Abstract
Background: Operative treatment of fragility fractures of the pelvis has become a gold standard. Preoperative planning, including the assessment of the pathway for iliosacral screws, is crucial. The anchorage of the screw depends on the bone quality. Some recent studies have concentrated on assessing bone mineral density (BMD) with the use of Hounsfield unit (HU) values obtained from CT scans. The aim of the present study is to determine the best sacral levels of S1–S3 on the pathway of iliosacral screws for sacroiliac joint fixation. Methods: Patients admitted to the Independent Public Healthcare Center in Rypin between 1 of September and 1 of December in 2023, who had CT scans of the pelvis performed on them for different reasons, were included in this study. In total, 103 patients—56 men and 47 women—were enrolled in the study and consecutively separated into two groups of different ages: 18–60 years old (group A) and above 60 years old (group B). The volumetric bone density expressed in HU values was measured with sacral levels of S1, S2 and S3. Apart from the bodies of sacral vertebrae S1–S3, our measurements involved the ala of the ilium in the vicinity of the sacroiliac joint and the wing of the sacrum. All the measurements were performed on the pathway of presumptive iliosacral screws to stabilize the sacroiliac joint. Results: In group A (58 patients) the highest bone density in sacral bodies was found in S1 that gradually decreased to S3, while the opposite tendency was demonstrated in the ala of ilium. The HU values in the wing of the sacrum did not display statistical significance. In group B (45 patients), the highest bone density was also found in the sacral body S1 that decreased toward S3 but in the ala of ilium, the highest bone density was found with level S1 and lowest with level S2. In both groups, the highest bone density referred to the wing of the sacrum. Conclusion: While the perfect construct for posterior pelvic ring fixation remains unclear, our findings may imply that sacroiliac joint screws inserted into the wing of the sacrum of greater bone density could provide much more successful fixation in comparison to those anchored in the body of sacral vertebra of lesser bone density.
1. Introduction
As a very common disease affecting the elderly, osteoporosis results in poor bone density, microarchitecture and strength, thus predisposing this population to fragility fractures [1]. It was estimated that in the year 2000, there were 9 million new fragility fractures, and more than 50 million people worldwide suffered from consecutive sequelae of fractures [2]. Operative treatment for osteoporotic bone fractures remains a gold standard among orthopedic surgeons [3]. Well-established fixation methods for posterior pelvic ring injuries remain in the use of both iliosacral and transsacral screws. A thorough understanding of injuries—involving available osseous fixation pathways, the appropriate preoperative planning, apposite interpretation of intraoperative imaging and precise surgical techniques—requires the ability to safely perform iliosacral screw fixation for the sacroiliac joint [4,5].
In orthopedic surgery, a key risk factor of fragility fractures results from impaired bone quality. It is noteworthy that both younger and older patients are prone to pelvic fractures [6]. In younger patients, a severe high-energy trauma incident is required to provoke fractures of the pelvic ring, whereas in the elderly with poor bone quality, even a low-energy trauma incident may lead to pelvic fractures [7]. Indispensably, in order to achieve the best possible operative outcome, orthopedic surgeons have to both understand the mechanism of a particular trauma and fine-tune the preoperative planning.
Some recent studies have concentrated on bone mineral density (BMD) with the use of Hounsfield unit (HU) values obtained from CT scans [8,9]. Furthermore, HU values have also been used to evaluate BMD in the diagnosis of osteoporosis. These studies are based on CT scans of the distal radius, the head and neck of the femur and the proximal humerus [10,11].
To the best of our knowledge, there exists only one article that examined the CT- based bone density of the ilium and the sacrum regardingiliosacral screw fixation for the sacroiliac joint. According to the professional literature, sacral vertebra 1 is characterized by the greatest CT-based bone density. Due to dysmorphic sacral vertebra 1, some studies have focused on the usefulness of the more distal sacral segments for sacroiliac joint fixation. Although the availability of the sacral levels caudal to the first sacral vertebra for sacroiliac joint fixation has already been established, the evidence value of screws in this area is still questioned in the professional literature due to the standpoint of minor bone quality [4]. On the other hand, sacral vertebra 2 has been reported as a usual pathway for inserting iliosacral screws [6].
The aim of the present study is to determine the best sacral levels of S1–S3 on the pathway of iliosacral screws for sacroiliac joint fixation, at which the ala of the ilium and the wing of the sacrum are of the relatively greatest bone density. Our main purpose is to examine the differences in bone density expressed in HU values to receive both the best possible outcome and to enable the most effective preoperative planning to reduce loose screws.
Contrary to recent studies, we hypothesize that screws inserted into sacral vertebra 2 result in the best possible operative outcome.
2. Materials and Methods
2.1. Population
The present retrospective study was conducted in accordance with the Declaration of Helsinki and approved by the Bioethical Committee of the Kuyavian-Pomeranian Local Medical Chamber.
Patients were admitted to our institution, i.e., Independent Public Healthcare Center in Rypin, in 2023 between September 1 and December 1. The inclusion criteria were skeletal maturity, the patient’s age being over 18 years and recommendation for the patient to obtain abdomen or pelvis CT scans. Patients who had suffered from pelvic traumas, malignancy, rheumatoid arthritis or steroid medication were excluded from the study. Finally, 103 patients—56 men and 47 women—were enrolled in the study. The patients’ ages ranged from 18 to 90 years, with a mean age of 55.9 years. To investigate the potential impact of increased sclerosis with age and, theoretically, a decrease in bone density, the patients were separated into two groups: group A encompassed patients 18–60 years old, while group B involved patients over 60 years. Group A comprised 58 patients: 31 men and 27 women, with a mean age of 42.7 years. Group B consisted of 45 patients: 25 men and 20 women, with a mean age of 72.8 years).
2.2. Technique Procedures
Abdomen or pelvis CT scans were performed using Siemens Somatomgo.Up (Siemens, Munich, Germany). Patients’ demographic data, including age and gender, from the system were collected.
The abdomen or pelvis CT scans of each patient were assessed in an identical fashion by one investigator (JK) specializing in pelvic traumas with the use of the picture archiving communication system (PACS).
Images were viewed using the bone algorithm default windows. The investigator first determined axial images in levels of mid-lengths of bodies of sacral vertebrae 1, 2 and 3 that afterward were confirmed by coronal and sagittal reconstructions (Figure 1, Figure 2 and Figure 3). The volumetric bone density expressed in HU values was measured in sacral levels of S1, S2 and S3. Apart from the bodies of sacral vertebrae S1–S3, the measurements involved the ala of the ilium in the vicinity of the sacroiliac joint and the wing of the sacrum. All the measurements were performed on the pathway of presumptive iliosacral screws to stabilize the sacroiliac joint.
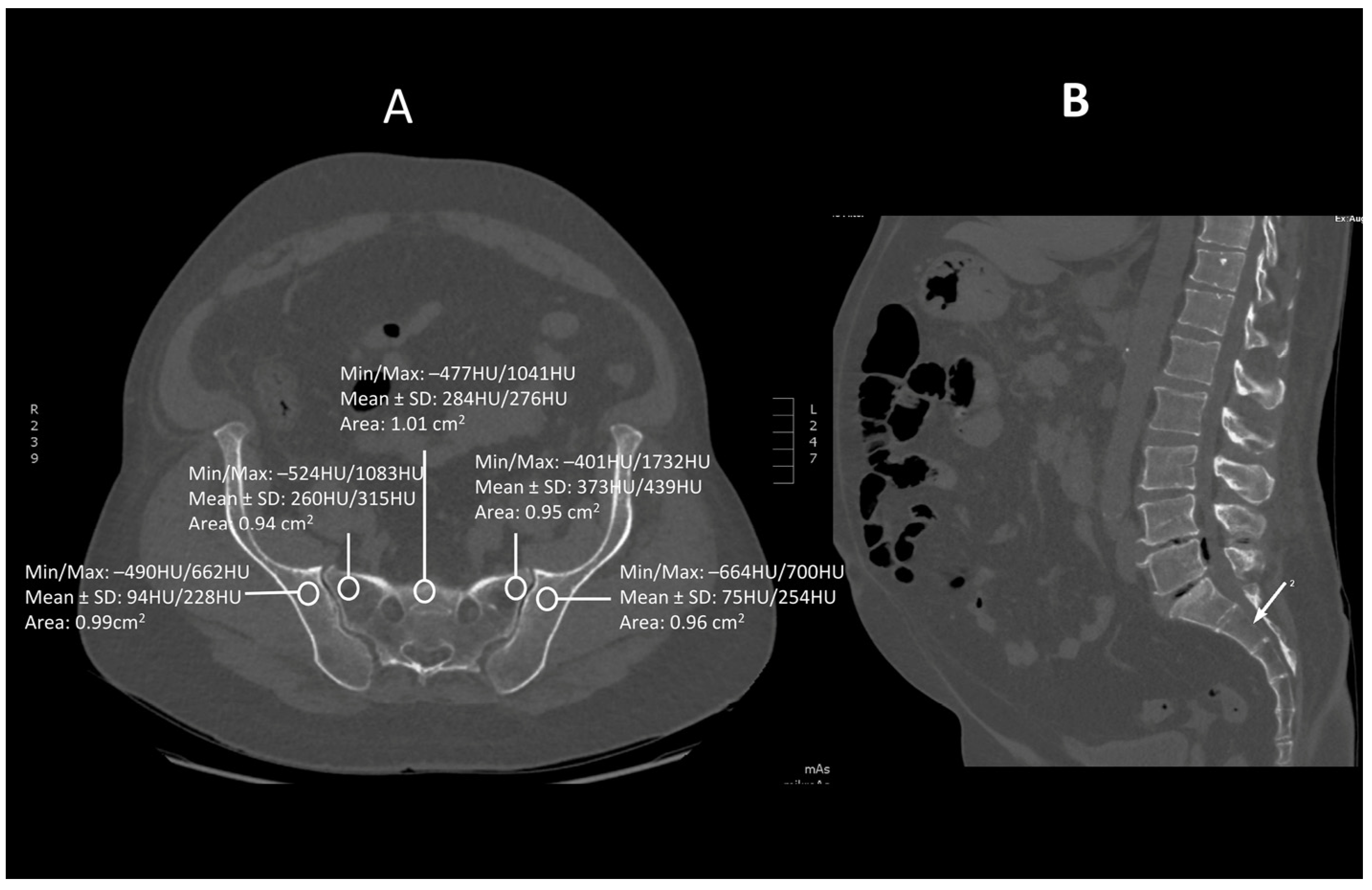
Figure 1.
A transverse (A) and saggital (B) projection of CT scan in level S1. A circular region of interest (ROI) ranging from 0.8 to 1.2 cm2 has been placed at the ala of the ilium, the wing of the sacrum and the body of sacral vertebra 1.
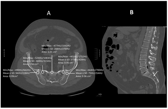
Figure 2.
A transverse (A) and saggital (B) projection of CT scan in level S2. A circular region of interest (ROI) ranging from 0.8 to 1.2 cm2 has been placed at the ala of the ilium, the wing of the sacrum and the tbody of sacral vertebra 2.
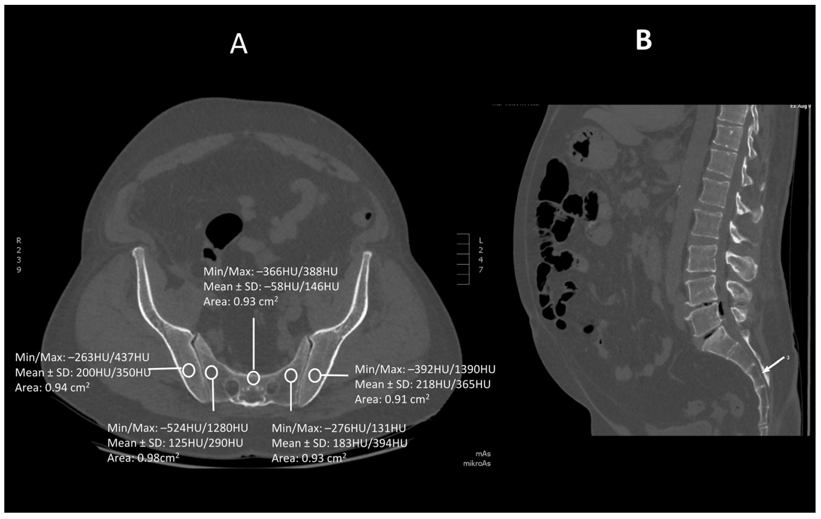
Figure 3.
A transverse (A) and saggital (B) projection of CT scan in level S3. A circular region of interest (ROI) ranging from 0.8 to 1.2 cm2 has been placed at the ala of the ilium, the wing of the sacrum and the body of sacral vertebra 3.
In order to standardize measurements while accounting for normal anatomic variations and optimum iliosacral screw trajectories—so as to avoid injuries of neurovascular structures—standardized circular voxel regions of interest (ROIs) were drawn (Figure 1, Figure 2 and Figure 3) [12]. As presented in the former studies, these ROIs were drawn in levels of mid-lengths of the bodies of sacral vertebrae 1, 2 and 3, the right and left wings of sacrum and the ala of the ilium in sacral levels of S1–S3 [13]. The aforementioned standardized ROIs were drawn with areas ranging from 0.8 to 1.2 cm2. This range of area was estimated as it best represented the osseous surface area, which is required to safely place 7.0–mm iliosacral or transsacral screws [4].
In sacral levels S1, S2 and S3, the bone density was measured at the following five points: mid-length of the body of the sacral vertebra, right and left wings of the sacrum in the vicinity of the sacroiliac joint and the ala of the ilium on the right and left sides in the vicinity of the sacroiliac joint. There were five measurements at each sacral level and fifteen measurements in each patient.
2.3. Statistical Analysis
The statistical analysis was performed using the PQ Stat 1.8.6 (Poznan, Poland). Because all numerical data displayed a normal distribution, our results have been presented as means with the standard deviations.
3. Results
No significant right–left differences were found in the bone density expressed in HU values for the ala of the ilium and the wings of the sacrum (p> 0.05).The mean values with standard deviations of the bone density expressed in HU values for the bodies of sacral vertebrae S1–S3 and associated sacral levels of the wing of sacrum and the ala of ilium have been presented in Table 1 for group A and Table 2 for group B.
Table 1.
The mean HU values with standard deviations of the bone density for the bodies of sacral vertebrae S1–S3 and associated sacral levels of the wing of the sacrum and the ala of ilium for patients 18–60 years old.
Table 2.
The mean HU values with standard deviations of the bone density for the bodies of sacral vertebrae S1–S3 and associated sacral levels of the wing of the sacrum and the ala of ilium for patients over 60 years old.
3.1. Bone Density in Group A
In group A, with sacral level S1, the mean values of the bone density expressed in Hounsfield units for the body of sacral vertebra S1, the wing of the sacrum and the ala of ilium reached the following values: 194.9 HU, 388.9 HU and 81.45 HU, respectively. Correspondingly, these values were 134.4 HU, 376.6 HU and 145.85 HU with sacral level S2 and 99.6 HU, 365.7 HU and 220.35 HU with sacral level S3.
The bone density for the bodies of sacral vertebrae S1–S3 expressed in Hounsfield units followed a decreasing sequence: 194.9 ± 86.4 HU, 134.4 ± 94.3 HU and 99.6 ± 74.18 HU. The difference in bone density was statistically insignificant between the bodies of sacral vertebrae S1 and S2 (p = 1.4). Contrariwise, these differences were statistically significant between the bodies of sacral vertebrae S1 and S3 (p < 0.001) and between the bodies of sacral vertebrae S2 and S3 (p = 0.03).
The bone density for the wing of the sacrum with sacral levels S1, S2 and S3 reached the values 388.9 HU, 376.6 HU and 365.7 HU, respectively. The differences in bone density were statistically insignificant between sacral levels S1 and S2 (p = 9.7) and between sacral levels S2 and S3 (p = 0.15). This difference was statistically significant between sacral levels S1 and S3 (p = 0.04).
The bone density for the ala of ilium with sacral levels S1, S2 and S3 were 81.45 HU, 145.85 HU and 220.35 HU, respectively. There were statistically insignificant differences between sacral levels S1 and S2 (p = 4.9) and between sacral levels S2 and S3 (p = 3.3). However, this difference proved to be statistically significant between sacral levels S1 and S3 (p < 0.001).
3.2. Bone Density in Group B
As far as group B is concerned, with sacral level S1, the mean values of the bone density for the body of sacral vertebra S1 was 212.87 HU, for the wing of the sacrum was 395.90 HU and for the ala of the ilium was 233.55 HU. The respective numerical data were 107.12 HU, 339.00 HU and 124.96 HU with sacral level S2 and 85.32 HU, 360.05 HU and 199.91 HU with sacral level S3. As presented, in the caudal direction, the bone density for the bodies of sacral vertebrae S1–S3 expressed in Hounsfield units revealed a successive decrease in values. Of note, the differences in bone density were statistically significant between the bodies of sacral vertebrae S1 and S2 (p < 0.001) and between the bodies of sacral vertebrae S1 and S3 (p < 0.001). However, this difference between the bodies of sacral vertebrae S2 and S3 (p < 0.001) was not statistically significant (p = 0.08). The bone density for the wing of the sacrum with sacral levels S1, S2 and S3 reached the values 395.90 HU, 339.00 HU and 360.05 HU, correspondingly. The differences in their bone density were of statistical significance between sacral levels S1 and S2 (p < 0.001) and between sacral levels S1 and S3 (p = 0.014). This difference was statistically insignificant between sacral levels S2 and S3 (p = 0.12).
With relation to the ala of ilium, its bone density was 233.55 HU for sacral level S1, 124.96 HU for sacral level S2 and 199.91 HU for sacral level S3. There were statistically significant differences between sacral levels S1 and S2 (p < 0.001) and between sacral levels S2 and S3 (p < 0.001). There was no statistical difference between sacral levels S1 and S3 (p = 0.21).
In comparison to group A, the different tendency for the bone density of the ala of the ilium was found in group B.
4. Discussion
Percutaneous iliosacral screw fixation is regularly used as a treatment of choice for unstable pelvic ring injuries [14]. Since the posterior pelvic anatomy remains complex and variable, percutaneous pelvic ring fixation may technically be challenging. Careful preoperative planning, including both the pelvic anatomy and bone density, is indispensable for determining the best corridor for safe iliosacral screw fixation [15]. In the medical literature, the incidence of dysmorphism of the sacrum has been reported to be up to 44%, so a thorough understanding of the anatomy of the sacrum is critical for safely placing sacroiliac joint screws [16,17]. Furthermore, the safe corridor for iliosacral screw fixation with sacral level S2 was found to be in 95% of dysmorphic sacra and only in 50% of normal ones [16,18].
The optimum fixation construct of the posterior pelvic ring using sacroiliac joint screws remains unclear, although some biomechanical studies proposed the improvement of stability using two points of fixation [19]. Chatain et al. recommended using implants of larger diameter for fixation of the posterior pelvic ring [20]. While searching for the best method of stabilizing the posterior pelvic ring, some previous studies reported benefits and increased strength of transsacral screws in comparison with iliosacral screws due to multiple points of cortical purchase [21]. Due to the safe corridor, some authors emphasized the ability and safety of transsacral screws with sacral level S2, at which surgeons commonly stabilize posterior pelvis ring injuries [22,23]. Salazar et al. reported the bone density of the body of sacral vertebra S1 to be significantly greater than that of the body of sacral vertebra S2 [13]. Consequently, these authors advised surgeons not to use the safe corridor into the body of sacral vertebra S2 due to its decreased bone density. Regrettably, the bone density of the ala of the ilium and the wing of the sacrum was not reported in their study. Another study by Eastman et al. found the greatest bone density of the posterior pelvic ring, including both the sacroiliac joint and the ala of ilium, to be with sacral level S2 [4].
Having taken into account disparate findings offered by the aforementioned authors, in the present study, we hypothesize that from a bone quality perspective, the body of sacral vertebra S2 is useful for the safe corridor while inserting sacroiliac joint screws.
In accordance with the former studies to examine the bone density with the use of HU values, we do so with relation to the bodies of sacral vertebrae S1–S3, the wing of the sacrum and the ala of ilium at the corresponding sacral levels on the pathway of sacroiliac joint screws [6,24,25].
In group A with patients aged 18–60 years old, we found the bone density of the bodies of sacral vertebrae S1 and S2, the wing of the sacrum and the ala of ilium with sacral levels S1 and S2 to be similar with statistically insignificant differences. Thus, our findings are somewhat different from those presented by Salazar et al. and Eastman et al. [4,13]. The authors found the difference in bone quality between S1 and S3 to be statistically significant. Consequently, we do not recommend inserting sacroiliac joint screws at sacral level S3. Our riveting finding is that the wing of the sacrum in group A reveals the greatest bone density compared with all three sacral levels S1–S3. This is incongruent with the results offered by Schonenberg et al., who evaluated the bone quality in patients over 50 years with fragility fractures [6].
In the present study, we found that in both groups A and B with sacral levels S1–S3 that the wing of the sacrum was of a greater bone density than the corresponding bodies of sacral vertebrae. This is the reason why we recommend the anchorage of sacroiliac joint screws into the wing of the sacrum rather than into the bodies of sacral vertebrae. From this aspect, we agree with the findings of some former studies [26,27].
In our group B comprising patients over 60 years old, we proved the tendency of decreasing bone quality of the sacrum from sacral level S1 towards sacral level S3. This referred to both the bodies of the sacrum and the wing of the sacrum and was similar to the results from group A. As with the findings presented by Eastman et al. and Schonenberg et al., in the present study, the difference in bone density between sacral levels S1 and S2 was statistically significant [4,6].
Some studies have exposed that sacral level S3 is another osseous fixation pathway of potential relevance [28,29]. Since our results have demonstrated that the wing of the sacrum displaysthe greatest bone density at three sacral levels, S1–S3, compared with the sacral body and sacral ala, the wing of the sacrum with sacral level S3 may successfully be useful for the insertion of sacroiliac joint screws. It is noteworthy to emphasize that the body of sacral vertebra 3 presents a statistically significant decrease in bone density.
A considerable limitation of our study is that HU values were used as a substitute for the evaluation of bone density. Even though HU values have successfully been used in previous studies, HU values still provide only the quantitative evaluation of bones, not indicative of the underlying bone quality, and CT scans were not calibrated for BMD [7,13,30]. Another limitation of this study may be that only one author performed all measurements of bone density.
5. Conclusions
In conclusion, while the perfect construct for posterior pelvic ring fixation remains unclear, our findings may imply that sacroiliac joint screws inserted into the wing of the sacrum of greater bone density could provide much more successful fixation in comparison to those anchored in the body of sacral vertebra of lesser bone density. Our study demonstrates comparable bone density in the bodies of sacral vertebrae 1 and 2 and relatively greater bone density in the wing of the sacrum with sacral levels S1–S3. The main difference in both groups refers to the bone density of the ala of ilium, which is greater in the elderly. This may result from degenerative changes around the sacroiliac joint, mostly caused by the osteoarthritis detected in some patients in group B.
Author Contributions
Conceptualization, M.K.; methodology, M.K., K.E. and M.J.; formal analysis, M.K., P.Ż. and R.W.; investigation, M.K., J.K. and M.D.; writing—original draft preparation, M.K., M.L., K.K. and M.G.; writing—review and editing, M.K. and M.B.; supervision, M.K. and M.S. All authors have read and agreed to the published version of the manuscript.
Funding
This research received no external funding.
Institutional Review Board Statement
The present retrospective study was conducted in accordance with the Declaration of Helsinki and approved by the Bioethical Committee of the Kuyavian-Pomeranian Local Medical Chamber (OIL-67/KB/313/2023, 5 December 2023). Patients were admitted to our institution, i.e., Independent Public Healthcare Center in Rypin, in 2023 between 1 September and 1 December.
Informed Consent Statement
Informed consent was obtained from all subjects involved in the study.
Data Availability Statement
The original contributions presented in the study are included in the article, further inquiries can be directed to the corresponding author.
Conflicts of Interest
The authors declare no conflicts of interest.
References
- Muschitz, C.; Hummer, M.; Grillari, J.; Hlava, A.; Birner, A.H.; Hemetsberger, M.; Dimai, H.P. Epidemiology and economic burden of fragility fractures in Austria. Osteoporos. Int. 2022, 33, 637–647. [Google Scholar] [CrossRef] [PubMed]
- Beaudoin, C.; Jean, S.; Moore, L.; Gamache, P.; Bessette, L.; Ste-Marie, L.G.; Brown, J.P. Prediction of Osteoporotic Fractures in Elderly Individuals: A Derivation and Internal Validation Study Using Healthcare Administrative Data. J. Bone Miner. Res. 2021, 36, 2329–2342. [Google Scholar] [CrossRef] [PubMed]
- Kulakowski, M.; Reichert, P.; Elster, K.; Sleczka, P.; Oleksy, L.; Krolikowska, A. Safety and efficacy of two ilioiliac tension band plates osteosynthesis of fragility fractures of the pelvis. Sci. Rep. 2022, 12, 20436. [Google Scholar] [CrossRef] [PubMed]
- Eastman, J.G.; Shelton, T.J.; Routt, M.L.C., Jr.; Adams, M.R. Posterior pelvic ring bone density with implications for percutaneous screw fixation. Eur. J. Orthop. Surg. Traumatol. 2021, 31, 383–389. [Google Scholar] [CrossRef] [PubMed]
- Kulakowski, M.; Reichert, P.; Elster, K.; Witkowski, J.; Sleczka, P.; Morasiewicz, P.; Oleksy, Ł.; Królikowska, A. Differences in Accuracy and Radiation Dose in Placement of Iliosacral Screws: Comparison between 3D and 2D Fluoroscopy. J. Clin. Med. 2022, 11, 1466. [Google Scholar] [CrossRef] [PubMed]
- Schonenberg, D.; Guggenberger, R.; Frey, D.; Pape, H.C.; Simmen, H.P.; Osterhoff, G. CT-based evaluation of volumetric bone density in fragility fractures of the pelvis-a matched case-control analysis. Osteoporos. Int. 2018, 29, 459–465. [Google Scholar] [CrossRef]
- Berger-Groch, J.; Thiesen, D.M.; Ntalos, D.; Grossterlinden, L.G.; Hesse, E.; Fensky, F.; Hartel, M.J. Determination of bone density in patients with sacral fractures via CT scan. Orthop. Traumatol. Surg. Res. 2018, 104, 1037–1041. [Google Scholar] [CrossRef]
- Wagner, D.; Kamer, L.; Sawaguchi, T.; Richards, R.G.; Noser, H.; Rommens, P.M. Sacral Bone Mass Distribution Assessed by Averaged Three-Dimensional CT Models: Implications for Pathogenesis and Treatment of Fragility Fractures of the Sacrum. J. Bone Jt. Surg. Am. 2016, 98, 584–590. [Google Scholar] [CrossRef]
- Schreiber, J.J.; Gausden, E.B.; Anderson, P.A.; Carlson, M.G.; Weiland, A.J. Opportunistic Osteoporosis Screening—Gleaning Additional Information from Diagnostic Wrist CT Scans. J. Bone Jt. Surg. Am. 2015, 97, 1095–1100. [Google Scholar] [CrossRef]
- Gausden, E.B.; Nwachukwu, B.U.; Schreiber, J.J.; Lorich, D.G.; Lane, J.M. Opportunistic Use of CT Imaging for Osteoporosis Screening and Bone Density Assessment: A Qualitative Systematic Review. J. Bone Jt. Surg. Am. 2017, 99, 1580–1590. [Google Scholar] [CrossRef]
- Pervaiz, K.; Cabezas, A.; Downes, K.; Santoni, B.G.; Frankle, M.A. Osteoporosis and shoulder osteoarthritis: Incidence, risk factors, and surgical implications. J. Shoulder Elbow Surg. 2013, 22, e1–e8. [Google Scholar] [CrossRef] [PubMed]
- Kulakowski, M.; Elster, K.; Reichert, P.; Krolikowska, A.; Jerominko, J.; Ślęczka, P.; Grzonkowska, M.; Szpinda, M.; Baumgart, M. Anatomy of the sacroiliac joint with relation to the lumbosacral trunk: Is there sufficient space for a two-hole plate? PLoS ONE 2023, 18, e0292620. [Google Scholar] [CrossRef]
- Salazar, D.; Lannon, S.; Pasternak, O.; Schiff, A.; Lomasney, L.; Mitchell, E.; Stover, M. Investigation of bone quality of the first and second sacral segments amongst trauma patients: Concerns about iliosacral screw fixation. J. Orthop. Traumatol. 2015, 16, 301–308. [Google Scholar] [CrossRef] [PubMed]
- Routt, M.L., Jr.; Simonian, P.T. Closed reduction and percutaneous skeletal fixation of sacral fractures. Clin. Orthop. Relat. Res. 1996, 329, 121–128. [Google Scholar] [CrossRef] [PubMed]
- Carlson, D.A.; Scheid, D.K.; Maar, D.C.; Baele, J.R.; Kaehr, D.M. Safe placement of S1 and S2 iliosacral screws: The “vestibule” concept. J. Orthop. Trauma 2000, 14, 264–269. [Google Scholar] [CrossRef] [PubMed]
- Gardner, M.J.; Morshed, S.; Nork, S.E.; Ricci, W.M.; Chip Routt, M.L., Jr. Quantification of the upper and second sacral segment safe zones in normal and dysmorphic sacra. J. Orthop. Trauma 2010, 24, 622–629. [Google Scholar] [CrossRef]
- Moed, B.R.; Geer, B.L. S2 iliosacral screw fixation for disruptions of the posterior pelvic ring: A report of 49 cases. J. Orthop. Trauma 2006, 20, 378–383. [Google Scholar] [CrossRef]
- Krappinger, D.; Lindtner, R.A.; Benedikt, S. Preoperative planning and safe intraoperative placement of iliosacral screws under fluoroscopic control. Oper. Orthop. Traumatol. 2019, 31, 465–473. [Google Scholar] [CrossRef]
- Yinger, K.; Scalise, J.; Olson, S.A.; Bay, B.K.; Finkemeier, C.G. Biomechanical comparison of posterior pelvic ring fixation. J. Orthop. Trauma 2003, 17, 481–487. [Google Scholar] [CrossRef]
- Chatain, G.P.; Oldham, A.; Uribe, J.; Duhon, B.; Gardner, M.J.; Witt, J.P.; Yerby, S.; Kelly, P.B. Biomechanics of sacroiliac joint fixation using lag screws: A cadaveric study. J. Orthop. Surg. Res. 2023, 18, 807. [Google Scholar] [CrossRef]
- Zha, Y.; Li, J.; Wang, D.; Liu, Y.; Tan, J.; Zhang, S. Comparison of stability of two kinds of sacro-iliac screws in the fixation of bilateral sacral fractures in a finite element model. Injury 2012, 43, 490–494. [Google Scholar] [CrossRef] [PubMed]
- Griffin, D.R.; Starr, A.J.; Reinert, C.M.; Jones, A.L.; Whitlock, S. Vertically unstable pelvic fractures fixed with percutaneous iliosacral screws: Does posterior injury pattern predict fixation failure? J. Orthop. Trauma 2006, 20, S30–S36, discussion S6. [Google Scholar] [CrossRef]
- Miller, A.N.; Routt, M.L., Jr. Variations in sacral morphology and implications for iliosacral screw fixation. J. Am. Acad. Orthop. Surg. 2012, 20, 8–16. [Google Scholar] [CrossRef]
- Marinova, M.; Edon, B.; Wolter, K.; Katsimbari, B.; Schild, H.H.; Strunk, H.M. Use of routine thoracic and abdominal computed tomography scans for assessing bone mineral density and detecting osteoporosis. Curr. Med. Res. Opin. 2015, 31, 1871–1881. [Google Scholar] [CrossRef]
- Schreiber, J.J.; Anderson, P.A.; Hsu, W.K. Use of computed tomography for assessing bone mineral density. Neurosurg. Focus 2014, 37, E4. [Google Scholar] [CrossRef]
- Nork, S.E.; Jones, C.B.; Harding, S.P.; Mirza, S.K.; Routt, M.L., Jr. Percutaneous stabilization of U-shaped sacral fractures using iliosacral screws: Technique and early results. J. Orthop. Trauma 2001, 15, 238–246. [Google Scholar] [CrossRef] [PubMed]
- Heydemann, J.; Hartline, B.; Gibson, M.E.; Ambrose, C.G.; Munz, J.W.; Galpin, M.; Achor, T.S.; Gary, J.L. Do Transsacral-transiliac Screws Across Uninjured Sacroiliac Joints Affect Pain and Functional Outcomes in Trauma Patients? Clin. Orthop. Relat. Res. 2016, 474, 1417–1421. [Google Scholar] [CrossRef]
- Eastman, J.G.; Adams, M.R.; Frisoli, K.; Chip Routt, M.L., Jr. Is S3 a Viable Osseous Fixation Pathway? J. Orthop. Trauma 2018, 32, 93–99. [Google Scholar] [CrossRef]
- Hwang, J.S.; Reilly, M.C.; Shaath, M.K.; Changoor, S.; Eastman, J.; Routt, M.L.C.; Sirkin, M.S.; Adams, M.R. Safe Zone Quantification of the Third Sacral Segment in Normal and Dysmorphic Sacra. J. Orthop. Trauma 2018, 32, 178–182. [Google Scholar] [CrossRef]
- Inagaki, N.; Tanaka, T.; Udaka, J.; Akiyama, S.; Matsuoka, T.; Saito, M. Distribution of hounsfield unit values in the pelvic bones: A comparison between young men and women with traumatic fractures and older men and women with fragility fractures: A retrospective cohort study. BMC Musculoskelet. Disord. 2022, 23, 305. [Google Scholar] [CrossRef]
Disclaimer/Publisher’s Note: The statements, opinions and data contained in all publications are solely those of the individual author(s) and contributor(s) and not of MDPI and/or the editor(s). MDPI and/or the editor(s) disclaim responsibility for any injury to people or property resulting from any ideas, methods, instructions or products referred to in the content. |
© 2024 by the authors. Licensee MDPI, Basel, Switzerland. This article is an open access article distributed under the terms and conditions of the Creative Commons Attribution (CC BY) license (https://creativecommons.org/licenses/by/4.0/).


