A 28-Year-Old Man with Stridor and Dyspnea
Abstract
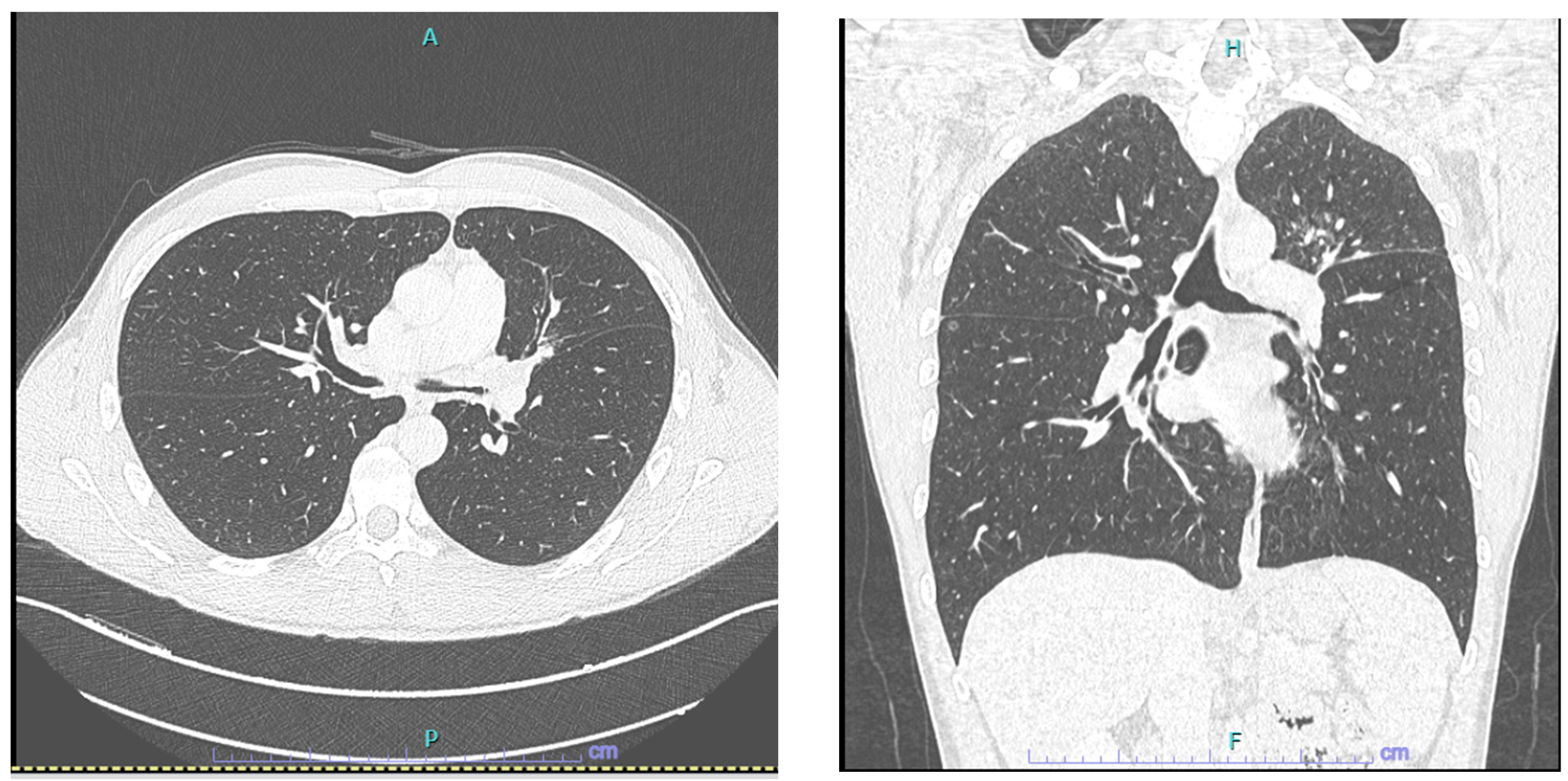
1. Case Presentation
2. Clinical Course
3. Discussion
- -
- Bloody nasal discharge, nasal crusting, or sinonasal congestion (+3);
- -
- Cartilaginous involvement (+2);
- -
- Conductive or sensorineural hearing loss (+1);
- -
- Cytoplasmic ANCA or anti-PR3 ANCA positivity (+5);
- -
- Pulmonary nodules, mass, or cavitation on chest imaging (+2);
- -
- Granuloma or giant cells on biopsy (+2);
- -
- Inflammation or consolidation of the nasal/paranasal sinuses on imaging (+1);
- -
- Pauci-immune glomerulonephritis (+1);
- -
- Perinuclear ANCA or anti-MPO ANCA positivity (−1);
- -
- Eosinophil count more than 1 × 109 cells/L (−4).
- Girard released a case series in 2016 that included 10 patients with ≥1 bronchial stenosis (BS) and 16 patients with solitary SGS. The median age at GPA diagnosis was 32 years old (3:13 and 28 years, respectively, for SGS patients), and the male/female sex ratio was 9:17. Overall, 62% of patients had at least one stenosis relapse despite receiving standard GPA therapy, compared to 81% of SGS patients, who had one to eight relapses overall. Future relapses were not averted by any of the several endoscopic or systemic therapies. Out of the seven patients treated, four out of six with BS(s) and one with SGS responded well to cyclophosphamide induction therapy. In 3/4 of SGS patients, rituximab produced remission following numerous relapses. The effectiveness of endoscopic procedures (dilation, laser, corticosteroid injection, etc.) was only temporary. Independent of TBSs, other GPA symptoms also relapsed. Acute respiratory distress syndrome claimed the life of one SGS patient. To be more specific, a total of 51 TBS relapses (42 SGS and 9 BS relapses) occurred in 16 patients (62%) who had at least one TBS relapse. While the GPA was in remission, 8 (89%) of the 9 BS and 22/42 (52%) of the SGS relapsed. With the exception of four SGS relapses that coincided with joint or eye involvement (scleritis), ENT disease was the only GPA manifestation throughout the remaining TBS relapses. Of the 16 TBS-relapsing patients, 10 (63%; 1 with BSs and 9 with SGS) maintained systemic GPA remission from the time of TBS diagnosis to the end of follow-up. Of the 26 patients, 6 (23%) experienced relapses of systemic disease, primarily ENT, but no TBS recurrence. As the sole patient with both BSs and SGS, patient 1 had six BS relapses, including five in the left main bronchus, and six SGS relapses, three of which happened without any accompanying BS relapse. Among SGS patients, patient 22 passed away from acute respiratory distress brought on by obstructive SGS following her first relapse, while patient 17 lost her sight following two relapses. Following first treatment or relapse management, the remission rates were 26% for SGS patients, 53% for BS patients, and 32% for all patients. The mean time between their subsequent relapses was 16, 8, and 18 months, respectively. Overall, 46% of cases treated solely medically without concurrent local procedures experienced remission (75% in the case of BS, 35% in the case of SGS). Further relapses were avoided in 24% of instances by combined therapy, 25% by local treatment alone, and 0% by BS patients [8].
- In 2015, a French nationwide retrospective study that included 47 patients with GPA-related TBS was conducted. Patients with TBS were younger, more likely to be female, and less likely to have kidney, ophthalmic, or gastrointestinal involvement as well as mononeuritis multiplex than those without the condition. There were 137 tracheal and 50 bronchial endoscopic procedures, primarily endoscopic dilatation, conservative laser surgery, and local steroid injection, with stenting occurring less frequently. The cumulative rate of endoscopic treatment failure following the initial endoscopic surgery was 49% at 1 year, 70% at 2 years, and 80% at 5 years. A shorter time from GPA diagnosis to endoscopic operation [hazard ratio (HR) 1.08 (95% CI 1.01, 1.14); p = 0.01] and bronchial stenosis [HR 1.96 (95% CI 1.28, 3.00); p = 0.002] were factors substantially linked to a higher cumulative frequency of treatment failure. A decreased cumulative incidence of treatment failure was linked to a prednisone dose of at least 30 mg per day at the time of the surgery [HR 0.53 (95% CI 0.31, 0.89); p = 0.02]. The authors came to the conclusion that TBS has a high rate of restenosis and is a severe and refractory symptom. Better event-free survival is linked to higher time between GPA diagnosis and bronchoscopic intervention, as well as high-dose systemic CSs throughout the surgery. On the other hand, compared to subglottic stenosis, bronchial stenoses are linked to a greater incidence of restenosis [8].
- In 2024, Ashjan Almuhanna published the first systematic review of this topic. The Preferred Reporting Items for Systematic Reviews and Meta-Analyses standards have been followed in this process. The review covered 224 cases in all, with patients ranging in age from 16 to 81. There were only 65 (29.5%) male patients, and 53 patients (24%) had preoperative immunosuppression administered. Dilatation of the subglottic area was the technique most often employed among the ten studies that examined endoscopic therapies for SGS in GPA; nine of these studies used an endoscopic balloon for dilatation, whereas only one study employed dilatation tracheostomy for management. Only one trial used an extra application of mitomycin-C, although all cases required concurrent interlesional steroid injection. Four trials showed that laser surgery and topical drug administration might resect the SGS segment. The most often used lasers were CO2, KTP, and nd-YAG lasers.
4. Future Perspectives
- While the combination of systemic immunosuppression and endoscopic procedures currently represents the cornerstone of treatment for GPA-related TBS, new and more targeted therapies are being actively explored. Agents that target specific immune pathways are promising in treating GPA, and their potential application to TBS warrants further investigation. These may offer more precise control over the inflammatory process underlying GPA, potentially reducing the frequency and severity of tracheobronchial stenosis. Additionally, the development of novel endoscopic techniques, including the use of laser therapy, balloon dilation, and self-expanding metal stents, continues to advance. The refinement of these techniques could lead to better long-term outcomes for patients. Emerging research on tissue engineering and regenerative medicine also suggests that cellular therapies, such as stem cell-based approaches, might one day play a role in repairing damaged tracheobronchial tissues, potentially providing more durable solutions for stenosis that does not respond to conventional treatments [14,15,16].
- Given the heterogeneity of GPA and its varying effects on the respiratory tract, personalized medicine is likely to become an integral part of managing TBS in these patients. The use of genetic profiling and a deeper understanding of the immunopathogenesis of GPA could allow for more precise identification of patients at risk of developing tracheobronchial stenosis. This would enable clinicians to tailor treatment regimens based on individual genetic and molecular characteristics, improving the likelihood of therapeutic success and minimizing side effects. Moreover, advancements in machine learning may contribute to this process by aiding in the prediction of disease progression and treatment outcomes. This shift towards precision medicine could revolutionize the approach to both diagnosis and treatment, optimizing clinical decision-making [17,18].
- In patients with GPA-related TBS, recurrence of stenosis remains a significant concern, highlighting the need for long-term surveillance and ongoing management. Future research should focus on developing effective strategies for long-term monitoring of the airway, and identifying predictive markers for relapse could allow for pre-emptive interventions, thus preventing exacerbations of stenosis [12,13].
- The complexity of GPA-related TBS underscores the importance of a multidisciplinary approach in both research and clinical care. Collaborative efforts between pulmonologists, rheumatologists, thoracic surgeons, radiologists, and immunologists will be crucial for advancing the management of this condition. Additionally, establishing international registries for patients with GPA-related TBS could facilitate multicenter studies and provide more robust data on treatment efficacy across diverse populations [19].
5. Conclusions
Author Contributions
Funding
Institutional Review Board Statement
Informed Consent Statement
Data Availability Statement
Conflicts of Interest
References
- Kitching, A.R.; Anders, H.J.; Basu, N.; Brouwer, E.; Gordon, J.; Jayne, D.R.; Kullman, J.; Lyons, P.A.; Merkel, P.A.; Savage, C.O.S.; et al. ANCA-Associated Vasculitis. Nat. Rev. Dis. Prim. 2020, 6, 71. [Google Scholar] [CrossRef] [PubMed]
- Pyo, J.Y.; Lee, L.E.; Park, Y.-B.; Lee, S.-W. Comparison of the 2022 ACR/EULAR Classification Criteria for Antineutrophil Cytoplasmic Antibody-Associated Vasculitis with Previous Criteria. Yonsei Med. J. 2023, 64, 11–17. [Google Scholar] [CrossRef] [PubMed]
- Adams, T.N.; Zhang, D.; Batra, K.; Fitzgerald, J.E. Pulmonary Manifestations of Large, Medium, and Variable Vessel Vasculitis. Respir. Med. 2018, 145, 182–191. [Google Scholar] [CrossRef] [PubMed]
- Girard, C.; Charles, P.; Terrier, B.; Bussonne, G.; Cohen, P.; Pagnoux, C.; Cottin, V.; Cordier, J.-F.; Guillevin, L. Tracheobronchial Stenoses in Granulomatosis With Polyangiitis (Wegener’s): A Report on 26 Cases. Medicine 2015, 94, e1088. [Google Scholar] [CrossRef]
- Ekbote, G.; Gupta, R.; Negalur, N.; Tanna, D. Severe Tracheobronchial Stenosis in Granulomatosis with Polyangiitis and Type 2 Respiratory Failure. Arch. Rheumatol. 2021, 36, 611–614. [Google Scholar] [CrossRef] [PubMed]
- Hellmich, B.; Sanchez-Alamo, B.; Schirmer, J.H.; Berti, A.; Blockmans, D.; Cid, M.C.; Holle, J.U.; Hollinger, N.; Karadag, O.; Kronbichler, A.; et al. EULAR Recommendations for the Management of ANCA-Associated Vasculitis: 2022 Update. Ann. Rheum. Dis. 2023, 83, 30–47. [Google Scholar] [CrossRef] [PubMed]
- Duarte, A.C.; Ribeiro, R.; Macedo, A.M.; Santos, M.J. ANCA-Associated Vasculitis: Overview and Practical Issues of Diagnosis and Therapy from a European Perspective. Porto Biomed. J. 2023, 8, e237. [Google Scholar] [CrossRef] [PubMed]
- Terrier, B.; Dechartres, A.; Girard, C.; Jouneau, S.; Kahn, J.-E.; Dhote, R.; Lazaro, E.; Cabane, J.; Papo, T.; Schleinitz, N.; et al. Granulomatosis with Polyangiitis: Endoscopic Management of Tracheobronchial Stenosis: Results from a Multicentre Experience. Rheumatology 2015, 54, 1852–1857. [Google Scholar] [CrossRef] [PubMed]
- Almuhanna, A.; Almahboob, A.; Alhussien, A.; Aljurayyed, R.; Alammar, A. Current Therapeutic Approaches to Subglottic Stenosis in Patients With GPA: A Systematic Review. Ear Nose Throat J. 2024, 103, 117–125. [Google Scholar] [CrossRef]
- Martinez Del Pero, M.; Jayne, D.; Chaudhry, A.; Sivasothy, P.; Jani, P. Long-term Outcome of Airway Stenosis in Granulomatosis With Polyangiitis (Wegener Granulomatosis): An Observational Study. JAMA Otolaryngol. Head Neck Surg. 2014, 140, 1038–1044. [Google Scholar] [CrossRef] [PubMed]
- Soussan, M.; Abisror, N.; Abad, S.; Nunes, H.; Terrier, B.; Pop, G.; Eder, V.; Valeyre, D.; Sberro-Soussan, R.; Guillevin, L.; et al. FDG-PET/CT in Patients with ANCA-Associated Vasculitis: Case-Series and Literature Review. Autoimmun. Rev. 2014, 13, 125–131. [Google Scholar] [CrossRef] [PubMed]
- Morris, A.D.; Rowbottom, A.W.; Martin, F.L.; Woywodt, A.; Dhaygude, A.P. Biomarkers in ANCA-Associated Vasculitis: Potential Pitfalls and Future Prospects. Kidney360 2021, 2, 586–597. [Google Scholar] [CrossRef]
- Scurt, F.G.; Bose, K.; Hammoud, B.; Brandt, S.; Bernhardt, A.; Gross, C.; Mertens, P.R.; Chatzikyrkou, C. Old Known and Possible New Biomarkers of ANCA-Associated Vasculitis. J. Autoimmun. 2022, 133, 102953. [Google Scholar] [CrossRef]
- Kalodimou, V.E. Mesechymal Stem Cells Applications in Regenerative Medicine and in Biotherapies. In Stem Cell Transplantation; Piccaluga, D.P.P., Visani, D.G., Khattab, D.S.S., Eds.; IntechOpen: Rijeka, Croatia, 2024; ISBN 978-0-85466-523-5. [Google Scholar]
- Maughan, E.F.; Hynds, R.E.; Proctor, T.J.; Janes, S.M.; Elliott, M.; Birchall, M.A.; Lowdell, M.W.; De Coppi, P. Autologous Cell Seeding in Tracheal Tissue Engineering. Curr. Stem Cell Rep. 2017, 3, 279–289. [Google Scholar] [CrossRef]
- Elliott, M.J.; Butler, C.R.; Varanou-Jenkins, A.; Partington, L.; Carvalho, C.; Samuel, E.; Crowley, C.; Lange, P.; Hamilton, N.J.; Hynds, R.E.; et al. Tracheal Replacement Therapy with a Stem Cell-Seeded Graft: Lessons from Compassionate Use Application of a GMP-Compliant Tissue-Engineered Medicine. Stem Cells Transl. Med. 2017, 6, 1458–1464. [Google Scholar] [CrossRef]
- Trivioli, G.; Marquez, A.; Martorana, D.; Tesi, M.; Kronbichler, A.; Lyons, P.A.; Vaglio, A. Genetics of ANCA-Associated Vasculitis: Role in Pathogenesis, Classification and Management. Nat. Rev. Rheumatol. 2022, 18, 559–574. [Google Scholar] [CrossRef] [PubMed]
- Banos, A.; Thomas, K.; Garantziotis, P.; Filia, A.; Malissovas, N.; Pieta, A.; Nikolakis, D.; Panagiotopoulos, A.G.; Chalkia, A.; Petras, D.; et al. The Genomic Landscape of ANCA-Associated Vasculitis: Distinct Transcriptional Signatures, Molecular Endotypes and Comparison with Systemic Lupus Erythematosus. Front. Immunol. 2023, 14, 1072598. [Google Scholar] [CrossRef] [PubMed]
- Gisslander, K.; White, A.; Aslett, L.; Hrušková, Z.; Lamprecht, P.; Musiał, J.; Nazeer, J.; Ng, J.; O’Sullivan, D.; Puéchal, X.; et al. Data-Driven Subclassification of ANCA-Associated Vasculitis: Model-Based Clustering of a Federated International Cohort. Lancet Rheumatol. 2024, 6, e762–e770. [Google Scholar] [CrossRef]



Disclaimer/Publisher’s Note: The statements, opinions and data contained in all publications are solely those of the individual author(s) and contributor(s) and not of MDPI and/or the editor(s). MDPI and/or the editor(s) disclaim responsibility for any injury to people or property resulting from any ideas, methods, instructions or products referred to in the content. |
© 2025 by the authors. Licensee MDPI, Basel, Switzerland. This article is an open access article distributed under the terms and conditions of the Creative Commons Attribution (CC BY) license (https://creativecommons.org/licenses/by/4.0/).
Share and Cite
Bertuccio, F.R.; Valente, D.; Baio, N.; Tomaselli, S.; Saracino, L.; Sciandrone, G.; Milanesi, A.; Delvino, P.; Codullo, V.; Corsico, A.G.; et al. A 28-Year-Old Man with Stridor and Dyspnea. J. Clin. Med. 2025, 14, 1532. https://doi.org/10.3390/jcm14051532
Bertuccio FR, Valente D, Baio N, Tomaselli S, Saracino L, Sciandrone G, Milanesi A, Delvino P, Codullo V, Corsico AG, et al. A 28-Year-Old Man with Stridor and Dyspnea. Journal of Clinical Medicine. 2025; 14(5):1532. https://doi.org/10.3390/jcm14051532
Chicago/Turabian StyleBertuccio, Francesco Rocco, Davide Valente, Nicola Baio, Stefano Tomaselli, Laura Saracino, Gaetano Sciandrone, Alessandra Milanesi, Paolo Delvino, Veronica Codullo, Angelo Guido Corsico, and et al. 2025. "A 28-Year-Old Man with Stridor and Dyspnea" Journal of Clinical Medicine 14, no. 5: 1532. https://doi.org/10.3390/jcm14051532
APA StyleBertuccio, F. R., Valente, D., Baio, N., Tomaselli, S., Saracino, L., Sciandrone, G., Milanesi, A., Delvino, P., Codullo, V., Corsico, A. G., & Stella, G. M. (2025). A 28-Year-Old Man with Stridor and Dyspnea. Journal of Clinical Medicine, 14(5), 1532. https://doi.org/10.3390/jcm14051532

