Comparative Study of Exchange Nailing and Augmentative Plating for Treating Aseptic Nonunion of Femoral Shafts Post Intramedullary Nailing: A Single-Blind, Multicentric Randomized Clinical Trial
Abstract
1. Introduction
2. Materials and Methods
2.1. Study Design and Setting
2.2. Participants and Eligibility Criteria
2.3. Randomization and Blinding
2.4. Interventions
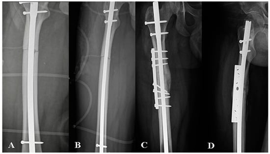
2.4.1. Nail Exchange Technique
2.4.2. Plate Augmentation with Autologous Bone Grafting Technique
2.5. Data Collection and Outcome Measures
2.6. Postoperative Care and Follow-Up
2.7. Statistical Analysis
2.8. Sample Size Calculation
3. Results
3.1. Participant Flow
3.2. Demographic Characteristics
3.3. Descriptive Characteristics
3.4. Primary Outcomes
3.4.1. Time to Union
3.4.2. Union Rate
3.5. Secondary Outcomes
3.5.1. Perioperative Outcomes
3.5.2. Comparative Analysis of Pain Levels
3.5.3. Knee Function Assessment
3.5.4. Complications
4. Discussion
5. Conclusions
Author Contributions
Funding
Institutional Review Board Statement
Informed Consent Statement
Data Availability Statement
Conflicts of Interest
References
- Ghouri, S.I.; Mustafa, F.; Kanbar, A.; Al Jogol, H.; Shunni, A.; Almadani, A.; Abdurraheim, N.; Goel, A.P.; Abdelrahman, H.; Babikir, E.; et al. Management of Traumatic Femur Fractures: A Focus on the Time to Intramedullary Nailing and Clinical Outcomes. Diagnostics 2023, 13, 1147. [Google Scholar] [CrossRef] [PubMed]
- Hamahashi, K.; Uchiyama, Y.; Kobayashi, Y.; Ebihara, G.; Ukai, T.; Watanabe, M. Clinical outcomes of intramedullary nailing of femoral shaft fractures with third fragments: A retrospective analysis of risk factors for delayed union. Trauma Surg. Acute Care Open 2019, 4, e000203. [Google Scholar] [CrossRef] [PubMed]
- Bäcker, H.C.; Heyland, M.; Wu, C.H.; Perka, C.; Stöckle, U.; Braun, K.F. Breakage of intramedullary femoral nailing or femoral plating: How to prevent implant failure. Eur. J. Med. Res. 2022, 27, 7. [Google Scholar] [CrossRef] [PubMed]
- Ghouri, S.I.; Asim, M.; Mustafa, F.; Kanbar, A.; Ellabib, M.; Al Jogol, H.; Muneer, M.; Abdurraheim, N.; Goel, A.P.; Abdelrahman, H.; et al. Patterns, Management, and Outcome of Traumatic Femur Fracture: Exploring the Experience of the Only Level 1 Trauma Center in Qatar. Int. J. Environ. Res. Public Health 2021, 18, 5916. [Google Scholar] [CrossRef] [PubMed]
- Hackl, S.; von Rüden, C.; Trenkwalder, K.; Keppler, L.; Hierholzer, C.; Perl, M. Long-Term Outcomes Following Single-Stage Reamed Intramedullary Exchange Nailing in Apparently Aseptic Femoral Shaft Nonunion with Unsuspected Proof of Bacteria. J. Clin. Med. 2024, 13, 1414. [Google Scholar] [CrossRef]
- Perisano, C.; Cianni, L.; Polichetti, C.; Cannella, A.; Mosca, M.; Caravelli, S.; Maccauro, G.; Greco, T. Plate Augmentation in Aseptic Femoral Shaft Nonunion after Intramedullary Nailing: A Literature Review. Bioengineering 2022, 9, 560. [Google Scholar] [CrossRef]
- Bianco Prevot, L.; Nannini, A.; Mangiavini, L.; Bobba, A.; Buzzi, S.; Sinigaglia, F.; Peretti, G. What Is the Best Treatment of the Femoral Shaft Nonunion after Intramedullary Nailing? A Systematic Review. Life 2023, 13, 1508. [Google Scholar] [CrossRef]
- Hung, W.-C.; Hsu, C.-J.; Kumar, A.; Tsai, C.-H.; Chang, H.-W.; Lin, T.-L. Perioperative Radiographic Predictors of Non-Union in Infra-Isthmal Femoral Shaft Fractures after Antegrade Intramedullary Nailing: A Case–Control Study. J. Clin. Med. 2022, 11, 3664. [Google Scholar] [CrossRef]
- Vanderkarr, M.F.; Ruppenkamp, J.W.; Vanderkarr, M.; Holy, C.E.; Blauth, M. Risk factors and healthcare costs associated with long bone fracture non-union: A retrospective US claims database analysis. J. Orthop. Surg. Res. 2023, 18, 745. [Google Scholar] [CrossRef]
- Mittal, K.K.; Gupta, H.; Kaushik, N. Reunion of post nail aseptic non-union of diaphyseal femoral fractures by augmentation plating, decortication and bone grafting—Replacement for exchange nailing. Injury 2021, 52, 1529–1533. [Google Scholar] [CrossRef]
- Jin, Y.F.; Xu, H.C.; Shen, Z.H.; Pan, X.K.; Xie, H. Comparing Augmentative Plating and Exchange Nailing for the Treatment of Nonunion of Femoral Shaft Fracture after Intramedullary Nailing: A Meta-analysis. Orthop. Surg. 2020, 12, 50–57. [Google Scholar] [CrossRef] [PubMed]
- Yoon, Y.C.; Oh, C.W.; Cho, J.W.; Oh, J.K. Early definitive internal fixation for infected nonunion of the lower limb. J. Orthop. Surg. Res. 2021, 16, 632. [Google Scholar] [CrossRef] [PubMed]
- Wu, C.C. Aseptic femoral nonunion treated with exchange locked nailing with intramedullary augmentation cancellous bone graft. J. Orthop. Surg. Res. 2022, 17, 339. [Google Scholar] [CrossRef] [PubMed]
- Magida, N.; Myezwa, H.; Mudzi, W. Factors Informing the Development of a Clinical Pathway and Patients’ Quality of Life after a Non-Union Fracture of the Lower Limb. Healthcare 2023, 11, 1810. [Google Scholar] [CrossRef] [PubMed]
- Babak, S.; Mohammad, R.; Yousof, F.; Ehsan, P.; Mohammad, S.; Seyyed Hossein, S. Evaluating the Effect of Double Plating Fixation with Bone Graft in Nonunion of Femoral and Tibial Fractures after Primary Surgery. J. Orthop. Spine Trauma 2022, 8, 48–51. [Google Scholar] [CrossRef]
- Perumal, R.; Shankar, V.; Basha, R.; Jayaramaraju, D.; Rajasekaran, S. Is nail dynamization beneficial after twelve weeks—An analysis of 37 cases. J. Clin. Orthop. Trauma 2018, 9, 322–326. [Google Scholar] [CrossRef]
- Lodde, M.; Raschke, M.; Stolberg-Stolberg, J.; Everding, J.; Rosslenbroich, S.; Katthagen, J. Union rates and functional outcome of double plating of the femur: Systematic review of the literature. Arch. Orthop. Trauma Surg. 2022, 142, 1009–1030. [Google Scholar] [CrossRef]
- Vaughn, J.; Gotha, H.; Cohen, E.; Fantry, A.J.; Feller, R.J.; Van Meter, J.; Hayda, R.; Born, C.T. Nail Dynamization for Delayed Union and Nonunion in Femur and Tibia Fractures. Orthopedics 2016, 39, e1117–e1123. [Google Scholar] [CrossRef]
- Hu, M.; Zeng, W.; Zhang, J.; Feng, Y.; Ma, L.; Huang, F.; Cai, Q. Fixators dynamization for delayed union and non-union of femur and tibial fractures: A review of techniques, timing and influence factors. J. Orthop. Surg. Res. 2023, 18, 577. [Google Scholar] [CrossRef]
- Hierholzer, C.; Friederichs, J.; Glowalla, C.; Woltmann, A.; Bühren, V.; von Rüden, C. Reamed intramedullary exchange nailing in the operative treatment of aseptic tibial shaft nonunion. Int. Orthop. 2017, 41, 1647–1653. [Google Scholar] [CrossRef]
- Uliana, C.S.; Bidolegui, F.; Kojima, K.; Giordano, V. Augmentation plating leaving the nail in situ is an excellent option for treating femoral shaft nonunion after IM nailing: A multicentre study. Eur. J. Trauma Emerg. Surg. 2021, 47, 1895–1901. [Google Scholar] [CrossRef] [PubMed]
- Lu, Y.; Sun, L.; Wang, Q.; Ren, C.; Xu, Y.; Ye, H.; Li, M.; Xue, H.; Huang, Q.; Li, Z.; et al. Osteoperiosteal decortication and bone grafting combined with wave plating for femoral shaft aseptic atrophic nonunion after intramedullary nailing. J. Int. Med. Res. 2022, 50, 3000605221139667. [Google Scholar] [CrossRef] [PubMed]
- Luo, H.; Su, Y.; Ding, L.; Xiao, H.; Wu, M.; Xue, F. Exchange nailing versus augmentative plating in the treatment of femoral shaft nonunion after intramedullary nailing: A meta-analysis. EFORT Open Rev. 2019, 4, 513–518. [Google Scholar] [CrossRef]
- Amer, K.M.; Kurland, A.M.; Smith, B.; Abdo, Z.; Amer, R.; Vosbikian, M.M.; Ahmed, I.H. Intramedullary Nailing Versus Plate Fixation for Humeral Shaft Fractures: A Systematic Review and Meta-Analysis. Arch. Bone Jt. Surg. 2022, 10, 661–667. [Google Scholar] [CrossRef] [PubMed]
- Kook, I.; Oh, C.W.; Shon, O.J.; Kim, J.W.; Kim, J.W.; Hwang, K.T.; Park, K.C. Comparing outcomes of plate augmentation, nail exchange, and nail exchange with plate augmentation in the treatment of atrophic femoral shaft nonunion after intramedullary nailing: A multicenter retrospective study. Arch. Orthop. Trauma Surg. 2024, 144, 1259–1268. [Google Scholar] [CrossRef] [PubMed]
- Ru, J.Y.; Niu, Y.F.; Cong, Y.; Kang, W.B.; Cang, H.B.; Zhao, J.N. Exchanging reamed nailing versus augmentative compression plating with autogenous bone grafting for aseptic femoral shaft nonunion: A retrospective cohort study. Acta Orthop. Traumatol. Turc. 2015, 49, 668–675. [Google Scholar] [CrossRef]
- Çimen, O.; Öner, A.; Köksal, A.; Dırvar, F.; Mert, M.; Kargın, D. A comparison of exchange nailing and plate augmentation over a retained intramedullary nail in aseptic oligotrophic and atrophic femoral shaft pseudoarthrosis. Jt. Dis. Relat. Surg. 2023, 34, 121–129. [Google Scholar] [CrossRef]
- Yang, X.; Xu, X.; Li, J.; Song, M.; Sun, H.; Zhang, H.; Zhang, X.; Xu, Y.; Shi, J. Management of infected bone defects of the femoral shaft by Masquelet technique: Sequential internal fixation and nail with plate augmentation. BMC Musculoskelet. Disord. 2024, 25, 552. [Google Scholar] [CrossRef]
- Medlock, G.; Stevenson, I.M.; Johnstone, A.J. Uniting the un-united: Should established non-unions of femoral shaft fractures initially treated with IM nails be treated by plate augmentation instead of exchange IM nailing? A systematic review. Strateg. Trauma Limb Reconstr. 2018, 13, 119–128. [Google Scholar] [CrossRef]
- Wu, T.; Zhang, W.; Chang, Z.; Zhu, Z.; Sun, L.; Tang, P.; Chen, H. Augmented Stability in Leaving Original Internal Fixation with Multidimensional Cross Locking Plate through Mini-Open Femoral Anterior Approach for Aseptic Femoral Shaft Nonunion: A Retrospective Cohort Study. Orthop. Surg. 2023, 15, 169–178. [Google Scholar] [CrossRef]
- Bowers, K.M.; Anderson, D.E. Delayed Union and Nonunion: Current Concepts, Prevention, and Correction: A Review. Bioengineering 2024, 11, 525. [Google Scholar] [CrossRef] [PubMed]
- Yang, K.H.; Kim, J.R.; Park, J. Nonisthmal femoral shaft nonunion as a risk factor for exchange nailing failure. J. Trauma Acute Care Surg. 2012, 72, E60–E64. [Google Scholar] [CrossRef] [PubMed]
- Jhunjhunwala, H.R.; Dhawale, A.A. Is augmentation plating an effective treatment for non-union of femoral shaft fractures with nail in situ? Eur. J. Trauma Emerg. Surg. 2016, 42, 339–343. [Google Scholar] [CrossRef] [PubMed]
- Yang, K.H.; Lee, C.H.; Park, Y.C. Effect of Interlocking Mode on the Outcomes of Exchange Nailing for the Treatment of Aseptic Femoral Shaft Nonunion. Clin. Orthop. Surg. 2023, 15, 13–19. [Google Scholar] [CrossRef]
- Chiang, J.C.; Johnson, J.E.; Tarkin, I.S.; Siska, P.A.; Farrell, D.J.; Mormino, M.A. Plate augmentation for femoral nonunion: More than just a salvage tool? Arch. Orthop. Trauma Surg. 2016, 136, 149–156. [Google Scholar] [CrossRef]
- Babak, S.; Mohammad, S.; Mohammadreza, G.; Mohammad, R.; Seyyed Hossein, S. The Effect of Augmentative Plating for the Treatment of Nonunion of Femoral Shaft Fractures after Intramedullary Nailing: A Case Series. J. Orthop. Spine Trauma 2022, 8, 57–59. [Google Scholar] [CrossRef]
- Ebrahimpour, A.; Chehrassan, M.; Biglari, F.; Minator Sajjadi, M.; Jalalpour, P.; Sadighi, M. Augmented Plating and Bone Grafting in Treatment of Tibial and Femoral Shaft Nonunion. Trauma Mon. 2021, 26, 187–193. [Google Scholar] [CrossRef]
- Liangjun, J.; Zhijun, P.; Qiang, Z. Augmentation plating in hypertrophic non-union after nail fixation of femoral shaft fracture compared with exchange plating. Chin. Med. J. 2014, 127, 2900–2905. [Google Scholar] [CrossRef]
- Birjandinejad, A.; Ebrahimzadeh, M.H.; Ahmadzadeh-Chabock, H. Augmentation plate fixation for the treatment of femoral and tibial nonunion after intramedullary nailing. Orthopedics 2009, 32, 409. [Google Scholar] [CrossRef]
- Mohamed, M.A.; Noaman, H.H.; Soroor, Y.O.; Elsayed, M. Plate augmentation and bone grafting in treatment of femoral shaft nonunion initially fixed by intramedullary nail. Sicot J 2022, 8, 19. [Google Scholar] [CrossRef]
- Alam, Q.S.; Alam, M.T.; Reza, M.S.; Roy, M.K.; Kamruzzaman, M.; Sayed, K.A.; Alamgir, M.K.; Mohiuddin, A.M. Evaluation of Outcome of Exchange Nailing with Autogenous Bone Graft for Treating Aseptic Nonunion of Femoral Shaft Fracture. Mymensingh Med. J. 2019, 28, 378–381. [Google Scholar] [PubMed]
- Gönder, N.; Demir, İ.H.; Öğümsöğütlü, E.; Kılınçoğlu, V. Collagen/Nano-hydroxyapatite Composite Scaffold Application with Exchange Reamed Nailing Accelerates Bone Union and Improves Quality of Life in Atrophic Femoral Shaft Nonunions: A Retrospective Comparative Study. Indian. J. Orthop. 2022, 56, 412–420. [Google Scholar] [CrossRef] [PubMed]
- Singh, V.; Singh, M.; Belbase, R.J.; Rastogi, A. Healing of Artificially Created Gap Non-union Using Autologous Cultured Osteoblasts Impregnated Over Three-Dimensional Biodegradable Scaffold: An Experimental Study (Rabbit). Indian. J. Orthop. 2021, 55, 460–465. [Google Scholar] [CrossRef] [PubMed]
- Chen, C.M.; Su, Y.P.; Hung, S.H.; Lin, C.L.; Chiu, F.Y. Dynamic compression plate and cancellous bone graft for aseptic nonunion after intramedullary nailing of femoral fracture. Orthopedics 2010, 33, 393. [Google Scholar] [CrossRef] [PubMed]
- Lin, C.L.; Fang, C.K.; Chiu, F.Y.; Chen, C.M.; Chen, T.H. Revision with dynamic compression plate and cancellous bone graft for aseptic nonunion after surgical treatment of humeral shaft fracture. J. Trauma 2009, 67, 1393–1396. [Google Scholar] [CrossRef]
- Zhang, W.; Zhang, Z.; Li, J.; Zhang, L.; Chen, H.; Tang, P. Clinical outcomes of femoral shaft non-union: Dual plating versus exchange nailing with augmentation plating. J. Orthop. Surg. Res. 2018, 13, 295. [Google Scholar] [CrossRef]
- Lai, P.J.; Hsu, Y.H.; Chou, Y.C.; Yeh, W.L.; Ueng, S.W.N.; Yu, Y.H. Augmentative antirotational plating provided a significantly higher union rate than exchanging reamed nailing in treatment for femoral shaft aseptic atrophic nonunion—Retrospective cohort study. BMC Musculoskelet. Disord. 2019, 20, 127. [Google Scholar] [CrossRef]
- Walcher, M.G.; Day, R.E.; Gesslein, M.; Bail, H.J.; Kuster, M.S. Augmentative Plating versus Exchange Intramedullary Nailing for the Treatment of Aseptic Non-Unions of the Femoral Shaft—A Biomechanical Study in a SawboneTM Model. J. Pers. Med. 2023, 13, 650. [Google Scholar] [CrossRef]
- MA, X.; Zhang, B.; Wang, M.; Wang, Z.; Liang, Y.; Gong, X. Augmentative plating for treatment of nonunion of femoral shaft fracture after intramedullary nailing: A biomechanical study. Chin. J. Orthop. Trauma 2016, 158–162. [Google Scholar] [CrossRef]
- Ru, J.; Xu, H.; Kang, W.; Chang, H.; Niu, Y.; Zhao, J. Augmentative compression plating versus exchanging reamed nailing for nonunion of femoral shaft fracture after intramedullary nailing: A retrospective cohort study. Acta Orthop. Belg. 2016, 82, 249–257. [Google Scholar]
- Li, Y.; Xing, H.; Qi, X.; Liu, M.; Wang, Z.; Sang, X. The efficacy of augmentative anti-rotational plating plus decortication and autogenic bone grafting for aseptic nonunion after intramedullary nailing of femoral shaft fracture. Emerg. Crit. Care Med. 2022, 2, 61–66. [Google Scholar] [CrossRef]
- Wang, Z.; Lu, Y.; Huang, Q.; Xue, H.; Ran, C.; Wang, Q.; Ma, T.; Zhang, K.; Li, Z.; Sun, L. Efficacy and Safety of Long-Term Intravenous Tranexamic Acid Administration for Blood Management in Revision Surgery for Femoral Shaft Nonunion: A Retrospective Case-Control Study. Clin. Appl. Thromb. Hemost. 2021, 27, 10760296211002277. [Google Scholar] [CrossRef] [PubMed]
- Wang, S.R.; Yu, J.Y.; Wang, Y.H.; Wang, P.Z.; Tan, H.L. [Augmenting locking plate with autologous bone graft for the treatment of nonunion of long bone fracture in the lower extremity with retaining of the original intramedullary nail]. Zhongguo Gu Shang 2023, 36, 1191–1195. [Google Scholar] [CrossRef] [PubMed]
- Tang, Y.; Yang, Y.; Li, H.; Xi, J.; Ye, Y.; Yue, C.; Liu, Y. [Application of “diamond concept” in treatment of femoral shaft fractures nonunion after intramedullary fixation]. Zhongguo Xiu Fu Chong Jian Wai Ke Za Zhi 2020, 34, 1012–1017. [Google Scholar] [CrossRef]
- Guimarães, J.A.; Duarte, M.E.; Fernandes, M.B.; Vianna, V.F.; Rocha, T.H.; Bonfim, D.C.; Casado, P.L.; do Val Guimarães, I.C.; Velarde, L.G.; Dutra, H.S.; et al. The effect of autologous concentrated bone-marrow grafting on the healing of femoral shaft non-unions after locked intramedullary nailing. Injury 2014, 45 (Suppl. 5), S7–S13. [Google Scholar] [CrossRef]
- Wang, Z.; Liu, C.; Liu, C.; Zhou, Q.; Liu, J. Effectiveness of exchange nailing and augmentation plating for femoral shaft nonunion after nailing. Int. Orthop. 2014, 38, 2343–2347. [Google Scholar] [CrossRef]
- Vaishya, R.; Agarwal, A.K.; Gupta, N.; Vijay, V. Plate augmentation with retention of intramedullary nail is effective for resistant femoral shaft non-union. J. Orthop. 2016, 13, 242–245. [Google Scholar] [CrossRef]
- Yeganeh, A.; Abbasi, M.; Gorgani, H.-o.-l.; Moghtadaei, M. Plate Augmentation for Nonunion of Femoral Shaft Fractures. J. Res. Orthop. Sci. 2019, 6, e88673. [Google Scholar] [CrossRef]
- Flowers, D.W.; McCallister, E.; Christopherson, R.; Ware, E. The Safety and Effectiveness of Early, Progressive Weight Bearing and Implant Choice after Traumatic Lower Extremity Fracture: A Systematic Review. Bioengineering 2022, 9, 750. [Google Scholar] [CrossRef]
- Canton, G.; Sborgia, A.; Dussi, M.; Rasio, N.; Murena, L. Early weight bearing in tibial plateau fractures treated with ORIF: A systematic review of literature. J. Orthop. Surg. Res. 2022, 17, 261. [Google Scholar] [CrossRef]
- Park, J.; Yang, K.H. Indications and outcomes of augmentation plating with decortication and autogenous bone grafting for femoral shaft nonunions. Injury 2013, 44, 1820–1825. [Google Scholar] [CrossRef] [PubMed]





| Variables | Nail Exchange (N = 29) (Mean ± SD/%) | Plate Augmentation (N = 28) (Mean ± SD/%) | 95% CI (Difference) | p-Value |
|---|---|---|---|---|
| Age (year) | 38.07 ± 11.49 | 36.32 ± 10.42 | (−4.08, 7.58) | 0.550 a |
| BMI (kg/m2) | 28.30 ± 1.91 | 28.29 ± 1.23 | (−0.85, 0.87) | 0.982 a |
| Gender (F/M) | 20.69/79.31 | 14.29/85.71 | (−0.10, 0.30)/(−0.30, 0.10) c | 0.544 b |
| Variables | Sub-Categories | Nail Exchange (%) | Plate Augmentation (%) | p-Value a |
|---|---|---|---|---|
| Nonunion location | Supra-isthmal | 13.79 | 35.71 | 0.064 |
| Isthmal | 68.97 | 39.29 | ||
| Infra-isthmal | 17.24 | 25.00 | ||
| Fracture classification | 32-A | 44.83 | 25.00 | 0.162 |
| 32-B | 31.03 | 28.57 | ||
| 32-C | 24.14 | 46.43 | ||
| Comorbidities | Yes | 41.38 | 28.57 | 0.462 |
| No | 58.62 | 71.43 | ||
| Mechanism of injury | High-energy | 82.76 | 67.86 | 0.318 |
| Low-energy | 17.24 | 32.14 | ||
| Smoking status | Yes | 27.59 | 17.86 | 0.576 |
| No | 72.41 | 82.14 | ||
| Type of nonunion | Hypertrophic | 48.28 | 35.71 | 0.489 |
| Atrophic | 51.72 | 64.29 |
| Variables | Nail Exchange (N = 29) (Mean ± SD) | Plate Augmentation (N = 28) (Mean ± SD) | 95% CI (Differences) | p-Value |
|---|---|---|---|---|
| Operation time (min) | 106.45 ± 12.22 | 99.46 ± 11.08 | (0.80, 13.17) | 0.025 a,b |
| Hospitalization (day) | 4.83 ± 0.66 | 4.75 ± 0.80 | (−0.31, 0.47) | 0.580 |
| Time to revision surgery (month) | 12.24 ± 1.55 | 12.14 ± 1.24 | (−0.65, 0.85) | 0.836 |
| Blood loss (ml) | 547.72 ± 54.35 | 514.79 ± 45.87 | (6.20, 59.68) | 0.016 b |
| Metrics | Nail Exchange (Mean ± SD) | Plate Augmentation (Mean ± SD) | p-Value (Within Group) | p-Value (Between Groups) | p-Value (At 12 Months) |
|---|---|---|---|---|---|
| VAS scores pre-surgery | 5.66 ± 2.21 | 6.04 ± 2.28 | <0.0001 a,c | ||
| VAS scores post-surgery | 3.66 ± 2.19 | 2.64 ± 1.50 | <0.0001 a,c | 0.047 b,c | |
| Change in VAS score | −2.00 ± 1.53 | −3.40 ± 1.83 | <0.001 b,c |
| Metrics | Nail Exchange Mean ± SD | Plate Augmentation Mean ± SD | p-Value (Within Group) | p-Value (Between Groups) | p-Value (At 12 Months) |
|---|---|---|---|---|---|
| Knee ROM pre-surgery | 111.69 ± 10.28 | 113.11 ± 8.31 | <0.0001 a,c | ||
| Knee ROM post-surgery | 118.14 ± 10.37 | 121.36 ± 7.03 | <0.0001 a,c | 0.128 b | |
| Change in knee ROM | 6.45 ± 3.63 | 8.25 ± 3.92 | <0.017 b,c |
Disclaimer/Publisher’s Note: The statements, opinions and data contained in all publications are solely those of the individual author(s) and contributor(s) and not of MDPI and/or the editor(s). MDPI and/or the editor(s) disclaim responsibility for any injury to people or property resulting from any ideas, methods, instructions or products referred to in the content. |
© 2024 by the authors. Licensee MDPI, Basel, Switzerland. This article is an open access article distributed under the terms and conditions of the Creative Commons Attribution (CC BY) license (https://creativecommons.org/licenses/by/4.0/).
Share and Cite
Motififard, M.; Mousavi, H.; Iranpanah, N.; Akbari Aghdam, H.; Teimouri, M.; Aliakbari, M.; Parhamfar, M.; Shirazi Nejad, S.; Shahsavan, M.; Daemi, A.; et al. Comparative Study of Exchange Nailing and Augmentative Plating for Treating Aseptic Nonunion of Femoral Shafts Post Intramedullary Nailing: A Single-Blind, Multicentric Randomized Clinical Trial. J. Clin. Med. 2024, 13, 6928. https://doi.org/10.3390/jcm13226928
Motififard M, Mousavi H, Iranpanah N, Akbari Aghdam H, Teimouri M, Aliakbari M, Parhamfar M, Shirazi Nejad S, Shahsavan M, Daemi A, et al. Comparative Study of Exchange Nailing and Augmentative Plating for Treating Aseptic Nonunion of Femoral Shafts Post Intramedullary Nailing: A Single-Blind, Multicentric Randomized Clinical Trial. Journal of Clinical Medicine. 2024; 13(22):6928. https://doi.org/10.3390/jcm13226928
Chicago/Turabian StyleMotififard, Mehdi, Hamid Mousavi, Nasrollah Iranpanah, Hossein Akbari Aghdam, Mehdi Teimouri, Mohsen Aliakbari, Mohammad Parhamfar, Somaye Shirazi Nejad, Mahdi Shahsavan, Amin Daemi, and et al. 2024. "Comparative Study of Exchange Nailing and Augmentative Plating for Treating Aseptic Nonunion of Femoral Shafts Post Intramedullary Nailing: A Single-Blind, Multicentric Randomized Clinical Trial" Journal of Clinical Medicine 13, no. 22: 6928. https://doi.org/10.3390/jcm13226928
APA StyleMotififard, M., Mousavi, H., Iranpanah, N., Akbari Aghdam, H., Teimouri, M., Aliakbari, M., Parhamfar, M., Shirazi Nejad, S., Shahsavan, M., Daemi, A., Salehi, A., & Shahsavan, M. (2024). Comparative Study of Exchange Nailing and Augmentative Plating for Treating Aseptic Nonunion of Femoral Shafts Post Intramedullary Nailing: A Single-Blind, Multicentric Randomized Clinical Trial. Journal of Clinical Medicine, 13(22), 6928. https://doi.org/10.3390/jcm13226928

