Comprehensive Management of Cholesteatoma in Otitis Media: Diagnostic Challenges, Imaging Advances, and Surgical Outcome
Abstract
1. Introduction
2. Materials and Methods
2.1. Study Design
2.2. Study Population
2.2.1. Inclusion Criteria
- Patients aged 7–70 years diagnosed with acute or chronic middle ear conditions
- Individuals who underwent diagnostic imaging (X-ray, CT, and MRI) and surgical treatment (tympanoplasty and mastoidectomy).
- Patients with complete clinical records and consent for data use in research.
- Patients who have available follow-up data for at least two years post-surgery to assess outcomes.
2.2.2. Exclusion Criteria
- Patients with incomplete clinical or imaging data.
- Individuals without confirmed middle ear pathology through clinical or radiological assessment.
- Cases where ear symptoms were not primarily related to otic pathologies.
- Patients with significant comorbid conditions (e.g., immunosuppression, systemic diseases) that may impact surgical outcomes or recovery.
2.3. Diagnostic Protocols
2.4. Imaging Techniques
2.5. Audiometric Assessment Protocol for Preoperative and Postoperative Hearing Evaluation
2.6. Statistical Analysis
3. Results
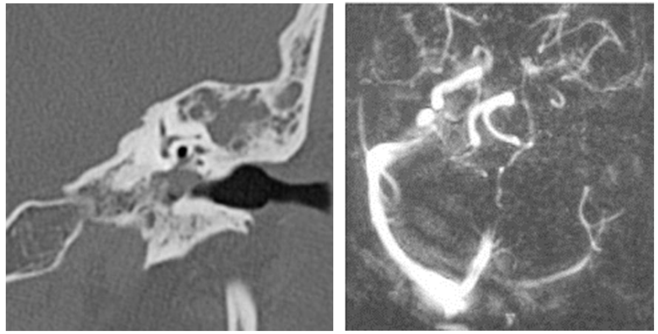
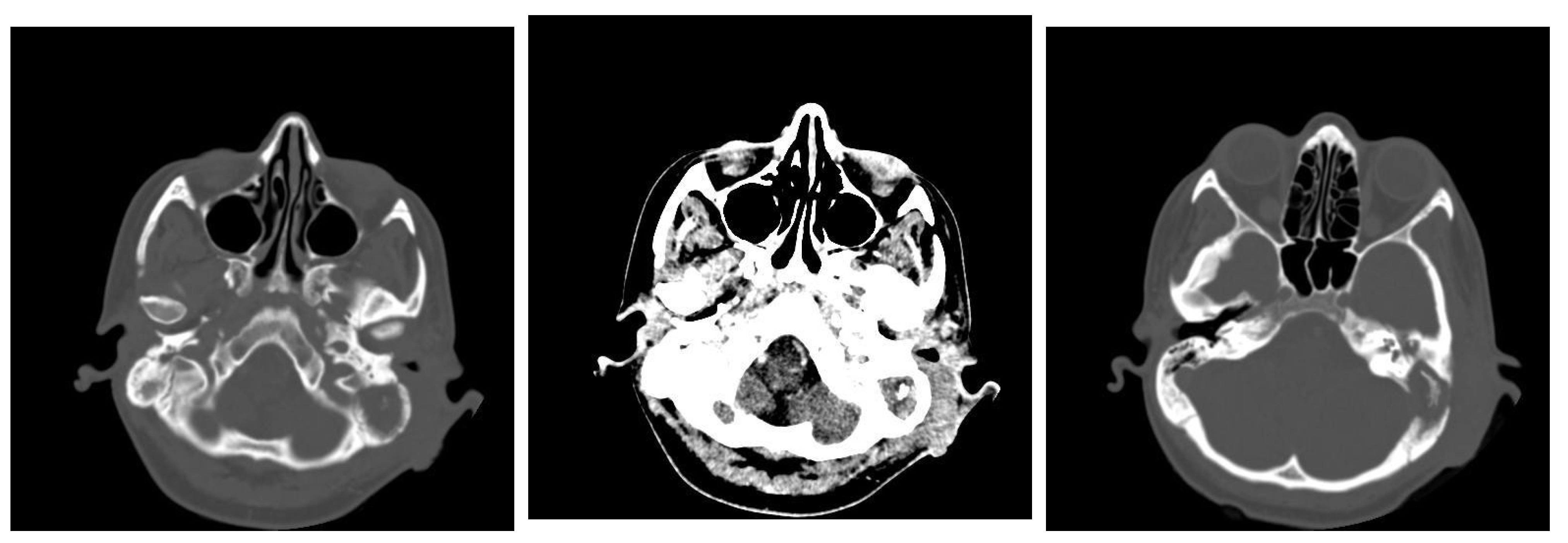
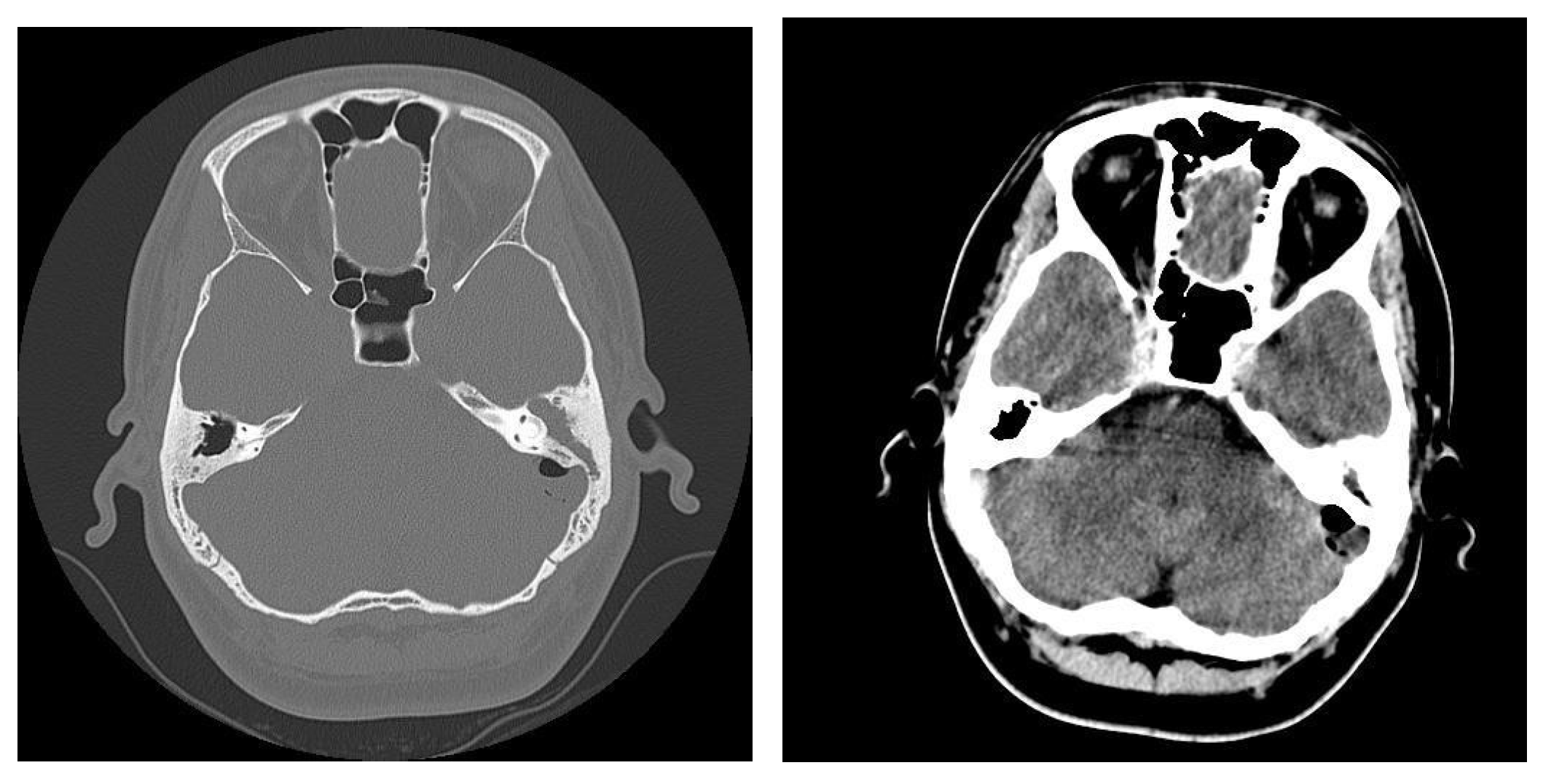
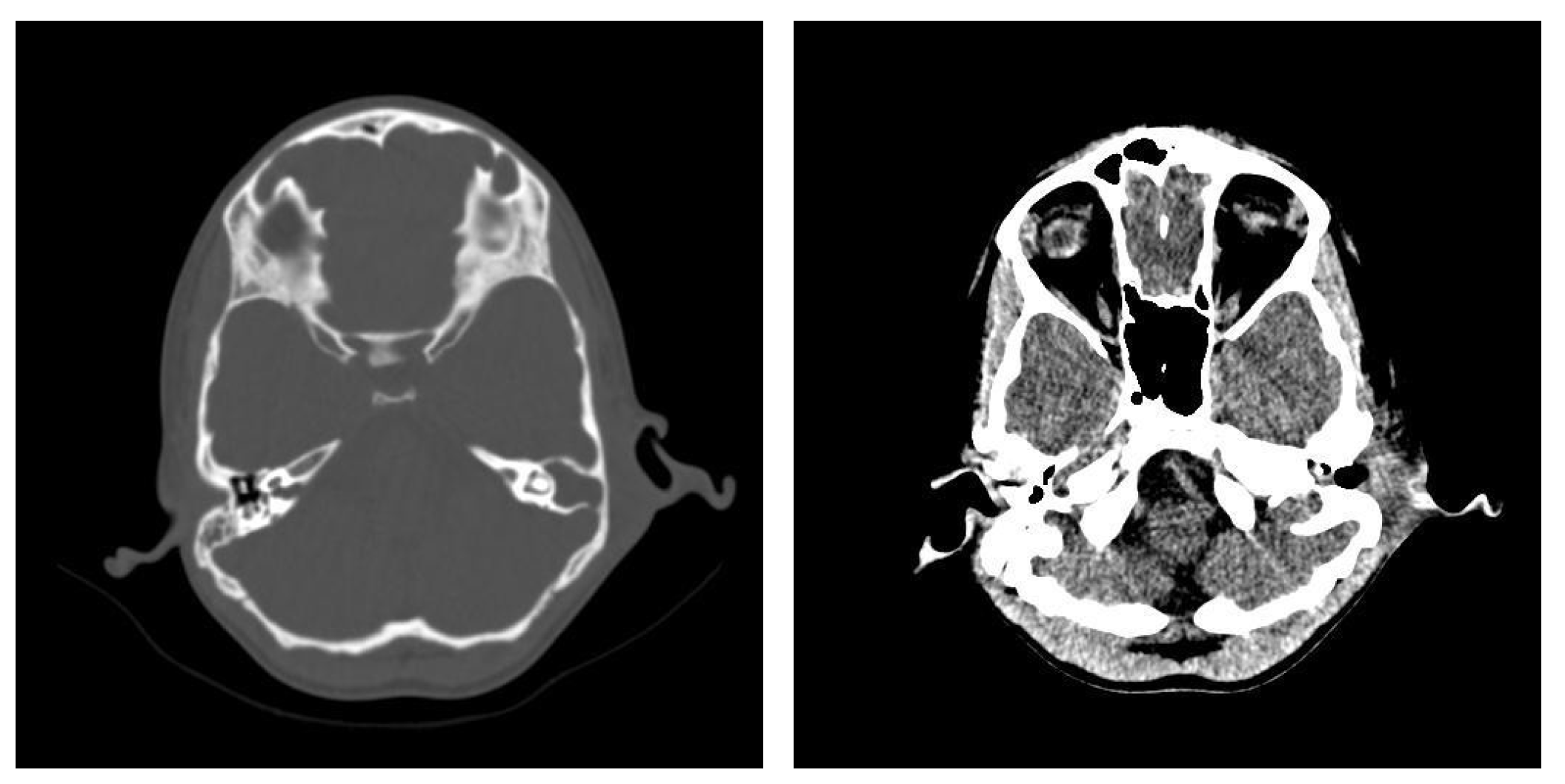
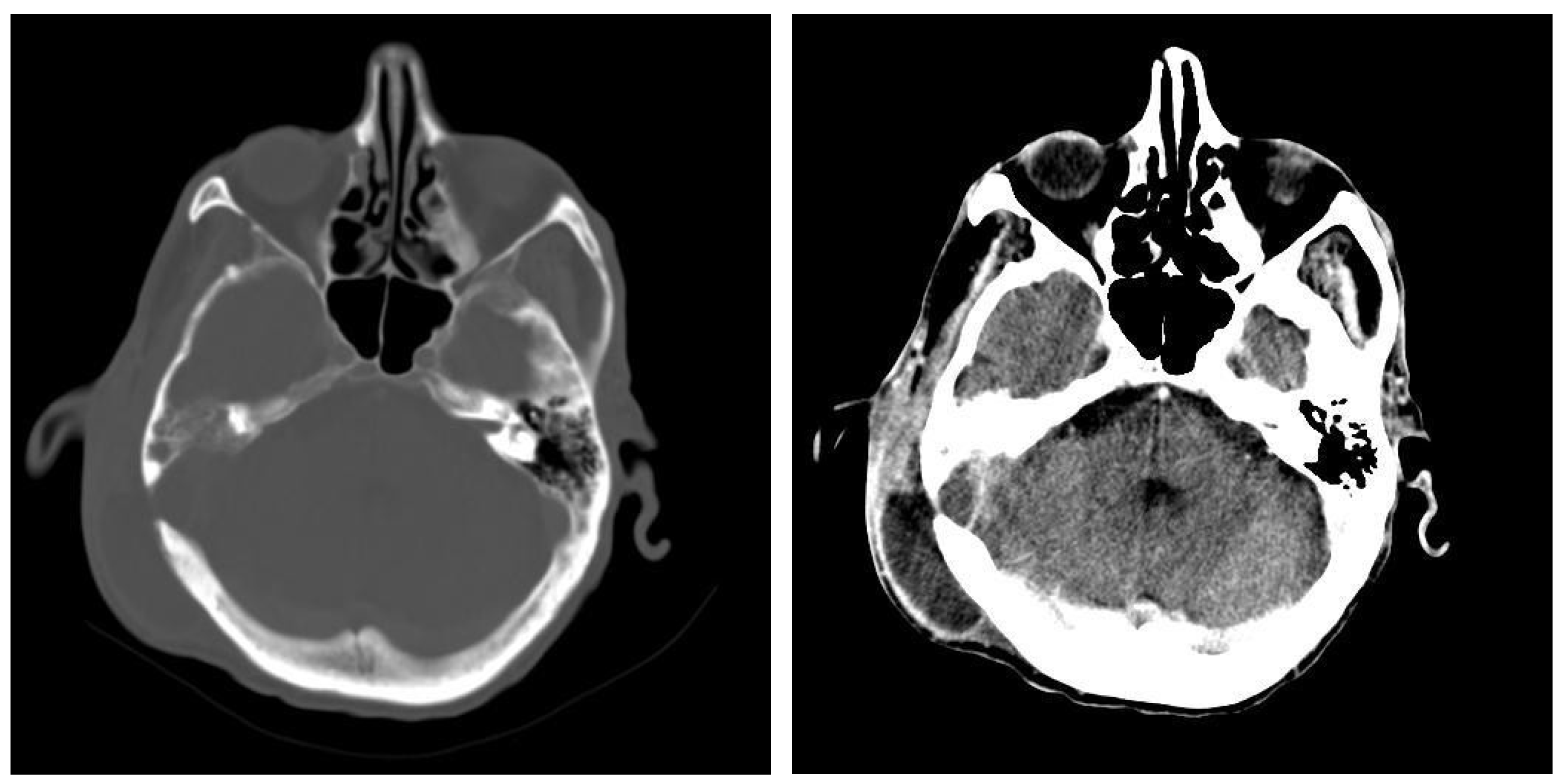
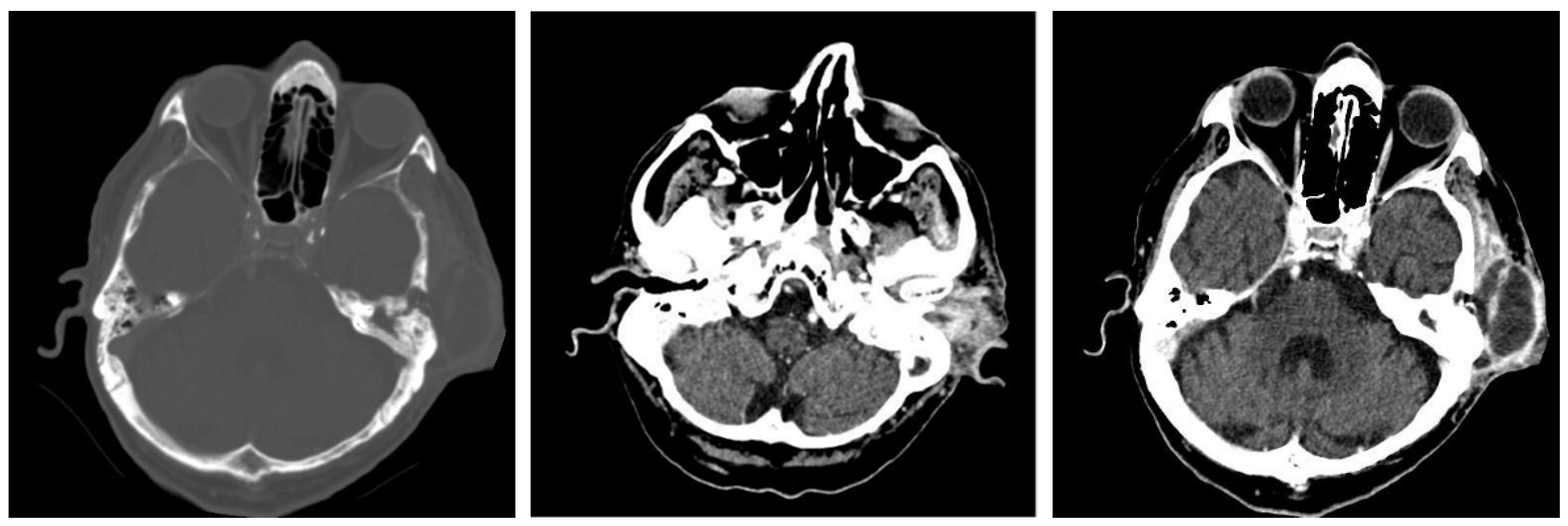
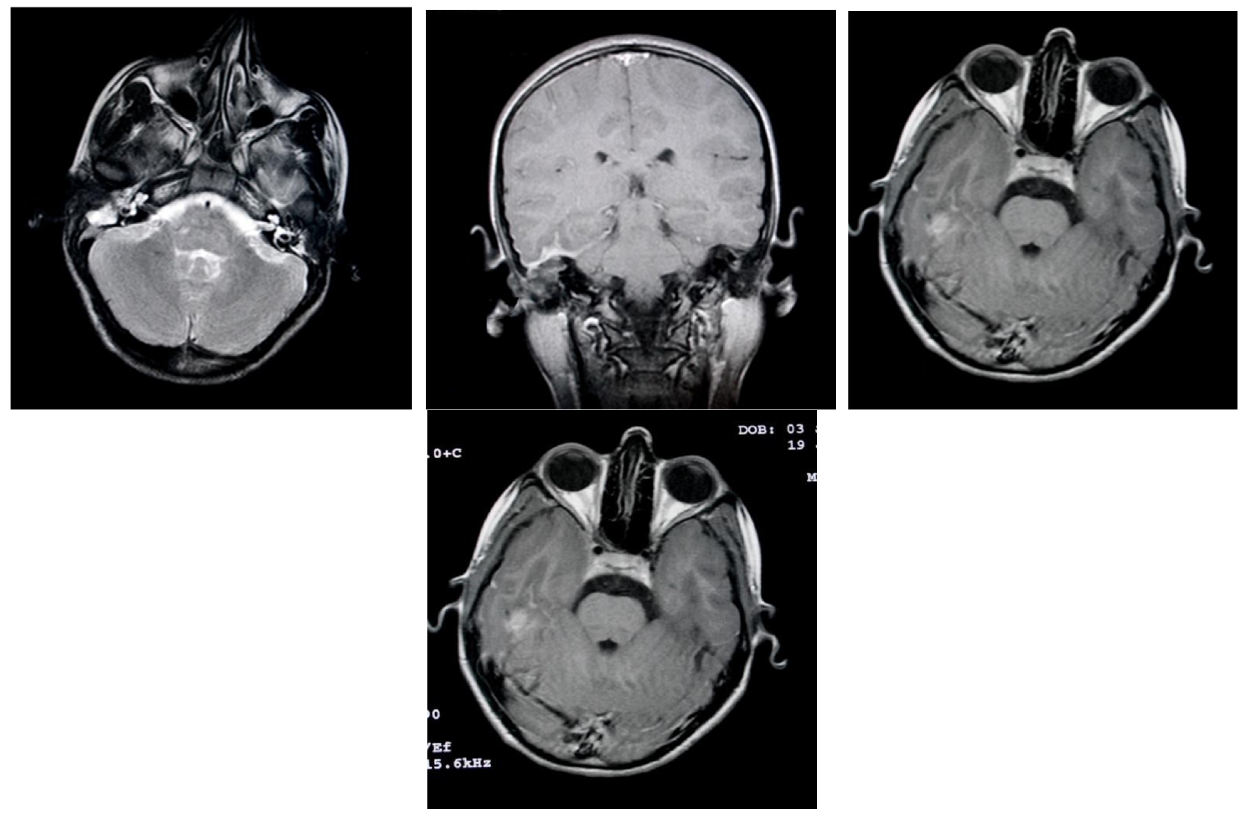
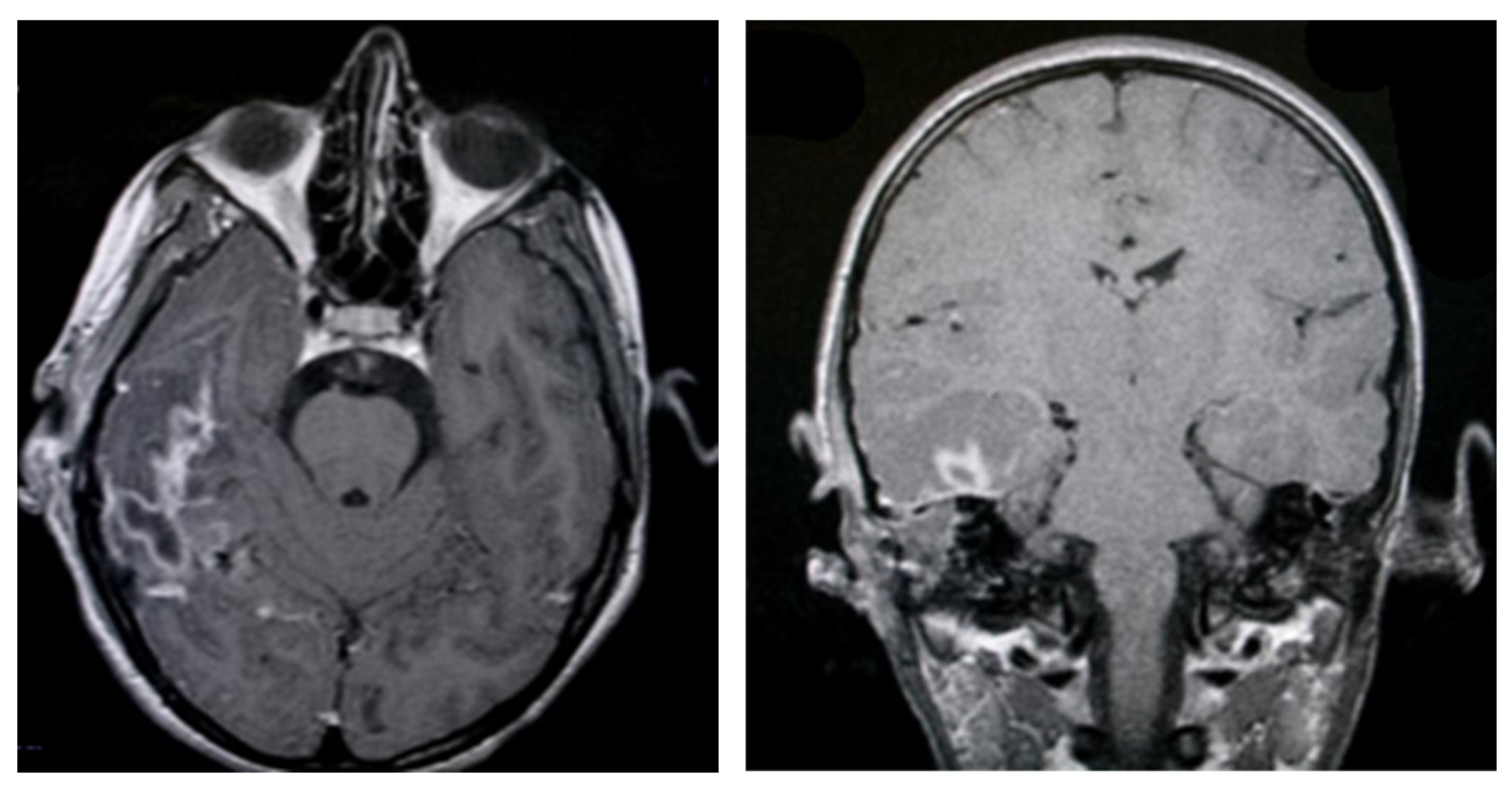
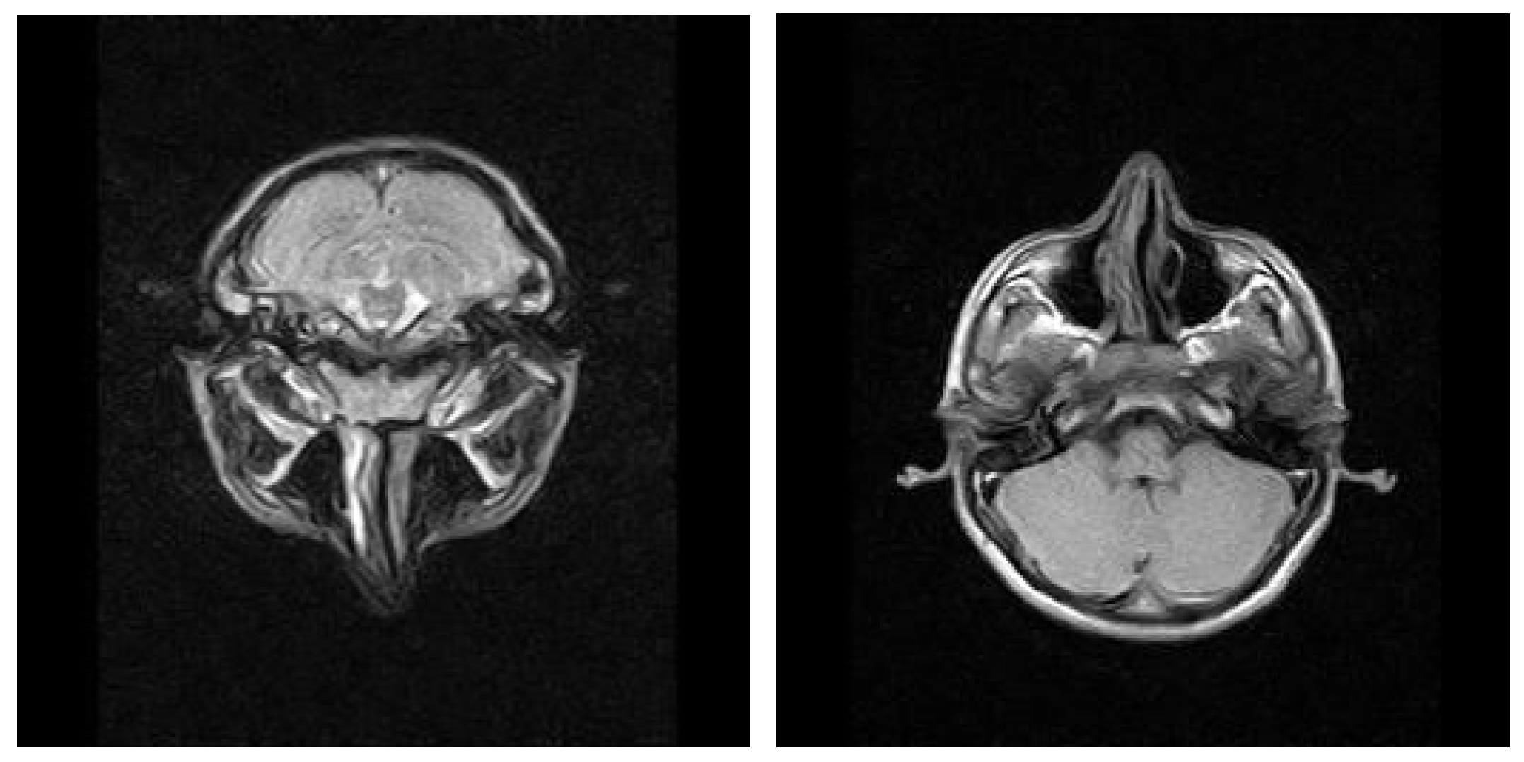
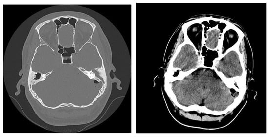
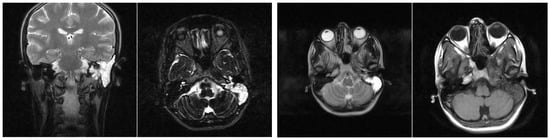
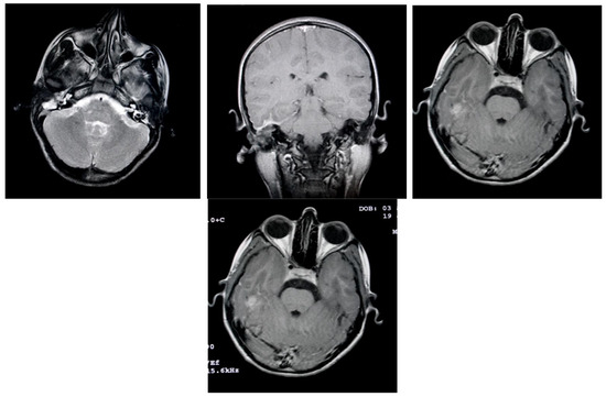
3.1. Analyzing the Results of Radio-Imaging Investigations
3.1.1. Conventional Radiology
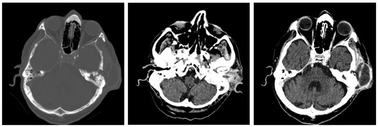
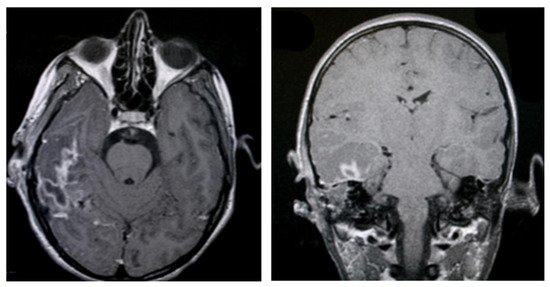
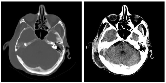
3.1.2. Computed Tomography and Magnetic Resonance Imaging
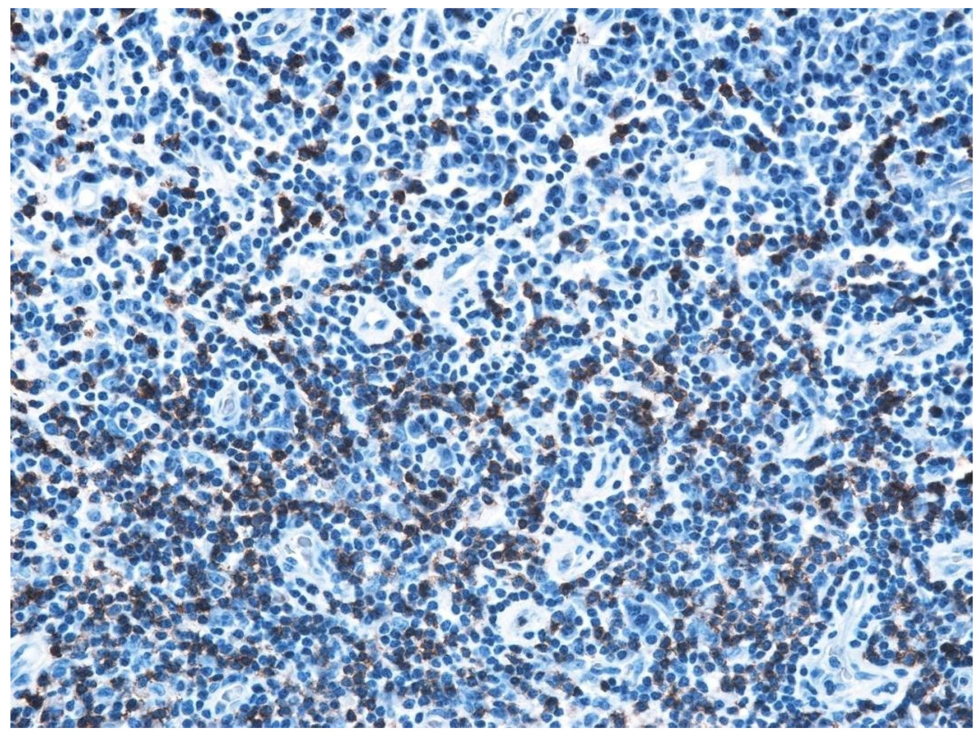
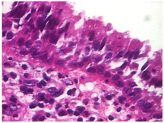
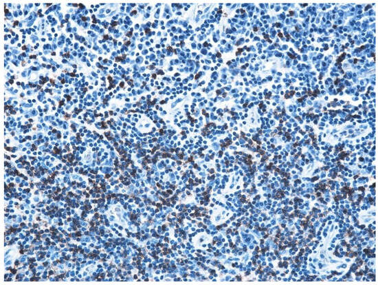
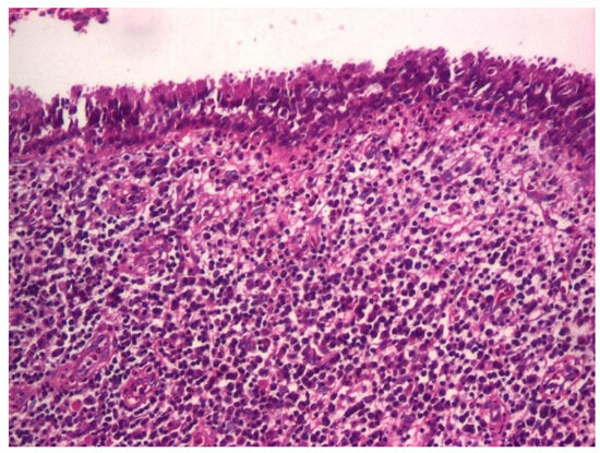
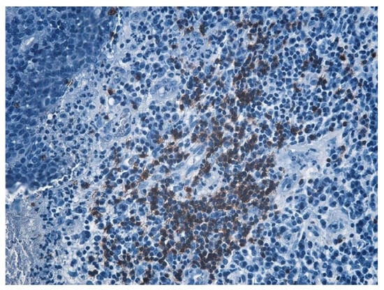
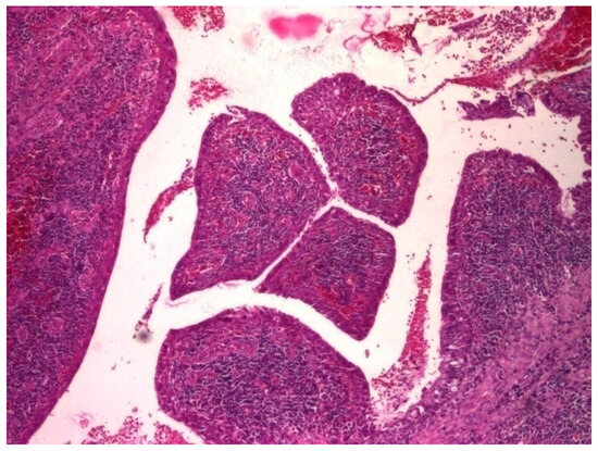
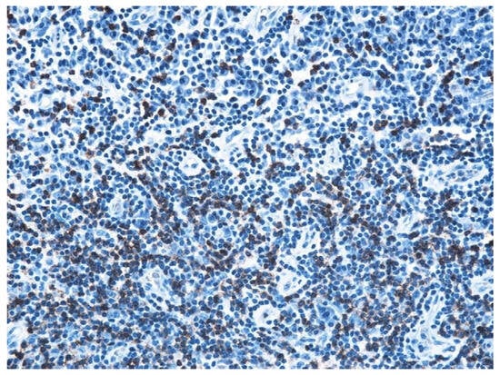
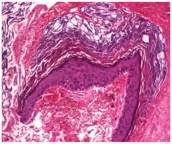
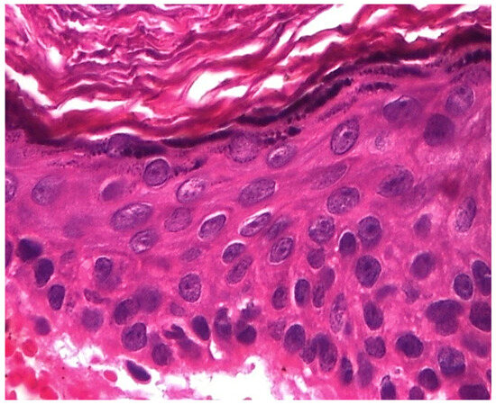
3.1.3. Analysis of Histopathologic and Immunohistochemical Results
4. Discussion
5. Conclusions
Author Contributions
Funding
Institutional Review Board Statement
Data Availability Statement
Acknowledgments
Conflicts of Interest
References
- Albera, R.; Canale, A.; Pimetto, E.; Lacilla, M.; Dagna, F. Ossicular chain lesions in cholesteatoma. Acta Otorhinolaryngol. Ital. 2012, 32, 309–313. [Google Scholar]
- Abramson, M. Colagenolytic activity in middle ear cholesteatoma. Ann. Otol. 1969, 78, 112–124. [Google Scholar]
- Brescia, G.; Frosolini, A.; Franz, L.; Daloiso, A.; Fantin, F.; Lovato, A.; Filippis, C.d.; Marioni, G. Chronic Otitis Media in Patients with Chronic Rhinosinusitis: A Systematic Review. Medicina 2023, 59, 123. [Google Scholar] [CrossRef]
- Sone, M.; Yoshida, T.; Naganawa, S.; Otake, H.; Kato, K.; Sano, R.; Teranishi, M.; Nakashima, T. Comparison of computed tomography and magnetic resonance imaging for evaluation of cholesteatoma with labyrinthine fistulae. Laryngoscope 2012, 122, 1121–1125. [Google Scholar] [CrossRef]
- Tsuchida, K.; Takahashi, M.; Nakazawa, T.; Kurihara, S.; Yamamoto, K.; Yamamoto, Y.; Kojima, H. Augmented Reality-Assisted Transcanal Endoscopic Ear Surgery for Middle Ear Cholesteatoma. J. Clin. Med. 2024, 13, 1780. [Google Scholar] [CrossRef]
- Kimitsuki, T.; Suda, Y.; Kawano, H.; Tono, T.; Komune, S. Correlation between MRI findings and second-Look operation in cholesteatoma surgery. ORL J. Otorhinolaryngol. Relat. Spec. 2001, 63, 291–293. [Google Scholar] [CrossRef]
- Dremmen, M.H.; Hofman, P.A.; Hof, J.R.; Stokroos, R.J.; Postma, A.A. The Diagnostic Accuracy of Non-Echo-Planar Diffusion-Weighted Imaging in the Detection of Residual and/or Recurrent Cholesteatoma of the Temporal Bone. AJNR Am. J. Neuroradiol. 2012, 33, 439–444. [Google Scholar] [CrossRef]
- Yorgancılar, E.; Yıldırım, M.; Gun, R.; Bakir, S.; Tekin, R.; Gocmez, C.; Meric, F.; Topcuet, I. Complications of chronic suppurative otitis media: A retrospective review. Eur. Arch. Otorhinolaryngol. 2013, 270, 69–76. [Google Scholar] [CrossRef]
- Baxter, R.; Aukes, L.; Pelton, S.I.; Yee, A.; Klein, N.P.; Gruber, W.C.; Scott, D.A.; Center, K.J. Impact of the 13-Valent Pneumococcal Conjugate Vaccine on Invasive Pneumococcal Disease After Introduction Into Routine Pediatric Use. J. Pediatr. Infect. Dis. Soc. 2021, 10, 141–150. [Google Scholar] [CrossRef]
- Lieberthal, A.S.; Carroll, A.E.; Chonmaitree, T.; Ganiats, T.G.; Hoberman, A.; Jackson, M.A.; Joffe, M.D.; Miller, D.T.; Rosenfeld, R.M.; Sevilla, X.D.; et al. The diagnosis and management of acute otitis media. Pediatrics 2013, 131, 964–999. [Google Scholar] [CrossRef]
- AlHefdhi, H.A.; Al Qout, M.M.; Alqahtani, A.Y.; Alqahtani, M.M.; Asiri, R.M.; Alshahrani, O.M.; Almoghamer, H.D.; Youssef, N.; Ghazy, R.M. Parents’ Knowledge of and Attitude toward Acute Otitis Media and Its Treatment in Children: A Survey at Primary Healthcare Centers in the Aseer Region. Children 2023, 10, 1573. [Google Scholar] [CrossRef]
- Dornelles, C.; Meurer, L.; Selaimen da Costa, S.; Schweiger, C. Histologic description of acquired cholesteatomas: Comparison between children and adults. Rev. Bras. Otorrinolaringol. 2006, 72, 641–648. [Google Scholar] [CrossRef]
- Mahmood, A.H.; Seiichi, N.; Ramadan, H.S.; Hiromi, U.; Badawy, S.B.; Yoichi, N.; Takuro, K.; Noboru, I.; Ahmed, R.A.; Khalid, D.; et al. Pathogenesis and Bone Resorption in Acquired Cholesteatoma: Current Knowledge and Future Prospectives. Clin. Exp. Otorhinolaryngol. 2016, 9, 298–308. [Google Scholar]
- Mittal, R.; Lisi, C.V.; Gerring, R.; Mittal, J.; Mathee, K.; Narasimhan, G.; Azad, R.K.; Yao, Q.; Grati, M.; Yan, D.; et al. Current concepts in the pathogenesis and treatment of chronic suppurative otitis media. J. Med. Microbiol. 2015, 64, 1103–1116. [Google Scholar] [CrossRef]
- Blomgren, K.; Pitkaranta, A. Current challenges in diagnosis of acute otitis media. Int. J. Pediatr. Otorhinolaryngol. 2005, 69, 295–299. [Google Scholar] [CrossRef]
- Black, S.; Shinefield, H.; Fireman, B.; Lewis, E.; Ray, P.; Hansen, J.R.; Elvin, L.; Ensor, K.M.; Hackell, J.; Siber, G.; et al. Efficacy, safety and immunogenicity of heptavalent pneumococcal conjugate vaccine in children. Northern California Kaiser Permanente Vaccine Study Center Group. Pediatr. Infect. Dis. J. 2000, 19, 187–195. [Google Scholar] [CrossRef]
- Aslıer, M.; Erdag, T.K.; Sarioglu, S.; Güneri, E.A.; Ikiz, A.O.; Uzun, E.; Özer, E. Analysis of histopathological aspects and bone destruction characteristics in acquired middle ear cholesteatoma of pediatric and adult patients. Int. J. Pediatr. Otorhinolaryngol. 2016, 82, 73–77. [Google Scholar] [CrossRef]
- Cassano, P.; Ciprandi, G.; Passali, D. Acute mastoiditis in children. Acta Biomed. 2020, 91, 54–59. [Google Scholar]
- Ami, M.; Zakaria, Z.; Goh, B.S.; Abdullah, A.; Saim, L. Mastoid Abscess in Acute and Chronic Otitis Media. Malays. J. Med. Sci. 2010, 17, 44–50. [Google Scholar]
- Gulati, M.; Gupta, S.; Prakash, A.; Garg, A.; Dixit, R. HRCT imaging of acquired cholesteatoma: A pictorial review. Insights Imaging 2019, 10, 92. [Google Scholar] [CrossRef]
- Olszewska, E.; Wagner, M.; Bernal-Sprekelsen, M.; Ebmeyer, J.; Dazert, S.; Hildmann, H.; Sudhoff, H. Etiopathogenesis of cholesteatoma. Eur. Arch. Otorhinolaryngol. 2004, 261, 6–24. [Google Scholar] [CrossRef] [PubMed]
- Ferlito, O.; Devaney, K.O.; Rinaldo, A.; Milroy, C.; Wenig, B.; Iurato, S.; Mccabe, B.F. Clinicopathological consultation ear cholesteatoma versus cholesterol granuloma. Ann. Otol. Rhinol. Laryngol. 1997, 106, 79–85. [Google Scholar] [PubMed]
- Morales, D.S.R.; Penido, N.O.; Da Silva, I.D.C.G.; Stávale, J.N.; Guilherme, A.; Fukuda, Y. Matriz metaloproteinase 2: Um importante marcador genético para colesteatomas. Rev. Bras. Otorrinolaringol. 2007, 73, 55–61. [Google Scholar] [CrossRef]
- Kuo, C.L.; Liao, W.H.; Shiao, A.S. A review of current progress in acquired cholesteatoma management. Oto Rhino Layngology 2015, 272, 3601–3609. [Google Scholar] [CrossRef] [PubMed]
- Mustafa, A.; Kuçi, S.; Behramaj, A. Management of cholesteatoma complications: Our experience in 145 cases. Indian J. Otol. 2014, 20, 45–47. [Google Scholar] [CrossRef]
- Murdin, L.; Schilder, A.G. Epidemiology of Balance Symptoms and Disorders in the Community, A Systematic Review. Otol. Neurotol. 2015, 36, 387–392. [Google Scholar] [CrossRef]
- Mygind, H. Subperiosteal abscess of the mastoid region. Ann. Otol. Rhinol. Laryngol. 1990, 19, 259–265. [Google Scholar] [CrossRef]
- Sudhoff, H.; Dazert, S.; Gonzales, A.M.; Borkowski, G.; Park, S.Y.; Baird, A.; Hildmann, H.; Ryan, A.F. Angiogenesis and angiogenic growth factors in middle ear cholesteatoma. Am. J. Otol. 2000, 21, 793–798. [Google Scholar]
- Fujikawa, T.; Tanimoto, K.; Kawashima, Y.; Ito, T.; Honda, K.; Takeda, T.; Sonobe, A.; Aoki, N.; Bai, J.; Tsutsumi, T. Cholesteatoma Has an Altered Microbiota with a Higher Abundance of Staphylococcus Species. Laryngoscope Investig. Otolaryngol. 2022, 7, 2011–2019. [Google Scholar] [CrossRef]
- Galli, J.; Calò, L.; Giuliani, M.; Sergi, B.; Lucidi, D.; Meucci, D.; Bassotti, E.; Sanguinetti, M.; Paludetti, G. Biofilm’s Role in Chronic Cholesteatomatous Otitis Media: A Pilot Study. Otolaryngol. Head Neck Surg. 2016, 154, 914–916. [Google Scholar] [CrossRef]



































| CT Aspects | Number of Patients | Percentage |
|---|---|---|
| Fluid accumulation | 168 | 100% |
| Osteolysis | 152 | 90.47% |
| Osteocondensations | 128 | 76.19% |
| Cholesteatoma | 48 | 28.57% |
| Exocranial extensions | 48 | 28.57% |
| Intracranial extensions | 24 | 14.28% |
| Changes to the external auditory canal | 68 | 40.47% |
| Ossicular chain damage | 144 | 85.71% |
| MRI Aspects | Number of Patients | Percentage |
|---|---|---|
| Edema | 128 | 100% |
| Cholesteatoma | 40 | 31.25% |
| Exocranial extensions | 40 | 31.25% |
| Intracranial extensions | 32 | 25% |
| Inner ear damage | 20 | 15.62% |
| Variable | Number (%) |
|---|---|
| Patients with hearing loss | 480 (82.76%) |
| Type of hearing loss | Conductive: 340 (70.83%) Sensorineural: 140 (29.17%) |
| Mean preoperative pure tone average | 55 dB ± 10 dB |
| ABG | Mean ABG: 25 dB |
| Variable | Number (%) | Odds Ratio (OR) | 95% Confidence Interval (CI) | p-Value |
|---|---|---|---|---|
| Severe complications (post-mastoidectomy) | 64 (11.03%) | 10.81 | 3.89–29.96 | <0.01 |
| Postoperative complications (preoperative labyrinthine fistulae) | 20 (3.45%) | 3.5 | 1.5–6.9 | <0.02 |
| Post-operative hearing improvement (audiometry) | 406 (70%) | 5.38 | 4.1–7.0 | <0.01 |
| Post-operative hearing loss (preoperative ossicular damage) | 70 (~12.07%) | 2.8 | 1.4–5.6 | <0.003 |
| Recurrence in 2 years | 9 (1.55%) | 3.35 | 0.20–55.24 | >0.08 |
| Variable | Number (%) |
|---|---|
| Patients with improved hearing | 406 (70%) |
| Patients with unchanged hearing | 100 (17.24%) |
| Patients with worsened hearing | 74 (12.76%) |
| Mean postoperative PTA | 35 dB ± 8 dB |
| Improvement in PTA | ≥10 dB improvement in 406 patients |
| Postoperative ABG | Mean ABG: 15 dB ABG ≤ 10 dB: 300 (51.72%) ABG > 20 dB: 120 (20.69%) |
| Patients with Complete Closure of ABG | 180 (31.03%) |
| Histopathologic Aspects | Number of Patients |
|---|---|
| Cholesteatom | 276 |
| Polip | 180 |
| Tympanic membrane mucosa chamber, epithelium with apocrine-like cells, and chronic inflammatory infiltrate | 128 |
| Cell Types | Percentage |
|---|---|
| Lymphocytes T | 42.55% |
| Lymphocytes B | 31.45% |
| Macrophages | 26.00% |
Disclaimer/Publisher’s Note: The statements, opinions and data contained in all publications are solely those of the individual author(s) and contributor(s) and not of MDPI and/or the editor(s). MDPI and/or the editor(s) disclaim responsibility for any injury to people or property resulting from any ideas, methods, instructions or products referred to in the content. |
© 2024 by the authors. Licensee MDPI, Basel, Switzerland. This article is an open access article distributed under the terms and conditions of the Creative Commons Attribution (CC BY) license (https://creativecommons.org/licenses/by/4.0/).
Share and Cite
Popescu, C.; Văruț, R.M.; Puticiu, M.; Belghiru, V.I.; Banicioiu, M.; Rotaru, L.T.; Popescu, M.; Cosmin, A.C.; Popescu, A.I.S. Comprehensive Management of Cholesteatoma in Otitis Media: Diagnostic Challenges, Imaging Advances, and Surgical Outcome. J. Clin. Med. 2024, 13, 6791. https://doi.org/10.3390/jcm13226791
Popescu C, Văruț RM, Puticiu M, Belghiru VI, Banicioiu M, Rotaru LT, Popescu M, Cosmin AC, Popescu AIS. Comprehensive Management of Cholesteatoma in Otitis Media: Diagnostic Challenges, Imaging Advances, and Surgical Outcome. Journal of Clinical Medicine. 2024; 13(22):6791. https://doi.org/10.3390/jcm13226791
Chicago/Turabian StylePopescu, Cristina, Renata Maria Văruț, Monica Puticiu, Vlad Ionut Belghiru, Mihai Banicioiu, Luciana Teodora Rotaru, Mihaela Popescu, Arsenie Cristian Cosmin, and Alin Iulian Silviu Popescu. 2024. "Comprehensive Management of Cholesteatoma in Otitis Media: Diagnostic Challenges, Imaging Advances, and Surgical Outcome" Journal of Clinical Medicine 13, no. 22: 6791. https://doi.org/10.3390/jcm13226791
APA StylePopescu, C., Văruț, R. M., Puticiu, M., Belghiru, V. I., Banicioiu, M., Rotaru, L. T., Popescu, M., Cosmin, A. C., & Popescu, A. I. S. (2024). Comprehensive Management of Cholesteatoma in Otitis Media: Diagnostic Challenges, Imaging Advances, and Surgical Outcome. Journal of Clinical Medicine, 13(22), 6791. https://doi.org/10.3390/jcm13226791

