Strain Analysis for Early Detection of Fibrosis in Arrhythmogenic Cardiomyopathy: Insights from a Preliminary Study
Abstract
1. Introduction
2. Materials and Methods
2.1. Study Population
2.2. Echocardiographic Evaluation
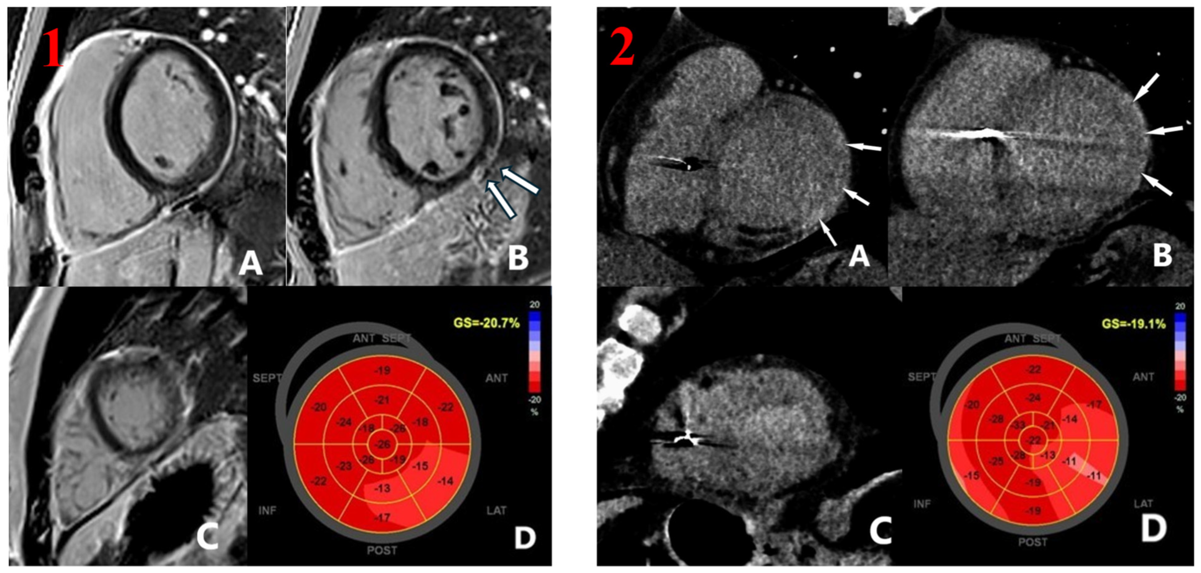
2.3. Cardiac Magnetic Resonance Imaging
2.4. Cardiac Computed Tomography Imaging
2.5. Statistical Analysis
3. Results
3.1. Baseline Clinical Characteristics
3.2. Echocardiographic Parameters
3.3. Regional Myocardial Strain
3.4. Late Enhancement and Myocardial Strain Evaluation
4. Discussion
5. Conclusions
Supplementary Materials
Author Contributions
Funding
Institutional Review Board Statement
Informed Consent Statement
Data Availability Statement
Conflicts of Interest
References
- Corrado, D.; Basso, C.; Judge, D.P. Arrhythmogenic Cardiomyopathy. Circ. Res. 2017, 121, 784–802. [Google Scholar] [CrossRef] [PubMed]
- Bosman, L.P.; Te Riele, A.S.J.M. Arrhythmogenic Right Ventricular Cardiomyopathy: A Focused Update on Diagnosis and Risk Stratification. Heart 2022, 108, 90–97. [Google Scholar] [CrossRef] [PubMed]
- Marcus, F.I.; McKenna, W.J.; Sherrill, D.; Basso, C.; Bauce, B.; Bluemke, D.A.; Calkins, H.; Corrado, D.; Cox, M.G.P.J.; Daubert, J.P.; et al. Diagnosis of Arrhythmogenic Right Ventricular Cardiomyopathy/Dysplasia: Proposed Modification of the Task Force Criteria. Eur. Heart J. 2010, 31, 806–814. [Google Scholar] [CrossRef] [PubMed]
- Corrado, D.; Perazzolo Marra, M.; Zorzi, A.; Beffagna, G.; Cipriani, A.; Lazzari, M.D.; Migliore, F.; Pilichou, K.; Rampazzo, A.; Rigato, I.; et al. Diagnosis of Arrhythmogenic Cardiomyopathy: The Padua Criteria. Int. J. Cardiol. 2020, 319, 106–114. [Google Scholar] [CrossRef]
- Namasivayam, M.; Bertrand, P.B.; Bernard, S.; Churchill, T.W.; Khurshid, S.; Marcus, F.I.; Mestroni, L.; Saffitz, J.E.; Towbin, J.A.; Zareba, W.; et al. Utility of Left and Right Ventricular Strain in Arrhythmogenic Right Ventricular Cardiomyopathy: A Prospective Multicenter Registry. Circ. Cardiovasc. Imaging 2023, 16, e015671. [Google Scholar] [CrossRef]
- Réant, P.; Hauer, A.D.; Castelletti, S.; Pantazis, A.; Rosmini, S.; Cheang, M.H.; Peyrou, J.; Tomé-Esteban, M.; Syrris, P.; Lafitte, S.; et al. Epicardial Myocardial Strain Abnormalities May Identify the Earliest Stages of Arrhythmogenic Cardiomyopathy. Int. J. Cardiovasc. Imaging 2016, 32, 593–601. [Google Scholar] [CrossRef]
- Grimault, D.; Serfaty, J.-M.; Guyomarch, B.; Marteau, L.; Goudal, A.; Schmitt, S.; Warin-Fresse, K.; Clero, S.; Fellah, I.; Thollet, A.; et al. Description of the Two-Dimensional Layer-Specific Strain Echocardiography Phenotype of Arrhythmogenic Left Ventricular Cardiomyopathy. J. Am. Soc. Echocardiogr. 2024, 37, 960–970. [Google Scholar] [CrossRef]
- Palmisano, A.; Vignale, D.; Benedetti, G.; Del Maschio, A.; De Cobelli, F.; Esposito, A. Late Iodine Enhancement Cardiac Computed Tomography for Detection of Myocardial Scars: Impact of Experience in the Clinical Practice. Radiol. Med. 2020, 125, 128–136. [Google Scholar] [CrossRef]
- Lang, R.M.; Badano, L.P.; Mor-Avi, V.; Afilalo, J.; Armstrong, A.; Ernande, L.; Flachskampf, F.A.; Foster, E.; Goldstein, S.A.; Kuznetsova, T.; et al. Recommendations for Cardiac Chamber Quantification by Echocardiography in Adults: An Update from the American Society of Echocardiography and the European Association of Cardiovascular Imaging. J. Am. Soc. Echocardiogr. 2015, 28, 1–39.e14. [Google Scholar] [CrossRef]
- Gottdiener, J.S.; Bednarz, J.; Devereux, R.; Gardin, J.; Klein, A.; Manning, W.J.; Morehead, A.; Kitzman, D.; Oh, J.; Quinones, M.; et al. American Society of Echocardiography Recommendations for Use of Echocardiography in Clinical Trials. J. Am. Soc. Echocardiogr. 2004, 17, 1086–1119. [Google Scholar] [CrossRef]
- Foale, R.; Nihoyannopoulos, P.; McKenna, W.; Kleinebenne, A.; Nadazdin, A.; Rowland, E.; Smith, G. Echocardiographic Measurement of the Normal Adult Right Ventricle. Br. Heart J. 1986, 56, 33–44. [Google Scholar] [CrossRef] [PubMed]
- Leitman, M.; Lysyansky, P.; Sidenko, S.; Shir, V.; Peleg, E.; Binenbaum, M.; Kaluski, E.; Krakover, R.; Vered, Z. Two-Dimensional Strain—A Novel Software for Real-Time Quantitative Echocardiographic Assessment of Myocardial Function. J. Am. Soc. Echocardiogr. 2004, 17, 1021–1029. [Google Scholar] [CrossRef] [PubMed]
- Haugaa, K.H.; Basso, C.; Badano, L.P.; Bucciarelli-Ducci, C.; Cardim, N.; Gaemperli, O.; Galderisi, M.; Habib, G.; Knuuti, J.; Lancellotti, P.; et al. Comprehensive Multi-Modality Imaging Approach in Arrhythmogenic Cardiomyopathy—An Expert Consensus Document of the European Association of Cardiovascular Imaging. Eur. Heart J. Cardiovasc. Imaging 2017, 18, 237–253. [Google Scholar] [CrossRef] [PubMed]
- Haugaa, K.H.; Grenne, B.L.; Eek, C.H.; Ersbøll, M.; Valeur, N.; Svendsen, J.H.; Florian, A.; Sjøli, B.; Brunvand, H.; Køber, L.; et al. Strain Echocardiography Improves Risk Prediction of Ventricular Arrhythmias After Myocardial Infarction. JACC Cardiovasc. Imaging 2013, 6, 841–850. [Google Scholar] [CrossRef] [PubMed]
- Cipriani, A.; Zorzi, A.; Sarto, P.; Donini, M.; Rigato, I.; Bariani, R.; De Lazzari, M.; Pilichou, K.; Thiene, G.; Iliceto, S.; et al. Predictive Value of Exercise Testing in Athletes with Ventricular Ectopy Evaluated by Cardiac Magnetic Resonance. Heart Rhythm. 2019, 16, 239–248. [Google Scholar] [CrossRef]
- Pergola, V.; Pradegan, N.; Cozza, E.; Cozac, D.A.; Cao, I.; Tessari, C.; Savo, M.T.; Toscano, G.; Angelini, A.; Tarzia, V.; et al. Redefining CAV Surveillance Strategies: Benefits of CCTA vs. ICA. J. Cardiovasc. Comput. Tomogr. 2024. [Google Scholar] [CrossRef]
- Oda, S.; Emoto, T.; Nakaura, T.; Kidoh, M.; Utsunomiya, D.; Funama, Y.; Nagayama, Y.; Takashio, S.; Ueda, M.; Yamashita, T.; et al. Myocardial Late Iodine Enhancement and Extracellular Volume Quantification with Dual-Layer Spectral Detector Dual-Energy Cardiac CT. Radiol. Cardiothorac. Imaging 2019, 1, e180003. [Google Scholar] [CrossRef]
- Cipriani, A.; Bauce, B.; De Lazzari, M.; Rigato, I.; Bariani, R.; Meneghin, S.; Pilichou, K.; Motta, R.; Aliberti, C.; Thiene, G.; et al. Arrhythmogenic Right Ventricular Cardiomyopathy: Characterization of Left Ventricular Phenotype and Differential Diagnosis with Dilated Cardiomyopathy. J. Am. Heart Assoc. 2020, 9, e014628. [Google Scholar] [CrossRef]
- Cohen, O.C.; Ismael, A.; Pawarova, B.; Manwani, R.; Ravichandran, S.; Law, S.; Foard, D.; Petrie, A.; Ward, S.; Douglas, B.; et al. Longitudinal Strain Is an Independent Predictor of Survival and Response to Therapy in Patients with Systemic AL Amyloidosis. Eur. Heart J. 2022, 43, 333–341. [Google Scholar] [CrossRef]
- Lafitte, S.; Perlant, M.; Reant, P.; Serri, K.; Douard, H.; DeMaria, A.; Roudaut, R. Impact of Impaired Myocardial Deformations on Exercise Tolerance and Prognosis in Patients with Asymptomatic Aortic Stenosis. Eur. J. Echocardiogr. 2009, 10, 414–419. [Google Scholar] [CrossRef]
- Anwer, S.; Stollenwerk, L.; Winkler, N.E.; Guastafierro, F.; Hebeisen, M.; Akdis, D.; Saguner, A.M.; Brunckhorst, C.; Duru, F.; Tanner, F.C. Right Heart Strain in Arrhythmogenic Right Ventricular Cardiomyopathy: Implications for Cardiovascular Outcome. Eur. Heart J. Cardiovasc. Imaging 2024, 25, 1061–1068. [Google Scholar] [CrossRef] [PubMed]
- Kirkels, F.P.; Rootwelt-Norberg, C.; Bosman, L.P.; Aabel, E.W.; Muller, S.A.; Castrini, A.I.; Taha, K.; van Osta, N.; Lie, Ø.H.; Asselbergs, F.W.; et al. The Added Value of Abnormal Regional Myocardial Function for Risk Prediction in Arrhythmogenic Right Ventricular Cardiomyopathy. Eur. Heart J. Cardiovasc. Imaging 2023, 24, 1710–1718. [Google Scholar] [CrossRef] [PubMed]
- Marcus, F.; Basso, C.; Gear, K.; Sorrell, V.L. Pitfalls in the Diagnosis of Arrhythmogenic Right Ventricular Cardiomyopathy/Dysplasia. Am. J. Cardiol. 2010, 105, 1036–1039. [Google Scholar] [CrossRef] [PubMed]
- Thiene, G.; Nava, A.; Corrado, D.; Rossi, L.; Pennelli, N. Right Ventricular Cardiomyopathy and Sudden Death in Young People. N. Engl. J. Med. 1988, 318, 129–133. [Google Scholar] [CrossRef] [PubMed]
- Voigt, J.-U.; Pedrizzetti, G.; Lysyansky, P.; Marwick, T.H.; Houle, H.; Baumann, R.; Pedri, S.; Ito, Y.; Abe, Y.; Metz, S.; et al. Definitions for a Common Standard for 2D Speckle Tracking Echocardiography: Consensus Document of the EACVI/ASE/Industry Task Force to Standardize Deformation Imaging. Eur. Heart J. Cardiovasc. Imaging 2015, 16, 1–11. [Google Scholar] [CrossRef] [PubMed]
- Taylor, R.J.; Moody, W.E.; Umar, F.; Edwards, N.C.; Taylor, T.J.; Stegemann, B.; Townend, J.N.; Hor, K.N.; Steeds, R.P.; Mazur, W.; et al. Myocardial Strain Measurement with Feature-Tracking Cardiovascular Magnetic Resonance: Normal Values. Eur. Heart J. Cardiovasc. Imaging 2015, 16, 871–881. [Google Scholar] [CrossRef]
- Karakasis, P.; Patoulias, D.; Popovic, D.S.; Pamporis, K.; Theofilis, P.; Nasoufidou, A.; Stachteas, P.; Samaras, A.; Tzikas, A.; Giannakoulas, G.; et al. Effects of Mineralocorticoid Receptor Antagonists on New-Onset or Recurrent Atrial Fibrillation: A Bayesian and Frequentist Network Meta-Analysis of Randomized Trials. Curr. Probl. Cardiol. 2024, 49, 102742. [Google Scholar] [CrossRef]
- Shen, M.-T.; Yang, Z.-G.; Diao, K.-Y.; Jiang, L.; Zhang, Y.; Liu, X.; Gao, Y.; Hu, B.-Y.; Huang, S.; Guo, Y.-K. Left Ventricular Involvement in Arrhythmogenic Right Ventricular Dysplasia/Cardiomyopathy Predicts Adverse Clinical Outcomes: A Cardiovascular Magnetic Resonance Feature Tracking Study. Sci. Rep. 2019, 9, 14235. [Google Scholar] [CrossRef]
- Sarvari, S.I.; Haugaa, K.H.; Anfinsen, O.-G.; Leren, T.P.; Smiseth, O.A.; Kongsgaard, E.; Amlie, J.P.; Edvardsen, T. Right Ventricular Mechanical Dispersion Is Related to Malignant Arrhythmias: A Study of Patients with Arrhythmogenic Right Ventricular Cardiomyopathy and Subclinical Right Ventricular Dysfunction. Eur. Heart J. 2011, 32, 1089–1096. [Google Scholar] [CrossRef]

| Parameters | Overall (n = 64 Patients) |
|---|---|
| Age (years) | 42 ± 15 |
| Male gender (n, %) | 46 (71.8%) |
| Body surface area (BSA), (kg/m2) | 1.8 ± 0.1 |
| Types of arrhythmogenic cardiomyopathy | |
| Right dominant (n, %) | 13 (20.3%) |
| Biventricular (n, %) | 34 (53.1%) |
| Left dominant (n, %) | 17 (26.5%) |
| Cardiovascular risk factors | |
| Family history of arrhythmogenic cardiomyopathy (n, %) | 35 (54.6%) |
| Family history of sudden cardiac death (n, %) | 11 (17.1%) |
| Arterial hypertension (n, %) | 5 (7.8%) |
| Dyslipidemia (n, %) | 9 (14.0%) |
| Smoking (n, %) | 1 (1.5%) |
| Diabetes mellitus (n, %) | 1 (1.5%) |
| Inflammatory/autoimmune disease (n, %) | 3 (4.6%) |
| Clinical presentation | |
| Chest pain (n, %) | 1 (1.5%) |
| Palpitations (n, %) | 4 (6.2%) |
| Dyspnea (n, %) | 1 (1.5%) |
| Supraventricular tachycardia (n, %) | 2 (3.1%) |
| Ventricular tachycardia (n, %) | 17 (26.5%) |
| Ventricular fibrillation (n, %) | 6 (9.3%) |
| Syncope (n, %) | 12 (18.7%) |
| Implantable cardioverter defibrillator (n, %) | 28 (43.7%) |
| Primary prevention of sudden cardiac death (n, %) | 14 (21.8%) |
| Coronary artery disease (n, %) | 0 (0%) |
| Previous percutaneous coronary intervention (n, %) | 0 (0%) |
| Beta blockers (n, %) | 54 (84.3% |
| Calcium antagonists (n, %) | 2 (3.1%) |
| Renin–angiotensin–aldosterone inhibitors (n, %) | 13 (20.3%) |
| Antialdosteronic (n, %) | 2 (3.1%) |
| Angiotensin receptor/neprilysin inhibitor (n, %) | 1 (1.5%) |
| Amiodarone (n, %) | 4 (6.2%) |
| Echocardiographic Characteristics | Overall (n = 64) |
|---|---|
| Interventricular septum (mm) | 9 (8–10) |
| Telediastolic left ventricle diameter (mm) | 51 (45–55) |
| Posterior wall (mm) | 8 (7–9) |
| Left ventricle telediastolic volume indexed (mL/m2) | 66 ± 15 |
| Left ventricle ejection fraction (%) | 58 (52–62) |
| Indexed right ventricle area | 15.2 (12.0–19.6) |
| Fractional area change (%) | 35 ± 10 |
| Tricuspid annular plane systolic excursion (mm) | 21 (18–24) |
| S’ Right ventricle (cm/s) | 10 (8.8–12.0) |
| Left ventricle global longitudinal strain (%) | −17.9 ± 3.3 |
| Mechanical dispersion (ms) | 56 (44–67.7) |
| Myocardial work index (mmHg%) | 1609 (1074–1906) |
| Constructive myocardial work (mmHg%) | 1711 (1318–2055)) |
| Myocardial work wasted (mmHg%) | 96 (73.8–174.5) |
| Myocardial work efficiency (%) | 94 (89.5–95.5) |
| Global right ventricle strain | −16.7 (−19.4–−11.4) |
| Basal | Mid | Apical | |
|---|---|---|---|
| Anterior | −16.6 ± 4.0 | −19.2 ± 4.7 | −18.0 ± 5.7 |
| Anteroseptal | −17.1 ± 4.4 | −19.6 ± 5.0 | −22.4 ± 6.5 |
| Inferoseptal | −19.4 ± 4.7 | −18.7 ± 5.2 | |
| Inferior | −17.2 ± 5.9 | −16.3 ± 4.0 | −20.7 ± 6.6 |
| Inferolateral | −16.0 ± 6.2 | −16.8 ±4.9 | −18.5 ± 5.6 |
| Anterolateral | −18.3 ± 4.3 | −18.1 ± 4.2 | |
| Apex | −22.4 ± 6.1 | ||
| Basal | Mid | Apical | |
|---|---|---|---|
| Anterior | 14 (24.5%) | 15 (26.3%) | 15 (26.3%) |
| Anteroseptal | 9 (15.7%) | 10 (17.5%) | 9 (15.7%) |
| Inferoseptal | 11 (19.2%) | 16 (28.0%) | |
| Inferior | 20 (35.0%) | 23 (40.3%) | 19 (33.3%) |
| Inferolateral | 20 (35.0%) | 24 (42.1%) | 22 (38.5%) |
| Anterolateral | 22 (38.5%) | 27 (47.3%) | |
| Apex | 9 (15.7%) | ||
| Basal | Mid | Apical | |
|---|---|---|---|
| Anterior | >−12.5% | >−12.9% | >−14.5% |
| Anteroseptal | >−12.9% | >−13.5% | >−18.5% |
| Inferoseptal | >−13.5% | >−12.5% | |
| Inferior | >−10.5% | >−12.5% | >−16.5% |
| Inferolateral | >−11.5% | >−14.5% | >−14.2% |
| Anterolateral | >−12.5% | >−14.5% | |
| Apex | >−18.5% | ||
| LV Regional Strain/Each Segment) | OR | 95%CI | p-Value |
|---|---|---|---|
| Strain segment 1 > −12.5% | 3 | 0.7–11.9 | 0.11 |
| Strain segment 2 > −12.9% | 2.3 | 0.3–14.5 | 0.3 |
| Strain segment 3 > −13.5% | 0.6 | 0.07–6.1 | 0.7 |
| Strain segment 4 > −10.5% | 1.4 | 0.2–7.0 | 0.6 |
| Strain segment 5 > −11.5% | 0.7 | 0.1–4.0 | 0.7 |
| Strain segment 6 > −12.5% | 1.2 | 0.2–6.0 | 0.8 |
| Strain segment 7 > −12.9% | 2.3 | 0.4–12.1 | 0.2 |
| Strain segment 8 > −13.5% | 1.7 | 0.2–10.0 | 0.5 |
| Strain segment 9 > −12.5% | 2.4 | 0.5–10.4 | 0.2 |
| Strain segment 10 > −12.5% | 1.1 | 0.2–5.5 | 0.8 |
| Strain segment 11 > −14.5% | 1.8 | 0.5–6.1 | 0.3 |
| Strain segment 12 > −14.5% | 7 | 1.3–36.1 | 0.02 |
| Strain segment 13 > −14.5% | 3.7 | 0.8–15.3 | 0.07 |
| Strain segment 14 > −18.5% | 2.4 | 0.5–11.8 | 0.2 |
| Strain segment 15 > −16.5% | 1.9 | 1.0–14.4 | 0.04 |
| Strain segment 16 > −14.2% | 1.1 | 0.3–4.3 | 0.8 |
| Strain segment 17 < −18.5% | 5.1 | 1.1–23.1 | 0.03 |
Disclaimer/Publisher’s Note: The statements, opinions and data contained in all publications are solely those of the individual author(s) and contributor(s) and not of MDPI and/or the editor(s). MDPI and/or the editor(s) disclaim responsibility for any injury to people or property resulting from any ideas, methods, instructions or products referred to in the content. |
© 2024 by the authors. Licensee MDPI, Basel, Switzerland. This article is an open access article distributed under the terms and conditions of the Creative Commons Attribution (CC BY) license (https://creativecommons.org/licenses/by/4.0/).
Share and Cite
Pergola, V.; Martini, M.; Amato, F.; Cozac, D.A.; Deola, P.; Rigato, I.; Mattesi, G.; Savo, M.T.; Lassandro, E.; Marzari, V.; et al. Strain Analysis for Early Detection of Fibrosis in Arrhythmogenic Cardiomyopathy: Insights from a Preliminary Study. J. Clin. Med. 2024, 13, 7436. https://doi.org/10.3390/jcm13237436
Pergola V, Martini M, Amato F, Cozac DA, Deola P, Rigato I, Mattesi G, Savo MT, Lassandro E, Marzari V, et al. Strain Analysis for Early Detection of Fibrosis in Arrhythmogenic Cardiomyopathy: Insights from a Preliminary Study. Journal of Clinical Medicine. 2024; 13(23):7436. https://doi.org/10.3390/jcm13237436
Chicago/Turabian StylePergola, Valeria, Marika Martini, Filippo Amato, Dan Alexandru Cozac, Petra Deola, Ilaria Rigato, Giulia Mattesi, Maria Teresa Savo, Eleonora Lassandro, Vittorio Marzari, and et al. 2024. "Strain Analysis for Early Detection of Fibrosis in Arrhythmogenic Cardiomyopathy: Insights from a Preliminary Study" Journal of Clinical Medicine 13, no. 23: 7436. https://doi.org/10.3390/jcm13237436
APA StylePergola, V., Martini, M., Amato, F., Cozac, D. A., Deola, P., Rigato, I., Mattesi, G., Savo, M. T., Lassandro, E., Marzari, V., Corradin, S., De Conti, G., Perazzolo Marra, M., Motta, R., & Bauce, B. (2024). Strain Analysis for Early Detection of Fibrosis in Arrhythmogenic Cardiomyopathy: Insights from a Preliminary Study. Journal of Clinical Medicine, 13(23), 7436. https://doi.org/10.3390/jcm13237436

