The Management of a Geriatric Patient Using Dabigatran Therapy on Dentigerous Cyst with Oral Bleeding
Abstract
1. Introduction
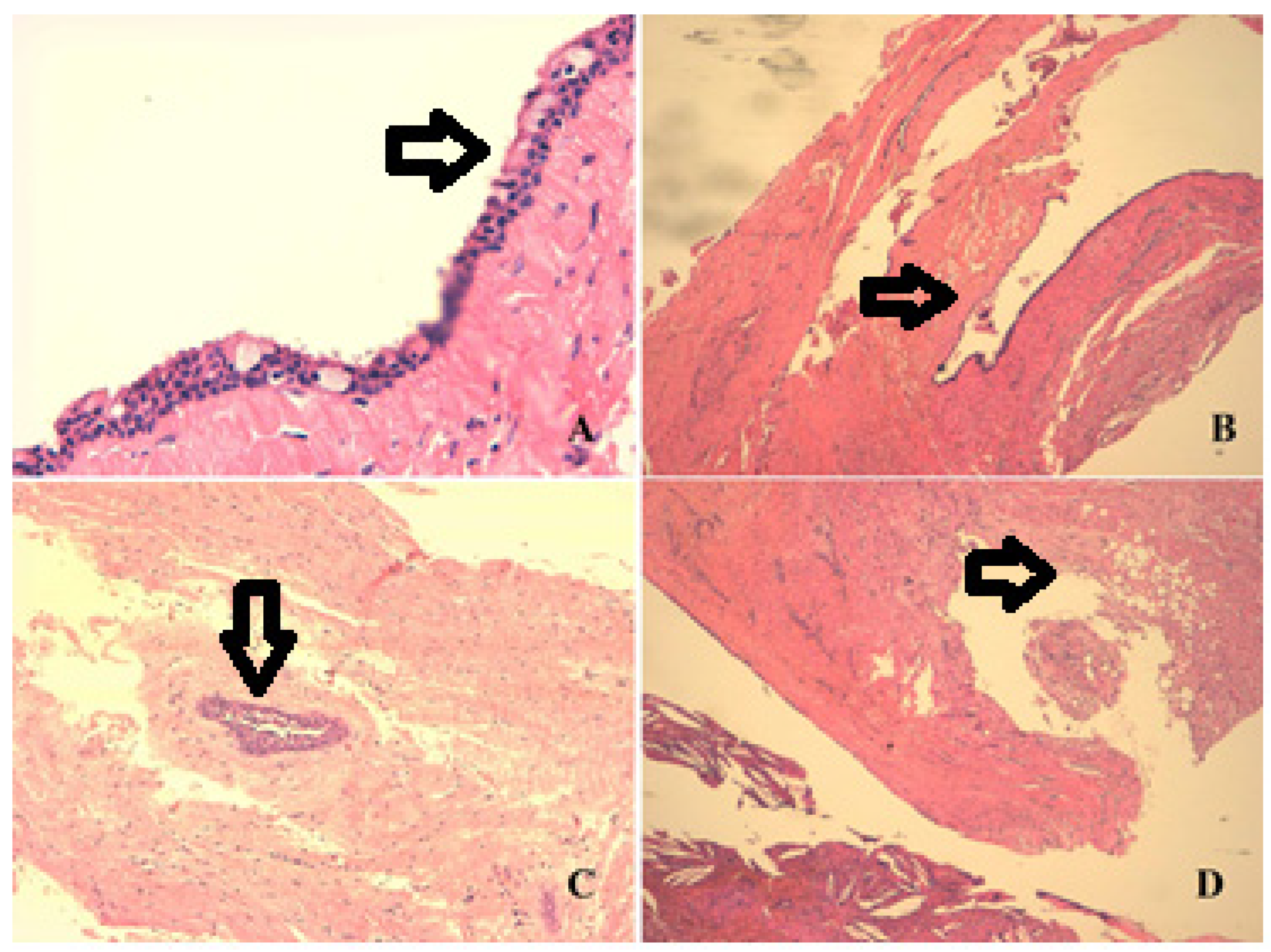
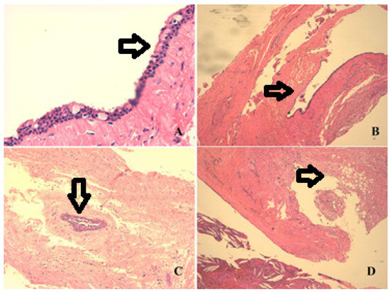
2. Case Report
3. Follow-Up
4. Discussion
5. Conclusions
Author Contributions
Funding
Institutional Review Board Statement
Informed Consent Statement
Acknowledgments
Conflicts of Interest
References
- Johnson, N.R.; Gannon, O.M.; Savage, N.W.; Batstone, M.D. Frequency of odontogenic cysts and tumors: A systematic review. J. Investig. Clin. Dent. 2014, 5, 9–14. [Google Scholar] [CrossRef]
- Omami, G.; Yeoh, M. Cysts and Benign Odontogenic Tumors of the Jaws. Dent. Clin. N. Am. 2024, 68, 277–295. [Google Scholar] [CrossRef] [PubMed]
- Sulistyani, L.D.; Iskandar, L.; Zairinal, V.N.; Arlen, A.K.; Purba, F.; Ariawan, D. Transformation of Odontogenic Cysts to Neoplasms—A Systematic Review. Ann. Maxillofac. Surg. 2023, 13, 76–80. [Google Scholar] [CrossRef] [PubMed]
- Summersgill, K.F. Pediatric Oral Pathology: Odontogenic Cysts. Pediatr. Dev. Pathol. 2023, 26, 609–620. [Google Scholar] [CrossRef] [PubMed]
- Allison, J.R.; Garlington, G. The Value of Cone Beam Computed Tomography in the Management of Dentigerous Cysts—A Review and Case Report. Dent. Update 2017, 44, 182–184, 186–188. [Google Scholar] [CrossRef] [PubMed][Green Version]
- Abu-Mostafa, N. Marsupialization of Dentigerous Cysts Followed by Enucleation and Extraction of Deeply Impacted Third Molars: A Report of Two Cases. Cureus 2022, 14, e23772. [Google Scholar] [CrossRef] [PubMed]
- Mahfuri, A., Sr.; Darwich, K., Sr.; Al Manadili, A., Sr. Marsupialization of a Large Dentigerous Cyst in the Mandible: A Case Report. Cureus 2022, 14, e27340. [Google Scholar] [CrossRef]
- Chisci, D.; Parrini, S.; Baldini, N.; Chisci, G. Patterns of Third-Molar-Pericoronitis-Related Pain: A Morphometrical Observational Retrospective Study. Healthcare 2023, 11, 1890. [Google Scholar] [CrossRef]
- Costa, F.W.; Viana, T.S.; Cavalcante, G.M.; de Barros Silva, P.G.; Cavalcante, R.B.; Nogueira, A.S.; Pereira, K.M. A clinicoradiographic and pathological study of pericoronal follicles associated to mandibular third molars. J. Craniofac. Surg. 2014, 25, e283–e287. [Google Scholar] [CrossRef]
- Ma, Y.; Mu, D.; Li, X. Risk factors for root resorption of second molars with impacted third molars: A meta-analysis of CBCT studies. Acta Odontol. Scand. 2023, 81, 18–28. [Google Scholar] [CrossRef]
- Sifuentes-Cervantes, J.S.; Carrillo-Morales, F.; Castro-Núñez, J.; Cunningham, L.L.; Van Sickels, J.E. Third molar surgery: Past, present, and the future. Oral Surg. Oral Med. Oral Pathol. Oral Radiol. 2021, 132, 523–531. [Google Scholar] [CrossRef]
- Hartman, B.; Adlesic, E.C. Evaluation and Management of Impacted Teeth in the Adolescent Patient. Dent. Clin. N. Am. 2021, 65, 805–814. [Google Scholar] [CrossRef]
- McLean, A.C.; Vargas, P.A. Cystic Lesions of the Jaws: The Top 10 Differential Diagnoses to Ponder. Head Neck Pathol. 2023, 17, 85–98. [Google Scholar] [CrossRef]
- Biglioli, F.; Pedrazzoli, M. Extra-platysma fixation of bisphosphonate-related mandibular fractures: A suggested technical solution. Int. J. Oral Maxillofac. Surg. 2013, 42, 611–614. [Google Scholar] [CrossRef]
- Hong, W.W.; Kim, I.H.; Hong, B.M.; Oak, S.; Mupparapu, M. A Patient Presenting for Dental Extraction After Completion of Chemotherapy. Dent. Clin. N. Am. 2023, 67, 667–670. [Google Scholar] [CrossRef] [PubMed]
- Diniz-Freitas, M.; Limeres, J. Prevention of medication-related osteonecrosis of the jaws secondary to tooth extractions. A systematic review. Med. Oral Patol. Oral Cir. Bucal 2016, 21, e250–e259. [Google Scholar] [CrossRef] [PubMed]
- Patil, P.M. Prolonged peripheral nerve blockade in patients using lithium carbonate. J. Craniomaxillofac. Surg. 2014, 42, e33–e35. [Google Scholar] [CrossRef] [PubMed]
- Weltman, N.J.; Al-Attar, Y.; Cheung, J.; Duncan, D.P.; Katchky, A.; Azarpazhooh, A.; Abrahamyan, L. Management of dental extractions in patients taking warfarin as anticoagulant treatment: A systematic review. J. Can. Dent. Assoc. 2015, 81, f20. [Google Scholar] [PubMed]
- Manfredini, M.; Poli, P.P.; Creminelli, L.; Porro, A.; Maiorana, C.; Beretta, M. Comparative Risk of Bleeding of Anticoagulant Therapy with Vitamin K Antagonists (VKAs) and with Non-Vitamin K Antagonists in Patients Undergoing Dental Surgery. J. Clin. Med. 2021, 10, 5526. [Google Scholar] [CrossRef] [PubMed]
- Daryabari, Y.; Amreek, F.; Moghadamnia, A.A.; Tayebi, P. An Update on Betrixaban, The Challenging Anticoagulant Agent for Extended Venous Thromboembolism Prophylaxis. J. Cardiovasc. Pharmacol. 2024, 83, 134–143. [Google Scholar] [CrossRef] [PubMed]
- Jin, C.; Cui, C.; Seplowe, M.; Lee, K.I.; Vegunta, R.; Li, B.; Frishman, W.H.; Iwai, S. Anticoagulation for Atrial Fibrillation: A Review of Current Literature and Views. Cardiol. Rev. 2024, 32, 131–139. [Google Scholar] [CrossRef]
- Al Said, S.; Kaier, K.; Sumaya, W.; Alsaid, D.; Duerschmied, D.; Storey, R.F.; Gibson, C.M.; Westermann, D.; Alabed, S. Non-vitamin-K-antagonist oral anticoagulants (NOACs) after acute myocardial infarction: A network meta-analysis. Cochrane Database Syst. Rev. 2024, 1, CD014678. [Google Scholar] [CrossRef]
- Chisci, G.; D’Ambrosio, F.; Busa, A. The contact of third molar and mandibular nerve: Health related quality of life differentials. J. Craniofac. Surg. 2015, 26, 958–959. [Google Scholar] [CrossRef]
- Nishide, N.; Hitomi, G.; Miyoshi, N. Irrigational therapy of a dentigerous cyst in a geriatric patient: A case report. Spec. Care Dentist. 2003, 23, 70–72. [Google Scholar] [CrossRef]
- Loomba, A.; Loomba, K.; Bains, R.; Bains, V.K. Management of a dentigerous cyst in a medically compromised geriatric patient: A case report. Gerodontology 2012, 29, e1190–e1194. [Google Scholar] [CrossRef]
- Summers, R.L.; Sterling, S.A. Emergent Bleeding in Patients Receiving Direct Oral Anticoagulants. Air Med. J. 2016, 35, 148–155. [Google Scholar] [CrossRef]
- Breik, O.; Cheng, A.; Sambrook, P.; Goss, A. Protocol in managing oral surgical patients taking dabigatran. Aust. Dent. J. 2014, 59, 296–301, quiz 401. [Google Scholar] [CrossRef]
- Davis, C.; Robertson, C.; Shivakumar, S.; Lee, M. Implications of Dabigatran, a direct thrombin inhibitor, for oral surgery practice. J. Can. Dent. Assoc. 2013, 79, d74. [Google Scholar] [PubMed]
- Gunasekaran, K.; Rajasurya, V.; Devasahayam, J.; Singh Rahi, M.; Chandran, A.; Elango, K.; Talari, G. A Review of the Incidence Diagnosis and Treatment of Spontaneous Hemorrhage in Patients Treated with Direct Oral Anticoagulants. J. Clin. Med. 2020, 9, 2984. [Google Scholar] [CrossRef] [PubMed]
- Sun, M.T.; Wood, M.K.; Chan, W.; Selva, D.; Sanders, P.; Casson, R.J.; Wong, C.X. Risk of Intraocular Bleeding with Novel Oral Anticoagulants Compared with Warfarin: A Systematic Review and Meta-analysis. JAMA Ophthalmol. 2017, 135, 864–870. [Google Scholar] [CrossRef] [PubMed]
- Azab, M.; Ibrahim, S.; Li, A.; Khosravirad, A.; Carrasco-Labra, A.; Zeng, L.; Brignardello-Petersen, R. Efficacy of secondary vs primary closure techniques for the prevention of postoperative complications after impacted mandibular third molar extractions: A systematic review update and meta-analysis. J. Am. Dent. Assoc. 2022, 153, 943–956.e48. [Google Scholar] [CrossRef]
- Chisci, G.; Capuano, A.; Parrini, S. Alveolar Osteitis and Third Molar Pathologies. J. Oral Maxillofac. Surg. 2018, 76, 235–236. [Google Scholar] [CrossRef] [PubMed]
- Bao, M.; Du, G.; Zhang, Y.; Ma, P.; Cao, Y.; Li, C. Application of Platelet-Rich Fibrin Derivatives for Mandibular Third Molar Extraction Related Post-Operative Sequelae: A Systematic Review and Network Meta-Analysis. J. Oral Maxillofac. Surg. 2021, 79, 2421–2432. [Google Scholar] [CrossRef] [PubMed]
- Chaudhry, K.; Rustagi, N.; Bali, R.; Khatana, S.; Kumar, S.; Kaur, A.; Kumar, P. Efficacy of adjuvant ozone therapy in reducing postsurgical complications following impacted mandibular third-molar surgery: A systematic review and meta-analysis. J. Am. Dent. Assoc. 2021, 152, 842–854.e1. [Google Scholar] [CrossRef] [PubMed]
- Carter, G.; Goss, A.N.; Lloyd, J.; Tocchetti, R. Local haemostasis with autologous fibrin glue following surgical enucleation of a large cystic lesion in a therapeutically anticoagulated patient. Br. J. Oral Maxillofac. Surg. 2003, 41, 275–276. [Google Scholar] [CrossRef] [PubMed]
- Kwon, A.Y.; Huh, K.H.; Yi, W.J.; Symkhampha, K.; Heo, M.S.; Lee, S.S.; Choi, S.C. Haemophilic pseudotumour in two parts of the maxilla: Case report. Dentomaxillofac. Radiol. 2016, 45, 20150440. [Google Scholar] [CrossRef]
- Wong, A.T.; Nguyen, C.T. Rehabilitation of a patient with an elusive medical history and loss of occlusal vertical dimension. J. Can. Dent. Assoc. 2013, 79, d35. [Google Scholar]
- Lei, F.; Chen, J.Y.; Wang, W.C.; Lin, L.M.; Huang, H.C.; Ho, K.Y.; Chen, Y.K. Retrospective study of oral and maxillofacial lesions in older Taiwanese patients. Gerodontology 2015, 32, 281–287. [Google Scholar] [CrossRef]



| Authors | Year | Age | Sex | Chief Complaint | Drugs | Pathology | Treatment | Reference |
|---|---|---|---|---|---|---|---|---|
| Nishide et al. | 2003 | 72 | male | No symptoms | Dentigerous cyst | Irrigation | [24] | |
| Loomba et al. | 2011 | 72 | male | Swelling | Aspirin | Dentigerous cyst related to impacted lower premolar | Cyst enucleation and tooth extraction | [25] |
| Chisci et al. | 2024 | 81 | Male | Bleeding | Dabigatran | Dentigerous cyst related to impacted lower third molar | Cyst enucleation and tooth extraction | - |
Disclaimer/Publisher’s Note: The statements, opinions and data contained in all publications are solely those of the individual author(s) and contributor(s) and not of MDPI and/or the editor(s). MDPI and/or the editor(s) disclaim responsibility for any injury to people or property resulting from any ideas, methods, instructions or products referred to in the content. |
© 2024 by the authors. Licensee MDPI, Basel, Switzerland. This article is an open access article distributed under the terms and conditions of the Creative Commons Attribution (CC BY) license (https://creativecommons.org/licenses/by/4.0/).
Share and Cite
Chisci, G.; Chisci, D.; Chisci, E.; Chisci, V.; Stumpo, M.; Chisci, E. The Management of a Geriatric Patient Using Dabigatran Therapy on Dentigerous Cyst with Oral Bleeding. J. Clin. Med. 2024, 13, 1499. https://doi.org/10.3390/jcm13051499
Chisci G, Chisci D, Chisci E, Chisci V, Stumpo M, Chisci E. The Management of a Geriatric Patient Using Dabigatran Therapy on Dentigerous Cyst with Oral Bleeding. Journal of Clinical Medicine. 2024; 13(5):1499. https://doi.org/10.3390/jcm13051499
Chicago/Turabian StyleChisci, Glauco, Dafne Chisci, Enea Chisci, Viola Chisci, Michela Stumpo, and Elettra Chisci. 2024. "The Management of a Geriatric Patient Using Dabigatran Therapy on Dentigerous Cyst with Oral Bleeding" Journal of Clinical Medicine 13, no. 5: 1499. https://doi.org/10.3390/jcm13051499
APA StyleChisci, G., Chisci, D., Chisci, E., Chisci, V., Stumpo, M., & Chisci, E. (2024). The Management of a Geriatric Patient Using Dabigatran Therapy on Dentigerous Cyst with Oral Bleeding. Journal of Clinical Medicine, 13(5), 1499. https://doi.org/10.3390/jcm13051499

