How to Approach Left Ventricular Hypertrabeculation: A Practical Guide and Literature Review
Abstract
1. Introduction
2. Organogenesis
3. Genetic Considerations
4. Clinical Manifestations
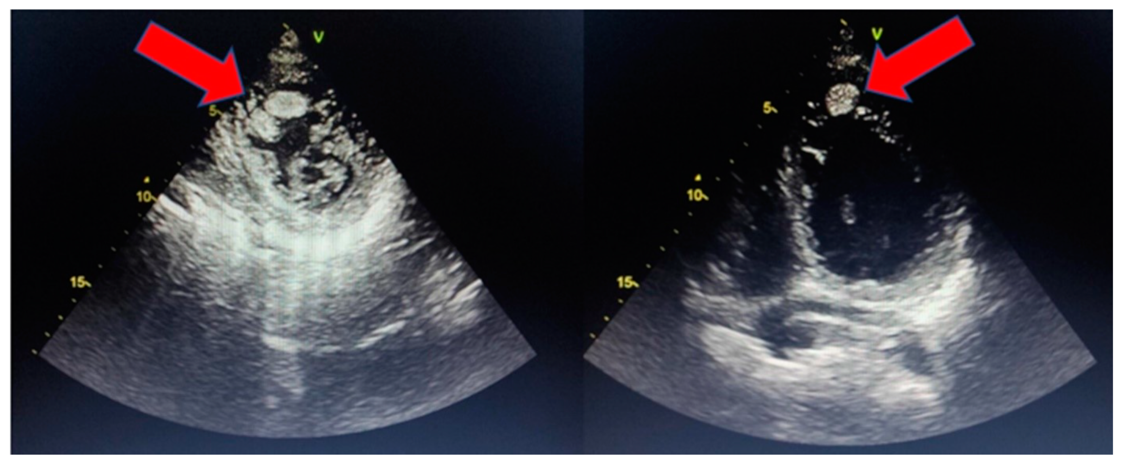
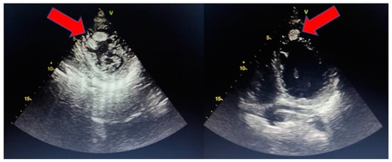
5. Imaging
6. Phenocopies
7. Diagnosis
8. Therapy
9. Sports Eligibility
10. Is Hypertrabeculation a Cardiomyopathy?
11. Gaps in Evidence
12. Conclusions
Funding
Conflicts of Interest
References
- Arbelo, E.; Protonotarios, A.; Gimeno, J.R.; Arbustini, E.; Barriales-Villa, R.; Basso, C.; Bezzina, C.R.; Biagini, E.; Blom, N.A.; de Boer, R.A.; et al. 2023 ESC Guidelines for the management of cardiomyopathies. Eur. Heart J. 2023, 44, 3503–3626. [Google Scholar] [CrossRef] [PubMed]
- Sedmera, D.; Pexieder, T.; Vuillemin, M.; Thompson, R.P.; Anderson, R.H. Developmental patterning of the myocardium. Anat. Rec. 2000, 258, 319–337. [Google Scholar] [CrossRef] [PubMed]
- D’Amato, G.; Luxán, G.; de la Pompa, J.L. Notch signalling in ventricular chamber development and cardiomyopathy. FEBS J. 2016, 283, 4223–4237. [Google Scholar] [CrossRef] [PubMed]
- Faber, J.W.; D’Silva, A.; Christoffels, V.M.; Jensen, B. Lack of morphometric evidence for ventricular compaction in humans. J. Cardiol. 2021, 78, 397–405. [Google Scholar] [CrossRef] [PubMed]
- Faber, J.W.; Hagoort, J.; Moorman, A.F.M.; Christoffels, V.M.; Jensen, B. Quantified growth of the human embryonic heart. Biol. Open. 2021, 10, bio057059. [Google Scholar] [CrossRef] [PubMed] [PubMed Central]
- Rhee, S.; Chung, J.I.; King, D.A.; D’amato, G.; Paik, D.T.; Duan, A.; Chang, A.; Nagelberg, D.; Sharma, B.; Jeong, Y.; et al. Endothelial deletion of Ino80 disrupts coronary angiogenesis and causes congenital heart disease. Nat. Commun. 2018, 9, 368. [Google Scholar] [CrossRef] [PubMed] [PubMed Central]
- Petersen, S.E.; Jensen, B.; Aung, N.; Friedrich, M.G.; McMahon, C.J.; Mohiddin, S.A.; Pignatelli, R.H.; Ricci, F.; Anderson, R.H.; Bluemke, D.A. Excessive Trabeculation of the Left Ventricle: JACC: Cardiovascular Imaging Expert Panel Paper. JACC Cardiovasc. Imaging 2023, 16, 408–425. [Google Scholar] [CrossRef] [PubMed] [PubMed Central]
- Ichida, F. Left ventricular noncompaction—Risk stratification and genetic consideration. J. Cardiol. 2020, 75, 1–9. [Google Scholar] [CrossRef] [PubMed]
- Shan, L.; Makita, N.; Xing, Y.; Watanabe, S.; Futatani, T.; Ye, F.; Saito, K.; Ibuki, K.; Watanabe, K.; Hirono, K.; et al. SCN5A variants in Japanese patients with left ventricular noncompaction and arrhythmia. Mol. Genet. Metab. 2008, 93, 468–474. [Google Scholar] [CrossRef] [PubMed]
- Pang, J.; Bao, Y.; Mitchell-Silbaugh, K.; Veevers, J.; Fang, X. Barth Syndrome Cardiomyopathy: An Update. Genes 2022, 13, 656. [Google Scholar] [CrossRef] [PubMed] [PubMed Central]
- Roberts, A.E.; Nixon, C.; Steward, C.G.; Gauvreau, K.; Maisenbacher, M.; Fletcher, M.; Geva, J.; Byrne, B.J.; Spencer, C.T. The Barth Syndrome Registry: Distinguishing disease characteristics and growth data from a longitudinal study. Am. J. Med. Genet. A 2012, 158A, 2726–2732. [Google Scholar] [CrossRef] [PubMed]
- Towbin, J.A.; Jefferies, J.L. Cardiomyopathies Due to Left Ventricular Noncompaction, Mitochondrial and Storage Diseases, and Inborn Errors of Metabolism. Circ. Res. 2017, 121, 838–854. [Google Scholar] [CrossRef] [PubMed]
- Miyake, C.Y.; Kim, J.J. Arrhythmias in left ventricular noncompaction. Card. Electrophysiol. Clin. 2015, 7, 319–330. [Google Scholar] [CrossRef] [PubMed]
- Sohns, C.; Ouyang, F.; Volkmer, M.; Metzner, A.; Nürnberg, J.H.; Ventura, R.; Gerecke, B.; Jansen, H.; Reinhardt, A.; Kuck, K.H.; et al. Therapy of ventricular arrhythmias in patients suffering from isolated left ventricular non-compaction cardiomyopathy. Europace 2019, 21, 961–969. [Google Scholar] [CrossRef] [PubMed]
- Jenni, R.; Wyss, C.A.; Oechslin, E.N.; Kaufmann, P.A. Isolated ventricular noncompaction is associated with coronary microcirculatory dysfunction. J. Am. Coll. Cardiol. 2002, 39, 450–454. [Google Scholar] [CrossRef] [PubMed]
- Di Lisi, D.; Macaione, F.; Damiani, F.; Ganci, L.; Mirabella, M.; Madaudo, C.; Galassi, A.R.; Novo, G. What happened to the left ventricular non-compaction cardiomyopathy? to be or not to be: This is the question. Curr. Probl. Cardiol. 2024, 49, 102787. [Google Scholar] [CrossRef] [PubMed]
- Schiebel, K.; Finsterer, J.; Lazarevic, P.; Stöllberger, C. Stroke and embolism in patients with left ventricular hypertrabeculation/noncompaction. J. Stroke Cerebrovasc. Dis. 2022, 31, 106623. [Google Scholar] [CrossRef] [PubMed]
- Pöyhönen, P.; Kuusisto, J.; Järvinen, V.; Pirinen, J.; Räty, H.; Lehmonen, L.; Paakkanen, R.; Martinez-Majander, N.; Putaala, J.; Sinisalo, J. Left ventricular non-compaction as a potential source for cryptogenic ischemic stroke in the young: A case-control study. PLoS ONE 2020, 15, e0237228. [Google Scholar] [CrossRef] [PubMed] [PubMed Central]
- Junga, G.; Kneifel, S.; Von Smekal, A.; Steinert, H.; Bauersfeld, U. Myocardial ischaemia in children with isolated ventricular non-compaction. Eur. Heart J. 1999, 20, 910–916. [Google Scholar] [CrossRef] [PubMed]
- Chin, T.K.; Perloff, J.K.; Williams, R.G.; Jue, K.; Mohrmann, R. Isolated noncompaction of left ventricular myocardium. A study of eight cases. Circulation 1990, 82, 507–513. [Google Scholar] [CrossRef] [PubMed]
- Jenni, R.; Oechslin, E.; Schneider, J.; Attenhofer Jost, C.; Kaufmann, P.A. Echocardiographic and pathoanatomical characteristics of isolated left ventricular non-compaction: A step towards classification as a distinct cardiomyopathy. Heart 2001, 86, 666–671. [Google Scholar] [CrossRef] [PubMed] [PubMed Central]
- Stöllberger, C.; Gerecke, B.; Finsterer, J.; Engberding, R. Refinement of echocardiographic criteria for left ventricular noncompaction. Int. J. Cardiol. 2013, 165, 463–467. [Google Scholar] [CrossRef] [PubMed]
- Jacquier, A.; Thuny, F.; Jop, B.; Giorgi, R.; Cohen, F.; Gaubert, J.Y.; Vidal, V.; Bartoli, J.M.; Habib, G.; Moulin, G. Measurement of trabeculated left ventricular mass using cardiac magnetic resonance imaging in the diagnosis of left ventricular non-compaction. Eur. Heart J. 2010, 9, 1098–1104. [Google Scholar] [CrossRef] [PubMed]
- Petersen, S.E.; Selvanayagam, J.B.; Wiesmann, F.; Robson, M.D.; Francis, J.M.; Anderson, R.H.; Watkins, H.; Neubauer, S. Left ventricular non-compaction: Insights from cardiovascular magnetic resonance imaging. J. Am. Coll. Cardiol. 2005, 46, 101–105. [Google Scholar] [CrossRef] [PubMed]
- Stacey, R.B.; Andersen, M.M.; St Clair, M.; Hundley, W.G.; Thohan, V. Comparison of systolic and diastolic criteria for isolated LV noncompaction in CMR. JACC Cardiovasc. Imaging 2013, 6, 931–940. [Google Scholar] [CrossRef] [PubMed]
- Huang, W.; Sun, R.; Liu, W.; Xu, R.; Zhou, Z.; Bai, W.; Hou, R.; Xu, H.; Guo, Y.; Yu, L.; et al. Prognostic Value of Late Gadolinium Enhancement in Left Ventricular Noncompaction: A Multicenter Study. Diagnostics 2022, 12, 2457. [Google Scholar] [CrossRef] [PubMed] [PubMed Central]
- Towbin, J.A.; Lorts, A.; Jefferies, J.L. Left ventricular non-compaction cardiomyopathy. Lancet 2015, 386, 813–825. [Google Scholar] [CrossRef] [PubMed]
- Di Gioia, G.; Crispino, S.P.; Monosilio, S.; Maestrini, V.; Nenna, A.; Spinelli, A.; Lemme, E.; Squeo, M.R.; Pelliccia, A. Left Ventricular Trabeculation: Arrhythmogenic and Clinical Significance in Elite Athletes. J. Am. Soc. Echocardiogr. 2024, 37, 577–586. [Google Scholar] [CrossRef] [PubMed]
- Gati, S.; Chandra, N.; Bennett, R.L.; Reed, M.; Kervio, G.; Panoulas, V.F.; Ghani, S.; Sheikh, N.; Zaidi, A.; Wilson, M.; et al. Increased left ventricular trabeculation in highly trained athletes: Do we need more stringent criteria for the diagnosis of left ventricular non-compaction in athletes? Heart 2013, 99, 401–408. [Google Scholar] [CrossRef] [PubMed]
- Gati, S.; Rajani, R.; Carr-White, G.S.; Chambers, J.B. Adult left ventricular noncompaction: Reappraisal of current diagnostic imaging modalities. JACC Cardiovasc. Imaging 2014, 7, 1266–1275. [Google Scholar] [CrossRef] [PubMed]
- Gati, S.; Papadakis, M.; Papamichael, N.D.; Zaidi, A.; Sheikh, N.; Reed, M.; Sharma, R.; Thilaganathan, B.; Sharma, S. Reversible de novo left ventricular trabeculations in pregnant women: Implications for the diagnosis of left ventricular noncompaction in low-risk populations. Circulation 2014, 130, 475–483. [Google Scholar] [CrossRef] [PubMed]
- Paluszkiewicz, J.; Milting, H.; Kałużna-Oleksy, M.; Pyda, M.; Janus, M.; Körperich, H.; Piran, M. Left Ventricular Non-Compaction Cardiomyopathy-Still More Questions than Answers. J. Clin. Med. 2022, 11, 4135. [Google Scholar] [CrossRef] [PubMed] [PubMed Central]
- Ross, S.B.; Jones, K.; Blanch, B.; Puranik, R.; McGeechan, K.; Barratt, A.; Semsarian, C. A systematic review and meta-analysis of the prevalence of left ventricular non-compaction in adults. Eur. Heart J. 2020, 41, 1428–1436. [Google Scholar] [CrossRef] [PubMed]
- Pelliccia, A.; Sharma, S.; Gati, S.; Bäck, M.; Börjesson, M.; Caselli, S.; Collet, J.P.; Corrado, D.; Drezner, J.A.; Halle, M.; et al. 2020 ESC Guidelines on sports cardiology and exercise in patients with cardiovascular disease. Eur. Heart J. 2021, 42, 17–96. [Google Scholar] [CrossRef] [PubMed]
- Gebhard, C.; Stähli, B.E.; Greutmann, M.; Biaggi, P.; Jenni, R.; Tanner, F.C. Reduced left ventricular compacta thickness: A novel echocardiographic criterion for non-compaction cardiomyopathy. J. Am. Soc. Echocardiogr. 2012, 25, 1050–1057. [Google Scholar] [CrossRef] [PubMed]
- De Lazzari, M.; Brunetti, G.; Frasson, E.; Zorzi, A.; Cipriani, A.; Migliore, F.; De Conti, G.; Motta, R.; Perazzolo Marra, M.; Corrado, D. Thinning of compact layer and systolic dysfunction in isolated left ventricular non-compaction: A cardiac magnetic resonance study. Int. J. Cardiol. 2024, 397, 131614. [Google Scholar] [CrossRef] [PubMed]
- Mavrogeni, S.I.; Markousis-Mavrogenis, G.; Vartela, V.; Manolopoulou, D.; Abate, E.; Hamadanchi, A.; Rigopoulos, A.G.; Kolovou, G.; Noutsias, M. The pivotal role of cardiovascular imaging in the identification and risk stratification of non-compaction cardiomyopathy patients. Heart Fail. Rev. 2020, 25, 1007–1015. [Google Scholar] [CrossRef] [PubMed]
- Casas, G.; Limeres, J.; Oristrell, G.; Gutierrez-Garcia, L.; Andreini, D.; Borregan, M.; Larrañaga-Moreira, J.M.; Lopez-Sainz, A.; Codina-Solà, M.; Teixido-Tura, G.; et al. Clinical Risk Prediction in Patients with Left Ventricular Myocardial Noncompaction. J. Am. Coll. Cardiol. 2021, 78, 643–662. [Google Scholar] [CrossRef] [PubMed]
- Zeppenfeld, K.; Tfelt-Hansen, J.; De Riva, M.; Winkel, B.G.; Behr, E.R.; Blom, N.A.; Charron, P.; Corrado, D.; Dagres, N.; De Chillou, C.; et al. 2022 ESC Guidelines for the management of patients with ventricular arrhythmias and the prevention of sudden cardiac death Developed by the task force for the management of patients with death of the European Society of Cardiology (ESC) Endorsed by the Association for European Paediatric and Congenital Cardiology (AEPC). Eur. Heart J. 2022, 43, 3997–4126. [Google Scholar]
- McDonagh, T.A.; Metra, M.; Adamo, M.; Gardner, R.S.; Baumbach, A.; Böhm, M.; Burri, H.; Butler, J.; Čelutkienė, J.; Chioncel, O.; et al. 2021 ESC Guidelines for the diagnosis and treatment of acute and chronic heart failure. Eur. Heart J. 2021, 42, 3599–3726. [Google Scholar] [CrossRef] [PubMed]
- Towbin, J.A.; McKenna, W.J.; Abrams, D.J.; Ackerman, M.J.; Calkins, H.; Darrieux, F.C.; Daubert, J.P.; de Chillou, C.; DePasquale, E.C.; Desai, M.Y.; et al. 2019 HRS Expert Consensus Statement on Evaluation, Risk Stratification, and Management of Arrhythmogenic Cardiomyopathy. Hear. Rhythm. 2019, 16, e301–e372. [Google Scholar] [CrossRef] [PubMed]
- Bhaskaran, A.; Campbell, T.; Virk, S.; Bennett, R.G.; Kizana, E.; Kumar, S. Electrophysiologic and electroanatomic characterization of ventricular arrhythmias in non-compaction cardiomyopathy: A systematic review. J. Cardiovasc. Electrophysiol. 2021, 32, 1421–1429. [Google Scholar] [CrossRef] [PubMed]
- Levine, G.N.; McEvoy, J.W.; Fang, J.C.; Ibeh, C.; McCarthy, C.P.; Misra, A.; Shah, Z.I.; Shenoy, C.; Spinler, S.A.; Vallurupalli, S.; et al. Management of Patients at Risk for and With Left Ventricular Thrombus: A Scientific Statement From the American Heart Association. Circulation 2022, 146, e205–e223. [Google Scholar] [CrossRef] [PubMed]
- Chimenti, C.; Lavalle, C.; Magnocavallo, M.; Alfarano, M.; Mariani, M.V.; Bernardini, F.; Della Rocca, D.G.; Galardo, G.; Severino, P.; Di Lullo, L.; et al. A proposed strategy for anticoagulation therapy in noncompaction cardiomyopathy. ESC Heart Fail. 2022, 9, 241–250. [Google Scholar] [CrossRef] [PubMed] [PubMed Central]
- Bertini, M.; Ziacchi, M.; Biffi, M.; Biagini, E.; Rocchi, G.; Martignani, C.; Ferlito, M.; Pasquale, F.; Cervi, E.; Branzi, A.; et al. Effects of cardiac resynchronisation therapy on dilated cardiomyopathy with isolated ventricular non-compaction. Heart 2011, 97, 295–300. [Google Scholar] [CrossRef] [PubMed]
- Lofiego, C.; Biagini, E.; Ferlito, M.; Pasquale, F.; Rocchi, G.; Perugini, E.; Leone, O.; Bracchetti, G.; Caliskan, K.; Branzi, A.; et al. Paradoxical contributions of non-compacted and compacted segments to global left ventricular dysfunction in isolated left ventricular noncompaction. Am. J. Cardiol. 2006, 97, 738–741. [Google Scholar] [CrossRef] [PubMed]
- COCIS. Protocolli cardiologici per il giudizio di idoneità allo sport agonistico. Int. J. Sports Cardiol. 1995, 4, 143–168. [Google Scholar]
- Ganga, H.V.; Thompson, P.D. Sports participation in non-compaction cardiomyopathy: A systematic review. Br. J. Sports Med. 2014, 48, 1466–1471. [Google Scholar] [CrossRef] [PubMed]
- Coris, E.E.; Moran, B.K.; De Cuba, R.; Farrar, T.; Curtis, A.B. Left Ventricular Non-Compaction in Athletes: To Play or Not to Play. Sports Med. 2016, 46, 1249–1259. [Google Scholar] [CrossRef] [PubMed]
- Køber, L.; Thune, J.J.; Nielsen, J.C.; Haarbo, J.; Videbæk, L.; Korup, E.; Jensen, G.; Hildebrandt, P.; Steffensen, F.H.; Bruun, N.E.; et al. Defibrillator Implantation in Patients with Nonischemic Systolic Heart Failure. N. Engl. J. Med. 2016, 375, 1221–1230. [Google Scholar] [CrossRef]




Disclaimer/Publisher’s Note: The statements, opinions and data contained in all publications are solely those of the individual author(s) and contributor(s) and not of MDPI and/or the editor(s). MDPI and/or the editor(s) disclaim responsibility for any injury to people or property resulting from any ideas, methods, instructions or products referred to in the content. |
© 2025 by the authors. Licensee MDPI, Basel, Switzerland. This article is an open access article distributed under the terms and conditions of the Creative Commons Attribution (CC BY) license (https://creativecommons.org/licenses/by/4.0/).
Share and Cite
Alfieri, M.; Principi, S.; Barbarossa, A.; Stronati, G.; Antonicelli, R.; Casella, M.; Dello Russo, A.; Guerra, F. How to Approach Left Ventricular Hypertrabeculation: A Practical Guide and Literature Review. J. Clin. Med. 2025, 14, 695. https://doi.org/10.3390/jcm14030695
Alfieri M, Principi S, Barbarossa A, Stronati G, Antonicelli R, Casella M, Dello Russo A, Guerra F. How to Approach Left Ventricular Hypertrabeculation: A Practical Guide and Literature Review. Journal of Clinical Medicine. 2025; 14(3):695. https://doi.org/10.3390/jcm14030695
Chicago/Turabian StyleAlfieri, Michele, Samuele Principi, Alessandro Barbarossa, Giulia Stronati, Roberto Antonicelli, Michela Casella, Antonio Dello Russo, and Federico Guerra. 2025. "How to Approach Left Ventricular Hypertrabeculation: A Practical Guide and Literature Review" Journal of Clinical Medicine 14, no. 3: 695. https://doi.org/10.3390/jcm14030695
APA StyleAlfieri, M., Principi, S., Barbarossa, A., Stronati, G., Antonicelli, R., Casella, M., Dello Russo, A., & Guerra, F. (2025). How to Approach Left Ventricular Hypertrabeculation: A Practical Guide and Literature Review. Journal of Clinical Medicine, 14(3), 695. https://doi.org/10.3390/jcm14030695

