Inferior Alveolar Nerve Impairment Following Third-Molar Extraction: Management of Complications and Medicolegal Considerations
Abstract
1. Introduction
2. Case Report
2.1. Dental History
2.2. Intra- and Extra-Oral Examination
2.3. Trigeminal Sensory Testing
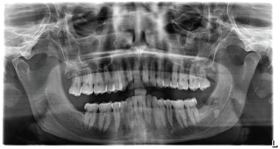
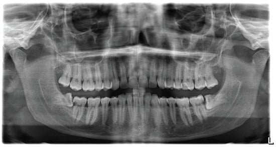
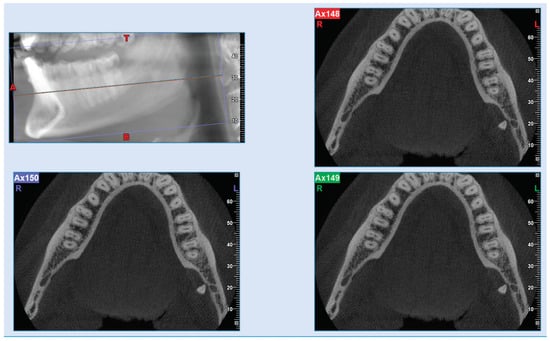
2.4. Radiographic Documentation
2.5. Electromyography, Somatosensory Evoked Potential (SEP), and Neurologist’s Opinion
2.6. Medicolegal Considerations
3. Discussion
4. Conclusions
Author Contributions
Funding
Institutional Review Board Statement
Informed Consent Statement
Data Availability Statement
Acknowledgments
Conflicts of Interest
References
- Chang, W.; Chang, T.; Chiu, K.; Wu, C.; Chen, Y. Accidental iatrogenic displacement of the mandibular third molar into the lateral pharyngeal space—A case report. Tawian J. Oral Maxillofac. Surg. 2014, 25, 119–126. [Google Scholar]
- Iwanaga, J.; Kunisada, Y.; Masui, M.; Obata, K.; Takeshita, Y.; Sato, K.; Kikuta, S.; Abe, Y.; Matsushita, Y.; Kusukawa, J.; et al. Comprehensive review of lower third molar management: A guide for improved informed consent. Clin. Anat. 2021, 34, 224–243. [Google Scholar] [CrossRef]
- Cheung, L.K.; Leung, Y.Y.; Chow, L.K.; Wong, M.C.; Chan, E.K.; Fok, Y.H. Incidence of neurosensory deficits and recovery after lower third molar surgery: A prospective clinical study of 4338 cases. Int. J. Oral Maxillofac. Surg. 2010, 39, 320–326. [Google Scholar] [CrossRef] [PubMed]
- Goldberg, M.H.; Nemarich, A.N.; Marco, W.P. Complications after mandibular third molar surgery: A statistical analysis of 500 consecutive procedures in private practice. J. Am. Dent. Assoc. 1985, 111, 277–279. [Google Scholar] [CrossRef]
- Aznar-Arasa, L.; Figueiredo, R.; Gay-Escoda, C. Iatrogenic displacement of lower third molar roots into the sublingual space: Report of 6 cases. J. Oral Maxillofac. Surg. 2012, 70, e107–e115. [Google Scholar] [CrossRef] [PubMed]
- Nusrath, M.A.; Banks, R.J. Unrecognised displacement of mandibular molar root into the submandibular space. Br. Dent. J. 2010, 209, 279–280. [Google Scholar] [CrossRef]
- Bozkurt, P.; Erdem, E. Management of upper and lower molars that are displaced into the neighbouring spaces. Br. J. Oral Maxillofac. Surg. 2017, 55, 49–52. [Google Scholar]
- Campbell, A.; Costello, B.J. Retrieval of a displaced third molar using navigation and active image guidance. J. Oral Maxillofac. Surg. 2010, 68, 480–485. [Google Scholar] [CrossRef]
- Putrino, A.; Caputo, M.; Galeotti, A.; Marinelli, E.; Zaami, S. Type I Dentin Dysplasia: The Literature Review and Case Report of a Family Affected by Misrecognition and Late Diagnosis. Medicina 2023, 59, 1477. [Google Scholar] [CrossRef]
- Story, R.D. Medico-legal aspects of dental treatment of the ageing and aged patient. Aust. Dent. J. 2015, 60, 64–70. [Google Scholar] [CrossRef]
- Vehkalahti, M.M.; Swanljung, O. Operator-related aspects in endodontic malpractice claims in Finland. Acta Odontol. Scand. 2017, 75, 155–160. [Google Scholar] [CrossRef] [PubMed]
- Putrino, A.; Marinelli, E.; Raso, M.; Calace, V.; Zaami, S. Clear Aligners and Smart Eye Tracking Technology as a New Communication Strategy between Ethical and Legal Issues. Life 2023, 13, 297. [Google Scholar] [CrossRef] [PubMed]
- Cervera-Espert, J.; Pérez-Martínez, S.; Cervera-Ballester, J.; Peñarrocha-Oltra, D.; Peñarrocha-Diago, M. Coronectomy of impacted mandibular third molars: A meta-analysis and systematic review of the literature. Med. Oral Patol. Oral Cir. Bucal 2016, 21, e505–e513. [Google Scholar] [CrossRef]
- Park, K.J.; Choi, E.; Jung, I.Y.; Kim, S.T. Pharmacologic management of trigeminal nerve injury after endodontic treatment: A retrospective analysis. J. Oral Rehabil. 2024, 51, 1737–1747. [Google Scholar] [CrossRef]
- Verweij, J.P.; van Hof, K.S.; Malessy, M.J.; van Merkesteyn, R. Neuropathic Pain Due to Iatrogenic Lingual Nerve Lesion: Nerve Grafting to Reduce Otherwise Untreatable Pain. J. Craniofac. Surg. 2017, 28, 496–500. [Google Scholar] [CrossRef] [PubMed]
- Zeng, J.; Jiang, Y.; Liu, Y.; Hu, Y.; Guo, C.; Zhou, L. Research on a novel digital tooth sectioning guide system for tooth sectioning during mandibular third molar extraction: An in vitro study. J. Stomatol. Oral Maxillofac. Surg. 2023, 124, 101383. [Google Scholar] [CrossRef]
- Chhabra, K.; Selvaganesh, S.; Nesappan, T. Hybrid Navigation Technique for Improved Precision in Implantology. Cureus 2023, 15, e45440. [Google Scholar] [CrossRef]
- Mezio, M.; Putrino, A.; Barbato, E.; Pandolfi, S.; Cassetta, M. Application of CAD-CAM 3D Technology in Designing a Molar Distalization Device with Skeletal Anchorage: A Case Report. Dent. J. 2024, 12, 417. [Google Scholar] [CrossRef]
- Rajendra Santosh, A.B.; Jones, T. Enhancing Precision: Proposed Revision of FDI’s 2-Digit Dental Numbering System. Int. Dent. J. 2024, 74, 359–360. [Google Scholar] [CrossRef]
- Gay-Escoda, C.; Sánchez-Torres, A.; Borrás-Ferrerres, J.; Valmaseda-Castellón, E. Third molar surgical difficulty scales: Systematic review and preoperative assessment form. Med. Oral Patol. Oral Cir. Bucal 2022, 27, e68–e76. [Google Scholar] [CrossRef]
- Vranckx, M.; Ockerman, A.; Coucke, W.; Claerhout, E.; Grommen, B.; Miclotte, A.; Van Vlierberghe, M.; Politis, C.; Jacobs, R. Radiographic prediction of mandibular third molar eruption and mandibular canal involvement based on angulation. Orthod. Craniofac. Res. 2019, 22, 118–123. [Google Scholar] [CrossRef] [PubMed]
- Putrino, A.; Impellizzeri, A.; Pavese, L.; Barbato, E.; Galluccio, G. Orthodontic treatment and third molars development: Longitudinal study on radiographs. Dent. Cadmos 2019, 87, 558–570. [Google Scholar] [CrossRef]
- Coulthard, P.; Bailey, E.; Esposito, M.; Furness, S.; Renton, T.F.; Worthington, H.V. Surgical techniques for the removal of mandibular wisdom teeth. Cochrane Database Syst. Rev. 2014, 7, CD004345. [Google Scholar] [CrossRef]
- Candotto, V.; Oberti, L.; Gabrione, F.; Scarano, A.; Rossi, D.; Romano, M. Complication in third molar extractions. J. Biol. Regul. Homeost. Agents 2019, 33 (Suppl. 1), 169–172. [Google Scholar]
- Cassetta, M.; Pranno, N.; Barchetti, F.; Sorrentino, V.; Lo Mele, L. 3.0 Tesla MRI in the early evaluation of inferior alveolar nerve neurological complications after mandibular third molar extraction: A prospective study. Dentomaxillofac. Radiol. 2014, 43, 20140152. [Google Scholar] [CrossRef] [PubMed]
- Kiencało, A.; Jamka-Kasprzyk, M.; Panaś, M.; Wyszyńska-Pawelec, G. Analysis of complications after the removal of 339 third molars. Dent. Med. Probl. 2021, 58, 75–80. [Google Scholar] [CrossRef]
- Wang, B.; Sun, R.; Li, T.; Sun, Y.; Zheng, L.; Zhao, J. Does the “Root Removal First” strategy prevent postoperative complications in the surgical removal of impacted mandibular third molars in the Pell and Gregory class C and horizontal position?—A randomized clinical trial. BMC Oral Health 2023, 23, 391. [Google Scholar] [CrossRef]
- Sahoo, N.K.; Dubey, P.; Vaswani, H.; Pandey, S. Incidence and Management of Tooth Root Fracture in Mandibular Fracture Line—A Retrospective Study. Ann. Maxillofac. Surg. 2023, 13, 216–219. [Google Scholar] [CrossRef]
- Syomkin, V.A.; Kuzin, A.V.; Ordzhonikidze, M.Z.; Sogacheva, V.V.; Remizov, G.V. Khirurgicheskaya taktika pri dislokatsii kornya v myagkie tkani dna polosti rta v khode udaleniya nizhnego retinirovannogo tret’ego molyara [Root dislocation into the mouth floor as a complication of lower impacted third molar extraction]. Stomatologiia 2020, 99, 71–75. [Google Scholar] [CrossRef]
- Iwanaga, J.; Kato, T.; Ono, K.; Tubbs, R.S.; Ibaragi, S. Lingual nerve impairment/injury after retrieval of the displaced mandibular third molar into the floor of the mouth. Br. J. Oral Maxillofac. Surg. 2023, 61, 193–197. [Google Scholar] [CrossRef]
- Kushnerev, E.; Yates, J.M. Evidence-based outcomes following inferior alveolar and lingual nerve injury and repair: A systematic review. J. Oral Rehabil. 2015, 42, 786–802. [Google Scholar] [CrossRef] [PubMed]
- Zhao, S.; Wang, Y.; Yang, X.; Zhou, X.; Wang, Z.; Zhang, K.; Yang, X. Extraction of impacted mandibular third molars in close proximity to the inferior alveolar canal with coronectomy-miniscrew traction to avoid nerve injury. Clin. Oral Investig. 2023, 27, 4279–4288. [Google Scholar] [CrossRef] [PubMed]
- Maqbool, S.; Khan, N.S.; Abbas, I.; Khan, A. Frequency of Inferior Alveolar Nerve Injury During Third Molar Extraction. J. Coll. Physicians Surg. Pak. 2024, 34, 723–726. [Google Scholar] [CrossRef] [PubMed]
- González-Martínez, R.; Jovani-Sancho, M.D.; Cortell-Ballester, I. Does Psychological Profile Influence Third Molar Extraction and Postoperative Pain? J. Oral Maxillofac. Surg. 2017, 75, 484–490. [Google Scholar] [CrossRef]
- Niemczyk, W.; Balicz, A.; Lau, K.; Morawiec, T.; Kasperczyk, J. Factors Influencing Peri-Extraction Anxiety: A Cross-Sectional Study. Dent. J. 2024, 12, 187. [Google Scholar] [CrossRef]
- Kose, I.; Koparal, M.; Günes, N.; Atalay, Y.; Yaman, F.; Atilgan, S.; Kaya, G. Displaced lower third molar tooth into the submandibular space: Two case reports. J. Nat. Sci. Biol. Med. 2014, 5, 482–484. [Google Scholar] [CrossRef]
- Jolly, S.S.; Rattan, V.; Rai, S.K. Intraoral management of displaced root into submandibular space under local anaesthesia –a case report and review of literature. Saudi Dent. J. 2014, 26, 181–184. [Google Scholar] [CrossRef]
- Solanki, R.; Khangwal, M.; Kumar, D.; Goel, M. Retrieval of mandibular third molar tooth accidentally displaced in submandibular space: Series of two cases. Indian J. Dent. 2016, 7, 105–108. [Google Scholar]
- Kuang, S.; Liu, Y.; Zhuang, W.; Li, K.; Yang, W.; Tian, Y. The effect of root orientation on inferior alveolar nerve injury after extraction of impacted mandibular third molars based on propensity score-matched analysis: A retrospective cohort study. BMC Oral Health 2023, 23, 929. [Google Scholar] [CrossRef]
- Oliveira, M.M.M.; da Franca, A.R.; de Souza, D.D.; da Silva, B.A.; Carvalho, D.D.C. Third molar displacement into submandibular space. Case Rep. Dent. 2019, 2019, 6137868. [Google Scholar] [CrossRef]
- Picoli, F.F.; Fontenele, R.C.; Van der Cruyssen, F.; Ahmadzai, I.; Trigeminal Nerve Injuries Research Group; Politis, C.; Silva, M.A.G.; Jacobs, R. Risk assessment of inferior alveolar nerve injury after wisdom tooth removal using 3D AI-driven models: A within-patient study. J. Dent. 2023, 139, 104765. [Google Scholar] [CrossRef] [PubMed]
- Volonnino, G.; De Paola, L.; Spadazzi, F.; Serri, F.; Ottaviani, M.; Zamponi, M.V.; Arcangeli, M.; La Russa, R. Artificial intelligence and future perspectives in Forensic Medicine: A systematic review. Clin. Ter. 2024, 175, 193–202. [Google Scholar] [CrossRef]
- Medenica, S.; Zivanovic, D.; Batkoska, L.; Marinelli, S.; Basile, G.; Perino, A.; Cucinella, G.; Gullo, G.; Zaami, S. The Future Is Coming: Artificial Intelligence in the Treatment of Infertility Could Improve Assisted Reproduction Outcomes-The Value of Regulatory Frameworks. Diagnostics 2022, 12, 2979. [Google Scholar] [CrossRef]
- Marinelli, S.; Basile, G.; Zaami, S. Telemedicine, Telepsychiatry and COVID-19 Pandemic: Future Prospects for Global Health. Healthcare 2022, 10, 2085. [Google Scholar] [CrossRef] [PubMed]
- Napoletano, G.; Putrino, A.; Marinelli, E.; Zaami, S.; De Paola, L. Dental Identification System in Public Health: Innovations and Ethical Challenges: A Narrative Review. Healthcare 2024, 12, 1828. [Google Scholar] [CrossRef] [PubMed]
- Yazdanian, M.; Karami, S.; Tahmasebi, E.; Alam, M.; Abbasi, K.; Rahbar, M.; Tebyaniyan, H.; Ranjbar, R.; Seifalian, A.; Yazdanian, A. Dental Radiographic/Digital Radiography Technology along with Biological Agents in Human Identification. Scanning 2022, 2022, 5265912. [Google Scholar] [CrossRef]
- Shi, L.; Xue, Y.; Qiu, L.R.; Lu, T.; Fan, F.; Zhou, Y.C.; Deng, Z.H. Research Progress on Dental Age Estimation Based on MRI Technology. Fa Yi Xue Za Zhi 2024, 40, 112–117. [Google Scholar] [CrossRef]
- Putrino, A.; Bruti, V.; Enrico, M.; Costantino, C.; Ersilia, B.; Gabriella, G. Intraoral Scanners in Personal Identification of Corpses: Usefulness and Reliability of 3D Technologies in Modern Forensic Dentistry. Open Dent. J. 2020, 14, 255–266. [Google Scholar] [CrossRef]
- Kato, T.; Watanabe, T.; Nakao, K. An experience of displaced third molar roots removed using computer-assisted navigation system. J. Stomatol. Oral Maxillofac. Surg. 2023, 124, 101442. [Google Scholar] [CrossRef]
- Cassetta, M.; Altieri, F.; Giansanti, M.; Bellardini, M.; Brandetti, G.; Piccoli, L. Is there a learning curve in static computer-assisted implant surgery? A prospective clinical study. Int. J. Oral Maxillofac. Surg. 2020, 49, 1335–1342. [Google Scholar] [CrossRef]
- Bensing, J.R.; McElroy, K.E.; Perez, L., Jr. Retrieval of Displaced Third Molar Into the Sublingual Space Using 3-Dimensional Navigation Assistance. J. Oral Maxillofac. Surg. 2021, 79, e1–e537. [Google Scholar] [CrossRef] [PubMed]
- Kamburoglu, K.; Kursun, S.; Oztas, B. Submandibular displacement of a mandibular third molar root during extraction: A case report. Cases J. 2010, 3, 8. [Google Scholar] [CrossRef]
- Torul, D.; Kazan, D.; Bereket, M.C.; Karli, R. Persistent lingual paresthesia caused by a displaced tooth fragment: A case report and literature review. J. Korean Assoc. Oral Maxillofac. Surg. 2017, 43, S9–S13. [Google Scholar] [CrossRef] [PubMed]
- Ozyuvaci, H.; Firat, D.; Tanyel, C. Accidental displacement of a mandibular third molar: A case report. Quintessence Int. 2003, 34, 278–280. [Google Scholar]
- Adeyemi, M.O.; James, O.; Lawal, A.O.; Fadeyibi, S.O. Iatrogenic displacement of impacted mandibular third molar into the submandibular space complicated by submasseteric abscess. Afr. J. Trauma 2016, 5, 19–22. [Google Scholar]
- Kasatwar, A.; Bhola, N.; Borle, R.; Rajanikanth, K. Displacement of lower third molar into the lateral pharyngeal space in a case of mandibular angle fracture: An unusual complication. Contemp. Clin. Dent. 2016, 7, 229–231. [Google Scholar] [CrossRef]
- Nadeem, A.; Vohra, L.I.; Ahsan, A.; Mushahid, H.; Tariq, R.; Rizwan, M.; Gul, M.; Raufi, N. A rare case of mandibular third molar displaced into submandibular space: A complication of mandibular third molar extraction. Clin. Case Rep. 2023, 11, e8101. [Google Scholar] [CrossRef]
- Montanari Vergallo, G.; Zaami, S. Guidelines and best practices: Remarks on the Gelli-Bianco law. Clin. Ter. 2018, 169, e82–e85. [Google Scholar] [CrossRef]
- Wang, Y.; Mo, X.; Zhang, J.; Fan, Y.; Wang, K.; Peter, S. Quantitative sensory testing (QST) in the orofacial region of healthy Chinese: Influence of site, gender and age. Acta Odontol. Scand. 2018, 76, 58–63. [Google Scholar] [CrossRef]
- Nogueira, E.F.C.; Almeida, R.A.C.; Catunda, I.S.; Vasconcelos, B.C.D.E.; Leite Segundo, A.V. Impacted maxillary third molar displaced to the infratemporal space: A critical review and case report. Gen. Dent. 2019, 67, 16–20. [Google Scholar] [PubMed]
- Brand, H.S.; de Visscher, J.G.; Poorterman, J.H. Verwijzing van patiënten met niet-odontogene mondaandoeningen naar een mond-, kaak- en aangezichtschiurg [Referral of patients with non-odontogenic oral diseases to an oral and maxillofacial surgeon]. Ned. Tijdschr. Tandheelkd. 2012, 119, 250–253. [Google Scholar] [CrossRef] [PubMed]
- Sánchez-Jorge, M.I.; Cortés-Bretón-Brinkmann, J.; Acevedo-Ocaña, R.; Quispe-López, N.; Falahat, F.; Martín-Granizo, R. Perceived surgical difficulty of mandibular third molar extraction. A comparative cross-sectional study of dentists with postgraduate qualification in oral surgery and maxillofacial surgeons in a Spanish subpopulation. Med. Oral Patol. Oral Cir. Bucal 2024, 29, e263–e272. [Google Scholar] [CrossRef] [PubMed]
- Corte-Real, A.; Caetano, C.; Alves, S.; Pereira, A.D.; Rocha, S.; Nuno Vieira, D. Patient Safety in Dental Practice: Lessons to Learn About the Risks and Limits of Professional Liability. Int. Dent. J. 2021, 71, 378–383. [Google Scholar] [CrossRef]
- Ji, Y.D.; Peacock, Z.S.; Resnick, C.M. Characteristics of National Malpractice Claims in Oral and Maxillofacial Surgery. J. Oral Maxillofac. Surg. 2020, 78, 1314–1318. [Google Scholar] [CrossRef] [PubMed]
- Bordonaba-Leiva, S.; Gómez-Durán, E.L.; Balibrea, J.M.; Benet-Travé, J.; Martin-Fumadó, C.; Bescos Atin, C.; Mareque-Bueno, J.; Arimany-Manso, J. Twenty-four years of oral and maxillofacial surgery malpractice claims in Spain: Patient safety lessons to learn. Oral Maxillofac. Surg. 2019, 23, 187–192. [Google Scholar] [CrossRef]
- Badenoch-Jones, E.K.; White, B.P.; Lynham, A.J. The Australian litigation landscape—Oral and maxillofacial surgery and general dentistry (oral surgery procedures): An analysis of litigation cases. Aust. Dent. J. 2016, 61, 310–316. [Google Scholar] [CrossRef]
- Marei, H.F. Medical litigation in oral surgery practice: Lessons learned from 20 lawsuits. J. Forensic Leg. Med. 2013, 20, 223–225. [Google Scholar] [CrossRef]
- Guldiken, I.N.; Gulsever, S.; Malkoc, Y.; Yilmaz, Z.C.; Ozcan, M. Prophylactic third molar removal: Are oral surgeons and orthodontists aligned in preventive approaches? BMC Oral Health 2024, 24, 1072. [Google Scholar] [CrossRef]
- Ma, Y.; Yang, M.; Chen, X.; Qu, W.; Qu, X.; He, P. The effectiveness of photobiomodulation therapy on inferior alveolar nerve injury: A systematic review and META-analysis. PLoS ONE 2023, 18, e0287833. [Google Scholar] [CrossRef]
- Ducic, I.; Yoon, J. Reconstructive Options for Inferior Alveolar and Lingual Nerve Injuries After Dental and Oral Surgery: An Evidence-Based Review. Ann. Plast. Surg. 2019, 82, 653–660. [Google Scholar] [CrossRef]
- Ghasemi, S.; Babaloo, A.; Sadighi, M.; Torab, Z.; Mohammadi, H.; Khodadust, E. Effect of vitamin B complex administration on pain and sensory problems related to inferior alveolar nerve damage following mandibular implant placement surgery. J. Adv. Periodontol. Implant Dent. 2022, 14, 13–19. [Google Scholar] [CrossRef] [PubMed]



Disclaimer/Publisher’s Note: The statements, opinions and data contained in all publications are solely those of the individual author(s) and contributor(s) and not of MDPI and/or the editor(s). MDPI and/or the editor(s) disclaim responsibility for any injury to people or property resulting from any ideas, methods, instructions or products referred to in the content. |
© 2025 by the authors. Licensee MDPI, Basel, Switzerland. This article is an open access article distributed under the terms and conditions of the Creative Commons Attribution (CC BY) license (https://creativecommons.org/licenses/by/4.0/).
Share and Cite
Putrino, A.; Zaami, S.; Cassetta, M.; Altieri, F.; De Paola, L.; Marinelli, S. Inferior Alveolar Nerve Impairment Following Third-Molar Extraction: Management of Complications and Medicolegal Considerations. J. Clin. Med. 2025, 14, 2349. https://doi.org/10.3390/jcm14072349
Putrino A, Zaami S, Cassetta M, Altieri F, De Paola L, Marinelli S. Inferior Alveolar Nerve Impairment Following Third-Molar Extraction: Management of Complications and Medicolegal Considerations. Journal of Clinical Medicine. 2025; 14(7):2349. https://doi.org/10.3390/jcm14072349
Chicago/Turabian StylePutrino, Alessandra, Simona Zaami, Michele Cassetta, Federica Altieri, Lina De Paola, and Susanna Marinelli. 2025. "Inferior Alveolar Nerve Impairment Following Third-Molar Extraction: Management of Complications and Medicolegal Considerations" Journal of Clinical Medicine 14, no. 7: 2349. https://doi.org/10.3390/jcm14072349
APA StylePutrino, A., Zaami, S., Cassetta, M., Altieri, F., De Paola, L., & Marinelli, S. (2025). Inferior Alveolar Nerve Impairment Following Third-Molar Extraction: Management of Complications and Medicolegal Considerations. Journal of Clinical Medicine, 14(7), 2349. https://doi.org/10.3390/jcm14072349

