Three-Dimensional Ultrasound for Physical and Virtual Fetal Heart Models: Current Status and Future Perspectives
Abstract
1. Introduction
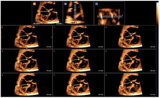
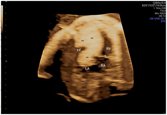
2. Three-Dimensional Ultrasound and Spatio-Temporal Image Correlation
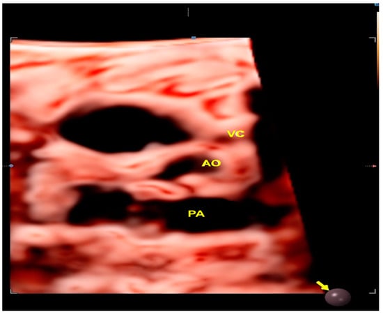
2.1. Anomalous Venous Return
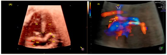
2.2. Transposition of the Great Arteries (TGA)
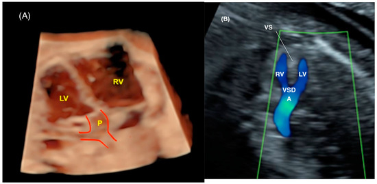
2.3. Ebstein’s Anomaly (EA) and Tricuspid Dysplasia (TD)
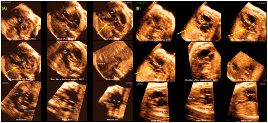
2.4. Aortic and Ductal Arch Anomalies
2.5. Cardiac Tumors
2.6. Cardiac Functional Evaluation
3. Fetal Intelligent Navigation Echocardiography (FINE) and Artificial Intelligence
4. Three-Dimensional Physical and Virtual Models of the Fetal Heart
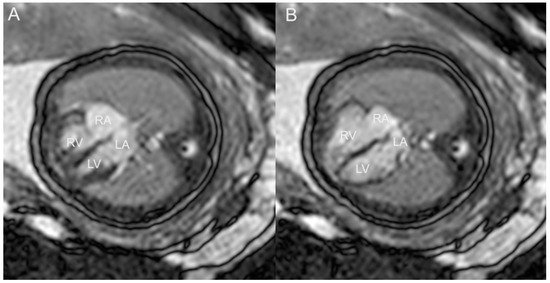
5. Fetal Cardiac Magnetic Resonance Imaging
6. Conclusions
Supplementary Materials
Author Contributions
Funding
Institutional Review Board Statement
Data Availability Statement
Conflicts of Interest
References
- Liu, Y.; Chen, S.; Zühlke, L.; Black, G.C.; Choy, M.K.; Li, N.; Keavney, B.D. Global birth prevalence of congenital heart defects 1970-2017: Updated systematic review and meta-analysis of 260 studies. Int. J. Epidemiol. 2019, 48, 455–463. [Google Scholar] [CrossRef] [PubMed]
- Bouma, B.J.; Mulder, B.J. Changing Landscape of Congenital Heart Disease. Circ. Res. 2017, 120, 908–922. [Google Scholar] [CrossRef]
- Hoffman, J.I.E. The global burden of congenital heart disease. Cardiovasc. J. Afr. 2013, 24, 141–145. [Google Scholar] [CrossRef]
- Khasawneh, W.; Hakim, F.; Abu Ras, O.; Hejazi, Y.; Abu-Aqoulah, A. Incidence and patterns of congenital heart disease among Jordanian infants, a cohort study from a university tertiary center. Front. Pediatr. 2020, 8, 219. [Google Scholar] [CrossRef]
- Meller, C.H.; Grinenco, S.; Aiello, H.; Córdoba, A.; Sáenz-Tejeira, M.M.; Marantz, P.; Otaño, L. Congenital heart disease, prenatal diagnosis and management. Arch. Argent. Pediatr. 2020, 118, e149–e161. [Google Scholar] [PubMed]
- Oster, M.E.; Lee, K.A.; Honein, M.A.; Riehle-Colarusso, T.; Shin, M.; Correa, A. Temporal trends in survival among infants with critical congenital heart defects. Pediatrics 2013, 131, e1502–e1508. [Google Scholar] [CrossRef] [PubMed]
- Carvalho, J.S.; Axt-Fliedner, R.; Chaoui, R.; Copel, J.A.; Cuneo, B.F.; Goff, D.; Gordin Kopylov, L.; Hecher, K.; Lee, W.; Moon-Grady, A.J.; et al. ISUOG Practice Guidelines (updated): Fetal cardiac screening. Ultrasound Obstet. Gynecol. 2023, 61, 788–803. [Google Scholar] [CrossRef]
- Chaoui, R. The four-chamber view: Four reasons why it seems to fail in screening for cardiac abnormalities and suggestions to improve detection rate. Ultrasound Obstet. Gynecol. 2003, 22, 3–10. [Google Scholar] [CrossRef]
- Donofrio, M.T.; Moon-Grady, A.J.; Hornberger, L.K.; Copel, J.A.; Sklansky, M.S.; Abuhamad, A.; Cuneo, B.F.; Huhta, J.C.; Jonas, R.A.; Krishnan, A.; et al. Diagnosis and treatment of fetal cardiac disease: A scientific statement from the American Heart Association. Circulation 2014, 129, 2183–2242. [Google Scholar] [CrossRef]
- Devore, G.R.; Falkensammer, P.; Sklansky, M.S.; Platt, L.D. Spatio-temporal image correlation (STIC): New technology for evaluation of the fetal heart. Ultrasound Obstet. Gynecol. 2003, 22, 380–387. [Google Scholar] [CrossRef]
- Vinãls, F.; Poblete, P.; Giuliano, A. Spatio-temporal image correlation (STIC): A new tool for the prenatal screening of congenital heart defects. Ultrasound Obstet. Gynecol. 2003, 22, 388–394. [Google Scholar] [CrossRef] [PubMed]
- Gonçalves, L.F.; Lee, W.; Chaiworapongsa, T.; Espinoza, J.; Schoen, M.L.; Falkensammer, P. Four-dimensional ultrasonography of the fetal heart with spatiotemporal image correlation. Am. J. Obstet. Gynecol. 2003, 189, 1792–1802. [Google Scholar] [CrossRef] [PubMed]
- Yagel, S.; Benachi, A.; Bonnet, D.; Dumez, Y.; Hochner-Celnikier, D.; Cohen, S.M.; Valsky, D.V.; Fermont, L. Rendering in fetal cardiac scanning: The intracardiac septa and the coronal atrioventricular valve planes. Ultrasound Obstet. Gynecol. 2006, 28, 266–274. [Google Scholar] [CrossRef]
- Nardozza, L.M.; Rolo, L.C.; Araujo Júnior, E.; Hatanaka, A.R.; Rocha, L.A.; Simioni, C.; Ruano, R.; Moron, A.F. Reference range for fetal interventricular septum area by means of four-dimensional ultrasonography using spatiotemporal image correlation. Fetal Diagn. Ther. 2013, 33, 110–115. [Google Scholar] [CrossRef]
- Vinãls, F.; Mandujano, L.; Vargas, G.; Giuliano, A. Prenatal diagnosis of congenital heart disease using four-dimensional spatio-temporal image correlation (STIC) telemedicine via an Internet link: A pilot study. Ultrasound Obstet. Gynecol. 2005, 25, 25–31. [Google Scholar] [CrossRef] [PubMed]
- Espinoza, J.; Gonçalves, L.F.; Lee, W.; Mazor, M.; Romero, R. A novel method to improve prenatal venous connections using three- and four-dimensional ultrasonography and “inversion mode”. Ultrasound Obstet. Gynecol. 2005, 25, 428–434. [Google Scholar] [CrossRef]
- Liu, J.; Wang, Y.; Zhao, H.; Liu, W. Spatio-temporal image correlation rendering mode visualizes the specific location and surrounding structure of ventricular septal defect. Clin. Anat. 2019, 32, 408–420. [Google Scholar] [CrossRef]
- Malho, A.; Ximenes, R.S.; Bravo-Valenzuela, N.J.; Araujo Júnior, E. Spatio-Temporal Image Correlation: Three-Dimensional Imaging for Fetal Cardiac Screening and Congenital Heart Disease Assessment. Arq. Bras. Cardiol. 2024, 121, e20230580. [Google Scholar] [CrossRef] [PubMed]
- Werner, H.; Lopes dos Santos, J.R.; Fontes, R.; Belmonte, S.; Daltro, P.; Gasparetto, E.; Marchiori, E.; Campbell, S. Virtual bronchoscopy for evaluating cervical tumors of the fetus. Ultrasound Obstet. Gynecol. 2013, 41, 90–94. [Google Scholar] [CrossRef]
- Werner, H.; Lopes, J.; Ribeiro, G.; Jésus, N.R.; Santos, G.R.; Alexandria, H.A.F.; Ruano, R.; Araujo Júnior, E. Three-dimensional virtual cystoscopy: Noninvasive approach for the assessment of urinary tract in fetuses with lower urinary tract obstruction. Prenat. Diagn. 2017, 37, 1350–1352. [Google Scholar] [CrossRef]
- Werner, H.; Ribeiro, G.; Lopes, J.; Sá, R.A.M.; Maia, F.; Castro, P.; Araujo Júnior, E. Virtual navigation for the improvement of parents counseling and the planning of fetal endoscopic myelomeningocele repair. Child’s Nerv. Syst. 2021, 37, 969–972. [Google Scholar] [CrossRef] [PubMed]
- Werner, H.; Lopes, J.; Tonni, G.; Araujo Júnior, E. Maternal-fetal attachment in blind women using physical model from three-dimensional ultrasound and magnetic resonance scan data: Six serious cases. J. Matern. Fetal Neonatal Med. 2016, 29, 2229–2232. [Google Scholar] [CrossRef] [PubMed]
- Werner, H.; Castro, P.; Lopes, J.; Ribeiro, G.; Araujo Júnior, E. Maternal-fetal physical model: Image fusion obtained by white light scanner and magnetic resonance imaging. J. Matern. Fetal Neonatal Med. 2022, 35, 4427–4430. [Google Scholar] [CrossRef]
- Veronese, P.; Bertelli, F.; Cattapan, C.; Andolfatto, M.; Gervasi, M.T.; Vida, V.L. Three-Dimensional Printing of Fetal Heart With d-Transposition of the Great Arteries From Ultrasound Imaging Data. World J. Pediatr. Congenit. Heart Surg. 2021, 12, 291–292. [Google Scholar] [CrossRef] [PubMed]
- Huang, J.; Shi, H.; Chen, Q.; Hu, J.; Zhang, Y.; Song, H.; Zhou, Q. Three-Dimensional Printed Model Fabrication and Effectiveness Evaluation in Fetuses with Congenital Heart Disease or with a Normal Heart. J. Ultrasound Med. 2021, 40, 15–28. [Google Scholar] [CrossRef]
- Werner, H.; Lopes, J.; Ribeiro, G.; Raposo, A.B.; Trajano, E.; Araujo Júnior, E. Three-dimensional virtual traveling navigation and three-dimensional printing models of a normal fetal heart using ultrasonography data. Prenat. Diagn. 2019, 39, 175–177. [Google Scholar] [CrossRef]
- Bravo-Valenzuela, N.J.; Monteiro Pereira Leite, M.F.; Lopes, J.; Arcoverde, V.; Ribeiro, G.; Araujo Júnior, E.; Werner, H. Three-dimensional navigation inside a normal fetal heart in a virtual reality environment. J. Clin. Ultrasound 2024, 52, 1442–1443. [Google Scholar] [CrossRef]
- Giffoni, M.C.; Lopes, J.; Ribeiro, G.; Araujo Júnior, E.; Werner, H. Fetal heart segmentation in a virtual reality environment. Int. J. Cardiovasc. Imaging 2024. online ahead of print. [Google Scholar] [CrossRef]
- Taksøe-Vester, C.A.; Mikolaj, K.; Petersen, O.B.B.; Vejlstrup, N.G.; Christensen, A.N.; Feragen, A.; Nielsen, M.; Svendsen, M.B.S.; Tolsgaard, M.G. Role of artificial-intelligence-assisted automated cardiac biometrics in prenatal screening for coarctation of aorta. Ultrasound Obstet. Gynecol. 2024, 64, 36–43. [Google Scholar] [CrossRef]
- Scharf, J.L.; Dracopoulos, C.; Gembicki, M.; Welp, A.; Weichert, J. How Automated Techniques Ease Functional Assessment of the Fetal Heart: Applicability of MPI+™ for Direct Quantification of the Modified Myocardial Performance Index. Diagnostics 2023, 13, 1705. [Google Scholar] [CrossRef]
- Bennasar, M.; Martinez, J.M.; Gomez, O.; Bartrons, J.; Olivella, A.; Puerto, B.; Gratacós, E. Accuracy of four-dimensional spatiotemporal image correlation echocardiography in the prenatal diagnosis of congenital heart defects. Ultrasound Obstet. Gynecol. 2010, 36, 458–464. [Google Scholar] [CrossRef] [PubMed]
- Gonçalves, L.F.; Espinoza, J.; Lee, W.; Nien, K.; Hong, J.S.; Santolaya-Forgas, J.; Mazor, M.; Romero, R. A new approach to fetal echocardiography: Digital casts of the fetal cardiac chambers and great vessels for detection of congenital heart disease. J. Ultrasound Med. 2005, 24, 415–424. [Google Scholar] [CrossRef]
- Barber, N.; Freud, L. Advances in Fetal Cardiac Imaging and Intervention. CJC Pediatr. Congenit. Heart Dis. 2023, 3, 33–42. [Google Scholar] [CrossRef] [PubMed]
- Vinãls, F.; Ascenzo, R.; Naveas, R.; Huggon, I.; Giuliano, A. Fetal echocardiography at 11 + 0 to 13 + 6 weeks using four-dimensional spatiotemporal image correlation telemedicine via an Internet link: A pilot study. Ultrasound Obstet. Gynecol. 2008, 31, 633–638. [Google Scholar] [CrossRef] [PubMed]
- Sharma, S.; Parness, I.A.; Kamenir, S.A.; Ko, H.; Haddow, S.; Steinberg, L.G.; Lai, W.W. Screening fetal echocardiography by telemedicine: Efficacy and community acceptance. J. Am. Soc. Echocardiogr. 2003, 16, 202–208. [Google Scholar] [CrossRef] [PubMed]
- Yeo, L.; Romero, R.; Jodicke, C.; Kim, S.K.; Gonzalez, J.M.; Oggè, G.; Lee, W.; Kusanovic, J.P.; Vaisbuch, E.; Hassan, S. Simple targeted arterial rendering (STAR) technique: A novel and simple method to visualize the fetal cardiac outflow tracts. Ultrasound Obstet. Gynecol. 2011, 37, 549–556. [Google Scholar] [CrossRef]
- Rocha, L.A.; Rolo, L.C.; Barros, F.S.; Nardozza, L.M.; Moron, A.F.; Araujo Júnior, E. Assessment of Quality of Fetal Heart Views by 3D/4D Ultrasonography Using Spatio-Temporal Image Correlation in the Second and Third Trimesters of Pregnancy. Echocardiography 2015, 32, 1015–1021. [Google Scholar] [CrossRef]
- Espinoza, J.; Lee, W.; Comstock, C.; Romero, R.; Yeo, L.; Rizzo, G.; Paladini, D.; Viñals, F.; Achiron, R.; Gindes, L.; et al. Collaborative study on 4-dimensional echocardiography for the diagnosis of fetal heart defects: The COFEHD study. J. Ultrasound Med. 2010, 29, 1573–1580. [Google Scholar] [CrossRef]
- Adriaanse, B.M.; Tromp, C.H.; Simpson, J.M.; Van Mieghem, T.; Kist, W.J.; Kuik, D.J.; Oepkes, D.; Van Vugt, J.M.; Haak, M.C. Interobserver agreement in detailed prenatal diagnosis of congenital heart disease by telemedicine using four-dimensional ultrasound with spatiotemporal image correlation. Ultrasound Obstet. Gynecol. 2012, 39, 203–209. [Google Scholar] [CrossRef]
- Rolo, L.C.; Nardozza, L.M.; Araujo Júnior, E.; Hatanaka, A.R.; Rocha, L.A.; Simioni, C.; Moron, A.F. Reference ranges of atrioventricular valve areas by means of four-dimensional ultrasonography using spatiotemporal image correlation in the rendering mode. Prenat. Diagn. 2013, 33, 50–55. [Google Scholar] [CrossRef]
- Rolo, L.C.; Pietrolucci, M.E.; Araujo Júnior, E.; Barros, F.S.; Nardozza, L.M.; Martina, W.P.; Moron, A.F.; Arduin, D.; Rizzo, G. Viewing rate and reproducibility of papillary muscle areas in foetal atrioventricular valves using spatio-temporal image correlation in the rendering mode in congenital heart disease. J. Matern. Fetal Neonatal Med. 2015, 28, 1375–1380. [Google Scholar] [CrossRef] [PubMed]
- Lei, W.; Ying, Z.; Ailu, C.; Xiaoguang, W. Evaluation of normal fetal ductus venosus using B-flow imaging with spatiotemporal image correlation and traditional color Doppler echocardiography. Echocardiography 2015, 32, 325–331. [Google Scholar] [CrossRef] [PubMed]
- Qin, Y.; Zhang, Y.; Zhou, X.; Wang, Y.; Sun, W.; Chen, L.; Zhao, D.; Zhan, Y.; Cai, A. Four-dimensional echocardiography with spatiotemporal image correlation and inversion mode for detection of congenital heart disease. Ultrasound Med. Biol. 2014, 40, 1434–1441. [Google Scholar] [CrossRef] [PubMed]
- Rizzo, G.; Capponi, A.; Vendola, M.; Pietrolucci, M.E.; Arduini, D. Role of tomographic ultrasound imaging with spatiotemporal image correlation for identifying fetal ventricular septal defects. J. Ultrasound Med. 2008, 27, 1071–1075. [Google Scholar] [CrossRef]
- Malho, A.S.; Bravo-Valenzuela, N.J.; Ximenes, R.; Peixoto, A.B.; Araujo Júnior, E. Antenatal diagnosis of congenital heart disease by 3D ultrasonography using spatiotemporal image correlation with HDlive Flow and HDlive Flow silhouette rendering modes. Ultrasonography 2022, 41, 578–596. [Google Scholar] [CrossRef]
- Tie, H.X.; Ma, B.; Zhang, D.C.; Li, T.G. Prenatal diagnosis of fetal inferior vena cava malformation using HDlive flow combined with spatiotemporal image correlation. Echocardiography 2022, 39, 685–690. [Google Scholar] [CrossRef]
- Li, T.G.; Ma, B.; Gao, Y.H.; Zhang, R.H.; Li, P.L.; Da, Z.Q. Prenatal diagnosis of total anomalous pulmonary venous connection using 2D and HDlive flow combined with spatiotemporal image correlation. Echocardiography 2022, 39, 1269–1275. [Google Scholar] [CrossRef]
- Karmegaraj, B.; Kumar, S.; Srimurugan, B.; Sudhakar, A.; Simpson, J.M.; Vaidyanathan, B. 3D/4D spatiotemporal image correlation (STIC) fetal echocardiography provides incremental benefit over 2D fetal echocardiography in predicting postnatal surgical approach in double-outlet right ventricle. Ultrasound Obstet. Gynecol. 2021, 57, 423–430. [Google Scholar] [CrossRef]
- Magioli Bravo-Valenzuela, N.J.; Malho, A.S.; Nieblas, C.O.; Castro, P.T.; Werner, H.; Araujo Júnior, E. Evolution of Fetal Cardiac Imaging over the Last 20 Years. Diagnostics 2023, 13, 3509. [Google Scholar] [CrossRef]
- Seale, A.N.; Carvalho, J.S.; Gardiner, H.M.; Mellander, M.; Roughton, M.; Simpson, J.; Tometzki, A.; Uzun, O.; Webber, S.A.; Daubeney, P.E.; et al. Total anomalous pulmonary venous connection: Impact of prenatal diagnosis. Ultrasound Obstet. Gynecol. 2012, 40, 310–318. [Google Scholar] [CrossRef]
- Bravo-Valenzuela, N.J.M.; Peixoto, A.B.; Araujo Júnior, E. Prenatal diagnosis of total anomalous pulmonary venous connection: 2D and 3D echocardiographic findings. J. Clin. Ultrasound 2021, 49, 240–247. [Google Scholar] [CrossRef] [PubMed]
- Yagel, S.; Kivilevitch, Z.; Cohen, S.M.; Valsky, D.V.; Messing, B.; Shen, O.; Achiron, R. The fetal venous system, part I: Normal embryology, anatomy, hemodynamics, ultrasound evaluation and Doppler investigation. Ultrasound Obstet. Gynecol. 2010, 35, 741–750. [Google Scholar] [CrossRef] [PubMed]
- Wolman, I.; Gull, I.; Fait, G.; Amster, R.; Kupferminc, M.J.; Lessing, J.B.; Jaffa, A.J. Persistent right umbilical vein: Incidence and significance. Ultrasound Obstet. Gynecol. 2002, 19, 562–564. [Google Scholar] [CrossRef] [PubMed]
- Weichert, J.; Hartge, D.; Germer, U.; Axt-Fliedner, R.; Gembruch, U. Persistent right umbilical vein: A prenatal condition worth mentioning? Ultrasound Obstet. Gynecol. 2011, 37, 543–548. [Google Scholar] [CrossRef]
- Lide, B.; Lindsley, W.; Foster, M.J.; Hale, R.; Haeri, S. Intrahepatic persistent right umbilical vein and associated outcomes: A systematic review of the literature. J. Ultrasound Med. 2016, 35, 1–5. [Google Scholar] [CrossRef]
- Strizek, B.; Zamprakou, A.; Gottschalk, I.; Roethlisberger, M.; Hellmund, A.; Müller, A.; Gembruch, U.; Geipel, A.; Berg, C. Prenatal diagnosis of agenesis of ductus venosus: A retrospective study of anatomic variants, associated anomalies and impact on postnatal outcome. Ultraschall Med. 2019, 40, 333–339. [Google Scholar] [CrossRef]
- Pacheco, D.; Brandão, O.; Montenegro, N.; Matias, A. Ductus venosus agenesis and fetal malformations: What can we expect?—A systematic review of the literature. J. Perinat. Med. 2019, 47, 1–11. [Google Scholar] [CrossRef]
- Turan, S.; Turan, O.M.; Desai, A.; Harman, C.R.; Baschat, A.A. First-trimester fetal cardiac examination using spatiotemporal image correlation, tomographic ultrasound and color Doppler imaging for the diagnosis of complex congenital heart disease in high-risk patients. Ultrasound Obstet. Gynecol. 2014, 44, 562–567. [Google Scholar] [CrossRef] [PubMed]
- Rizzo, G.; Capponi, A.; Cavicchioni, O.; Vendola, M.; Pietrolucci, M.E.; Arduini, D. Application of automated sonography on 4-dimensional volumes of fetuses with transposition of the great arteries. J. Ultrasound Med. 2008, 27, 771–776. [Google Scholar] [CrossRef]
- Shih, J.C.; Shyu, M.K.; Su, Y.N.; Chiang, Y.C.; Lin, C.H.; Lee, C.N. ‘Big-eyed frog’ sign on spatiotemporal image correlation (STIC) in the antenatal diagnosis of transposition of the great arteries. Ultrasound Obstet. Gynecol. 2008, 32, 762–768. [Google Scholar] [CrossRef]
- Araujo Júnior, E.; Tonni, G.; Bravo-Valenzuela, N.J.; Da Silva Costa, F.; Meagher, S. Assessment of Fetal Congenital Heart Diseases by 4-Dimensional Ultrasound Using Spatiotemporal Image Correlation: Pictorial Review. Ultrasound Q. 2018, 34, 11–17. [Google Scholar] [CrossRef] [PubMed]
- Gottschalk, I.; Walter, A.; Menzel, T.; Weber, E.C.; Wendt, S.; Sreeram, N.; Gembruch, U.; Berg, C.; Abel, J.S. D-Transposition of the great arteries with restrictive foramen ovale in the fetus: The dilemma of predicting the need for postnatal urgent balloon atrial septostomy. Arch. Gynecol. Obstet. 2024, 309, 1353–1367. [Google Scholar] [CrossRef] [PubMed]
- Pontes, A.L.S.; Chagas, C.C.; Bravo-Valenzuela, N.J.; Peixoto, A.B.; Mappa, I.; Rizzo, G.; Tonni, G.; Araujo Júnior, E. Fetal heart foramen ovale area by three-dimensional ultrasound using stic in the rendering mode: Reference range and applicability in congenital heart diseases. Int. J. Cardiovasc. Imaging 2023, 39, 531–539. [Google Scholar] [CrossRef]
- Freud, L.R.; Wilkins-Haug, L.E.; Beroukhim, R.S.; LaFranchi, T.; Phoon, C.K.; Glickstein, J.S.; Cumbermack, K.M.; Makhoul, M.; Morris, S.A.; Sun, H.Y.; et al. Effect of In Utero Non-Steroidal Anti-Inflammatory Drug Therapy for Severe Ebstein Anomaly or Tricuspid Valve Dysplasia (NSAID Therapy for Fetal Ebstein anomaly). Am. J. Cardiol. 2021, 141, 106–112. [Google Scholar] [CrossRef]
- Hirano, Y.; Masuyama, H.; Hayata, K.; Eto, E.; Nobumoto, E.; Hiramatsu, Y. Prenatal Diagnosis of Interrupted Aortic Arch: Usefulness of Three-Vessel and Four-Chamber Views. Acta Med. Okayama 2016, 70, 485–491. [Google Scholar] [PubMed]
- Hata, T.; Koyanagi, A.; Yamanishi, T.; Bouno, S.; Takayoshi, R.; Miyagi, Y.; Miyake, T. Success rate of five fetal cardiac views using HDlive Flow with spatiotemporal image correlation at 18–21 and 28–31 weeks of gestation. J. Perinat. Med. 2020. online ahead of print. [Google Scholar] [CrossRef]
- Pappalardo, E.; Gulino, F.A.; Ettore, C.; Cannone, F.; Ettore, G. Body Stalk Anomaly Complicated by Ectopia Cordis: First-Trimester Diagnosis of Two Cases Using 2- and 3-Dimensional Sonography. J. Clin. Med. 2023, 12, 1896. [Google Scholar] [CrossRef]
- Zhang, S.; Wang, N.; Qu, P.; Shu, X.; Mi, Y.; Gao, X. Prenatal echocardiography diagnosis of a novel combination of bilateral ductus arteriosus and cardiovascular anomalies: A case report and literature review. Front. Cardiovasc. Med. 2024, 11, 1389759. [Google Scholar] [CrossRef]
- Pluym, I.D.; Sklansky, M.; Wu, J.Y.; Afshar, Y.; Holliman, K.; Devore, G.R.; Walden, A.; Platt, L.D.; Krakow, D. Fetal cardiac rhabdomyomas treated with maternal sirolimus. Prenat. Diagn. 2020, 40, 358–364. [Google Scholar] [CrossRef]
- Maász, A.; Bodó, T.; Till, Á.; Molnár, G.; Masszi, G.; Labossa, G.; Herbert, Z.; Bene, J.; Hadzsiev, K. Three-Year Follow-Up after Intrauterine mTOR Inhibitor Administration for Fetus with TSC-Associated Rhabdomyoma. Int. J. Mol. Sci. 2023, 24, 12886. [Google Scholar] [CrossRef]
- Qaderi, S.; Javinani, A.; Blumenfeld, Y.J.; Krispin, E.; Papanna, R.; Chervenak, F.A.; Shamshirsaz, A.A. Mammalian target of rapamycin inhibitors: A new-possible approach for in-utero medication therapy. Prenat. Diagn. 2024, 44, 88–98. [Google Scholar] [CrossRef] [PubMed]
- Kamil, D.; Geipel, A.; Schmitz, C.; Breuer, J.; Herberg, U.; Knöpfle, G.; Gembruch, U.; Berg, C. Fetal pericardial teratoma causing cardiac insufficiency: Prenatal diagnosis and therapy. Ultrasound Obstet. Gynecol. 2006, 28, 972–973. [Google Scholar] [CrossRef] [PubMed]
- Messing, B.; Cohen, S.M.; Valsky, D.V.; Rosenak, D.; Hochner-Celnikier, D.; Savchev, S.; Yagel, S. Fetal cardiac ventricle volumetry in the second half of gestation assessed by 4D ultrasound using STIC combined with inversion mode. Ultrasound Obstet. Gynecol. 2007, 30, 142–151. [Google Scholar] [CrossRef] [PubMed]
- Simioni, C.; Nardozza, L.M.; Araujo Júnior, E.; Rolo, L.C.; Zamith, M.; Caetano, A.C.; Moron, A.F. Heart stroke volume, cardiac output, and ejection fraction in 265 normal fetus in the second half of gestation assessed by 4D ultrasound using spatio-temporal image correlation. J. Matern. Fetal Neonatal Med. 2011, 24, 1159–1167. [Google Scholar] [CrossRef] [PubMed]
- Tedesco, G.D.; de Souza Bezerra, M.; Barros, F.S.; Martins, W.P.; Nardozza, L.M.; Carrilho, M.C.; Moron, A.F.; Carvalho, F.H.; Rolo, L.C.; Araujo Júnior, E. Reference Ranges of Fetal Cardiac Biometric Parameters Using Three-Dimensional Ultrasound with Spatiotemporal Image Correlation M Mode and Their Applicability in Congenital Heart Diseases. Pediatr. Cardiol. 2017, 38, 271–279. [Google Scholar] [CrossRef] [PubMed]
- Bravo-Valenzuela, N.J.; Peixoto, A.B.; Mattar, R.; Melo Júnior, J.F.; da Silva Pares, D.B.; Araujo Júnior, E. Fetal Cardiac Function and Ventricular Volumes Determined by Three-Dimensional Ultrasound Using STIC and VOCAL Methods in Fetuses from Pre-gestational Diabetic Women. Pediatr. Cardiol. 2020, 41, 1125–1134. [Google Scholar] [CrossRef]
- Tanis, J.C.; Mohammed, N.; Bennasar, M.; Martinez, J.M.; Bijnens, B.; Crispi, F.; Gratacos, E. Online versus offline spatiotemporal image correlation (STIC) M-mode for the evaluation of cardiac longitudinal annular displacement in fetal growth restriction. J. Matern. Fetal Neonatal Med. 2018, 31, 1845–1850. [Google Scholar] [CrossRef]
- Yeo, L.; Romero, R. Fetal Intelligent Navigation Echocardiography (FINE): A Novel Method for Rapid, Simple, and Automatic Examination of the Fetal Heart. Ultrasound Obstet. Gynecol. 2013, 42, 268–284. [Google Scholar] [CrossRef]
- Carrillo, M.C.; Rolo, L.C.; Tonni, G.; Araujo Júnior, E. Evaluation of the quality of standard fetal heart views using the FAST, STAR and FINE four-dimensional ultrasound techniques in congenital heart disease screening. Echocardiography 2020, 37, 114–123. [Google Scholar] [CrossRef]
- Yeo, L.; Romero, R. Color and power Doppler combined with Fetal Intelligent Navigation Echocardiography (FINE) to evaluate the fetal heart. Ultrasound Obstet. Gynecol. 2017, 50, 476–491. [Google Scholar] [CrossRef]
- Yeo, L.; Romero, R. Intelligent navigation to improve obstetrical sonography. Ultrasound Obstet. Gynecol. 2016, 47, 403–409. [Google Scholar] [CrossRef] [PubMed]
- Rizzo, G.; Pietrolucci, M.E.; Capponi, A.; Mappa, I. Exploring the role of artificial intelligence in the study of the foetal heart. Int. J. Cardiovasc. Imaging 2022, 38, 1017–1019. [Google Scholar] [CrossRef] [PubMed]
- Wu, H.; Wu, B.; Lai, F.; Liu, P.; Lyu, G.; He, S.; Dai, J. Application of Artificial Intelligence in Recognising the Anatomical Structure of Fetal Heart Standard Section. Comput. Math. Methods Med. 2023, 2023, 5650378. [Google Scholar] [CrossRef] [PubMed]
- Pietrolucci, M.E.; Maqina, P.; Mappa, I.; Marra, M.C.; D’Antonio, F.; Rizzo, G. Evaluation of an artificial intelligent algorithm (Heart Assist™) to automatically assess the quality of second trimester cardiac views: A prospective study. J. Perinat. Med. 2023, 51, 920–924. [Google Scholar] [CrossRef]
- Rodenbarger, A.; Thorsson, T.; Stiver, C.; Jantzen, D.; Chevenon, M.; Yu, S.; Lowery, R.; Gelehrter, S. Third trimester predictors of interventional timing and accuracy of fetal anticipatory guidance in tetralogy of Fallot: A multi-center study. Prenat. Diagn. 2020, 40, 870–877. [Google Scholar] [CrossRef]
- Ungureanu, A.; Marcu, A.S.; Patru, C.L.; Ruican, D.; Nagy, R.; Stoean, R.; Iliescu, D.G. Learning deep architectures for the interpretation of first-trimester fetal echocardiography (LIFE)—A study protocol for developing an automated intelligent decision support system for early fetal echocardiography. BMC Pregnancy Childbirth 2023, 23, 20. [Google Scholar] [CrossRef]
- Nieblas, C.O.; Bravo-Valenzuela, N.J.; Araujo Júnior, E.; Werner, H. Fetal transposition of the great arteries: 3D virtual and physical models from ultrasound datasets. Int. J. Cardiovasc. Imaging 2024, 40, 1157–1158. [Google Scholar] [CrossRef]
- Pires, G.D.V.; Nieblas, C.O.; Bravo-Valenzuela, N.J.; Araujo Júnior, E.; Castro, P.T.; Werner, H. Ebstein anomaly: 3D virtual and physical models from obstetrical ultrasound data. Echocardiography 2024, 41, e15806. [Google Scholar] [CrossRef] [PubMed]
- Acar, P.; Hadeed, K.; Dulac, Y. Advances in 3D echocardiography: From foetus to printing. Arch. Cardiovasc. Dis. 2016, 109, 84–86. [Google Scholar] [CrossRef]
- Chen, S.A.; Ong, C.S.; Hibino, N.; Baschat, A.A.; Garcia, J.R.; Miller, J.L. 3D printing of fetal heart using 3D ultrasound imaging data. Ultrasound Obstet. Gynecol. 2018, 52, 808–809. [Google Scholar] [CrossRef]
- Aly, D.M.; Shah, S. Three-Dimensional Echocardiography Derived Printing: A Review of Workflow, Current, and Future Applications. Curr. Cardiol. Rep. 2023, 25, 597–605. [Google Scholar] [CrossRef] [PubMed]
- Werner, H.; Ribeiro, G.; Arcoverde, V.; Lopes, J.; Velho, L. The use of metaverse in fetal medicine and gynecology. Eur. J. Radiol. 2022, 150, 110241. [Google Scholar] [CrossRef] [PubMed]
- Lloyd, D.F.A.; Pushparajah, K.; Simpson, J.M.; van Amerom, J.F.P.; van Poppel, M.P.M.; Schulz, A.; Kainz, B.; Deprez, M.; Lohezic, M.; Allsop, J.; et al. Three-dimensional visualisation of the fetal heart using prenatal MRI with motion-corrected slice-volume registration: A prospective, single-centre cohort study. Lancet 2019, 393, 1619–1627. [Google Scholar] [CrossRef] [PubMed]
- Lloyd, D.F.A.; van Poppel, M.P.M.; Pushparajah, K.; Vigneswaran, T.V.; Zidere, V.; Steinweg, J.; van Amerom, J.F.P.; Roberts, T.A.; Schulz, A.; Charakida, M.; et al. Analysis of 3-Dimensional Arch Anatomy, Vascular Flow, and Postnatal Outcome in Cases of Suspected Coarctation of the Aorta Using Fetal Cardiac Magnetic Resonance Imaging. Circ. Cardiovasc. Imaging 2021, 14, e012411. [Google Scholar] [CrossRef]
- Zhang, X.; Zhu, M.; Dong, S.Z. Utility of fetal cardiovascular magnetic resonance imaging in assessing the fetuses with complete vascular ring. Front. Pediatr. 2023, 11, 1159130. [Google Scholar] [CrossRef]
- Ulm, B.; Muin, D.; Scharrer, A.; Prayer, D.; Dovjak, G.; Kasprian, G. Prenatal ultrasound and magnetic resonance evaluation and fetal outcome in high-risk fetal tumors: A retrospective single-center cohort study over 20 years. Acta Obstet. Gynecol. Scand. 2020, 99, 1534–1545. [Google Scholar] [CrossRef]
- Prayer, D. Fetal MRI. Top Magn. Reson. Imaging 2011, 22, 89. [Google Scholar] [CrossRef]
- Manganaro, L.; Savelli, S.; Di Maurizio, M.; Francioso, A.; Fierro, F.; Tomei, A.; Coratella, F.; Ballesio, L.; Ventriglia, F. Fetal MRI of the cardiovascular system: Role of steady-state free precession sequences for the evaluation of normal and pathological appearances. Radiol. Med. 2009, 114, 852–870. [Google Scholar] [CrossRef]
- Salehi, D.; Fricke, K.; Bhat, M.; Arheden, H.; Liuba, P.; Hedström, E. Utility of fetal cardiovascular magnetic resonance for prenatal diagnosis of complex congenital heart defects. JAMA Netw. Open 2021, 4, e213538. [Google Scholar]
- Liu, K.; Zhu, M.; Zhang, Y.Q.; Chen, L.J.; Dong, S.Z. Utility of fetal cardiac magnetic resonance imaging in assessing the cardiac axis in fetuses with congenital heart disease. Pediatr. Radiol. 2023, 53, 910–919. [Google Scholar] [CrossRef]
- Goncalves, L.F.; Lindblade, C.L.; Cornejo, P.; Patel, M.C.; McLaughlin, E.S.; Bardo, D.M.E. Contribution of fetal magnetic resonance imaging in fetuses with congenital heart disease. Pediatr. Radiol. 2022, 52, 513–526. [Google Scholar] [CrossRef] [PubMed]
- Rubert, N.C.; Jategaonkar, G.; Plasencia, J.D.; Lindblade, C.L.; Bardo, D.M.E.; Goncalves, L.F. Four-dimensional fetal cardiac imaging in a cohort of fetuses with suspected congenital heart disease. Pediatr. Radiol. 2023, 53, 198–209. [Google Scholar] [CrossRef] [PubMed]


























| Method | Clinical Applications and Advantages | Limitations |
|---|---|---|
| STIC | Acquisition of 150 images/s (cardiac volumes) Reconstruction of the cardiac volumes, elucidating complex CHD Off-line assessment, tele-medicine assistance Addition of other modalities: inversion mode, Doppler, TUI, HDlive, VOCAL | Availability of 3DUS machines with STIC software Unfavorable fetal statics Maternal obesity Fetal movements and maternal respiratory movements |
| HDlive and SRV | Detailed reconstruction of cardiac structures Realistic images | Availability of 3DUS machines with STIC software |
| HDFlow and HD Doppler modalities | Better resolution for margins of the vessels with less blooming Detail and sensitivity of blood flow | Availability of 3DUS machines with HDFlow and HD Doppler software |
| MVFlow, LumiFlow | Evaluation of the fetal microvasculature, especially the great arteries | Availability of 3DUS machines with MVFlow and LumiFlow software |
| FINE (“5D heart”) | Intelligent navigation Automated reconstruction of the 9 planes of fetal echocardiography Reduce examination time Tele-medicine assistance | Availability of 3DUS machines with FINE software Unfavorable fetal statics and maternal obesity |
| HeartAssist (AI software) | Recognize fetal heart structures Perform automatic measurements Reduce examination time Minimize measurement errors related to operator-examinator variations | Availability of 3DUS machines with HeartAssist software |
| 3D physical models and VR | More comprehensive understanding of the cardiac anatomy (parental counselling, patient care, health professional education) Training and planning of surgical procedures in virtual simulation rooms | Cost of virtual navigation software and 3D printers |
Disclaimer/Publisher’s Note: The statements, opinions and data contained in all publications are solely those of the individual author(s) and contributor(s) and not of MDPI and/or the editor(s). MDPI and/or the editor(s) disclaim responsibility for any injury to people or property resulting from any ideas, methods, instructions or products referred to in the content. |
© 2024 by the authors. Licensee MDPI, Basel, Switzerland. This article is an open access article distributed under the terms and conditions of the Creative Commons Attribution (CC BY) license (https://creativecommons.org/licenses/by/4.0/).
Share and Cite
Bravo-Valenzuela, N.J.; Giffoni, M.C.; Nieblas, C.d.O.; Werner, H.; Tonni, G.; Granese, R.; Gonçalves, L.F.; Araujo Júnior, E. Three-Dimensional Ultrasound for Physical and Virtual Fetal Heart Models: Current Status and Future Perspectives. J. Clin. Med. 2024, 13, 7605. https://doi.org/10.3390/jcm13247605
Bravo-Valenzuela NJ, Giffoni MC, Nieblas CdO, Werner H, Tonni G, Granese R, Gonçalves LF, Araujo Júnior E. Three-Dimensional Ultrasound for Physical and Virtual Fetal Heart Models: Current Status and Future Perspectives. Journal of Clinical Medicine. 2024; 13(24):7605. https://doi.org/10.3390/jcm13247605
Chicago/Turabian StyleBravo-Valenzuela, Nathalie Jeanne, Marcela Castro Giffoni, Caroline de Oliveira Nieblas, Heron Werner, Gabriele Tonni, Roberta Granese, Luis Flávio Gonçalves, and Edward Araujo Júnior. 2024. "Three-Dimensional Ultrasound for Physical and Virtual Fetal Heart Models: Current Status and Future Perspectives" Journal of Clinical Medicine 13, no. 24: 7605. https://doi.org/10.3390/jcm13247605
APA StyleBravo-Valenzuela, N. J., Giffoni, M. C., Nieblas, C. d. O., Werner, H., Tonni, G., Granese, R., Gonçalves, L. F., & Araujo Júnior, E. (2024). Three-Dimensional Ultrasound for Physical and Virtual Fetal Heart Models: Current Status and Future Perspectives. Journal of Clinical Medicine, 13(24), 7605. https://doi.org/10.3390/jcm13247605

