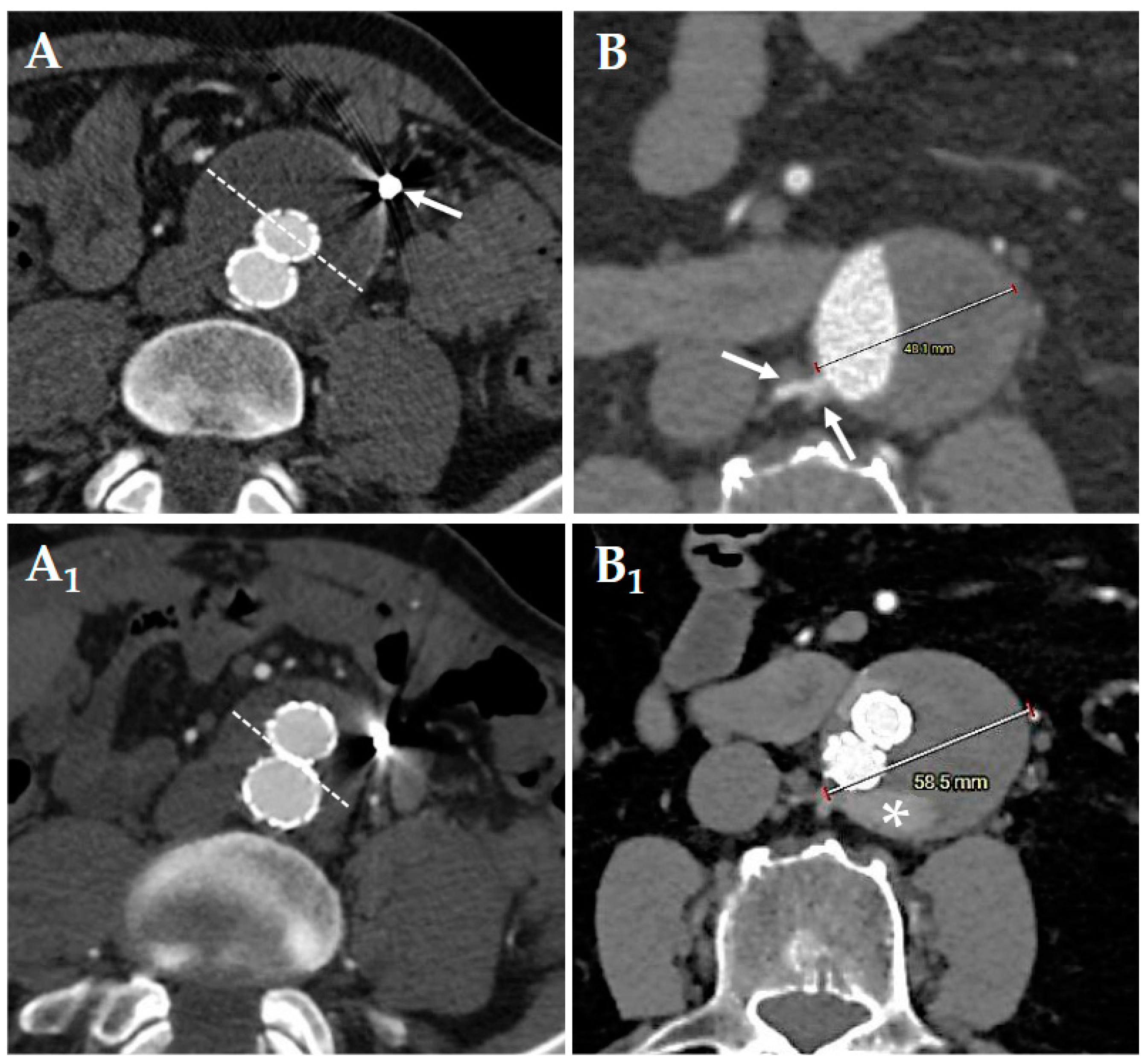
2.4. Definitions and Outcomes
2.5. Statistical Analysis
3. Results
3.1. Study Cohort
3.2. Outcomes Analysis
- a.
- survival
- b.
- reintervention for endoleak
- c.
- conversion to open repair
- d.
- sac evolution
4. Discussion
5. Conclusions
Author Contributions
Funding
Institutional Review Board Statement
Informed Consent Statement
Data Availability Statement
Conflicts of Interest
References
- Schlösser, F.J.; Gusberg, R.J.; Dardik, A.; Lin, P.H.; Verhagen, H.J.; Moll, F.L.; Muhs, B.E. Aneurysm rupture after EVAR: Can the ultimate failure be predicted? Eur. J. Vasc. Endovasc. Surg. 2009, 37, 15–22. [Google Scholar] [CrossRef] [PubMed]
- Wanhainen, A.; Van Herzeele, I.; Bastos Goncalves, F.; Bellmunt Montoya, S.; Berard, X.; Boyle, J.R.; D’Oria, M.; Prendes, C.F.; Karkos, C.D.; Kazimierczak, A.; et al. Editor’s Choice—European Society for Vascular Surgery (ESVS) 2024 Clinical Practice Guidelines on the Management of Abdominal Aorto-Iliac Artery Aneurysms. Eur. J. Vasc. Endovasc. Surg. 2024, 67, 192–331. [Google Scholar]
- Rayt, H.S.; Sandford, R.M.; Salem, M.; Bown, M.J.; London, N.J.; Sayers, R.D. Conservative management of type 2 endoleaks is not associated with increased risk of aneurysm rupture. Eur. J. Vasc. Endovasc. Surg. 2009, 38, 718–723. [Google Scholar] [CrossRef] [PubMed]
- Sidloff, D.A.; Stather, P.W.; Choke, E.; Bown, M.J.; Sayers, R.D. Type II endoleak after endovascular aneurysm repair. Br. J. Surg. 2013, 100, 1262–1270. [Google Scholar] [CrossRef] [PubMed]
- D’Oria, M.; Mastrorilli, D.; Ziani, B. Natural History, Diagnosis, and Management of Type II Endoleaks after Endovascular Aortic Repair: Review and Update. Ann. Vasc. Surg. 2020, 62, 420–431. [Google Scholar] [CrossRef]
- Yu, H.Y.H.; Lindström, D.; Wanhainen, A.; Tegler, G.; Asciutto, G.; Mani, K. An updated systematic review and meta-analysis of pre-emptive aortic side branch embolization to prevent type II endoleaks after endovascular aneurysm repair. J. Vasc. Surg. 2023, 77, 1815–1821. [Google Scholar] [CrossRef]
- Li, Q.; Hou, P. Sac Embolization and Side Branch Embolization for Preventing Type II Endoleaks After Endovascular Aneurysm Repair: A Meta-analysis. J. Endovasc. Ther. 2020, 27, 109–116. [Google Scholar] [CrossRef]
- Branzan, D.; Geisler, A.; Steiner, S.; Doss, M.; Matschuck, M.; Scheinert, D.; Schmidt, A. Type II endoleak and aortic aneurysm sac shrinkage after preemptive embolization of aneurysm sac side branches. J. Vasc. Surg. 2021, 73, 1973–1979.e1. [Google Scholar] [CrossRef]
- Rokosh, R.S.; Chang, H.; Butler, J.R.; Rockman, C.B.; Patel, V.I.; Milner, R.; Jacobowitz, G.R.; Cayne, N.S.; Veith, F.; Garg, K. Prophylactic sac outflow vessel embolization is associated with improved sac regression in patients undergoing endovascular aortic aneurysm repair. J. Vasc. Surg. 2022, 76, 113–121.e8. [Google Scholar] [CrossRef]
- Kontopodis, N.; Galanakis, N.; Kiparakis, M.; Ioannou, C.V.; Kakisis, I.; Geroulakos, G.; Antoniou, G.A. Pre-Emptive Embolization of the Aneurysm Sac or Aortic Side Branches in Endovascular Aneurysm Repair: Meta-Analysis and Trial Sequential Analysis of Randomized Controlled Trials. Ann. Vasc. Surg. 2023, 91, 90–107. [Google Scholar] [CrossRef]
- Väärämäki, S.; Viitala, H.; Laukontaus, S.; Uurto, I.; Björkman, P.; Tulamo, R.; Aho, P.; Laine, M.; Suominen, V.; Venermo, M. Routine Inferior Mesenteric Artery Embolisation is Unnecessary Before Endovascular Aneurysm Repair. Eur. J. Vasc. Endovasc. Surg. 2023, 65, 264–270. [Google Scholar] [CrossRef]
- Fukuda, T.; Matsuda, H.; Tanaka, H.; Sanda, Y.; Morita, Y.; Seike, Y.; Chew, D.K.; Dong, S.; Schroeder, A.C.; Hsu, H.W.; et al. The role of the inferior mesenteric artery in predicting secondary intervention for type II endoleak following endovascular aneurysm repair. J. Vasc. Surg. 2019, 70, 1463–1468. [Google Scholar]
- Pratesi, C.; Esposito, D.; Apostolou, D.; Attisani, L.; Bellosta, R.; Benedetto, F.; Blangetti, I.; Bonardelli, S.; Casini, A.; Fargion, A.T.; et al. Guidelines on the management of abdominal aortic aneurysms: Updates from the Italian Society of Vascular and Endovascular Surgery (SICVE). J. Cardiovasc. Surg. 2022, 63, 328–352. [Google Scholar]
- Lomazzi, C.; Mariscalco, G.; Piffaretti, G.; Bacuzzi, A.; Tozzi, M.; Carrafiello, G.; Castelli, P. Endovascular treatment of elective abdominal aortic aneurysms: Independent predictors of early and late mortality. Ann. Vasc. Surg. 2011, 25, 299–305. [Google Scholar] [PubMed]
- Brown, L.C.; Greenhalgh, R.M.; Powell, J.T.; Thompson, S.G.; EVAR Trial Participants. Use of baseline factors to predict complications and reinterventions after endovascular repair of abdominal aortic aneurysm. Br. J. Surg. 2010, 978, 1207–1217. [Google Scholar]
- Schanzer, A.; Greenberg, R.K.; Hevelone, N.; Robinson, W.P.; Eslami, M.H.; Goldberg, R.J.; Messina, L. Predictors of abdominal aortic aneurysm sac enlargement after endovascular repair. Circulation 2011, 123, 2848–2855. [Google Scholar] [PubMed]
- Patel, S.R.; Allen, C.; Grima, M.J.; Brownrigg, J.R.W.; Patterson, B.O.; Holt, P.J.E.; Thompson, M.M.; Karthikesalingam, A. A Systematic Review of Predictors of Reintervention After EVAR: Guidance for Risk-Stratified Surveillance. Vasc. Endovasc. Surg. 2017, 51, 417–428. [Google Scholar]
- Von Elm, E.; Altman, D.G.; Egger, M.; Pocock, S.J.; Gøtzsche, P.C.; Vandenbroucke, J.P.; STROBE Initiative. The Strengthening the Reporting of Observational Studies in Epidemiology (STROBE) statement: Guidelines for reporting observational studies. Epidemiology 2007, 18, 800–804. [Google Scholar]
- Franchin, M.; Serafini, M.; Tadiello, M.; Fontana, F.; Rivolta, N.; Venturini, M.; Curti, M.; Bush, R.L.; Dorigo, W.; Piacentino, F.; et al. A morphovolumetric analysis of aneurysm sac evolution after elective endovascular abdominal aortic repair. J. Vasc. Surg. 2021, 74, 1222–1231.e2. [Google Scholar]
- Chaikof, E.L.; Dalman, R.L.; Eskandari, M.K.; Jackson, B.M.; Lee, W.A.; Mansour, M.A.; Mastracci, T.M.; Mell, M.; Murad, M.H.; Nguyen, L.L.; et al. The Society for Vascular Surgery practice guidelines on the care of patients with an abdominal aortic aneurysm. J. Vasc. Surg. 2018, 67, 2–77.e2. [Google Scholar]
- Von Allmen, R.S.; Weiss, S.; Tevaearai, H.T.; Kuemmerli, C.; Tinner, C.; Carrel, T.P.; Schmidli, L.; Dick, F. Completeness of Follow-Up Determines Validity of Study Findings: Results of a Prospective Repeated Measures Cohort Study. PLoS ONE 2015, 10, e0140817. [Google Scholar]
- Hickey, G.L.; Dunning, J.; Seifert, B.; Sodeck, G.; Carr, M.J.; Burger, H.U.; Beyersdorf, F. EJCTS and ICVTS Editorial Committees. Statistical and data reporting guidelines for the European Journal of Cardio-Thoracic Surgery and the Interactive CardioVascular and Thoracic Surgery. Eur. J. Cardiothorac. Surg. 2015, 48, 180–193. [Google Scholar] [PubMed]
- Van Marrewijk, C.J.; Fransen, G.; Laheij, R.J.; Harris, P.L.; Buth, J.; EUROSTAR Collaborators. Is a type II endoleak after EVAR a harbinger of risk? Causes and outcome of open conversion and aneurysm rupture during follow-up. Eur. J. Vasc. Endovasc. Surg. 2004, 27, 128–137. [Google Scholar] [PubMed]
- Hye, R.J.; Janarious, A.U.; Chan, P.H.; Cafri, G.; Chang, R.W.; Rehring, T.F.; Nelken, N.A.; Hill, B.B. Survival and Reintervention Risk by Patient Age and Preoperative Abdominal Aortic Aneurysm Diameter after Endovascular Aneurysm Repair. Ann. Vasc. Surg. 2019, 54, 215–225. [Google Scholar]
- Rich, N.; Tucker, L.Y.; Okuhn, S.; Hua, H.; Hill, B.; Goodney, P.; Chang, R. Long-term freedom from aneurysm-related mortality remains favorable after endovascular abdominal aortic aneurysm repair in a 15-year multicenter registry. J. Vasc. Surg. 2020, 71, 790–798. [Google Scholar] [CrossRef]
- Wanken, Z.J.; Barnes, J.A.; Trooboff, S.W.; Columbo, J.A.; Jella, T.K.; Kim, D.J.; Khoshgowari, A.; Riblet, N.B.V.; Goodney, P.P. A systematic review and meta-analysis of long-term reintervention after endovascular abdominal aortic aneurysm repair. J. Vasc. Surg. 2020, 72, 1122–1131. [Google Scholar] [CrossRef]
- Sampaio, S.M.; Panneton, J.M.; Mozes, G.I.; Andrews, J.C.; Bower, T.C.; Kalra, M.; Cherry, K.J.; Sullivan, T.; Gloviczki, P. Aneurysm sac thrombus load predicts type II endoleaks after endovascular aneurysm repair. Ann. Vasc. Surg. 2005, 19, 302–309. [Google Scholar]
- Sadek, M.; Dexter, D.J.; Rockman, C.B.; Hoang, H.; Mussa, F.F.; Cayne, N.S.; Jacobowitz, G.R.; Veith, F.J.; Adelman, M.A.; Maldonado, T.S. Preoperative relative abdominal aortic aneurysm thrombus burden predicts endoleak and sac enlargement after endovascular anerysm repair. Ann. Vasc. Surg. 2013, 27, 1036–1041. [Google Scholar]
- Marchiori, A.; von Ristow, A.; Guimaraes, M.; Schönholz, C.; Uflacker, R. Predictive factors for the development of type II endoleaks. J. Endovasc. Ther. 2011, 18, 299–305. [Google Scholar]
- Manunga, J.M.; Cragg, A.; Garberich, R.; Urbach, J.A.; Skeik, N.; Alexander, J.; Titus, J.; Stephenson, E.; Alden, P.; Sullivan, T.M. Preoperative Inferior Mesenteric Artery Embolization: A Valid Method to Reduce the Rate of Type II Endoleak after EVAR? Ann. Vasc. Surg. 2017, 39, 40–47. [Google Scholar]
- Ward, T.J.; Cohen, S.; Fischman, A.M.; Kim, E.; Nowakowski, F.S.; Ellozy, S.H.; Faries, P.L.; Marin, M.L.; Lookstein, R.A. Preoperative inferior mesenteric artery embolization before endovascular aneurysm repair: Decreased incidence of type II endoleak and aneurysm sac enlargement with 24-month follow-up. J. Vasc. Interv. Radiol. 2013, 24, 49–55. [Google Scholar] [PubMed]
- Steinmetz, E.; Rubin, B.G.; Sanchez, L.A.; Choi, E.T.; Geraghty, P.J.; Baty, J.; Thompson, R.W.; Flye, M.W.; Hovsepian, D.M.; Picus, D.; et al. Type II endoleak after endovascular abdominal aortic aneurysm repair: A conservative approach with selective intervention is safe and cost-effective. J. Vasc. Surg. 2004, 39, 306–313. [Google Scholar] [CrossRef] [PubMed]
- Jones, J.E.; Atkins, M.D.; Brewster, D.C.; Chung, T.K.; Kwolek, C.J.; LaMuraglia, G.M.; Hodgman, T.M.; Cambria, R.P. Persistent type 2 endoleak after endovascular repair of abdominal aortic aneurysm is associated with adverse late outcomes. J. Vasc. Surg. 2007, 46, 1–8. [Google Scholar]
- El Batti, S.; Cochennec, F.; Roudot-Thoraval, F.; Becquemin, J.P. Type II endoleaks after endovascular repair of abdominal aortic aneurysm are not always a benign condition. J. Vasc. Surg. 2013, 57, 1291–1297. [Google Scholar] [PubMed]




| Entire Cohort | Group A | Group B | OR | p | |
|---|---|---|---|---|---|
| (n = 265) | (n = 183) | (n = 82) | |||
| Demographics | |||||
| M:F ratio | 243:22 | 163:20 | 80:2 | 3.6 | 0.028 |
| Age, median (IQR) | 76 (70–79) | 77 (70–81) | 73.5 (67–77) | 0.001 | |
| >80 years | 65 (24.5) | 55 (30.0) | 10 (12.2) | 2.3 | 0.002 |
| Comorbidities, n (%) | |||||
| Hypertension | 207 (78.1) | 141 (77.0) | 66 (80.5) | 1.2 | 0.630 |
| Coronary artery disease | 91 (34.3) | 64 (35.0) | 27 (32.9) | 0.9 | 0.781 |
| Diabetes | 35 (13.2) | 22 (12.0) | 13 (15.8) | 1.4 | 0.434 |
| Smoking habit | 78 (29.4) | 51 (27.9) | 27 (32.9) | 1.3 | 0.466 |
| Antithrombostic regimen | |||||
| Antiplatelet therapy | 183 (69.1) | 128 (69.9) | 55 (67.1) | 0.9 | 0.668 |
| Oral anticoagulant | 32 (12.1) | 26 (14.2) | 6 (7.3) | 0.5 | 0.163 |
| Entire Cohort | Group A | Group B | OR | p | |
|---|---|---|---|---|---|
| (n = 265) | (n = 183) | (n = 82) | |||
| Aortic features, median (IQR) | |||||
| Maximum diameter (mm) | 54 (51–60) | 54 (50–60) | 54 (52–58) | 0.210 | |
| Neck length (mm) | 22 (17–30) | 25 (20–30) | 25 (18–30) | 0.773 | |
| Neck angulation (degrees) | 15 (5–27.5) | 15 (5–31.7) | 15 (5–25) | 0.367 | |
| Conic shape, n (%) | 67 (25.3) | 49 (26.8) | 20 (24.4) | 0.8 | 0.648 |
| Thrombus rate (%) | 40 (22.7–60) | 38.5 (20.5–60) | 35 (18–50) | 0.135 |
| Overall Survival | |||||
|---|---|---|---|---|---|
| Univariate | Multivariable | ||||
| Covariate | Log-rank | HR | 95%CI | p | |
| Age > 80 years | <0.001 | 3.5 | 2.27–5.50 | <0.001 | |
| Sac increase | 0.180 | ||||
| Freedom from T2E-related reintervention | |||||
| Univariate | Multivariable | ||||
| Covariate | Log-rank | HR | 95%CI | p | |
| Age > 80 years | 0.007 | 2.4 | 1.05–5.54 | 0.037 | |
| Smoking habit | 0.024 | ||||
| Conic shape | 0.046 | ||||
| >3 lumbar | 0.078 | ||||
Disclaimer/Publisher’s Note: The statements, opinions and data contained in all publications are solely those of the individual author(s) and contributor(s) and not of MDPI and/or the editor(s). MDPI and/or the editor(s) disclaim responsibility for any injury to people or property resulting from any ideas, methods, instructions or products referred to in the content. |
© 2025 by the authors. Licensee MDPI, Basel, Switzerland. This article is an open access article distributed under the terms and conditions of the Creative Commons Attribution (CC BY) license (https://creativecommons.org/licenses/by/4.0/).
Share and Cite
Bellosta, R.; D’Amario, F.; Luzzani, L.; Pegorer, M.A.; Pucci, A.; Casali, F.; Bashir, M.; Attisani, L. Outcome Analysis of Pre-Emptive Embolization of the Collateral Branches of the Abdominal Aorta During Standard Infrarenal Endovascular Aortic Repair. J. Clin. Med. 2025, 14, 2391. https://doi.org/10.3390/jcm14072391
Bellosta R, D’Amario F, Luzzani L, Pegorer MA, Pucci A, Casali F, Bashir M, Attisani L. Outcome Analysis of Pre-Emptive Embolization of the Collateral Branches of the Abdominal Aorta During Standard Infrarenal Endovascular Aortic Repair. Journal of Clinical Medicine. 2025; 14(7):2391. https://doi.org/10.3390/jcm14072391
Chicago/Turabian StyleBellosta, Raffaello, Francesco D’Amario, Luca Luzzani, Matteo Alberto Pegorer, Alessandro Pucci, Francesco Casali, Mohamad Bashir, and Luca Attisani. 2025. "Outcome Analysis of Pre-Emptive Embolization of the Collateral Branches of the Abdominal Aorta During Standard Infrarenal Endovascular Aortic Repair" Journal of Clinical Medicine 14, no. 7: 2391. https://doi.org/10.3390/jcm14072391
APA StyleBellosta, R., D’Amario, F., Luzzani, L., Pegorer, M. A., Pucci, A., Casali, F., Bashir, M., & Attisani, L. (2025). Outcome Analysis of Pre-Emptive Embolization of the Collateral Branches of the Abdominal Aorta During Standard Infrarenal Endovascular Aortic Repair. Journal of Clinical Medicine, 14(7), 2391. https://doi.org/10.3390/jcm14072391

