Trends of Early Helicobacter pylori-Uninfected Gastric Cancer in an Aging Regional Area
Abstract
1. Introduction
2. Materials and Methods
2.1. Patients
2.2. Determination of H. pylori-Uninfected Status
2.3. Date Collection
2.4. Statistical Analysis
3. Results
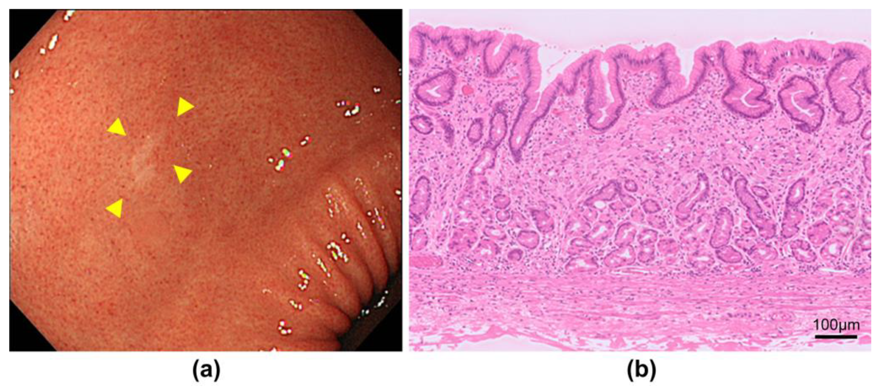
3.1. Characteristics of the Patients and Lesions of Early HpUIGC and Treatment Outcome
3.2. Clinical and Pathological Characteristics
3.3. The 3-Year Survival Rate after Endoscopic Resection
3.4. Change in the Proportion of Early HpUIGC to the Total Number of ERs for EGC
4. Discussion
5. Conclusions
Author Contributions
Funding
Institutional Review Board Statement
Informed Consent Statement
Data Availability Statement
Acknowledgments
Conflicts of Interest
References
- Uemura, N.; Okamoto, S.; Yamamoto, S.; Matsumura, N.; Yamaguchi, S.; Yamakido, M.; Taniyama, K.; Sasaki, N.; Schlemper, R.J. Helicobacter pylori Infection and the Development of Gastric Cancer. N. Engl. J. Med. 2001, 345, 784–789. [Google Scholar] [CrossRef]
- Fukase, K.; Kato, M.; Kikuchi, S.; Inoue, K.; Uemura, N.; Okamoto, S.; Terao, S.; Amagai, K.; Hayashi, S.; Asaka, M.; et al. Effect of Eradication of Helicobacter pylori on Incidence of Metachronous Gastric Carcinoma After Endoscopic Resection of Early Gastric Cancer: An Open-Label, Randomised Controlled Trial. Lancet 2008, 372, 392–397. [Google Scholar] [CrossRef] [PubMed]
- Shiota, S.; Murakawi, K.; Suzuki, R.; Fujioka, T.; Yamaoka, Y. Helicobacter pylori Infection in Japan. Expert Rev. Gastroenterol. Hepatol. 2013, 7, 35–40. [Google Scholar] [CrossRef]
- Sekiguchi, M.; Oda, I.; Matsuda, T.; Saito, Y. Epidemiological Trends and Future Perspectives of Gastric Cancer in Eastern Asia. Digestion 2022, 103, 22–28. [Google Scholar] [CrossRef] [PubMed]
- ASGE Technology Committee; Maple, J.T.; Abu Dayyeh, B.K.; Chauhan, S.S.; Hwang, J.H.; Komanduri, S.; Manfredi, M.; Konda, V.; Murad, F.M.; Siddiqui, U.D.; et al. Endoscopic Submucosal Dissection. Gastrointest. Endosc. 2015, 81, 1311–1325. [Google Scholar] [CrossRef]
- Kato, S.; Matsukura, N.; Tsukada, K.; Matsuda, N.; Mizoshita, T.; Tsukamoto, T.; Tatematsu, M.; Sugisaki, Y.; Naito, Z.; Tajiri, T. Helicobacter pylori Infection-Negative Gastric Cancer in Japanese Hospital Patients: Incidence and Pathological Characteristics. Cancer Sci. 2007, 98, 790–794. [Google Scholar] [CrossRef]
- Kakinoki, R.; Kushima, R.; Matsubara, A.; Saito, Y.; Okabe, H.; Fujiyama, Y.; Hattori, T. Re-Evaluation of Histogenesis of Gastric Carcinomas: A Comparative Histopathological Study Between Helicobacter pylori-Negative and H.pylori-Positive Cases. Dig. Dis. Sci. 2009, 54, 614–620. [Google Scholar] [CrossRef] [PubMed]
- Matsuo, T.; Ito, M.; Takata, S.; Tanaka, S.; Yoshihara, M.; Chayama, K. Low Prevalence of Helicobacter pylori-Negative Gastric Cancer Among Japanese. Helicobacter 2011, 16, 415–419. [Google Scholar] [CrossRef]
- Yamamoto, Y.; Fujisaki, J.; Omae, M.; Hirasawa, T.; Igarashi, M. Helicobacter pylori-Negative Gastric Cancer: Characteristics and Endoscopic Findings. Dig. Endosc. 2015, 27, 551–561. [Google Scholar] [CrossRef]
- Yamada, A.; Kaise, M.; Inoshita, N.; Toba, T.; Nomura, K.; Kuribayashi, Y.; Yamashita, S.; Furuhata, T.; Kikuchi, D.; Matsui, A.; et al. Characterization of Helicobacter pylori-Naïve Early Gastric Cancers. Digestion 2018, 98, 127–134. [Google Scholar] [CrossRef]
- Horiuchi, Y.; Fujisaki, J.; Ishizuka, N.; Omae, M.; Ishiyama, A.; Yoshio, T.; Hirasawa, T.; Yamamoto, Y.; Nagahama, M.; Takahashi, H.; et al. Study on Clinical Factors Involved in Helicobacter pylori-Uninfected, Undifferentiated-Type Early Gastric Cancer. Digestion 2017, 96, 213–219. [Google Scholar] [CrossRef] [PubMed]
- Mizutani, T.; Araki, H.; Saigo, C.; Takada, J.; Kubota, M.; Ibuka, T.; Suzui, N.; Miyazaki, T.; Shimizu, M. Endoscopic and Pathological Characteristics of Helicobacter pylori Infection-Negative Early Gastric Cancer. Dig. Dis. 2020, 38, 474–483. [Google Scholar] [CrossRef]
- Aging Rate in Kagoshima Prefecture. Available online: https://www.pref.kagoshima.jp/ab13/kenkofukushi/koreisya/koreika/koureikaritu.html (accessed on 15 November 2023).
- NDB. Available online: https://www.mhlw.go.jp/stf/seisakunitsuite/bunya/0000177182.html (accessed on 15 November 2023).
- Japanese Gastric Cancer Association. Japanese Classification of Gastric Carcinoma, 15th ed.; Kanehara Shuppan: Tokyo, Japan, 2017. [Google Scholar]
- Japanese Gastric Cancer Association. Japanese Gastric Cancer Treatment Guidelines 2021 (6th edition). Gastric Cancer 2023, 26, 1–25. [Google Scholar] [CrossRef] [PubMed]
- Mannen, K.; Tsunada, S.; Hara, M.; Yamaguchi, K.; Sakata, Y.; Fujise, T.; Noda, T.; Shimoda, R.; Sakata, H.; Ogata, S.; et al. Risk Factors for Complications of Endoscopic Submucosal Dissection in Gastric Tumors: Analysis of 478 Lesions. J. Gastroenterol. 2010, 45, 30–36. [Google Scholar] [CrossRef] [PubMed]
- Hanaoka, N.; Uedo, N.; Ishihara, R.; Higashino, K.; Takeuchi, Y.; Inoue, T.; Chatani, R.; Hanafusa, M.; Tsujii, Y.; Kanzaki, H.; et al. Clinical Features and Outcomes of Delayed Perforation after Endoscopic Submucosal Dissection for Early Gastric Cancer. Endoscopy 2010, 42, 1112–1115. [Google Scholar] [CrossRef] [PubMed]
- Goto, O.; Fujishiro, M.; Oda, I.; Kakushima, N.; Yamamoto, Y.; Tsuji, Y.; Ohata, K.; Fujiwara, T.; Fujiwara, J.; Ishii, N.; et al. A Multicenter Survey of the Management after Gastric Endoscopic Submucosal Dissection Related to Postoperative Bleeding. Dig. Dis. Sci. 2012, 57, 435–439. [Google Scholar] [CrossRef]
- Hamashima, C.; Systematic Review Group and Guideline Development Group for Gastric Cancer Screening Guidelines. Update Version of the Japanese Guidelines for Gastric Cancer Screening. Jpn. J. Clin. Oncol. 2018, 48, 673–683. [Google Scholar] [CrossRef]
- Akazawa, Y.; Ueyama, H.; Hayashi, T.; Utsunomiya, H.; Uchida, R.; Abe, D.; Oki, S.; Suzuki, N.; Ikeda, A.; Yatagai, N.; et al. Clinicopathological and Molecular Characterization of Early Gastric Adenocarcinoma in Helicobacter pylori-Uninfected Patients: Emphasis on Differentiated Gastric Adenocarcinoma. J. Gastroenterol. 2022, 57, 725–734. [Google Scholar] [CrossRef]
- Yoshimura, D.; Yoshimura, R.; Mizutani, T. Characteristics and Endoscopic Diagnosis of Helicobacter Pylori-Uninfected Gastric Cancer Based on Tumor Location and Background Mucosa. Gastroenterol. Endosc. 2023, 65, 469–477. [Google Scholar]
- Miyazawa, M.; Matsuda, M.; Yano, M.; Hara, Y.; Arihara, F.; Horita, Y.; Matsuda, K.; Sakai, A.; Noda, Y. Gastric Adenocarcinoma of the Fundic Gland (Chief Cell-Predominant Type): A Review of Endoscopic and Clinicopathological Features. World J. Gastroenterol. 2016, 22, 10523–10531. [Google Scholar] [CrossRef] [PubMed]
- Shibagaki, K.; Fukuyama, C.; Mikami, H.; Izumi, D.; Yamashita, N.; Mishiro, T.; Oshima, N.; Ishimura, N.; Sato, S.; Ishihara, S.; et al. Gastric Foveolar-Type Adenomas Endoscopically Showing a Raspberry-like Appearance in the Helicobacter pylori-Uninfected Stomach. Endosc. Int. Open 2019, 7, E784–E791. [Google Scholar] [CrossRef] [PubMed]
- Suzuki, N.; Ikeda, A.; Ueyama, H.; Yatagai, N.; Uemura, Y.; Yamamoto, M.; Iwano, T.; Utsunomiya, H.; Uchida, R.; Abe, D.; et al. Endoscopic Diagnosis Strategy of Raspberry-Shaped Gastric Lesion in Helicobacter pylori-Uninfected Patient. J. Clin. Med. 2023, 12, 5437. [Google Scholar] [CrossRef]
- Shibagaki, K.; Mishiro, T.; Fukuyama, C.; Takahashi, Y.; Itawaki, A.; Nonomura, S.; Yamashita, N.; Kotani, S.; Mikami, H.; Izumi, D.; et al. Sporadic Foveolar-Type Gastric Adenoma with a Raspberry-like Appearance in Helicobacter pylori-Naïve Patients. Virchows Arch. 2021, 479, 687–695. [Google Scholar] [CrossRef]
- Sekine, S.; Montgomery, E.A.; Vieth, M. Tumours of the Stomach. In WHO Classification of Tumours. Digestive System Tumours: WHO Classification of Tumours, 5th ed.; World Health Organization: Geneva, Switzerland, 2019; Volume 1, pp. 79–80. [Google Scholar]
- Ueyama, H.; Yao, T.; Nakashima, Y.; Hirakawa, K.; Oshiro, Y.; Hirahashi, M.; Iwashita, A.; Watanabe, S. Gastric Adenocarcinoma of Fundic Gland Type (Chief Cell Predominant Type) Proposal for a New Entity of Gastric Adenocarcinoma. Am. J. Surg. Pathol. 2010, 34, 609–619. [Google Scholar] [CrossRef]
- Horiuchi, Y.; Fujisaki, J.; Yamamoto, N.; Shimizu, T.; Miyamoto, Y.; Tomida, H.; Taniguchi, C.; Morishige, K.; Omae, M.; Ishiyama, A.; et al. Biological Behavior of the Intramucosal Helicobacter pylori-Negative Undifferentiated-Type Early Gastric Cancer: Comparison with Helicobacter pylori-Positive Early Gastric Cancer. Gastric Cancer 2016, 19, 160–165. [Google Scholar] [CrossRef] [PubMed]
- Tsai, K.F.; Liou, J.M.; Chen, M.J.; Chen, C.C.; Kuo, S.H.; Lai, I.R.; Yeh, K.H.; Lin, M.T.; Wang, H.P.; Cheng, A.L.; et al. Distinct Clinicopathological Features and Prognosis of Helicobacter pylori Negative Gastric Cancer. PLoS ONE 2017, 12, e0170942. [Google Scholar] [CrossRef] [PubMed]
- Yoshida, Y.; Kurahara, K.; Yaita, H.; Oshiro, Y.; Minami, K.; Uraoka, S.; Ikegami, K.; Hirata, T.; Wachi, H.; Matsuba, H. Clinicopathological Characteristics of Helicobacter pylori-Uninfected Advanced Gastric Cancer. Stomach Intest. 2020, 55, 1061–1076. [Google Scholar]
- Burke, A.P.; Yen, T.S.; Shekitka, K.M.; Sobin, L.H. Lymphoepithelial Carcinoma of the Stomach with Epstein-Barr Virus Demonstrated by Polymerase Chain Reaction. Mod. Pathol. 1990, 3, 377–380. [Google Scholar]
- Zamcheck, N.; Grable, E.; Ley, A.; Norman, L. Occurrence of Gastric Cancer among Patients with Pernicious Anemia at the Boston City Hospital. N. Engl. J. Med. 1955, 252, 1103–1110. [Google Scholar] [CrossRef]
- Oda, T.; Kanai, Y.; Oyama, T.; Yoshiura, K.; Shimoyama, Y.; Birchmeier, W.; Sugimura, T.; Hirohashi, S. E-Cadherin Gene Mutations in Human Gastric Carcinoma Cell Lines. Proc. Natl. Acad. Sci. USA 1994, 91, 1858–1862. [Google Scholar] [CrossRef]
- Study Group of Millennium Genome Project for Cancer; Sakamoto, H.; Yoshimura, K.; Saeki, N.; Katai, H.; Shimoda, T.; Matsuno, Y.; Saito, D.; Sugimura, H.; Tanioka, F.; et al. Genetic Variation in PSCA Is Associated with Susceptibility to Diffuse-Type Gastric Cancer. Nat. Genet. 2008, 40, 730–740. [Google Scholar] [PubMed]
- Wood, L.D.; Salaria, S.N.; Cruise, M.W.; Giardiello, F.M.; Montgomery, E.A. Upper GI Tract Lesions in Familial Adenomatous Polyposis (FAP): Enrichment of Pyloric Gland Adenomas and Other Gastric and Duodenal Neoplasms. Am. J. Surg. Pathol. 2014, 38, 389–393. [Google Scholar] [CrossRef] [PubMed]
- Ueyama, H.; Yao, T.; Akazawa, Y.; Hayashi, T.; Kurahara, K.; Oshiro, Y.; Yamada, M.; Oda, I.; Fujioka, S.; Kusumoto, C.; et al. Gastric Epithelial Neoplasm of Fundic-Gland Mucosa Lineage: Proposal for a New Classification in Association with Gastric Adenocarcinoma of Fundic-Gland Type. J. Gastroenterol. 2021, 56, 814–828. [Google Scholar] [CrossRef] [PubMed]
- Tokunaga, M.; Yoshikawa, T.; Boku, N.; Nishida, Y.; Tanahashi, T.; Yamada, T.; Haruta, S.; Etoh, T.; Hirahara, N.; Kawachi, Y.; et al. Impact of COVID-19 on Gastric Cancer Treatment in Japanese High-Volume Centers: A JCOG Stomach Cancer Study Group Survey. Surg. Today 2022, 52, 231–238. [Google Scholar] [CrossRef]
- Kodama, M.; Miyamori, D.; Kanno, K.; Ito, M. The Impact of Early-Stage COVID-19 Pandemic on the Diagnosis and Treatment of Gastric Cancer: A cross-Sectional Study Using a Large-Scale Cancer Registry in Hiroshima, Japan. DEN Open 2022, 3, e180. [Google Scholar] [CrossRef]
- Kuzuu, K.; Misawa, N.; Ashikari, K.; Tamura, S.; Kato, S.; Hosono, K.; Yoneda, M.; Nonaka, T.; Matsushima, S.; Komatsu, T.; et al. Changes in the Number of Gastrointestinal Cancers and Stage at Diagnosis with COVID-19 Pandemic in Japan: A Multicenter Cohort Study. Cancers 2023, 15, 4410. [Google Scholar] [CrossRef]
- Tanaka, M.; Hoteya, S.; Kikuchi, D.; Nomura, K.; Ochiai, Y.; Okamura, T.; Hayasaka, J.; Suzuki, Y.; Mitsunaga, Y.; Dan, N.; et al. Effect of Helicobacter pylori Infection on Malignancy of Undifferentiated-Type Gastric Cancer. BMC Gastroenterol. 2022, 22, 7. [Google Scholar] [CrossRef]






| Values | |
|---|---|
| Patients, n | 35 |
| Age, mean ± SD (years) | 55.7 ± 10.9 |
| Sex, n (%) | |
| Men | 26 (74.3) |
| Women | 9 (25.7) |
| Opportunity to detect lesions, n (%) | |
| Checkups or periodic EGD | 34 (97.1) |
| Symptomatic | 0 (0) |
| Other | 1 (2.9) |
| Resection modality, n (%) | |
| ESD | 31 (88.6) |
| EMR | 4 (11.4) |
| Tumor location, n (%) | |
| U | 14 (40.0) |
| M | 10 (28.6) |
| L | 11 (31.4) |
| Ant | 5 (14.3) |
| Post | 4 (11.4) |
| Less | 5 (14.3) |
| Gre | 21 (60.0) |
| Macroscopic type, n (%) | |
| 0-I | 6 (17.1) |
| 0-IIa | 14 (40.0) |
| 0-IIb | 8 (22.9) |
| 0-IIc | 7 (20.0) |
| Lesion size, median (mm) | 5 [0.5–72] |
| Histological type, n (%) | |
| SRCC | 14 (40.0) |
| GA-FG | 11 (31.4) |
| GA-FV-RS | 6 (17.1) |
| Other type | 4 (11.4) |
| Lesion depth, n (%) | |
| Mucosa | 23 (65.7) |
| Submucosa 1 | 10 (28.6) |
| Submucosa 2 | 2 (5.7) |
| Positive for lymphatic invasion, n (%) | 1 (2.7) |
| Positive for venous invasion, n (%) | 1 (2.7) |
| Values | |
|---|---|
| En bloc resection rate, n (%) | 35 (100) |
| Horizontal margin positive rate, n (%) | 0 (-) |
| Vertical margin positive rate, n (%) | 1 (2.9) |
| Evaluation of curability, n (%) | |
| eCura A | 24 (68.6) |
| eCura B | 8 (22.9) |
| eCura C | 3 (8.6) |
| Complications, n (%) | |
| Intraprocedural perforation | 1 (2.9) |
| Delayed perforation | 0 (-) |
| Delayed bleeding | 0 (-) |
| SRCC (n = 14) | GA-FG (n = 11) | GA-FV-RS (n = 6) | Other Type (n = 4) | |
|---|---|---|---|---|
| Age, mean ± SD (years) | 50.1 ± 10.1 | 62.5 ± 8.0 | 51.0 ± 6.3 | 63.5 ± 13.1 |
| Macroscopic type, n (%) | ||||
| 0-I | 0 (-) | 1 (9.1) | 5 (83.3) | 0 (-) |
| 0-IIa | 0 (-) | 8 (72.7) | 1 (16.7) | 4 (100) |
| 0-IIb | 8 (57.1) | 0 (-) | 0 (-) | 0 (-) |
| 0-IIc | 6 (42.9) | 2 (18.2) | 0 (-) | 0 (-) |
| Lesion size, median (mm) | 5.0 [0.5–10] | 6.0 [3.0–13] | 3.5 [3.0–5.0] | 16.5 [11–72] |
| Lesion depth, n (%) | ||||
| Mucosa | 12 (85.7) | 2 (18.2) | 6 (100) | 3 (75.0) |
| Submucosa 1 | 1 (7.1) | 9 (81.8) | 0 (-) | 0 (-) |
| Submucosa 2 | 1 (7.1) | 0 (-) | 0 (-) | 1 (25.0) |
| 2010–2015 | 2016–2021 | p Value | |
|---|---|---|---|
| Hp-uninfected,n (%) | 5 (0.7) | 25 (2.1) | 0.02 |
| Hp current/previous infection, n (%) | 683 (99.3) | 1172 (97.9) |
Disclaimer/Publisher’s Note: The statements, opinions and data contained in all publications are solely those of the individual author(s) and contributor(s) and not of MDPI and/or the editor(s). MDPI and/or the editor(s) disclaim responsibility for any injury to people or property resulting from any ideas, methods, instructions or products referred to in the content. |
© 2024 by the authors. Licensee MDPI, Basel, Switzerland. This article is an open access article distributed under the terms and conditions of the Creative Commons Attribution (CC BY) license (https://creativecommons.org/licenses/by/4.0/).
Share and Cite
Maeda, H.; Sasaki, F.; Ooi, T.; Uehara, S.; Yano, H.; Sameshima, Y.; Fukuda, Y.; Nasu, Y.; Fujino, Y.; Shigeta, K.; et al. Trends of Early Helicobacter pylori-Uninfected Gastric Cancer in an Aging Regional Area. J. Clin. Med. 2024, 13, 1827. https://doi.org/10.3390/jcm13061827
Maeda H, Sasaki F, Ooi T, Uehara S, Yano H, Sameshima Y, Fukuda Y, Nasu Y, Fujino Y, Shigeta K, et al. Trends of Early Helicobacter pylori-Uninfected Gastric Cancer in an Aging Regional Area. Journal of Clinical Medicine. 2024; 13(6):1827. https://doi.org/10.3390/jcm13061827
Chicago/Turabian StyleMaeda, Hidehito, Fumisato Sasaki, Takayuki Ooi, Shohei Uehara, Hiroki Yano, Yoichi Sameshima, Yoshio Fukuda, Yuichiro Nasu, Yusuke Fujino, Koichiro Shigeta, and et al. 2024. "Trends of Early Helicobacter pylori-Uninfected Gastric Cancer in an Aging Regional Area" Journal of Clinical Medicine 13, no. 6: 1827. https://doi.org/10.3390/jcm13061827
APA StyleMaeda, H., Sasaki, F., Ooi, T., Uehara, S., Yano, H., Sameshima, Y., Fukuda, Y., Nasu, Y., Fujino, Y., Shigeta, K., Fujita, H., Tanaka, A., Kanmura, S., & Ido, A. (2024). Trends of Early Helicobacter pylori-Uninfected Gastric Cancer in an Aging Regional Area. Journal of Clinical Medicine, 13(6), 1827. https://doi.org/10.3390/jcm13061827

