Fluid Overload in Children Following Hematopoietic Cell Transplant: A Comprehensive Review
Abstract
1. Introduction
2. Fluid Overload Pathophysiology
3. Fluid Overload Definition
4. Fluid Overload Assessment
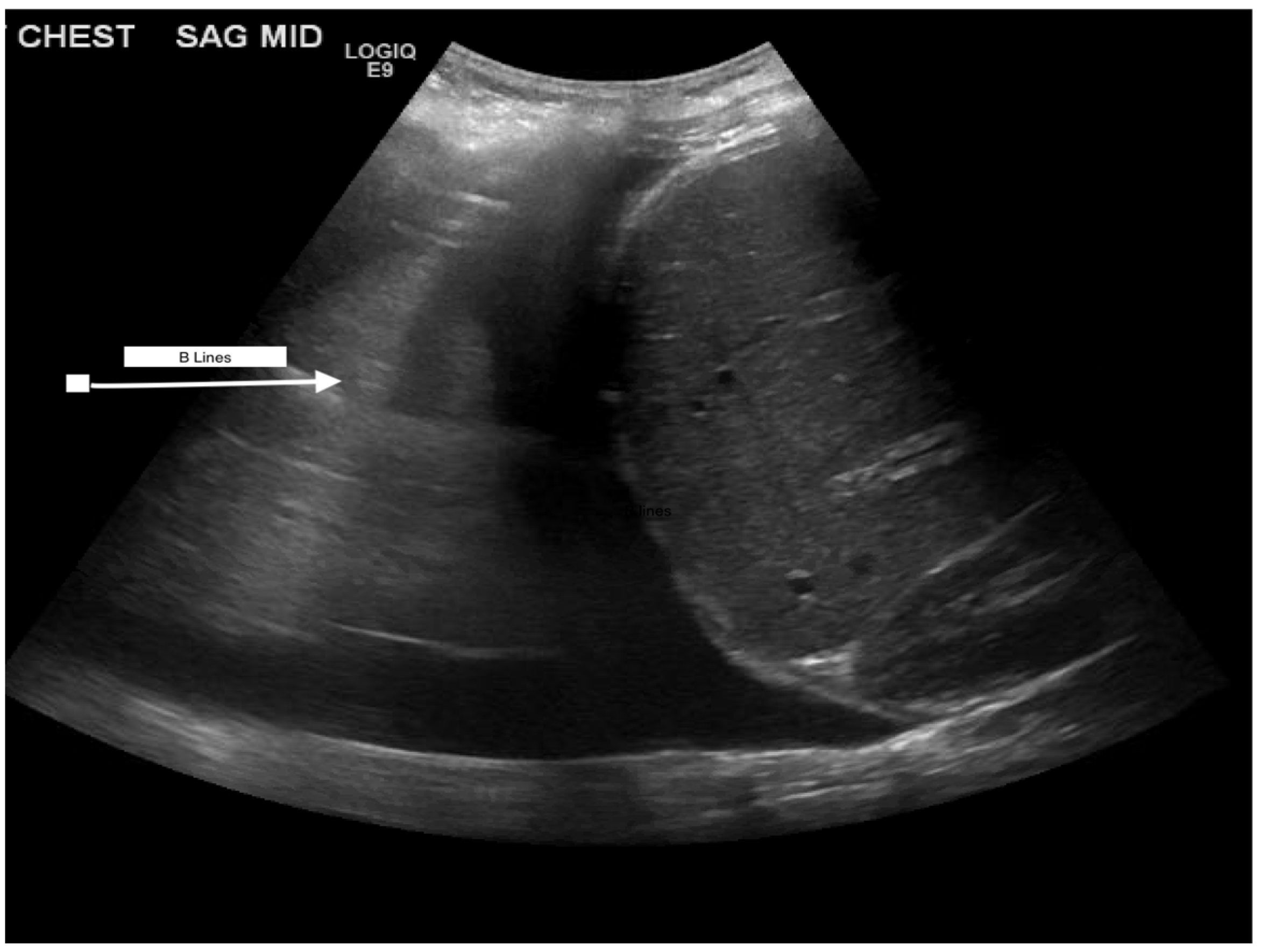
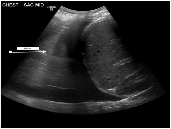
4.1. Ultrasound
4.2. Bioimpedance Analysis
4.3. Biomarkers
5. Fluid Overload in the Transplant World
6. Fluid Overload in the Critical Care World
7. Fluid Overload and Acute Kidney Injury
8. Fluid Overload and Acute Respiratory Failure
9. Fluid Overload and Continuous Kidney Replacement Therapy
10. Fluid Overload and Sepsis
11. Other Transplant-Related Complications and Fluid Overload
12. Management
13. Conclusions
Author Contributions
Funding
Institutional Review Board Statement
Informed Consent Statement
Data Availability Statement
Acknowledgments
Conflicts of Interest
References
- Claure-Del Granado, R.; Mehta, R.L. Fluid overload in the ICU: Evaluation and management. BMC Nephrol. 2016, 17, 109. [Google Scholar] [CrossRef] [PubMed]
- Koratala, A.; Ronco, C.; Kazory, A. Diagnosis of Fluid Overload: From Conventional to Contemporary Concepts. Cardiorenal Med. 2022, 12, 141–154. [Google Scholar] [CrossRef] [PubMed]
- Alobaidi, R.; Morgan, C.; Basu, R.K.; Stenson, E.; Featherstone, R.; Majumdar, S.R.; Bagshaw, S.M. Association Between Fluid Balance and Outcomes in Critically Ill Children: A Systematic Review and Meta-analysis. JAMA Pediatr. 2018, 172, 257–268. [Google Scholar] [CrossRef] [PubMed]
- Lukaski, H.C.; Vega Diaz, N.; Talluri, A.; Nescolarde, L. Classification of Hydration in Clinical Conditions: Indirect and Direct Approaches Using Bioimpedance. Nutrients 2019, 11, 809. [Google Scholar] [CrossRef] [PubMed]
- Paniagua, R.; Ventura, M.D.; Avila-Díaz, M.; Hinojosa-Heredia, H.; Méndez-Durán, A.; Cueto-Manzano, A.; Cisneros, A.; Ramos, A.; Madonia-Juseino, C.; Belio-Caro, F.; et al. NT-proBNP, fluid volume overload and dialysis modality are independent predictors of mortality in ESRD patients. Nephrol. Dial. Transplant. 2010, 25, 551–557. [Google Scholar] [CrossRef]
- Varma, A.; Rondon, G.; Srour, S.A.; Chen, J.; Ledesma, C.; Champlin, R.E.; Ciurea, S.O.; Saliba, R.M. Endothelial Activation and Stress Index (EASIX) at Admission Predicts Fluid Overload in Recipients of Allogeneic Stem Cell Transplantation. Biol. Blood Marrow Transplant. 2020, 26, 1013–1020. [Google Scholar] [CrossRef]
- Bauer, A.; Carlin, K.; Schwartz, S.M.; Srikanthan, M.; Thakar, M.; Burroughs, L.M.; Smith, J.; Hingorani, S.; Menon, S. Risk factors for severe acute kidney injury after pediatric hematopoietic cell transplantation. Pediatr. Nephrol. 2023, 38, 1365–1372. [Google Scholar] [CrossRef]
- Benoit, G.; Phan, V.; Duval, M.; Champagne, M.; Litalien, C.; Merouani, A. Fluid balance of pediatric hematopoietic stem cell transplant recipients and intensive care unit admission. Pediatr. Nephrol. 2007, 22, 441–447. [Google Scholar] [CrossRef]
- Rondón, G.; Saliba, R.M.; Chen, J.; Ledesma, C.; Alousi, A.M.; Oran, B.; Hosing, C.M.; Kebriaei, P.; Khouri, I.F.; Shpall, E.J.; et al. Impact of Fluid Overload as New Toxicity Category on Hematopoietic Stem Cell Transplantation Outcomes. Biol. Blood Marrow Transplant. 2017, 23, 2166–2171. [Google Scholar] [CrossRef]
- Michael, M.; Kuehnle, I.; Goldstein, S.L. Fluid overload and acute renal failure in pediatric stem cell transplant patients. Pediatr. Nephrol. 2004, 19, 91–95. [Google Scholar] [CrossRef]
- Flores, F.X.; Brophy, P.D.; Symons, J.M.; Fortenberry, J.D.; Chua, A.N.; Alexander, S.R.; Mahan, J.D.; Bunchman, T.E.; Blowey, D.; Somers, M.J.; et al. Continuous renal replacement therapy (CRRT) after stem cell transplantation. A report from the prospective pediatric CRRT Registry Group. Pediatr. Nephrol. 2008, 23, 625–630. [Google Scholar] [CrossRef] [PubMed]
- Lombel, R.M.; Kommareddi, M.; Mottes, T.; Selewski, D.T.; Han, Y.Y.; Gipson, D.S.; Collins, K.L.; Heung, M. Implications of different fluid overload definitions in pediatric stem cell transplant patients requiring continuous renal replacement therapy. Intensive Care Med. 2012, 38, 663–669. [Google Scholar] [CrossRef] [PubMed]
- Raymakers-Janssen, P.; Lilien, M.R.; Tibboel, D.; Kneyber, M.C.J.; Dijkstra, S.; van Woensel, J.B.M.; Lemson, J.; Cransberg, K.; van den Heuvel-Eibrink, M.M.; Wösten-van Asperen, R.M. Epidemiology and Outcome of Critically Ill Pediatric Cancer and Hematopoietic Stem Cell Transplant Patients Requiring Continuous Renal Replacement Therapy: A Retrospective Nationwide Cohort Study. Crit. Care Med. 2019, 47, e893–e901. [Google Scholar] [CrossRef] [PubMed]
- Elbahlawan, L.; Morrison, R.; Li, Y.; Huang, S.; Cheng, C.; Avent, Y.; Madden, R. Outcome of Acute Respiratory Failure Secondary to Engraftment in Children After Hematopoietic Stem Cell Transplant. Front. Oncol. 2020, 10, 584269. [Google Scholar] [CrossRef]
- Mueller, D.M.; Markovitz, B.P.; Zinter, M.S.; Takimoto, S.W.; Khemani, R.G. Risk Factors for Mortality and Pre-ICU Fluid Balance Among Critically Ill Hematopoietic Stem Cell Transplant Patients. J. Intensive Care Med. 2020, 35, 1265–1270. [Google Scholar] [CrossRef]
- Sallee, C.J.; Smith, L.S.; Rowan, C.M.; Heckbert, S.R.; Angelo, J.R.; Daniel, M.C.; Gertz, S.J.; Hsing, D.D.; Mahadeo, K.M.; McArthur, J.A.; et al. Early Cumulative Fluid Balance and Outcomes in Pediatric Allogeneic Hematopoietic Cell Transplant Recipients With Acute Respiratory Failure: A Multicenter Study. Front. Oncol. 2021, 11, 705602. [Google Scholar] [CrossRef]
- Lintz, V.C.; Vieira, R.A.; Carioca, F.L.; Ferraz, I.S.; Silva, H.M.; Ventura, A.M.C.; de Souza, D.C.; Brandão, M.B.; Nogueira, R.J.N.; de Souza, T.H. Fluid accumulation in critically ill children: A systematic review and meta-analysis. EClinicalMedicine 2024, 74, 102714. [Google Scholar] [CrossRef]
- Li, Z.; Liu, J.; Jing, B.; Shen, W.; Liu, P.; Liu, Y.; Han, Z. Incidence of acute kidney injury after hematopoietic stem cell transplantation in children: A systematic review and meta-analysis. Eur. J. Pediatr. 2023, 182, 3511–3517. [Google Scholar] [CrossRef]
- James, V.; Angelo, J.; Elbahlawan, L. Kidney Injury in Children after Hematopoietic Stem Cell Transplant. Curr. Oncol. 2023, 30, 3329–3343. [Google Scholar] [CrossRef]
- Matsuoka, D.; Hirabayashi, K.; Murase, T.; Saito, S.; Nakazawa, Y. Impact of acute kidney injury on overall survival in children and young adults undergoing allogeneic hematopoietic stem cell transplantation. Pediatr. Blood Cancer 2021, 68, e29167. [Google Scholar] [CrossRef]
- Goldstein, S.L.; Chawla, L.S. Renal angina. Clin. J. Am. Soc. Nephrol. 2010, 5, 943–949. [Google Scholar] [CrossRef] [PubMed]
- Soliman, A.S.A.; Al-Ghamdi, H.S.; Abukhatwah, M.W.; Kamal, N.M.; Dabour, S.A.; Elgendy, S.A.; Alfaifi, J.; Abukhatwah, O.M.W.; Abosabie, S.A.S.; Abosabie, S.A.; et al. Renal angina index in critically ill children as an applicable and reliable tool in the prediction of severe acute kidney injury: Two tertiary centers’ prospective observational study from the Middle East. Medicine 2023, 102, e36713. [Google Scholar] [CrossRef] [PubMed]
- Goldstein, S.L.; Krallman, K.A.; Roy, J.P.; Collins, M.; Chima, R.S.; Basu, R.K.; Chawla, L.; Fei, L. Real-Time Acute Kidney Injury Risk Stratification-Biomarker Directed Fluid Management Improves Outcomes in Critically Ill Children and Young Adults. Kidney Int. Rep. 2023, 8, 2690–2700. [Google Scholar] [CrossRef] [PubMed]
- Elbahlawan, L.; Srinivasan, A.; Morrison, R.R. A Critical Care and Transplantation-Based Approach to Acute Respiratory Failure after Hematopoietic Stem Cell Transplantation in Children. Biol. Blood Marrow Transplant. 2016, 22, 617–626. [Google Scholar] [CrossRef] [PubMed]
- Rowan, C.M.; McArthur, J.; Hsing, D.D.; Gertz, S.J.; Smith, L.S.; Loomis, A.; Fitzgerald, J.C.; Nitu, M.E.; Moser, E.A.S.; Duncan, C.N.; et al. Acute Respiratory Failure in Pediatric Hematopoietic Cell Transplantation: A Multicenter Study. Crit. Care Med. 2018, 46, e967–e974. [Google Scholar] [CrossRef]
- Black, C.G.; Thomas, N.J.; Yehya, N. Timing and Clinical Significance of Fluid Overload in Pediatric Acute Respiratory Distress Syndrome. Pediatr. Crit. Care Med. 2021, 22, 795–805. [Google Scholar] [CrossRef]
- Elbahlawan, L.; Bissler, J.; Morrison, R.R. Continuous Renal Replacement Therapy: A Review of Use and Application in Pediatric Hematopoietic Stem Cell Transplant Recipients. Front. Oncol. 2021, 11, 632263. [Google Scholar] [CrossRef]
- Murugan, R.; Kerti, S.J.; Chang, C.H.; Gallagher, M.; Neto, A.S.; Clermont, G.; Ronco, C.; Palevsky, P.M.; Kellum, J.A.; Bellomo, R. Association between Net Ultrafiltration Rate and Renal Recovery among Critically Ill Adults with Acute Kidney Injury Receiving Continuous Renal Replacement Therapy: An Observational Cohort Study. Blood Purif. 2022, 51, 397–409. [Google Scholar] [CrossRef]
- Sansom, B.; Udy, A.; Presneill, J.; Bellomo, R. Early Net Ultrafiltration during Continuous Renal Replacement Therapy: Impact of Admission Diagnosis and Association with Mortality. Blood Purif. 2024, 53, 170–180. [Google Scholar] [CrossRef]
- Lindell, R.B.; Gertz, S.J.; Rowan, C.M.; McArthur, J.; Beske, F.; Plunkett, A.; Weiss, S.L.; Thomas, N.J.; Nadkarni, V.M.; Fitzgerald, J.C. High Levels of Morbidity and Mortality Among Pediatric Hematopoietic Cell Transplant Recipients With Severe Sepsis: Insights From the Sepsis PRevalence, OUtcomes, and Therapies International Point Prevalence Study. Pediatr. Crit. Care Med. 2017, 18, 1114–1125. [Google Scholar] [CrossRef]
- Evans, L.; Rhodes, A.; Alhazzani, W.; Antonelli, M.; Coopersmith, C.M.; French, C.; Machado, F.R.; McIntyre, L.; Ostermann, M.; Prescott, H.C.; et al. Executive Summary: Surviving Sepsis Campaign: International Guidelines for the Management of Sepsis and Septic Shock 2021. Crit Care Med. 2021, 49, 1974–1982. [Google Scholar] [CrossRef] [PubMed]
- Maitland, K.; Kiguli, S.; Opoka, R.O.; Engoru, C.; Olupot-Olupot, P.; Akech, S.O.; Nyeko, R.; Mtove, G.; Reyburn, H.; Lang, T.; et al. Mortality after fluid bolus in African children with severe infection. N. Engl. J. Med. 2011, 364, 2483–2495. [Google Scholar] [CrossRef] [PubMed]
- Bonifazi, F.; Barbato, F.; Ravaioli, F.; Sessa, M.; Defrancesco, I.; Arpinati, M.; Cavo, M.; Colecchia, A. Diagnosis and Treatment of VOD/SOS After Allogeneic Hematopoietic Stem Cell Transplantation. Front. Immunol. 2020, 11, 489. [Google Scholar] [CrossRef] [PubMed]
- Corbacioglu, S.; Jabbour, E.J.; Mohty, M. Risk Factors for Development of and Progression of Hepatic Veno-Occlusive Disease/Sinusoidal Obstruction Syndrome. Biol. Blood Marrow Transplant. 2019, 25, 1271–1280. [Google Scholar] [CrossRef] [PubMed]
- Spitzer, T.R. Engraftment syndrome: Double-edged sword of hematopoietic cell transplants. Bone Marrow Transplant. 2015, 50, 469–475. [Google Scholar] [CrossRef]
- Langer, T.; D’Oria, V.; Spolidoro, G.C.I.; Chidini, G.; Scalia Catenacci, S.; Marchesi, T.; Guerrini, M.; Cislaghi, A.; Agostoni, C.; Pesenti, A.; et al. Fluid therapy in mechanically ventilated critically ill children: The sodium, chloride and water burden of fluid creep. BMC Pediatr. 2020, 20, 424. [Google Scholar] [CrossRef]
- Van Regenmortel, N.; Verbrugghe, W.; Roelant, E.; Van den Wyngaert, T.; Jorens, P.G. Maintenance fluid therapy and fluid creep impose more significant fluid, sodium, and chloride burdens than resuscitation fluids in critically ill patients: A retrospective study in a tertiary mixed ICU population. Intensive Care Med. 2018, 44, 409–417. [Google Scholar] [CrossRef]
- Wiedemann, H.P.; Wheeler, A.P.; Bernard, G.R.; Thompson, B.T.; Hayden, D.; de Boisblanc, B.; Connors, A.F., Jr.; Hite, R.D.; Harabin, A.L. Comparison of two fluid-management strategies in acute lung injury. N. Engl. J. Med. 2006, 354, 2564–2575. [Google Scholar] [CrossRef]




| Diagnostic | Findings of FO | Other Findings | Pros/Cons |
|---|---|---|---|
| CXR | Cardiomegaly, interstitial edema, dilated pulmonary artery, pleural effusion, alveolar edema, Kerly lines | Easily obtained/good initial screening Lacks sensitivity and specificity | |
| Ultrasound | |||
| Cardiac | Presence of pericardial effusion, poor LV ejection fraction, valvular dysfunction, right ventricular enlargement, intraventricular septum flattening in diastole, tricuspid regurgitation, LV outflow tract velocities with Doppler | Easily obtained/good initial screening Similar findings can be present for different etiologies | |
| IVC collapsibility | Diameter <1.5 cm = volume depleted status >2.5 cm = volume overload w/no variability with breathing | Lacks sensitivity and specificity | |
| Abdominal | Evaluate hepatic vein, portal vein, intrarenal artery for end organ perfusion due to increased right atrial pressure, bowel wall edema, ascites | Easily obtained, lacks sensitivity and specificity | |
| Venous congestion with Doppler | Diameter > 2 cm indicates congestion in IVC Edema is notable if B-lines present | Requires more evidence | |
| Bioimpedance Analysis | Alternating currents to measure body composition and soft-tissue hydration | Not easily accessible Requires more evidence | |
| Biomarker | |||
| BNP | Secreted by cardiomyocytes under stretch condition | Down trending during diuretic therapy in patients with heart failure | Excellent negative predictive value in diagnosis of heart failure |
| Urinary NGAL | Increased early in AKI | Reduced rate of FO ≥ 15% prior to CKRT and a shorter length of stay in PICU when combined with RAI |
| Author, Year | Population (n) | Fluid Balance | Outcome | Main Findings |
|---|---|---|---|---|
| Michael et al., 2004 [10] | Allogeneic (26) Acute renal failure Admitted to PICU (23) | Cumulative fluid input and output | Survival Euvolemia (FO < 10%) | Survival rate was 42% Survival rate in children who received KRT was 29% All survivors were euvolemic |
| Benoit et al., 2007 [8] | Allogeneic and Auto (87) HCT to PICU admission (19) HCT to hospital discharge (68) | Weight-based Cumulative fluid input and output | PICU admission | Weight gain >10% on admission to HCT is a risk factor for PICU admission |
| Flores et al., 2008 [11] | Stem cell (51) CKRT (51) | Cumulative fluid input and output | PICU survival | FO was the most common reason for CRRT initiation Survival to PICU discharge was 45% |
| Lombel et al., 2012 [12] | Stem cell (21) CKRT (21) | Weight-based Cumulative fluid input and output | PICU mortality PELOD scores | Survival to PICU discharge was 61% FO% was not associated with PICU mortality FO was predictive of higher subsequent PELOD scores |
| Raymakers-Janssen et al., 2019 [13] | Cancer and HCT (68) HCT (23) CKRT (68) | Weight-based | PICU mortality | Survival to PICU discharge was 45.6% Survival of HCT patients to PICU discharge was 39.1% FO and inotropic support at the start of CRRT were associated with PICU mortality |
| Elbahlawan et al., 2020 [14] | Allogeneic and Auto (30) ARF/IMV (30) | Cumulative fluid input and output | PICU survival | Survival to PICU discharge was 80% Lower cumulative FO% in survivors on D4 and D5 after start of IMV |
| Mueller et al., 2020 [15] | Allogeneic and Auto (92) | Cumulative fluid input and output | PICU mortality | Fluid balance 24 h prior and 24 h post PICU admission was not associated with survival, ventilator-free days, or PICU-free days |
| Sallee et al., 2021 [16] | Allogeneic (198) ARF/IMV (198) | Cumulative fluid input and output | Effect of cumulative fluid balance on outcome | Positive D3 CFB was associated with higher PICU mortality and a lower rate of extubation |
| Bauer et al., 2023 [7] | Allogeneic and Autologous (484) AKI (168) | AKI | FO > 10% was present in 67% of patients with severe AKI Risk of death at 1 year was higher in severe AKI than in those with no AKI (HR, 4.6) |
Disclaimer/Publisher’s Note: The statements, opinions and data contained in all publications are solely those of the individual author(s) and contributor(s) and not of MDPI and/or the editor(s). MDPI and/or the editor(s) disclaim responsibility for any injury to people or property resulting from any ideas, methods, instructions or products referred to in the content. |
© 2024 by the authors. Licensee MDPI, Basel, Switzerland. This article is an open access article distributed under the terms and conditions of the Creative Commons Attribution (CC BY) license (https://creativecommons.org/licenses/by/4.0/).
Share and Cite
Elbahlawan, L.; Qudeimat, A.; Morrison, R.; Schaller, A. Fluid Overload in Children Following Hematopoietic Cell Transplant: A Comprehensive Review. J. Clin. Med. 2024, 13, 6348. https://doi.org/10.3390/jcm13216348
Elbahlawan L, Qudeimat A, Morrison R, Schaller A. Fluid Overload in Children Following Hematopoietic Cell Transplant: A Comprehensive Review. Journal of Clinical Medicine. 2024; 13(21):6348. https://doi.org/10.3390/jcm13216348
Chicago/Turabian StyleElbahlawan, Lama, Amr Qudeimat, Ray Morrison, and Alexandra Schaller. 2024. "Fluid Overload in Children Following Hematopoietic Cell Transplant: A Comprehensive Review" Journal of Clinical Medicine 13, no. 21: 6348. https://doi.org/10.3390/jcm13216348
APA StyleElbahlawan, L., Qudeimat, A., Morrison, R., & Schaller, A. (2024). Fluid Overload in Children Following Hematopoietic Cell Transplant: A Comprehensive Review. Journal of Clinical Medicine, 13(21), 6348. https://doi.org/10.3390/jcm13216348
