A Robust Blood Vessel Segmentation Technique for Angiographic Images Employing Multi-Scale Filtering Approach
Abstract
1. Introduction
1.1. Gaps and Objectives
1.2. Research Contributions and Novelty
2. Deep Learning for Coronary Artery Segmentation in CTA Images
3. Materials and Methods
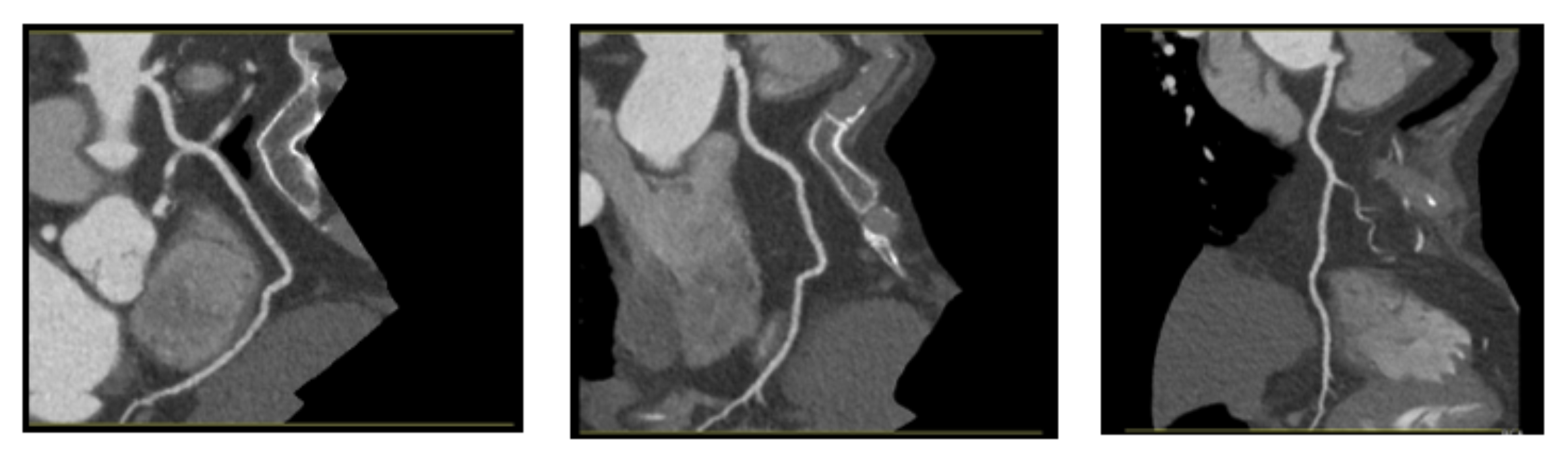
3.1. Dataset
3.1.1. Dataset Composition
3.1.2. Annotation Issues
3.2. Proposed Solution
| Algorithm 1 Pre-processing of vessel images |
Input: 2D Image , scales , step size , threshold T, parameters Output: final segmented vesselness map 1: Thresholding a. Normalize the image intensity to ; b. Apply global threshold T: , if , else 0. 2: Frangi Filtering a. Initialize vesselness map for all pixels; b. For each scale in range , with step : b.1. Smooth the image using a Gaussian filter: ; b.2. Compute second-order derivatives , , ; b.3. Construct the Hessian matrix: b.4. Compute eigenvalues of H (); b.5. Compute vesselness measures: , (blobness ratio); (structuredness) b.6. Compute vesselness response:
b.7. Update vesselness map: ; b.8. Threshold vesselness map: 3. Region Filling: a. Identify connected components in ; b. for each connected component: if size of the component , then retain the component; else discard the component as noise; end if c. Fill gaps using morphological closing: = MorphClosing( 4. Combine Results: a. Combine thresholded image and Frangi-filtered results: 5. Final Output: a. Apply post-processing b. Return final segmented vessel map: |
4. Experimental Results
4.1. Metrics
- X: The set of pixels in the predicted segmentation.
- Y: The set of pixels in the ground truth segmentation.
- : The number of elements (pixels) in the predicted segmentation.
- : The number of elements (pixels) in the ground truth segmentation.
- : The number of elements common to both sets (the intersection of the predicted and ground truth segmentations).
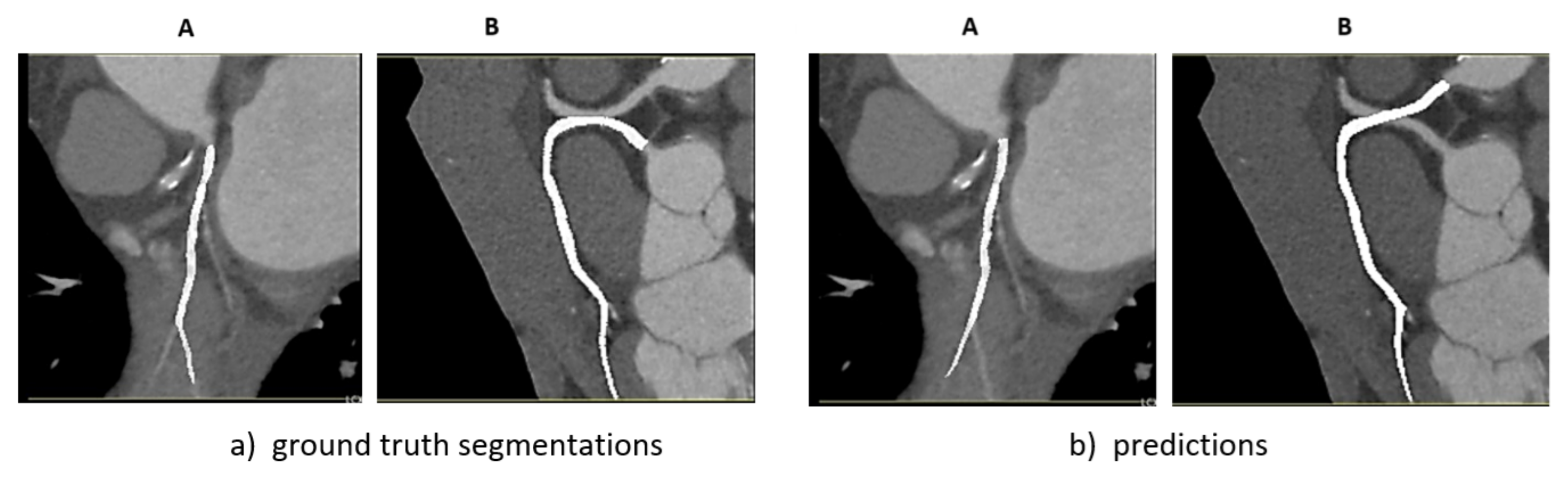
4.2. Comparison of Intra-Observer Annotations
- Prediction against previously annotated data (old)
- Prediction against newly annotated data (new)
- Difference between previously annotated and newly annotated data (human)
5. Discussion
6. Conclusions
Author Contributions
Funding
Institutional Review Board Statement
Informed Consent Statement
Data Availability Statement
Conflicts of Interest
References
- Yagis, E.; Aslani, S.; Jain, Y.; Zhou, Y.; Rahmani, S.; Brunet, J.; Bellier, A.; Werlein, C.; Ackermann, M.; Jonigk, D.; et al. Deep Learning for Vascular Segmentation and Applications in Phase Contrast Tomography Imaging. arXiv 2023, arXiv:2311.13319. [Google Scholar]
- Xian, Z.; Wang, X.; Shaodi, Y.; Yang, D.; Chen, J.; Peng, C. Main Coronary Vessel Segmentation Using Deep Learning in Smart Medical. Math. Probl. Eng. 2020, 2020, 1–9. [Google Scholar] [CrossRef]
- Moccia, S.; De Momi, E.; El Hadji, S.; Mattos, L.S. Blood vessel segmentation algorithms—Review of methods, datasets and evaluation metrics. Comput. Methods Programs Biomed. 2018, 158, 71–91. [Google Scholar] [CrossRef]
- Chanwimaluang, T.; Fan, G. An efficient blood vessel detection algorithm for retinal images using local entropy thresholding. In Proceedings of the 2003 IEEE International Symposium on Circuits and Systems (ISCAS), Bangkok, Thailand, 25–28 May 2003; Volume 5, p. V. [Google Scholar] [CrossRef]
- Boese, A.; Illanes, A.; Balakrishnan, S.; Davaris, N.; Arens, C.; Friebe, M. Vascular pattern detection and recognition in endoscopic imaging of the vocal folds. Curr. Dir. Biomed. Eng. 2018, 4, 75–78. [Google Scholar] [CrossRef]
- Ciecholewski, M.; Kassjański, M. Computational Methods for Liver Vessel Segmentation in Medical Imaging: A Review. Sensors 2021, 21, 2027. [Google Scholar] [CrossRef]
- Li, Y.; Liu, X.; Jia, X.; Jiang, T.; Wu, J.; Zhang, Q.; Li, J.; Li, X.; Li, A. A high-performance deep-learning-based pipeline for whole-brain vasculature segmentation at the capillary resolution. Bioinformatics 2023, 39, btad145. [Google Scholar] [CrossRef]
- Zhou, Y.; Guo, H.; Song, J.; Chen, Y.; Wang, J. Review of Vessel Segmentation and Stenosis classification in X-ray Coronary Angiography. In Proceedings of the 2021 13th International Conference on Wireless Communications and Signal Processing (WCSP), Changsha, China, 20–22 October 2021; pp. 1–5. [Google Scholar] [CrossRef]
- Li, Y.; Wu, Y.; He, J.; Jiang, W.; Wang, J.; Peng, Y.; Jia, Y.; Xiong, T.; Jia, K.; Chen, M. Automatic coronary artery segmentation and diagnosis of stenosis by deep learning based on computed tomographic coronary angiography. Eur. Radiol. 2022, 32, 6037–6045. [Google Scholar] [CrossRef]
- Zhao, C.; Vij, A.; Malhotra, S.; Tang, J.; Tang, H.; Pienta, D.; Xu, Z.; Zhou, W. Automatic extraction and stenosis evaluation of coronary arteries in invasive coronary angiograms. Comput. Biol. Med. 2021, 136, 104667. [Google Scholar] [CrossRef]
- Lu, P.; Xia, J.; Li, Z.; Xiong, J.; Yang, J.; Zhou, S.; Wang, L.; Chen, M.; Wang, C. A vessel segmentation method for multi-modality angiographic images based on multi-scale filtering and statistical models. Biomed. Eng. Online 2016, 15, 120. [Google Scholar] [CrossRef]
- Elsayed, N.; Osman, Y.B.M.; Li, C.; Zhang, J.; Wang, S. Automating Vessel Segmentation in the Heart and Brain: A Trend to Develop Multi-Modality and Label-Efficient Deep Learning Techniques. arXiv 2024, arXiv:2404.01671. [Google Scholar]
- Miri, M.; Amini, Z.; Rabbani, H.; Kafieh, R. A Comprehensive Study of Retinal Vessel Classification Methods in Fundus Images. J. Med. Signals Sens. 2017, 7, 59–70. [Google Scholar] [CrossRef] [PubMed]
- Chen, X.; Jiang, J.; Zhang, X. Automatic 3D coronary artery segmentation based on local region active contour model. J. Thorac. Dis. 2024, 16, 2563–2579. [Google Scholar] [CrossRef] [PubMed]
- Lalinia, M.; Sahafi, A. Coronary Vessel Segmentation in X-ray Angiography Images Using Edge-Based Tracking Method. Sens. Imaging 2024, 25, 32. [Google Scholar] [CrossRef]
- Ooi, A.Z.H.; Embong, Z.; Abd Hamid, A.I.; Zainon, R.; Wang, S.L.; Ng, T.F.; Hamzah, R.A.; Teoh, S.S.; Ibrahim, H. Interactive Blood Vessel Segmentation from Retinal Fundus Image Based on Canny Edge Detector. Sensors 2021, 21, 6380. [Google Scholar] [CrossRef]
- Shi, G.; Lu, H.; Hui, H.; Tian, J. Benefit from public unlabeled data: A Frangi filtering-based pretraining network for 3D cerebrovascular segmentation. arXiv 2023, arXiv:2312.15273. [Google Scholar]
- Longo, A.; Morscher, S.; Najafababdi, J.M.; Jüstel, D.; Zakian, C.; Ntziachristos, V. Assessment of hessian-based Frangi vesselness filter in optoacoustic imaging. Photoacoustics 2020, 20, 100200. [Google Scholar] [CrossRef]
- Algarni, M.; Al-Rezqi, A.; Saeed, F.; Alsaeedi, A.; Ghabban, F. Multi-constraints based deep learning model for automated segmentation and diagnosis of coronary artery disease in X-ray angiographic images. Peerj Comput. Sci. 2022, 8, e993. [Google Scholar] [CrossRef]
- Suri, J.S.; Bhagawati, M.; Agarwal, S.; Paul, S.; Pandey, A.; Gupta, S.K.; Saba, L.; Paraskevas, K.I.; Khanna, N.N.; Laird, J.R.; et al. UNet Deep Learning Architecture for Segmentation of Vascular and Non-Vascular Images: A Microscopic Look at UNet Components Buffered With Pruning, Explainable Artificial Intelligence, and Bias. IEEE Access 2023, 11, 595–645. [Google Scholar] [CrossRef]
- Xie, E.; Wang, W.; Yu, Z.; Anandkumar, A.; Alvarez, J.M.; Luo, P. SegFormer: Simple and Efficient Design for Semantic Segmentation with Transformers. arXiv 2021, arXiv:2105.15203. [Google Scholar]
- Cao, H.; Wang, Y.; Chen, J.; Jiang, D.; Zhang, X.; Tian, Q.; Wang, M. Swin-Unet: Unet-like Pure Transformer for Medical Image Segmentation. arXiv 2021, arXiv:2105.05537. [Google Scholar]
- Jin, Y.; Pepe, A.; Li, J.; Gsaxner, C.; Zhao, F.-h.; Pomykala, K.L.; Kleesiek, J.; Frangi, A.F.; Egger, J. AI-based Aortic Vessel Tree Segmentation for Cardiovascular Diseases Treatment: Status Quo. arXiv 2023, arXiv:2108.02998. [Google Scholar]
- Enériz, D.; Rodriguez-Almeida, A.J.; Fabelo, H.; Ortega, S.; Balea-Fernandez, F.J.; Callico, G.M.; Medrano, N.; Calvo, B. Low-Cost FPGA Implementation of Deep Learning-Based Heart Sound Segmentation for Real-Time CVDs Screening. IEee Trans. Instrum. Meas. 2024, 73, 1–16. [Google Scholar] [CrossRef]
- Rodrigues, E.O.; Conci, A.; Liatsis, P. ELEMENT: Multi-Modal Retinal Vessel Segmentation Based on a Coupled Region Growing and Machine Learning Approach. IEEE J. Biomed. Health Informatics 2020, 24, 3507–3519. [Google Scholar] [CrossRef] [PubMed]
- Zhu, X.; Cheng, Z.; Wang, S.; Chen, X.; Lu, G. Coronary angiography image segmentation based on PSPNet. Comput. Methods Programs Biomed. 2021, 200, 105897. [Google Scholar] [CrossRef]
- Lee, J.; Kim, J.N.; Gomez-Perez, L.; Gharaibeh, Y.; Motairek, I.; Pereira, G.T.R.; Zimin, V.N.; Dallan, L.A.P.; Hoori, A.; Al-Kindi, S.; et al. Automated Segmentation of Microvessels in Intravascular OCT Images Using Deep Learning. Bioengineering 2022, 9, 648. [Google Scholar] [CrossRef]
- Dang, V.N.; Galati, F.; Cortese, R.; Di Giacomo, G.; Marconetto, V.; Mathur, P.; Lekadir, K.; Lorenzi, M.; Prados, F.; Zuluaga, M.A. Vessel-CAPTCHA: An efficient learning framework for vessel annotation and segmentation. Med Image Anal. 2022, 75, 102263. [Google Scholar] [CrossRef]
- Mamalakis, M.; Garg, P.; Nelson, T.; Lee, J.; Swift, A.J.; Wild, J.M.; Clayton, R.H. Artificial Intelligence framework with traditional computer vision and deep learning approaches for optimal automatic segmentation of left ventricle with scar. Artif. Intell. Med. 2023, 143, 102610. [Google Scholar] [CrossRef]
- Moon, J.H.; Lee, D.Y.; Cha, W.C.; Chung, M.J.; Lee, K.S.; Cho, B.H.; Choi, J.H. Automatic stenosis recognition from coronary angiography using convolutional neural networks. Comput. Methods Programs Biomed. 2021, 198, 105819. [Google Scholar] [CrossRef]
- Luan, S.; Yu, X.; Lei, S.; Ma, C.; Wang, X.; Xue, X.; Ding, Y.; Ma, T.; Zhu, B. Deep learning for fast super-resolution ultrasound microvessel imaging. Phys. Med. Biol. 2023, 68, 245023. [Google Scholar] [CrossRef]
- Chen, C.; Qin, C.; Qiu, H.; Tarroni, G.; Duan, J.; Bai, W.; Rueckert, D. Deep Learning for Cardiac Image Segmentation: A Review. Front. Cardiovasc. Med. 2020, 7. [Google Scholar] [CrossRef]
- Litjens, G.; Ciompi, F.; Wolterink, J.M.; de Vos, B.D.; Leiner, T.; Teuwen, J.; Išgum, I. State-of-the-Art Deep Learning in Cardiovascular Image Analysis. JACC Cardiovasc. Imaging 2019, 12, 1549–1565. [Google Scholar] [CrossRef] [PubMed]
- Wang, Q.; Xu, L.; Wang, L.; Yang, X.; Sun, Y.; Yang, B.; Greenwald, S.E. Automatic coronary artery segmentation of CCTA images using UNet with a local contextual transformer. Front. Physiol. 2023, 14, 1138257. [Google Scholar] [CrossRef] [PubMed]
- Ring, F. Deep Learning for Coronary Artery Segmentation in CTA Images Using Fully Convolutional Neural Networks with Deep Supervision for Efficient Volume-to-Volume Segmentation. Master’s Thesis, Chalmers University of Technology, Gothenburg, Sweden, 2018. [Google Scholar]
- Cheung, W.K.; Bell, R.; Nair, A.; Menezes, L.J.; Patel, R.; Wan, S.; Chou, K.; Chen, J.; Torii, R.; Davies, R.H.; et al. A Computationally Efficient Approach to Segmentation of the Aorta and Coronary Arteries Using Deep Learning. IEEE Access 2021, 9, 108873–108888. [Google Scholar] [CrossRef]
- Huang, C.; Yin, C. A coronary artery CTA segmentation approach based on deep learning. J.-Ray Sci. Technol. 2022, 30, 245–259. [Google Scholar] [CrossRef]
- Lei, Y.; Guo, B.; Fu, Y.; Wang, T.; Liu, T.; Curran, W.; Zhang, L.; Yang, X. Automated coronary artery segmentation in Coronary Computed Tomography Angiography (CCTA) using deep learning neural networks. In Proceedings of SPIE—The International Society for Optical Engineering; SPIE: St. Bellingham, WA, USA, 2020; p. 34. [Google Scholar] [CrossRef]
- Bujny, M.; Jesionek, K.; Nalepa, J.; Miszalski-Jamka, K.; Widawka-Żak, K.; Wolny, S.; Kostur, M. Coronary artery segmentation in non-contrast calcium scoring CT images using deep learning. arXiv 2024, arXiv:2403.02544. [Google Scholar]
- Gao, Y.; Zhou, M.; Metaxas, D. UTNet: A Hybrid Transformer Architecture for Medical Image Segmentation. arXiv 2021, arXiv:2107.00781. [Google Scholar]
- Xie, Y.; Zhang, J.; Shen, C.; Xia, Y. CoTr: Efficiently Bridging CNN and Transformer for 3D Medical Image Segmentation. arXiv 2021, arXiv:2103.03024. [Google Scholar]
- Liu, Z.; Ning, J.; Cao, Y.; Wei, Y.; Zhang, Z.; Lin, S.; Hu, H. Video swin transformer. In Proceedings of the Proceedings of the IEEE/CVF conference on computer vision and pattern recognition, New Orleans, LA, USA, 18–24 June 2022; pp. 3202–3211. [Google Scholar]
- Gharleghi, R.; Adikari, D.; Ellenberger, K.; Ooi, S.Y.; Ellis, C.; Chen, C.M.; Gao, R.; He, Y.; Hussain, R.; Lee, C.Y.; et al. Automated segmentation of normal and diseased coronary arteries – The ASOCA challenge. Comput. Med Imaging Graph. 2022, 97, 102049. [Google Scholar] [CrossRef]
- Bernard, O.; Lalande, A.; Zotti, C.; Cervenansky, F.; Yang, X.; Heng, P.A.; Cetin, I.; Lekadir, K.; Camara, O.; Gonzalez Ballester, M.A.; et al. Deep Learning Techniques for Automatic MRI Cardiac Multi-Structures Segmentation and Diagnosis: Is the Problem Solved? IEEE Trans. Med Imaging 2018, 37, 2514–2525. [Google Scholar] [CrossRef]
- Zhuang, X.; Li, L.; Payer, C.; Štern, D.; Urschler, M.; Heinrich, M.; Oster, J.; Wang, C.; Smedby, Ö.; Bian, C.; et al. Evaluation of algorithms for Multi-Modality Whole Heart Segmentation: An open-access grand challenge. Med. Image Anal. 2019, 58, 101537. [Google Scholar] [CrossRef]
- Dumitru, R.G.; Peteleaza, D. Using DUCK-Net for polyp image segmentation. Sci. Rep. 2023, 13, 9803. [Google Scholar] [CrossRef] [PubMed]
- Sandfort, V.; Willemink, M.; Codari, M.; Mastrodicasa, D.; Fleischmann, D. Denoising Multiphase Functional Cardiac CT Angiography Using Deep Learning and Synthetic Data. Radiol. Artif. Intell. 2024, 6, e230153. [Google Scholar] [CrossRef] [PubMed]
- Bing, P.; Liu, W.; Zhai, Z.; Li, J.; Guo, Z.; Xiang, Y.; He, B.; Zhu, L. A novel approach for denoising electrocardiogram signals to detect cardiovascular diseases using an efficient hybrid scheme. Front. Cardiovasc. Med. 2024, 11, 1277123. [Google Scholar] [CrossRef]
- Yu, X.; Luan, S.; Lei, S.; Huang, J.; Liu, Z.; Xue, X.; Ma, T.; Ding, Y.; Zhu, B. Deep learning for fast denoising filtering in ultrasound localization microscopy. Phys. Med. Biol. 2023, 68, 205002. [Google Scholar] [CrossRef]
- Skalski, P. Make Sense. 2019. Available online: https://github.com/SkalskiP/make-sense/ (accessed on 19 February 2024).












| Source | DSC | Data | Model |
|---|---|---|---|
| [34] | 0.86 | CorArtTS2020 dataset of 81 cases | DR-LCT-UNet |
| [35] | 0.73 | 25 manually corrected segmentations | I2I-3D |
| [36] | 0.89 | 69 subjects with chest pain ( data pre-processed using 3D Slicer; 14597 slices) | U-net++ [Xnet/BN] |
| [37] | 0.90 | CTA dataset of 20 patients | FCN, FCN-AG1, FCN-AG2 fusion. |
| [38] | 0.86 | CTA dataset of 30 patients | UNet |
| [39] | 0.65 | 98 multi-vendor ECG-gated cardiac CT scans | nnU-Net |
| [40] | 0.83 | 60 cases of CTA images (ASOCA challenge) | UTNet |
| [41] | 0.78 | 60 cases of CTA images (ASOCA challenge) | CoTr |
| [42] | 0.86 | 60 cases of CTA images (ASOCA challenge) | Video Swin Transformer |
| Attempt | Minimum | Maximum | 25th Percentile | 50th Percentile | 75th Percentile |
|---|---|---|---|---|---|
| A | 0.8746 | 0.9519 | 0.8999 | 0.9029 | 0.9074 |
| B | 0.8866 | 0.9531 | 0.9048 | 0.9108 | 0.9155 |
| C | 0.8643 | 0.9406 | 0.9001 | 0.9046 | 0.9086 |
| D | 0.8738 | 0.9510 | 0.8958 | 0.9071 | 0.9130 |
| Approach | Dice | Precision | Recall |
|---|---|---|---|
| Morpho-U-Net (Ours) | 0.9108 | 0.9341 | 0.8872 |
| Duck-Net | 0.8978 | 0.9153 | 0.8691 |
| Swin-Unet | 0.8756 | 0.8871 | 0.8714 |
| U-Net | 0.7220 | 0.8925 | 0.8563 |
| Morpho-U-Net | Duck-Net | Swin-Unet | U-Net | |
|---|---|---|---|---|
| Morpho-U-Net | - | 0.044 | 0.036 | 0.031 |
| Duck-Net | 0.044 | - | 0.134 | 0.042 |
| Swin-Unet | 0.036 | 0.134 | - | 0.047 |
| U-Net | 0.031 | 0.042 | 0.047 | - |
| Average | Min | Max | 25th Percentile | 50th Percentile | 75th Percentile | |
|---|---|---|---|---|---|---|
| Old | 0.8193 | 0.7525 | 0.8611 | 0.8006 | 0.8302 | 0.8403 |
| New | 0.8819 | 0.7531 | 0.9202 | 0.8849 | 0.9023 | 0.9066 |
| Human | 0.8146 | 0.6901 | 0.8985 | 0.7858 | 0.8061 | 0.8487 |
Disclaimer/Publisher’s Note: The statements, opinions and data contained in all publications are solely those of the individual author(s) and contributor(s) and not of MDPI and/or the editor(s). MDPI and/or the editor(s) disclaim responsibility for any injury to people or property resulting from any ideas, methods, instructions or products referred to in the content. |
© 2025 by the authors. Licensee MDPI, Basel, Switzerland. This article is an open access article distributed under the terms and conditions of the Creative Commons Attribution (CC BY) license (https://creativecommons.org/licenses/by/4.0/).
Share and Cite
Paulauskaite-Taraseviciene, A.; Siaulys, J.; Jankauskas, A.; Jakuskaite, G. A Robust Blood Vessel Segmentation Technique for Angiographic Images Employing Multi-Scale Filtering Approach. J. Clin. Med. 2025, 14, 354. https://doi.org/10.3390/jcm14020354
Paulauskaite-Taraseviciene A, Siaulys J, Jankauskas A, Jakuskaite G. A Robust Blood Vessel Segmentation Technique for Angiographic Images Employing Multi-Scale Filtering Approach. Journal of Clinical Medicine. 2025; 14(2):354. https://doi.org/10.3390/jcm14020354
Chicago/Turabian StylePaulauskaite-Taraseviciene, Agne, Julius Siaulys, Antanas Jankauskas, and Gabriele Jakuskaite. 2025. "A Robust Blood Vessel Segmentation Technique for Angiographic Images Employing Multi-Scale Filtering Approach" Journal of Clinical Medicine 14, no. 2: 354. https://doi.org/10.3390/jcm14020354
APA StylePaulauskaite-Taraseviciene, A., Siaulys, J., Jankauskas, A., & Jakuskaite, G. (2025). A Robust Blood Vessel Segmentation Technique for Angiographic Images Employing Multi-Scale Filtering Approach. Journal of Clinical Medicine, 14(2), 354. https://doi.org/10.3390/jcm14020354

