EnBloc Resection of a Chordoma of the Thoracic Spine by “L”-Shaped Osteotomy for Spinal Canal Preservation
Abstract
1. Introduction
2. Case Report
2.1. Clinical Findings
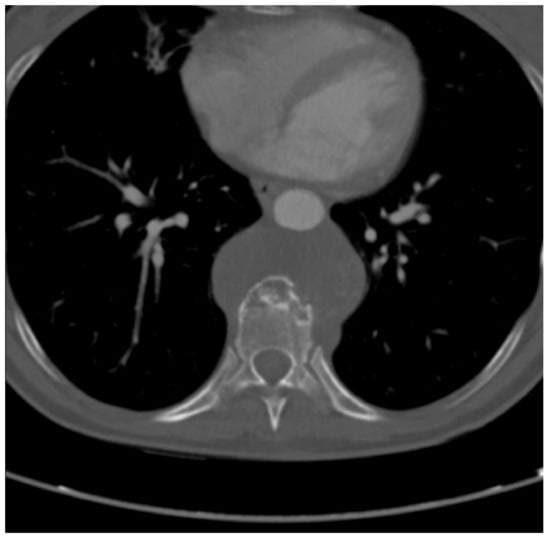
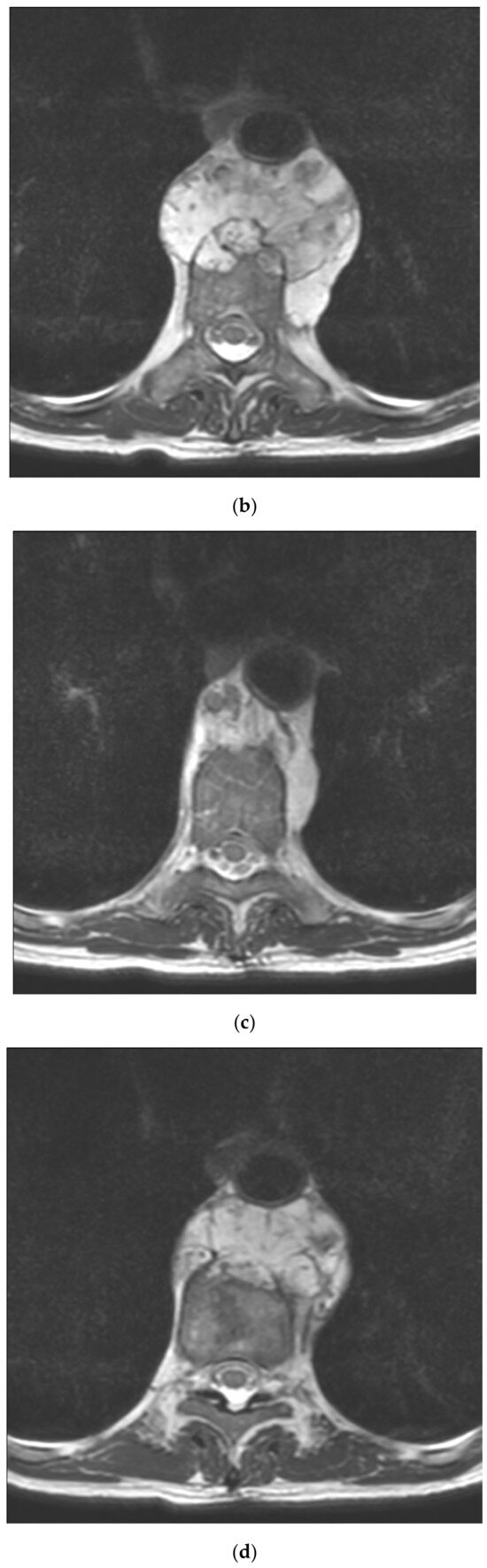
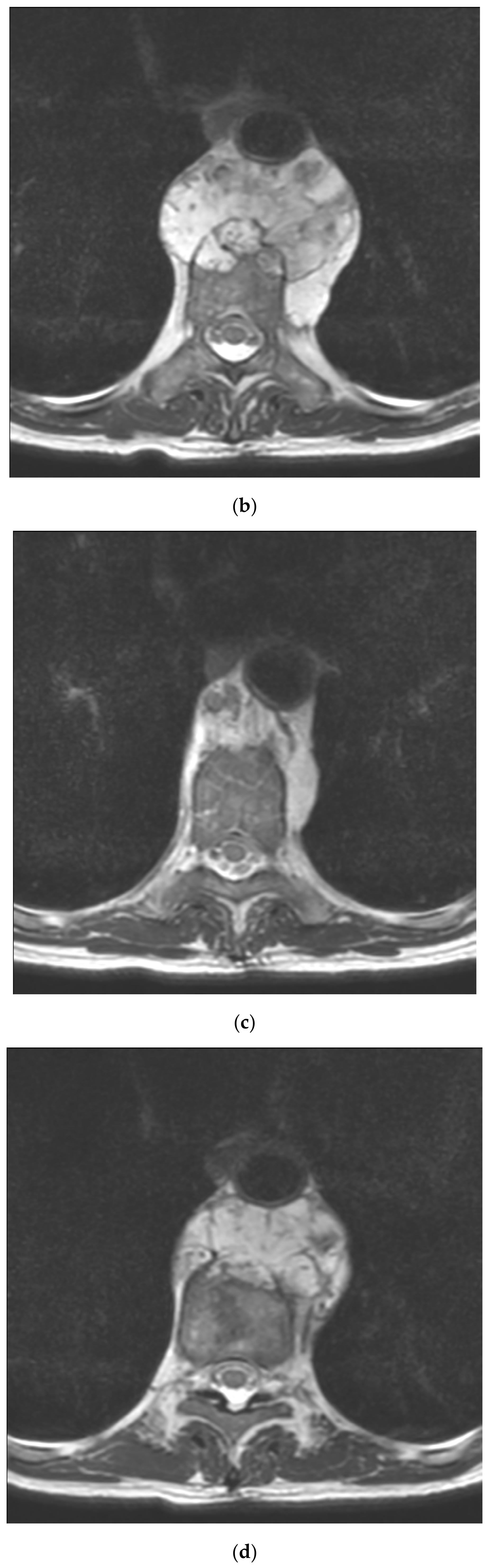
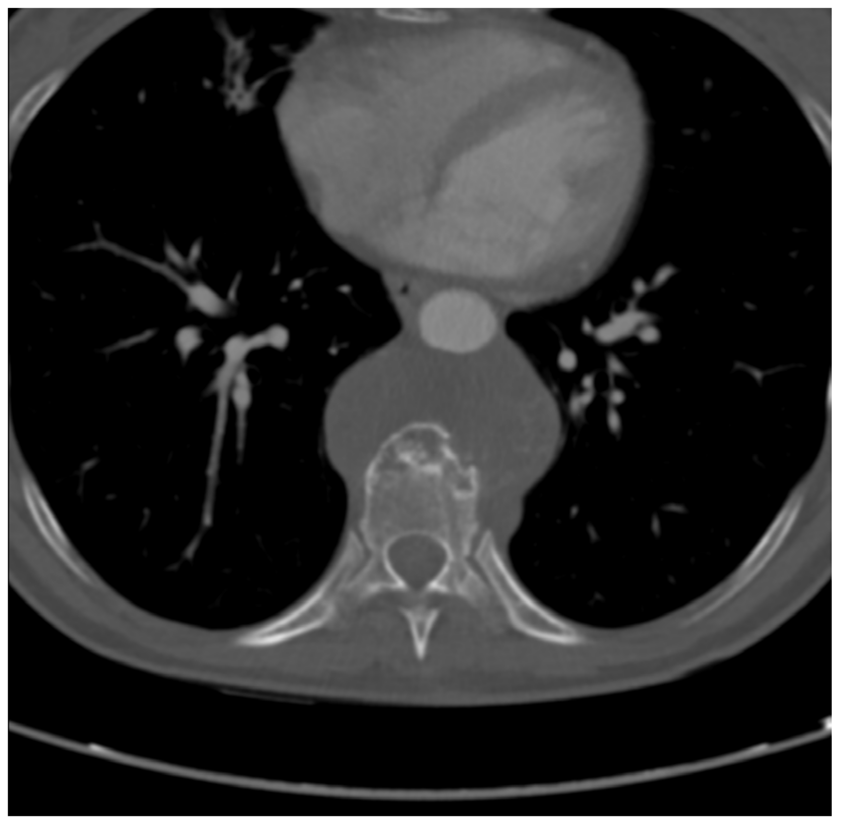
2.2. Imaging Studies
2.3. Surgical Planning
2.4. Surgical Procedure
2.5. Reconstruction
2.6. Pathologist’s Report
2.7. Post-Operative Period and Follow Up
3. Discussion
4. Conclusions
Author Contributions
Funding
Institutional Review Board Statement
Informed Consent Statement
Data Availability Statement
Acknowledgments
Conflicts of Interest
References
- Enneking, W.F.; Spanier, S.S.; Goodman, M.A. A system for the surgical staging of musculoskeletal neoplasms. Clin. Orthop. Relat. Res. 1980, 153, 106–115. [Google Scholar] [CrossRef]
- Simon, M.A. Current concepts review: Limb salvage for Osteosarcoma. J. Bone Jt. Surg. 1988, 70, 307–312. [Google Scholar] [CrossRef]
- Rosen, G. Pre-operative (neo-adjuvant) chemotherapy for osteogenic sarcoma: A ten years experience. Orthopedics 1985, 8, 659–664. [Google Scholar] [CrossRef]
- Gitelis, S.; Mallin, B.A.; Piasecki, P.; Turner, F. Intralesional excision compared with enbloc resection for giant cell tumor of bone. J. Bone Jt. Surg. 1993, 75, 1048–1053. [Google Scholar] [CrossRef]
- Stener, B.; Johnsen, O.E. Complete removal of three vertebrae for giant-cell tumour. J. Bone Jt. Surg. Br. 1971, 53, 278–287. [Google Scholar] [CrossRef]
- Roy-Camille, R.; Montpierre, H.; Mazel, C.; Saillant, G. Technique de vertebrectomie totale lombaire. In Rachis Dorsal et Lombaire Septieme Journees d’Orthopedie de la Pitié; Roy-Camille, R., Ed.; Masson: Paris, France, 1990; pp. 49–52. [Google Scholar]
- Tomita, K.; Kawahara, N.; Baba, H.; Tsuchiya, H.; Fujita, T.; Toribatake, Y. Total en bloc spondylectomy. A new surgical technique for primary malignant vertebral tumors. Spine 2017, 22, 324–333. [Google Scholar] [CrossRef]
- Fujita, T.; Kawahara, N.; Matsumoto, T.; Tomita, K. Chordoma in the cervical spine managed with en bloc excision. Spine 1999, 24, 1848. [Google Scholar] [CrossRef]
- Marmor, E.; Rhines, L.D.; Weinberg, J.S.; Gokaslan, Z.L. Total en bloc lumbar spondylectomy. Case report. J. Neurosurg. 2001, 95, 264–269. [Google Scholar]
- Rhines, L.D.; Fourney, D.R.; Siadati, A.; Suk, I.; Gokaslan, Z.L. En bloc resection of multilevel cervical chordoma with C-2 involvement. Case report and description of operative technique. J. Neurosurg. Spine 2005, 2, 199–205. [Google Scholar] [CrossRef]
- Currier, B.L.; Papagelopoulos, P.J.; Krauss, W.E.; Unni, K.K.; Yaszemski, M.J. Total en bloc spondylectomy of C5 vertebra for chordoma. Spine 2007, 32, E294–E299. [Google Scholar] [CrossRef]
- Amendola, L.; Cappuccio, M.; De Iure, F.; Bandiera, S.; Gasbarrini, A.; Boriani, S. En bloc resections for primary spinal tumors in 20 years of experience: Effectiveness and safety. Spine J. 2014, 14, 2608–2617. [Google Scholar] [CrossRef] [PubMed]
- Wang, T.; Jia, Q.; Fan, R.; Qian, M.; Yang, C.; Wei, H.; Liu, T.; Yang, X.; Wu, Z.; Zhao, J.; et al. Multi-level En Bloc Resection as a Preferred Salvage Therapy for Recurrent Thoracolumbar Chondrosarcoma: A Comparative Study with Piecemeal Resection. Spine 2020, 45, 789–797. [Google Scholar] [CrossRef] [PubMed]
- Keynan, O.; Fisher, C.G.; Boyd, M.C.; O’Connell, J.X.; Dvorak, M.F. Ligation and partial excision of the cauda equina as part of a wide resection of vertebral osteosarcoma: A case report and description of surgical technique. Spine 2005, 30, E97–E102. [Google Scholar] [CrossRef] [PubMed]
- Murakami, H.; Tomita, K.; Kawahara, N.; Oda, M.; Yahata, T.; Yamaguchi, T. Complete segmental resection of the spine, including the spinal cord, for telangiectatic osteosarcoma: A report of 2 cases. Spine 2006, 31, E117–E122. [Google Scholar] [CrossRef] [PubMed]
- Krepler, P.; Windhager, R.; Toma, C.D.; Kitz, K.; Kotz, R. Dura resection in combination with en bloc spondylectomy for primary malignant tumors of the spine. Spine 2003, 28, E334–E338. [Google Scholar] [CrossRef] [PubMed]
- Gösling, T.; Pichlmaier, M.A.; Länger, F.; Krettek, C.; Hüfner, T. Two-stage multilevel en bloc spondylectomy with resection and replacement of the aorta. Eur. Spine J. 2013, 22 (Suppl. 3), S363–S368. [Google Scholar] [CrossRef] [PubMed] [PubMed Central][Green Version]
- Somasundaram, A.; Wicks, R.T.; Lata, A.L.; Qasem, S.A.; Hsu, W. En bloc spondylectomy for primary malignant fibrous histiocytoma of the thoracic spine with aortic involvement: Case report. J. Neurosurg. Spine 2015, 22, 399–405. [Google Scholar] [CrossRef] [PubMed]
- Avila, M.J.; Skoch, J.; Fennell, V.S.; Palejwala, S.K.; Walter, C.M.; Kim, S.; Baaj, A.A. Combined posterior hemiosteotomies and stabilization with lateral thoracotomy for en bloc resection of thoracic paraspinal primary bone tumors: Technical note. J. Neurosurg. Spine 2016, 24, 223–227. [Google Scholar] [CrossRef]
- Huang, W.; Wei, H.; Cai, W.; Xu, W.; Yang, X.; Liu, T.; Wu, Z.; Huang, Q.; Yan, W.; Xiao, J. Total En Bloc Spondylectomy for Solitary Metastatic Tumors of the Fourth Lumbar Spine in a Posterior-Only Approach. World Neurosurg. 2018, 120, e8–e16. [Google Scholar] [CrossRef]
- Yang, X.; Yang, J.; Jia, Q.; Zhong, N.; Jiao, J.; Hu, J.; Peng, D.; Liu, W.; Wan, W.; Xiao, J. A Novel Technique for Total En bloc Spondylectomy of the Fifth Lumbar Tumor Through Posterior-Only Approach. Spine 2019, 44, 896–901. [Google Scholar] [CrossRef]
- Li, Z.; Lv, Z.; Li, J. Total En Bloc Spondylectomy for the Fifth Lumbar Solitary Metastasis by a Posterior-Only Approach. World Neurosurg. 2019, 130, 235–239. [Google Scholar] [CrossRef] [PubMed]
- Lu, M.; Zhou, Z.; Lei, Z.; Li, H.; Boriani, S. Huge myxoid chondrosarcoma expanded into the thoracic cavity with spinal involvement. Eur. Spine J. 2019, 28, 25–30. [Google Scholar] [CrossRef] [PubMed]
- Tang, X.; Cai, Z.; Wang, R.; Ji, T.; Guo, W. En bloc resection and reconstruction of a huge chondrosarcoma involving multilevel upper thoracic spine and chest wall: Case report. BMC Musculoskelet. Disord. 2021, 22, 348. [Google Scholar] [CrossRef] [PubMed]
- Ono, K.; Otsuki, B.; Fujibayashi, S.; Shimizu, T.; Murata, K.; Matsuda, S. Subtotal En Bloc Resection of the Fourth Lumbar Vertebra for Giant Cell Tumor Using Combined Posterior and Lateral Retroperitoneal Approach. Spine Surg. Relat. Res. 2021, 5, 442–445. [Google Scholar] [CrossRef]
- Aibara, N.; Watanabe, K.; Asano, N.; Suzuki, S.; Takahashi, Y.; Nori, S.; Tsuji, O.; Nagoshi, N.; Yagi, M.; Nakamura, M.; et al. Bilateral Osteotomy of Pedicles for En Bloc Resection of a Malignant Tumor of the Posterior Thoracic Spine: A Case Report. JBJS Case Connect. 2022, 12, e22. [Google Scholar] [CrossRef]
- Hasegawa, K.; Homma, T.; Hirano, T.; Ogose, A.; Hotta, T.; Yajiri, Y.; Nagano, J.; Inoue, Y. Margin-free spondylectomy for extended malignant spine tumors: Surgical technique and outcome of 13 cases. Spine 2007, 32, 142–148. [Google Scholar] [CrossRef] [PubMed]
- Luzzati, A.D.; Shah, S.P.; Gagliano, F.S.; Perrucchini, G.G.; Fontanella, W.; Alloisio, M. Four- and five-level en bloc spondylectomy for malignant spinal tumors. Spine 2014, 39, E129–E139. [Google Scholar] [CrossRef]
- Mazel, C.; Owona, P.; Cogan, A.; Balabaud, L.; Grunenwald, D. Long-term quality of life after en-bloc vertebrectomy: 25 patients followed up for 9years. Orthop. Traumatol. Surg. Res. 2014, 100, 119–126. [Google Scholar] [CrossRef]
- Luzzati, A.D.; Shah, S.; Gagliano, F.; Perrucchini, G.; Scotto, G.; Alloisio, M. Multilevel en bloc spondylectomy for tumors of the thoracic and lumbar spine is challenging but rewarding. Clin. Orthop. Relat. Res. 2015, 473, 858–867. [Google Scholar] [CrossRef] [PubMed] [PubMed Central]
- Sciubba, D.M.; Ramos, R.D.l.G.; Goodwin, C.R.; Xu, R.; Bydon, A.; Witham, T.F.; Gokaslan, Z.L.; Wolinsky, J.-P. Total en bloc spondylectomy for locally aggressive and primary malignant tumors of the lumbar spine. Eur. Spine J. 2016, 25, 4080–4087. [Google Scholar] [CrossRef]
- Boriani, S.; Gasbarrini, A.; Bandiera, S.; Ghermandi, R.; Lador, R. En Bloc Resections in the Spine: The Experience of 220 Patients During 25 Years. World Neurosurg. 2017, 98, 217–229. [Google Scholar] [CrossRef] [PubMed]
- Zhang, X.M.; Fournel, L.; Lupo, A.; Canny, E.; Bobbio, A.; Lasry, S.; Regnard, J.F.; Sailhan, F.; Alifano, M. En Bloc Resection of Thoracic Tumors Invading the Spine: A Single-Center Experience. Ann. Thorac. Surg. 2019, 108, 227–234. [Google Scholar] [CrossRef] [PubMed]
- Dang, L.; Liu, Z.; Liu, X.; Jiang, L.; Yu, M.; Wu, F.; Wei, F. Sagittal en bloc resection of primary tumors in the thoracic and lumbar spine: Feasibility, safety and outcome. Sci. Rep. 2020, 10, 9108. [Google Scholar] [CrossRef] [PubMed]
- Lu, M.; Zhou, Z.; Chen, W.; Lei, Z.; Dai, S.; Hou, C.; Du, S.; Jin, Q.; Jin, D.; Boriani, S.; et al. En bloc resection of huge primary tumors with epidural involvement in the mobile spine using the “rotation-reversion” technique: Feasibility, safety, and clinical outcome of 11 cases. Front. Oncol. 2022, 12, 1031708. [Google Scholar] [CrossRef]
- Yamazaki, T.; McLoughlin, G.S.; Patel, S.; Rhines, L.D.; Fourney, D.R. Feasibility and safety of en bloc resection for primary spine tumors: A systematic review by the Spine Oncology Study Group. Spine 2009, 34, 31–38. [Google Scholar] [CrossRef]
- Tomita, K.; Kawahara, N.; Baba, H.; Tsuchiya, H.; Nagata, S.; Toribatake, Y. Total en bloc spondylectomy for solitary spinal metastases. Int. Orthop. 1994, 18, 291–298. [Google Scholar] [CrossRef]
- Boriani, S. En bloc resection in the spine: A procedure of surgical oncology. J. Spine Surg. 2018, 4, 668–676. [Google Scholar] [CrossRef]
- Boriani, S.; Weinstein, J.N.; Biagini, R. Primary bone tumors of the spine. Terminology and surgical staging. Spine 1997, 22, 1036–1044. [Google Scholar] [CrossRef]
- Uri, O.; Folman, Y.; Laufer, G.; Behrbalk, E. A Novel Spine Fixation System Made Entirely of Carbon-Fiber-Reinforced PEEK Composite: An In Vitro Mechanical Evaluation. Adv. Orthop. 2020, 2020, 4796136. [Google Scholar] [CrossRef] [PubMed] [PubMed Central]
- Ringel, F.; Ryang, Y.M.; Kirschke, J.S.; Müller, B.S.; Wilkens, J.J.; Brodard, J.; Combs, S.E.; Meyer, B. Radiolucent Carbon Fiber-Reinforced Pedicle Screws for Treatment of Spinal Tumors: Advantages for Radiation Planning and Follow-Up Imaging. World Neurosurg. 2017, 105, 294–301. [Google Scholar] [CrossRef]
- Ni, X.-Y.; Tang, X.-B.; Geng, C.-R.; Chen, D. The prospect of carbon fiber implants in radiotherapy. J. Appl. Clin. Med. Phys. 2012, 13, 152–159. [Google Scholar]
- Mastella, E.; Molinelli, S.; Magro, G.; Mirandola, A.; Russo, S.; Vai, A.; Mairani, A.; Choi, K.; Fiore, M.; Fossati, P.; et al. Dosimetric characterization of carbon fiber stabilization devices for post-operative particle therapy. Phys. Med. 2017, 44, 18–25. [Google Scholar] [CrossRef] [PubMed]
- Pertsch, N.J.; Leary, O.P.; Camara-Quintana, J.Q.; Liu, D.D.; Niu, T.; Woo, A.S.; Ng, T.T.; Oyelese, A.A.; Fridley, J.S.; Gokaslan, Z.L. A modern multidisciplinary approach to a large cervicothoracic chordoma using staged en bloc resection with intraoperative image-guided navigation and 3D-printed modeling: Illustrative case. J. Neurosurg. Case Lessons 2021, 1, CASE2023. [Google Scholar] [CrossRef] [PubMed]
- Berjano, P.; Baroncini, A.; Cecchinato, R.; Langella, F.; Boriani, S. En-bloc resection of a chordoma in L3 by a combined open posterior and less invasive retroperitoneal approach: Technical description and case report. Arch. Orthop. Trauma. Surg. 2023, 143, 801–808. [Google Scholar] [CrossRef]
- Hireche, K.; Moqaddam, M.; Lonjon, N.; Marty-Ane, C.; Solovei, L.; Ozdemir, B.A.; Canaud, L.; Alric, P. Combined video-assisted thoracoscopy surgery and posterior midline incision for en bloc resection of non-small-cell lung cancer invading the spine. Interact. Cardiovasc. Thorac. Surg. 2022, 34, 74–80. [Google Scholar] [CrossRef]
- Ziu, M.; Traylor, J.I.; Paxman, J.; Gorrebeeck, A.; Fortes, D.L. Utilizing Stereotactic Spine Navigation for Posterior Partial Vertebrectomy in an En Bloc Resection of a Superior Pulmonary Sulcus Tumor Invading the Thoracic Vertebrae: A Technical Note. Cureus 2018, 10, e3303. [Google Scholar] [CrossRef]
- Tigchelaar, S.S.; Medress, Z.A.; Quon, J.; Dang, P.; Barbery, D.; Bobrow, A.; Kin, C.; Louis, R.; Desai, A. Augmented Reality Neuronavigation for En Bloc Resection of Spinal Column Lesions. World Neurosurg. 2022, 167, 102–110. [Google Scholar] [CrossRef]
- Corrado, G.; Zoccali, C.; Salducca, N.; Oddi, A.; Vizza, E.; Biagini, R. Anterior robotic approach in en-bloc sacrectomy: A preliminary experience. J. Robot. Surg. 2019, 13, 53–59. [Google Scholar] [CrossRef]
- Vedantam, A.; Vigneswaran, K.; Rao, G.; Walsh, G.L.; Rhines, L.D.; Tatsui, C.E. Use of Navigated Ultrasonic Bone Cutting Tool for En Bloc Resection of Thoracic Chondrosarcoma: Technical Report. Oper. Neurosurg. 2020, 19, 551–556. [Google Scholar] [CrossRef]
- Gasbarrini, A.; Simoes, C.E.; Amendola, L.; Bandiera, S.; Bròdano, G.B.; Cappuccio, M.; Boriani, S. Influence of a thread wire saw guide and spinal cord protector device in “en bloc” vertebrectomies. J. Spinal Disord. Tech. 2012, 25, E7–E12. [Google Scholar] [CrossRef] [PubMed]
- Shah, A.A.; Pereira, N.R.P.; Pedlow, F.X.; Wain, J.C.; Yoon, S.S.; Hornicek, F.J.; Schwab, J.H. Modified En Bloc Spondylectomy for Tumors of the Thoracic and Lumbar Spine: Surgical Technique and Outcomes. J. Bone Joint Surg. Am. 2017, 99, 1476–1484. [Google Scholar] [CrossRef]
- Boriani, S.; Gasbarrini, A.; Ghermandi, R.; Fraifeld, S.; Cohen, J.E. Itshayek: Surgical Planning for EnBloc Resection of Spinal Tumors: Tailoring the Osteotomy to Tumor Extension. In Corrective Osteotomies for Rigid Spinal Deformities; Kaplan, L., Lenke, L.G., Eds.; Thieme: New York, NY, USA, 2023; pp. 138–149. [Google Scholar]















| Disclaimer/Publisher’s Note: The statements, opinions and data contained in all publications are solely those of the individual author(s) and contributor(s) and not of MDPI and/or the editor(s). MDPI and/or the editor(s) disclaim responsibility for any injury to people or property resulting from any ideas, methods, instructions or products referred to in the content. | 
© 2025 by the authors. Licensee MDPI, Basel, Switzerland. This article is an open access article distributed under the terms and conditions of the Creative Commons Attribution (CC BY) license (https://creativecommons.org/licenses/by/4.0/).
Share and Cite
Gasbarrini, A.; Pasini, S.; Fu, Z.; Ghermandi, R.; Pipola, V.; Gargiulo, M.; Innocenti, M.; Boriani, S. EnBloc Resection of a Chordoma of the Thoracic Spine by “L”-Shaped Osteotomy for Spinal Canal Preservation. J. Clin. Med. 2025, 14, 349. https://doi.org/10.3390/jcm14020349
Gasbarrini A, Pasini S, Fu Z, Ghermandi R, Pipola V, Gargiulo M, Innocenti M, Boriani S. EnBloc Resection of a Chordoma of the Thoracic Spine by “L”-Shaped Osteotomy for Spinal Canal Preservation. Journal of Clinical Medicine. 2025; 14(2):349. https://doi.org/10.3390/jcm14020349
Chicago/Turabian StyleGasbarrini, Alessandro, Stefano Pasini, Zhaozong Fu, Riccardo Ghermandi, Valerio Pipola, Mauro Gargiulo, Marco Innocenti, and Stefano Boriani. 2025. "EnBloc Resection of a Chordoma of the Thoracic Spine by “L”-Shaped Osteotomy for Spinal Canal Preservation" Journal of Clinical Medicine 14, no. 2: 349. https://doi.org/10.3390/jcm14020349
APA StyleGasbarrini, A., Pasini, S., Fu, Z., Ghermandi, R., Pipola, V., Gargiulo, M., Innocenti, M., & Boriani, S. (2025). EnBloc Resection of a Chordoma of the Thoracic Spine by “L”-Shaped Osteotomy for Spinal Canal Preservation. Journal of Clinical Medicine, 14(2), 349. https://doi.org/10.3390/jcm14020349
 
        



