Simultaneous Medullary and Papillary Thyroid Carcinomas: Personal Experience Report and Literature Review
Abstract
1. Introduction
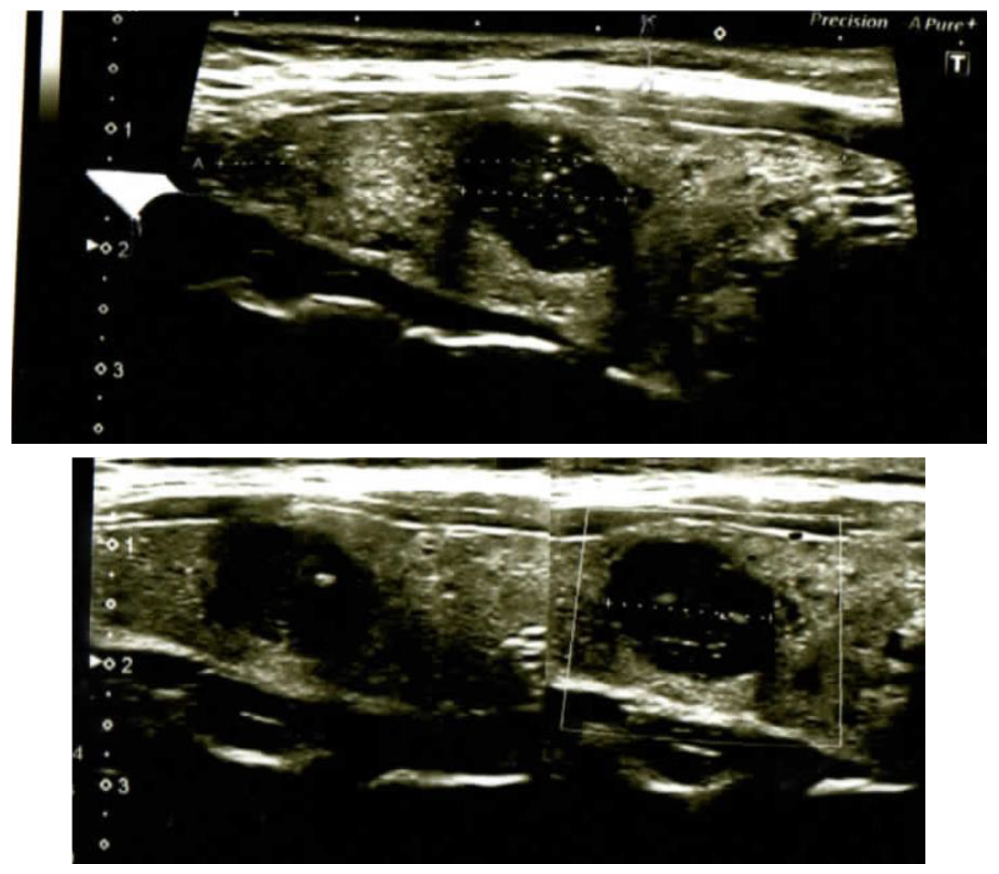
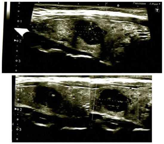
2. Our Experience
3. Discussion
Author Contributions
Funding
Institutional Review Board Statement
Informed Consent Statement
Data Availability Statement
Acknowledgments
Conflicts of Interest
References
- Cabanillas, M.E.; McFadden, D.G.; Durante, C. Thyroid cancer. Lancet 2016, 388, 2783–2795. [Google Scholar] [CrossRef] [PubMed]
- Biscolla, R.P.; Ugolini, C.; Sculli, M.; Bottici, V.; Castagna, M.G.; Romei, C.; Cosci, B.; Molinaro, E.; Faviana, P.; Basolo, F.; et al. Medullary and papillary tumors are frequently associated in the same thyroid gland without evidence of reciprocal influence in their biologic behavior. Thyroid 2004, 14, 946–952. [Google Scholar] [CrossRef]
- Wong, R.L.; Kazaure, H.S.; Roman, S.A.; Sosa, J.A. Simultaneous medullary and differentiated thyroid cancer: A population-level analysis of an increasingly common entity. Ann. Surg. Oncol. 2012, 19, 2635–2642. [Google Scholar] [CrossRef] [PubMed]
- Kim, W.G.; Gong, G.; Kim, E.; Kim, T.Y.; Hong, S.J.; Kim, W.B.; Shong, J.K. Concurrent occurrence of medullary thyroid carcinoma and papillary thyroid carcinoma in the same thyroid should be considered as coincidental. Clin. Endocrinol. 2010, 72, 256–263. [Google Scholar] [CrossRef]
- Machens, A.; Dralle, H. Simultaneous medullary and papillary thyroid cancer: A novel entity? Ann. Surg. Oncol. 2012, 19, 37–44. [Google Scholar] [CrossRef]
- Gadong, L.G.; Crisostomo, T. Simultaneous Occurrence of Papillary Carcinoma and Medullary Carcinoma. J. ASEAN Fed. Endocr. Soc. 2019, 34, 226–228. [Google Scholar] [CrossRef] [PubMed]
- Wang, J.; Yin, D.; Ren, G.; Wang, Z.; Kong, F. Mixed medullary-follicular thyroid carcinoma: A case report and literature review. Oncol. Lett. 2023, 26, 429. [Google Scholar] [CrossRef] [PubMed]
- Abdelaal, A.; El Ansari, W.; Abusabeib, A.; Farghaly, H.; Tabeb, A.A.M. Simultaneous occurrence of follicular and papillary thyroid carcinomas in same thyroid lobe: A case series of six patients from Qatar. Int. J. Surg. Case Rep. 2020, 73, 65–70. [Google Scholar] [CrossRef] [PubMed]
- Appetecchia, M.L.; Lauretta, R.; Barnabei, A.; Pieruzzi, L.; Terrenato, I.; Cavedon, E.; Mian, C.; Castagna, M.G.; Elisei, R. Epidemiology of simultaneous medullary and papillary carcinomas (MTC/PTC): An Italian multicenter study. Cancers 2019, 11, 1516. [Google Scholar] [CrossRef] [PubMed]
- Zhang, D.; Yang, M.; Zhang, X.; Wang, C.; Li, K.; Wang, H.; Chi, H.; Sui, C.; Dionigi, G.; Sun, H. Thirty synchronous medullary and papillary thyroid carcinomas. Front. Endocrinol. 2023, 14, 1153248. [Google Scholar] [CrossRef] [PubMed]
- Lamartina, L.; Grani, G.; Arvat, E.; Nervo, A.; Zatelli, M.C.; Rossi, R.; Puxeddu, E.; Morelli, S.; Torlontano, M.; Massa, M.; et al. 8th edition of the AJCC/TNM staging system of thyroid cancer: What to expect (ITCO#2). Endocr. Relat. Cancer 2018, 25, L7–L11. [Google Scholar] [CrossRef] [PubMed]
- Lamberg, B.A.; Reissel, P.; Stenman, S.; Koivuniemi, A.; Ekbolm, M.; Mäkinen, J.; Franssila, K. Concurrent medullary and papillary thyroid carcinoma in the same thyroid lobe and in siblings. Acta Med. Scand. 1981, 209, 421–424. [Google Scholar] [CrossRef] [PubMed]
- Rossi, S.; Fugazzola, L.; De Pasquale, L.; Braidotti, P.; Cirello, V.; Beck-Peccoz, P.; Bosari, S.; Bastagli, A. Medullary and papillary carcinoma of the thyroid gland occurring as a collision tumour: Report of three cases with molecular analysis and review of the literature. Endocr. Relat. Cancer 2005, 12, 281–289. [Google Scholar] [CrossRef]
- Adnan, Z.; Arad, E.; Danaz, J.; Shendler, Y.; Baroni, E. Simultaneous occurrence of medullary and papillary thyroid microcarcinomas: A case series and review of the literature. J. Med. Case Rep. 2013, 7, 26. [Google Scholar] [CrossRef][Green Version]
- Lubitz, C.C.; Sosa, J.A. The changing landscape of papillary thyroid cancer: Epidemiology, management, and the implications for patients. Cancer 2016, 122, 3754–3759. [Google Scholar] [CrossRef] [PubMed]
- Abdullah, A.M.; Ali, R.M.; Salih, K.M.; Mohammed, K.K.; Kakamad, F.H.; Salih, A.M. Synchronous occurrence of papillary thyroid microcarcinoma, medullary thyroid carcinoma and Hashimoto thyroiditis in a single thyroid: A case report with literature review. Int. J. Surg. Case Rep. 2022, 93, 106888. [Google Scholar] [CrossRef] [PubMed]
- Kim, K.J.; Hong, S.W.; Kim, S.M.; Lee, Y.S.; Park, H.S. Synchronous occurrence of papillary, follicular, and medullary carcinoma in the same thyroid gland. Korean J. Endocr. Surg. 2014, 14, 167–170. [Google Scholar] [CrossRef][Green Version]
- Nikiforov, Y.E. RET/PTC rearrangement in thyroid tumors. Endocr. Pathol. 2002, 13, 3–16. [Google Scholar] [CrossRef]
- Soares, P.; Trovisco, V.; Rocha, A.S.; Lima, J.; Castro, P.; Preto, A.; Máximo VBotelho, T.; Seruca, R.; Sobrinho-Simões, M. BRAF mutations and RET/PTC rearrangements are alternative events in the etiopathogenesis of PTC. Oncogene 2003, 17, 4578–4580. [Google Scholar] [CrossRef] [PubMed]
- Xu, X.; Quiros, R.M.; Gattuso, P.; Ain, K.B.; Prinz, R.A. High prevalence of BRAFgene mutation in papillary thyroid carcinomas and thyroid tumor cell lines. Cancer Res. 2003, 63, 4561–4567. [Google Scholar]
- Ciampi, R.; Romei, C.; Pieruzzi, L.; Tacito, A.; Molinaro, E.; Agate, L.; Bottici, V.; Casella, F.; Ugolini, C.; Materazzi, G.; et al. Classical point mutations of RET, BRAF and RAS oncogenes are not shared in papillary and medullary thyroid cancer occurring simultaneously in the same gland. J. Endocrinol. Investig. 2017, 40, 55–62. [Google Scholar] [CrossRef] [PubMed]
- Nilsson, M.; Williams, D. On the Origin of Cells and Derivation of Thyroid Cancer: C Cell Story Revisited. Eur. Thyroid J. 2016, 5, 79–93. [Google Scholar] [CrossRef] [PubMed]
- Degertekin, C.K.; Yilmaz, B.A.; Toruner, F.B.; Kalkanci, A.; Iyidir, O.T.; Fidan, I.; Yesilyurt, E.; Cakır, N.; Kustimur, S.; Arslan, M. Circulating Th17 cytochine levels are alterated in Hashioto thyroiditis. Cytochine 2016, 80, 13–17. [Google Scholar]
- Tamimi, D.M. The association between chronic lymphocytic thyroiditis and thyroid tumours. Int. J. Surg. Pathol. 2002, 10, 141–146. [Google Scholar] [CrossRef]
- Essig, G.F., Jr.; Porter, K.; Schneider, D.; Debora, A.; Lindsey, S.C.; Busonero, G.; Fineberg, D.; Fruci, B.; Boelaert, K.; Smit, J.W.; et al. Fine needle aspiration and medullary thyroid carcinoma: The risk of inadequate preoperative evaluation and initial surgery when relying upon FNAB cytology alone. Endocr. Pract. 2013, 19, 920–927. [Google Scholar] [CrossRef] [PubMed]
- Beninato, T.; Kluijfhout, W.P.; Drake, F.T.; Shen, W.T.; Suh, I.; Duh, Q.Y.; Clark, O.; Gosnell, J. Preoperative diagnosis predicts outcomes in patients with concurrent medullary and papillary thyroid carcinoma. World J. Endocr. Surg. 2017, 9, 94–99. [Google Scholar]
- Haugen, B.R.; Alexander, E.K.; Bible, K.C.; Doherty, G.M.; Mandel, S.J.; Nikiforov, Y.E.; Pacini, F.; Randolph, G.W.; Sawka, A.M.; Schlumberger, M.; et al. 2015 American Thyroid Association management guidelines for adult patients with thyroid nodules and differentiated thyroid cancer: The American Thyroid Association guidelines task force on thyroid nodules and differentiated thyroid cancer. Thyroid 2016, 26, 1–133. [Google Scholar] [CrossRef]
- Gordon, A.J.; Dublin, J.C.; Patel, E.; Papazian, M.; Chow, M.S.; Persky, M.J.; Jacobson, A.S.; Patel, K.N.; Suh, I.; Morris, L.G.T.; et al. American Thyroid Association Guidelines and National Trends in Management of Papillary Thyroid Carcinoma. JAMA Otolaryngol. Head Neck Surg. 2022, 148, 1156–1163. [Google Scholar] [CrossRef] [PubMed]
- Kim, M.; Kim, B.H. Current Guidelines for Management of Medullary Thyroid Carcinoma. Endocrinol. Metab. 2021, 36, 514–524. [Google Scholar] [CrossRef] [PubMed]
- Wells, S.A., Jr.; Asa, S.L.; Dralle, H.; Elisei, R.; Evans, D.B.; Gagel, R.F.; Lee, N.; Machens, A.; Moley, J.F.; Pacini, F.; et al. Revised American Thyroid Association guidelines for the management of medullary thyroid carcinoma. Thyroid 2015, 25, 567–610. [Google Scholar] [CrossRef] [PubMed]
- Filetti, S.; Durante, C.; Hartl, D.; Leboulleux, S.; Locati, L.; Newbold, K.; Papotti, M.; Berruti, A. Thyroid cancer: ESMO clinical practice guidelines for diagnosis, treatment and follow-up. Ann. Oncol. 2019, 30, 1856–1883. [Google Scholar] [CrossRef] [PubMed]
- Machens, A.; Lorenz, K.; Dralle, H. Prediction of biochemical cure in patients with medullary thyroid cancer. Br. J. Surg. 2020, 107, 695–704. [Google Scholar] [CrossRef] [PubMed]
- Walgama, E.; Busaidy, N.; Zafereo, M. Novel therapeutics and treatment strategies for medullary thyroid cancer. Endocrinol. Metab. Clin. N. Am. 2022, 51, 379–389. [Google Scholar] [CrossRef] [PubMed]
- Matei, M.; Vlad, M.M.; Golu, I.; Dumitru, C.Ș.; De Scisciolo, G.; Matei, S.C. Can Routine Laboratory Tests Be Suggestive in Determining Suspicions of Malignancy in the Case of Thyroid Nodules? Medicina 2023, 59, 1488. [Google Scholar] [CrossRef] [PubMed] [PubMed Central]
- Liu, Y.; Geng, H.; Liu, X.; Cao, M.; Zhang, X. A meta-analysis of circulating microRNAs in the diagnosis of papillary thyroid carcinoma. PLoS ONE 2021, 16, e0251676. [Google Scholar] [CrossRef] [PubMed] [PubMed Central]
- Thomas, C.M.; Asa, S.L.; Ezzat, S.; Sawka, A.M.; Goldstein, D. Diagnosis and pathologic characteristics of medullary thyroid carcinoma-review of current guidelines. Curr. Oncol. 2019, 26, 338–344. [Google Scholar] [CrossRef] [PubMed] [PubMed Central]
- Zhao, J.; Yang, F.; Wei, X.; Mao, Y.; Mu, J.; Zhao, L.; Wu, J.; Xin, X.; Zhang, S.; Tan, J. Ultrasound features value in the diagnosis and prognosis of medullary thyroid carcinoma. Endocrine 2021, 72, 727–734. [Google Scholar] [CrossRef] [PubMed]
- Abe, I.; Lam, A.K. Assessment of Papillary Thyroid Carcinoma with Ultrasound Examination. Methods Mol. Biol. 2022, 2534, 17–28. [Google Scholar] [CrossRef] [PubMed]

| Stage | Medullary Thyroid Carcinoma | Papillary Thiroid Carcinoma |
|---|---|---|
| Case 1 | pT1b N0 | pT1a N0 |
| Case 2 | pT2N0 | pT1am N0 |
| Case 3 | pT1bN0 | pT1a N1a |
Disclaimer/Publisher’s Note: The statements, opinions and data contained in all publications are solely those of the individual author(s) and contributor(s) and not of MDPI and/or the editor(s). MDPI and/or the editor(s) disclaim responsibility for any injury to people or property resulting from any ideas, methods, instructions or products referred to in the content. |
© 2025 by the authors. Licensee MDPI, Basel, Switzerland. This article is an open access article distributed under the terms and conditions of the Creative Commons Attribution (CC BY) license (https://creativecommons.org/licenses/by/4.0/).
Share and Cite
De Falco, N.; Agresti, M.; De Falco, M.; Sperlongano, P.; Moccia, G.; Luongo, P.; Cece, A.; Bove, F.; Miele, F.; Allaria, A.; et al. Simultaneous Medullary and Papillary Thyroid Carcinomas: Personal Experience Report and Literature Review. J. Clin. Med. 2025, 14, 1382. https://doi.org/10.3390/jcm14041382
De Falco N, Agresti M, De Falco M, Sperlongano P, Moccia G, Luongo P, Cece A, Bove F, Miele F, Allaria A, et al. Simultaneous Medullary and Papillary Thyroid Carcinomas: Personal Experience Report and Literature Review. Journal of Clinical Medicine. 2025; 14(4):1382. https://doi.org/10.3390/jcm14041382
Chicago/Turabian StyleDe Falco, Nadia, Massimo Agresti, Massimo De Falco, Pasquale Sperlongano, Giancarlo Moccia, Pasquale Luongo, Alessio Cece, Francesco Bove, Francesco Miele, Alfredo Allaria, and et al. 2025. "Simultaneous Medullary and Papillary Thyroid Carcinomas: Personal Experience Report and Literature Review" Journal of Clinical Medicine 14, no. 4: 1382. https://doi.org/10.3390/jcm14041382
APA StyleDe Falco, N., Agresti, M., De Falco, M., Sperlongano, P., Moccia, G., Luongo, P., Cece, A., Bove, F., Miele, F., Allaria, A., Torelli, F., Bassi, P., Sciarra, A., Avenia, S., Della Monica, P., Colapietra, F., Di Domenico, M., Docimo, L., & Parmeggiani, D. (2025). Simultaneous Medullary and Papillary Thyroid Carcinomas: Personal Experience Report and Literature Review. Journal of Clinical Medicine, 14(4), 1382. https://doi.org/10.3390/jcm14041382

