Giant Ovarian Tumors in Young Women: Diagnostic and Treatment Challenges—A Report of Two Cases and Narrative Review of the Recent Literature
Abstract
1. Introduction
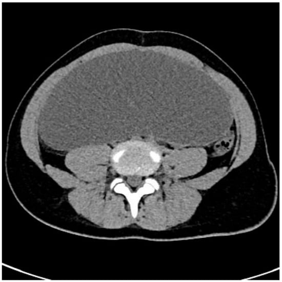
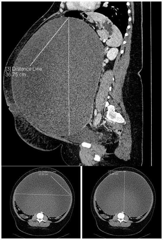
2. Detailed Case Descriptions
3. Methods
Search Strategy
4. Discussion and Literature Review
5. Conclusions
Author Contributions
Funding
Institutional Review Board Statement
Informed Consent Statement
Data Availability Statement
Conflicts of Interest
References
- Mobeen, S.; Apostol, R. Ovarian Cyst. In StatPearls [Internet]; StatPearls Publishing: Treasure Island, FL, USA, 2024. Available online: https://www.ncbi.nlm.nih.gov/books/NBK560541/ (accessed on 29 May 2024).
- Farghaly, S.A. Current diagnosis and management of ovarian cysts. Clin. Exp. Obstet. Gynecol. 2014, 41, 609–612. [Google Scholar] [CrossRef]
- Al Zahidy, Z.A. Causes and management of ovarian cysts. Egypt. J. Hosp. Med. 2018, 70, 1818–1822. [Google Scholar] [CrossRef]
- Liu, H.; Wang, X.; Lu, D.; Liu, Z.; Shi, G. Ovarian masses in children and adolescents in China: Analysis of 203 cases. J. Ovarian Res. 2013, 6, 47. [Google Scholar] [CrossRef] [PubMed]
- Mahadik, K.; Ghorpade, K. Childhood ovarian malignancy. J. Obstet. Gynecol. India 2014, 64, 91–94. [Google Scholar] [CrossRef]
- Zhang, M.; Jiang, W.; Li, G.; Xu, C. Ovarian masses in children and adolescents—An analysis of 521 clinical cases. J. Pediatr. Adolesc. Gynecol. 2014, 27, e73–e77. [Google Scholar] [CrossRef]
- Rathore, R.; Sharma, S.; Arora, D. Spectrum of Childhood and Adolescent Ovarian Tumors in India: 25 Years Experience at a Single Institution. Open Access Maced. J. Med. Sci. 2016, 4, 551–555. [Google Scholar] [CrossRef] [PubMed]
- Margioula-Siarkou, C.; Petousis, S.; Margioula-Siarkou, G.; Mavromatidis, G.; Chatzinikolaou, F.; Hatzipantelis, E.; Guyon, F.; Dinas, K. Therapeutic Management and Prognostic Factors for Ovarian Malignant Tumours in Adolescents: A Comprehensive Review of Current Guidelines. Diagnostics 2023, 13, 1080. [Google Scholar] [CrossRef]
- Banlı-Cesur, I.; Tanrıdan-Okcu, N.; Özçelik, Z. Ovarian masses in children and adolescents: Analysis on 146 patients. J. Gynecol. Obstet. Hum. Reprod. 2021, 50, 101901. [Google Scholar] [CrossRef] [PubMed]
- Onuzo, C.N.; Gordon, A.S.; Amoatwo, J.K.A.; Kuti, C.K.; Taylor, P.; Sefogah, P.E. A giant 25 litre volume ovarian cystic mucinous borderline ovarian tumour with intraepithelial carcinoma in a 24-year-old nulliparous woman: Case report. Int. J. Surg. Case Rep. 2024, 119, 109732. [Google Scholar] [CrossRef]
- Ayyanar, P.; Sable, M.N.; Sethi, P.; Prasad, N.; Mishra, P. An unreported case of intraoperative frozen section diagnosis of a sclerosing stromal tumor of the ovary—A report with a review. Indian J. Pathol. Microbiol. 2024, 67, 684–687. [Google Scholar] [CrossRef]
- Grisales-Gallo, J.E.; Salinas-Castro, K.J.; Nasner, D.; Toro-Gutiérrez, J.S. Mature cystic teratoma overlapping with giant serous cystadenoma of the ovary: A case report. Radiol. Case Rep. 2023, 19, 218–222. [Google Scholar] [CrossRef]
- He, Y.; Yan, X.; Guo, J. Diagnosis of a large cystic teratoma of accessory ovary complicated with torsion by ultrasound: A case report. Medicine 2024, 103, e39716. [Google Scholar] [CrossRef] [PubMed]
- Mbwambo, O.J.; Anthony, J.; Mremi, A.; Ngowi, N.B.; Mvunta, D.H. A case report on rare co-occurrence of invasive ovarian mucinous adenocarcinoma, unilateral renal agenesis, and bicornuate uterus: Is it a new triad? BMC Womens Health 2024, 24, 300. [Google Scholar] [CrossRef]
- Kluz, T.; Bogaczyk, A.; Wita-Popów, B.; Habało, P.; Kluz-Barłowska, M. Giant Ovarian Tumor. Medicina 2023, 59, 1833. [Google Scholar] [CrossRef] [PubMed]
- Park, H.; Goodman, C.P.; Raymond, S.L.; Sundin, A.; Khan, F.A.; Radulescu, A. A 12-Year-Old Girl with Juvenile Granulosa Cell Tumor of the Ovary, Presenting with Adolescent Hyperprolactinemia, Galactorrhea, and Amenorrhea. Am. J. Case Rep. 2023, 24, e938249. [Google Scholar] [CrossRef]
- Liu, S.; Zhang, H. Giant ovarian dysgerminoma in an adolescent. Asian J. Surg. 2023, 46, 5805–5806. [Google Scholar] [CrossRef]
- Barragán-Curiel, A.E.; Murillo-Zepeda, C.; Castro-Perez, K.F.; Alcalá-Aguirre, F.O.; Diaz-Montoya, L.S.; Ruiz-Félix, O.A.; Acevedo-Delgado, J.A.; Velasco-Preciado, M. Giant Mature Ovarian Cystic Teratoma in a Pediatric Patient: Case Report and Literature Review. Case Rep. Oncol. 2023, 16, 1066–1072. [Google Scholar] [CrossRef] [PubMed]
- Yazawa, R.; Yazawa, H.; Fukuda, K.; Ohara, M.; Osuka, F. Four cases of pseudomyxoma peritonei with ovarian tumors at our hospital. Fukushima J. Med. Sci. 2023, 69, 57–65. [Google Scholar] [CrossRef] [PubMed]
- Rodrigues-Martins, D.; Castro, F.; Costa, F.; Castro, D.M. Voluminous bilateral adnexal cysts in a young female: The challenge of fertility preservation. JBRA Assist. Reprod. 2023, 27, 572–575. [Google Scholar] [CrossRef]
- Tzortzopoulou, A.; Kordasz, M.; Häcker, F.M.; Krebs, T. The Alexis Laparoscopic System as Minimally Invasive Surgical Technique in Operative Management of Huge Cystic Ovarian Tumors in Children and Young Adolescents: A Case Report. J. Pediatr. Adolesc. Gynecol. 2023, 36, 560–562. [Google Scholar] [CrossRef]
- Spencer, B.L.; Lotakis, D.M.; Imel, S.; Speck, K.E. Acute Large Ovarian Cyst After Surgical Resection of Juvenile Granu-losa Cell Tumor Stage 1C. Am. Surg. 2023, 89, 6396–6399. [Google Scholar] [CrossRef] [PubMed]
- Li, Q.; Zou, C.; Xu, Y.; Liu, S.; Yan, T. Mucinous cystadenocarcinoma of the ovary in a 14-year-old girl: A case report and literature review. BMC Womens Health 2023, 23, 382. [Google Scholar] [CrossRef] [PubMed]
- Utami, T.W.; Feharsal, Y.; Nuranna, L.; Purwoto, G.; Siregar, T.P.; Hellyanti, T. Histopathological and biomarker complete response after neoadjuvant chemotherapy of advanced stage yolk sac tumor of the ovary: A case report and literature review. Int. J. Surg. Case Rep. 2023, 112, 108915. [Google Scholar] [CrossRef] [PubMed]
- Gharbia, N.; Halouani, A.; Tekaya, F.; Slama, S.B.; Triki, A.; Amor, A.B. Infected, giant borderline ovarian tumor: A case report. Int. J. Surg. Case Rep. 2023, 111, 108873. [Google Scholar] [CrossRef] [PubMed]
- Kumari, S.; Yadav, R. A case of mature ovarian teratoma harboring intestine. Int. J. Gynecol. Cancer 2024, 34, 793. [Google Scholar] [CrossRef] [PubMed]
- Damásio, I.L.; Leite, V.A.P.H.; dos Santos, R.J.A.M. Giant ovarian cystadenoma in association with Cowden syndrome. Endokrynol. Pol. 2022, 73, 796–797. [Google Scholar] [CrossRef]
- Morrison, A.; Pressey, J.G.; VandenHeuvel, K.; Streich-Tilles, T. Atypical Presentation of Granulosa Cell Tumor in an Adolescent: A Case Report. J. Pediatr. Adolesc. Gynecol. 2023, 36, 553–555. [Google Scholar] [CrossRef] [PubMed]
- AlEssa, A.; AlAhmadi, H.H.; Ahmed, A.; AlMousa, A.; Hamadeh, N.G.; Farah, Y.A.H. Well-differentiated cerebellum in an ovarian mature cystic teratoma: A case report and review of the literature. J. Med. Case Rep. 2022, 16, 215. [Google Scholar] [CrossRef]
- Gurung, R.; Ali, A.A.; Hayati, F.; Rajakumar, V.V.; Payus, A.O.; Wynn, A.A.; Azizan, N.; Ahmed Abdelhafez, M.M.; Abdullah, B. Delayed presentation of a huge abdominopelvic mass during the COVID-19 pandemic. Ann. Med. Surg. 2022, 82, 104576. [Google Scholar] [CrossRef] [PubMed]
- Alsereihi, R.S.; Albarakati, M.H.; Allihybi, S.M. Ovarian mucinous cystadenocarcinoma in an 11-year-old girl. J. Pediatr. Surg. Case Rep. 2022, 85, 102416. [Google Scholar] [CrossRef]
- Haddout, S.; Berrehili, H.; Benhessou, M.; Ennachit, M.; El Karroumi, M. Dysgerminoma associated with spleno-gonadal fusion syndrome and supernumerary spleen. Int. J. Surg. Open 2022, 45, 100520. [Google Scholar] [CrossRef]
- Li, X.; Chen, D.; Jin, X.; Xu, G.; Hu, B.; Zeng, X.; Jin, X. Ovarian dysgerminoma with pseudo-Meigs syndrome: A case report. Medicine 2021, 100, e26319. [Google Scholar] [CrossRef] [PubMed]
- Małgorzata, S.Ż.; Anna, K.G.; Reszeć, J.; Krawczuk-Rybak, M. Growing Teratoma Syndrome and Gliomatosis Peritonei in a 15-Year-Old Girl With Immature Ovarian Teratoma: Case Report and Review of the Literature. J. Pediatr. Adolesc. Gynecol. 2021, 34, 885–889. [Google Scholar] [CrossRef]
- Ismail, S.; Hraib, M.; Issa, R.; Alassi, T.; Alshehabi, Z. A large ovarian steroid cell tumor-not otherwise specified with unique combination of benign and malignant features as a challenging cause of oligomenorrhea and hirsutism in a 21-year-old Syrian female: A case report. BMC Womens Health 2021, 21, 95. [Google Scholar] [CrossRef]
- Ajayi, O.A.; Adebawojo, O.O.; Okebalama, V.C. Giant Primary Ovarian Leiomyoma with Cystic Degeneration and Calcification Complicated by Post-Surgical Acute Pulmonary Embolism in a 23-year-old Nulligravida: A Case Report. Niger. Med. J. 2022, 62, 284–288. [Google Scholar]
- Stavros, S.; Kathopoulis, N.; Drakakis, P. A Common Tumor with an Unusual Finding: Mature Cystic Teratoma Containing a Ganglioneuroma. J. Pediatr. Adolesc. Gynecol. 2021, 34, 92–93. [Google Scholar] [CrossRef] [PubMed]
- Tomita, S.; Mehrotra, M.; Chaoul, J.; Houldsworth, J.; Kolev, V.; Kalir, T. A 24 year-old patient with no prior history of endometriosis diagnosed with bilateral ovarian endometrioid adenocarcinoma arising in endometriosis. Gynecol. Oncol. Rep. 2021, 36, 100718. [Google Scholar] [CrossRef] [PubMed]
- Zhang, X.W.; Zhai, L.R.; Huang, D.W.; Jiang, Z.D.; Yu, T.; Liu, S.Y.; Cui, M.H. Pregnancy with giant ovarian dysgerminoma: A case report and literature review. Medicine 2020, 99, e21214. [Google Scholar] [CrossRef] [PubMed]
- Feng, M.; Yang, K.; Xu, L.; Zhang, Y.; Zou, J. Primary ovarian small cell carcinoma of hypercalcemic type in a pregnant woman: A case report. Medicine 2020, 99, e20387. [Google Scholar] [CrossRef]
- Gu, B.; Li, X.; Feng, Z.; Yu, Y.; Wang, B.; Paul, M.E.; Chen, H. A Huge Ovarian Mucinous Cystadenoma in a 15-Year-Old Girl with Situs Inversus Totalis: Report of a Rare Case. J. Pediatr. Adolesc. Gynecol. 2021, 34, 88–91. [Google Scholar] [CrossRef]
- Bhansakarya, R.; Subedi, S. Laparoscopic Management of Large Right Paratubal Cyst: A Case Report. JNMA J. Nepal Med. Assoc. 2020, 58, 501–504. [Google Scholar] [CrossRef]
- Leite, C.; Barbosa, B.; Santos, N.; Oliveira, A.; Casimiro, C. Giant abdominal cyst in a young female patient: A case report. Int. J. Surg. Case Rep. 2020, 72, 549–555. [Google Scholar] [CrossRef] [PubMed]
- Brind’Amour, A.; De Guerke, L.; Fortin, S.; Gervais, M.K.; Dubé, P.; Sidéris, L. Recurrent High-grade Ovarian Immature Teratoma with Peritoneal Dissemination. J. Pediatr. Adolesc. Gynecol. 2020, 33, 586–589. [Google Scholar] [CrossRef] [PubMed]
- Liu, Y.Y.; Liang, P.; Ji, J.; Chen, K.S.; Li, L.M.; Gao, J.B.; Yong, L.L. Meningioma in mature cystic teratoma of the ovary: Clinical and computed tomography findings. Cancer Imaging 2020, 20, 15. [Google Scholar] [CrossRef]
- Kiemtoré, S.; Zamané, H.; Sawadogo, Y.A.; Sib, R.S.; Komboigo, E.; Ouédraogo, A.; Bonané, B. Diagnosis and management of a giant ovarian cyst in the gravid-puerperium period: A case report. BMC Pregnancy Childbirth 2019, 19, 523. [Google Scholar] [CrossRef] [PubMed]
- Ng, Z.Q.; Pradhan, S.; Wijesuriya, R. Dilemma of the giant abdominal cyst. BMJ Case Rep. 2019, 12, bcr-2018-227255. [Google Scholar] [CrossRef]
- Stefanelli, E.; Talarico, V.; Scavone, M.; Carboni, E.; Stranieri, G.; Galati, M.C.; Salerno, D.; Raiola, G. Acute abdominal pain in an adolescent girl with an ovarian yolk sac tumor. Acta Biomed. 2019, 90, 599–602. [Google Scholar]
- Su, Q.; Yang, Z. Age at first birth, age at menopause, and risk of ovarian cyst: A two-sample Mendelian randomization study. Front. Endocrinol. 2024, 14, 1279493. [Google Scholar] [CrossRef]
- Le Page, C.; Provencher, D.; Maugard, C.M.; Ouellet, V.; Mes-Masson, A.M. Signature of a silent killer: Expression profiling in epithelial ovarian cancer. Expert Rev. Mol. Diagn. 2004, 4, 157–167. [Google Scholar] [CrossRef]
- Khoiria, N.; Indriati, D.W.; Sundari, A.S.; Diyantoro. Prevalence and Asscociated Factors of Ovarian Cyst Malignancy: A Cross-sectional Based Study in Surabaya. Malays. J. Med. Health Sci. 2020, 16 (Suppl. S16), 29–34. [Google Scholar]
- Yeika, E.V.; Efie, D.T.; Tolefac, P.N.; Fomengia, J.N. Giant ovarian cyst masquerading as a massive ascites: A case report. BMC Res. Notes 2017, 10, 749. [Google Scholar] [CrossRef]
- Abu Sulb, A.; Abu El Haija, M.; Muthukumar, A. Incidental finding of a huge ovarian serous cystadenoma in an adolescent female with menorrhagia. SAGE Open Med. Case Rep. 2016, 4, 2050313X16645755. [Google Scholar] [CrossRef]
- Cîrstoiu, M.M.; Sajin, M.; Secară, D.C.; Munteanu, O.; Cîrstoiu, F.C. Giant ovarian mucinous cystadenoma with borderline areas: A case report. Rom. J. Morphol. Embryol. 2014, 55, 1443–1447. [Google Scholar] [PubMed]
- Kassidi, F.; Moukit, M.; Ait El Fadel, F.; El Hassani, M.E.; Guelzim, K.; Babahabib, A.; Kouach, J.; Moussaoui, R.D.; Dehayni, M. Successful management of a giant ovarian cyst: A case report. Austin Gynecol. Case Rep. 2017, 2, 1012. [Google Scholar]
- Rossato, M.; Burei, M.; Vettor, R. Giant mucinous cystadenoma of the ovary mimicking ascites: A case report. Clin. Med. Rev. Case Rep. 2016, 3, 103. [Google Scholar] [CrossRef]
- Mehboob, M.; Naz, S.; Zubair, M.; Kasi, M.A. Giant ovarian cyst—An unusual finding. J. Ayub Med. Coll. Abbottabad 2014, 26, 244–245. [Google Scholar]
- Bankhead, C.; Kehoe, S.; Austoker, J. Symptoms associated with diagnosis of ovarian cancer: A systematic review. BJOG 2005, 112, 857–865. [Google Scholar] [CrossRef] [PubMed]
- Ovarian Cancer: The Recognition and Initial Management of Ovarian Cancer. NICE Clinical Guidelines, No. 122. Available online: https://www.ncbi.nlm.nih.gov/books/NBK83855/ (accessed on 12 September 2024).
- Hamilton, W.; Peters, T.J.; Bankhead, C.; Sharp, D. Risk of ovarian cancer in women with symptoms in primary care: Population based case-control study. BMJ 2009, 339, b2998. [Google Scholar] [CrossRef]
- Rossing, M.A.; Wicklund, K.G.; Cushing-Haugen, K.L.; Weiss, N.S. Predictive value of symptoms for early detection of ovarian cancer. J. Natl. Cancer Inst. 2010, 102, 222–229. [Google Scholar] [CrossRef]
- Cho, B.R.; Han, J.W.; Kim, T.H.; Han, A.R.; Hur, S.E.; Lee, S.K.; Kim, C.J. Single port access laparoscopic surgery for large adnexal tumors: Initial 51 cases of a single institute. Obstet. Gynecol. Sci. 2017, 60, 32–38. [Google Scholar] [CrossRef] [PubMed]
- Ekerhovd, E.; Wienerroith, H.; Staudach, A.; Granberg, S. Preoperative assessment of unilocular adnexal cysts by transvaginal ultrasonography: A comparison between ultrasonographic morphologic imaging and histopathologic diagnosis. Am. J. Obstet. Gynecol. 2001, 184, 48–54. [Google Scholar] [CrossRef]
- Molina, G.A.; Izurieta, A.N.; Moyon, M.A.; Aguayo, W.G.; Moyon, F.X.; Tufiño, J.F.; Guzman, L.J.; Parra, R.A. Giant ovarian cystadeno-carcinoma in an adult patient, a rare finding in modern times. J. Surg. Case Rep. 2019, 7, 207. [Google Scholar] [CrossRef] [PubMed]
- Gwanzura, C.; Muyotcha, A.F.; Magwali, T.; Chirenje, Z.M.; Madziyire, M.G. Giant mucinous cystadenoma: A case report. J. Med. Case Rep. 2019, 13, 181. [Google Scholar] [CrossRef] [PubMed]
- Ghezzi, F.; Cromi, A.; Bergamini, V.; Uccella, S.; Siesto, G.; Franchi, M.; Bolis, P. Should adnexal mass size influence surgical approach? A series of 186 laparoscopically managed large adnexal masses. BJOG 2008, 115, 1020–1027. [Google Scholar] [CrossRef]
- Salem, H.A. Laparoscopic excision of large ovarian cysts. J. Obstet. Gynecol. Res. 2002, 28, 290–294. [Google Scholar] [CrossRef]
- Sagiv, R.; Golan, A.; Glezerman, M. Laparoscopic management of extremely large ovarian cysts. Obstet. Gynecol. 2005, 105, 1319–1322. [Google Scholar] [CrossRef] [PubMed]
- Spohn, A.E. Multicystic ovarian tumour weighing 328 pounds, Texas. Med. J. 1905, 1273–1274. [Google Scholar]
- O’Hanlan, K.A. Resection of a 303.2-pound ovarian tumor. Gynecol. Oncol. 1994, 54, 365–371. [Google Scholar] [CrossRef]
- Moon, A.S.; DeAngelis, A.M.; Fairbairn, M.; Kulikowski, K.; Goldenberg, D.; Chuang, L.; Andikyan, V. Removal of 132-pound ovarian mucinous cystadenoma: A case report. SAGE Open Med. Case Rep. 2020, 8, 2050313X20906738. [Google Scholar] [CrossRef]
- Cevik, M.; Guldur, M.E. An extra-large ovarian mucinous cystadenoma in a premenarchal girl and a review of the literature. J. Pediatr. Adolesc. Gynecol. 2013, 26, 22–26. [Google Scholar] [CrossRef]
- Grigore, M.; Murarasu, M.; Himiniuc, L.M.; Toma, B.F.; Duma, O.; Popovici, R. Large ovarian tumors in adolescents, a systematic review of reported cases, diagnostic findings and surgical management. Taiwan. J. Obstet. Gynecol. 2021, 60, 602–608. [Google Scholar] [CrossRef] [PubMed]
- Zhang, B.; Zhang, L.; Meng, G. Clinical analysis of 52 adolescent patients with ovarian masses ≥ 10 cm in diameter. J. Int. Med. Res. 2021, 49, 03000605211032781. [Google Scholar] [CrossRef]
- Tjokroprawiro, B.A.; Novitasari, K.; Ulhaq, R.A.; Sulistya, H.A. Clinicopathological analysis of giant ovarian tumors. Eur. J. Obstet. Gynecol. Reprod. Biol. X 2024, 22, 100318. [Google Scholar] [CrossRef] [PubMed]
- Bandera, E.V.; Lee, V.S.; Rodriguez-Rodriguez, L.; Powell, C.B.; Kushi, L.H. Racial/ethnic disparities in ovarian cancer treatment and survival. Clin. Cancer Res. 2016, 22, 5909–5914. [Google Scholar] [CrossRef]
- Ali, A.T.; Al-Ani, O.; Al-Ani, F. Epidemiology and risk factors for ovarian cancer. Menopause Rev. Przegląd Menopauzalny 2023, 22, 93–104. [Google Scholar] [CrossRef] [PubMed]
- Kuchenbaecker, K.B.; Hopper, J.L.; Barnes, D.R.; Phillips, K.A.; Mooij, T.M.; Roos-Blom, M.J.; Jervis, S.; van Leeuwen, F.E.; Milne, R.L.; Andrieu, N.; et al. Risks of breast, ovarian, and contralateral breast cancer for BRCA1 and BRCA2 mutation carriers. JAMA 2017, 317, 2402–2416. [Google Scholar] [CrossRef]
- Bonadona, V.; Bonaiti, B.; Olschwang, S.; Grandjouan, S.; Huiart, L.; Longy, M.; Guimbaud, R.; Buecher, B.; Bignon, Y.-J.; Caron, O.; et al. Cancer risks associated with germline mutations in MLH1, MSH2, and MSH6 genes in Lynch syndrome. JAMA 2011, 305, 2304. [Google Scholar] [CrossRef] [PubMed]
- Song, H.; Dicks, E.; Ramus, S.J.; Tyrer, J.P.; Intermaggio, M.P.; Hayward, J.; Edlund, C.K.; Conti, D.; Harrington, P.; Fraser, L.; et al. Contribution of germline mutations in the RAD51B, RAD51C, and RAD51D genes to ovarian cancer in the population. J. Clin. Oncol. 2015, 33, 2901–2907. [Google Scholar] [CrossRef] [PubMed]
- Breast Cancer Susceptibility Collaboration (BCSC) (UK); Loveday, C.; Turnbull, C.; Ruark, E.; Xicola, R.M.M.; Ramsay, E.; Hughes, D.; Warren-Perry, M.; Snape, K.; Eccles, D.; et al. Germline RAD51C mutations confer susceptibility to ovarian cancer. Nat. Genet. 2012, 44, 475–476. [Google Scholar]
- Ramus, S.J.; Song, H.; Dicks, E.; Tyrer, J.P.; Rosenthal, A.N.; Intermaggio, M.P.; Fraser, L.; Gentry-Maharaj, A.; Hayward, J.; Philpott, S.; et al. Germline mutations in the BRIP1, BARD1, PALB2, and NBN genes in women with ovarian cancer. J. Natl. Cancer Inst. 2015, 27, 107. [Google Scholar] [CrossRef] [PubMed]
- Kar, S.P.; Berchuck, A.; Gayther, S.A.; Goode, E.L.; Moysich, K.B.; Pearce, C.L.; Ramus, S.J.; Schildkraut, J.M.; Sellers, T.A.; Pharoah, P.D.P. Common genetic Variation and susceptibility to ovarian cancer: Current insights and future Directions. Cancer Epidemiol. Biomark. Prev. 2018, 27, 395–404. [Google Scholar] [CrossRef] [PubMed]
- Lheureux, S.; Braunstein, M.; Oza, A.M. Epithelial ovarian cancer: Evolution of management in the era of precision medicine. CA Cancer J. Clin. 2019, 69, 280–304. [Google Scholar] [CrossRef]
- Kossaï, M.; Leary, A.; Scoazec, J.Y.; Genestie, C. Ovarian Cancer: A Heterogeneous Disease. Pathobiology 2018, 85, 41–49. [Google Scholar] [CrossRef] [PubMed]
- Koshiyama, M.; Matsumura, N.; Konishi, I. Recent concepts of ovarian carcinogenesis: Type I and type II. BioMed Res. Int. 2014, 2014, 934261. [Google Scholar] [CrossRef] [PubMed]
- Stewart, C.; Ralyea, C.; Lockwood, S. Ovarian Cancer: An Integrated Review. Semin. Oncol. Nurs. 2019, 35, 151–156. [Google Scholar] [CrossRef] [PubMed]
- Timmermans, M.; Sonke, G.S.; Van de Vijver, K.K.; van der Aa, M.A.; Kruitwagen, R.F.P.M. No improvement in long-term survival for epithelial ovarian cancer patients: A population-based study between 1989 and 2014 in The Netherlands. Eur. J. Cancer 2018, 88, 31–37. [Google Scholar] [CrossRef]
- Jessmon, P.; Boulanger, T.; Zhou, W.; Patwardhan, P. Epidemiology and treatment patterns of epithelial ovarian cancer. Expert Rev. Anticancer. Ther. 2017, 17, 427–437. [Google Scholar] [CrossRef]
- Zhou, L.; Yao, L.; Dai, L.; Zhu, H.; Ye, X.; Wang, S.; Cheng, H.; Ma, R.; Liu, H.; Cui, H.; et al. Ovarian endometrioid carcinoma and clear cell carcinoma: A 21-year retrospective study. J. Ovarian Res. 2021, 14, 63. [Google Scholar] [CrossRef] [PubMed]
- Bentivegna, E.; Gouy, S.; Maulard, A.; Pautier, P.; Leary, A.; Colombo, N.; Morice, P. Fertility-sparing surgery in epithelial ovarian cancer: A systematic review of oncological issues. Ann. Oncol. 2016, 27, 1994–2004. [Google Scholar] [CrossRef] [PubMed]
- RCOG/BSGE Joint Guideline. Green–Top Guideline No. 62. Management of Suspected Ovarian Masses in Premenopausal 364 Women. 2011. Available online: https://www.rcog.org.uk/guidance/browse-all-guidance/green-top-guidelines/management-of-suspected-ovarian-masses-in-premenopausal-women-green-top-guideline-no-62/ (accessed on 18 October 2024).
- Maiman, M.; Seltzer, V.; Boyce, J. Laparoscopic excision of ovarian neoplasms subsequently found to be malignant. Obstet. Gynecol. 1991, 77, 563–565. [Google Scholar] [CrossRef]
- Chapron, C.; Dubuisson, J.B.; Kadoch, O.; Capella-Allouc, S.; Vacher-Lavenu, M.C. Laparoscopic management of organic 368 ovarian cysts: Is there a place for frozen section diagnosis? Hum. Reprod. 1998, 13, 324–329. [Google Scholar] [CrossRef] [PubMed][Green Version]
- Canis, M.; Rabischong, B.; Houlle, C.; Botchorishvili, R.; Jardon, K.; Safi, A.; Wattiez, A.; Mage, G.; Pouly, J.L.; Bruhat, M.A. Laparoscopic management of adnexal masses: A gold standard? Curr. Opin. Obstet. Gynecol. 2002, 14, 423–428. [Google Scholar] [CrossRef] [PubMed]
- Baradwan, S.; Sendy, F.; Sendy, S. Complete Laparoscopic Extirpation of a Giant Ovarian Cyst in an Adolescent. Case Rep. Obstet. Gynecol. 2017, 2017, 7632989. [Google Scholar] [CrossRef]
- Kilincaslan, H.; Cipe, G.; Aydogdu, I.; Sarac, F.; Toprak, H.; Ari, E. Pure laparoscopic management of a giant ovarian cyst in an adolescent. Am. J. Case Rep. 2014, 15, 4–6. [Google Scholar] [PubMed]
- Sanna, E.; Madeddu, C.; Melis, L.; Nemolato, S.; Macciò, A. Laparoscopic management of a giant mucinous benign ovarian mass weighing 10150 grams: A case report. World J. Clin. Cases 2020, 8, 3527–3531. [Google Scholar] [CrossRef]
- Wang, X.; Li, Y. Comparison of perioperative outcomes of single-port laparoscopy, three-port laparoscopy and conventional laparotomy in removing giant ovarian cysts larger than 15 cm. BMC Surg. 2021, 21, 205. [Google Scholar] [CrossRef]
- Dolan, M.S.; Boulanger, S.C.; Salameh, J.R. Laparoscopic management of giant ovarian cyst. J. Soc. Laparoendosc. Surg. 2006, 10, 254–256. [Google Scholar]
- Prasad, I.; Sinha, S.; Sinha, U.; Agarwal, M. Complete Laparoscopic Ovarian Cystectomy of Giant Ovarian Serous Cystadenoma. Cureus 2023, 15, e33901. [Google Scholar] [CrossRef] [PubMed]
- Jiang, L.; Zhao, X.; Han, Y.; Liu, K.; Meng, X. Giant Ovarian Cysts Treated by Single-Port Laparoscopic Surgery: A Case Series. Front. Oncol. 2021, 11, 796330. [Google Scholar] [CrossRef]
- Alobaid, A.; Memon, A.; Alobaid, S.; Aldakhil, L. Laparoscopic management of huge ovarian cysts. Obstet. Gynecol. Int. 2013, 2013, 380854. [Google Scholar] [CrossRef] [PubMed]
- Peiretti, M.; Mais, V.; D’Ancona, G.; Fais, M.L.; Erdas, E.; Figus, A.; Angioni, S. Effective Surgical Management of a Large Serous Ovarian Cyst in a Morbidly Obese Middle-Aged Woman: A Case Study and Literature Review. Am. J. Case Rep. 2023, 24, e939697. [Google Scholar]
- Webb, M.J.; Decker, D.G.; Mussey, E.; Williams, T.J. Factor influencing survival in Stage I ovarian cancer. Am. J. Obstet. Gynecol. 1973, 116, 222–228. [Google Scholar] [CrossRef] [PubMed]
- El-Agwany, A.S. Recurrent Bilateral Mucinous Cystadenoma: Laparoscopic Ovarian Cystectomy with Review of Literature. Indian J. Surg. Oncol. 2018, 9, 146–149. [Google Scholar] [CrossRef] [PubMed]
- Yanazume, Y.; Yoshinaga, M.; Yanazume, S.; Kamikihara, T.; Tokunaga, M.; Kamio, M.; Douchi, T. Giant ovarian cancer weighing 100 kg with poor prognosis. J. Obstet. Gynaecol. Res. 2007, 33, 91–94. [Google Scholar] [CrossRef] [PubMed]
- Duran, A.; Duran, F.Y.; Cengiz, F.; Duran, O. Intestinal Necrosis due to Giant Ovarian Cyst: A Case Report. Case Rep. Surg. 2013, 2013, 831087. [Google Scholar] [CrossRef] [PubMed]
- Amadasi, A.; Andreola, S.; Bianchi, M.; Boracchi, M.; Gentile, G.; Maciocco, F.; Marchesi, M.; Zoja, R. Pulmonary thromboembolism secondary to pelvic thrombosis related to giant ovarian tumor. Autops. Case Rep. 2019, 9, e2018061. [Google Scholar] [CrossRef] [PubMed]
- Shrestha, B.M.; Shrestha, S.; Kharel, S.; Aryal, S.; Rauniyar, R.; Kuikel, S.; Tiwari, S.B.; Chaurasia, H.; Chapagain, S.; Shrestha, P. Giant ovarian mucinous cystadenocarcinoma: A case report. Clin. Case Rep. 2022, 10, e6067. [Google Scholar] [CrossRef]
- Kobayashi, T.; Yokoyama, K. Anesthetic management of a patient with a giant ovarian tumor complicated with cerebral palsy. Masui 1990, 39, 1234–1238. [Google Scholar]
- Nalini, K.B.; Prathima, P.T.; Shivanna, S.; Mohan, C.V.R. Anaesthetic implications and management of a giant ovarian cyst. J. Clin. Diagn. Res. 2014, 8, 170–171. [Google Scholar]
- Hunter, D.J. Management of a massive ovarian cyst. Obstet. Gynecol. 1980, 56, 254–255. [Google Scholar] [PubMed]
- Madhu, Y.C.; Harish, K.; Gotam, P. Complete resection of a giant ovarian tumour. Gynecol. Oncol. Case Rep. 2010, 6, 4–6. [Google Scholar] [CrossRef] [PubMed]
- Akhras, L.N.; Faroog, S.; AlSebay, L. A 27-kg Giant Ovarian Mucinous Cystadenoma in a 72-Year-Old Postmenopausal Patient: A Case Report. Am. J. Case Rep. 2019, 20, 1601–1606. [Google Scholar] [CrossRef] [PubMed]
- Hoile, R.W. Hazards in the management of large intra-abdominal tumours. Ann. R. Coll. Surg. Engl. 1976, 58, 393–397. [Google Scholar]
- Cai, S.; Dai, R.; Mi, J.; Wang, S.; Jiang, Y. Perioperative management of a patient with a giant ovarian tumor: A case report. Medicine 2020, 99, e22625. [Google Scholar] [CrossRef] [PubMed]
- Krywko, D.M.; King, K.C. Aortocaval Compression Syndrome. In StatPearls [Internet]; StatPearls Publishing: Treasure Island, FL, USA, 2024. Available online: https://www.ncbi.nlm.nih.gov/books/NBK482456/ (accessed on 29 May 2024).
- Sutton, R.T.; Pincock, D.; Baumgart, D.C.; Sadowski, D.C.; Fedorak, R.N.; Kroeker, K.I. An overview of clinical decision support systems: Benefits, risks, and strategies for success. NPJ Digit. Med. 2020, 3, 17. [Google Scholar] [CrossRef] [PubMed]




| Main Author | Date of Research | Country of Origin | Age (Years) | Symptoms | Tumor Markers | Ultrasonography | Surgery | Tumor Size (cm) | Histopathological Diagnosis | Complications |
|---|---|---|---|---|---|---|---|---|---|---|
| Onuzo CN [10] | 2024 | Ghana | 24 | Progressively increasing abdominopelvic mass | CA-125—54.3 U/mL | Large cystic abdominal mass arising from the pelvis with echogenic fluid noted with no septations, internal echoes, and papillary excrescences | Right salpingo -oophorectomy | 50 cm in the longitudinal dimension | Mucinous borderline tumor with intraepithelial carcinoma | No |
| Ayyanar P [11] | 2024 | India | 15 | Frequent menstrual cycles and heavy menstrual bleeding | CA125—33.5 U/mL, CEA—0.5 ng/mL, CA 19-9—0.80 U/mL, AFP—1.29, LDH—132, β-HCG—1.15 mIU/L | Solid cystic lesion of size 14 × 9.5 cm with increased vascularity; ovaries could not be seen separately | Cystectomy | 15 × 14 × 9 | Sclerosing stromal tumor of the ovary | No |
| Grisales-Gallo JE [12] | 2024 | Colombia | 10 | Two-day history of intermittent cramping pain in the hypogastrium | - | A mixed mass of 13.6 × 13.8 × 12.7 cm with thick septa in its interior in the left adnexal region | Laparoscopic left oophorectomy | 13.6 × 13.8 × 12.7 | Mature cystic teratoma and a serous cystadenoma | No |
| He Y [13] | 2024 | China | 18 | Persistent pain in the lower-right abdomen for over 7 h accompanied by nausea and vomiting | - | A 14.1 × 10.1 × 9.0 cm hypoechoic cystic lesion containing a 6.4 × 4.9 × 3.0 cm solid component in the right side of the pelvis, anterior to the uterus | Laparoscopic cystectomy | 14 × 13 | Cystic teratoma | No |
| Mbwambo OJ [14] | 2024 | Tanzania | 17 | Three-month history of abdominal pain, abdominal distension | - | - | Tumor resection, colectomy, omentectomy, resection of metastasis | 30 × 33 × 9 | Invasive ovarian mucinous cystadenocarcinoma with metastasis to the colon and omentum | Patient passed away after 6 cycles of chemotherapy |
| Kluz T. [15] | 2023 | Poland | 23 | Increase in abdominal girth, occasional pain on the left side of the abdomen, irregular menstrual cycles, infertility | CA-125, HE4, ROMA, CA-19.9, CA-15.3, AFP, CEA—normal | Massive, fluid-filled tumor mass with segmentally visible solid components; the origin of the neoplasm was not identified | Left salpingo-oophorectomy | 80 × 50 × 50 | Serous ovarian cystadenoma | No |
| Park H [16] | 2023 | USA | 12 | Secondary amenorrhea, intermittent abdominal pain, galactorrhea | Prolactin—70.5 ng/mL | Large left-sided mass within the pelvis, with concerns for a possible neoplasm | Laparotomy, left salpingo-oophorectomy | 15.0 × 9.0 × 18.8 | Granulosa cell tumor, juvenile type, FIGO IA | No |
| Liu S [17] | 2023 | China | 14 | Three-month history of abdominal pain | CA125—142.23 KU/L Neuron-specific enolase—148.35 ng/mL β-HCG—5.86 mIU/mL LDH—5204.1 U/L | About 20 cm mixed echo mass in the intraperitoneal and pelvic cavity, mainly solid heterogeneous hypoechoic, scattered in many liquid areas | Transabdominal right ovariectomy + left partial ovariectomy + omentectomy + abdominal para-aortic lymphadenectomy + pelvic lymphadenectomy | 19.5 × 6.6 × 15 | Bilateral ovarian dysgerminoma | No * Six cycles of chemotherapy after surgery |
| Barragán-Curiel AE [18] | 2023 | Mexico | 10 | Two-month history of increased abdominal girth, distension, and nausea | CA-125: 185.9 U/mL, CEA: 3.28 ng/mL, AFP: 4.67 ng/mL, HE-4: 40.4 pmol/L, ROMA value: 5.4% | Cystic lesion of the ovary and apparent ascites | Cystectomy | 20 × 15 × 10 | Mature cystic teratoma | No |
| Yazawa R [19] | 2023 | Japan | 26 | - | - | Large multicystic ovarian tumor and massive ascites | Left adnexectomy and appendectomy | Diameter: >20 cm | Mucinous borderline tumor | No * Three courses of chemotherapy |
| Rodrigues-Martins D [20] | 2023 | Portugal | 23 | Progressive abdominal distention | CA-125, CAE, AFP, B-HCG, LDH: normal | A cystic lesion occupying the majority of the abdominal cavity | Bilateral cystectomy | 20 × 11 × 27—left ovary, 6 × 8—right ovary | Bilateral dermoid cysts, seromucinous cystadenoma | No |
| Tzortzopoulou A [21] | 2023 | Switzerland | 15 | Persistent abdominal pain | - | Large cystic mass arising from the left ovary | En bloc unilateral oophorectomy and salpingectomy with the use of The Alexis Laparoscopic System | 25 × 21 × 21 | - | No |
| Spencer BL [22] | 2023 | USA | 15 | Abdominal pain | CA-125 and LDH elevated | - | Left salpingo-oophorectomy with omentectomy | Diameter—22.3 cm | Granulosa cell tumor stage 1C | Six weeks postoperatively: recurrent ovarian cyst |
| Li Q [23] | 2023 | China | 14 | Complaints of a small amount of bloody vaginal discharge | CA-125, HE4, HCG, AFP, CEA, CA19-9: normal | A large, predominantly cystic mass with low internal echogenicity with fine, weakly echogenic spots, containing irregular septations and solid protrusions of varying sizes, resembling a cauliflower | Laparoscopic left salpingo-oophorectomy, appendectomy, omentectomy (single-port surgery) | 15 × 9 × 4 | Ovarian mucinous cystadenocarcinoma | No |
| Utami T.W [24] | 2023 | Indonesia | 24 | Abdominal enlargement, dyspnea for 3 months | AFP—26.3 ng/mL; CA-125—813 U/mL; LDH, B-hCG: normal | - | A left salphingo-oophorectomy and omentectomy | 10.9 × 11.5 × 13 | Yolk sac tumor | No * Adjuvant chemotherapy |
| Gharbia N [25] | 2023 | Tunisia | 30 | Four-month history of abdominal pain and a rapid increase in abdominal girth | CA125 = 493 U/mL; CA19–9 = 273 U/ml | An abdominal–pelvic mass of 27 × 12 cm | Right adnexectomy, omentectomy, appendicectomy | 30 cm long | Borderline mucinous tumor with signs of infection | No |
| Kumari S [26] | 2023 | India | 17 | Abdominal distention | CEA—12.2 ng/ml | Irregular solid cystic ovarian mass with calcification | Left adnexectomy | 15 × 15 cm | Mature terathoma | |
| Damásio IL [27] | 2022 | Portugal | 20 | Rapid and progressive increase in abdominal volume | - | - | Left adnexectomy and cystectomy of the right ovary | 38.5 × 31 × 18 | Mucinous ovarian cystadenoma | No |
| Morrison A [28] | 2023 | USA | 14 | Intermittent, severe right-lower-quadrant pain, hirsutism, and secondary amenorrhea | Free testosterone—33.6 pg/mL; total testosterone—102.4 ng/dL | A 15 × 10 × 9 cm right, cystic ovarian lesion with possible mural nodularity exerting a mass effect on the right iliac vessels | Laparoscopy followed by exploratory laparotomy with right adnexal detorsion and right oophorectomy | 15 × 10 × 9 | Granulosa cell tumor | No |
| AlEssa A [29] | 2022 | Saudi Arabia | 22 | One-day history of severe abdominal pain | - | A large ovoid cystic pelvic structure extended into the lower abdomen, measuring 12 × 7 cm. No signs of calcifications or prominent wall blood flow were identified on the color Doppler examination | Unilateral ovarian cystectomy | 15 × 10 | Mature cystic teratoma with well-differentiated cerebellum | No |
| Gurung R [30] | 2022 | Malaysia | 25 | Three-month worsening abdominal pain and distention | CEA, CA125, CA19-9: normal | - | Right salpingo-oophorectomy | 24 × 21 × 12 | Mucinous cystadenoma | No |
| Reham S. [31] | 2022 | Saudi Arabia | 11 | Two-year history of lower abdominal pain, severe abdominal distention, increasing abdominal girth | CA-125, HCG, AFP, CEA: normal | A large unilocular cyst arising from the right ovary | Right salpingo-oophorectomy, omentectomy | 11 × 20 × 30 | Mucinous cystadenocarcinoma | No |
| Haddout S. [32] | 2022 | Morocco | 18 | Abdominal distension, feeling of pelvic heaviness | CA125 = 278 IU/mL, ACE = 1.3 g/L, CA19.9 = 15 IU/mL; HCG—normal | A large solid cystic abdominal mass of an oval shape with clear boundaries measuring 26 × 20 × 10 cm | Left adnexectomy, removal of an infra-gastric peritoneal nodule | 20 × 14 | Dysgerminoma-type germinal tumor | No * Adjuvant chemotherapy |
| Li X [33] | 2021 | China | 19 | Fever and chest tightness for 2 days | LDH—11,794 U/L CA 125—410.70 U/mL NSE—> 500.00 ng/mL ROMA—27.1% | - | Left oophoro-salpingectomy with radical lymphatic node dissection | 29.0 × 20.0 × 13.0 | Ovarian dysgerminoma | Pseudo-Meigs syndrome |
| Małgorzata SŻ [34] | 2021 | Poland | 15 | Three-day history of severe pain in the lower abdomen and right lumbar region | AFP—1500 ng/mL, β-hCG > 2 ng/mL | - | Cystectomy | - | Immature teratoma with epithelial elements | Tumor recurrence in 5 months after surgery: mature glial teratoma |
| Ismail S [35] | 2021 | Syria | 21 | One-year history of mild abdominal pain, hirsutism, and oligomenorrhea | - | A sizable mass originating from the left ovary, measuring 154 × 104 mm, exerting pressure on the uterus | Unilateral salpingo-oophorectomy | 15 × 10 | Ovarian steroid cell tumor | No |
| Ajayi OA [36] | 2021 | Nigeria | 23 | Progressive abdominal swelling of 7 years’ duration | - | A hypoechoic mass in the abdomen occupied the entire abdominal cavity. The uterus and right adnexa were difficult to evaluate, while the left adnexa appeared to be normal | Right ovariectomy and partial salpingectomy | 29.5 × 19.5 × 16.5 | Primary ovarian leiomyoma | Acute pulmonary embolism |
| Stavros S [37] | 2021 | Greece | 19 | Periodic lower abdominal pain and irritation | - | A 72 × 68 mm mass arising from the left ovary, exhibiting features typical of a dermoid cyst | Laparoscopic ovarian cystectomy | 72 × 68 | Cystic teratoma with a small hidden ganglioneuroma | No |
| Tomita S [38] | 2021 | USA | 24 | Abdominal bloating | CA-125—235 U/m; CA19-9—49.1 U/mL; CEA—1.0 U/mL | Large, complex, and predominantly cystic mass extending to the level of the abdominal aorta and epigastrum to the pelvis, measuring 23 × 17 × 24 cm | Laparotomy, bilateral adnexectomy | 26 × 18.9 × 20.1 | Endometrioid ovarian adenocarcinoma | Three cycles of adjuvant chemotherapy |
| Zhang XW [39] | 2020 | China | 25 | Pregnancy (38 weeks 4 days of gestation), lower abdominal pain, and vomiting | CEA, CA-153, SCC: normal B-HCG—14,333 mIU/mL, AFP—142 ng/mL, CA-125—148 U/mL, CA-199—610 U/mL, CA-50—59 U/mL, Cytokeratin 19 fragment—4.86 ng/mL, NSE—76.04 ng/mL | A 23.0 cm by 12.5 cm hypoechoic mass situated at the posterior right side of the uterus; a single live fetus of 38 weeks | Giant tumor and right adnexa resection, omentectomy, appendectomy, pelvic lymphadenectomy, abdominal aortic lymph node biopsy | 25 cm × 19 cm × 24 | Dysgerminoma of the right adnexa | No |
| Feng M [40] | 2020 | China | 21 | Pregnancy (32 weeks of gestation), abdominal pain, and irregular vaginal bleeding for 5 h | CA125—187 U/mL | - | Hysterectomy, bilateral adnexectomy, pelvic and para-aortic lymph node dissection, appendectomy, partial sigmoid colon resection, omentectomy, peritoneal biopsies | 20.5 × 18.3 × 15.5 | Ovarian small cell carcinoma of hypercalcemic type, stage III | Intrauterine fetal demise. The patient declined chemotherapy and died 5 months after surgery |
| Gu B [41] | 2020 | China | 15 | Abdominal distension and pain | CA125—84.3 U/mL; CA19-9—326 U/mL | A big mass in the abdominopelvic cavity | Resection of the 2 tumors | 28× 25× 20 cm and 15 × 15 × 13 cm | Ovarian mucinous cystadenoma | No |
| Bhansakarya R [42] | 2020 | Nepal | 25 | Abdominal fullness lasting 3–4 months and sensation of mass in the abdomen for 12 days | CA-125, CAE, AFP, LDH: normal | A cystic lesion of 27 × 27 cm in the pelvis | Laparoscopic cystectomy | 20 × 18 | Serous cystadenoma | No |
| Leite C [43] | 2020 | Portugal | 20 | Abdominal pain and distension, nausea, vomiting, and constipation | CA-125, HE4 CAE, AFP, LDH: normal ROMA—4.1% | A large abdominal cyst of unknown origin | Left adnexectomy | 60 cm wide | Ovarian mucinous cystadenoma | No |
| Brind’Amour A [44] | 2020 | Canada | 16 | Abdominal discomfort and distention, and a three-month history of fatigue and anorexia | AFP—7011 ug/L | Large abdominal/pelvic mass with cystic components and microcalcifications | Laparotomy, left salpingo-oophorectomy, left pelvic lymphadenectomy, right ovarian cystectomy, biopsies of the omental and peritoneal implants | 23 × 20 × 11 | Immature teratoma | Recurrence of the ovarian immature teratoma |
| Liu YY [45] | 2020 | China | 15 | Two-month history of irregular vaginal bleeding, abdominal distension, abdominal pain | CA125—121.20 U/mL, ROMA—39.50% | A large solid–cystic mass in the pelvic cavity, measuring 250 × 195 × 86 mm (solid portion: 52 × 32 mm), with a separation and an anechoic nodule in the wall and punctate blood flow signal | Laparoscopic left salpingo-oophorectomy and separation of pelvic adhesions | 19.6 × 12.5 × 26.3 | Mature ovarian cystic teratoma containing meningioma and nests of neuroblasts | No |
| Kiemtoré S [46] | 2019 | Burkina Faso | 25 | Gradual increase in the volume of the abdomen during 10 days following vaginal delivery | CA-125—normal | Cystic abdominopelvic image without being able to attach it to an organ | Left total oophorectomy | 42 cm long-axis | Serous ovarian cystadenoma | No |
| Zi Qin Ng [47] | 2019 | Australia | 21 | Six-month history of increasing abdominal distention | CEA, CA-19.9, CA-125, chromogranin: normal | Cystic mass measuring 24 × 23 × 14 cm, 22 occupying most of 23 abdomen | Cystectomy | 21 × 23 × 14 | Serous cystadenoma | No |
| Stefanelli E [48] | 2019 | Italy | 12 | Sudden abdominal pain | AFP—5858 ng/mL; β-hGC and CA 125—normal | A 19 × 13 cm heterogeneous mass with echogenic and hypoechoic features | Left salpingo-oophorectomy | 20 × 14 × 9 | Yolk sac tumor associated with minor teratomatous lesions | Four cycles of adjuvant chemotherapy |
Disclaimer/Publisher’s Note: The statements, opinions and data contained in all publications are solely those of the individual author(s) and contributor(s) and not of MDPI and/or the editor(s). MDPI and/or the editor(s) disclaim responsibility for any injury to people or property resulting from any ideas, methods, instructions or products referred to in the content. |
© 2025 by the authors. Licensee MDPI, Basel, Switzerland. This article is an open access article distributed under the terms and conditions of the Creative Commons Attribution (CC BY) license (https://creativecommons.org/licenses/by/4.0/).
Share and Cite
Melnyk, M.; Starczewski, A.; Nawrocka-Rutkowska, J.; Gorzko, A.; Melnyk, B.; Szydłowska, I. Giant Ovarian Tumors in Young Women: Diagnostic and Treatment Challenges—A Report of Two Cases and Narrative Review of the Recent Literature. J. Clin. Med. 2025, 14, 1236. https://doi.org/10.3390/jcm14041236
Melnyk M, Starczewski A, Nawrocka-Rutkowska J, Gorzko A, Melnyk B, Szydłowska I. Giant Ovarian Tumors in Young Women: Diagnostic and Treatment Challenges—A Report of Two Cases and Narrative Review of the Recent Literature. Journal of Clinical Medicine. 2025; 14(4):1236. https://doi.org/10.3390/jcm14041236
Chicago/Turabian StyleMelnyk, Mariia, Andrzej Starczewski, Jolanta Nawrocka-Rutkowska, Amalia Gorzko, Bohdan Melnyk, and Iwona Szydłowska. 2025. "Giant Ovarian Tumors in Young Women: Diagnostic and Treatment Challenges—A Report of Two Cases and Narrative Review of the Recent Literature" Journal of Clinical Medicine 14, no. 4: 1236. https://doi.org/10.3390/jcm14041236
APA StyleMelnyk, M., Starczewski, A., Nawrocka-Rutkowska, J., Gorzko, A., Melnyk, B., & Szydłowska, I. (2025). Giant Ovarian Tumors in Young Women: Diagnostic and Treatment Challenges—A Report of Two Cases and Narrative Review of the Recent Literature. Journal of Clinical Medicine, 14(4), 1236. https://doi.org/10.3390/jcm14041236

