Potential Novel Tissue Biomarkers in Salivary Glands of Patients with Sjogren’s Syndrome
Abstract
1. Introduction
2. Materials and Methods
2.1. Patient Selection
2.2. Immunohistochemical Application and Evaluation
2.3. Statistical Analysis
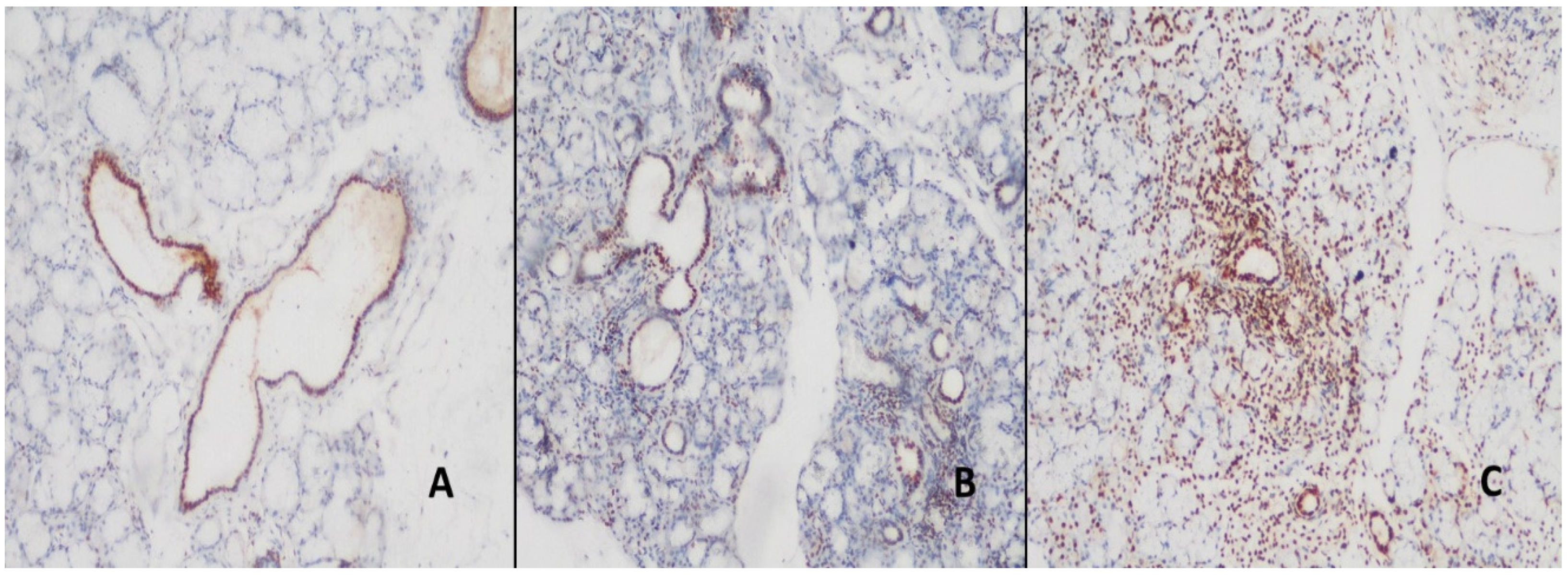
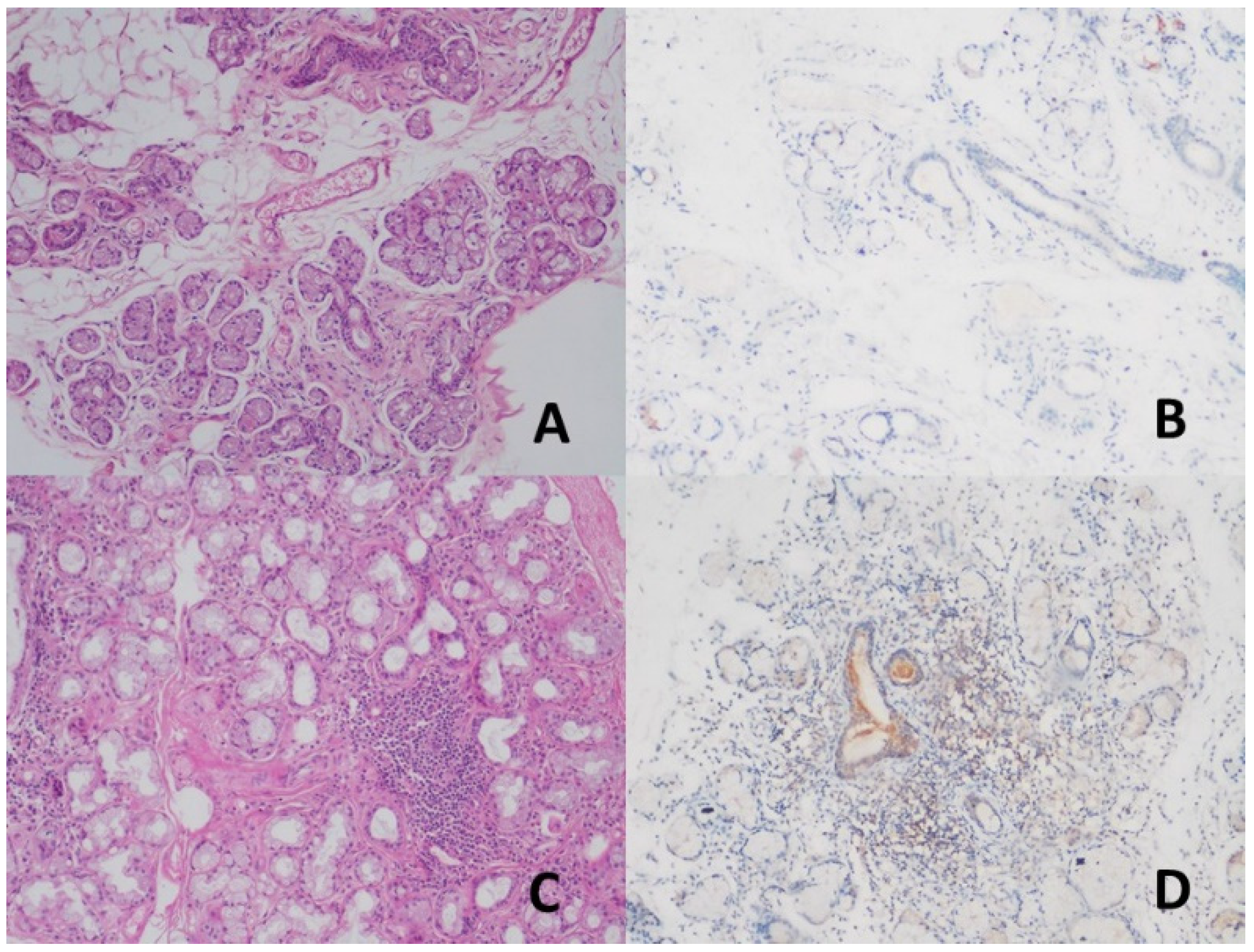
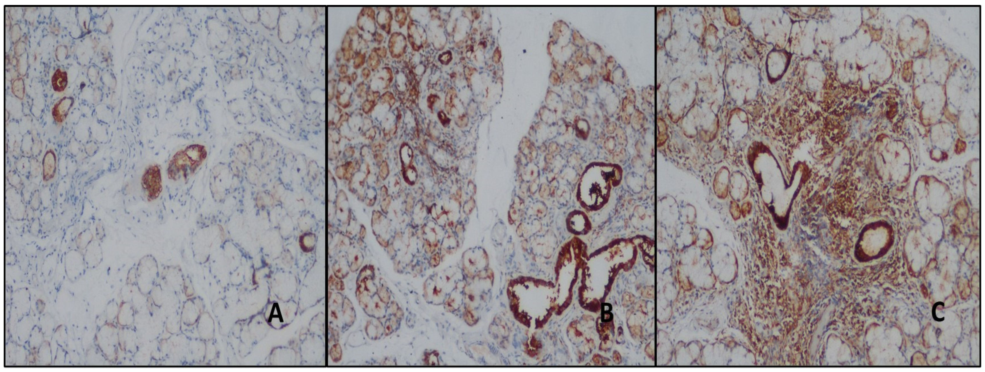
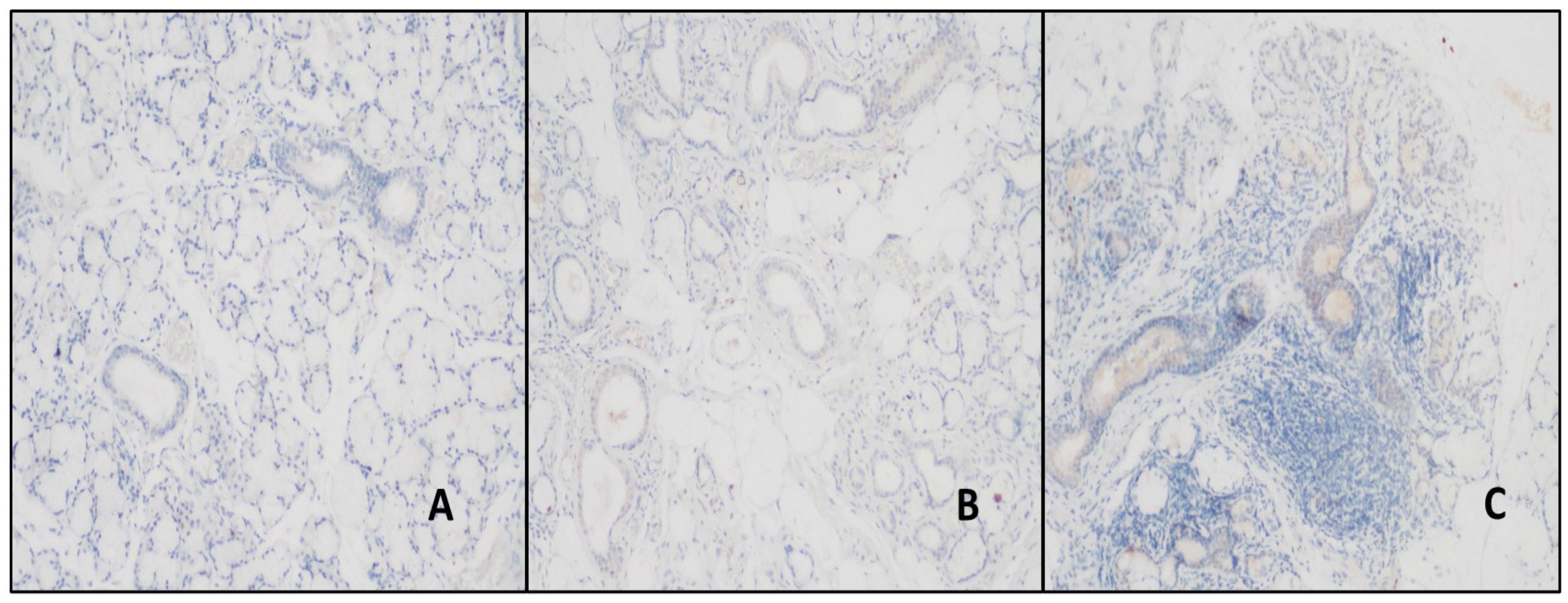
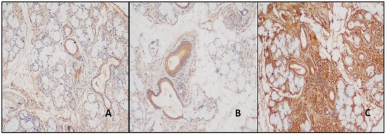
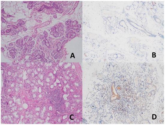
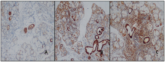
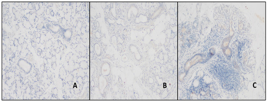
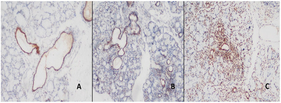
3. Results
4. Discussion
5. Conclusions
Author Contributions
Funding
Institutional Review Board Statement
Informed Consent Statement
Data Availability Statement
Acknowledgments
Conflicts of Interest
References
- Baldini, C.; Ferro, F.; Elefante, E.; Bombardieri, S. Biomarkers for Sjogren’s syndrome. Biomark. Med. 2018, 12, 275–286. [Google Scholar] [CrossRef] [PubMed]
- Stefanski, A.L.; Tomiak, C.; Pleyer, U.; Dietrich, T.; Burmester, G.R.; Dörner, T. The diagnosis and treatment of Sjogren’s syndrome. Dtsch. Ärztebl. Int. 2017, 114, 354–361. [Google Scholar] [CrossRef] [PubMed]
- Gobeljic, M.S.; Milic, V.; Pejnović, N.; Damjanov, N. Oral Disorders in Sjögren’s Syndrome. Serbian J. Exp. Clin. Res. 2018, 23, 1–12. [Google Scholar] [CrossRef]
- Pereira, D.L.; Vilela, S.V.; Dos Santos, T.C.R.B.; Pires, F.R. Clinical and laboratorial profile and histological features on minor salivary glands from patients under investigation for Sjögren’s syndrome. Med. Oral Pathol. Oral Cir. Bucal. 2014, 19, 237–241. [Google Scholar] [CrossRef] [PubMed]
- Vincent, F.B.; Saulep-Easton, D.; Figgett, W.A.; Fairfax, K.A.; Mackay, F. The BAFF/APRIL system: Emerging functions beyond B cell biology and autoimmunity. Cytokine Growth Factor. Rev. 2013, 24, 203–215. [Google Scholar] [CrossRef] [PubMed]
- Diaz-Ramos, A.; Roig-Borrellas, A.; Garcia-Melero, A.; Lopez-Alemany, R. Alpha-enolase, a multifunctional protein: Its role on pathophysiological situations. J. Biomed. Biotechnol. 2012, 2012, 156795. [Google Scholar] [CrossRef]
- Wei, P.; Xing, Y.; Li, B.; Chen, F.; Hua, H. Proteomics-based analysis indicating α-enolase as a potential biomarker in primary Sjögren’s syndrome. Gland. Surg. 2020, 9, 2054–2063. [Google Scholar] [CrossRef] [PubMed]
- Perez, P.; Goicovich, E.; Alliende, C.; Aguilera, S.; Leyton, C.; Molina, C.; Pinto, R.; Romo, R.; Martinez, B.; Gonzalez, M.J. Differential expression of matrix metalloproteinases in labial salivary glands of patients with primary Sjogren’s syndrome. Arthritis Rheumatol. 2000, 43, 2807–2817. [Google Scholar] [CrossRef]
- Konttinen, Y.T.; Halinen, S.; Hanemaaijer, R.; Sorsa, T.; Hietanen, J.; Ceponis, A.; Xu, J.W.; Manthorpe, R.; Whittington, J.; Larsson, A.; et al. Matrix metalloproteinase (MMP)-9 type IV collagenase/gelatinase implicated in the pathogenesis of Sjogren’s syndrome. Matrix Biol. 1998, 17, 335–347. [Google Scholar] [CrossRef]
- Bautista-Vargas, M.; Vivas, A.J.; Tobón, G.J. Minor salivary gland biopsy: Its role in the classification and prognosis of Sjogren’s syndrome. Autoimmun. Rev. 2020, 19, 1–28. [Google Scholar] [CrossRef]
- Monsalve, D.M.; Anaya, J.M. With Minor Salivary Gland Biopsy in Sjogren Syndrome, Is a Negative Result Possible? J. Rheumatol. 2020, 47, 310–312. [Google Scholar] [CrossRef] [PubMed]
- Oke, V.; Wahren-Herlenius, M. The immunobiology of Ro52 (TRIM21) in autoimmunity: A critical review. J. Autoimmun. 2012, 39, 77–82. [Google Scholar] [CrossRef]
- Theander, E.; Jonsson, R.; Sjostrom, B.; Brokstad, K.; Olsson, P.; Henriksson, G. Prediction of Sjogren’s syndrome years before diagnosis and identification of patients with early onset and severe disease course by autoantibody profiling. Arthritis Rheumatol. 2015, 67, 2427–2436. [Google Scholar] [PubMed]
- Konsta, O.D.; Le Dantec, C.; Charras, A.; Cornec, D.; Kapsogeorgou, E.K.; Tzioufas, A.G.; Pers, J.O.; Renaudineau, Y. Defective DNA methylation in salivary gland epithelial acini from patients with Sjögren’s syndrome is associated with SSB gene expression, anti-SSB/La detection, and lymphocyte infiltration. J. Autoimmun. 2016, 68, 30–38. [Google Scholar] [PubMed]
- Aqrawi, L.A.; Kvarnstrom, M.; Brokstad, K.A.; Jonsson, R. Ductal epithelial expression of Ro52 correlates with inflammation in salivary glands of patients with primary Sjogren’s syndrome. Clin. Exp. Immunol. 2014, 177, 244–252. [Google Scholar] [CrossRef] [PubMed]
- Kyriakidis, N.C.; Kapsogeorgou, E.K.; Gourzi, V.C.; Konsta, O.D.; Baltatzis, G.E.; Tzioufas, A.G. Toll-like receptor 3 stimulation promotes Ro52/TRIM21 synthesis and nuclear redistribution in salivary gland epithelial cells, partially via type I interferon pathway. Clin. Exp. Immunol. 2014, 178, 548–560. [Google Scholar] [CrossRef] [PubMed]
- Yoshimoto, K.; Tanaka, M.; Kojima, M.; Setoyama, Y.; Kameda, H.; Suzuki, K.; Tsuzaka, K.; Ogawa, Y.; Tsubota, K.; Abe, T.; et al. Regulatory mechanisms for the production of BAFF and IL-6 are impaired in monocytes of patients of primary Sjogren’s syndrome. Arthritis Res. Ther. 2011, 13, R170. [Google Scholar] [CrossRef] [PubMed]
- Carrillo-Ballesteros, F.J.; Palafox-Sánchez, C.A.; Franco-Topete, R.A.; Muñoz-Valle, J.F.; Orozco-Barocio, G.; Martínez-Bonilla, G.E.; Gómez-López, C.E.; Marín-Rosales, M.; López-Villalobos, E.F.; Luquin, S.; et al. Expression of BAFF and BAFF receptors in primary Sjögren’s syndrome patients with ectopic germinal center-like structures. Clin. Exp. Med. 2020, 20, 615–626. [Google Scholar] [CrossRef]
- Mariette, X.; Seror, R.; Quartuccio, L.; Baron, G.; Salvin, S.; Fabris, M.; Desmoulins, F.; Nocturne, G.; Ravaud, P.; Vita, S.D. Efficacy and safety of belimumab in primary Sjögren’s syndrome: Results of the BELISS open-label phase II study. Ann. Rheum. Dis. 2015, 74, 526–531. [Google Scholar] [CrossRef]
- Mariette, X.; Barone, F.; Baldini, C.; Bootsma, H.; Clark, K.L.; Vita, S.D.; Gardner, D.H.; Henderson, R.B.; Herdman, M.; Lerang, K.; et al. A randomized, phase II study of sequential belimumab and rituximab in primary Sjögren’s syndrome. JCI Insight 2022, 7, e163030. [Google Scholar] [CrossRef]
- Hjelmervik, T.O.; Jonsson, R.; Bolstad, A.L. The minor salivary gland proteome in Sjögren’s syndrome. Oral Dis. 2009, 15, 342–353. [Google Scholar] [CrossRef]
- Ram, M.; Sherer, Y.; Shoenfeld, Y. Matrix metalloproteinase 9 and autoimmune diseases. J. Clin. Immunol. 2006, 26, 299–307. [Google Scholar] [CrossRef] [PubMed]
- Aluri, H.S.; Kublin, C.L.; Thotakura, S.; Armaos, H.; Samizadeh, M.; Hawley, D.; Thomas, W.M.; Leavis, P.; Makarenkova, H.P.; Zoukhri, D. Role of Matrix Metalloproteinases 2 and 9 in Lacrimal Gland Disease in Animal Models of Sjogren’s Syndrome. Investig. Ophthalmol. Vis. Sci. 2015, 56, 5218–5228. [Google Scholar] [CrossRef]
- Perez, P.; Kwon, Y.J.; Alliende, C.; Leyton, L.; Aguilera, S.; Molina, C.; Labra, C.; Julio, M.; Leyton, C.; Gonzalez, M.J. Increased acinar damage of salivary glands of patients with Sjögren’s syndrome is paralleled by simultaneous imbalance of matrix metalloproteinase 3/tissue inhibitor of metalloproteinases 1 and matrix metalloproteinase 9/tissue inhibitor of metalloproteinases 1 ratios. Arthritis Rheumatol. 2005, 43, 2807–2817. [Google Scholar]
- Lamas-Gutierrez, F.J.; Reyes, E.; Martinez, B.; Hernandez-Molina, G. Histopathological environment besides the focus score in Sjögren’s syndrome. Int. J. Rheum. Dis. 2014, 17, 898–903. [Google Scholar] [CrossRef] [PubMed]
- Shacham, R.; Puterman, M.B.; Ohana, N.; Nahlieli, O. Endoscopic treatment of salivary glands affected by autoimmune diseases. J. Oral Maxillofac. Surg. 2011, 69, 476–481. [Google Scholar] [PubMed]
- Jager, D.J.; Karagozoglu, K.H.; Maarse, F.; Brand, H.S.; Forouzanfar, T. Sialendoscopy of salivary glands affected by Sjögren Syndrome: A randomized controlled pilot study. J. Oral Maxillofac. Surg. 2016, 74, 1167–1174. [Google Scholar] [CrossRef] [PubMed]
- Capaccio, P.; Canzi, P.; Torretta, S.; Rossi, V.; Benazzo, M.; Bossi, M.; Vitalli, C.; Cavagna, L.; Pignataro, L. Combined interventional sialendoscopy an intraductal steroid therapy for recurrent sialadenitis in Sjögren’s syndrome: Results of a pilot monocentric trial. Clin. Otolaryngol. 2018, 43, 96–102. [Google Scholar] [CrossRef]
- Aničin, A.; Jerman, A.; Urbančič, J.; Pušnik, L. Sialendoscopy-Based Analysis of Submandibular Duct Papillae with a Proposal for Classification. J. Clin. Med. 2023, 31, 1129. [Google Scholar] [CrossRef]





| Primary Antibody | Company | Dilution Rate | Positive Control |
|---|---|---|---|
| Anti-BAFF antibodies [ab217329], RabPAb | abcam (Cambridge, UK) | 1/150 | Tonsil |
| Anti TRIM21 (SS-A/Ro) antibodies [ab191690], RabPAb | abcam | 1/100 | Tonsil |
| Anti MMP9 antibodies [56-2A4, ab 58803], MauseMAb | abcam | 1/100 | Tonsil |
| Anti ENO1 antibodies [EPR19758, ab 227978], RabMAb | abcam | 1/200 | Pancreas |
| Anti SS-B antibodies [EPR6570, ab 124932], RabMAb | abcam | 1/250 | Colon |
| Antibody | Control Group (n = 21) | Study Group pSS (n = 39) | p Value | ||||||||||
|---|---|---|---|---|---|---|---|---|---|---|---|---|---|
| Normal (n = 9) | NSCS (n = 12) | ||||||||||||
| N | P | N | P | N | P | ||||||||
| M | MD | S | M | MD | S | M | MD | S | |||||
| TRIM21 | 9 42.8% | 12 57.2% | 39 100% | p < 0.01 | |||||||||
| BAFF | 9 42.8% | 7 33.4% | 5 23.8% | 5 12.8% | 15 38.4% | 19 48.8% | p < 0.01 | ||||||
| ENO1 | 9 42.8% | 12 57.2% | 39 100% | p < 0.01 | |||||||||
| MMP-9 | 8 38.1% | 1 4.8% | 2 9.5% | 10 47.6% | 6 15.4% | 33 84.6% | p = 0.07 | ||||||
| Antibody | NSCS (n = 12) | pSS (n = 39) | ||||||
|---|---|---|---|---|---|---|---|---|
| N | P | N | P | |||||
| M | MD | S | M | MD | S | |||
| TRIM21 | 12 100% | 19 48.7% | 20 51.3% | |||||
| BAFF | 3 25% | 8 66.7% | 1 8.3% | 4 10.3% | 16 41% | 19 48.7% | ||
| ENO1 | 8 66.7% | 4 33.3% | 8 20.5% | 18 46.2% | 13 33.3% | |||
Disclaimer/Publisher’s Note: The statements, opinions and data contained in all publications are solely those of the individual author(s) and contributor(s) and not of MDPI and/or the editor(s). MDPI and/or the editor(s) disclaim responsibility for any injury to people or property resulting from any ideas, methods, instructions or products referred to in the content. |
© 2025 by the authors. Licensee MDPI, Basel, Switzerland. This article is an open access article distributed under the terms and conditions of the Creative Commons Attribution (CC BY) license (https://creativecommons.org/licenses/by/4.0/).
Share and Cite
Sadullahoglu, C.; Yaprak, N.; Yazısız, V.; Ozbudak, İ.H. Potential Novel Tissue Biomarkers in Salivary Glands of Patients with Sjogren’s Syndrome. J. Clin. Med. 2025, 14, 2390. https://doi.org/10.3390/jcm14072390
Sadullahoglu C, Yaprak N, Yazısız V, Ozbudak İH. Potential Novel Tissue Biomarkers in Salivary Glands of Patients with Sjogren’s Syndrome. Journal of Clinical Medicine. 2025; 14(7):2390. https://doi.org/10.3390/jcm14072390
Chicago/Turabian StyleSadullahoglu, Canan, Neslihan Yaprak, Veli Yazısız, and İrem Hicran Ozbudak. 2025. "Potential Novel Tissue Biomarkers in Salivary Glands of Patients with Sjogren’s Syndrome" Journal of Clinical Medicine 14, no. 7: 2390. https://doi.org/10.3390/jcm14072390
APA StyleSadullahoglu, C., Yaprak, N., Yazısız, V., & Ozbudak, İ. H. (2025). Potential Novel Tissue Biomarkers in Salivary Glands of Patients with Sjogren’s Syndrome. Journal of Clinical Medicine, 14(7), 2390. https://doi.org/10.3390/jcm14072390

