Comparison of Loading Dose between Aflibercept and Faricimab for Neovascular Age-Related Macular Degeneration
Abstract
1. Introduction
2. Materials and Methods
Statistical Analysis
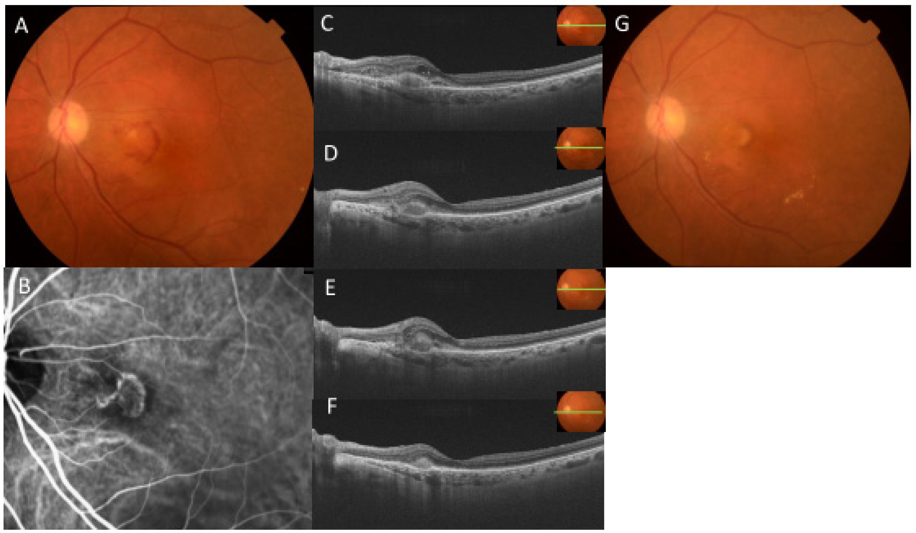
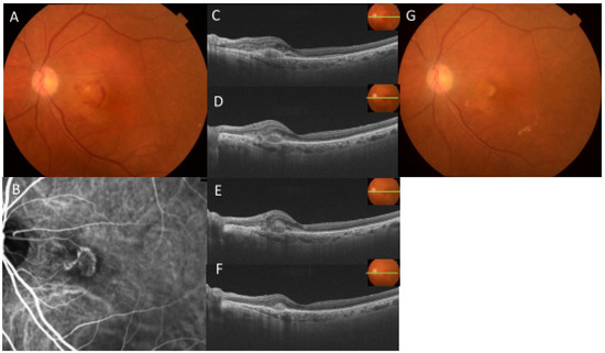
3. Results
4. Discussion
5. Conclusions
Author Contributions
Funding
Institutional Review Board Statement
Informed Consent Statement
Data Availability Statement
Conflicts of Interest
References
- Lim, L.S.; Mitchell, P.; Seddon, J.M.; Holz, F.G.; Wong, T.Y. Age-related macular degeneration. Lancet 2012, 379, 1728–1738. [Google Scholar] [CrossRef] [PubMed]
- Rosenfeld, P.J.; Brown, D.M.; Heier, J.S.; Boyer, D.S.; Kaiser, P.K.; Chung, C.Y.; Kim, R.Y. Ranibizumab for Neovascular Age-Related Macular Degeneration. N. Engl. J. Med. 2006, 355, 1419–1431. [Google Scholar] [CrossRef]
- Heier, J.S.; Brown, D.M.; Chong, V.; Korobelnik, J.-F.; Kaiser, P.K.; Nguyen, Q.D.; Kirchoff, B.; Ho, A.; Ogura, Y.; Yancopoulos, G.D.; et al. Intravitreal Aflibercept (VEGF Trap-Eye) in Wet Age-related Macular Degeneration. Ophthalmology 2012, 119, 2537–2548. [Google Scholar] [CrossRef] [PubMed]
- Dugel, P.U.; Koh, A.; Ogura, Y.; Jaffe, G.J.; Schmidt-Erfurth, U.; Brown, D.M.; Gomes, A.V.; Warburton, J.; Weichselberger, A. HAWK and HARRIER: Phase 3, Multicenter, Randomized, Double-Masked Trials of Brolucizumab for Neovascular Age-Related Macular Degeneration. Ophthalmology 2020, 127, 72–84. [Google Scholar] [CrossRef] [PubMed]
- Dugel, P.U.; Singh, R.P.; Koh, A.; Ogura, Y.; Weissgerber, G.; Gedif, K.; Jaffe, G.J.; Tadayoni, R.; Schmidt-Erfurth, U.; Holz, F.G. HAWK and HARRIER: Ninety-Six-Week Outcomes from the Phase 3 Trials of Brolucizumab for Neovascular Age-Related Macular Degeneration. Ophthalmology 2021, 128, 89–99. [Google Scholar] [CrossRef] [PubMed]
- Papadopoulos, N.; Martin, J.; Ruan, Q.; Rafique, A.; Rosconi, M.P.; Shi, E.; Pyles, E.A.; Yancopoulos, G.D.; Stahl, N.; Wiegand, S.J. Binding and neutralization of vascular endothelial growth factor (VEGF) and related ligands by VEGF Trap, ranibizumab and bevacizumab. Angiogenesis 2012, 15, 171–185. [Google Scholar] [CrossRef] [PubMed]
- Heier, J.S.; Khanani, A.M.; Ruiz, C.Q.; Basu, K.; Ferrone, P.J.; Brittain, C.; Figueroa, M.S.; Lin, H.; Holz, F.G.; Patel, V.; et al. Efficacy, durability, and safety of intravitreal faricimab up to every 16 weeks for neovascular age-related macular degeneration (TENAYA and LUCERNE): Two randomised, double-masked, phase 3, non-inferiority trials. Lancet 2022, 399, 729–740. [Google Scholar] [CrossRef] [PubMed]
- Regula, J.T.; Lundh von Leithner, P.; Foxton, R.; Barathi, V.A.; Cheung, C.M.G.; Tun, S.B.B.; Wey, Y.S.; Iwata, D.; Dostalek, M.; Moelleken, J.; et al. Targeting key angiogenic pathways with a bispecific CrossMAb optimized for neovascular eye diseases. EMBO Mol. Med. 2016, 8, 1265–1288. [Google Scholar] [CrossRef] [PubMed]
- Matsumoto, H.; Hoshino, J.; Nakamura, K.; Nagashima, T.; Akiyama, H. Short-term outcomes of intravitreal faricimab for treatment-naive neovascular age-related macular degeneration. Graefe’s Arch. Clin. Exp. Ophthalmol. 2023, 261, 2945–2952. [Google Scholar] [CrossRef] [PubMed]
- Mukai, R.; Kataoka, K.; Tanaka, K.; Miyara, Y.; Maruko, I.; Nakayama, M.; Watanabe, Y.; Yamamoto, A.; Wakatsuki, Y.; Onoe, H.; et al. Three-month outcomes of faricimab loading therapy for wet age-related macular degeneration in Japan. Sci. Rep. 2023, 13, 8747. [Google Scholar] [CrossRef] [PubMed]
- Koizumi, H.; Kano, M.; Yamamoto, A.; Saito, M.; Maruko, I.; Sekiryu, T.; Okada, A.A.; Iida, T. Subfoveal Choroidal Thickness during Aflibercept Therapy for Neovascular Age-Related Macular Degeneration: Twelve-Month Results. Ophthalmology 2016, 123, 617–624. [Google Scholar] [CrossRef]
- Matsumoto, H.; Morimoto, M.; Mimura, K.; Ito, A.; Akiyama, H. Treat-and-Extend Regimen with Aflibercept for Neovascular Age-Related Macular Degeneration: Efficacy and Macular Atrophy Development. Ophthalmol. Retin. 2018, 2, 462–468. [Google Scholar] [CrossRef] [PubMed]
- Kim, J.H.; Lee, D.W.; Chang, Y.S.; Kim, J.W.; Kim, C.G. Twelve-month outcomes of treatment using ranibizumab or aflibercept for neovascular age-related macular degeneration: A comparative study. Graefe’s Arch. Clin. Exp. Ophthalmol. 2016, 254, 2101–2109. [Google Scholar] [CrossRef] [PubMed]
- Gillies, M.C.; Nguyen, V.; Daien, V.; Arnold, J.J.; Morlet, N.; Barthelmes, D. Twelve-Month Outcomes of Ranibizumab vs. Aflibercept for Neovascular Age-Related Macular Degeneration: Data from an Observational Study. Ophthalmology 2016, 123, 2545–2553. [Google Scholar] [CrossRef] [PubMed]
- Jaffe, G.J.; Kaiser, P.K.; Thompson, D.; Gibson, A.; Saroj, N.; Vitti, R.; Berliner, A.J.; Heier, J.S. Differential Response to Anti-VEGF Regimens in Age-Related Macular Degeneration Patients with Early Persistent Retinal Fluid. Ophthalmology 2016, 123, 1856–1864. [Google Scholar] [CrossRef] [PubMed]
- Guymer, R.H.; Markey, C.M.; McAllister, I.L.; Gillies, M.C.; Hunyor, A.P.; Arnold, J.J. Tolerating Subretinal Fluid in Neovascular Age-Related Macular Degeneration Treated with Ranibizumab Using a Treat-and-Extend Regimen: FLUID Study 24-Month Results. Ophthalmology 2019, 126, 723–734. [Google Scholar] [CrossRef] [PubMed]
- Jaffe, G.J.; Martin, D.F.; Toth, C.A.; Daniel, E.; Maguire, M.G.; Ying, G.-S.; Grunwald, J.E.; Huang, J. Macular Morphology and Visual Acuity in the Comparison of Age-related Macular Degeneration Treatments Trials. Ophthalmology 2013, 120, 1860–1870. [Google Scholar] [CrossRef] [PubMed]
- Waldstein, S.M.; Simader, C.; Staurenghi, G.; Chong, N.V.; Mitchell, P.; Jaffe, G.J.; Lu, C.; Katz, T.A.; Schmidt-Erfurth, U. Morphology and Visual Acuity in Aflibercept and Ranibizumab Therapy for Neovascular Age-Related Macular Degeneration in the VIEW Trials. Ophthalmology 2016, 123, 1521–1529. [Google Scholar] [CrossRef] [PubMed]
- Takahashi, K.; Cheung, C.M.G.; Iida, T.; Lai, T.Y.Y.; Ohji, M.; Yanagi, Y.; Kawano, M.; Ohsawa, S.; Suzuki, T.; Kotecha, A.; et al. Efficacy, durability, and safety of faricimab in patients from Asian countries with neovascular age-related macular degeneration: 1-Year subgroup analysis of the TENAYA and LUCERNE trials. Graefe’s Arch. Clin. Exp. Ophthalmol. 2023, 261, 3125–3137. [Google Scholar] [CrossRef] [PubMed]
- Mori, R.; Honda, S.; Gomi, F.; Tsujikawa, A.; Koizumi, H.; Ochi, H.; Ohsawa, S.; Okada, A.A. Efficacy, durability, and safety of faricimab up to every 16 weeks in patients with neovascular age-related macular degeneration: 1-year results from the Japan subgroup of the phase 3 TENAYA trial. Jpn. J. Ophthal. 2023, 67, 301–310. [Google Scholar] [CrossRef] [PubMed]








| IVF Group | IVA Group | p-Value | |
|---|---|---|---|
| Number (eye/patient) | 29/30 | 28/30 | |
| Male/female | 18/11 | 22/6 | 0.39 |
| Age (mean ± SD, years) | 79.4 ± 6.6 | 77.6 ± 9.6 | 0.38 |
| AMD subtype (No. of eye) | 0.31 | ||
| Type 1 & 2 MNV | 12 | 19 | |
| Type 3 | 4 | 2 | |
| PCV | 15 | 9 | |
| Baseline logMAR BCVA | 0.46 ± 0.41 | 0.46 ± 0.46 | 0.99 |
| Lesion size (GLD) (mean ± SD, µm) | 2647 ± 1215 | 3247 ± 1579 | 0.12 |
| Baseline CRT (mean ± SD, µm) | 470 ± 206 | 427 ± 283 | 0.46 |
| Baseline CCT (mean ± SD, µm) | 191 ± 92 µm | 205 ± 79 | 0.22 |
Disclaimer/Publisher’s Note: The statements, opinions and data contained in all publications are solely those of the individual author(s) and contributor(s) and not of MDPI and/or the editor(s). MDPI and/or the editor(s) disclaim responsibility for any injury to people or property resulting from any ideas, methods, instructions or products referred to in the content. |
© 2024 by the authors. Licensee MDPI, Basel, Switzerland. This article is an open access article distributed under the terms and conditions of the Creative Commons Attribution (CC BY) license (https://creativecommons.org/licenses/by/4.0/).
Share and Cite
Hara, C.; Suzue, M.; Fujimoto, S.; Fukushima, Y.; Sayanagi, K.; Nishida, K.; Maruyama, K.; Sato, S.; Nishida, K. Comparison of Loading Dose between Aflibercept and Faricimab for Neovascular Age-Related Macular Degeneration. J. Clin. Med. 2024, 13, 385. https://doi.org/10.3390/jcm13020385
Hara C, Suzue M, Fujimoto S, Fukushima Y, Sayanagi K, Nishida K, Maruyama K, Sato S, Nishida K. Comparison of Loading Dose between Aflibercept and Faricimab for Neovascular Age-Related Macular Degeneration. Journal of Clinical Medicine. 2024; 13(2):385. https://doi.org/10.3390/jcm13020385
Chicago/Turabian StyleHara, Chikako, Masaki Suzue, Satoko Fujimoto, Yoko Fukushima, Kaori Sayanagi, Kentaro Nishida, Kazuichi Maruyama, Shigeru Sato, and Kohji Nishida. 2024. "Comparison of Loading Dose between Aflibercept and Faricimab for Neovascular Age-Related Macular Degeneration" Journal of Clinical Medicine 13, no. 2: 385. https://doi.org/10.3390/jcm13020385
APA StyleHara, C., Suzue, M., Fujimoto, S., Fukushima, Y., Sayanagi, K., Nishida, K., Maruyama, K., Sato, S., & Nishida, K. (2024). Comparison of Loading Dose between Aflibercept and Faricimab for Neovascular Age-Related Macular Degeneration. Journal of Clinical Medicine, 13(2), 385. https://doi.org/10.3390/jcm13020385

