Current Evidence Regarding Shoulder Instability in the Paediatric and Adolescent Population
Abstract
1. Introduction
2. Patho-Anatomy
3. Epidemiology
4. Diagnosis
4.1. History and Clinical Examination
4.2. Imaging
4.2.1. X-ray
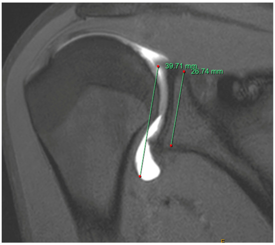
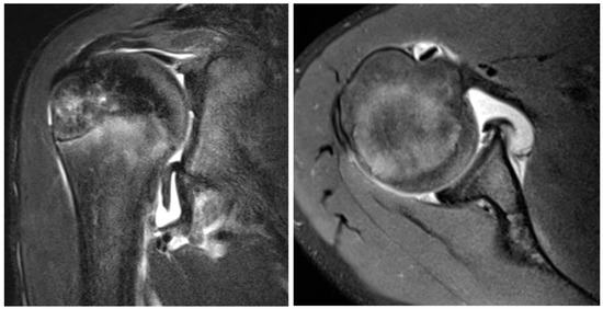
4.2.2. Cross-Sectional Imaging
Bone Loss
MDI
4.3. Proprioceptive Testing
5. Management of Traumatic Instability
5.1. Non-Operative Management
Outcomes of Non-Operative Management
5.2. Surgical Stabilisation—Bankart and Labral Repairs
5.3. Bone Loss
5.3.1. Glenoid Bone Loss
5.3.2. Hill-Sachs Lesion and Bipolar Bone Loss
5.4. Latarjet
6. Multidirectional Instability
6.1. Natural History
6.2. Physiotherapy
Adjuncts to Physiotherapy
6.3. Surgical Options
6.3.1. Capsular Plication
6.3.2. Inferior Glenohumeral Ligament Reconstruction
7. Muscle Patterning Instability
7.1. Classification
7.2. Management
7.2.1. Psychology
7.2.2. Voluntary
7.2.3. Non-Voluntary
8. Clinical Relevance
8.1. Strengths
8.2. Limitations
9. Conclusions
Author Contributions
Funding
Conflicts of Interest
References
- Goldberg, A.S.; Moroz, L.; Smith, A.; Ganley, T. Injury surveillance in young athletes. Sports Med. 2007, 37, 265–278. [Google Scholar] [CrossRef] [PubMed]
- Nicolozakes, C.P.; Li, X.; Uhl, T.L.; Marra, G.; Jain, N.B.; Perreault, E.J.; Seitz, A.L. Interprofessional Inconsistencies in the Diagnosis of Shoulder Instability: Survey Results of Physicians and Rehabilitation Providers. Int. J. Sports Phys. Ther. 2021, 16, 1115–1125. [Google Scholar] [CrossRef] [PubMed]
- Jaggi, A.; Lambert, S. Rehabilitation for shoulder instability. Br. J. Sports Med. 2010, 44, 333–340. [Google Scholar] [CrossRef] [PubMed]
- Hill, B.; Khodaee, M. Glenohumeral Joint Dislocation Classification: Literature Review and Suggestion for a New Subtype. Curr. Sports Med. Rep. 2022, 21, 239–246. [Google Scholar] [CrossRef] [PubMed]
- Leroux, T.; Ogilvie-Harris, D.; Veillette, C.; Chahal, J.; Dwyer, T.; Khoshbin, A.; Henry, P.; Mahomed, N.; Wasserstein, D. The epidemiology of primary anterior shoulder dislocations in patients aged 10 to 16 years. Am. J. Sports Med. 2015, 43, 2111–2117. [Google Scholar] [CrossRef]
- Leland, D.P.; Bernard, C.D.; Keyt, L.K.; Krych, A.J.; Dahm, D.L.; Sanchez-Sotelo, J.; Camp, C.L. An age-based approach to anterior shoulder instability in patients under 40 years old: Analysis of a US population. Am. J. Sports Med. 2020, 48, 56–62. [Google Scholar] [CrossRef] [PubMed]
- Gigis, I.; Heikenfeld, R.; Kapinas, A.; Listringhaus, R.; Godolias, G. Arthroscopic versus conservative treatment of first anterior dislocation of the shoulder in adolescents. J. Pediatr. Orthop. 2014, 34, 421–425. [Google Scholar] [CrossRef]
- Hughes, J.L.; Bastrom, T.; Pennock, A.T.; Edmonds, E.W. Arthroscopic Bankart repairs with and without remplissage in recurrent adolescent anterior shoulder instability with Hill-Sachs deformity. Orthop. J. Sports Med. 2018, 6, 2325967118813981. [Google Scholar] [CrossRef]
- Waltenspül, M.; Ernstbrunner, L.; Ackermann, J.; Thiel, K.; Galvin, J.W.; Wieser, K. Long-term results and failure analysis of the open latarjet procedure and arthroscopic Bankart repair in adolescents. JBJS 2022, 104, 1046–1054. [Google Scholar] [CrossRef]
- Postacchini, F.; Gumina, S.; Cinotti, G. Anterior shoulder dislocation in adolescents. J. Shoulder Elb. Surg. 2000, 9, 470–474. [Google Scholar] [CrossRef]
- Cordischi, K.; Li, X.; Busconi, B. Intermediate outcomes after primary traumatic anterior shoulder dislocation in skeletally immature patients aged 10 to 13 years. Orthopedics 2009, 32, 686. [Google Scholar]
- Warby, S.A.; Ford, J.J.; Hahne, A.J.; Watson, L.; Balster, S.; Lenssen, R.; Pizzari, T. Comparison of 2 exercise rehabilitation programs for multidirectional instability of the glenohumeral joint: A randomized controlled trial. Am. J. Sports Med. 2018, 46, 87–97. [Google Scholar] [CrossRef]
- Mitchell, B.C.; Siow, M.Y.; Carroll, A.N.; Pennock, A.T.; Edmonds, E.W. Clinical Outcomes, Survivorship, and Return to Sport After Arthroscopic Capsular Repair With Suture Anchors for Adolescent Multidirectional Shoulder Instability: Results at 6-Year Follow-up. Orthop. J. Sports Med. 2021, 9, 2325967121993879. [Google Scholar] [CrossRef] [PubMed]
- Greiwe, R.M.; Galano, G.; Grantham, J.; Ahmad, C.S. Arthroscopic stabilization for voluntary shoulder instability. J. Pediatr. Orthop. 2012, 32, 781–786. [Google Scholar] [CrossRef] [PubMed]
- Moroder, P.; Danzinger, V.; Maziak, N.; Plachel, F.; Pauly, S.; Scheibel, M.; Minkus, M. Characteristics of functional shoulder instability. J. Shoulder Elb. Surg. 2020, 29, 68–78. [Google Scholar] [CrossRef]
- Moroder, P.; Minkus, M.; Böhm, E.; Danzinger, V.; Gerhardt, C.; Scheibel, M. Use of shoulder pacemaker for treatment of functional shoulder instability. Obere Extrem. 2017, 12, 103–108. [Google Scholar] [CrossRef] [PubMed][Green Version]
- Lin, K.M.; James, E.W.; Spitzer, E.; Fabricant, P.D. Pediatric and adolescent anterior shoulder instability: Clinical management of first-time dislocators. Curr. Opin. Pediatr. 2018, 30, 49–56. [Google Scholar] [CrossRef]
- Olds, M.; Donaldson, K.; Ellis, R.; Kersten, P. In children 18 years and under, what promotes recurrent shoulder instability after traumatic anterior shoulder dislocation? A systematic review and meta-analysis of risk factors. Br. J. Sports Med. 2016, 50, 1135–1141. [Google Scholar] [CrossRef]
- Shanmugaraj, A.; Chai, D.; Sarraj, M.; Gohal, C.; Horner, N.S.; Simunovic, N.; Athwal, G.S.; Ayeni, O.R. Surgical stabilization of pediatric anterior shoulder instability yields high recurrence rates: A systematic review. Knee Surg. Sports Traumatol. Arthrosc. 2021, 29, 192–201. [Google Scholar] [CrossRef]
- Verweij, L.P.E.; van Spanning, S.H.; Grillo, A.; Kerkhoffs, G.M.M.J.; Priester-Vink, S.; van Deurzen, D.F.P.; van den Bekerom, M.P.J. Age, participation in competitive sports, bony lesions, ALPSA lesions, > 1 preoperative dislocations, surgical delay and ISIS score > 3 are risk factors for recurrence following arthroscopic Bankart repair: A systematic review and meta-analysis of 4584 shoulders. Knee Surg. Sports Traumatol. Arthrosc. 2021, 29, 4004–4014. [Google Scholar]
- Warby, S.A.; Pizzari, T.; Ford, J.J.; Hahne, A.J.; Watson, L. Exercise-based management versus surgery for multidirectional instability of the glenohumeral joint: A systematic review. Br. J. Sports Med. 2016, 50, 1115–1123. [Google Scholar] [CrossRef]
- Bankart, A.B. Recurrent or habitual dislocation of the shoulder-joint. Br. Med. J. 1923, 2, 1132. [Google Scholar] [CrossRef]
- Neviaser, T.J. The GLAD lesion: Another cause of anterior shoulder pain. Arthrosc. J. Arthrosc. Relat. Surg. 1993, 9, 22–23. [Google Scholar] [CrossRef]
- Neviaser, T.J. The anterior labroligamentous periosteal sleeve avulsion lesion: A cause of anterior instability of the shoulder. Arthrosc. J. Arthrosc. Relat. Surg. 1993, 9, 17–21. [Google Scholar] [CrossRef]
- Wolf, E.M.; Cheng, J.C.; Dickson, K. Humeral avulsion of glenohumeral ligaments as a cause of anterior shoulder instability. Arthrosc. J. Arthrosc. Relat. Surg. 1995, 11, 600–607. [Google Scholar] [CrossRef]
- Provencher, M.T.; Midtgaard, K.S.; Owens, B.D.; Tokish, J.M. Diagnosis and management of traumatic anterior shoulder instability. JAAOS-J. Am. Acad. Orthop. Surg. 2021, 29, e51–e61. [Google Scholar] [CrossRef]
- Hill, H.A.; Sachs, M.D. The Grooved Defect of the Humeral Head. Radiology 1940, 35, 690–700. [Google Scholar] [CrossRef]
- Kim, S.-H.; Ha, K.-I.; Yoo, J.-C.; Noh, K.-C. Kim’s lesion: An incomplete and concealed avulsion of the posteroinferior labrum in posterior or multidirectional posteroinferior instability of the shoulder. Arthroscopy 2004, 20, 712–720. [Google Scholar] [CrossRef]
- Castagna, A.; Garofalo, R.; Conti, M.; Randelli, M. Reverse HAGL: A possible complication of a tight anterior gleno-humeral stabilization. Chir. Degli Organi Mov. 2005, 90, 201–207. [Google Scholar]
- Cicak, N. Posterior dislocation of the shoulder. J. Bone Jt. Surgery. Br. Vol. 2004, 86, 324–332. [Google Scholar] [CrossRef] [PubMed]
- Longo, U.G.; Rizzello, G.; Loppini, M.; Locher, J.; Buchmann, S.; Maffulli, N.; Denaro, V. Multidirectional instability of the shoulder: A systematic review. Arthrosc. J. Arthrosc. Relat. Surg. 2015, 31, 2431–2443. [Google Scholar] [CrossRef] [PubMed]
- Rong, Y.-H.; Zhang, G.-A.; Wang, C.; Ning, F.-G. Quantification of type I and III collagen content in normal human skin in different age groups. Chin. J. Burn. 2008, 24, 51–53. [Google Scholar]
- Rodeo, S.A.; Suzuki, K.; Yamauchi, M.; Bhargava, M.; Warren, R.F. Analysis of Collagen and Elastic Fibers in Shoulder Capsule in Patients with Shoulder Instability. Am. J. Sports Med. 1998, 26, 634–643. [Google Scholar] [CrossRef] [PubMed]
- Jaggi, A.; Noorani, A.; Malone, A.; Cowan, J.; Lambert, S.; Bayley, I. Muscle activation patterns in patients with recurrent shoulder instability. Int. J. Shoulder Surg. 2012, 6, 101. [Google Scholar]
- Yapp, L.Z.; Baxendale-Smith, L.; Nicholson, J.A.; Gaston, M.S.; Robinson, C.M. Traumatic glenohumeral dislocation in pediatric patients is associated with a high risk of recurrent instability. J. Pediatr. Orthop. 2021, 41, 406–411. [Google Scholar] [CrossRef] [PubMed]
- Zacchilli, M.A.; Owens, B.D. Epidemiology of shoulder dislocations presenting to emergency departments in the United States. JBJS 2010, 92, 542–549. [Google Scholar] [CrossRef] [PubMed]
- Longo, U.G.; Salvatore, G.; Locher, J.; Ruzzini, L.; Candela, V.; Berton, A.; Stelitano, G.; Schena, E.; Denaro, V. Epidemiology of Paediatric Shoulder Dislocation: A Nationwide Study in Italy from 2001 to 2014. Int. J. Environ. Res. Public Health 2020, 17, 2834. [Google Scholar] [CrossRef]
- Hovelius, L.; Olofsson, A.; Sandström, B.; Augustini, B.-G.; Krantz, L.; Fredin, H.; Tillander, B.; Skoglund, U.; Salomonsson, B.; Nowak, J. Nonoperative treatment of primary anterior shoulder dislocation in patients forty years of age and younger: A prospective twenty-five-year follow-up. JBJS 2008, 90, 945–952. [Google Scholar] [CrossRef]
- Watson, L.; Warby, S.; Balster, S.; Lenssen, R.; Pizzari, T. The treatment of multidirectional instability of the shoulder with a rehabilitation program: Part 1. Shoulder Elb. 2016, 8, 271–278. [Google Scholar] [CrossRef]
- Hawkins, R.J.; Schutte, J.P.; Janda, D.H.; Huckell, G.H. Translation of the glenohumeral joint with the patient under anesthesia. J. Shoulder Elb. Surg. 1996, 5, 286–292. [Google Scholar] [CrossRef]
- Rowe, C.R.; Zarins, B. Recurrent transient subluxation of the shoulder. J. Bone Jt. Surg. Am. 1981, 63, 863–872. [Google Scholar] [CrossRef]
- Jobe, F.W.; Kvitne, R.S.; Giangarra, C.E. Shoulder pain in the overhand or throwing athlete. The relationship of anterior instability and rotator cuff impingement. Orthop. Rev. 1989, 18, 963–975. [Google Scholar] [PubMed]
- Warth, R.J.; Millett, P.J. Physical Examination of the Shoulder; Springer: Berlin/Heidelberg, Germany, 2015. [Google Scholar]
- Krishnan, S.G.; Hawkins, R.J.; Warren, R.F. The Shoulder and the Overhead Athlete; Lippincott Williams & Wilkins: Philadelphia, PA, USA, 2004. [Google Scholar]
- Gagey, O. The hyperabduction test: An assessment of the laxity of the inferior glenohumeral ligament. J. Bone Jt. Surg. Br. Vol. 2001, 83, 69–74. [Google Scholar] [CrossRef]
- Beighton, P.; Solomon, L.; Soskolne, C. Articular mobility in an African population. Ann. Rheum. Dis. 1973, 32, 413. [Google Scholar] [CrossRef] [PubMed]
- Jankauskas, L.; Rüdiger, H.A.; Pfirrmann, C.W.; Jost, B.; Gerber, C. Loss of the sclerotic line of the glenoid on anteroposterior radiographs of the shoulder: A diagnostic sign for an osseous defect of the anterior glenoid rim. J. Shoulder Elb. Surg. 2010, 19, 151–156. [Google Scholar] [CrossRef]
- Meyer, D.C.; Ernstbrunner, L.; Boyce, G.; Imam, M.A.; El Nashar, R.; Gerber, C. Posterior acromial morphology is significantly associated with posterior shoulder instability. JBJS 2019, 101, 1253–1260. [Google Scholar] [CrossRef]
- Beeler, S.; Leoty, L.; Hochreiter, B.; Carrillo, F.; Götschi, T.; Fischer, T.; Fürnstahl, P.; Gerber, C. Similar scapular morphology in patients with dynamic and static posterior shoulder instability. JSES Int. 2021, 5, 181–189. [Google Scholar] [CrossRef]
- Huijsmans, P.E.; Haen, P.S.; Kidd, M.; Dhert, W.J.; van der Hulst, V.P.; Willems, W.J. Quantification of a glenoid defect with three-dimensional computed tomography and magnetic resonance imaging: A cadaveric study. J. Shoulder Elb. Surg. 2007, 16, 803–809. [Google Scholar] [CrossRef]
- Gyftopoulos, S.; Hasan, S.; Bencardino, J.; Mayo, J.; Nayyar, S.; Babb, J.; Jazrawi, L. Diagnostic accuracy of MRI in the measurement of glenoid bone loss. Am. J. Roentgenol. 2012, 199, 873–878. [Google Scholar] [CrossRef]
- Gyftopoulos, S.; Beltran, L.S.; Bookman, J.; Rokito, A. MRI Evaluation of Bipolar Bone Loss Using the On-Track Off-Track Method: A Feasibility Study. Am. J. Roentgenol. 2015, 205, 848–852. [Google Scholar] [CrossRef]
- Yellin, J.L.; Fabricant, P.D.; Anari, J.B.; Neuwirth, A.L.; Ganley, T.J.; Chauvin, N.A.; Lawrence, J.T. Increased Glenoid Index as a Risk Factor for Pediatric and Adolescent Anterior Glenohumeral Dislocation: An MRI-Based, Case-Control Study. Orthop. J. Sports Med. 2021, 9, 2325967120986139. [Google Scholar] [CrossRef]
- Weber, A.E.; Bolia, I.K.; Horn, A.; Villacis, D.; Omid, R.; Tibone, J.E.; White, E.; Hatch, G.F. Glenoid Bone Loss in Shoulder Instability: Superiority of Three-Dimensional Computed Tomography over Two-Dimensional Magnetic Resonance Imaging Using Established Methodology. Clin. Orthop. Surg. 2021, 13, 223–228. [Google Scholar] [CrossRef]
- Stefaniak, J.; Kubicka, A.M.; Wawrzyniak, A.; Romanowski, L.; Lubiatowski, P. Reliability of humeral head measurements performed using two- and three-dimensional computed tomography in patients with shoulder instability. Int. Orthop. 2020, 44, 2049–2056. [Google Scholar] [CrossRef]
- Park, K.-J.; Jeong, H.-S.; Park, J.-K.; Cha, J.-K.; Kang, S.-W. Evaluation of Inferior Capsular Laxity in Patients with Atraumatic Multidirectional Shoulder Instability with Magnetic Resonance Arthrography. KJR 2019, 20, 931–938. [Google Scholar] [CrossRef]
- Lim, C.-O.; Park, K.-J.; Cho, B.-K.; Kim, Y.-M.; Chun, K.-A. A new screening method for multidirectional shoulder instability on magnetic resonance arthrography: Labro-capsular distance. Skelet. Radiol. 2016, 45, 921–927. [Google Scholar] [CrossRef]
- Lee, H.J.; Kim, N.R.; Moon, S.G.; Ko, S.M.; Park, J.-Y. Multidirectional instability of the shoulder: Rotator interval dimension and capsular laxity evaluation using MR arthrography. Skelet. Radiol. 2013, 42, 231–238. [Google Scholar] [CrossRef]
- Lephart, S.M.; Warner, J.J.; Borsa, P.A.; Fu, F.H. Proprioception of the shoulder joint in healthy, unstable, and surgically repaired shoulders. J Shoulder Elb. Surg 1994, 3, 371–380. [Google Scholar] [CrossRef]
- Fyhr, C.; Gustavsson, L.; Wassinger, C.; Sole, G. The effects of shoulder injury on kinaesthesia: A systematic review and meta-analysis. Man. Ther. 2015, 20, 28–37. [Google Scholar] [CrossRef]
- Lubiatowski, P.; Ogrodowicz, P.; Wojtaszek, M.; Romanowski, L. Bilateral shoulder proprioception deficit in unilateral anterior shoulder instability. J. Shoulder Elb. Surg. 2019, 28, 561–569. [Google Scholar] [CrossRef]
- Ager, A.; Roy, J.-S.; Roos, M.; Fournier Belley, A.; Cools, A.; Hébert, L. Shoulder proprioception: How is it measured and is it reliable? A systematic review. J. Hand Ther. 2017, 30, 221–231. [Google Scholar] [CrossRef]
- Ogawa, K.; Yoshida, A.; Ikegami, H. Osteoarthritis in shoulders with traumatic anterior instability: Preoperative survey using radiography and computed tomography. J. Shoulder Elb. Surg. 2006, 15, 23–29. [Google Scholar] [CrossRef]
- Brophy, R.H.; Marx, R.G. Osteoarthritis following shoulder instability. Clin. Sports Med. 2005, 24, 47–56. [Google Scholar] [CrossRef]
- Whelan, D.B.; Litchfield, R.; Wambolt, E.; Dainty, K.N.; Joint Orthopaedic Initiative for National Trials of the Shoulder (JOINTS). External rotation immobilization for primary shoulder dislocation: A randomized controlled trial. Clin. Orthop. Relat. Res. 2014, 472, 2380–2386. [Google Scholar] [CrossRef]
- Paterson, W.H.; Throckmorton, T.W.; Koester, M.; Azar, F.M.; Kuhn, J.E. Position and duration of immobilization after primary anterior shoulder dislocation: A systematic review and meta-analysis of the literature. JBJS 2010, 92, 2924–2933. [Google Scholar] [CrossRef] [PubMed]
- Watson, S.; Allen, B.; Grant, J.A. A clinical review of return-to-play considerations after anterior shoulder dislocation. Sports Health 2016, 8, 336–341. [Google Scholar] [CrossRef]
- Lampert, C.; Baumgartner, G.; Slongo, T.; Kohler, G.; Horst, M. Traumatic shoulder dislocation in children and adolescents. Eur. J. Trauma 2003, 29, 375–378. [Google Scholar]
- Deitch, J.; Mehlman, C.T.; Foad, S.L.; Obbehat, A.; Mallory, M. Traumatic anterior shoulder dislocation in adolescents. Am. J. Sports Med. 2003, 31, 758–763. [Google Scholar] [CrossRef]
- Kawasaki, T.; Ota, C.; Urayama, S.; Maki, N.; Nagayama, M.; Kaketa, T.; Takazawa, Y.; Kaneko, K. Incidence of and risk factors for traumatic anterior shoulder dislocation: An epidemiologic study in high-school rugby players. J. Shoulder Elb. Surg. 2014, 23, 1624–1630. [Google Scholar] [CrossRef] [PubMed]
- Kwapisz, A.; Shanley, E.; Momaya, A.M.; Young, C.; Kissenberth, M.J.; Tolan, S.J.; Lonergan, K.T.; Wyland, D.J.; Hawkins, R.J.; Pill, S.G.; et al. Does Functional Bracing of the Unstable Shoulder Improve Return to Play in Scholastic Athletes? Returning the Unstable Shoulder to Play. Sports Health 2021, 13, 45–48. [Google Scholar] [CrossRef]
- Tokish, J.M.; Thigpen, C.A.; Kissenberth, M.J.; Tolan, S.J.; Lonergan, K.T.; Tokish, J.M., Jr.; Dickens, J.F.; Hawkins, R.J.; Shanley, E. The Nonoperative Instability Severity Index Score (NISIS): A simple tool to guide operative versus nonoperative treatment of the unstable shoulder. Sports Health 2020, 12, 598–602. [Google Scholar] [CrossRef] [PubMed]
- Ozturk, B.Y.; Maak, T.G.; Fabricant, P.; Altchek, D.W.; Williams, R.J.; Warren, R.F.; Cordasco, F.A.; Allen, A.A. Return to sports after arthroscopic anterior stabilization in patients aged younger than 25 years. Arthrosc. J. Arthrosc. Relat. Surg. 2013, 29, 1922–1931. [Google Scholar] [CrossRef]
- Hickey, I.P.; Davey, M.S.; Hurley, E.T.; Gaafar, M.; Delaney, R.A.; Mullett, H. Return to play following open Bankart repair in collision athletes aged 18 years or less. J. Shoulder Elb. Surg. 2022, 31, S8–S12. [Google Scholar] [CrossRef] [PubMed]
- Shymon, S.J.; Roocroft, J.; Edmonds, E.W. Traumatic anterior instability of the pediatric shoulder: A comparison of arthroscopic and open Bankart repairs. J. Pediatr. Orthop. 2015, 35, 1–6. [Google Scholar] [CrossRef] [PubMed]
- Torrance, E.; Clarke, C.J.; Monga, P.; Funk, L.; Walton, M.J. Recurrence after Arthroscopic Labral Repair for Traumatic Anterior Instability in Adolescent Rugby and Contact Athletes. Am. J. Sports Med. 2018, 46, 2969–2974. [Google Scholar] [CrossRef]
- Cheng, T.T.; Edmonds, E.W.; Bastrom, T.P.; Pennock, A.T. Glenoid pathology, skeletal immaturity, and multiple preoperative instability events are risk factors for recurrent anterior shoulder instability after arthroscopic stabilization in adolescent athletes. Arthrosc. J. Arthrosc. Relat. Surg. 2021, 37, 1427–1433. [Google Scholar] [CrossRef] [PubMed]
- Hung, N.J.; Darevsky, D.M.; Pandya, N.K. Pediatric and adolescent shoulder instability: Does insurance status predict delays in care, outcomes, and complication rate? Orthop. J. Sports Med. 2020, 8, 2325967120959330. [Google Scholar] [CrossRef]
- Morsy, M.G.; Waly, A.H.T.; Galal, M.A.; Gawish, H.M. Glenoid labrum articular disruption in a six-year-old child: A case report. Trauma Case Rep. 2021, 35, 100527. [Google Scholar] [CrossRef]
- Rutgers, C.; Verweij, L.P.E.; Priester-Vink, S.; van Deurzen, D.F.P.; Maas, M.; van den Bekerom, M.P.J. Recurrence in traumatic anterior shoulder dislocations increases the prevalence of Hill-Sachs and Bankart lesions: A systematic review and meta-analysis. Knee Surg. Sports Traumatol. Arthrosc. 2022, 30, 2130–2140. [Google Scholar] [CrossRef] [PubMed]
- Nixon, M.F.; Keenan, O.; Funk, L. High recurrence of instability in adolescents playing contact sports after arthroscopic shoulder stabilization. J. Pediatr. Orthop. B 2015, 24, 173–177. [Google Scholar] [CrossRef]
- Godin, J.A.; Altintas, B.; Horan, M.P.; Hussain, Z.B.; Pogorzelski, J.; Fritz, E.M.; Millett, P.J. Midterm results of the bony Bankart bridge technique for the treatment of bony Bankart lesions. Am. J. Sports Med. 2019, 47, 158–164. [Google Scholar] [CrossRef]
- Kim, Y.-K.; Cho, S.-H.; Son, W.-S.; Moon, S.-H. Arthroscopic repair of small and medium-sized bony Bankart lesions. Am. J. Sports Med. 2014, 42, 86–94. [Google Scholar] [CrossRef]
- Sugaya, H.; Moriishi, J.; Kanisawa, I.; Tsuchiya, A. Arthroscopic osseous Bankart repair for chronic recurrent traumatic anterior glenohumeral instability. JBJS 2005, 87, 1752–1760. [Google Scholar]
- Ellis, H.B.; Seiter, M.; Wise, K.; Wilson, P. Glenoid bone loss in traumatic glenohumeral instability in the adolescent population. J. Pediatr. Orthop. 2017, 37, 30–35. [Google Scholar] [CrossRef] [PubMed]
- Shaha, J.S.; Cook, J.B.; Song, D.J.; Rowles, D.J.; Bottoni, C.R.; Shaha, S.H.; Tokish, J.M. Redefining “critical” bone loss in shoulder instability: Functional outcomes worsen with “subcritical” bone loss. Am. J. Sports Med. 2015, 43, 1719–1725. [Google Scholar] [CrossRef] [PubMed]
- Kinsella, S.D.; Chauvin, N.A.; Diaz, T.; Morey, J.M.; Wells, L. Traumatic shoulder dislocation among adolescents: Hill-Sachs lesion volume and recurrent instability. J. Pediatr. Orthop. 2015, 35, 455–461. [Google Scholar] [CrossRef] [PubMed]
- Lau, B.C.; Conway, D.; Curran, P.F.; Feeley, B.T.; Pandya, N.K. Bipolar bone loss in patients with anterior shoulder dislocation: A comparison of adolescents versus adult patients. Arthrosc. J. Arthrosc. Relat. Surg. 2017, 33, 1755–1761. [Google Scholar] [CrossRef]
- Bah, A.; Lateur, G.; Kouevidjin, B.; Bassinga, J.; Issa, M.; Jaafar, A.; Beaudouin, E. Chronic anterior shoulder instability with significant Hill–Sachs lesion: Arthroscopic Bankart with remplissage versus open Latarjet procedure. Orthop. Traumatol. Surg. Res. 2018, 104, 17–22. [Google Scholar] [CrossRef]
- Callegari, J.J.; McGarry, M.; Crook, L.; Adamson, N.A.; Fraipont, G.M.; Provencher, M.; Lee, T.Q.; Denard, P.J. The Addition of Remplissage to Free Bone Block Restores Translation and Stiffness Compared to Bone Block alone or Latarjet in a Bipolar Bone Loss Model. Arthrosc. J. Arthrosc. Relat. Surg. 2022, 38, 2609–2617. [Google Scholar] [CrossRef]
- Boileau, P.; O’Shea, K.; Vargas, P.; Pinedo, M.; Old, J.; Zumstein, M. Anatomical and functional results after arthroscopic Hill-Sachs remplissage. JBJS 2012, 94, 618–626. [Google Scholar] [CrossRef] [PubMed]
- Min, K.; Fedorka, C.; Solberg, M.J.; Shaha, S.H.; Higgins, L.D. The cost-effectiveness of the arthroscopic Bankart versus open Latarjet in the treatment of primary shoulder instability. J. Shoulder Elb. Surg. 2018, 27, S2–S9. [Google Scholar] [CrossRef] [PubMed]
- Khan, A.; Samba, A.; Pereira, B.; Canavese, F. Anterior dislocation of the shoulder in skeletally immature patients: Comparison between non-operative treatment versus open Latarjet’s procedure. Bone Jt. J. 2014, 96, 354–359. [Google Scholar] [CrossRef]
- Domos, P.; Chelli, M.; Lunini, E.; Ascione, F.; Bercik, M.J.; Neyton, L.; Godeneche, A.; Walch, G. Clinical and radiographic outcomes of the open Latarjet procedure in skeletally immature patients. J. Shoulder Elb. Surg. 2020, 29, 1206–1213. [Google Scholar] [CrossRef] [PubMed]
- Heyworth, B.E.; Wu, M.; Kramer, D.E.; Bae, D.S. The Latarjet Procedure for Anterior Shoulder Instability in Pediatric and Adolescent Athletes. Orthop. J. Sports Med. 2018, 6, 2325967118S2325900127. [Google Scholar]
- Rossi, L.A.; Tanoira, I.; Bruchmann, M.G.; Pasqualini, I.; Ranalletta, M. The Latarjet procedure in competitive athletes younger than 20 years old with a significant glenoid bone loss. Shoulder Elb. 2022, 14, 21–28. [Google Scholar] [CrossRef]
- Harris, J.D.; Gupta, A.K.; Mall, N.A.; Abrams, G.D.; McCormick, F.M.; Cole, B.J.; Bach, B.R., Jr.; Romeo, A.A.; Verma, N.N. Long-term outcomes after Bankart shoulder stabilization. Arthrosc. J. Arthrosc. Relat. Surg. 2013, 29, 920–933. [Google Scholar] [CrossRef] [PubMed]
- Menon, A.; Fossati, C.; Magnani, M.; Boveri, S.; Compagnoni, R.; Randelli, P.S. Low grade of osteoarthritis development after Latarjet procedure with a minimum 5 years of follow-up: A systematic review and pooled analysis. Knee Surg. Sports Traumatol. Arthrosc. 2021, 30, 2074–2083. [Google Scholar] [CrossRef]
- Verweij, L.P.; Pruijssen, E.C.; Kerkhoffs, G.M.; Blankevoort, L.; Sierevelt, I.N.; van Deurzen, D.F.; van den Bekerom, M.P. Treatment type may influence degree of post-dislocation shoulder osteoarthritis: A systematic review and meta-analysis. Knee Surg. Sports Traumatol. Arthrosc. 2021, 29, 2312–2324. [Google Scholar] [CrossRef] [PubMed]
- Bouliane, M.; Saliken, D.; Beaupre, L.; Silveira, A.; Saraswat, M.; Sheps, D. Evaluation of the Instability Severity Index Score and the Western Ontario Shoulder Instability Index as predictors of failure following arthroscopic Bankart repair. Bone Jt. J. 2014, 96, 1688–1692. [Google Scholar] [CrossRef]
- Di Giacomo, G.; Peebles, L.A.; Pugliese, M.; Dekker, T.J.; Golijanin, P.; Sanchez, A.; Provencher, M.T. Glenoid track instability management score: Radiographic modification of the instability severity index score. Arthrosc. J. Arthrosc. Relat. Surg. 2020, 36, 56–67. [Google Scholar] [CrossRef]
- Griesser, M.J.; Harris, J.D.; McCoy, B.W.; Hussain, W.M.; Jones, M.H.; Bishop, J.Y.; Miniaci, A. Complications and re-operations after Bristow-Latarjet shoulder stabilization: A systematic review. J. Shoulder Elb. Surg. 2013, 22, 286–292. [Google Scholar] [CrossRef]
- Moroder, P.; Schulz, E.; Wierer, G.; Auffarth, A.; Habermeyer, P.; Resch, H.; Tauber, M. Latarjet Procedure Versus Iliac-Crest Bone Graft Transfer for Treatment of Anterior Shoulder Instability with Glenoid Bone Loss: A Prospective Randomized Trial. J. Shoulder Elb. Surg. 2019, 28, e280. [Google Scholar] [CrossRef]
- Kwapisz, A.; Fitzpatrick, K.; Cook, J.B.; Athwal, G.S.; Tokish, J.M. Distal clavicular osteochondral autograft augmentation for glenoid bone loss: A comparison of radius of restoration versus Latarjet graft. Am. J. Sports Med. 2018, 46, 1046–1052. [Google Scholar] [CrossRef]
- Provencher, M.T.; Peebles, L.A.; Aman, Z.S.; Bernhardson, A.S.; Murphy, C.P.; Sanchez, A.; Dekker, T.J.; LaPrade, R.F.; Di Giacomo, G. Management of the failed Latarjet procedure: Outcomes of revision surgery with fresh distal tibial allograft. Am. J. Sports Med. 2019, 47, 2795–2802. [Google Scholar] [CrossRef]
- Frank, R.M.; Romeo, A.A.; Richardson, C.; Sumner, S.; Verma, N.N.; Cole, B.J.; Nicholson, G.P.; Provencher, M.T. Outcomes of Latarjet versus distal tibia allograft for anterior shoulder instability repair: A matched cohort analysis. Am. J. Sports Med. 2018, 46, 1030–1038. [Google Scholar] [CrossRef]
- Bonazza, N.A.; Riboh, J.C. Management of Recurrent Anterior Shoulder Instability after Surgical Stabilization in Children and Adolescents. Curr. Rev. Musculoskelet. Med. 2020, 13, 164–172. [Google Scholar] [CrossRef]
- Kuroda, S.; Sumiyoshi, T.; Moriishi, J.; Maruta, K.; Ishige, N. The natural course of atraumatic shoulder instability. J. Shoulder Elb. Surg. 2001, 10, 100–104. [Google Scholar] [CrossRef]
- Misamore, G.W.; Sallay, P.I.; Didelot, W. A longitudinal study of patients with multidirectional instability of the shoulder with seven- to ten-year follow-up. J. Shoulder Elb. Surg. 2005, 14, 466–470. [Google Scholar] [CrossRef]
- Kłaptocz, P.; Solecki, W.; Grzegorzewski, A.; Błasiak, A.; Brzóska, R. Effectiveness of conservative treatment of multidirectional instability of the shoulder joint. Literature review and meta-analysis. Pol. Prz. Chir. 2021, 94, 6–11. [Google Scholar] [CrossRef]
- Watson, L.; Balster, S.; Lenssen, R.; Hoy, G.; Pizzari, T. The effects of a conservative rehabilitation program for multidirectional instability of the shoulder. J. Shoulder Elb. Surg. 2018, 27, 104–111. [Google Scholar] [CrossRef]
- Chu, J.C.; Kane, E.J.; Arnold, B.L.; Gansneder, B.M. The effect of a neoprene shoulder stabilizer on active joint-reposition sense in subjects with stable and unstable shoulders. J. Athl. Train. 2002, 37, 141. [Google Scholar]
- Williams, S.; Whatman, C.; Hume, P.A.; Sheerin, K. Kinesio taping in treatment and prevention of sports injuries: A meta-analysis of the evidence for its effectiveness. Sports Med. 2012, 42, 153–164. [Google Scholar] [CrossRef]
- Ide, J.; Maeda, S.; Yamaga, M.; Morisawa, K.; Takagi, K. Shoulder-strengthening exercise with an orthosis for multidirectional shoulder instability: Quantitative evaluation of rotational shoulder strength before and after the exercise program. J. Shoulder Elb. Surg. 2003, 12, 342–345. [Google Scholar] [CrossRef]
- Barrett, C. The clinical physiotherapy assessment of non-traumatic shoulder instability. Shoulder Elb. 2015, 7, 60–71. [Google Scholar] [CrossRef] [PubMed]
- Koyuncu, E.; Nakipoğlu-Yüzer, G.F.; Doğan, A.; Özgirgin, N. The effectiveness of functional electrical stimulation for the treatment of shoulder subluxation and shoulder pain in hemiplegic patients: A randomized controlled trial. Disabil. Rehabil. 2010, 32, 560–566. [Google Scholar] [CrossRef] [PubMed]
- Kiss, J.; Damrel, D.; Mackie, A.; Neumann, L.; Wallace, W. Non-operative treatment of multidirectional shoulder instability. Int. Orthop. 2001, 24, 354–357. [Google Scholar] [CrossRef]
- Vavken, P.; Tepolt, F.A.; Kocher, M.S. Open inferior capsular shift for multidirectional shoulder instability in adolescents with generalized ligamentous hyperlaxity or Ehlers-Danlos syndrome. J. Shoulder Elb. Surg. 2016, 25, 907–912. [Google Scholar] [CrossRef] [PubMed]
- Rolfes, K. Arthroscopic treatment of shoulder instability: A systematic review of capsular plication versus thermal capsulorrhaphy. J. Athl. Train. 2015, 50, 105–109. [Google Scholar] [CrossRef]
- Witney-Lagen, C.; Hassan, A.; Doodson, A.; Venkateswaran, B. Arthroscopic plication for multidirectional instability: 50 patients with a minimum of 2 years of follow-up. J Shoulder Elb. Surg 2017, 26, e29–e36. [Google Scholar] [CrossRef]
- Arenas-Miquelez, A.; Karargyris, O.; Zumstein, M. All-Arthroscopic, 270° Reconstruction of the Inferior Glenohumeral Ligament With Palmaris Longus Autograft. Arthrosc. Tech. 2019, 8, e1145–e1151. [Google Scholar] [CrossRef]
- Bouaicha, S.; Moor, B.K. Arthroscopic autograft reconstruction of the inferior glenohumeral ligament: Exploration of technical feasibility in cadaveric shoulder specimens. Int. J. Shoulder Surg. 2013, 7, 32. [Google Scholar] [CrossRef]
- De Carli, A.; Vadalà, A.P.; Fedeli, G.; Scrivano, M.; Gaj, E.; Ferretti, A. Anterior Capsulolabral Reconstruction with Semitendinosus Autograft after Latarjet Failure: A Case Report. J. Orthop. Case Rep. 2021, 11, 1. [Google Scholar] [CrossRef]
- Braun, S.; Horan, M.; Millett, P. Open reconstruction of the anterior glenohumeral capsulolabral structures with tendon allograft in chronic shoulder instability. Oper. Orthopädie Traumatol. 2011, 23, 29–36. [Google Scholar] [CrossRef]
- Nixon, M.F.; Stevenson, A. Paediatric shoulder instability. In Textbook of Shoulder Surgery; Springer: Berlin/Heidelberg, Germany, 2019; pp. 493–511. [Google Scholar]
- Rowe, C.R.; Pierce, D.S.; Clark, J.G. Voluntary dislocation of the shoulder: A preliminary report on a clinical, electromyographic, and psychiatric study of twenty-six patients. JBJS 1973, 55, 445–460. [Google Scholar] [CrossRef]
- Hawkins, R.; Koppert, G.; Johnston, G. Recurrent posterior instability (subluxation) of the shoulder. J. Bone Jt. Surg. Am. Vol. 1984, 66, 169–174. [Google Scholar] [CrossRef]



| Author | Population | Time Period | Location | Age Group | Rate of Primary Dislocation (Per 100,000 Person-Years) | Rate of Repeat Dislocation | Time to Repeat Dislocation |
|---|---|---|---|---|---|---|---|
| Leroux et al. [5] | Patients 10 to 16 who had a primary anterior dislocation requiring reduction. | 2002 to 2010 | Toronto, Canada | 10 | 1.85 | 0% | Median time to repeat dislocation 0.8 years. 99% of repeat dislocation occurred within 5.3 years. Minimum of 2 year follow-up |
| 11 | 2.05 | 15% | |||||
| 12 | 4.38 | 22% | |||||
| 13 | 9.61 | 25% | |||||
| 14 | 17.4 | 37.2% | |||||
| 15 | 32.72 | 40.8% | |||||
| 16 | 96.95 | 42.3% | |||||
| Yapp et al. [35] | All patients 14 and under who sustained a shoulder dislocation requiring reduction. | 2008 to 2019 | Ontario, Canada | 0 to 14 yoa | 2.5 | 43% (n = 41) Higher in those with closed physis (12/17) as opposed to open: (6/24) | Median of 14.7 months |
| Longo et al. [37] | All patients 14 and under who were hospitalised due to shoulder dislocation | 2001 to 2014 | Italy | 0 to 14 | 0.3 | NRC | N/A |
| Zacchilli et al. [36] | All emergency department shoulder dislocation presentations | 2002 to 2006 | USA | 0 to 9 | 0.92 | NRC | N/A |
| 10 to 19 | 39.71 | NRC |
| Subject | Difference |
|---|---|
| Stanmore types | More polar type II/III and combined types than seen in adults |
| Ligamentous laxity | More of a contributor than in adults |
| Presence of GLAD/ALPSA/HAGL | No evidence of difference in incidence compared to adults |
| Glenoid bone loss | May be less predictive of failure with Bankart repair surgery than in adults |
| Hill-Sachs lesions | Greater likelihood of off-track Hill-Sachs lesions than in adults |
| Non-operative management | More likely to fail if structural injuries are present on MRI. If structural injuries are present, the risk of failure increases with decreasing age. |
| Arthroscopic Bankart repair | Higher risk of post-operative recurrence than adults |
| Bankart + remplissage | Should perhaps be utilized more due to higher risk of post-operative recurrence |
| Latarjet procedure | Equally effective vs. adults. However with smaller coracoids, the risk of coracoid fracture is higher and the risk of late osteoarthritis if the graft is overhanging can be devastating in younger patients |
| Multidirectional instability | More common than in adults |
| Capsulorraphy for MDI | Similar role in younger age group vs. adults. Reserved as a last resort. |
| Functional shoulder instability (FSI) | Possibly more common than in adults. |
Disclaimer/Publisher’s Note: The statements, opinions and data contained in all publications are solely those of the individual author(s) and contributor(s) and not of MDPI and/or the editor(s). MDPI and/or the editor(s) disclaim responsibility for any injury to people or property resulting from any ideas, methods, instructions or products referred to in the content. |
© 2024 by the authors. Licensee MDPI, Basel, Switzerland. This article is an open access article distributed under the terms and conditions of the Creative Commons Attribution (CC BY) license (https://creativecommons.org/licenses/by/4.0/).
Share and Cite
Rawal, A.; Eckers, F.; Lee, O.S.H.; Hochreiter, B.; Wang, K.K.; Ek, E.T. Current Evidence Regarding Shoulder Instability in the Paediatric and Adolescent Population. J. Clin. Med. 2024, 13, 724. https://doi.org/10.3390/jcm13030724
Rawal A, Eckers F, Lee OSH, Hochreiter B, Wang KK, Ek ET. Current Evidence Regarding Shoulder Instability in the Paediatric and Adolescent Population. Journal of Clinical Medicine. 2024; 13(3):724. https://doi.org/10.3390/jcm13030724
Chicago/Turabian StyleRawal, Aziz, Franziska Eckers, Olivia S. H. Lee, Bettina Hochreiter, Kemble K. Wang, and Eugene T. Ek. 2024. "Current Evidence Regarding Shoulder Instability in the Paediatric and Adolescent Population" Journal of Clinical Medicine 13, no. 3: 724. https://doi.org/10.3390/jcm13030724
APA StyleRawal, A., Eckers, F., Lee, O. S. H., Hochreiter, B., Wang, K. K., & Ek, E. T. (2024). Current Evidence Regarding Shoulder Instability in the Paediatric and Adolescent Population. Journal of Clinical Medicine, 13(3), 724. https://doi.org/10.3390/jcm13030724

