Novel Association of the Presenilin-1 (Leu282Arg) Mutation with Isolated Spastic Paraparesis: Case Presentation and Review of Current Evidence
Abstract
1. Introduction
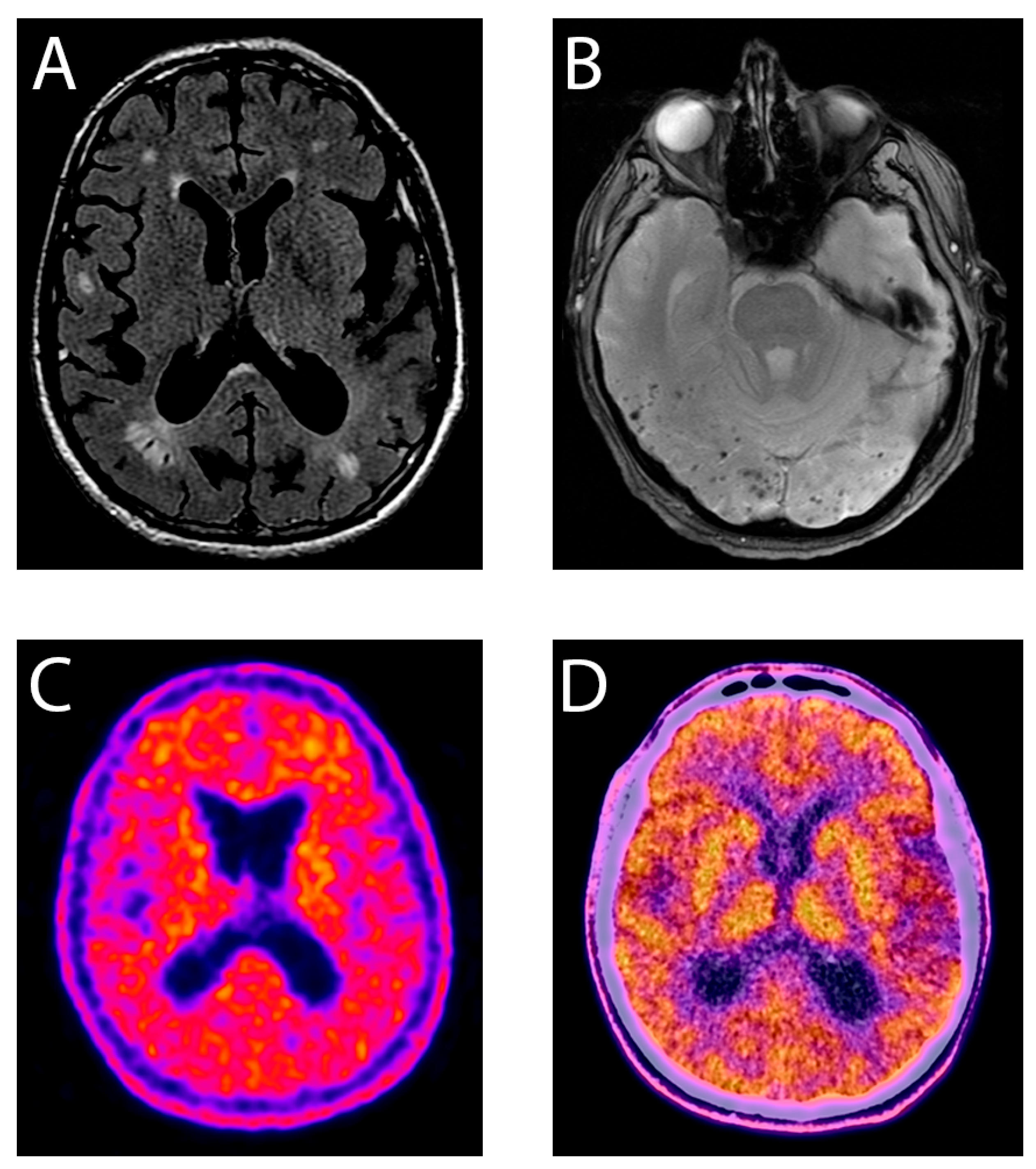
2. Case Report
3. Discussion
| Author (year) | Age of Onset | PSEN1 Mutation | MRI and Neuropathology | Coexistence of CI During the Course | Familial History |
|---|---|---|---|---|---|
| Kwok et al. [15] (1997) | 45 | Δ9 (splice site) | - | ++ (Dementia) | - |
| Kwok et al. [15] (1997) | 47 | Δ9 (G→T exon 9, splice acceptor mutation) | - | ++ (Pseudobulbar Palsy) | MI +, CD ++ |
| Kwok et al. [15] (1997) | 37 | R278T (exon 8, missense mutation) | - | ++ (Dementia) | - |
| Crook, et al. [19] (1998) | 48–64 | Δ9 (not splice site) ΔE10 | CWP, CAA, DCT, NFTs | ++ (Dementia) | MI ++, CD ++ |
| Sato et al. [20] (1998) | 46 | ΔE10 (splice acceptor) AG→AA heterozygous substitution | NFTs, SP | ++ (Dementia) | MI ++, CD + |
| Houlden et al. [11] (2000) | 20–42 | P436Q | CWP | - | - |
| Houlden et al. [11] (2000) | 34–38 | Del IM p.Ile83Met84del | CWP | - | - |
| Smith et al. [16] (2001) | 46–50 | ΔE10 (5’9 kb deletion) | CWP, CAA, DCT | PIII:10. + | MI +, CD ++ |
| Mann et al. [21] (2001) | ΔE10 (splice acceptor) | CWP ++, CAA, Core Plaques | - | - | |
| Sodeyama et al. [22] (2001) | 31 | Phe237Ile | Diffuse cerebral Cortical Atrophy | + | - |
| Jacquemont et al. [23] (2002) | 54 | Pro264Leu | Cortical Atrophy + | ++ | MI +, CD + |
| Matsubara-Tsutsui et al. [24] (2002) | 33–45 | G266S (exon 8, missense mutation) | Parietal Atrophy | ++ (Dementia) | MI ++, CD + |
| Tabira et al. [4] (2002) | 32 | P284L | Cerebellar Atrophy +++, CWP, NFTs ++, CAA | ++ (Dementia) | - |
| O’Riordan et al. [25] (2002) | 48 | E280G (exon 8) | Cerebral minor Atrophy, CWP ++, CAA ++, Ischemic leukoencephalopathy | - | MI +, CD + |
| Brooks et al. [3] (2003) | 48 | Δ9 (G→A splice acceptor mutation) | - | + | MI +, CD ++ |
| Assini et al. [26] (2003) | 45 | R278K (exon 8) | - | ++ (Dementia) | MI +, CD + |
| Hattori et al. [27] (2004) | 37 | Missense mutation: Y154N | Temporal and parietal lobes Atrophy + | + | MI +, CD + |
| Raman et al. [28] (2007) | 39 | c.834A>C (Arg278Ser) (exon 8) | Cerebral and cerebellar Atrophy ++ | + | MI ++ |
| Rudenskaya et al. [29] (2007) | 21–29 | Thr421Ala | - | + | - |
| Ringman et al. [14] (2019) | 24 | F388S | Brainstem Atrophy | + | MI ++, CD |
| Chelban et al. [8] (2021) | 30 | Exon 9 heterozygous variant c.871A > C (Thr291Pro) | CWP ++, CAA | + | MI + |
| Our case report (2025) | 54 | c.845T>G p.(Leu282Arg) | CAA | - | CD ++ |
| Cases without genetic confirmation ** | |||||
| Sodeyama et al. [30] (1995) | 53–57 | - | Frontotemporal Atrophy ++, NFTs, SP | + | CD ++ |
| Crook, et al. [19] (1998) | 60 | - | CWP, CAA, DCT ++, NFTs | ++ (Progressive dementia) | MI + |
| Houlden et al. [11] (2000) | 26–38 | - | CWP | - | CD ++ |
Author Contributions
Funding
Institutional Review Board Statement
Informed Consent Statement
Data Availability Statement
Conflicts of Interest
Abbreviations
| EOAD | Early-onset Alzheimer’s Disease |
| AD | Alzheimer’s disease |
| PSEN1 | Presenilin-1 |
| CAA | Cerebral amyloid angiopathy |
| SP | Spastic paraparesis |
| CWP | Cotton wool plaques |
| ADAD | Autosomal-dominant Alzheimer’s Disease |
References
- van Bogaert, L.; Maere, M.; de Smedt, E. Sur les formes familiales precoces de la maladie d’Alzheimer. Monatschr. Psychiat. Neurol. 1940, 102, 249–301. [Google Scholar] [CrossRef]
- NCBI. Spastic paraparesis (Concept Id: C0037771)—MedGen. Available online: https://www.ncbi.nlm.nih.gov/medgen/52432 (accessed on 25 April 2025).
- Brooks, W.S.; Kwok, J.B.J.; Kril, J.J.; Broe, G.A.; Blumbergs, P.C.; Tannenberg, A.E.; Lamont, P.J.; Hedges, P.; Schofield, P.R. Alzheimer’s disease with spastic paraparesis and “cotton wool” plaques: Two pedigrees with PS-1 exon 9 deletions. Brain 2003, 126, 783–791. [Google Scholar] [CrossRef]
- Tabira, T.; De Chui, H.; Nakayama, H.; Kuroda, S.; Shibuya, M. Alzheimer’s disease with spastic paresis and cotton wool type plaques. J. Neurosci. Res. 2002, 70, 367–372. [Google Scholar] [CrossRef] [PubMed]
- Yang, Y.; Bagyinszky, E.; An, S.S.A. Presenilin-1 (PSEN1) Mutations: Clinical Phenotypes beyond Alzheimer’s Disease. Int. J. Mol. Sci. 2023, 24, 8417. [Google Scholar] [CrossRef] [PubMed]
- Acosta-Uribe, J.; Villegas-Lanau, A.; Vallejo, D.; Ramírez-Aguilar, L.; Solano, J.M.; Mejía-Cupajita, B.; Aguillón, D.; Moreno, S.; Méndez, L.G.; Baena, A.; et al. Primary lateral sclerosis associated with PSEN1 Pro284Leu variant in a Colombian family: Clinical and neuropathological features. Alzheimer’s Dement. 2024, 20, 6384–6394. [Google Scholar] [CrossRef]
- Vázquez-Costa, J.F.; Payá-Montes, M.; Martínez-Molina, M.; Jaijo, T.; Szymanski, J.; Mazón, M.; Sopena-Novales, P.; ENoD Consortium; Pérez-Tur, J.; Sevilla, T. Presenilin-1 Mutations Are a Cause of Primary Lateral Sclerosis-Like Syndrome. Front. Mol. Neurosci. 2021, 14, 721047. [Google Scholar] [CrossRef]
- Chelban, V.; Breza, M.; Szaruga, M.; Vandrovcova, J.; Murphy, D.; Lee, C.J.; Alikhwan, S.; Bourinaris, T.; Vavougios, G.; Ilyas, M.; et al. Spastic paraplegia preceding psen1-related familial Alzheimer’s disease. Alzheimer’s Dement. Diagn. Assess. Dis. Monit. 2021, 13, e12186. [Google Scholar] [CrossRef]
- Doğan, M.; Eröz, R.; Tecellioğlu, M.; Gezdirici, A.; Çevik, B.; Barış, İ. Clinical and Molecular Findings in a Turkish Family Who Had a (c.869- 1G>A) Splicing Variant in PSEN1 Gene with A Rare Condition: The Variant Alzheimer’s Disease with Spastic Paraparesis. Curr. Alzheimer. Res. 2022, 19, 223–235. [Google Scholar] [CrossRef]
- Prihar, G.; Verkkoniemi, A.; Perez-Tur, J.; Crook, R.; Lincoln, S.; Houlden, H.; Somer, M.; Paetau, A.; Kalimo, H.; Grover, A.; et al. Alzheimer disease PS-1 exon 9 deletion defined. Nat. Med. 1999, 5, 1090. [Google Scholar] [CrossRef] [PubMed]
- Houlden, H.; Baker, M.; McGowan, E.; Lewis, P.; Hutton, M.; Crook, R.; Wood, N.W.; Kumar-Singh, S.; Geddes, J.; Swash, M.; et al. Variant Alzheimer’s Disease with Spastic Paraparesis and Cotton Wool Plaques Is Caused by PS-1 Mutations that Lead to Exceptionally High Amyloid-B Concentrations. Ann. Neurol. 2000, 48, 806–808. [Google Scholar] [CrossRef]
- De Jonghe, C.; Cras, P.; Vanderstichele, H.; Cruts, M.; Vanderhoeven, I.; Smouts, I.; Vanmechelen, E.; Martin, J.-J.; Hendriks, L.; Van Broeckhoven, C. Evidence that Aβ42 plasma levels in presenilin-1 mutation carriers do not allow for prediction of their clinical phenotype. Neurobiol. Dis. 1999, 6, 280–287. [Google Scholar] [CrossRef]
- Aldudo, J.; Bullido, M.J.; Arbizu, T.; Oliva, R.; Valdivieso, F. Identification of a novel mutation (Leu282Arg) of the human presenilin 1 gene in Alzheimer’s disease. Neurosci. Lett. 1998, 240, 174–176. [Google Scholar] [CrossRef] [PubMed]
- Ringman, J.; Dorrani, N.; Signer, R.; Martinez-Agosto, J.; Lee, H.; Douine, E.; Qiao, Y.; Wang, J.; Shi, Y.; D’Orazio, L.; et al. P1-123: Very young onset autosomal dominant Alzheimer’s Disease with spastic paraparesis due to a novel (f388s) PSEN1 mutation. Alzheimer’s Dement. 2019, 15, 282. [Google Scholar] [CrossRef]
- Kwok, J.B.J.; Taddei, K.; Hallupp, M.; Fisher, C.; Brooks, W.S.; Broe, G.A.; Hardy, J.; Fulham, M.J.; Nicholson, G.A.; Stell, R.; et al. Genetics of Nervous System Disease Two novel (M233T and R278T) presenilin-1 mutations in early-onset Alzheimer’s disease pedigrees and preliminary evidence for association of presenilin-1 mutations with a novel phenotype. Neuroreport 1997, 8, 1537–1542. [Google Scholar] [CrossRef]
- Smith, M.J.; Kwok, J.B.J.; McLean, C.A.; Kril, J.J.; Broe, G.A.; Nicholson, G.A.; Cappai, R.; Hallupp, M.; Cotton, R.G.; Masters, C.L.; et al. Variable phenotype of Alzheimer’s disease with spastic paraparesis. Ann. Neurol. 2001, 49, 125–129. [Google Scholar] [CrossRef]
- Verkkoniemi, A.; Somer, M.; Rinne, J.O.; Myllykangas, L.; Crook, R.; Hardy, J.; Viitanen, M.; Kalimo, H.; Haltia, M. Variant Alzheimer’s disease with spastic paraparesis. Neurology 2000, 54, 1103–1109. [Google Scholar] [CrossRef] [PubMed]
- Worster-Drought, C.; Hill, T.R.; McMenemey, W.H. Familial Presenile Dementia with Spastic Paralysis. J. Neurol. Psychopathol. 1933, 14, 27–34. [Google Scholar] [CrossRef][Green Version]
- Crook, R.; Verkkoniemi, A.; Perez-Tur, J.; Mehta, N.; Baker, M.; Houlden, H.; Farrer, M.; Hutton, M.; Lincoln, S.; Hardy, J.; et al. A variant of Alzheimer’s disease with Spastic Paraparesis and unusual plaques due to deletion of exon 9 of presenilin 1. Nat. Med. 1998, 4, 452–455. [Google Scholar] [CrossRef] [PubMed]
- Sato, S.; Kamino, K.; Miki, T.; Doi, A.; Ii, K.; St George-Hyslop, P.H.; Ogihara, T.; Sakaki, Y. Splicing mutation of presenilinl-1 gene for early-onset familial alzheimer’s disease. Hum. Mutat. 1998, 11 (Suppl. S1), S91–S94. [Google Scholar] [CrossRef]
- Mann, D.M.A.; Takeuchi, A.; Sato, S.; Cairns, N.J.; Lantos, P.L.; Rossor, M.N.; Haltia, M.; Kalimo, H.; Iwatsubo, T. Cases of Alzheimer’s disease due to deletion of exon 9 of the presenilin-1 gene show an unusual but characteristic β-amyloid pathology known as “cotton wool” plaques. Neuropathol. Appl. Neurobiol. 2001, 27, 189–196. [Google Scholar] [CrossRef]
- Sodeyama, N.; Iwata, T.; Ishikawa, K.; Mizusawa, H.; Yamada, M.; Itoh, Y.; Otomo, E.; Matsushita, M.; Komatsuzaki, Y. Very early onset Alzheimer’s disease with spastic paraparesis associated with a novel presenilin 1 mutation (Phe237Ile). J. Neurol. Neurosurg. Psychiatry. 2001, 71, 556–557. [Google Scholar] [CrossRef][Green Version]
- Jacquemont, M.L.; Campion, D.; Hahn, V.; Tallaksen, C.; Frebourg, T.; Brice, A.; Durr, A. Spastic paraparesis and atypical dementia caused by PSEN1 mutation (P264L), responsible for Alzheimer’s disease. J. Med Genet. 2002, 39, e2. [Google Scholar] [CrossRef][Green Version]
- Matsubara-Tsutsui, M.; Yasuda, M.; Yamagata, H.; Nomura, T.; Taguchi, K.; Kohara, K.; Miyoshi, K.; Miki, T. Molecular evidence of presenilin 1 mutation in familial early onset dementia. Am. J. Med. Genet. 2002, 114, 292–298. [Google Scholar] [CrossRef]
- O’Riordan, S.; McMonagle, P.; Janssen, J.; Fox, N.; Farrell, M.; Collinge, J.; Rossor, M.N.; Hutchinson, M. Presenilin-1 mutation (E280G), spastic paraparesis, and cranial MRI white-matter abnormalities. Neurology 2002, 59, 1108–1110. [Google Scholar] [CrossRef]
- Assini, A.; Terreni, L.; Borghi, R.; Giliberto, L.; Piccini, A.; Loqui, D.; Fogliarino, S.; Forloni, G.; Tabaton, M. Pure spastic paraparesis associated with a novel presenilin 1 R278K mutation. Neurology 2003, 60, 150–151. [Google Scholar] [CrossRef] [PubMed]
- Hattori, S.; Sakuma, K.; Wakutani, Y.; Wada, K.; Shimoda, M.; Urakami, K.; Kowa, H.; Nakashima, K. A novel presenilin 1 mutation (Y154N) in a patient with early onset Alzheimer’s disease with spastic paraparesis. Neurosci. Lett. 2004, 368, 319–322. [Google Scholar] [CrossRef] [PubMed]
- Raman, A.; Lin, X.; Suri, M.; Hewitt, M.; Constantinescu, C.S.; Phillips, M.F. A presenilin 1 mutation (Arg278Ser) associated with early onset Alzheimer’s disease and spastic paraparesis. J. Neurol. Sci. 2007, 260, 78–82. [Google Scholar] [CrossRef]
- Rudenskaya, G.; Petukhova, M.; Zabnenkova, V.; Cherevatova, T.; Ryzhkova, O. Early-onset familial Alzheimer’s disease with spastic paraparesis associated with PSEN1 gene. Zhurnal Nevrol. Psikhiatrii Im. SS Korsakova 2023, 123, 120–127. [Google Scholar] [CrossRef] [PubMed]
- Sodeyama, N.; Shimada, M.; Uchihara, T.; Yanagisawa, K.; Fujigasaki, H.; Yamaguchi, K.; Matsushita, M.; Yamada, M. Spastic tetraplegia as an initial manifestation of familial Alzheimer’s disease. J. Neurosurg. Psychiatry 1995, 59, 395–399. [Google Scholar] [CrossRef][Green Version]


| Laboratory Testing | |||
|---|---|---|---|
| Biochemistry | Microbiological | ||
| Glucose (mg/dL) | 125 | HIV | negative |
| Urea (mg/dL) | 33 | Hepatitis B | negative |
| Creatinine (mg/dL) | 0.49 | Hepatitis C | negative |
| Sodium (mE/L) | 138 | Brucella | negative |
| Potassium (mEq/L) | 4.4 | Mycoplasma pneumoniae | negative |
| Uric acid (mg/dL) | 4.6 | Treponema pallidum | negative |
| ALT (U/L) | 23 | Borrelia burgdorferi | negative |
| AST (U/L) | 18 | Herpes simplex virus | IgG positive |
| GGT (U/L) | 30 | Cytomegalovirus | IgG positive |
| ALP (U/L) | 67 | Epstein–Barr virus | IgG positive |
| Bilirubin (mg/dL) | 0.8 | Varicela zoster virus | IgG positive |
| LDH (U/L) | 146 | Measles | IgG positive |
| Cholesterol (mg/dL) | 146 | ||
| Total proteins (g/dL) | 6.2 | Immunology | |
| Albumin (g/dL) | 4.2 | ANAs | negative |
| Calcium (mg/dL) | 9.6 | Rheumatoid factor (UI/mL) | 7.01 |
| Folic acid (ng/mL) | 8.5 | anti-tyroglobulin Abs | negative |
| Vitamin B12 (pg/mL) | 267 | anti-thyroid peroxidase Abs | negative |
| ACE (U/L) | 18.9 | anti-cardiolipin (IgM) | negative |
| TSH (mU/L) | 1.32 | anti-cardiolipin (IgG) | negative |
| 25-OH Vit D (ng/mL) | 18 | anti-beta-2 glycoprotein (IgM) | negative |
| anti-beta-2 glycoprotein (IgG) | negative | ||
| Hemogram | anti-aquaporin 4 Abs | negative | |
| Leukocyte (×103/uL) | 7.5 | anti-MOG Abs | negative |
| Neutrophils (×103/uL) | 5.1 | ||
| Lymphocytes (×103/uL) | 1.7 | Cerebrospinal fluid | |
| Monocytes (×103/uL) | 0.5 | Glucose (mg/dL) | 74 |
| Eosinophils (×103/uL) | 0.1 | Proteins (mg/dL) | 69 |
| Basophils (×103/uL) | 0.1 | Leukocytes (mm3) | 5 |
| Hemoglobin (g/dL) | 15 | ||
| MCV (fL) | 85.1 | Oligoclonal bands | negative |
| Platelets (×103/uL) | 171 | ||
| Biochemistry | Microbiological | ||
| Glucose (mg/dL) | 125 | HIV | negative |
| Urea (mg/dL) | 33 | Hepatitis B | negative |
| Creatinine (mg/dL) | 0.49 | Hepatitis C | negative |
| Sodium (mE/L) | 138 | Brucella | negative |
| Potassium (mEq/L) | 4.4 | Mycoplasma pneumoniae | negative |
| Uric acid (mg/dL) | 4.6 | Treponema pallidum | negative |
| ALT (U/L) | 23 | Borrelia burgdorferi | negative |
| AST (U/L) | 18 | Herpes simplex virus | IgG positive |
| GGT (U/L) | 30 | Cytomegalovirus | IgG positive |
| ALP (U/L) | 67 | Epstein–Barr virus | IgG positive |
| Bilirubin (mg/dL) | 0.8 | Varicela zoster virus | IgG positive |
| LDH (U/L) | 146 | Measles | IgG positive |
| Cholesterol (mg/dL) | 146 | ||
| Total proteins (g/dL) | 6.2 | Immunology | |
| Albumin (g/dL) | 4.2 | ANAs | negative |
| Calcium (mg/dL) | 9.6 | Rheumatoid factor (UI/mL) | 7.01 |
| Folic acid (ng/mL) | 8.5 | anti-tyroglobulin Abs | negative |
| Vitamin B12 (pg/mL) | 267 | anti-thyroid peroxidase Abs | negative |
| ACE (U/L) | 18.9 | anti-cardiolipin (IgM) | negative |
| TSH (mU/L) | 1.32 | anti-cardiolipin (IgG) | negative |
| 25-OH Vit D (ng/mL) | 18 | anti-beta-2 glycoprotein (IgM) | negative |
| anti-beta-2 glycoprotein (IgG) | negative | ||
| Hemogram | anti-aquaporin 4 Abs | negative | |
| Leukocyte (×103/uL) | 7.5 | anti-MOG Abs | negative |
| Neutrophils (×103/uL) | 5.1 | ||
| Lymphocytes (×103/uL) | 1.7 | Cerebrospinal fluid | |
| Monocytes (×103/uL) | 0.5 | Glucose (mg/dL) | 74 |
| Eosinophils (×103/uL) | 0.1 | Proteins (mg/dL) | 69 |
| Basophils (×103/uL) | 0.1 | Leukocytes (mm3) | 5 |
| Hemoglobin (g/dL) | 15 | ||
| MCV (fL) | 85.1 | Oligoclonal bands | negative |
| Platelets (×103/uL) | 171 | ||
| Genetic testing | |||
Disclaimer/Publisher’s Note: The statements, opinions and data contained in all publications are solely those of the individual author(s) and contributor(s) and not of MDPI and/or the editor(s). MDPI and/or the editor(s) disclaim responsibility for any injury to people or property resulting from any ideas, methods, instructions or products referred to in the content. |
© 2025 by the authors. Licensee MDPI, Basel, Switzerland. This article is an open access article distributed under the terms and conditions of the Creative Commons Attribution (CC BY) license (https://creativecommons.org/licenses/by/4.0/).
Share and Cite
De la Sen-Domínguez, M.; Delgado-Alvarado, M.; Torres-Barquin, M.; Quirce, R.; Riancho, J. Novel Association of the Presenilin-1 (Leu282Arg) Mutation with Isolated Spastic Paraparesis: Case Presentation and Review of Current Evidence. J. Clin. Med. 2025, 14, 6150. https://doi.org/10.3390/jcm14176150
De la Sen-Domínguez M, Delgado-Alvarado M, Torres-Barquin M, Quirce R, Riancho J. Novel Association of the Presenilin-1 (Leu282Arg) Mutation with Isolated Spastic Paraparesis: Case Presentation and Review of Current Evidence. Journal of Clinical Medicine. 2025; 14(17):6150. https://doi.org/10.3390/jcm14176150
Chicago/Turabian StyleDe la Sen-Domínguez, María, Manuel Delgado-Alvarado, Marta Torres-Barquin, Remedios Quirce, and Javier Riancho. 2025. "Novel Association of the Presenilin-1 (Leu282Arg) Mutation with Isolated Spastic Paraparesis: Case Presentation and Review of Current Evidence" Journal of Clinical Medicine 14, no. 17: 6150. https://doi.org/10.3390/jcm14176150
APA StyleDe la Sen-Domínguez, M., Delgado-Alvarado, M., Torres-Barquin, M., Quirce, R., & Riancho, J. (2025). Novel Association of the Presenilin-1 (Leu282Arg) Mutation with Isolated Spastic Paraparesis: Case Presentation and Review of Current Evidence. Journal of Clinical Medicine, 14(17), 6150. https://doi.org/10.3390/jcm14176150

