Crescentic Glomerulonephritis Possibly Caused by COVID-19 Infection
Abstract
1. Introduction
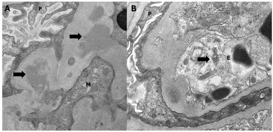
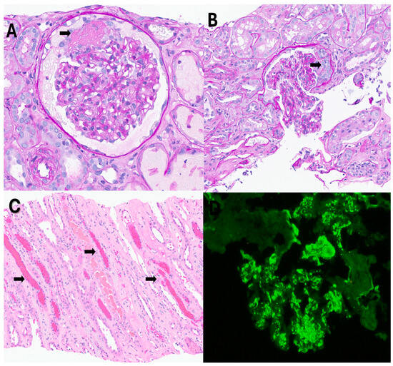
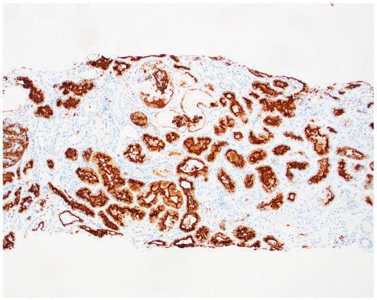
2. Case Presentation
3. Comment
4. Final Diagnosis
5. Discussion
6. Various Glomerular Pathologies Seen After COVID-19
6.1. Infection Across Published Studies
6.1.1. Podocytopathies
- Collapsing glomerulopathy (CG);
- Membranous nephropathy (MN);
- Secondary focal segmental glomerulosclerosis (FSGS);
- Global glomerulosclerosis;
- Minimal change disease (MCD);
- Primary FSGS.
6.1.2. Immune Complex-Mediated Glomerulonephritis (GN)
- IgA nephropathy;
- Lupus nephritis;
- Immune complex-mediated GN with polytypic IgG3 and IgM-dominant immune deposits.
6.1.3. Pauci-Immune GN
- ANCA-associated GN;
- Anti-glomerular basement membrane (anti-GBM) GN.
6.1.4. Vascular Dominant
- Thrombotic microangiopathy (TMA).
6.1.5. Patients with Multiple Pathologies on Biopsy
- ATN + collapsing glomerulopathy (CG);
- ATN + minimal change disease (MCD);
- ATN + membranous nephropathy (MN);
- ATN + IgA nephropathy;
- ATN + thrombotic microangiopathy;
- ATN + CG + MN;
- ATN + CG + IgA nephropathy;
- ATN + Henoch–Schönlein purpura nephritis.
Supplementary Materials
Author Contributions
Funding
Institutional Review Board Statement
Informed Consent Statement
Data Availability Statement
Conflicts of Interest
References
- Wang, S.-Y.; Bu, R.; Zhang, Q.; Liang, S.; Wu, J.; Liu, X.-G.Z.S.-W.; Cai, G.-Y.; Chen, X.-M. Clinical, Pathological, and Prognostic Characteristics of Glomerulonephritis Related to Staphylococcal Infection. Medicine 2016, 95, e3386. [Google Scholar] [CrossRef]
- Chávez-Valencia, V.; Orizaga-De-La-Cruz, C.; Lagunas-Rangel, F.A. Acute Kidney Injury in COVID-19 Patients: Pathogenesis, Clinical Characteristics, Therapy, and Mortality. Diseases 2022, 10, 53. [Google Scholar] [CrossRef]
- Pei, G.; Zhang, Z.; Peng, J.; Liu, L.; Zhang, C.; Yu, C.; Ma, Z.; Huang, Y.; Liu, W.; Yao, Y.; et al. Renal Involvement and Early Prognosis in Patients with COVID-19 Pneumonia. J. Am. Soc. Nephrol. 2020, 31, 1157–1165. [Google Scholar] [CrossRef]
- Sharma, P.; Uppal, N.N.; Wanchoo, R.; Shah, H.H.; Yang, Y.; Parikh, R.; Khanin, Y.; Madireddy, V.; Larsen, C.P.; Jhaveri, K.D.; et al. COVID-19–Associated Kidney Injury: A Case Series of Kidney Biopsy Findings. J. Am. Soc. Nephrol. 2020, 31, 1948–1958. [Google Scholar] [CrossRef]
- Ronco, C.; Reis, T. Kidney involvement in COVID-19 and rationale for extracorporeal therapies. Nat. Rev. Nephrol. 2020, 16, 308–310. [Google Scholar] [CrossRef]
- Wishahi, M.; Kamal, N.M. Multidisciplinary basic and clinical research of acute kidney injury with COVID-19: Pathophysiology, mechanisms, incidence, management and kidney transplantation. World J. Nephrol. 2022, 11, 105–114. [Google Scholar] [CrossRef]
- Klomjit, N.; Zand, L.; Cornell, L.D.; Alexander, M.P. COVID-19 and Glomerular Diseases. Kidney Int. Rep. 2023, 8, 1137–1150. [Google Scholar] [CrossRef]
- Kudose, S.; Batal, I.; Santoriello, D.; Xu, K.; Barasch, J.; Peleg, Y.; Canetta, P.; Ratner, L.E.; Marasa, M.; Gharavi, A.G.; et al. Kidney Biopsy Findings in Patients with COVID-19. J. Am. Soc. Nephrol. 2020, 31, 1959–1968. [Google Scholar] [CrossRef]
- Shetty, A.A.; Tawhari, I.; Safar-Boueri, L.; Seif, N.; Alahmadi, A.; Gargiulo, R.; Aggarwal, V.; Usman, I.; Kisselev, S.; Gharavi, A.G.; et al. COVID-19–Associated Glomerular Disease. J. Am. Soc. Nephrol. 2021, 32, 3340. [Google Scholar] [CrossRef]
- Mateus, C.; Manso, R.T.; Martins, A.R.; Branco, P.Q. Membranous nephropathy after a recent SARS-CoV-2 infection. BMJ Case Rep. 2023, 16, e252468. [Google Scholar] [CrossRef]
- Göndör, G.; Ksiazek, S.H.; Regele, H.; Kronbichler, A.; Knechtelsdorfer, M.; Säemann, M.D. Development of crescentic membranoproliferative glomerulonephritis after COVID-19 vaccination. Clin. Kidney J. 2022, 15, 2340–2342. [Google Scholar] [CrossRef] [PubMed]
- Kim, H.W.; Kim, E.H.; Roh, Y.H.; Joo, Y.S.; Eom, M.; Kim, H.S.; Kang, M.S.; Jeong, H.; Lim, B.J.; Han, S.H.; et al. Glomerulonephritis following COVID-19 infection or vaccination: A multicenter study in South Korea. Kidney Res. Clin. Pract. 2024, 43, 165–176. [Google Scholar] [CrossRef] [PubMed]
- Winkler, A.; Zitt, E.; Sprenger-Mähr, H.; Soleiman, A.; Cejna, M.; Lhotta, K. SARS-CoV-2 infection and recurrence of anti-glomerular basement disease: A case report. BMC Nephrol. 2021, 22, 75. [Google Scholar] [CrossRef]
- Ta, H.; Awada, H.; Kang, P.; Gilbert, N.; Haller, N.; Mostow, E.; Lane, J.; Singh, I. Antineutrophil Cytoplasmic Autoantibody (ANCA)-Associated Vasculitis with Mucosal Involvement Following COVID-19 Pneumonia. Cureus 2022, 14, e31441. [Google Scholar] [CrossRef]
- Pfister, F.; Vonbrunn, E.; Ries, T.; Jäck, H.-M.; Überla, K.; Lochnit, G.; Sheriff, A.; Herrmann, M.; Büttner-Herold, M.; Amann, K.; et al. Complement Activation in Kidneys of Patients With COVID-19. Front. Immunol. 2021, 11, 594849. [Google Scholar] [CrossRef]
- Smith, R.J.H.; Appel, G.B.; Blom, A.M.; Cook, H.T.; D’Agati, V.D.; Fakhouri, F.; Fremeaux-Bacchi, V.; Józsi, M.; Kavanagh, D.; Lambris, J.D.; et al. C3 glomerulopathy-understanding a rare complement-driven renal disease. Nat. Rev. Nephrol. 2019, 15, 129–143. [Google Scholar] [CrossRef]
- Yılmaz, E.K.; Saygılı, S.; Musayeva, G.; Gülmez, R.; Ağbaş, A.; Özlük, Y.; Canpolat, N. A case of crescentic glomerulonephritis with exacerbation of pre-existing IgA nephropathy after COVID-19. Turk. J. Pediatr. 2024, 66, 128–133. [Google Scholar] [CrossRef]
- Duran, T.I.; Turkmen, E.; Dilek, M.; Sayarlioglu, H.; Arik, N. ANCA-associated vasculitis after COVID-19. Rheumatol. Int. 2021, 41, 1523–1529. [Google Scholar] [CrossRef]
- Bell, S.; Perkins, G.B.; Anandh, U.; Coates, P.T. COVID and the Kidney: An Update. Semin. Nephrol. 2023, 43, 151471. [Google Scholar] [CrossRef]
- Kronbichler, A.; Gauckler, P.; Windpessl, M.; Shin, J.I.; Jha, V.; Rovin, B.H.; Oberbauer, R. COVID-19: Implications for immunosuppression in kidney disease and transplantation. Nat. Rev. Nephrol. 2020, 16, 365–367. [Google Scholar] [CrossRef]
- Ueda, H.; Okabe, M.; Shimizu, A.; Yokote, S.; Nakashima, A.; Tsuboi, N.; Ikeda, M.; Miyazaki, Y.; Yokoo, T. Gross Hematuria Following SARS-CoV-2 Infection in IgA Nephropathy: A Report of 5 Cases. Kidney Med. 2023, 5, 100627. [Google Scholar] [CrossRef]



Disclaimer/Publisher’s Note: The statements, opinions and data contained in all publications are solely those of the individual author(s) and contributor(s) and not of MDPI and/or the editor(s). MDPI and/or the editor(s) disclaim responsibility for any injury to people or property resulting from any ideas, methods, instructions or products referred to in the content. |
© 2025 by the authors. Licensee MDPI, Basel, Switzerland. This article is an open access article distributed under the terms and conditions of the Creative Commons Attribution (CC BY) license (https://creativecommons.org/licenses/by/4.0/).
Share and Cite
Errabelli, P.; Lathiya, M.; Mareedu, N.; Herrera Hernandez, L.P. Crescentic Glomerulonephritis Possibly Caused by COVID-19 Infection. J. Clin. Med. 2025, 14, 3302. https://doi.org/10.3390/jcm14103302
Errabelli P, Lathiya M, Mareedu N, Herrera Hernandez LP. Crescentic Glomerulonephritis Possibly Caused by COVID-19 Infection. Journal of Clinical Medicine. 2025; 14(10):3302. https://doi.org/10.3390/jcm14103302
Chicago/Turabian StyleErrabelli, Praveen, Maulik Lathiya, Neeharik Mareedu, and Loren P. Herrera Hernandez. 2025. "Crescentic Glomerulonephritis Possibly Caused by COVID-19 Infection" Journal of Clinical Medicine 14, no. 10: 3302. https://doi.org/10.3390/jcm14103302
APA StyleErrabelli, P., Lathiya, M., Mareedu, N., & Herrera Hernandez, L. P. (2025). Crescentic Glomerulonephritis Possibly Caused by COVID-19 Infection. Journal of Clinical Medicine, 14(10), 3302. https://doi.org/10.3390/jcm14103302

