A Unique Case of a Gigantic Left Ventricular Myxoma Resulting in Embolic Acute Lower Limb Ischemia in a Pediatric Patient
Abstract
1. Introduction
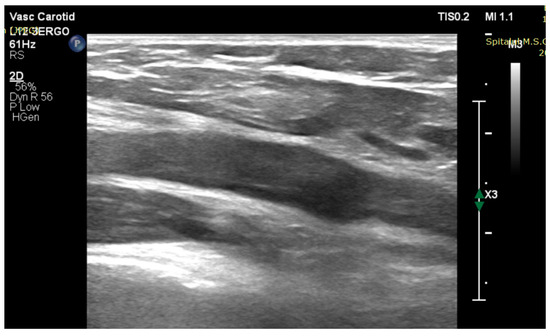
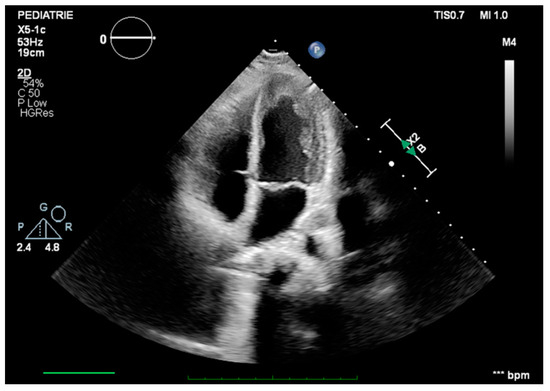
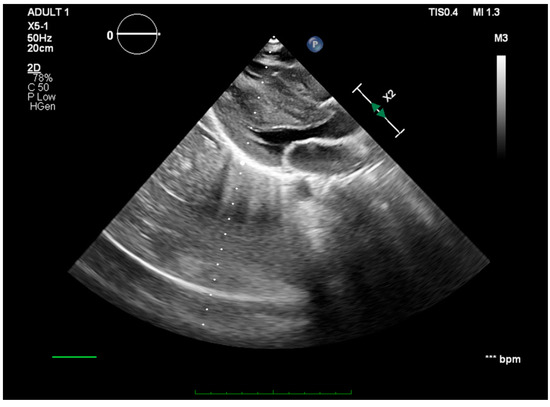
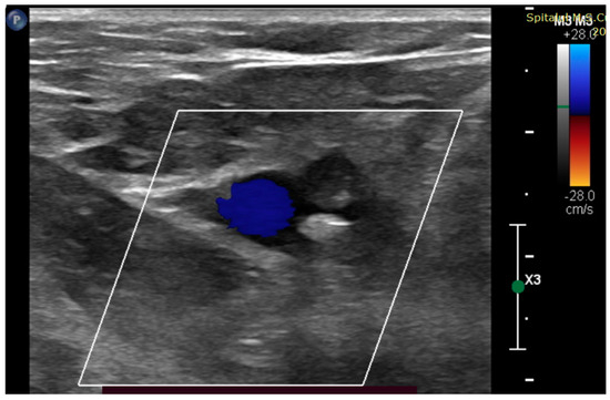
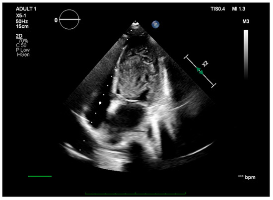
2. Case Report
3. Discussion
4. Conclusions
Author Contributions
Funding
Institutional Review Board Statement
Informed Consent Statement
Data Availability Statement
Conflicts of Interest
References
- Linnemeier, L.; Benneyworth, B.D.; Turrentine, M.; Rodefeld, M.; Brown, J. Pediatric Cardiac Tumors: A 45-year, Single-Institution Review. World J. Pediatr. Congenit. Heart Surg. 2015, 6, 215–219. [Google Scholar] [CrossRef] [PubMed]
- Uzun, O.; Wilson, D.G.; Vujanic, G.M.; Parsons, J.M.; De Giovanni, J.V. Cardiac tumours in children. Orphanet J. Rare Dis. 2007, 2, 11. [Google Scholar] [CrossRef] [PubMed]
- Chlebowski, M.; O’Brien, J.; Hertzenberg, C.; Wagner, J. Asymptomatic left ventricular myxoma in a 12-year-old male. Tex. Heart Inst. J. 2016, 43, 267–269. [Google Scholar] [CrossRef] [PubMed]
- Macias, E.; Nieman, E.; Yomogida, K.; Petrucci, O.; Javidan, C.; Baszis, K.; Anwar, S. Rare presentation of an atrial myxoma in an adolescent patient: A case report and literature review. BMC Pediatr. 2018, 18, 373. [Google Scholar] [CrossRef] [PubMed]
- Kumar, P.; Garg, A. Left ventricular myxoma in a child: A case report. Eur. J. Echocardiogr. 2011, 12, E23. [Google Scholar] [CrossRef] [PubMed]
- Ji, X.; Zhang, X. Left atrial myxoma with left ventricular myxoma diagnosed by ultrasound examination: A case report. Medicine 2021, 100, E26903. [Google Scholar] [CrossRef]
- Azad, S.; Dutta, N.; Roy Chowdhuri, K.; Ramman, T.R.; Chandra, N.; Radhakrishnan, S.; Iyer, K.S. Atypical Left Ventricular Myxoma: Unusual Echocardiographic and Histopathological Features. World J. Pediatr. Congenit. Heart Surg. 2020, 11, NP129–NP131. [Google Scholar] [CrossRef] [PubMed]
- Asad, D.; Abu Moch, M.A.; Amarin, H.; Abdeen, A.W.; Sinokrot, J.; Bhais, N.M.; Arda, Y.N.; Khalil, O.R.; Safadi, T.; Khatib, H. Left Ventricular Myxoma: A Case Report. Cureus 2023, 15, e46112. [Google Scholar] [CrossRef]
- Abad, C.; Novoa, J.; Delgado, A.; Alonso, A. Myxoma of the left ventricle. Tex. Heart Inst. J. 2014, 41, 395–400. [Google Scholar] [CrossRef]
- Castillo, J.G.; Silvay, G. Characterization and management of cardiac tumors. Semin. Cardiothorac. Vasc. Anesth. 2010, 14, 6–20. [Google Scholar] [CrossRef]
- Ma, H.; Niu, Y.; Tian, M.; Liu, L.; Gong, W.; Zheng, M. A study of 399 cardiac tumors: Characteristics of echocardiography and pathological features. Echocardiography 2022, 39, 37–45. [Google Scholar] [CrossRef] [PubMed]
- Zhao, S.; Li, H.; Wu, C.; Pan, Z.; Wang, G.; Dai, J. Surgical treatment of rare pediatric cardiac myxomas:12 years clinical experience in a single institution. BMC Cardiovasc. Disord. 2023, 23, 219. [Google Scholar] [CrossRef]
- Fu, J.; Li, H.; Pan, Z.; Wu, C.; Li, Y.; Wang, G.; Dai, J.; Zhao, L. Surgical treatment of primary cardiac tumors in children. Gen. Thorac. Cardiovasc. Surg. 2024, 72, 112–120. [Google Scholar] [CrossRef] [PubMed]
- Padalino, M.A.; Reffo, E.; Cerutti, A.; Favero, V.; Biffanti, R.; Vida, V.; Stellin, G.; Milanesi, O. Medical and surgical management of primary cardiac tumours in infants and children. Cardiol. Young 2008, 24, 268–274. [Google Scholar] [CrossRef] [PubMed]
- Chao, D.H.; Henry, M.G.; Rosenberg, H.S. Myxoma of the heart with internal carotid artery occlusion in a child. Neurology 1960, 10, 418–4222. [Google Scholar] [CrossRef]
- Tulin, R.; Geana, R.C.; Robu, M.; Iliescu, V.A.; Stiru, O.; Nayyerani, R.; Chibulcutean, A.S.; Bacalbasa, N.; Balescu, I.; Tulin, A.; et al. Predictors of Late Mortality in Patients with Surgically Resected Cardiac Myxomas: A Single-Center Experience. Cureus 2022, 14, e20866. [Google Scholar] [CrossRef] [PubMed]
- Yuan, S.M.; Humuruola, G. Acidente vascular cerebral com origem em mixoma cardíaco. Braz. J. Cardiovasc. Surg. 2015, 30, 225–234. [Google Scholar]
- Laird-Fick, H.; Tiwari, A.; Narayanan, S.; Qin, Y.; Vodnala, D.; Bhutani, M. A Case of Comorbid Myxoma and Chronic Lymphocytic Leukemia: Not Just a Coincidence? Case Rep. Oncol. Med. 2014, 2014, 142746. [Google Scholar] [CrossRef]
- Kamilaris, C.D.C.; Faucz, F.R.; Voutetakis, A.; Stratakis, C.A. Carney Complex. Exp. Clin. Endocrinol. Diabetes 2019, 127, 156–164. [Google Scholar] [CrossRef]
- Yu, S.-H.; Lim, S.-H.; Hong, Y.-S.; Yoo, K.-J.; Chang, B.-C.; Kang, M.-S. Clinical Experiences of Cardiac Myxoma. Yonsei Med. J. 2006, 47, 367–371. [Google Scholar] [CrossRef][Green Version]
- Wu, Y.; Fu, X.M.; Liao, X.B.; Zhou, X. Stroke and peripheral embolisms in a pediatric patient with giant atrial myxoma: Case report and review of current literature. Medicine 2018, 97, e11653. [Google Scholar] [CrossRef] [PubMed]






Disclaimer/Publisher’s Note: The statements, opinions and data contained in all publications are solely those of the individual author(s) and contributor(s) and not of MDPI and/or the editor(s). MDPI and/or the editor(s) disclaim responsibility for any injury to people or property resulting from any ideas, methods, instructions or products referred to in the content. |
© 2024 by the authors. Licensee MDPI, Basel, Switzerland. This article is an open access article distributed under the terms and conditions of the Creative Commons Attribution (CC BY) license (https://creativecommons.org/licenses/by/4.0/).
Share and Cite
Margarint, I.; Sorescu, A.; Popescu, M.; Robu, M.; Untaru, O.; Filip, C. A Unique Case of a Gigantic Left Ventricular Myxoma Resulting in Embolic Acute Lower Limb Ischemia in a Pediatric Patient. J. Clin. Med. 2024, 13, 2189. https://doi.org/10.3390/jcm13082189
Margarint I, Sorescu A, Popescu M, Robu M, Untaru O, Filip C. A Unique Case of a Gigantic Left Ventricular Myxoma Resulting in Embolic Acute Lower Limb Ischemia in a Pediatric Patient. Journal of Clinical Medicine. 2024; 13(8):2189. https://doi.org/10.3390/jcm13082189
Chicago/Turabian StyleMargarint, Irina, Adelina Sorescu, Monica Popescu, Mircea Robu, Olga Untaru, and Cristina Filip. 2024. "A Unique Case of a Gigantic Left Ventricular Myxoma Resulting in Embolic Acute Lower Limb Ischemia in a Pediatric Patient" Journal of Clinical Medicine 13, no. 8: 2189. https://doi.org/10.3390/jcm13082189
APA StyleMargarint, I., Sorescu, A., Popescu, M., Robu, M., Untaru, O., & Filip, C. (2024). A Unique Case of a Gigantic Left Ventricular Myxoma Resulting in Embolic Acute Lower Limb Ischemia in a Pediatric Patient. Journal of Clinical Medicine, 13(8), 2189. https://doi.org/10.3390/jcm13082189

