Distribution and Clinicopathological Features of Mott Cells (Plasma Cells Containing Russell Bodies) in Gastric Cancer: Presence of Mott Cells Is Associated with Favorable Prognosis
Abstract
1. Introduction
2. Materials and Methods
2.1. Tissue Samples
2.2. Study Design
2.3. Immunohistochemical Analysis
2.4. Statistical Analysis
3. Results
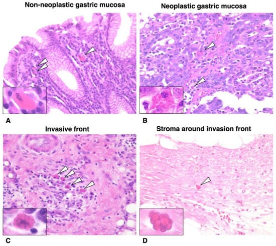
3.1. Distribution of Eosinophils, Neutrophils, Lymphocytes, and Plasma Cells per Counted Area in Gastric Cancer
3.2. Distribution of Mott Cells per Counted Area in Gastric Cancer
3.3. Relationship between Presence of Mott Cells in Neoplastic Gastric Mucosa and Clinicopathological Characteristics
3.4. Association between Presence of Mott Cells in Neoplastic Gastric Mucosa and Survival of 178 Patients with GC
4. Discussion
5. Conclusions
Supplementary Materials
Author Contributions
Funding
Institutional Review Board Statement
Informed Consent Statement
Data Availability Statement
Acknowledgments
Conflicts of Interest
References
- Sung, H.; Ferlay, J.; Siegel, R.L.; Laversanne, M.; Soerjomataram, I.; Jemal, A.; Bray, F. Global Cancer Statistics 2020: GLOBOCAN Estimates of Incidence and Mortality Worldwide for 36 Cancers in 185 Countries. CA Cancer J. Clin. 2021, 71, 209–249. [Google Scholar] [CrossRef] [PubMed]
- von Loga, K.; Woolston, A.; Punta, M.; Barber, L.J.; Griffiths, B.; Semiannikova, M.; Spain, G.; Challoner, B.; Fenwick, K.; Simon, R.; et al. Extreme intratumour heterogeneity and driver evolution in mismatch repair deficient gastro-oesophageal cancer. Nat. Commun. 2020, 11, 139. [Google Scholar] [CrossRef]
- Röcken, C.; Amallraja, A.; Halske, C.; Opasic, L.; Traulsen, A.; Behrens, H.M.; Krüger, S.; Liu, A.; Haag, J.; Egberts, J.H.; et al. Multiscale heterogeneity in gastric adenocarcinoma evolution is an obstacle to precision medicine. Genome Med. 2021, 13, 177. [Google Scholar] [CrossRef] [PubMed]
- Oya, Y.; Hayakawa, Y.; Koike, K. Tumor microenvironment in gastric cancers. Cancer Sci. 2020, 111, 2696–2707. [Google Scholar] [CrossRef] [PubMed]
- Wroblewski, L.E.; Peek, R.M.; Wilson, K.T. Helicobacter pylori and gastric cancer: Factors that modulate disease risk. Clin. Microbiol. Rev. 2010, 23, 713–739. [Google Scholar] [CrossRef]
- Rihawi, K.; Ricci, A.D.; Rizzo, A.; Brocchi, S.; Marasco, G.; Pastore, L.V.; Llimpe, F.L.R.; Golfieri, R.; Renzulli, M. Tumor-associated macrophages and inflammatory microenvironment in gastric cancer: Novel translational implications. Int. J. Mol. Sci. 2021, 22, 3805. [Google Scholar] [CrossRef]
- Sentani, K.; Imai, T.; Kobayashi, G.; Hayashi, T.; Sasaki, N.; Oue, N.; Yasui, W. Histological diversity and molecular characteristics in gastric cancer: Relation of cancer stem cell-related molecules and receptor tyrosine kinase molecules to mixed histological type and more histological patterns. Gastric Cancer 2021, 24, 368–381. [Google Scholar] [CrossRef]
- Shinozaki, A.; Ushiku, T.; Fukayama, M. Prominent Mott cell proliferation in Epstein-Barr virus-associated gastric carcinoma. Hum. Pathol. 2010, 41, 134–138. [Google Scholar] [CrossRef]
- Wolf, E.M.; Mrak, K.; Tschmelitsch, J.; Langner, C. Signet ring cell cancer in a patient with Russell body gastritis--a possible diagnostic pitfall. Histopathology 2011, 58, 1178–1180. [Google Scholar] [CrossRef]
- Wang, M.; Liang, L.; Lei, X.; Multani, A.; Meric-Bernstam, F.; Tripathy, D.; Wu, Y.; Chen, H.; Zhang, H. Evaluation of cMET aberration by immunohistochemistry and fluorescence in situ hybridization (FISH) in triple negative breast cancers. Ann. Diagn. Pathol. 2018, 35, 69–76. [Google Scholar] [CrossRef]
- Iwasaki, K.; Torisu, M.; Fujimura, T. Malignant tumor and eosinophils. I. Prognostic significance in gastric cancer. Cancer 1986, 58, 1321–1327. [Google Scholar] [CrossRef] [PubMed]
- Fernández-Aceñero, M.J.; Galindo-Gallego, M.; Sanz, J.; Aljama, A. Prognostic influence of tumor-associated eosinophilic infiltrate in colorectal carcinoma. Cancer 2000, 88, 1544–1548. [Google Scholar] [CrossRef]
- Poncin, A.; Onesti, C.E.; Josse, C.; Boulet, D.; Thiry, J.; Bours, V.; Jerusalem, G. Immunity and breast cancer: Focus on eosinophils. Biomedicines 2021, 9, 1087. [Google Scholar] [CrossRef] [PubMed]
- Yang, X.; Wang, L.; Du, H.; Lin, B.; Yi, J.; Wen, X.; Geng, L.; Du, X. Prognostic impact of eosinophils in peripheral blood and tumor site in patients with esophageal squamous cell carcinoma treated with concurrent chemoradiotherapy. Medicine 2021, 100, e24328. [Google Scholar] [CrossRef] [PubMed]
- Grogg, K.L.; Lohse, C.M.; Pankratz, V.S.; Halling, K.C.; Smyrk, T.C. Lymphocyte-rich gastric cancer: Associations with Epstein-Barr virus, microsatellite instability, histology, and survival. Mod. Pathol. 2003, 16, 641–651. [Google Scholar] [CrossRef] [PubMed]
- Lee, J.S.; Won, H.S.; Sun, S.; Hong, J.H.; Ko, Y.H. Prognostic role of tumor-infiltrating lymphocytes in gastric cancer: A systematic review and meta-analysis. Medicine 2018, 97, e11769. [Google Scholar] [CrossRef] [PubMed]
- Ni, Z.; Xing, D.; Zhang, T.; Ding, N.; Xiang, D.; Zhao, Z.; Qu, J.; Hu, C.; Shen, X.; Xue, X.; et al. Tumor-infiltrating B cell is associated with the control of progression of gastric cancer. Immunol. Res. 2021, 69, 43–52. [Google Scholar] [CrossRef]
- Lohr, M.; Edlund, K.; Botling, J.; Hammad, S.; Hellwig, B.; Othman, A.; Berglund, A.; Lambe, M.; Holmberg, L.; Ekman, S.; et al. The prognostic relevance of tumour-infiltrating plasma cells and immunoglobulin kappa C indicates an important role of the humoral immune response in non-small cell lung cancer. Cancer Lett. 2013, 333, 222–228. [Google Scholar] [CrossRef]
- Berntsson, J.; Nodin, B.; Eberhard, J.; Micke, P.; Jirström, K. Prognostic impact of tumour-infiltrating B cells and plasma cells in colorectal cancer. Int. J. Cancer 2016, 139, 1129–1139. [Google Scholar] [CrossRef]
- Fristedt, R.; Borg, D.; Hedner, C.; Berntsson, J.; Nodin, B.; Eberhard, J.; Micke, P.; Jirström, K. Prognostic impact of tumour-associated B cells and plasma cells in oesophageal and gastric adenocarcinoma. J. Gastrointest. Oncol. 2016, 7, 848–859. [Google Scholar] [CrossRef]
- Russell, W. An address on a characteristic organism of cancer. Br. Med. J. 1890, 2, 1356–1360. [Google Scholar] [CrossRef] [PubMed]
- Paik, S.; Kim, S.H.; Kim, J.H.; Yang, W.I.; Lee, Y.C. Russell body gastritis associated with Helicobacter pylori infection: A case report. J. Clin. Pathol. 2006, 59, 1316–1319. [Google Scholar] [CrossRef]
- Reinhard, H.; Karamchandani, D.M. Russell bodies and Russell body inflammatory polyp in the Colorectum: A review of clinicopathologic features. Biomed. Res. Int. 2018, 2018, 2845291. [Google Scholar] [CrossRef] [PubMed]
- Al-Rawaf, S.; Alowami, S.; Riddell, R.; Naqvi, A. Russell body typhlitis: A case report and literature review. Int. J. Surg. Pathol. 2021, 29, 877–881. [Google Scholar] [CrossRef] [PubMed]
- Tazawa, K.; Tsutsumi, Y. Localized accumulation of Russell body-containing plasma cells in gastric mucosa with Helicobacter pylori infection: ‘Russell body gastritis’. Pathol. Int. 1998, 48, 242–244. [Google Scholar] [CrossRef]
- Yorita, K.; Iwasaki, T.; Uchita, K.; Kuroda, N.; Kojima, K.; Iwamura, S.; Tsutsumi, Y.; Ohno, A.; Kataoka, H. Russell body gastritis with Dutcher bodies evaluated using magnification endoscopy. World J. Gastrointest. Endosc. 2017, 9, 417–424. [Google Scholar] [CrossRef] [PubMed]
- Altindag, S.D.; Cakir, E.; Ekinci, N.; Avci, A.; Dilek, F.H. Analysis of clinical and histopathological findings in Russell body gastritis and duodenitis. Ann. Diagn. Pathol. 2019, 40, 66–71. [Google Scholar] [CrossRef]
- Johansen, A.; Sikjär, B. The diagnostic significance of Russell bodies in endoscopic gastric biopsies. Acta Pathol. Microbiol. Scand. A 1977, 85, 245–250. [Google Scholar] [CrossRef]
- Takahashi, Y.; Shimizu, S.; Uraushihara, K.; Fukusato, T. Russell body duodenitis in a patient with retroperitoneal metastasis of ureteral cancer. World J. Gastroenterol. 2013, 19, 125–128. [Google Scholar] [CrossRef]
- Bhaijee, F.; Brown, K.A.; Long, B.W.; Brown, A.S. Russell body gastroenteritis: An aberrant manifestation of chronic inflammation in gastrointestinal mucosa. Case Rep. Med. 2013, 2013, 797264. [Google Scholar] [CrossRef]
- Kai, K.; Miyahara, M.; Tokuda, Y.; Kido, S.; Masuda, M.; Takase, Y.; Tokunaga, O. A case of mucosa-associated lymphoid tissue lymphoma of the gastrointestinal tract showing extensive plasma cell differentiation with prominent Russell bodies. World J. Clin. Cases 2013, 1, 176–180. [Google Scholar] [CrossRef] [PubMed]
- Cotter, P.F. Are peripheral Mott cells an indication of stress or inefficient immunity? Poult. Sci. 2015, 94, 1433–1438. [Google Scholar] [CrossRef]
- Liu, K.; Yang, K.; Wu, B.; Chen, H.; Chen, X.; Jiang, L.; Ye, F.; He, D.; Lu, Z.; Xue, L.; et al. Tumor-Infiltrating Immune Cells Are Associated With Prognosis of Gastric Cancer. Medicine 2015, 94, e1631. [Google Scholar] [CrossRef] [PubMed]
- Kemi, N.; Hiltunen, N.; Väyrynen, J.P.; Pohjanen, V.M.; Helminen, O.; Junttila, A.; Mrena, J.; Böhm, J.; Huhta, H.; Leppänen, J.; et al. Immune Cell Infiltrate and Prognosis in Gastric Cancer. Cancers 2020, 12, 3604. [Google Scholar] [CrossRef] [PubMed]
- Maeda, S.; Ogura, K.; Yoshida, H.; Kanai, F.; Ikenoue, T.; Kato, N.; Shiratori, Y.; Omata, M. Major virulence factors, VacA and CagA, are commonly positive in Helicobacter pylori isolates in Japan. Gut 1998, 42, 338–343. [Google Scholar] [CrossRef]
- Ferreira Júnior, M.; Batista, S.A.; Vidigal, P.V.; Cordeiro, A.A.; Oliveira, F.M.; Prata, L.O.; Diniz, A.E.; Barral, C.M.; Barbuto, R.C.; Gomes, A.D.; et al. Infection with CagA-positive Helicobacter pylori strain containing three EPIYA C phosphorylation sites is associated with more severe gastric lesions in experimentally infected Mongolian gerbils (Meriones unguiculatus). Eur. J. Histochem. 2015, 59, 2489. [Google Scholar] [CrossRef][Green Version]
- Nejati, S.; Karkhah, A.; Darvish, H.; Validi, M.; Ebrahimpour, S.; Nouri, H.R. Influence of Helicobacter pylori virulence factors CagA and VacA on pathogenesis of gastrointestinal disorders. Microb. Pathog. 2018, 117, 43–48. [Google Scholar] [CrossRef]




| Number of Mott Cells/HPF | ||||||
|---|---|---|---|---|---|---|
| Non-Presence | Presence | |||||
| Low | High | |||||
| 0 | 1 | 2–5 | 6–10 | 11– | ||
| Gastric mucosa | ||||||
| Non-neoplastic (n = 554) | 351 (63) | 203 (37) | ||||
| 130 (23.6) | 66 (12) | 5 (1) | 2 (0.4) | |||
| Neoplastic (n = 670) | 517 (77) | 153 (23) | ||||
| 122 (18) | 30(4.8) | 0 (0) | 1 (0.2) | |||
| Invasive front | ||||||
| Neoplastic area (n = 518) | 500 (96.5) | 18 (3.5) | ||||
| 14 (2.7) | 4 (0.8) | 0 (0) | 0 (0) | |||
| Non-neoplastic stroma (n = 517) | 515 (99.6) | 2 (0.4) | ||||
| 1 (0.2) | 1 (0.2) | 0 (0) | 0 (0) | |||
| Mott Cell | p Value | |||
|---|---|---|---|---|
| Presence n = 153 | Non-Presence n = 517 | |||
| Age | ||||
| <65 (n = 326) ≥65 (n = 344) | 75 (23%) 78 (22%) | 251 266 | 0.9186 | |
| Sex | ||||
| Male (n = 420) Female (n = 250) | 88 (20%) 65 (26%) | 332 185 | 0.1345 | |
| Histologic classification | ||||
| Differentiated (n = 361) Un-differentiated (n = 309) | 75 (21%) 78 (25%) | 286 231 | 0.1702 | |
| T classification | ||||
| T1 (n = 314) T2/T3/T4 (n = 356) | 89 (28%) 64 (18%) | 225 292 | 0.0014 | |
| N classification | ||||
| N0 (n = 385) N1/N2/N3 (n = 285) | 99 (26%) 54 (19%) | 286 231 | 0.0378 | |
| Stage | ||||
| I (n = 380) II/III/IV (n = 290) | 103 (27%) 50 (17%) | 277 240 | 0.0023 | |
| H. pylori | ||||
| Negative (n = 566) Positive (n = 104; 15%) | 108 (19%) 45 (43%) | 458 59 | <0.0001 | |
| Mott Cell | p Value | |||
|---|---|---|---|---|
| Presence n = 25 | Non-Presence n = 91 | |||
| PD-L1 | Negative (n = 98) Positive (n = 18) | 21 (79%) 4 (22%) | 77 14 | 1.0000 |
| MLH1 | Negative (n = 26) Positive (n = 90) | 4 (15%) 21 (23%) | 22 69 | 0.5884 |
| MSH2 | Negative (n = 5) Positive (n = 111) | 2 (40%) 23 (21%) | 3 88 | 0.2935 |
| HER2 | Negative (n = 88) Positive (n = 28) | 18 (21%) 7 (25%) | 70 21 | 0.6058 |
| EGFR | Negative (n = 87) Positive (n = 29) | 23 (26%) 2 (22%) | 64 27 | 0.0352 |
| c-MET | Negative (n = 96) Positive (n = 20) | 23 (24%) 2 (10%) | 73 18 | 0.2361 |
| CD44 | Negative (n = 62) Positive (n = 54) | 18 (29%) 7 (13%) | 44 47 | 0.0429 |
| ALDH1 | Negative (n = 55) Positive (n = 71) | 12 (27%) 13 (18%) | 33 58 | 0.3553 |
| CD133 | Negative (n = 96) Positive (n = 20) | 24 (25%) 1 (5%) | 72 19 | 0.0698 |
| p53 | Negative (n = 71) Positive (n = 45) | 17 (24%) 8 (18%) | 54 37 | 0.4313 |
| Characteristic | Univariate Analysis | Multivariate Analysis | ||
|---|---|---|---|---|
| HR (95%CI) | p Value | HR (95%CI) | p Value | |
| Age | ||||
| <65 | 1 (Ref.) | |||
| ≧65 | 0.94 (0.51–1.73) | 0.9446 | ||
| Sex | ||||
| Male | 1 (Ref.) | |||
| Female | 1.01 (0.51–1.91) | 0.9632 | ||
| Histological classification | ||||
| Differentiated | 1 (Ref.) | |||
| Un-differentiated | 1.34 (0.73–2.63) | 0.3275 | ||
| Stage | ||||
| I | 1 (Ref.) | 1 (Ref.) | <0.0001 | |
| II/III/IV | 1.06 (0.57–2.08) | 0.8400 | 20.78 (6.42–67.24) | |
| Mott cell | ||||
| Non-presence | 1 (Ref.) | 1 (Ref.) | ||
| Presence | 0.26 (0.06–0.74) | 0.0082 | 0.34 (0.12–0.96) | 0.0423 |
Disclaimer/Publisher’s Note: The statements, opinions and data contained in all publications are solely those of the individual author(s) and contributor(s) and not of MDPI and/or the editor(s). MDPI and/or the editor(s) disclaim responsibility for any injury to people or property resulting from any ideas, methods, instructions or products referred to in the content. |
© 2024 by the authors. Licensee MDPI, Basel, Switzerland. This article is an open access article distributed under the terms and conditions of the Creative Commons Attribution (CC BY) license (https://creativecommons.org/licenses/by/4.0/).
Share and Cite
Kobayashi, G.; Imai, T.; Sentani, K. Distribution and Clinicopathological Features of Mott Cells (Plasma Cells Containing Russell Bodies) in Gastric Cancer: Presence of Mott Cells Is Associated with Favorable Prognosis. J. Clin. Med. 2024, 13, 658. https://doi.org/10.3390/jcm13030658
Kobayashi G, Imai T, Sentani K. Distribution and Clinicopathological Features of Mott Cells (Plasma Cells Containing Russell Bodies) in Gastric Cancer: Presence of Mott Cells Is Associated with Favorable Prognosis. Journal of Clinical Medicine. 2024; 13(3):658. https://doi.org/10.3390/jcm13030658
Chicago/Turabian StyleKobayashi, Go, Takeharu Imai, and Kazuhiro Sentani. 2024. "Distribution and Clinicopathological Features of Mott Cells (Plasma Cells Containing Russell Bodies) in Gastric Cancer: Presence of Mott Cells Is Associated with Favorable Prognosis" Journal of Clinical Medicine 13, no. 3: 658. https://doi.org/10.3390/jcm13030658
APA StyleKobayashi, G., Imai, T., & Sentani, K. (2024). Distribution and Clinicopathological Features of Mott Cells (Plasma Cells Containing Russell Bodies) in Gastric Cancer: Presence of Mott Cells Is Associated with Favorable Prognosis. Journal of Clinical Medicine, 13(3), 658. https://doi.org/10.3390/jcm13030658

