Extrarenal Visceral Arteries Injuries during Left Radical Nephrectomy: A 50-Year Continuing Problem
Abstract
1. Introduction
2. Renal and Visceral Vascular Anatomy
2.1. Renal Arteries (RAs)
2.2. Superior Mesenteric Artery (SMA)
2.3. Celiac Trunk (CT)
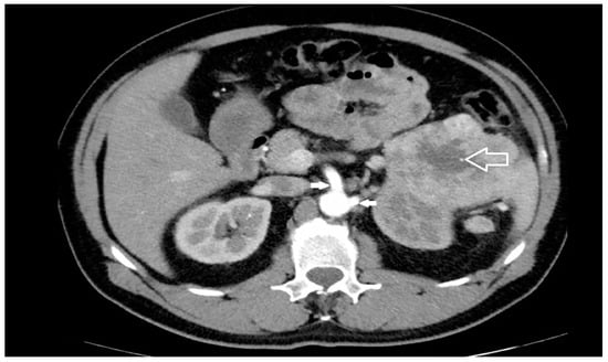
2.4. Spatial Relationships
3. Extrarenal Visceral Arterial Injuries during Left Nephrectomy
3.1. Literature Review
3.2. Risk Factors
3.3. Pathogenesis, Prevention and Diagnosis
3.4. Clinical Consequences and Treatment
4. Limitations
5. Conclusions
Author Contributions
Funding
Institutional Review Board Statement
Informed Consent Statement
Data Availability Statement
Conflicts of Interest
References
- Roseau, E.; Arvis, G.; Chapuis, Y. The mesenteric arterial risk during left nephrectomy. Nouv. Presse Med. 1973, 2, 385. [Google Scholar] [PubMed]
- Arvis, G. The arterial risk during extended nephrectomy. J. Urol. Nephrol. 1974, 80, 143–144. [Google Scholar]
- Stranding, S. Gray’s Anatomy: The Anatomical Basis of Clinical Practice, 42nd ed.; Elsevier: Amsterdam, The Netherlands, 2020. [Google Scholar]
- Hazırolan, T.; Öz, M.; Türkbey, B.; Karaosmanoğlu, A.D.; Oğuz, B.S.; Canyiğit, M. CT angiography of the renal arteries and veins: Normal anatomy and variants. Diagn. Interv. Radiol. 2011, 17, 67–73. [Google Scholar] [CrossRef] [PubMed]
- Ozan, H.; Alemdaroglu, A.; Sinav, A.; Gümüsalan, Y. Location of the ostia of the renal arteries in the aorta. Surg. Radiol. Anat. 1997, 19, 245–247. [Google Scholar] [CrossRef]
- Pennington, N.; Soames, R.W. The anterior visceral branches of the abdominal aorta and their relationship to the renal arteries. Surg. Radiol. Anat. 2005, 27, 395–403. [Google Scholar] [CrossRef]
- Katz-Summercorn, A.; Bridger, J. A cadaveric study of the anatomical variation of the origins of the celiac trunk and the superior mesenteric artery: A role in median arcuate ligament syndrome? Clin. Anat. 2013, 26, 971–974. [Google Scholar] [CrossRef]
- Sośnik, H.; Sośnik, K. Studies on renal arteries origin from the aorta in respect to superior mesenteric artery in Polish population. Folia Morphol. 2020, 79, 86–92. [Google Scholar] [CrossRef]
- Mazzaccaro, D.; Malacrida, G.; Nano, G. Variability of Origin of Splanchnic and Renal Vessels from the Thoracoabdominal Aorta. Eur. J. Vasc. Endovasc. Surg. 2015, 49, 33–38. [Google Scholar] [CrossRef][Green Version]
- Niscoveanu, C.; Bordei, P.; Baz, R. Morphological characteristics of origin of superior arterial mesenteric trunk. ARS Medica Tomitana 2016, 3, 145–152. [Google Scholar] [CrossRef]
- Lawton, J.; Touma, J.; Sénémaud, J.; de Boissieu, P.; Brossier, J.; Kobeiter, H.; Desgranges, P. Computer-assisted study of the axial orientation and distances between renovisceral arteries ostia. Surg. Radiol. Anat. 2017, 39, 149–160. [Google Scholar] [CrossRef]
- Damen, N.S.; Hostiuc, S.; Jianu, A.M.; Manta, B.A.; Rusu, M.C.; Dobra, M.A. Anatomical variants of the retroaortic left renal vein. Ann. Anat. 2024, 251, 152170. [Google Scholar] [CrossRef]
- Treffalls, R.N.; Stonko, D.P.; DeMartino, R.R.; Morrison, J.J. Acute management of mesenteric emergencies: Tailoring the solution to the problem. Semin. Vasc. Surg. 2023, 36, 234–249. [Google Scholar] [CrossRef]
- Parsons, J.K.; Varkarakis, I.; Rha, K.H.; Jarrett, T.W.; Pinto, P.A.; Kavoussi, L.R. Complications of abdominal urologic laparoscopy: Longitudinal five-year analysis. Urology 2004, 63, 27–32. [Google Scholar] [CrossRef]
- Krishnamurthi, V.; Frota, R.; Turna, B. Management of Vascular Complications. In Complicatons of Urologic Surgery. Prevention and Management, 4th ed.; Taneja, S.S., Ed.; Saunders: Philadelphia, PA, USA, 2010; pp. 237–249. [Google Scholar]
- Ritchey, M.L.; Lally, K.P.; Haase, G.M.; Shochat, S.J.; Kelalis, P.P. Superior mesenteric artery injury during nephrectomy for Wilms’ tumor. J. Pediatr. Surg. 1992, 27, 612–615. [Google Scholar] [CrossRef]
- Siqueira, T.M., Jr.; Kuo, R.L.; Gardner, T.A.; Paterson, R.F.; Stevens, L.H.; Lingeman, J.E.; Koch, M.O.; Shalhav, A.L. Major complications in 213 laparoscopic nephrectomy cases: The Indianapolis experience. J. Urol. 2002, 168 4 Pt 1, 1361–1365. [Google Scholar] [CrossRef]
- Court, B.; De Catalogne, G. Section of the superior mesenteric artery during an extended nephrectomy for cancer of the left kidney. Immediate repair by spleno-mesenteric anastomosis. J. Urol. Nephrol. 1976, 82, 635–640. [Google Scholar]
- Bhanot, S.C.; Beaufils, A.; Leiter, E. Importance of collateral circulation of bowel in urologic surgery. J. Urol. 1980, 123, 893–894. [Google Scholar] [CrossRef]
- Blunt, L.W., Jr.; Matsumura, J.; Carter, M.F.; Gonzalez, C.M.; Smith, N.D. Repair of superior mesenteric artery ligation during left nephrectomy with a native renal vein patch. Urology 2004, 64, 377–378. [Google Scholar] [CrossRef]
- Kumar, S.; Mandal, A.K.; Acharya, N.; Thingnam, S.K.; Bhalla, V.; Singh, S.K. Superior mesenteric artery injury during en bloc excision of a massive left adrenal tumor. Urol. Int. 2007, 78, 182–184. [Google Scholar] [CrossRef]
- Nevoux, P.; Zini, L.; Villers, A.; Boleslawski, E.; Nunes, B.; Zerbib, P. Celiac axis and superior mesenteric artery: Danger zone for left nephrectomy. J. Endourol. 2008, 22, 2571–2574. [Google Scholar] [CrossRef]
- Abu-Gazala, S.; Schlager, A.; Elazary, R.; Keidar, A.; Appelbaum, L.; Rivkind, A.I.; Khalaileh, A.; Abu-Gazala, M.; Merhav, H. Revascularization of the celiac and superior mesenteric arteries after operative injury using both splenic artery and saphenous graft. Ann. Vasc. Surg. 2010, 24, e1–e4. [Google Scholar] [CrossRef]
- Afonso, C.; Pereira, J.; Eufrásio, P.; Constantino, J.; Rebelo, P. Splenomesenteric bypass as revascularisation technique after iatrogenic injury of the superior mesenteric artery during radical nephrectomy: A case report. Int. J. Surg. Case Rep. 2019, 60, 34–37. [Google Scholar] [CrossRef]
- Kumar, S.; Navariya, S.C.; Bhirud, D.P.; Ranjan, S.K.; Mittal, A.; Mammen, K.J. Revascularisation of iatrogenic superior mesenteric artery injury by end to end anastomosis during robot assisted nephrectomy. Int. J. Surg. Case Rep. 2019, 63, 40–43. [Google Scholar] [CrossRef]
- Zhang, L.; Zhang, X.; Chang, P.; Yang, J.; Zheng, D.; Zhang, D.; Wen, S.; Jing, S. A Novel Approach for Repairing Superior Mesenteric Artery Injury During Left Nephrectomy—6-year Follow-up. Urology 2020, 144, 241–244. [Google Scholar] [CrossRef]
- Deb, M.; Jayaram, H.; Arlikar, J. Superior Mesenteric Artery Injury during Radical Nephrectomy in an Infant: Delayed Diagnosis and Successful Management. J. Indian. Assoc. Pediatr. Surg. 2021, 26, 188–191. [Google Scholar] [CrossRef]
- Mayor, N.; Sapre, N.; Sandford, B.; Challacombe, B. Superior Mesenteric Artery Injury During Robot-assisted Laparoscopic Nephrectomy: A Robotic Nightmare. Eur. Urol. Open Sci. 2022, 38, 44–48. [Google Scholar] [CrossRef]
- Ashraf, W.; Malik, S.A.; Hamid, A.; Wani, M.S.; Khawaja, R. “Collaterals a savior” in superior mesenteric artery injury post radical nephrectomy and retroperitoneal lymph node dissection. Urol. Case Rep. 2022, 45, 102201. [Google Scholar] [CrossRef]
- Sayegh, A.S.; Medina, L.G.; La Riva, A.; Perez, L.C.; Poncel, J.; Forsyth, E.; Cacciamani, G.E.; Challacombe, B.; Stifelman, M.; Gill, I.; et al. Superior Mesenteric Artery Injury during Robotic Radical Nephrectomy: Scenarios and Management Strategies. J. Clin. Med. 2023, 12, 427. [Google Scholar] [CrossRef]
- Huang, Y.; Yang, Q.; Mo, G.; Guo, B. Superior Mesenteric Artery Injury during Radical Nephrectomy for Massive Renal Cell Carcinoma: A Case Report and Literature Review. Asian J. Surg. 2024. Epub ahead of print. [Google Scholar] [CrossRef]
- Fullen, W.D.; Hunt, J.; Altemeier, W.A. The clinical spectrum of penetrating injury to the superior mesenteric arterial circulation. J. Trauma. Acute Care Surg. 1972, 12, 656–664. [Google Scholar] [CrossRef] [PubMed]
- Asensio, J.A.; Britt, L.D.; Borzotta, A.; Peitzman, A.; Miller, F.B.; Mackersie, R.C.; Pasquale, M.D.; Pachter, H.L.; Hoyt, D.B.; Rodriguez, J.L.; et al. Multi-institutional experience with the management of superior mesenteric artery injuries. J. Am. Coll. Surg. 2001, 193, 354–365; discussion 365–366. [Google Scholar] [CrossRef] [PubMed]
- Lim, K.H.; Park, J. Successful conservative treatment of acute traumatic occlusions of the celiac artery and superior mesenteric artery: A case report emphasizing the importance of the visceral collateral circulations. Medicine 2018, 97, e13270. [Google Scholar] [CrossRef] [PubMed]
- Mendoza, D.; Newman, R.C.; Albala, D.; Cohen, M.S.; Tewari, A.; Lingeman, J.; Wong, M.; Kavoussi, L.; Adams, J.; Moore, R.; et al. Laparoscopic complications in markedly obese urologic patients (a multi-institutional review). Urology 1996, 48, 562–567. [Google Scholar] [CrossRef]
- Chinni, V.; Alhamdani, Z.; Bolton, D.; Lawrentschuk, N.; Jack, G. Robot Assisted Laparoscopy for Renal Cancer: Transperitoneal Versus Retroperitoneal Approach. In Robotic Surgery for Renal Cancer—Management of Urology; Goonewardene, S.S., Persad, R., Albala, D., Eds.; Springer: Cham, Switzerland, 2022; pp. 185–212. [Google Scholar]
- Way, L.W.; Stewart, L.; Gantert, W.; Liu, K.; Lee, C.M.; Whang, K.; Hunter, J.G. Causes and prevention of laparoscopic bile duct injuries: Analysis of 252 cases from a human factors and cognitive psychology perspective. Ann. Surg. 2003, 237, 460–469. [Google Scholar] [CrossRef] [PubMed]
- Kanizsa, G. Margini quasi-percettivi in campi con stimolazione omogenea. Riv. Di Psicol. 1955, 4, 7–30. [Google Scholar]
- Hinman, F., Jr. Atlas of Urologic Surgery, 2nd ed.; WB Sauders: Philadelphia, PA, USA, 1998. [Google Scholar]
- Ferda, J.; Hora, M.; Hes, O.; Ferdová, E.; Kreuzberg, B. Assessment of the kidney tumor vascular supply by two-phase MDCT-angiography. Eur. J. Radiol. 2007, 62, 295–301. [Google Scholar] [CrossRef] [PubMed]
- Porpiglia, F.; Amparore, D.; Checcucci, E.; Autorino, R.; Manfredi, M.; Iannizzi, G.; Fiori, C.; for ESUT Research Group. Current Use of Three-dimensional Model Technology in Urology: A Road Map for Personalised Surgical Planning. Eur. Urol. Focus. 2018, 4, 652–656. [Google Scholar] [CrossRef]
- Lin, W.C.; Chang, C.H.; Chang, Y.H.; Lin, C.H. Three-dimensional Reconstruction of Renal Vascular Tumor Anatomy to facilitate accurate preoperative planning of partial nephrectomy. Biomedicine 2020, 10, 36–41. [Google Scholar] [CrossRef] [PubMed]
- Azhar, R.A. The influence of 3D renal reconstruction on surgical planning for complex renal tumors: An interactive case-based survey. Int. Braz. J. Urol. 2023, 49, 372–382. [Google Scholar] [CrossRef]
- Yeung, A.W.K.; Tosevska, A.; Klager, E.; Eibensteiner, F.; Laxar, D.; Stoyanov, J.; Glisic, M.; Zeiner, S.; Kulnik, S.T.; Crutzen, R.; et al. Virtual and Augmented Reality Applications in Medicine: Analysis of the Scientific Literature. J. Med. Internet Res. 2021, 23, e25499. [Google Scholar] [CrossRef]
- Chandarana, H.; Huang, W.C. Three-dimensional Printing and Augmented Reality: Enhanced Precision for Robotic Assisted Partial Nephrectomy. Urology 2018, 116, 227–228. [Google Scholar]
- Shirk, J.D.; Thiel, D.D.; Wallen, E.M.; Linehan, J.M.; White, W.M.; Badani, K.K.; Porter, J.R. Effect of 3-dimensional virtual reality models for surgical planning of robotic-assisted partial nephrectomy on surgical outcomes: A randomized clinical trial. JAMA Netw. Open 2019, 2, e1911598. [Google Scholar] [CrossRef] [PubMed]
- Houshyar, R.; Glavis-Bloom, J.; Bui, T.-L.; Chahine, C.; Bardis, M.D.; Ushinsky, A.; Liu, H.; Bhatter, P.; Lebby, E.; Fujimoto, D.; et al. Outcomes of Artificial Intelligence Volumetric Assessment of Kidneys and Renal Tumors for Preoperative Assessment of Nephron-Sparing Interventions. J. Endourol. 2021, 35, 1411–1418. [Google Scholar] [CrossRef] [PubMed]
- Amparore, D.; Piramide, F.; Pecoraro, A.; Verri, P.; Checcucci, E.; De Cillis, S.; Piana, A.; Busacca, G.; Manfredi, M.; Fiori, C.; et al. Identification of Recurrent Anatomical Clusters Using Three-dimensional Virtual Models for Complex Renal Tumors with an Imperative Indication for Nephron-sparing Surgery: New Technological Tools for Driving Decision-making. Eur. Urol. Open Sci. 2022, 38, 60–66. [Google Scholar] [CrossRef]
- Zattoni, F.; Carletti, F.; Randazzo, G.; Tuminello, A.; Betto, G.; Novara, G.; Dal Moro, F. Potential Applications of New Headsets for Virtual and Augmented Reality in Urology. Eur. Urol. Focus. 2023, S2405-4569(23)00295-X. [Google Scholar] [CrossRef]
- Hsu, A.; Bhattacharya, K.R.; Chan, H.K.; Huber, T.C.; Gardner, B.; Stone, J.R.; Angle, J.F. Effect of timing on endovascular therapy and exploratory laparotomy outcome in acute mesenteric ischemia. Ann. Gastroenterol. 2019, 32, 600–604. [Google Scholar] [CrossRef]
- Hayashi, K.; Narita, M.; Tsunoda, A.; Kusanagi, H. Still time to perform intestinal revascularization in patients with acute mesenteric ischemia with peritonitis: An analysis of bowel viability in resections. SAGE Open Med. 2020, 8, 2050312120923227. [Google Scholar] [CrossRef]
- Chou, E.L.; Wang, L.J.; McLellan, R.M.; Feldman, Z.M.; Latz, C.A.; LaMuraglia, G.M.; Clouse, W.D.; Eagleton, M.J.; Conrad, M.F. Evolution in the Presentation, Treatment, and Outcomes of Patients with Acute Mesenteric Ischemia. Ann. Vasc. Surg. 2021, 74, 53–62. [Google Scholar] [CrossRef]
- de Holanda, G.S.; Valença, S.d.S.; Carra, A.M.; Lichtenberger, R.C.L.; de Castilho, B.; Franco, O.B.; de Moraes, J.A.; Schanaider, A. Translational Application of Fluorescent Molecular Probes for the Detection of Reactive Oxygen and Nitrogen Species Associated with Intestinal Reperfusion Injury. Metabolites 2021, 11, 802. [Google Scholar] [CrossRef] [PubMed]
- Soares, R.O.S.; Losada, D.M.; Jordani, M.C.; Évora, P.; Castro-E-Silva, O. Ischemia/Reperfusion Injury Revisited: An Overview of the Latest Pharmacological Strategies. Int. J. Mol. Sci. 2019, 20, 5034. [Google Scholar] [CrossRef]





| Author, Year (Ref.) | Approach | No. of Cases | Artery | Diagnosis | Treatment | Outcome |
|---|---|---|---|---|---|---|
| Roseau, 1973 [1] | Open | 1 | SMA | Intraop. | Revasc. | Alive |
| Arvis, 1974 [2] | Open | 1 | SMA | 8 days | Revasc. | Dead |
| Court, 1976 [18] | Open | 1 | SMA | Intraop. | Revasc. | Alive |
| Bhanot, 1980 [19] | Open | 2 | SMA | Intraop. | Conserv. | Alive |
| Moul, 1991 [20] | Open | 1 | SMA/CT | Intraop. | Revasc. | Dead |
| Ritchey, 1992 [16] | Open | 4 | SMA | Intraop. | Revasc. | Alive |
| Open | 1 | SMA | 24 h | Conserv. | Dead | |
| Siqueira, 2002 [17] | Lap | 1 | SMA | Intraop. | Revasc. | Dead |
| Blunt, 2004 [20] | Open | 1 | SMA | Intraop. | Revasc. | Alive |
| Kumar, 2007 [21] | Open | 1 | SMA | Intraop. | Revasc. | Alive |
| Nevoux, 2008 [22] | Open | 1 | SMA/CT | Intraop. | Revasc. | Alive |
| Lap | 1 | SMA/CT | 48 h | Revasc. | Dead | |
| Abu-Ghazala, 2010 [23] | Lap | 1 | SMA/CT | Intraop. | Revasc. | Alive |
| Afonso, 2019 [24] | Open | 1 | SMA | Intraop. | Revasc. | Alive |
| Kumar, 2019 [25] | Robotic | 1 | SMA | Intraop. | Revasc. | Alive |
| Zhang, 2020 [26] | Open | 1 | SMA | Intraop. | Revasc. | Alive |
| Deb, 2021 [27] | Open | 1 | SMA | 12 h | Revasc. | Alive |
| Mayor, 2022 [28] | Robotic | 1 | SMA | Intraop. | Revasc. | Alive |
| Ashraf, 2022 [29] | Retroper | 1 | SMA | 24 h | Conserv. | Alive |
| Sayegh, 2023 [30] | Robotic | 1 | SMA | Intraop. | Revasc. | Alive |
| Huang, 2024 [31] | Open | 1 | SMA | Intraop. | Revasc. | Alive |
Disclaimer/Publisher’s Note: The statements, opinions and data contained in all publications are solely those of the individual author(s) and contributor(s) and not of MDPI and/or the editor(s). MDPI and/or the editor(s) disclaim responsibility for any injury to people or property resulting from any ideas, methods, instructions or products referred to in the content. |
© 2024 by the authors. Licensee MDPI, Basel, Switzerland. This article is an open access article distributed under the terms and conditions of the Creative Commons Attribution (CC BY) license (https://creativecommons.org/licenses/by/4.0/).
Share and Cite
Catarci, M.; Montemurro, L.A.; Benedetti, M.; Ciano, P.; Millarelli, M.; Chiappa, R. Extrarenal Visceral Arteries Injuries during Left Radical Nephrectomy: A 50-Year Continuing Problem. J. Clin. Med. 2024, 13, 6125. https://doi.org/10.3390/jcm13206125
Catarci M, Montemurro LA, Benedetti M, Ciano P, Millarelli M, Chiappa R. Extrarenal Visceral Arteries Injuries during Left Radical Nephrectomy: A 50-Year Continuing Problem. Journal of Clinical Medicine. 2024; 13(20):6125. https://doi.org/10.3390/jcm13206125
Chicago/Turabian StyleCatarci, Marco, Leonardo Antonio Montemurro, Michele Benedetti, Paolo Ciano, Massimiliano Millarelli, and Roberto Chiappa. 2024. "Extrarenal Visceral Arteries Injuries during Left Radical Nephrectomy: A 50-Year Continuing Problem" Journal of Clinical Medicine 13, no. 20: 6125. https://doi.org/10.3390/jcm13206125
APA StyleCatarci, M., Montemurro, L. A., Benedetti, M., Ciano, P., Millarelli, M., & Chiappa, R. (2024). Extrarenal Visceral Arteries Injuries during Left Radical Nephrectomy: A 50-Year Continuing Problem. Journal of Clinical Medicine, 13(20), 6125. https://doi.org/10.3390/jcm13206125

