Successful Treatment of Unilateral Pulmonary Edema as Minimally Invasive Mitral Valve Surgery Complication—Case Presentation
Abstract
1. Introduction
2. Case Report
2.1. Patient Information
2.2. Preoperative Findings
2.3. Intraoperative Data
2.4. Postoperative Evolution
3. Conclusions
Author Contributions
Funding
Institutional Review Board Statement
Informed Consent Statement
Data Availability Statement
Conflicts of Interest
References
- Moss, E.; Halkos, M.E.; Binongo, J.N.; Murphy, D.A. Prevention of Unilateral Pulmonary Edema Complicating Robotic Mitral Valve Operations. Ann. Thorac. Surg. 2017, 103, 98–104. [Google Scholar] [CrossRef] [PubMed]
- Yamashiro, S.; Arakaki, R.; Kise, Y.; Kuniyoshi, Y. Prevention of Pulmonary Edema after Minimally Invasive Cardiac Surgery with Mini-Thoracotomy Using Neutrophil Elastase Inhibitor. Ann. Thorac. Cardiovasc. Surg. 2018, 24, 32–39. [Google Scholar] [CrossRef] [PubMed]
- Jung, E.Y.; Kang, H.J.; Min, H.-K. Unilateral Pulmonary Edema after Minimally Invasive Cardiac Surgery: A Case Report. J. Chest Surg. 2022, 55, 98–100. [Google Scholar] [CrossRef] [PubMed]
- Irisawa, Y.; Hiraoka, A.; Totsugawa, T.; Chikazawa, G.; Nakajima, K.; Tamura, K.; Yoshitaka, H.; Sakaguchi, T. Re-Expansion Pulmonary Oedema after Minimally Invasive Cardiac Surgery with Right Mini-Thoracotomy. Eur. J. Cardio-Thorac. Surg. 2016, 49, 500–505. [Google Scholar] [CrossRef] [PubMed]
- Mostafa, K.; Wolf, C.; Seehafer, S.; Horr, A.; Pommert, N.; Haneya, A.; Lutter, G.; Pühler, T.; Both, M.; Jansen, O.; et al. Redefining Unilateral Pulmonary Edema after Mitral Valve Surgery on Chest X-Ray Imaging Using the RALE Scoring System. J. Clin. Med. 2023, 12, 6043. [Google Scholar] [CrossRef]
- Renner, J.; Lorenzen, U.; Borzikowsky, C.; Schoeneich, F.; Cremer, J.; Haneya, A.; Hensler, J.; Panholzer, B.; Huenges, K.; Broch, O. Unilateral Pulmonary Oedema after Minimally Invasive Mitral Valve Surgery: A Single-Centre Experience. Eur. J. Cardio-Thorac. Surg. 2018, 53, 764–770. [Google Scholar] [CrossRef]
- Lizwan, M.; Di Lee, W.; Chong, J.J.; Chua, K.C. Severe Re-Expansion Pulmonary Edema after Minimally Invasive Mitral Valve Surgery: A Case Report and Review of the Literature. JTCVS Tech. 2023, 21, 78–82. [Google Scholar] [CrossRef]
- Falk, V.; Cheng, D.C.H.; Martin, J.; Diegeler, A.; Folliguet, T.A.; Nifong, L.W.; Perier, P.; Raanani, E.; Smith, J.M.; Seeburger, J. Minimally invasive versus open mitral valve surgery: A consensus statement of the international society of minimally invasive coronary surgery (ISMICS) 2010. Innovations 2011, 2, 66–76. [Google Scholar] [CrossRef]
- Tang, P.; Onaitis, M.; Gaca, J.G.; Milano, C.A.; Stafford-Smith, M.; Glower, D. Right minithoracotomy versus median sternotomy for mitral valve surgery: A propensity matched study. Ann. Thorac. Surg. 2015, 100, 575–581. [Google Scholar] [CrossRef]
- Eqbal, A.J.; Gupta, S.; Basha, A.; Qiu, Y.; Wu, N.; Rega, F.; Chu, F.V.; Belley-Cote, E.P.; Whitlock, R.P. Minimally Invasive Mitral Valve Surgery versus Conventional Sternotomy Mitral Valve Surgery: A Systematic Review and Meta-Analysis of 119 Studies. J. Card. Surg. 2022, 37, 1319–1327. [Google Scholar] [CrossRef]
- Shirke, M.M.; Ravikumar, N.; Shawn, T.J.X.; Mutsonziwa, N.; Soh, V.; Harky, A. Mitral valve surgery via repeat median sternotomy versus right mini-thoracotomy: A systematic review and meta-analysis of clinical outcomes. J. Card. Surg. 2022, 37, 4500–4509. [Google Scholar] [CrossRef] [PubMed]
- Al Shamry, A.; Jegaden, M.; Ashafy, S.; Eker, A.; Jegaden, O. Minithoracotomy versus sternotomy in mitral valve surgery: Meta-analysis from recent matched and randomized studies. J. Cardiothorac. Surg. 2023, 18, 101. [Google Scholar] [CrossRef] [PubMed] [PubMed Central]
- Greco, E.; Santamaria, V.; Rose, D.; Vinciguerra, M.; Pomar, J.L. Is not yet time to properly learn endoscopic mitral valve repair? Cirugía Cardiovasc. 2020, 27, 100–104. [Google Scholar] [CrossRef]
- Holzhey, D.M.; Seeburger, J.; Misfeld, M.; Borger, M.A.; Mohr, F.W. Learning minimally invasive mitral valve surgery: A cumulative sum sequential probability analysis of 3895 operations from a single high-volume center. Circulation 2013, 128, 483–491. [Google Scholar] [CrossRef]
- Van Praet, K.M.; Kempfert, J.; Jacobs, S.; Stamm, C.; Akansel, S.; Kofler, M.; Sündermann, S.H.; Nazari Shafti, T.Z.; Jakobs, K.; Holzendorf, S.; et al. Mitral valve surgery: Current status and future prospects of the minimally invasive approach. Expert Rev. Med. Devices 2021, 18, 245–260. [Google Scholar] [CrossRef] [PubMed]
- Murzi, M.; Cerillo, A.G.; Gasbarri, T.; Margaryan, R.; Kallushi, E.; Farneti, P.; Solinas, M. Antegrade and retrograde perfusion in minimally invasive mitral valve surgery with transthoracic aortic clamping: A single-institution experience with 1632 patients over 12 years. Interact. Cardiovasc. Thorac. Surg. 2017, 24, 363–368. [Google Scholar] [CrossRef] [PubMed][Green Version]
- Kempfert, J.; Kofler, M.; Falk, V.; Sündermann, S.H. Minimally invasive endoscopic mitral valve repair-the new gold standard for degenerative mitral valve disease. Eur. J. Cardiothorac. Surg. 2022, 61, 645–646. [Google Scholar] [CrossRef] [PubMed]
- Moscarelli, M.; Fattouch, K.; Casula, R.; Speziale, G.; Lancellotti, P.; Athanasiou, T. What Is the Role of Minimally Invasive Mitral Valve Surgery in High-Risk Patients? A Meta-Analysis of Observational Studies. Ann. Thorac. Surg. 2016, 101, 981–989. [Google Scholar] [CrossRef] [PubMed]
- Ailawadi, G.; Agnihotri, A.K.; Mehall, J.R.; Wolfe, J.A.; Hummel, B.W.; Fayers, T.M.; Farivar, R.S.; Grossi, E.A.; Guy, T.S.; Hargrove, W.C.; et al. Minimally Invasive Mitral Valve Surgery I: Patient Selection, Evaluation, and Planning. Innovations 2016, 11, 243–250. [Google Scholar] [CrossRef] [PubMed] [PubMed Central]
- Yim, A.P.C.; Liu, H.P. Complications and failures of video-assisted thoracic surgery: Experience from two centers in Asia. Ann. Thorac. Surg. 1996, 61, 538–541. [Google Scholar] [CrossRef] [PubMed]
- Sa, M.P.B.; Van den Eynde, J.; Cavalcanti, L.R.P.; Kadyraliev, B.; Enginoev, S.; Zhigalov, K.; Ruhparwar, A.; Weymann, A.; Dreyfus, G. Mitral Valve Repair with Minimally Invasive Approaches vs Sternotomy: A Meta-Analysis of Early and Late Results in Randomized and Matched Observational Studies. J. Card. Surg. 2020, 35, 2307–2323. [Google Scholar] [CrossRef] [PubMed]
- Goyal, S.; Dashey, S.; Zlocha, V.; HannaJumma, S. The Successful Use of Extra-Corporeal Membrane Oxygenation as Rescue Therapy for Unilateral Pulmonary Edema Following Minimally Invasive Mitral Valve Surgery. Perfusion 2020, 35, 356–359. [Google Scholar] [CrossRef] [PubMed]
- Inoue, K.; Hiraoka, A.; Chikazawa, G.; Totsugawa, T.; Nakajima, K.; Masuda, M.; Yoshitaka, H.; Sakaguchi, T. Preventive Strategy for Reexpansion Pulmonary Edema After Minimally Invasive Cardiac Surgery. Ann. Thorac. Surg. 2020, 109, e375–e377. [Google Scholar] [CrossRef] [PubMed]
- López-Baamonde, M.; Eulufi, S.; Ascaso, M.; Arguis, M.J.; Navarro-Ripoll, R.; Rovira, I. Unilateral Pulmonary Edema Associated Factors after Minimally Invasive Mitral Valve Surgery. Rev. Española Anestesiol. Y Reanim. 2022, 69, 134–142. [Google Scholar] [CrossRef]
- Tamura, T.; Ito, T.; Yokota, S.; Ito, S.; Kubo, Y.; Ando, M.; Nishiwaki, K. Incidence of reexpansion pulmonary edema in minimally invasive cardiac surgery. Nagoya J. Med. Sci. 2019, 81, 647–654. [Google Scholar] [CrossRef] [PubMed] [PubMed Central]
- Puehler, T.; Friedrich, C.; Lutter, G.; Kornhuber, M.; Salem, M.; Schoettler, J.; Ernst, M.; Saad, M.; Seoudy, H.; Frank, D.; et al. Outcome of Unilateral Pulmonary Edema after Minimal-Invasive Mitral Valve Surgery: 10-Year Follow-Up. J. Clin. Med. 2021, 10, 2411. [Google Scholar] [CrossRef] [PubMed] [PubMed Central]
- Magoon, R.; Choudhary, N.; Jose, J. Unilateral Pulmonary Edema Following Minimally Invasive Cardiac Surgery: Keeping Both Eyes Maximally Open. Kardiochirurgia I Torakochirurgia Pol. Pol. J. Cardio-Thorac. Surg. 2023, 20, 45–46. [Google Scholar] [CrossRef]
- Kesävuori, R.I.; Vento, A.E.; Lundbom, N.M.I.; Iivonen, M.R.M.; Huuskonen, A.S.; Raivio, P.M. Unilateral Pulmonary Oedema after Minimally Invasive and Robotically Assisted Mitral Valve Surgery. Eur. J. Cardio-Thorac. Surg. 2020, 57, 504–511. [Google Scholar] [CrossRef]
- Whitworth, K.; Mancini, M. Reexpansion Pulmonary Edema. J. Osteopath. Med. 2020, 120, 49. [Google Scholar] [CrossRef]
- Aljure, O.D.; Fabbro, M. Cardiopulmonary Bypass and Inflammation: The Hidden Enemy. J. Cardiothorac. Vasc. Anesth. 2019, 33, 346–347. [Google Scholar] [CrossRef]
- McGuinness, J.; Bouchier-Hayes, D.; Redmond, J.M. Understanding the Inflammatory Response to Cardiac Surgery. Surg. J. R. Coll. Surg. Edinb. Irel. 2008, 6, 162–171. [Google Scholar] [CrossRef] [PubMed]
- Paparella, D.; Yau, T.M.; Young, E. Cardiopulmonary Bypass Induced Inflammation: Pathophysiology and Treatment. An Update. Eur. J. Cardio-Thorac. Surg. 2002, 21, 232–244. [Google Scholar] [CrossRef] [PubMed]
- Sugiyama, Y.; Shimizu, F.; Shimizu, S.; Urasawa, M.; Tanaka, S.; Kawamata, M. Severe Re-Expansion Pulmonary Edema Induced by One-Lung Ventilation. Respir. Care 2015, 60, e134–e140. [Google Scholar] [CrossRef] [PubMed]
- Fujita, N.; Miyasaka, K.; Okada, O.; Katayama, M.; Miyasaka, K. Localized Pulmonary Edema in the Middle and Inferior Lobes of the Right Lung after One-Lung Ventilation for Minimally Invasive Mitral Valve Surgery. J. Cardiothorac. Vasc. Anesth. 2015, 29, 1009–1012. [Google Scholar] [CrossRef]
- Nteliopoulos, G.; Nikolakopoulou, Z.; Chow, B.H.N.; Corless, R.; Nguyen, B.; Dimarakis, I. Lung Injury Following Cardiopulmonary Bypass: A Clinical Update. Expert. Rev. Cardiovasc. Ther. 2022, 20, 871–880. [Google Scholar] [CrossRef]
- Apostolakis, E.E.; Koletsis, E.N.; Baikoussis, N.G.; Siminelakis, S.N.; Papadopoulos, G.S. Strategies to Prevent Intraoperative Lung Injury during Cardiopulmonary Bypass. J. Cardiothorac. Surg. 2010, 5, 1. [Google Scholar] [CrossRef]
- Keyl, C.; Staier, K.; Pingpoh, C.; Pache, G.; Thoma, M.; Günkel, L.; Henschke, S.; Beyersdorf, F. Unilateral Pulmonary Oedema after Minimally Invasive Cardiac Surgery via Right Anterolateral Minithoracotomy. Eur. J. Cardio-Thorac. Surg. 2015, 47, 1097–1102. [Google Scholar] [CrossRef]
- Nakamura, I.A.; Sawafuji, M.; Urano, T.; Fujishima, S.; Sakamaki, F.; Sayama, K.; Kawamura, M.; Kato, R.; Kikuchi, K. Elevated Levels of Interleukin-8 and Leukotriene B4 in Pulmonary Edema Fluid of a Patient with Reexpansion Pulmonary Edema. Am. J. Respir. Crit. Care Med. 1994, 149 Pt 1, 1037–1040. [Google Scholar] [CrossRef]
- Apostolakis, E.; Leivaditis, V.N.; Kallikourdis, A.; Dedeilias, P. Repair of Injured Right Inferior Pulmonary Vein during Mitral Valve Replacement. J. Cardiothorac. Surg. 2009, 4, 64. [Google Scholar] [CrossRef]
- Sibbald, W.J.; Anderson, R.R.; Holliday, R.L. Pathogenesis of pulmonary edema associated with the adult respiratory distress syndrome. Can. Med. Assoc. J. 1979, 120, 445–450. [Google Scholar] [PubMed] [PubMed Central]
- Su, W.-X.; Qian, X.-F.; Jiang, L.; Wu, Y.-F.; Liu, J. Unilateral Pulmonary Oedema: A Case Report and Literature Review. J. Int. Med. Res. 2022, 50, 03000605221093678. [Google Scholar] [CrossRef] [PubMed]
- Kitahara, H.; Okamoto, K.; Kudo, M.; Yoshitake, A.; Hayashi, K.; Inaba, Y.; Ai, K.; Suzuki, T.; Morisaki, H.; Shimizu, H. Successful Management of Severe Unilateral Re-Expansion Pulmonary Edema after Mitral Valve Repair with Mini-Thoracotomy Using Extracorporeal Membrane Oxygenation. Gen. Thorac. Cardiovasc. Surg. 2017, 65, 164–166. [Google Scholar] [CrossRef] [PubMed]
- Madershahian, N.; Wippermann, J.; Sindhu, D.; Wahlers, T. Unilateral Re-Expansion Pulmonary Edema: A Rare Complication Following One-Lung Ventilation for Minimal Invasive Mitral Valve Reconstruction. J. Card. Surg. 2009, 24, 693–694. [Google Scholar] [CrossRef] [PubMed]
- Shires, A.L.; Green, T.M.; Owen, H.L.P.; Hansen, T.N.; Iqbal, Z.; Markan, S.; Lilly, R.E.; Pagel, P.S.; Slinger, P.D.; DeRose, J.J. Case 4--2009. Severe Reexpansion Pulmonary Edema after Minimally Invasive Aortic Valve Replacement: Management Using Extracorporeal Membrane Oxygenation. J. Cardiothorac. Vasc. Anesth. 2009, 23, 549–554. [Google Scholar] [CrossRef] [PubMed]
- Ius, F.; Sommer, W.; Tudorache, I.; Avsar, M.; Siemeni, T.; Salman, J.; Puntigam, J.; Optenhoefel, J.; Greer, M.; Welte, T.; et al. Veno-Veno-Arterial Extracorporeal Membrane Oxygenation for Respiratory Failure with Severe Haemodynamic Impairment: Technique and Early Outcomes. Interact. CardioVascular Thorac. Surg. 2015, 20, 761–767. [Google Scholar] [CrossRef]
- Napp, C.L.; Kühn, C.; Hoeper, M.M.; Vogel-Claussen, J.; Haverich, A.; Schäfer, A.; Bauersachs, J. Cannulation Strategies for Percutaneous Extracorporeal Membrane Oxygenation in Adults. Clin. Res. Cardiol. 2016, 105, 283–296. [Google Scholar] [CrossRef]
- Coleman, M.H.; Aldrich, J.M. Acute Respiratory Distress Syndrome. Crit. Care Clin. 2021, 37, 851–866. [Google Scholar] [CrossRef]
- Carlon, G.C.; Ray, C.; Klein, R.; Goldiner, P.L.; Miodownik, S. Criteria for Selective Positive End-Expiratory Pressure and Independent Synchronized Ventilation of Each Lung. Chest 1978, 74, 501–507. [Google Scholar] [CrossRef]
- Yoshida, M.; Taira, Y.; Ozaki, M.; Saito, H.; Kurisu, M.; Matsushima, S.; Naito, T.; Yoshida, T.; Masui, Y.; Fujitani, S. Independent Lung Ventilation with Use of a Double-Lumen Endotracheal Tube for Refractory Hypoxemia and Shock Complicating Severe Unilateral Pneumonia: A Case Report. Respir. Med. Case Rep. 2020, 30, 101084. [Google Scholar] [CrossRef]
- Berg, S.; Bittner, E.A.; Berra, L.; Kacmarek, R.M.; Sonny, A. Independent Lung Ventilation: Implementation Strategies and Review of Literature. World J. Crit. Care Med. 2019, 8, 49–58. [Google Scholar] [CrossRef]
- Nakanaga, H.; Kinoshita, T.; Fujii, H.; Nagashima, K.; Tabata, M. Temporary Venovenous Extracorporeal Membrane Oxygenation after Cardiopulmonary Bypass in Minimally Invasive Cardiac Surgery via Right Minithoracotomy. JTCVS Tech. 2023, 20, 99–104. [Google Scholar] [CrossRef]
- Burns, D.J.P.; Wierup, P.; Gillinov, M. Minimally Invasive Mitral Surgery: Patient Selection and Technique. Cardiol. Clin. 2021, 39, 211–220. [Google Scholar] [CrossRef] [PubMed]





| Arterial Blood Gas Analysis (Right Radial Artery) | ECMO | ||||||
|---|---|---|---|---|---|---|---|
| Oxygen Saturation (%) | Partial Pressure of Oxygen (mmHg) | Partial Pressure of Carbon Dioxide (mmHg) | Ph (7.32–7.43) | Lactate (mmol/L) | O2 Flow (L/min)/FiO2 (%) | Flow (L/min)/RPM | |
| 1st hour PO | 73 | 43 | 49 | 7.26 | 3.6 | - | - |
| 2nd hour PO (CA) | 83 | 57 | 58 | 7.09 | 6.8 | - | - |
| 2nd hour PO (ECMO support) | 99 | 76 | 57 | 7.20 | 7.7 | 4/100 | 4.7/3085 |
| 5th hour PO (cytokine filter) | 97 | 89 | 51 | 7.27 | 12 | 4/100 | 4.4/2990 |
| 10 h PO | 99 | 167 | 26 | 7.36 | 11.8 | 3.5/100 | 4.2/2810 |
| 12 h PO | 99 | 174 | 28 | 7.37 | 10.9 | 3.5/100 | 4.2/2810 |
| Day 1 PO | 99 | 169 | 34 | 7.36 | 6.8 | 4.0/90 | 2.9/2395 |
| Day 2 PO | 100 | 170 | 54 | 7.21 | 4.5 | 4.5/60 | 2.4/2450 |
| Day 5 PO | 99 | 193 | 34 | 7.45 | 1.75 | 2.5/60 | 1.5/1831 |
| Noradrenaline (µg/kg/min) | Adrenaline (µg/kg/min) | Dobutamine (µg/kg/min) | Milrinone (µg/kg/min) | Vasopressin (UI/kg/min) | IS | VAS | |
|---|---|---|---|---|---|---|---|
| Intraoperative following weaning from CPB | 0.5 | - | 8.9 | 0.3 | - | 8.9 | 61.9 |
| 1st hour PO | 0.7 | 0.2 | 11.1 | 0.3 | 0.002 | 31.1 | 124.1 |
| 2nd hour PO (CA) | 1.4 | 0.2 | 11.1 | 0.2 | 0.003 | 31.1 | 203.1 |
| 2nd hour PO (ECMO support) | 1.4 | 0.2 | 11.1 | 0.4 | 0.004 | 31.1 | 215.4 |
| 5th hour PO (cytokine filter) | 1.4 | 0.2 | 11.1 | 0.4 | 0.004 | 31.1 | 215.4 |
| 10 h PO | 1.4 | 0.2 | 8.9 | 0.2 | 0.004 | 28.9 | 210.9 |
| 12 h PO | 0.7 | 0.1 | 8.9 | 0.2 | 0.004 | 18.9 | 130.9 |
| Day 1 PO | 0.6 | 0.1 | 8.9 | 0.4 | 0.0009 | 18.9 | 91.9 |
| Day 2 PO | 0.3 | - | 5.6 | 0.4 | 0.0007 | 5.6 | 46.6 |
| Day 5 PO | - | - | 1.5 | 0.2 | - | 1.5 | 3.5 |
| Day 10 PO | - | - | - | 0.3 | - | - | 3 |
| Day 15 PO | - | - | - | 0.1 | - | - | 1 |
| Preoperative findings | The patient was referred for progressively worsening dyspnea and fatigue and diagnosed with severe mitral regurgitation. Transthoracic echocardiography revealed severe mitral regurgitations caused by posterior leaflet prolapse and flail due to chordae rupture. | |
| Surgical intervention | Day 0 | Endoscopic mitral valvuloplasty was performed, with four P2–P3 neo-chordae insertions and annuloplasty using a 36 mm Edwards Physio II ring, through right anterolateral mini-thoracotomy. |
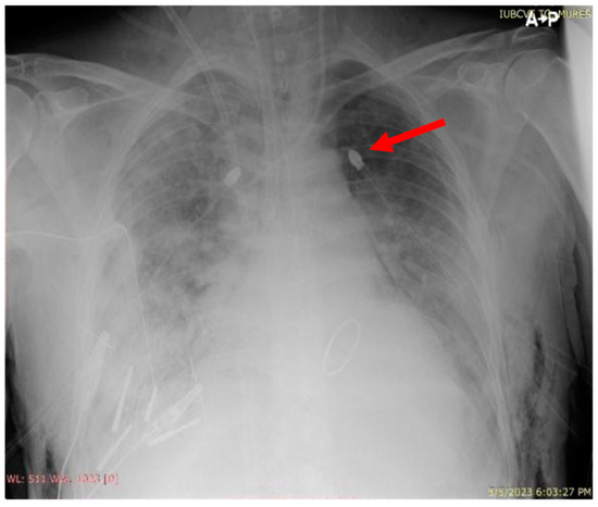
| Postoperative evolution | Right after Intensive Care Unit (ICU) admission, hypoxia abruptly developed, and serous discharge was aspirated through the endotracheal tube. The thoracic X-ray performed revealed dense alveolar opacities on the entire right hemithorax, confirming the diagnosis of unilateral pulmonary edema. | |
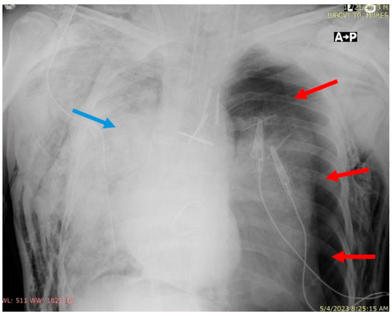
| The patient developed hemodynamic instability requiring cardiopulmonary resuscitation. Peripheral VA-ECMO support was instituted during resuscitation, with the cannulation of the right femoral artery and vein, improving hemodynamic and respiratory parameters. | ||
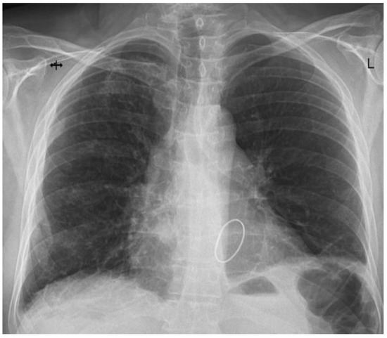
| Day 1 | The patient developed a left pneumothorax, confirmed by thoracic X-ray, worsening respiratory parameters, therefore requiring the insertion of a drainage tube. A thoracic X-ray after drainage confirmed the correct positioning of the tube and the complete expansion of the left lung. | |
| A flexible bronchoscopy was performed and revealed mucus plugs that required bronchoalveolar lavage and aspiration. | ||
| Day 3 | The endotracheal cannula was changed to a double-lumen right-sided cannula, and the patient was placed on two ventilators operating independently. The parameters were adjusted based on the patient’s progress and needs. | |
| Day 5 | The patient was weaned off from ECMO support. RV disfunction required prolonged milrinone and Levosimendan administration. | |
| Day 6 | The patient was extubated. |
Disclaimer/Publisher’s Note: The statements, opinions and data contained in all publications are solely those of the individual author(s) and contributor(s) and not of MDPI and/or the editor(s). MDPI and/or the editor(s) disclaim responsibility for any injury to people or property resulting from any ideas, methods, instructions or products referred to in the content. |
© 2024 by the authors. Licensee MDPI, Basel, Switzerland. This article is an open access article distributed under the terms and conditions of the Creative Commons Attribution (CC BY) license (https://creativecommons.org/licenses/by/4.0/).
Share and Cite
Harpa, M.M.; Oltean, S.F.; Al Hussein, H.; Anitei, D.E.; Puscas, I.A.; Bănceu, C.M.; Veres, M.; Opriș, D.R.; Balau, R.A.; Suciu, H. Successful Treatment of Unilateral Pulmonary Edema as Minimally Invasive Mitral Valve Surgery Complication—Case Presentation. J. Clin. Med. 2024, 13, 7654. https://doi.org/10.3390/jcm13247654
Harpa MM, Oltean SF, Al Hussein H, Anitei DE, Puscas IA, Bănceu CM, Veres M, Opriș DR, Balau RA, Suciu H. Successful Treatment of Unilateral Pulmonary Edema as Minimally Invasive Mitral Valve Surgery Complication—Case Presentation. Journal of Clinical Medicine. 2024; 13(24):7654. https://doi.org/10.3390/jcm13247654
Chicago/Turabian StyleHarpa, Marius Mihai, Sânziana Flamind Oltean, Hussam Al Hussein, David Emanuel Anitei, Iulia Alexandra Puscas, Cosmin Marian Bănceu, Mihaly Veres, Diana Roxana Opriș, Radu Alexandru Balau, and Horatiu Suciu. 2024. "Successful Treatment of Unilateral Pulmonary Edema as Minimally Invasive Mitral Valve Surgery Complication—Case Presentation" Journal of Clinical Medicine 13, no. 24: 7654. https://doi.org/10.3390/jcm13247654
APA StyleHarpa, M. M., Oltean, S. F., Al Hussein, H., Anitei, D. E., Puscas, I. A., Bănceu, C. M., Veres, M., Opriș, D. R., Balau, R. A., & Suciu, H. (2024). Successful Treatment of Unilateral Pulmonary Edema as Minimally Invasive Mitral Valve Surgery Complication—Case Presentation. Journal of Clinical Medicine, 13(24), 7654. https://doi.org/10.3390/jcm13247654

