Local Control of Advanced Breast Cancer—Debate in Multidisciplinary Tumor Board
Abstract
1. Introduction
2. Materials and Methods
3. Results
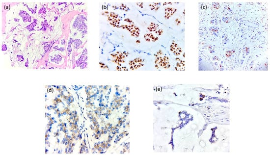
3.1. Case 1—G.S.
3.2. Case 2—T.T.
3.3. Review of Literature
3.3.1. The Oncologist’s Point of View
3.3.2. The Surgeon’s Point of View
3.3.3. The Radiotherapist’s Point of View
4. Discussion and Conclusions
Author Contributions
Funding
Institutional Review Board Statement
Informed Consent Statement
Data Availability Statement
Conflicts of Interest
References
- Sung, H.; Ferlay, J.; Siegel, R.L.; Laversanne, M.; Soerjomataram, I.; Jemal, A.; Bray, F. Global Cancer Statistics 2020: GLOBOCAN Estimates of Incidence and Mortality Worldwide for 36 Cancers in 185 Countries. CA Cancer J. Clin. 2021, 71, 209–249. [Google Scholar] [CrossRef]
- Global Cancer Observatory, International Agency for Research on Cancer, World Health Organization. Available online: https://gco.iarc.fr/tomorrow/en/dataviz/bubbles?sexes=1_2&cancers=20&populations=642&group_populations=1&types=1&age_start=4 (accessed on 5 November 2024).
- Pantelimon, I.; Platon, V.; Gales, L.N.; Minciuna, C.-E.; Georgescu, D.E.; Cornelia, L.S.; Constantinescu, A. The Impact of Screening and Surgery on Life Expectancy in Breast Cancer—A Mathematical Model Case Study in the European Union. Chirurgia 2023, 118, 624–641. [Google Scholar] [CrossRef]
- Finn, R.S.; Boer, K.; Bondarenko, I.; Patel, R.; Pinter, T.; Schmidt, M.; Shparyk, Y.V.; Thummala, A.; Voitko, N.; Bananis, E.; et al. Overall Survival Results from the Randomized Phase 2 Study of Palbociclib in Combination with Letrozole versus Letrozole Alone for First-Line Treatment of ER+/HER2− Advanced Breast Cancer (PALOMA-1, TRIO-18). Breast Cancer Res. Treat. 2020, 183, 419–428. [Google Scholar] [CrossRef]
- Finn, R.S.; Martin, M.; Rugo, H.S.; Jones, S.; Im, S.-A.; Gelmon, K.; Harbeck, N.; Lipatov, O.N.; Walshe, J.M.; Moulder, S.; et al. Palbociclib and Letrozole in Advanced Breast Cancer. N. Engl. J. Med. 2016, 375, 1925–1936. [Google Scholar] [CrossRef] [PubMed]
- Coniac, S.; Costache Outas, M.C.; Pirvu, E.-E.; Patru, R.-I.; Gainariu, E.; Aldea, C.; Iorga, P.G.; Ambroci, M.; Liscu, H.-D.; Miron, A.-I.; et al. Challenges and Limitations of Endocrine Toxicity Evaluation in Non-Small Cell Lung Cancer Patients Treated with Immunotherapy—Retrospective Study from a Tertiary-Level Hospital in Romania. Diagnostics 2023, 13, 1788. [Google Scholar] [CrossRef] [PubMed]
- Hortobagyi, G.N.; Stemmer, S.M.; Burris, H.A.; Yap, Y.-S.; Sonke, G.S.; Paluch-Shimon, S.; Campone, M.; Blackwell, K.L.; André, F.; Winer, E.P.; et al. Ribociclib as First-Line Therapy for HR-Positive, Advanced Breast Cancer. N. Engl. J. Med. 2016, 375, 1738–1748. [Google Scholar] [CrossRef] [PubMed]
- Tripathy, D.; Im, S.-A.; Colleoni, M.; Franke, F.; Bardia, A.; Harbeck, N.; Hurvitz, S.A.; Chow, L.; Sohn, J.; Lee, K.S.; et al. Ribociclib plus Endocrine Therapy for Premenopausal Women with Hormone-Receptor-Positive, Advanced Breast Cancer (MONALEESA-7): A Randomised Phase 3 Trial. Lancet Oncol. 2018, 19, 904–915. [Google Scholar] [CrossRef]
- Pantelimon, I.; Gales, L.N.; Anghel, R.M.; Gruia, M.I.; Nita, I.; Matei, C.V.; Bodea, D.; Stancu, A.M.; Pirvu, E.; Radu, M.C.; et al. Aspects Regarding the Influence of Obesity on the Molecular Characteristics of Breast Tumors. Cureus 2022, 14, e26952. [Google Scholar] [CrossRef]
- Goetz, M.P.; Toi, M.; Campone, M.; Sohn, J.; Paluch-Shimon, S.; Huober, J.; Park, I.H.; Trédan, O.; Chen, S.-C.; Manso, L.; et al. MONARCH 3: Abemaciclib As Initial Therapy for Advanced Breast Cancer. JCO 2017, 35, 3638–3646. [Google Scholar] [CrossRef] [PubMed]
- Johnston, S.; Martin, M.; Di Leo, A.; Im, S.-A.; Awada, A.; Forrester, T.; Frenzel, M.; Hardebeck, M.C.; Cox, J.; Barriga, S.; et al. MONARCH 3 Final PFS: A Randomized Study of Abemaciclib as Initial Therapy for Advanced Breast Cancer. npj Breast Cancer 2019, 5, 5. [Google Scholar] [CrossRef] [PubMed]
- National Comprehensive Cancer Network (NCCN). NCCN Clinical Practice Guidelines in Oncology (NCCN Guidelines®) Breast Cancer Version 5.2023—5 December 2023. Available online: https://www.nccn.org/guidelines/category_1 (accessed on 14 January 2024).
- Gennari, A.; André, F.; Barrios, C.H.; Cortés, J.; De Azambuja, E.; DeMichele, A.; Dent, R.; Fenlon, D.; Gligorov, J.; Hurvitz, S.A.; et al. ESMO Clinical Practice Guideline for the Diagnosis, Staging and Treatment of Patients with Metastatic Breast Cancer. Ann. Oncol. 2021, 32, 1475–1495. [Google Scholar] [CrossRef] [PubMed]
- Loibl, S.; André, F.; Bachelot, T.; Barrios, C.H.; Bergh, J.; Burstein, H.J.; Cardoso, M.J.; Carey, L.A.; Dawood, S.; Del Mastro, L.; et al. Early Breast Cancer: ESMO Clinical Practice Guideline for Diagnosis, Treatment and Follow-Up. Ann. Oncol. 2024, 35, 159–182. [Google Scholar] [CrossRef] [PubMed]
- Scarlat, F.; Scarisoreanu, A.; Verga, N. Absorbed Dose Distributions Using the Isodensitometric Method for Exposures with Filter Employed for Mammographies. Rom. Rep. Phys. 2013, 65, 168–177. [Google Scholar]
- Groza, A.; Iconaru, S.L.; Jiga, G.; Chapon, P.; Gaiaschi, S.; Verga, N.; Beuran, M.; Prodan, A.M.; Matei, M.; Marinescu, S.A.; et al. The Effect of the Ionizing Radiation on Hydroxyapatite–Polydimethylsiloxane Layers. Polym. Eng. Sci. 2019, 59, 2406–2412. [Google Scholar] [CrossRef]
- Ibrance|European Medicines Agency (EMA). Available online: https://www.ema.europa.eu/en/medicines/human/EPAR/ibrance (accessed on 5 November 2024).
- The National Society of Medical Oncology in Romania. Available online: https://snomr.ro/main/page/protocols-cnas.php (accessed on 21 January 2024).
- National Cancer Institute. Common Terminology Criteria for Adverse Events (CTCAE) v5.0, U.S.A. Department of Health and Human Services. 2017; pp. 88–90. Available online: https://evs.nci.nih.gov/ftp1/CTCAE/CTCAE_4.03/Archive/CTCAE_4.0_2009-05-29_QuickReference_8.5x11.pdf (accessed on 21 January 2024).
- Piezzo, M.; Cocco, S.; Caputo, R.; Cianniello, D.; Gioia, G.D.; Lauro, V.D.; Fusco, G.; Martinelli, C.; Nuzzo, F.; Pensabene, M.; et al. Targeting Cell Cycle in Breast Cancer: CDK4/6 Inhibitors. Int. J. Mol. Sci. 2020, 21, 6479. [Google Scholar] [CrossRef] [PubMed]
- Goel, S.; Bergholz, J.S.; Zhao, J.J. Targeting CDK4 and CDK6 in Cancer. Nat. Rev. Cancer 2022, 22, 356–372. [Google Scholar] [CrossRef]
- Zhang, M.; Zhang, L.; Hei, R.; Li, X.; Cai, H.; Wu, X.; Zheng, Q.; Cai, C. CDK Inhibitors in Cancer Therapy, an Overview of Recent Development. Am. J. Cancer Res. 2021, 11, 1913–1935. [Google Scholar] [PubMed]
- Mastorakos, G.; Iatrakis, G.; Zervoudis, S.; Syropoulou, S. Progestins and the Risk of Breast Cancer. Acta Endocrinol. 2021, 17, 90–100. [Google Scholar] [CrossRef] [PubMed]
- Spring, L.M.; Wander, S.A.; Andre, F.; Moy, B.; Turner, N.C.; Bardia, A. Cyclin-Dependent Kinase 4 and 6 Inhibitors for Hormone Receptor-Positive Breast Cancer: Past, Present, and Future. Lancet 2020, 395, 817–827. [Google Scholar] [CrossRef] [PubMed]
- Murphy, C.G. The Role of CDK4/6 Inhibitors in Breast Cancer. Curr. Treat. Options Oncol. 2019, 20, 52. [Google Scholar] [CrossRef]
- Zgura, A.; Galesa, L.; Bratila, E.; Anghel, R. Relationship between Tumor Infiltrating Lymphocytes and Progression in Breast Cancer. Maedica 2018, 13, 317–320. [Google Scholar] [CrossRef]
- Ammazzalorso, A.; Agamennone, M.; De Filippis, B.; Fantacuzzi, M. Development of CDK4/6 Inhibitors: A Five Years Update. Molecules 2021, 26, 1488. [Google Scholar] [CrossRef]
- Zgura, A.; Gales, L.; Bratila, E.; Mehedintu, C.; Haineala, B.; Barac, R.I.; Popa, A.R.; Buhas, C.; Berceanu, C.; Andreescu, C.V.; et al. Variation of the T Lymphocytes According to Treatment in Breast Cancer. Rev. Chim. 2019, 70, 1649–1654. [Google Scholar] [CrossRef]
- Mughal, M.J.; Bhadresha, K.; Kwok, H.F. CDK Inhibitors from Past to Present: A New Wave of Cancer Therapy. Semin. Cancer Biol. 2023, 88, 106–122. [Google Scholar] [CrossRef] [PubMed]
- Liu, T.; Song, S.; Wang, X.; Hao, J. Small-Molecule Inhibitors of Breast Cancer-Related Targets: Potential Therapeutic Agents for Breast Cancer. Eur. J. Med. Chem. 2021, 210, 112954. [Google Scholar] [CrossRef] [PubMed]
- Jhaveri, K.; Burris Rd, H.A.; Yap, T.A.; Hamilton, E.; Rugo, H.S.; Goldman, J.W.; Dann, S.; Liu, F.; Wong, G.Y.; Krupka, H.; et al. The Evolution of Cyclin Dependent Kinase Inhibitors in the Treatment of Cancer. Expert. Rev. Anticancer. Ther. 2021, 21, 1105–1124. [Google Scholar] [CrossRef] [PubMed]
- Casa Națională de Asigurări de Sănătate. Available online: https://cnas.ro/ (accessed on 21 January 2024).
- Rugo, H.S.; Finn, R.S.; Diéras, V.; Ettl, J.; Lipatov, O.; Joy, A.A.; Harbeck, N.; Castrellon, A.; Iyer, S.; Lu, D.R.; et al. Palbociclib plus Letrozole as First-Line Therapy in Estrogen Receptor-Positive/Human Epidermal Growth Factor Receptor 2-Negative Advanced Breast Cancer with Extended Follow-Up. Breast Cancer Res. Treat. 2019, 174, 719–729. [Google Scholar] [CrossRef] [PubMed]
- Finn, R.S.; Rugo, H.S.; Dieras, V.C.; Harbeck, N.; Im, S.-A.; Gelmon, K.A.; Walshe, J.M.; Martin, M.; Chavez Mac Gregor, M.; Bananis, E.; et al. Overall Survival (OS) with First-Line Palbociclib plus Letrozole (PAL + LET) versus Placebo plus Letrozole (PBO + LET) in Women with Estrogen Receptor–Positive/Human Epidermal Growth Factor Receptor 2–Negative Advanced Breast Cancer (ER+/HER2− ABC): Analyses from PALOMA-2. JCO 2022, 40, LBA1003. [Google Scholar] [CrossRef]
- Hortobagyi, G.N.; Stemmer, S.M.; Burris, H.A.; Yap, Y.-S.; Sonke, G.S.; Hart, L.; Campone, M.; Petrakova, K.; Winer, E.P.; Janni, W.; et al. Overall Survival with Ribociclib plus Letrozole in Advanced Breast Cancer. N. Engl. J. Med. 2022, 386, 942–950. [Google Scholar] [CrossRef]
- MONALEESA-2 Subgroup Analysis Highlights Survival Benefit with Ribociclib/Letrozole in HR+ Breast Cancer. Available online: https://www.onclive.com/view/monaleesa-2-subgroup-analysis-highlights-survival-benefit-with-ribociclib-letrozole-in-hr-breast-cancer (accessed on 5 November 2024).
- Im, S.-A.; Lu, Y.-S.; Bardia, A.; Harbeck, N.; Colleoni, M.; Franke, F.; Chow, L.; Sohn, J.; Lee, K.-S.; Campos-Gomez, S.; et al. Overall Survival with Ribociclib plus Endocrine Therapy in Breast Cancer. N. Engl. J. Med. 2019, 381, 307–316. [Google Scholar] [CrossRef] [PubMed]
- Lu, Y.-S.; Im, S.-A.; Colleoni, M.; Franke, F.; Bardia, A.; Cardoso, F.; Harbeck, N.; Hurvitz, S.; Chow, L.; Sohn, J.; et al. Updated Overall Survival of Ribociclib plus Endocrine Therapy versus Endocrine Therapy Alone in Pre- and Perimenopausal Patients with HR+/HER2- Advanced Breast Cancer in MONALEESA-7: A Phase III Randomized Clinical Trial. Clin. Cancer Res. 2022, 28, 851–859. [Google Scholar] [CrossRef] [PubMed]
- Helwick, C. Overall Survival in Two Monarch Trials of Abemaciclib in Advanced Breast Cancer. Available online: https://ascopost.com/issues/october-10-2023-supplement-breast-cancer-almanac/overall-survival-in-two-monarch-trials-of-abemaciclib-in-advanced-breast-cancer/ (accessed on 5 November 2024).
- Staff, T.A.P. Abemaciclib Plus AI in Postmenopausal Patients with Advanced Breast Cancer: Final Overall Survival Analysis From MONARCH 3. Available online: https://ascopost.com/news/december-2023/abemaciclib-plus-ai-in-postmenopausal-patients-with-advanced-breast-cancer-final-overall-survival-analysis-from-monarch-3/ (accessed on 5 November 2024).
- Panagiotou, E.; Gomatou, G.; Trontzas, I.P.; Syrigos, N.; Kotteas, E. Cyclin-Dependent Kinase (CDK) Inhibitors in Solid Tumors: A Review of Clinical Trials. Clin. Transl. Oncol. 2022, 24, 161–192. [Google Scholar] [CrossRef] [PubMed]
- Petrelli, F.; Ghidini, A.; Pedersini, R.; Cabiddu, M.; Borgonovo, K.; Parati, M.C.; Ghilardi, M.; Amoroso, V.; Berruti, A.; Barni, S. Comparative Efficacy of Palbociclib, Ribociclib and Abemaciclib for ER+ Metastatic Breast Cancer: An Adjusted Indirect Analysis of Randomized Controlled Trials. Breast Cancer Res. Treat. 2019, 174, 597–604. [Google Scholar] [CrossRef] [PubMed]
- Huang, T.; He, Y.; Yu, C.; Mao, F.; Si, Y. The Effect and Safety of CDK4/6 Inhibitors Combined Endocrine Therapy on HR+, HER2-Breast Cancer: A Meta-Analysis of Randomized Controlled Trials. Endokrynol. Pol. 2023, 74, 89–105. [Google Scholar] [CrossRef]
- Liscu, H.-D.; Liscu, B.-R.; Mitre, R.; Anghel, I.-V.; Antone-Iordache, I.-L.; Balan, A.; Coniac, S.; Miron, A.-I.; Halcu, G. The Conditioning of Adjuvant Chemotherapy for Stage II and III Rectal Cancer Determined by Postoperative Pathological Characteristics in Romania. Medicina 2023, 59, 1224. [Google Scholar] [CrossRef] [PubMed]
- Wang, L.; Gao, S.; Li, D.; Ran, X.; Sheng, Z.; Wu, W.; Yang, X. CDK4/6 Inhibitors plus Endocrine Therapy Improve Overall Survival in Advanced HR+/HER2- Breast Cancer: A Meta-Analysis of Randomized Controlled Trials. Breast J. 2020, 26, 1439–1443. [Google Scholar] [CrossRef] [PubMed]
- Piezzo, M.; Chiodini, P.; Riemma, M.; Cocco, S.; Caputo, R.; Cianniello, D.; Di Gioia, G.; Di Lauro, V.; Rella, F.D.; Fusco, G.; et al. Progression-Free Survival and Overall Survival of CDK 4/6 Inhibitors Plus Endocrine Therapy in Metastatic Breast Cancer: A Systematic Review and Meta-Analysis. Int. J. Mol. Sci. 2020, 21, 6400. [Google Scholar] [CrossRef] [PubMed]
- The Dynamic Changes in the Pattern of Liver Function Tests in Pregnant Obese Women.|Semantic Scholar. Available online: https://www.semanticscholar.org/paper/The-dynamic-changes-in-the-pattern-of-liver-tests-Teodorescu-%C8%98andru/8c434c3340db540d29935e2073fe5f689b10e31b (accessed on 5 November 2024).
- Li, J.; Fu, F.; Yu, L.; Huang, M.; Lin, Y.; Mei, Q.; Lv, J.; Wang, C. Cyclin-Dependent Kinase 4 and 6 Inhibitors in Hormone Receptor-Positive, Human Epidermal Growth Factor Receptor-2 Negative Advanced Breast Cancer: A Meta-Analysis of Randomized Clinical Trials. Breast Cancer Res. Treat. 2020, 180, 21–32. [Google Scholar] [CrossRef] [PubMed]
- Xu, H.; Wang, Y.; Han, Y.; Wu, Y.; Wang, J.; Xu, B. CDK4/6 Inhibitors versus PI3K/AKT/mTOR Inhibitors in Women with Hormone Receptor-Positive, HER2-Negative Metastatic Breast Cancer: An Updated Systematic Review and Network Meta-Analysis of 28 Randomized Controlled Trials. Front. Oncol. 2022, 12, 956464. [Google Scholar] [CrossRef]
- Schneeweiss, A.; Ettl, J.; Lüftner, D.; Beckmann, M.W.; Belleville, E.; Fasching, P.A.; Fehm, T.N.; Geberth, M.; Häberle, L.; Hadji, P.; et al. Initial Experience with CDK4/6 Inhibitor-Based Therapies Compared to Antihormone Monotherapies in Routine Clinical Use in Patients with Hormone Receptor Positive, HER2 Negative Breast Cancer—Data from the PRAEGNANT Research Network for the First 2 Years of Drug Availability in Germany. Breast 2020, 54, 88–95. [Google Scholar] [CrossRef]
- Salvador Bofill, J.; Moreno Anton, F.; Rodriguez Sanchez, C.A.; Galve Calvo, E.; Hernando Melia, C.; Ciruelos Gil, E.M.; Vidal, M.; Jiménez-Rodriguez, B.; De la Cruz Merino, L.; Martínez Jañez, N.; et al. Safety and Efficacy of Ribociclib plus Letrozole in Patients with HR+, HER2- Advanced Breast Cancer: Results from the Spanish Sub-Population of the Phase 3b CompLEEment-1 Trial. Breast 2022, 66, 77–84. [Google Scholar] [CrossRef] [PubMed]
- Miron, A.-I.; Anghel, A.-V.; Barnonschi, A.-A.; Mitre, R.; Liscu, H.-D.; Găinariu, E.; Pătru, R.; Coniac, S. Real-World Outcomes of CDK4/6 Inhibitors Treatment in Metastatic Breast Cancer in Romania. Diagnostics 2023, 13, 1938. [Google Scholar] [CrossRef] [PubMed]
- Ionescu (Miron), A.-I.; Atasiei, D.-I.; Ionescu, R.-T.; Ultimescu, F.; Barnonschi, A.-A.; Anghel, A.-V.; Anghel, C.-A.; Antone-Iordache, I.-L.; Mitre, R.; Bobolocu, A.M.; et al. Prediction of Subclinical and Clinical Multiple Organ Failure Dysfunction in Breast Cancer Patients—A Review Using AI Tools. Cancers 2024, 16, 381. [Google Scholar] [CrossRef]
- ESMO Metastatic Breast Cancer Living Guidelines, v1.1 May 2023. Available online: https://www.esmo.org/living-guidelines/esmo-metastatic-breast-cancer-living-guideline (accessed on 24 January 2024).
- Gelmon, K.A.; Cristofanilli, M.; Rugo, H.S.; DeMichele, A.M.; Joy, A.A.; Castrellon, A.; Sleckman, B.; Mori, A.; Theall, K.P.; Lu, D.R.; et al. Efficacy and Safety of Palbociclib plus Endocrine Therapy in North American Women with Hormone Receptor-Positive/Human Epidermal Growth Factor Receptor 2-Negative Metastatic Breast Cancer. Breast J. 2020, 26, 368–375. [Google Scholar] [CrossRef] [PubMed]
- Li, J.; Huo, X.; Zhao, F.; Ren, D.; Ahmad, R.; Yuan, X.; Du, F.; Zhao, J. Association of Cyclin-Dependent Kinases 4 and 6 Inhibitors With Survival in Patients With Hormone Receptor-Positive Metastatic Breast Cancer: A Systematic Review and Meta-Analysis. JAMA Netw. Open 2020, 3, e2020312. [Google Scholar] [CrossRef] [PubMed]
- Soczomski, P.; Szcześniak-Kłusek, B.; Jurecka-Lubieniecka, B.; Krajewska, J.; Jarząb, B. Atypical Carcinoid of the Larynx and Multifocal Metastases. Acta Endocrinol. 2022, 18, 502. [Google Scholar] [CrossRef]
- Stanciu, I.-M.; Parosanu, A.I.; Orlov-Slavu, C.; Iaciu, I.C.; Popa, A.M.; Olaru, C.M.; Pirlog, C.F.; Vrabie, R.C.; Nitipir, C. Mechanisms of Resistance to CDK4/6 Inhibitors and Predictive Biomarkers of Response in HR+/HER2-Metastatic Breast Cancer-A Review of the Literature. Diagnostics 2023, 13, 987. [Google Scholar] [CrossRef] [PubMed]
- Roman, A.-M.; Petca, R.-C.; Dumitrașcu, M.C.; Petca, A.; Ionescu (Miron), A.-I.; Șandru, F. Frontal Fibrosing Alopecia and Reproductive Health: Assessing the Role of Sex Hormones in Disease Development. JPM 2024, 14, 72. [Google Scholar] [CrossRef] [PubMed]
- Pandey, K.; An, H.-J.; Kim, S.K.; Lee, S.A.; Kim, S.; Lim, S.M.; Kim, G.M.; Sohn, J.; Moon, Y.W. Molecular Mechanisms of Resistance to CDK4/6 Inhibitors in Breast Cancer: A Review. Int. J. Cancer 2019, 145, 1179–1188. [Google Scholar] [CrossRef] [PubMed]
- Portman, N.; Alexandrou, S.; Carson, E.; Wang, S.; Lim, E.; Caldon, C.E. Overcoming CDK4/6 Inhibitor Resistance in ER-Positive Breast Cancer. Endocr. Relat. Cancer 2019, 26, R15–R30. [Google Scholar] [CrossRef] [PubMed]
- Cetin, B.; Wabl, C.A.; Gumusay, O. CDK4/6 Inhibitors: Mechanisms of Resistance and Potential Biomarkers of Responsiveness in Breast Cancer. Future Oncol. 2022, 18, 1143–1157. [Google Scholar] [CrossRef] [PubMed]
- Sandru, F.; Petca, A.; Dumitrascu, M.C.; Petca, R.-C.; Carsote, M. Peutz-Jeghers Syndrome: Skin Manifestations and Endocrine Anomalies (Review). Exp. Ther. Med. 2021, 22, 1387. [Google Scholar] [CrossRef] [PubMed]
- Lloyd, M.R.; Spring, L.M.; Bardia, A.; Wander, S.A. Mechanisms of Resistance to CDK4/6 Blockade in Advanced Hormone Receptor-Positive, HER2-Negative Breast Cancer and Emerging Therapeutic Opportunities. Clin. Cancer Res. 2022, 28, 821–830. [Google Scholar] [CrossRef]
- McCartney, A.; Migliaccio, I.; Bonechi, M.; Biagioni, C.; Romagnoli, D.; De Luca, F.; Galardi, F.; Risi, E.; De Santo, I.; Benelli, M.; et al. Mechanisms of Resistance to CDK4/6 Inhibitors: Potential Implications and Biomarkers for Clinical Practice. Front. Oncol. 2019, 9, 666. [Google Scholar] [CrossRef] [PubMed]
- Gomes, I.; Abreu, C.; Costa, L.; Casimiro, S. The Evolving Pathways of the Efficacy of and Resistance to CDK4/6 Inhibitors in Breast Cancer. Cancers 2023, 15, 4835. [Google Scholar] [CrossRef] [PubMed]
- Petca, A.; Miron, B.C.; Pacu, I.; Dumitrașcu, M.C.; Mehedințu, C.; Șandru, F.; Petca, R.-C.; Rotar, I.C. HELLP Syndrome-Holistic Insight into Pathophysiology. Medicina 2022, 58, 326. [Google Scholar] [CrossRef]
- Zhou, F.H.; Downton, T.; Freelander, A.; Hurwitz, J.; Caldon, C.E.; Lim, E. CDK4/6 Inhibitor Resistance in Estrogen Receptor Positive Breast Cancer, a 2023 Perspective. Front. Cell Dev. Biol. 2023, 11, 1148792. [Google Scholar] [CrossRef] [PubMed]
- Cristofanilli, M.; Turner, N.C.; Bondarenko, I.; Ro, J.; Im, S.-A.; Masuda, N.; Colleoni, M.; DeMichele, A.; Loi, S.; Verma, S.; et al. Fulvestrant plus Palbociclib versus Fulvestrant plus Placebo for Treatment of Hormone-Receptor-Positive, HER2-Negative Metastatic Breast Cancer That Progressed on Previous Endocrine Therapy (PALOMA-3): Final Analysis of the Multicentre, Double-Blind, Phase 3 Randomised Controlled Trial. Lancet Oncol. 2016, 17, 425–439. [Google Scholar] [CrossRef]
- Sledge, G.W.; Toi, M.; Neven, P.; Sohn, J.; Inoue, K.; Pivot, X.; Burdaeva, O.; Okera, M.; Masuda, N.; Kaufman, P.A.; et al. MONARCH 2: Abemaciclib in Combination With Fulvestrant in Women With HR+/HER2- Advanced Breast Cancer Who Had Progressed While Receiving Endocrine Therapy. J. Clin. Oncol. 2017, 35, 2875–2884. [Google Scholar] [CrossRef] [PubMed]
- Slamon, D.J.; Neven, P.; Chia, S.; Fasching, P.A.; De Laurentiis, M.; Im, S.-A.; Petrakova, K.; Bianchi, G.V.; Esteva, F.J.; Martín, M.; et al. Overall Survival with Ribociclib plus Fulvestrant in Advanced Breast Cancer. N. Engl. J. Med. 2020, 382, 514–524. [Google Scholar] [CrossRef]
- Servetto, A.; Napolitano, F.; De Angelis, C.; De Placido, P.; Giuliano, M.; Arpino, G.; De Placido, S.; Bianco, R.; Formisano, L. A Review of the Use of next Generation Sequencing Methodologies to Identify Biomarkers of Resistance to CDK4/6 Inhibitors in ER+/HER2- Breast Cancer. Crit. Rev. Oncol./Hematol. 2021, 157, 103191. [Google Scholar] [CrossRef]
- Zhao, S.; Zhang, H.; Yang, N.; Yang, J. A Narrative Review about CDK4/6 Inhibitors in the Setting of Drug Resistance: Updates on Biomarkers and Therapeutic Strategies in Breast Cancer. Transl. Cancer Res. 2023, 12, 1617–1634. [Google Scholar] [CrossRef] [PubMed]
- Sandru, F.; Petca, R.-C.; Costescu, M.; Dumitrașcu, M.C.; Popa, A.; Petca, A.; Miulescu, R.-G. Cutaneous Mastocytosis in Childhood-Update from the Literature. J. Clin. Med. 2021, 10, 1474. [Google Scholar] [CrossRef] [PubMed]
- Lee, J.S.; Hackbart, H.; Cui, X.; Yuan, Y. CDK4/6 Inhibitor Resistance in Hormone Receptor-Positive Metastatic Breast Cancer: Translational Research, Clinical Trials, and Future Directions. Int. J. Mol. Sci. 2023, 24, 11791. [Google Scholar] [CrossRef] [PubMed]
- Asghar, U.S.; Kanani, R.; Roylance, R.; Mittnacht, S. Systematic Review of Molecular Biomarkers Predictive of Resistance to CDK4/6 Inhibition in Metastatic Breast Cancer. JCO Precis. Oncol. 2022, 6, e2100002. [Google Scholar] [CrossRef]
- Antonarelli, G.; Taurelli Salimbeni, B.; Marra, A.; Esposito, A.; Locatelli, M.A.; Trapani, D.; Pescia, C.; Fusco, N.; Curigliano, G.; Criscitiello, C. The CDK4/6 Inhibitors Biomarker Landscape: The Most Relevant Biomarkers of Response or Resistance for Further Research and Potential Clinical Utility. Crit. Rev. Oncol. Hematol. 2023, 192, 104148. [Google Scholar] [CrossRef]
- Lișcu, H.-D.; Verga, N.; Atasiei, D.-I.; Badiu, D.-C.; Dumitru, A.V.; Ultimescu, F.; Pavel, C.; Stefan, R.-E.; Manole, D.-C.; Ionescu, A.-I. Biomarkers in Colorectal Cancer: Actual and Future Perspectives. Int. J. Mol. Sci. 2024, 25, 11535. [Google Scholar] [CrossRef] [PubMed]
- George, M.A.; Qureshi, S.; Omene, C.; Toppmeyer, D.L.; Ganesan, S. Clinical and Pharmacologic Differences of CDK4/6 Inhibitors in Breast Cancer. Front. Oncol. 2021, 11, 693104. [Google Scholar] [CrossRef]
- Drugs@FDA: FDA-Approved Drugs. Available online: https://www.accessdata.fda.gov/scripts/cder/daf/index.cfm?event=overview.process&ApplNo=207103 (accessed on 5 November 2024).
- Drugs@FDA: FDA-Approved Drugs. Available online: https://www.accessdata.fda.gov/scripts/cder/daf/index.cfm?event=overview.process&ApplNo=209092 (accessed on 5 November 2024).
- Drugs@FDA: FDA-Approved Drugs. Available online: https://www.accessdata.fda.gov/scripts/cder/daf/index.cfm?event=overview.process&ApplNo=208716 (accessed on 5 November 2024).
- Gelbert, L.M.; Cai, S.; Lin, X.; Sanchez-Martinez, C.; Del Prado, M.; Lallena, M.J.; Torres, R.; Ajamie, R.T.; Wishart, G.N.; Flack, R.S.; et al. Preclinical Characterization of the CDK4/6 Inhibitor LY2835219: In-Vivo Cell Cycle-Dependent/Independent Anti-Tumor Activities Alone/in Combination with Gemcitabine. Invest. New Drugs 2014, 32, 825–837. [Google Scholar] [CrossRef]
- Wells, C.I.; Vasta, J.D.; Corona, C.R.; Wilkinson, J.; Zimprich, C.A.; Ingold, M.R.; Pickett, J.E.; Drewry, D.H.; Pugh, K.M.; Schwinn, M.K.; et al. Quantifying CDK Inhibitor Selectivity in Live Cells. Nat. Commun. 2020, 11, 2743. [Google Scholar] [CrossRef]
- US Food and Drug Administration. FDA Warns About Rare but Severe Lung Inflammation with Ibrance, Kisqali, and Verzenio for Breast Cancer; FDA: Silver Spring, MD, USA, 2019. [Google Scholar]
- Rugo, H.S.; Huober, J.; García-Sáenz, J.A.; Masuda, N.; Sohn, J.H.; Andre, V.A.M.; Barriga, S.; Cox, J.; Goetz, M. Management of Abemaciclib-Associated Adverse Events in Patients with Hormone Receptor-Positive, Human Epidermal Growth Factor Receptor 2-Negative Advanced Breast Cancer: Safety Analysis of MONARCH 2 and MONARCH 3. Oncologist 2021, 26, e522. [Google Scholar] [CrossRef] [PubMed]
- Costa, R.; Costa, R.B.; Talamantes, S.M.; Helenowski, I.; Peterson, J.; Kaplan, J.; Carneiro, B.A.; Giles, F.J.; Gradishar, W.J. Meta-Analysis of Selected Toxicity Endpoints of CDK4/6 Inhibitors: Palbociclib and Ribociclib. Breast 2017, 35, 1–7. [Google Scholar] [CrossRef] [PubMed]
- Durairaj, C.; Ruiz-Garcia, A.; Gauthier, E.R.; Huang, X.; Lu, D.R.; Hoffman, J.T.; Finn, R.S.; Joy, A.A.; Ettl, J.; Rugo, H.S.; et al. Palbociclib Has No Clinically Relevant Effect on the QTc Interval in Patients with Advanced Breast Cancer. Anti-Cancer Drugs 2018, 29, 271–280. [Google Scholar] [CrossRef]
- Coniac, S. Updates in Endocrine Immune-Related Adverse Events in Oncology Immunotherapy. Acta Endocrinol. 2021, 17, 286–289. [Google Scholar] [CrossRef]
- Lauro, V.D.; Barchiesi, G.; Martorana, F.; Zucchini, G.; Muratore, M.; Fontanella, C.; Arpino, G.; Mastro, L.D.; Giuliano, M.; Puglisi, F.; et al. Health-Related Quality of Life in Breast Cancer Patients Treated with CDK4/6 Inhibitors: A Systematic Review. ESMO Open 2022, 7, 100629. [Google Scholar] [CrossRef]
- Kahan, Z.; Gil-Gil, M.; Ruiz-Borrego, M.; Carrasco, E.; Ciruelos, E.; Muñoz, M.; Bermejo, B.; Margeli, M.; Antón, A.; Casas, M.; et al. Health-Related Quality of Life with Palbociclib plus Endocrine Therapy versus Capecitabine in Postmenopausal Patients with Hormone Receptor-Positive Metastatic Breast Cancer: Patient-Reported Outcomes in the PEARL Study. Eur. J. Cancer 2021, 156, 70–82. [Google Scholar] [CrossRef]
- Harbeck, N.; Fasching, P.A.; Wuerstlein, R.; Degenhardt, T.; Lüftner, D.; Kates, R.E.; Schumacher, J.; Räth, P.; Hoffmann, O.; Lorenz, R.; et al. Significantly Longer Time to Deterioration of Quality of Life Due to CANKADO PRO-React eHealth Support in HR+ HER2- Metastatic Breast Cancer Patients Receiving Palbociclib and Endocrine Therapy: Primary Outcome Analysis of the Multicenter Randomized AGO-B WSG PreCycle Trial. Ann. Oncol. 2023, 34, 660–669. [Google Scholar] [CrossRef] [PubMed]
- Loukas, M.; Tubbs, R.S.; Mirzayan, N.; Shirak, M.; Steinberg, A.; Shoja, M.M. The History of Mastectomy. Am. Surg. 2011, 77, 566–571. [Google Scholar] [CrossRef]
- Dharkar, D.V.; Moses, S. Palliative Mastectomy Revisited. Indian. J. Palliat. Care 2018, 24, 359. [Google Scholar] [CrossRef]
- Ionescu, C.; Petca, A.; Dumitrașcu, M.C.; Petca, R.-C.; Ionescu (Miron), A.I.; Șandru, F. The Intersection of Dermatological Dilemmas and Endocrinological Complexities: Understanding Necrobiosis Lipoidica—A Comprehensive Review. Biomedicines 2024, 12, 337. [Google Scholar] [CrossRef] [PubMed]
- Tosello, G.; Torloni, M.R.; Mota, B.S.; Neeman, T.; Riera, R. Breast Surgery for Metastatic Breast Cancer. Cochrane Database Syst. Rev. 2018. [Google Scholar] [CrossRef] [PubMed]
- Sukhun, S.A.; Temin, S.; Barrios, C.H.; Antone, N.Z.; Guerra, Y.C.; Chavez-MacGregor, M.; Chopra, R.; Danso, M.A.; Gomez, H.L.; Homian, N.M.; et al. Systemic Treatment of Patients With Metastatic Breast Cancer: ASCO Resource–Stratified Guideline. JCO Glob. Oncol. 2024, 10, e2300285. [Google Scholar] [CrossRef] [PubMed]
- Fanakidou, I.; Zyga, S.; Alikari, V.; Tsironi, M.; Stathoulis, J.; Theofilou, P. Mental Health, Loneliness, and Illness Perception Outcomes in Quality of Life among Young Breast Cancer Patients after Mastectomy: The Role of Breast Reconstruction. Qual. Life Res. 2018, 27, 539–543. [Google Scholar] [CrossRef]
- Khan, S.A.; Stewart, A.K.; Morrow, M. Does Aggressive Local Therapy Improve Survival in Metastatic Breast Cancer? Surgery 2002, 132, 620–626, discussion 626–627. [Google Scholar] [CrossRef] [PubMed]
- Qin, R.; Yin, L.; Wang, D.; Cao, X.; Shaibu, Z.; Wang, X.; Chen, P.; Sui, D.; Qiu, X.; Liu, D. Survival Outcomes of Breast-Conserving Surgery Versus Mastectomy in Locally Advanced Breast Cancer Following Neoadjuvant Chemotherapy: A Meta-Analysis. Technol. Cancer Res. Treat. 2024, 23, 15330338241265030. [Google Scholar] [CrossRef] [PubMed]
- Lane, W.O.; Thomas, S.M.; Blitzblau, R.C.; Plichta, J.K.; Rosenberger, L.H.; Fayanju, O.M.; Hyslop, T.; Hwang, E.S.; Greenup, R.A. Surgical Resection of the Primary Tumor in Women With De Novo Stage IV Breast Cancer: Contemporary Practice Patterns and Survival Analysis. Ann. Surg. 2019, 269, 537–544. [Google Scholar] [CrossRef] [PubMed]
- Warschkow, R.; Güller, U.; Tarantino, I.; Cerny, T.; Schmied, B.M.; Thuerlimann, B.; Joerger, M. Improved Survival After Primary Tumor Surgery in Metastatic Breast Cancer: A Propensity-Adjusted, Population-Based SEER Trend Analysis. Ann. Surg. 2016, 263, 1188–1198. [Google Scholar] [CrossRef] [PubMed]
- Douglas, S.R.; Lizarraga, I.M.; Boughey, J.C.; Weiss, A.; Hunt, K.K.; Dickson-Witmer, D.; Subhedar, P.D.; Park, K.U.; Zhao, B.; Blair, S.L. National Cancer Database Trends in Surgical Resection of the Breast Primary for Stage IV Breast Cancer. Surg. Oncol. 2022, 42, 101778. [Google Scholar] [CrossRef] [PubMed]
- Badwe, R.; Parmar, V.; Hawaldar, R.; Nair, N.; Kaushik, R.; Siddique, S.; Navale, A.; Budrukkar, A.; Mittra, I.; Gupta, S. Abstract S2-02: Surgical Removal of Primary Tumor and Axillary Lymph Nodes in Women with Metastatic Breast Cancer at First Presentation: A Randomized Controlled Trial. Cancer Res. 2013, 73, S2-02. [Google Scholar] [CrossRef]
- Soran, A.; Ozmen, V.; Ozbas, S.; Karanlik, H.; Muslumanoglu, M.; Igci, A.; Canturk, Z.; Utkan, Z.; Ozaslan, C.; Evrensel, T.; et al. A Randomized Controlled Trial Evaluating Resection of the Primary Breast Tumor in Women Presenting with de Novo Stage IV Breast Cancer: Turkish Study (Protocol MF07-01). JCO 2016, 34, 1005. [Google Scholar] [CrossRef]
- Sun, Y.; Liao, M.; He, L.; Zhu, C. Comparison of Breast-Conserving Surgery with Mastectomy in Locally Advanced Breast Cancer after Good Response to Neoadjuvant Chemotherapy: A PRISMA-Compliant Systematic Review and Meta-Analysis. Medicine 2017, 96, e8367. [Google Scholar] [CrossRef]
- Nobrega, G.B.; Mota, B.S.; de Freitas, G.B.; Maesaka, J.Y.; Mota, R.M.S.; Goncalves, R.; Trinconi, A.F.; Ricci, M.D.; Piato, J.R.; Soares, J.M., Jr.; et al. Locally Advanced Breast Cancer: Breast-Conserving Surgery and Other Factors Linked to Overall Survival after Neoadjuvant Treatment. Front. Oncol. 2023, 13, 1293288. [Google Scholar] [CrossRef]
- Hansen, C.W.; Vogsen, M.; Kodahl, A.R. Management and Outcomes after Neoadjuvant Treatment for Locally Advanced Breast Cancer in Older versus Younger Women. Acta Oncol. 2022, 61, 1362–1368. [Google Scholar] [CrossRef] [PubMed]
- Khan, S.A.; Zhao, F.; Goldstein, L.J.; Cella, D.; Basik, M.; Golshan, M.; Julian, T.B.; Pockaj, B.A.; Lee, C.A.; Razaq, W.; et al. Early Local Therapy for the Primary Site in De Novo Stage IV Breast Cancer: Results of a Randomized Clinical Trial (EA2108). J. Clin. Oncol. 2022, 40, 978. [Google Scholar] [CrossRef]
- Trifanescu, O.G.; Gales, L.; Bacinschi, X.; Serbanescu, L.; Georgescu, M.; Sandu, A.; Michire, A.; Anghel, R. Impact of the COVID-19 Pandemic on Treatment and Oncologic Outcomes for Cancer Patients in Romania. Vivo 2022, 36, 934. [Google Scholar] [CrossRef]
- Cardoso, F.; Rihani, J.; Harmer, V.; Harbeck, N.; Casas, A.; Rugo, H.S.; Fasching, P.A.; Moore, A.; de Courcy, J.; Pathak, P.; et al. Quality of Life and Treatment-Related Side Effects in Patients With HR+/HER2- Advanced Breast Cancer: Findings From a Multicountry Survey. Oncologist 2023, 28, 856–865. [Google Scholar] [CrossRef]
- Hanson, S.E.; Lei, X.; Roubaud, M.S.; DeSnyder, S.M.; Caudle, A.S.; Shaitelman, S.F.; Hoffman, K.E.; Smith, G.L.; Jagsi, R.; Peterson, S.K.; et al. Long-Term Quality of Life in Patients With Breast Cancer After Breast Conservation vs Mastectomy and Reconstruction. JAMA Surg. 2022, 157, e220631. [Google Scholar] [CrossRef] [PubMed]
- Diao, K.; Lei, X.; He, W.; Jagsi, R.; Giordano, S.H.; Smith, G.L.; Caudle, A.; Shen, Y.; Peterson, S.K.; Smith, B.D. Patient-Reported Quality of Life After Breast-Conserving Surgery With Radiotherapy Versus Mastectomy and Reconstruction. Ann. Surg. 2023, 278, e1096–e1102. [Google Scholar] [CrossRef] [PubMed]
- Shibasaki, S.; Jotoku, H.; Watanabe, K.; Takahashi, M. Does Primary Tumor Resection Improve Outcomes for Patients with Incurable Advanced Breast Cancer? Breast 2011, 20, 543–547. [Google Scholar] [CrossRef] [PubMed]
- Haussmann, J.; Nestle-Kraemling, C.; Bölke, E.; Wollandt, S.; Speer, V.; Djiepmo Njanang, F.-J.; Tamaskovics, B.; Gerber, P.A.; Orth, K.; Ruckhaeberle, E.; et al. Long-Term Quality of Life after Preoperative Radiochemotherapy in Patients with Localized and Locally Advanced Breast Cancer. Strahlenther. Onkol. 2020, 196, 386–397. [Google Scholar] [CrossRef]
- Fortunato, L.; Loreti, A.; Cortese, G.; Spallone, D.; Toto, V.; Cavaliere, F.; Farina, M.; La Pinta, M.; Manna, E.; Detto, L.; et al. Regret and Quality of Life After Mastectomy With or Without Reconstruction. Clin. Breast Cancer 2021, 21, 162–169. [Google Scholar] [CrossRef] [PubMed]
- Zeng, C.-Y.; Qiu, Y.-Y.; Li, J.-Y.; Huang, J.-H.; Bai, X.-S.; Han, X.-L.; He, X.-D. Locally Advanced Breast Cancer Patients Should Be Cautious about the Immediate Breast Reconstruction after Mastectomy: A Pooling Analysis of Safety and Efficacy. World J. Surg. Oncol. 2024, 22, 165. [Google Scholar] [CrossRef] [PubMed]
- Tomita, S.; Matsunaga, N.; Fujita, Y.; de Kerckhove, M.; Fujii, M.; Honda, Y.; Tokisawa, H.; Aruga, T.; Terao, Y. Safety Evaluation of Immediate Breast Reconstruction for Locally Advanced Breast Cancer in Japanese Patients. J. Plast. Reconstr. Aesthetic Surg. 2022, 75, 2526–2534. [Google Scholar] [CrossRef]
- Upadhyay, R.; Bazan, J.G. Advances in Radiotherapy for Breast Cancer. Surg. Oncol. Clin. N. Am. 2023, 32, 515–536. [Google Scholar] [CrossRef]
- Grossu, I.V.; Savencu, O.; Miron, A.I.; Besliu, C.; Verga, N. Medical Module for Hyper-Fractal Analysis. Comput. Phys. Commun. 2022, 273, 108255. [Google Scholar] [CrossRef]
- Polgár, C.; Kahán, Z.; Ivanov, O.; Chorváth, M.; Ligačová, A.; Csejtei, A.; Gábor, G.; Landherr, L.; Mangel, L.; Mayer, Á.; et al. Radiotherapy of Breast Cancer—Professional Guideline 1st Central-Eastern European Professional Consensus Statement on Breast Cancer. Pathol. Oncol. Res. 2022, 28, 1610378. [Google Scholar] [CrossRef] [PubMed]
- Akay, C.L.; Meric-Bernstam, F.; Hunt, K.K.; Grubbs, E.G.; Bedrosian, I.; Tucker, S.L.; Kuerer, H.M.; Hoffman, K.E.; Babiera, G.V.; Strom, E.A.; et al. Evaluation of the MD Anderson Prognostic Index for Local-Regional Recurrence after Breast Conserving Therapy in Patients Receiving Neoadjuvant Chemotherapy. Ann. Surg. Oncol. 2012, 19, 901–907. [Google Scholar] [CrossRef]
- Chapman, C.H.; Jagsi, R. Postmastectomy Radiotherapy After Neoadjuvant Chemotherapy: A Review of the Evidence. Oncology 2015, 29, 657–666. [Google Scholar]
- Gnant, M.; Thomssen, C.; Harbeck, N.S. Gallen/Vienna 2015: A Brief Summary of the Consensus Discussion. Breast Care 2015, 10, 124. [Google Scholar] [CrossRef] [PubMed]
- Georgescu, M.-I.; Ionescu, R.T.; Miron, A.-I. Diversity-Promoting Ensemble for Medical Image Segmentation. In Proceedings of the SAC ′23: Proceedings of the 38th ACM/SIGAPP Symposium on Applied Computing, Tallinn, Estonia, 27–31 March 2023; Association for Computing Machinery: New York, NY, USA, 2023. [Google Scholar]
- Chmura, S.; Winter, K.A.; Robinson, C.; Pisansky, T.M.; Borges, V.; Al-Hallaq, H.; Matuszak, M.; Park, S.S.; Yi, S.; Hasan, Y.; et al. Evaluation of Safety of Stereotactic Body Radiotherapy for the Treatment of Patients with Multiple Metastases: Findings From the NRG-BR001 Phase 1 Trial. JAMA Oncol. 2021, 7, 845–852. [Google Scholar] [CrossRef] [PubMed]
- Palma, D.A.; Olson, R.; Harrow, S.; Gaede, S.; Louie, A.V.; Haasbeek, C.; Mulroy, L.; Lock, M.; Rodrigues, G.B.; Yaremko, B.P.; et al. Stereotactic Ablative Radiotherapy for the Comprehensive Treatment of Oligometastatic Cancers: Long-Term Results of the SABR-COMET Phase II Randomized Trial. J. Clin. Oncol. 2020, 38, 2830–2838. [Google Scholar] [CrossRef]
- Dumitru, A.V.; Țăpoi, D.A.; Costache, M.; Ciongariu, A.M.; Ionescu, A.I.; Liscu, H.D.; Alius, C.; Tampa, M.; Marin, A.; Furtunescu, A.R. Metastatic Nodular Melanoma with Angiosarcomatous Transdifferentiation—A Case Report and Review of the Literature. Diagnostics 2024, 14, 1323. [Google Scholar] [CrossRef] [PubMed]
- Hanna, G.G.; McDonald, F. SBRT for Oligoprogressive Disease: Using the Evidence to Maximise the Benefits. Lancet 2024, 403, 122–124. [Google Scholar] [CrossRef]
- National Comprehensive Cancer Network—Home. Available online: https://www.nccn.org (accessed on 5 November 2024).
- Yee, C.; Alayed, Y.; Drost, L.; Karam, I.; Vesprini, D.; McCann, C.; Soliman, H.; Zhang, L.; Chow, E.; Chan, S.; et al. Radiotherapy for Patients with Unresected Locally Advanced Breast Cancer. Ann. Palliat. Med. 2018, 7, 373–384. [Google Scholar] [CrossRef]
- Hoeltgen, L.; Meixner, E.; Hoegen, P.; Sandrini, E.; Weykamp, F.; Forster, T.; Vinsensia, M.; Lang, K.; König, L.; Arians, N.; et al. Palliative Radiotherapy for Symptomatic Locally Advanced Breast Cancer. Technol. Cancer Res. Treat. 2023, 22, 15330338231164537. [Google Scholar] [CrossRef]
- Sousa, C.; Cruz, M.; Neto, A.; Pereira, K.; Peixoto, M.; Bastos, J.; Henriques, M.; Roda, D.; Marques, R.; Miranda, C.; et al. Neoadjuvant Radiotherapy in the Approach of Locally Advanced Breast Cancer. ESMO Open 2020, 4, e000640. [Google Scholar] [CrossRef]
- Brackstone, M.; Palma, D.; Tuck, A.B.; Scott, L.; Potvin, K.; Vandenberg, T.; Perera, F.; D’Souza, D.; Taves, D.; Kornecki, A.; et al. Concurrent Neoadjuvant Chemotherapy and Radiation Therapy in Locally Advanced Breast Cancer. Int. J. Radiat. Oncol. Biol. Phys. 2017, 99, 769–776. [Google Scholar] [CrossRef] [PubMed]
- Maire, M.; Debled, M.; Petit, A.; Fournier, M.; Macgrogan, G.; Quenel-Thueux, N.; Charitansky, H.; Mathoulin-Pelissier, S.; Bonnefoi, H.; Tunon de Lara, C. Neoadjuvant Chemotherapy and Radiotherapy for Locally Advanced Breast Cancer: Safety and Efficacy of Reverse Sequence Compared to Standard Technique? Eur. J. Surg. Oncol. 2022, 48, 1699–1705. [Google Scholar] [CrossRef] [PubMed]
- Shah, C.; Al-Hilli, Z.; Vicini, F. Advances in Breast Cancer Radiotherapy: Implications for Current and Future Practice. JCO Oncol. Pract. 2021, 17, 697–706. [Google Scholar] [CrossRef] [PubMed]
- Monten, C.; Lievens, Y.; Olteanu, L.A.M.; Paelinck, L.; Speleers, B.; Deseyne, P.; Van Den Broecke, R.; De Neve, W.; Veldeman, L. Highly Accelerated Irradiation in 5 Fractions (HAI-5): Feasibility in Elderly Women With Early or Locally Advanced Breast Cancer. Int. J. Radiat. Oncol. Biol. Phys. 2017, 98, 922–930. [Google Scholar] [CrossRef] [PubMed]
- Lu, Y.; Huang, H.; Yang, H.; Chen, D. Randomized Controlled Trial of Late-Course Concurrent versus Sequential Chemoradiotherapy after Mastectomy and Axillary Surgery in Locally Advanced Breast Cancer. Medicine 2017, 96, e8252. [Google Scholar] [CrossRef] [PubMed]
- Reimer, T.; Gerber, B. Quality-of-Life Considerations in the Treatment of Early-Stage Breast Cancer in the Elderly. Drugs Aging 2010, 27, 791–800. [Google Scholar] [CrossRef]
- Gao, Y.; Rosas, J.C.; Fink, H.; Behrens, S.; Chang-Claude, J.; Seibold, P. Longitudinal Changes of Health-Related Quality of Life over 10 Years in Breast Cancer Patients Treated with Radiotherapy Following Breast-Conserving Surgery. Qual. Life Res. 2023, 32, 2639–2652. [Google Scholar] [CrossRef]
- Kubeczko, M.; Jarząb, M.; Gabryś, D.; Krzywon, A.; Cortez, A.J.; Xu, A.J. Safety and Feasibility of CDK4/6 Inhibitors Treatment Combined with Radiotherapy in Patients with HR-Positive/HER2-Negative Breast Cancer. A Systematic Review and Meta-Analysis. Radiother. Oncol. 2023, 187, 109839. [Google Scholar] [CrossRef] [PubMed]
- Lișcu, H.-D.; Antone-Iordache, I.-L.; Atasiei, D.-I.; Anghel, I.V.; Ilie, A.-T.; Emamgholivand, T.; Ionescu, A.-I.; Șandru, F.; Pavel, C.; Ultimescu, F. The Impact on Survival of Neoadjuvant Treatment Interruptions in Locally Advanced Rectal Cancer Patients. JPM 2024, 14, 266. [Google Scholar] [CrossRef]
- Liu, J.; Zhu, Z.; Hua, Z.; Lin, W.; Weng, Y.; Lin, J.; Mao, H.; Lin, L.; Chen, X.; Guo, J. Radiotherapy Refusal in Breast Cancer with Breast-Conserving Surgery. Radiat. Oncol. 2023, 18, 130. [Google Scholar] [CrossRef]
- Ionescu (Miron), A.-I.; Anghel, A.-V.; Antone-Iordache, I.-L.; Atasiei, D.-I.; Anghel, C.-A.; Barnonschi, A.-A.; Bobolocu, A.-M.; Verga, C.; Șandru, F.; Lișcu, H.-D. Assessing the Impact of Organ Failure and Metastases on Quality of Life in Breast Cancer Patients: A Prospective Study Based on Utilizing EORTC QLQ-C30 and EORTC QLQ-BR45 Questionnaires in Romania. JPM 2024, 14, 214. [Google Scholar] [CrossRef] [PubMed]






| Clinical Features | Pathological Features | Treatment Regimen | |
|---|---|---|---|
| Tumor clinical characteristics and invasion | Other clinical characteristics | Invasive ductal carcinoma NST | VMAT—RT on left breast in a total dose of 30 Gy/10 fractions VMAT—RT on vertebral column bone metastasis in a total dose of 30 Gy/10 fractions |
| Central quadrant—left breast | BMI = 35 | Poorly differentiated (G3) | Aromatase inhibitor Letrozole, 2.5 mg/day p.o. during RT |
| 10 cm ulcerated, bleeding tumor | Postmenopausal | Estrogen receptor-positive | CDK4/6 inhibitor Palbociclib, 125 mg/day p.o. for 21 days in a 28-day cycle until RT completion |
| Multiple axillary lymph nodes | Anti-hypertensive treatment | Progesterone receptor-positive | Bisphosphonates Zoledronic acid, 15-min bolus, 4 mg/month |
| Moderate pain in the left breast + non-specific bone pain | History of hysterectomy and bilateral oophorectomy | HER2-negative | |
| cT4cN3c, pulmonary and osseous metastases | IHC score = 0 | ||
| Stage IV | Ki-67 proliferation index: 70% | ||
| Clinical Features | Pathological Features | Treatment Regimen | |
|---|---|---|---|
| Tumor clinical characteristics and invasion | Other clinical characteristics | Invasive mucinous-type breast carcinoma | VMAT—RT on left breast in a total dose of 50 Gy/25 fractions VMAT—RT on right pelvis bone metastasis in a total dose of 30 Gy/10 fractions |
| Upper quadrant—left breast | Smoker | Estrogen receptor-positive | Aromatase inhibitor Letrozole, 2.5 mg/day p.o. during RT |
| 6 cm ulcerated tumor | BMI: 36 | Progesterone receptor (30% of tumoral cells) | CDK4/6 inhibitor Palbociclib, 125 mg/day p.o. for 21 days in a 28-day cycle until RT completion |
| Multiple lymph nodes (axillary and supraclavicular) | Postmenopausal | HER2-weak to moderate | Bisphosphonates Zoledronic acid, 15-min bolus, 4 mg/month |
| Moderate to intense pain in the left breast | On anti-hypertensive treatment | IHC score 2+/equivocal | |
| cT4dN2, with lymphatic dissemination | Ki-67 proliferation index: 5% | ||
| Stage IV | |||
| Study | Treatment | Outcomes Measured | Results | |
|---|---|---|---|---|
| Finn et al. [4,5,33] | Palbociclib | PFS | Palbocilib + letrozole arm | Placebo + letrozole arm |
| 27.6 months | 14.5 months | |||
| HR = 0.56; 95% CI = 0.46–0.69; p-value < 0.000001 | ||||
| PALOMA-2 [34] | Palbociclib | OS | Palbocilib + letrozole arm | Placebo + letrozole arm |
| 66.3 months (95% CI, 52.1–79.7) | 47.4 months (95% CI, 37.7–57.0) | |||
| MONALEESA-2 [7,35] | Ribociclib | PFS | Ribociclib + letrozole arm | Placebo + letrozole arm |
| 25.3 months | 16.0 months | |||
| HR = 0.556; 95% CI, 0.43–0.72; p-value < 0.00000329 | ||||
| OS | 63.9 months | 51.4 months | ||
| HR = 0.76; 95% CI = 0.63–0.93; p-value = 0.004 | ||||
| MONALEESA-7 [8,37,38] | Ribociclib | PFS | Ribociclib + endocrine therapy | Placebo + endocrine therapy |
| 23.8 months | 13.0 months | |||
| HR = 0.55; 95% CI, 0.44–0.69; p-value < 0.0001 | ||||
| OS | 58.7 months | 48.0 months | ||
| HR = 0.76, 95% CI, 0.608–0.956 | ||||
| MONARCH-3 [10,11,39,40] | Abemaciclib | PFS | Abemaciclib + letrozole arm | Placebo + letrozole arm |
| 28.2 months | 14.8 months | |||
| HR = 0.54; 95% CI, 0.418–0.698; p-value = 0.00002 | ||||
| OS | 66.8 months | 53.7 months | ||
| HR = 0.804; 95% CI, 0.637–1.015; p-value = 0.0664 | ||||
| Li et al. [48] | CDK4/6 inhibitors + ET compared to ET alone | ORR | RR = 1.47; 95% CI, 1.30–1.67; p-value < 0.00001 | |
| CBR | RR = 1.20; 95% CI, 1.12–1.30; p < 0.00001 | |||
| Study | Therapeutic Approach | Outcomes | Results | ||
|---|---|---|---|---|---|
| Experimental Arm | Conservative Arm | ||||
| Khan et al. [99] | Surgery | OS | Free-resection margins | No treatment/palliative | |
| HR, 0.61; 95% CI, 0.58–0.65 | |||||
| Qin et al. [100] | Surgery | 5-year OS | Mastectomy after NACT | BCS | |
| OR = 2.6; 95% CI, 2.19–3.28; p-value < 0.00001 | |||||
| Lane et al. [101] | Surgery—before or after systemic therapy | OS | Before systemic therapy | Without surgery | |
| HR, 0.68; 95% CI, 0.62–0.73 | |||||
| After systemic therapy | Without surgery | ||||
| HR, 0.56; 95% CI, 0.52–0.61; p-value < 0.001 | |||||
| Sun et al. [106] | Good response to NACT versus conservative approach/ mastectomy | LR | NACT | Conservative approach | Mastectomy |
| OR, 0.83; 95% CI, 0.60–1.15; p-value= 0.26 | |||||
| RR | OR, 0.56; 95% CI, 0.33–0.93; p-value = 0.03 | ||||
| DR | OR, 0.51; 95% CI, 0.42–0.63; p-value < 0.01 | ||||
| DFS | OR, 2.35; 95% CI, 1.84–3.01; p-value < 0.01 | ||||
| OS | OR, 2.12; 95% CI, 1.51–2.98; p-value < 0.01 | ||||
Disclaimer/Publisher’s Note: The statements, opinions and data contained in all publications are solely those of the individual author(s) and contributor(s) and not of MDPI and/or the editor(s). MDPI and/or the editor(s) disclaim responsibility for any injury to people or property resulting from any ideas, methods, instructions or products referred to in the content. |
© 2025 by the authors. Licensee MDPI, Basel, Switzerland. This article is an open access article distributed under the terms and conditions of the Creative Commons Attribution (CC BY) license (https://creativecommons.org/licenses/by/4.0/).
Share and Cite
Pantelimon, I.; Stancu, A.M.; Coniac, S.; Ionescu, A.-I.; Atasiei, D.-I.; Georgescu, D.E.; Galeș, L.N. Local Control of Advanced Breast Cancer—Debate in Multidisciplinary Tumor Board. J. Clin. Med. 2025, 14, 510. https://doi.org/10.3390/jcm14020510
Pantelimon I, Stancu AM, Coniac S, Ionescu A-I, Atasiei D-I, Georgescu DE, Galeș LN. Local Control of Advanced Breast Cancer—Debate in Multidisciplinary Tumor Board. Journal of Clinical Medicine. 2025; 14(2):510. https://doi.org/10.3390/jcm14020510
Chicago/Turabian StylePantelimon, Iuliana, Andra Maria Stancu, Simona Coniac, Andreea-Iuliana Ionescu, Dimitrie-Ionuț Atasiei, Dragoș Eugen Georgescu, and Laurenția Nicoleta Galeș. 2025. "Local Control of Advanced Breast Cancer—Debate in Multidisciplinary Tumor Board" Journal of Clinical Medicine 14, no. 2: 510. https://doi.org/10.3390/jcm14020510
APA StylePantelimon, I., Stancu, A. M., Coniac, S., Ionescu, A.-I., Atasiei, D.-I., Georgescu, D. E., & Galeș, L. N. (2025). Local Control of Advanced Breast Cancer—Debate in Multidisciplinary Tumor Board. Journal of Clinical Medicine, 14(2), 510. https://doi.org/10.3390/jcm14020510

